Anti-Inflammatory Effects of Apostichopus japonicus Extract in Porphyromonas gingivalis-Stimulated RAW 264.7 Cells
Abstract
1. Introduction
2. Materials and Methods
2.1. Chemicals and Reagents
2.2. A. japonicus Extract
2.3. High-Performance Liquid Chromatography (HPLC) Analysis
2.4. Cell Culture
2.5. Cell Viability Assay
2.6. NO Assay
2.7. Quantitative Real-Time PCR (qRT-PCR)
2.8. Western Blotting Analysis
2.9. Statistical Analysis
3. Results
3.1. HPLC Analysis of A. japonicus Extract
3.2. Impact of A. japonicus Extract on RAW 264.7 Cell Viability
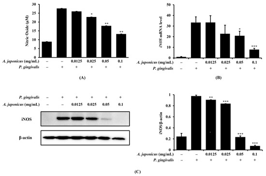
3.3. Effect of A. japonicus Extract on NO Production and iNOS Expression in P. gingivalis-Stimulated RAW 264.7 Cells
3.4. Effect of A. japonicus Extract on Inhibition of Pro-Inflammatory Cytokine Expression in P. gingivalis-Stimulated RAW 264.7 Cells
3.5. Effect of A. japonicus Extract on the NF-κB Pathway in P. gingivalis-Stimulated RAW 264.7 Cells
3.6. Effect of A. japonicus Extract on IκBα and IKKα/β Phosphorylation in P. gingivalis-Stimulated RAW 264.7 Cells
3.7. Effect of A. japonicus Extract on MAPK (ERK, p38, and JNK) Activation in P. gingivalis-Stimulated RAW 264.7 Cells
4. Discussion
5. Conclusions
Author Contributions
Funding
Institutional Review Board Statement
Informed Consent Statement
Data Availability Statement
Conflicts of Interest
References
- Cruvinel, W.d.M.; Mesquita Júnior, D.; Araújo, J.A.P.; Catelan, T.T.T.; de Souza, A.W.S.; da Silva, N.P.; Andrade, L.E.C. Immune System: Part I. Fundamentals of Innate Immunity with Emphasis on Molecular and Cellular Mechanisms of Inflammatory Response. Rev. Bras. Reumatol. 2010, 50, 434–447. [Google Scholar] [CrossRef] [PubMed]
- Chen, L.; Deng, H.; Cui, H.; Fang, J.; Zuo, Z.; Deng, J.; Li, Y.; Wang, X.; Zhao, L. Inflammatory Responses and Inflammation-Associated Diseases in Organs. Oncotarget 2018, 9, 7204. [Google Scholar] [CrossRef] [PubMed]
- Harvanová, G.; Duranková, S.; Bernasovská, J. The Role of Cytokines and Chemokines in the Inflammatory Response. Alergol. Pol.-Pol. J. Allergol. 2023, 10, 210–219. [Google Scholar] [CrossRef]
- Duan, T.; Du, Y.; Xing, C.; Wang, H.Y.; Wang, R.-F. Toll-like Receptor Signaling and Its Role in Cell-Mediated Immunity. Front. Immunol. 2022, 13, 812774. [Google Scholar] [CrossRef] [PubMed]
- Zhang, X.; Mosser, D. Macrophage Activation by Endogenous Danger Signals. J. Pathol. 2008, 214, 161–178. [Google Scholar] [CrossRef]
- Heumann, D.; Roger, T. Initial Responses to Endotoxins and Gram-Negative Bacteria. Clin. Chim. Acta 2002, 323, 59–72. [Google Scholar] [CrossRef]
- Rockel, C.; Hartung, T. Systematic Review of Membrane Components of Gram-Positive Bacteria Responsible as Pyrogens for Inducing Human Monocyte/Macrophage Cytokine Release. Front. Pharmacol. 2012, 3, 56. [Google Scholar] [CrossRef]
- Choi, Y.H.; Kim, G.-Y.; Lee, H.H. Anti-Inflammatory Effects of Cordycepin in Lipopolysaccharide-Stimulated RAW 264.7 Macrophages through Toll-like Receptor 4-Mediated Suppression of Mitogen-Activated Protein Kinases and NF-κB Signaling Pathways. Drug Des. Devel. Ther. 2014, 8, 1941–1953. [Google Scholar] [CrossRef]
