Safety and Efficacy of Neoadjuvant Chemoimmunotherapy in Gastric Cancer Patients with a PD-L1 Positive Status: A Case Report
Abstract
:1. Introduction
- (1)
- Epstein–Barr virus positive tumors with PIK3CA mutations, DNA hypermethylation and JAK2, CD274 (also known as PD-L1) and PDCD1LG2 amplification (also known as PD-L2) (9%);
- (2)
- Microsatellite unstable tumors with mutations in oncogenes (22%);
- (3)
- Genomically stable tumors, found in diffuse gastric cancers with RhoA mutations or fusion (20%);
- (4)
- Chromosomal instable tumors with tyrosine kinases mutations (50%).
2. Materials and Methods
2.1. Clinical Characteristics of Patients
2.2. Molecular Characteristics of Tumors
2.2.1. RNA Extraction
2.2.2. Determination of LC3B Content
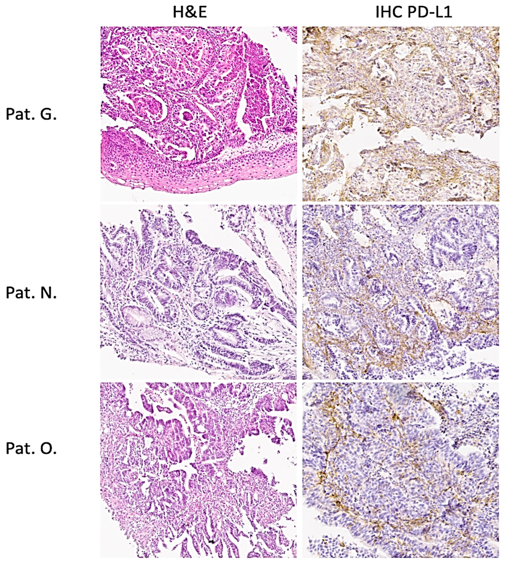
2.2.3. Immunohistochemical Staining of PD-L1
3. Results
4. Discussion
5. Conclusions
Author Contributions
Funding
Institutional Review Board Statement
Informed Consent Statement
Data Availability Statement
Conflicts of Interest
Appendix A
References
- Bang, Y.J.; Van Cutsem, E.; Fuchs, C.S.; Ohtsu, A.; Tabernero, J.; Ilson, D.H.; Hyung, W.J.; Strong, V.E.; Goetze, T.O.; Yoshikawa, T.; et al. KEYNOTE-585: Phase III study of perioperative chemotherapy with or without pembrolizumab for gastric cancer. Future Oncol. 2019, 15, 943–952. [Google Scholar] [CrossRef] [PubMed]
- He, Q.; Chen, J.; Zhou, K.; Jin, C.; Wang, A.; Ji, K.; Ji, X.; Zhang, J.; Wu, X.; Li, X.; et al. Effect of Additional Trastuzumab in Neoadjuvant and Adjuvant Treatment for Patients with Resectable HER2-Positive Gastric Cancer. Ann. Surg. Oncol. 2021, 28, 4413–4422. [Google Scholar] [CrossRef] [PubMed]
- Lee, D.; Choi, J.; Oh, H.J.; Ham, I.H.; Lee, S.H.; Nomura, S.; Han, S.U.; Hur, H. Molecular and Immune Profiling of Syngeneic Mouse Models Predict Response to Immune Checkpoint Inhibitors in Gastric Cancer. Cancer Res. Treat. 2023, 55, 167–178. [Google Scholar] [CrossRef] [PubMed]
- Wu, L.; Cai, S.; Deng, Y.; Zhang, Z.; Zhou, X.; Su, Y.; Xu, D. PD-1/PD-L1 enhanced cisplatin resistance in gastric cancer through PI3K/AKT mediated P-gp expression. Int. Immunopharmacol. 2021, 94, 107443. [Google Scholar] [CrossRef] [PubMed]
- Sun, L.; Wang, Q.; Chen, B.; Zhao, Y.; Shen, B.; Wang, H.; Xu, J.; Zhu, M.; Zhao, X.; Xu, C.; et al. Gastric cancer mesenchymal stem cells derived IL-8 induces PD-L1 expression in gastric cancer cells via STAT3/mTOR-c-Myc signal axis. Cell Death Dis. 2018, 9, 928. [Google Scholar] [CrossRef] [PubMed]
- Wang, X.; Wu, W.K.K.; Gao, J.; Li, Z.; Dong, B.; Lin, X.; Li, Y.; Li, Y.; Gong, J.; Qi, C.; et al. Autophagy inhibition enhances PD-L1 expression in gastric cancer. J. Exp. Clin. Cancer Res. 2019, 38, 140. [Google Scholar] [CrossRef] [PubMed]
- Spirina, L.; Avgustinovich, A.; Afanas’ev, S.; Volkov, M.; Dobrodeev, A.; Cheremisina, O.; Kostromitsky, D. PD-L1 Status in Gastric Cancers, Association with the Transcriptional, Growth Factors, AKT/mTOR Components Change, and Autophagy Initiation. Int. J. Mol. Sci. 2021, 22, 11176. [Google Scholar] [CrossRef] [PubMed]
- Wang, Z.; Wang, X.; Xu, Y.; Li, J.; Zhang, X.; Peng, Z.; Hu, Y.; Zhao, X.; Dong, K.; Zhang, B.; et al. Mutations of PI3K-AKT-mTOR pathway as predictors for immune cell infiltration and immunotherapy efficacy in dMMR/MSI-H gastric adenocarcinoma. BMC Med. 2022, 20, 133. [Google Scholar] [CrossRef]
- Chida, K.; Kawazoe, A.; Kawazu, M.; Suzuki, T.; Nakamura, Y.; Nakatsura, T.; Kuwata, T.; Ueno, T.; Kuboki, Y.; Kotani, D.; et al. A Low Tumor Mutational Burden and PTEN Mutations Are Predictors of a Negative Response to PD-1 Blockade in MSI-H/dMMR Gastrointestinal Tumors. Clin. Cancer Res. 2021, 27, 3714–3724. [Google Scholar] [CrossRef] [PubMed]
- Samstein, R.M.; Lee, C.H.; Shoushtari, A.N.; Hellmann, M.D.; Shen, R.; Janjigian, Y.Y.; Barron, D.A.; Zehir, A.; Jordan, E.J.; Omuro, A.; et al. Tumor mutational load predicts survival after immunotherapy across multiple cancer types. Nat. Genet. 2019, 51, 202–206. [Google Scholar] [CrossRef] [PubMed]
- Sinha, D.; Moseley, P.; Lu, X.; Wright, Q.; Gabrielli, B.; Frazer, I.H.; Cruz, J.L.G. Repurposing of Commercially Existing Molecular Target Therapies to Boost the Clinical Efficacy of Immune Checkpoint Blockade. Cancers 2022, 14, 6150. [Google Scholar] [CrossRef] [PubMed]
- Wu, Y.; Cao, D.; Qu, L.; Cao, X.; Jia, Z.; Zhao, T.; Wang, Q.; Jiang, J. PD-1 and PD-L1 co-expression predicts favorable prognosis in gastric cancer. Oncotarget 2017, 8, 64066–64082. [Google Scholar] [CrossRef] [PubMed]
- Spirina, L.V.; Avgustinovich, A.V.; Bakina, O.V.; Afanas’ev, S.G.; Volkov, M.Y.; Kebekbayeva, A.Y. LC3B, mTOR, AMPK Are Molecular Targets for Neoadjuvant Chemotherapy in Gastric Cancers. Curr. Issues Mol. Biol. 2022, 44, 2772–2782. [Google Scholar] [CrossRef] [PubMed]
- Sah, B.K.; Zhang, B.; Zhang, H.; Li, J.; Yuan, F.; Ma, T.; Shi, M.; Xu, W.; Zhu, Z.; Liu, W.; et al. Neoadjuvant FLOT versus SOX phase II randomized clinical trial for patients with locally advanced gastric cancer. Nat. Commun. 2020, 11, 6093. [Google Scholar] [CrossRef] [PubMed]
- Kang, Y.K.; Chen, L.T.; Ryu, M.H.; Oh, D.Y.; Oh, S.C.; Chung, H.C.; Lee, K.W.; Omori, T.; Shitara, K.; Sakuramoto, S.; et al. Nivolumab plus chemotherapy versus placebo plus chemotherapy in patients with HER2-negative, untreated, unresectable advanced or recurrent gastric or gastro-oesophageal junction cancer (ATTRACTION-4): A randomised, multicentre, double-blind, placebo-controlled, phase 3 trial. Lancet Oncol. 2022, 23, 234–247. [Google Scholar] [PubMed]