- Zamora, R.; Vodovotz, Y.; Billiar, T.R. Inducible Nitric Oxide Synthase and Inflammatory Diseases. Mol. Med. 2000, 6, 347–373. [Google Scholar] [CrossRef]
- Kim, Y.W.; Zhao, R.J.; Park, S.J.; Lee, J.R.; Cho, I.J.; Yang, C.H.; Kim, S.G.; Kim, S.C. Anti-inflammatory Effects of Liquiritigenin as a Consequence of the Inhibition of NF-κB-dependent iNOS and Proinflammatory Cytokines Production. Br. J. Pharmacol. 2008, 154, 165–173. [Google Scholar] [CrossRef]
- Guzik, T.; Korbut, R.; Adamek-Guzik, T. Nitric Oxide and Superoxide in Inflammation. J. Physiol. Pharmacol. 2003, 54, 469–487. [Google Scholar] [PubMed]
- Cardoso, E.M.; Reis, C.; Manzanares-Céspedes, M.C. Chronic Periodontitis, Inflammatory Cytokines, and Interrelationship with Other Chronic Diseases. Postgrad. Med. 2018, 130, 98–104. [Google Scholar] [CrossRef] [PubMed]
- Feng, Y.; Chen, Z.; Tu, S.-Q.; Wei, J.-M.; Hou, Y.-L.; Kuang, Z.-L.; Kang, X.-N.; Ai, H. Role of Interleukin-17A in the Pathomechanisms of Periodontitis and Related Systemic Chronic Inflammatory Diseases. Front. Immunol. 2022, 13, 862415. [Google Scholar] [CrossRef] [PubMed]
- Imamura, T. The Role of Gingipains in the Pathogenesis of Periodontal Disease. J. Periodontol. 2003, 74, 111–118. [Google Scholar] [CrossRef]
- Sedghi, L.; DiMassa, V.; Harrington, A.; Lynch, S.V.; Kapila, Y.L. The Oral Microbiome: Role of Key Organisms and Complex Networks in Oral Health and Disease. Periodontology 2000 2021, 87, 107–131. [Google Scholar] [CrossRef]
- Li, Y.; Ling, J.; Jiang, Q. Inflammasomes in Alveolar Bone Loss. Front. Immunol. 2021, 12, 691013. [Google Scholar] [CrossRef]
- Huang, X.; Xie, M.; Xie, Y.; Mei, F.; Lu, X.; Li, X.; Chen, L. The Roles of Osteocytes in Alveolar Bone Destruction in Periodontitis. J. Transl. Med. 2020, 18, 479. [Google Scholar] [CrossRef]
- Saleem, H.G.M.; Seers, C.A.; Sabri, A.N.; Reynolds, E.C. Dental Plaque Bacteria with Reduced Susceptibility to Chlorhexidine Are Multidrug Resistant. BMC Microbiol. 2016, 16, 214. [Google Scholar] [CrossRef]
- Mao, X.; Auer, D.L.; Buchalla, W.; Hiller, K.-A.; Maisch, T.; Hellwig, E.; Al-Ahmad, A.; Cieplik, F. Cetylpyridinium Chloride: Mechanism of Action, Antimicrobial Efficacy in Biofilms, and Potential Risks of Resistance. Antimicrob. Agents Chemother. 2020, 64, e00576-20. [Google Scholar] [CrossRef]
- Chen, C.-K.; Wu, Y.-T.; Chang, Y.-C. Association between Chronic Periodontitis and the Risk of Alzheimer’s Disease: A Retrospective, Population-Based, Matched-Cohort Study. Alzheimers Res. Ther. 2017, 9, 56. [Google Scholar] [CrossRef]
- Liccardo, D.; Cannavo, A.; Spagnuolo, G.; Ferrara, N.; Cittadini, A.; Rengo, C.; Rengo, G. Periodontal Disease: A Risk Factor for Diabetes and Cardiovascular Disease. Int. J. Mol. Sci. 2019, 20, 1414. [Google Scholar] [CrossRef]
- Chen, J.; Lv, Z.; Guo, M. Research Advancement of Apostichopus Japonicus from 2000 to 2021. Front. Mar. Sci. 2022, 9, 931903. [Google Scholar] [CrossRef]
- Yang, H.; Bai, Y. Apostichopus Japonicus in the Life of Chinese People. In Developments in Aquaculture and Fisheries Science; Elsevier: Amsterdam, The Netherlands, 2015; Volume 39, pp. 1–23. [Google Scholar]