- Fuchs, C.S.; Doi, T.; Jang, R.W.; Muro, K.; Satoh, T.; Machado, M.; Sun, W.; Jalal, S.I.; Shah, M.A.; Metges, J.P.; et al. Safety and Efficacy of Pembrolizumab Monotherapy in Patients with Previously Treated Advanced Gastric and Gastroesophageal Junction Cancer: Phase 2 Clinical KEYNOTE-059 Trial. JAMA Oncol. 2018, 4, e180013. [Google Scholar] [CrossRef] [PubMed]
- Li, S.; Yu, W.; Xie, F.; Luo, H.; Liu, Z.; Lv, W.; Shi, D.; Yu, D.; Gao, P.; Chen, C.; et al. Neoadjuvant therapy with immune checkpoint blockade, antiangiogenesis, and chemotherapy for locally advanced gastric cancer. Nat. Commun. 2023, 14, 8. [Google Scholar] [CrossRef] [PubMed]
- Dong, W.; Gong, M.; Shi, Z.; Xiao, J.; Zhang, J.; Peng, J. Programmed Cell Death-1 Polymorphisms Decrease the Cancer Risk: A Meta-Analysis Involving Twelve Case-Control Studies. PLoS ONE 2016, 11, e0152448. [Google Scholar] [CrossRef] [PubMed]
- Lin, X.; Zhao, Y.; Song, W.M.; Zhang, B. Molecular classification and prediction in gastric cancer. Comput. Struct. Biotechnol. J. 2015, 13, 448–458. [Google Scholar] [CrossRef] [PubMed]
- Guo, H.; Tang, H.; Zhao, Y.; Zhao, Q.; Hou, X.; Ren, L. Molecular Typing of Gastric Cancer Based on Invasion-Related Genes and Prognosis-Related Features. Front. Oncol. 2022, 12, 848163. [Google Scholar] [CrossRef] [PubMed]


| Age | Gender | Localization of the Tumor | PD-L1 (CPS) | The Volume of Surgical Intervention | TNM |
|---|---|---|---|---|---|
| 58 | male | body | 10 | radical distal gastrectomy | T3N0M0 |
| 38 | male | body and pyloric antrum | 25 | combined gastrectomy | T3N0M0 |
| 63 | female | body | 20 | radical total gastrectomy | T3N0M0 |
| Gene | Primers |
|---|---|
| LC3B | F 5′-CCCAAACCGCAGACACAT-3′, R 5′-ATCCCACCAGCCAGCAC-3′; |
| mTOR | F 5′-CCAAAGGCAACAAGCGAT-3′, R 5′-TTCACCAAACCGTCTCCAA-3′; |
| AMPK | F 5′-AAGATGTCCATTGGATGCACT-3′, R 5′-TGAGGTGTTGAGGAACCAGAT-3′; |
| CAIX | F 5′-GTTGCTGTCTCGCTTGGAA-3′, R 5′-CAGGGTGTCAGAGAGGGTGT-3′; |
| HIF-1 | F 5′-CAAGAACCTACTGCTAATGCCA-3′, R 5′-TTTGGTGAGGCTGTCCGA-3′; |
| EPAS1 | F 5′-TGGAGTATGAAGAGCAAGCCT-3′, R 5′-GGGAACCTGCTCTTGCTGT-3′; |
| NFKB1 | F 5′-CGTGTAAACCAAAGCCCTAAA-3′, R 5′-AACCAAGAAAGGAAGCCAAGT-3′; |
| RELA | F 5′-GGAGCACAGATACCACCAAGA-3′, R 5′-GGGTTGTTGTTGGTCTGGAT-3′; |
| VEGFA | F 5′-AGGGCAGAATCATCACGAA-3′, R 5′-TCTTGCTCTATCTTTCTTTGGTCT-3′; |
| KDR: | F 5′-AACACAGCAGGAATCAGTCA-3′, R 5′-GTGGTGTCTGTGTCATCGGA-3′; |
| 4-BP1 | F 5′-CAGCCCTTTCTCCCTCACT-3′, R 5′-TTCCCAAGCACATCAACCT-3′; |
| AKT1 | F 5′-CGAGGACGCCAAGGAGA-3′, R 5′-GTCATCTTGGTCAGGTGGTGT-3′; |