- Bordbar, S.; Anwar, F.; Saari, N. High-Value Components and Bioactives from Sea Cucumbers for Functional Foods—A Review. Mar. Drugs 2011, 9, 1761–1805. [Google Scholar] [CrossRef]
- Ding, Y.; Jiratchayamaethasakul, C.; Kim, J.; Kim, E.-A.; Heo, S.-J.; Lee, S.-H. Antioxidant and Anti-Melanogenic Activities of Ultrasonic Extract from Stichopus Japonicus. Asian Pac. J. Trop. Biomed. 2020, 10, 33–41. [Google Scholar]
- Song, M.; Park, D.K.; Cho, M.; Park, H.-J. Anti-Inflammatory and Anti-Allergic Activities of Sea Cucumber (Stichopus japonicus) Extract. Food Sci. Biotechnol. 2013, 22, 1661–1666. [Google Scholar] [CrossRef]
- Oh, G.-W.; Ko, S.-C.; Lee, D.H.; Heo, S.-J.; Jung, W.-K. Biological Activities and Biomedical Potential of Sea Cucumber (Stichopus japonicus): A Review. Fish. Aquat. Sci. 2017, 20, 28. [Google Scholar] [CrossRef]
- Green, L.C.; Wagner, D.A.; Glogowski, J.; Skipper, P.L.; Wishnok, J.S.; Tannenbaum, S.R. Analysis of Nitrate, Nitrite, and [15N]Nitrate in Biological Fluids. Anal. Biochem. 1982, 126, 131–138. [Google Scholar] [CrossRef]
- Schmitz, M.L.; Mattioli, I.; Buss, H.; Kracht, M. NF-κB: A Multifaceted Transcription Factor Regulated at Several Levels. ChemBioChem 2004, 5, 1348–1358. [Google Scholar] [CrossRef]
- Gu, J.-Y.; Fu, Z.; Chen, J.-L.; Liu, Y.-J.; Cao, X.; Sun, Y. Endotoxin Tolerance Induced by Porphyromonas Gingivalis Lipopolysaccharide Alters Macrophage Polarization. Microb. Pathog. 2022, 164, 105448. [Google Scholar] [CrossRef]
- Xu, X.W.; Liu, X.; Shi, C.; Sun, H.C. Roles of Immune Cells and Mechanisms of Immune Responses in Periodontitis. Chin. J. Dent. Res. 2021, 24, 219–230. [Google Scholar]
- Nędzi-Góra, M.; Kowalski, J.; Górska, R. The Immune Response in Periodontal Tissues. Arch. Immunol. Ther. Exp. 2017, 65, 421–429. [Google Scholar] [CrossRef] [PubMed]
- Liang, Q.; Ahmed, F.; Zhang, M.; Sperou, N.; Franco, C.M.; Feng, Q.; Zhang, W. In Vivo and Clinical Studies of Sea Cucumber-Derived Bioactives for Human Health and Nutrition from 2012–2021. Front. Mar. Sci. 2022, 9, 917857. [Google Scholar] [CrossRef]
- Khotimchenko, Y. Pharmacological Potential of Sea Cucumbers. Int. J. Mol. Sci. 2018, 19, 1342. [Google Scholar] [CrossRef] [PubMed]
- Tripathi, P.; Tripathi, P.; Kashyap, L.; Singh, V. The Role of Nitric Oxide in Inflammatory Reactions. FEMS Immunol. Med. Microbiol. 2007, 51, 443–452. [Google Scholar] [CrossRef] [PubMed]
- Wink, D.A.; Hines, H.B.; Cheng, R.Y.; Switzer, C.H.; Flores-Santana, W.; Vitek, M.P.; Ridnour, L.A.; Colton, C.A. Nitric Oxide and Redox Mechanisms in the Immune Response. J. Leukoc. Biol. 2011, 89, 873–891. [Google Scholar] [CrossRef]
- Papi, S.; Ahmadizar, F.; Hasanvand, A. The Role of Nitric Oxide in Inflammation and Oxidative Stress. Immunopathol. Persa 2019, 5, e08. [Google Scholar] [CrossRef]
- Sharma, J.N.; Al-Omran, A.; Parvathy, S.S. Role of Nitric Oxide in Inflammatory Diseases. Inflammopharmacology 2007, 15, 252–259. [Google Scholar] [CrossRef]
- Tewari, D.; Sah, A.N.; Bawari, S.; Nabavi, S.F.; Dehpour, A.R.; Shirooie, S.; Braidy, N.; Fiebich, B.L.; Vacca, R.A.; Nabavi, S.M. Role of Nitric Oxide in Neurodegeneration: Function, Regulation, and Inhibition. Curr. Neuropharmacol. 2021, 19, 114–126. [Google Scholar] [CrossRef]
- Jia, L.; Han, N.; Du, J.; Guo, L.; Luo, Z.; Liu, Y. Pathogenesis of Important Virulence Factors of Porphyromonas gingivalis via Toll-like Receptors. Front. Cell. Infect. Microbiol. 2019, 9, 262. [Google Scholar] [CrossRef]
- Xiong, G.; Ji, W.; Wang, F.; Zhang, F.; Xue, P.; Cheng, M.; Sun, Y.; Wang, X.; Zhang, T. Quercetin Inhibits Inflammatory Response Induced by LPS from Porphyromonas gingivalis in Human Gingival Fibroblasts via Suppressing NF-κB Signaling Pathway. BioMed Res. Int. 2019, 2019, 6282635. [Google Scholar] [CrossRef]
- Schulze-Osthoff, K.; Ferrari, D.; Riehemann, K.; Wesselborg, S. Regulation of NF-κB Activation by MAP Kinase Cascades. Immunobiology 1997, 198, 35–49. [Google Scholar] [CrossRef] [PubMed]
- Yang, Z.; Song, L.; Huang, C. Gadd45 Proteins as Critical Signal Transducers Linking NF-κB to MAPK Cascades. Curr. Cancer Drug Targets 2009, 9, 915–930. [Google Scholar] [CrossRef] [PubMed]
- Kim, S.H.; Kim, J.; Sharma, R.P. Inhibition of P38 and ERK MAP Kinases Blocks Endotoxin-Induced Nitric Oxide Production and Differentially Modulates Cytokine Expression. Pharmacol. Res. 2004, 49, 433–439. [Google Scholar] [CrossRef] [PubMed]
- Yücel, Ö.Ö. Inflammatory Cytokines and the Pathogenesis of Periodontal Disease. Immunome Res. 2015, 11, 1. [Google Scholar]








Disclaimer/Publisher’s Note: The statements, opinions and data contained in all publications are solely those of the individual author(s) and contributor(s) and not of MDPI and/or the editor(s). MDPI and/or the editor(s) disclaim responsibility for any injury to people or property resulting from any ideas, methods, instructions or products referred to in the content. |
© 2024 by the authors. Licensee MDPI, Basel, Switzerland. This article is an open access article distributed under the terms and conditions of the Creative Commons Attribution (CC BY) license (https://creativecommons.org/licenses/by/4.0/).
Share and Cite
Kim, M.-j.; Kim, H.-j. Anti-Inflammatory Effects of Apostichopus japonicus Extract in Porphyromonas gingivalis-Stimulated RAW 264.7 Cells. Curr. Issues Mol. Biol. 2024, 46, 13405-13417. https://doi.org/10.3390/cimb46120799
Kim M-j, Kim H-j. Anti-Inflammatory Effects of Apostichopus japonicus Extract in Porphyromonas gingivalis-Stimulated RAW 264.7 Cells. Current Issues in Molecular Biology. 2024; 46(12):13405-13417. https://doi.org/10.3390/cimb46120799
Chicago/Turabian StyleKim, Min-jeong, and Hyun-jin Kim. 2024. "Anti-Inflammatory Effects of Apostichopus japonicus Extract in Porphyromonas gingivalis-Stimulated RAW 264.7 Cells" Current Issues in Molecular Biology 46, no. 12: 13405-13417. https://doi.org/10.3390/cimb46120799
APA StyleKim, M.-j., & Kim, H.-j. (2024). Anti-Inflammatory Effects of Apostichopus japonicus Extract in Porphyromonas gingivalis-Stimulated RAW 264.7 Cells. Current Issues in Molecular Biology, 46(12), 13405-13417. https://doi.org/10.3390/cimb46120799