| C-RAF | F 5′-TGGTGTGTCCTGCTCCCT-3′, R 5′-ACTGCCTGCTACCTTACTTCCT-3′; |
| GSK3b | F 5′-AGACAAGGACGGCAGCAA-3′, R 5′-TGGAGTAGAAGAAATAACGCAAT-3′; |
| 70S kinase alpha | F 5′-CAGCACAGCAAATCCTCAGA-3′, R 5′-ACACATCTCCCTCTCCACCTT-3′; |
| PDK1: | F 5′-TCACCAGGACAGCCAATACA-3′, R 5′-CTCCTCGGTCACTCATCTTCA-3′; |
| VHL | F 5′-GGCAGGCGAATCTCTTGA-3′, R 5´-CTATTTCCTTTACTCAGCACCATT-3′; |
| PD-L2 | F 5′-GTTCCACATACCTCAAGTCCAA-3′, R 5′-ATAGCACTGTTCACTTCCCTCTT-3′; |
| PD-L1 | F 5′-AGGGAGAATGATGGATGTGAA-3′, R 5′-ATCATTCACAACCACACTCACAT-3′; |
| PD-1-1 | F 5′-CTGGGCGGTGCTACAACT-3′, R 5′-CTTCTGCCCTTCTCTCTGTCA-3′; |
| GAPDH | F 5′-GGAAGTCAGGTGGAGCGA-3′, R 5′-GCAACAATATCCACTTTACCAGA-3′. |
| Indicator | Tumor 1 | Tumor 2 | Tumor 3 |
|---|---|---|---|
| 4EBP1 expression, Relative Units | 2.88 | 1.97 | 0.13 |
| AKT expression, Relative Units | 1.27 | 0.50 | 1.00 |
| c-RAF expression, Relative Units | 1.56 | 0.30 | 1.00 |
| GSK-3β expression, Relative Units | 0.86 | 0.79 | 2.46 |
| 70S 6 kinase expression, Relative Units | 0.72 | 1.07 | 1.00 |
| mTOR expression, Relative Units | 0.97 | 0.54 | 1.00 |
| PDK1 expression, Relative Units | 0.54 | 0.93 | 4.00 |
| PTEN expression, Relative Units | 2.12 | 0.54 | 2.00 |
| NF-kB p65 expression, Relative Units | 2.81 | 0.74 | 1.41 |
| NF-kB p50 expression, Relative Units | 1.36 | 0.19 | 0.25 |
| VEGFR2 expression, Relative Units | 0.58 | 0.25 | 1.00 |
| VEGF expression, Relative Units | 0.18 | 0.21 | 0.03 |
| CAIX expression, Relative Units | 0.32 | 0.47 | 1.00 |
| HIF-1 expression, Relative Units | 27.21 | 0.04 | 16.00 |
| HIF-2 expression, Relative Units | 54.05 | 0.73 | 0.16 |
| VHL expression, Relative Units | 1.10 | 0.12 | 2.00 |
| PD-1 expression, Relative Units | 0.69 | 0.66 | 0.50 |
| PD-L1 expression, Relative Units | 0.31 | 0.31 | 8.00 |
| PD-L2 expression, Relative Units | 1.91 | 0.54 | 1.00 |
| AMPK expression, Relative Units | 0.00 | 0.74 | 2.00 |
| LC3B expression, Relative Units | 1.56 | 1.12 | 2.00 |
| LC3B protein, % | 111.53 | 175.00 | 231.98 |
Disclaimer/Publisher’s Note: The statements, opinions and data contained in all publications are solely those of the individual author(s) and contributor(s) and not of MDPI and/or the editor(s). MDPI and/or the editor(s) disclaim responsibility for any injury to people or property resulting from any ideas, methods, instructions or products referred to in the content. |
© 2023 by the authors. Licensee MDPI, Basel, Switzerland. This article is an open access article distributed under the terms and conditions of the Creative Commons Attribution (CC BY) license (https://creativecommons.org/licenses/by/4.0/).
Share and Cite
Avgustinovich, A.V.; Bakina, O.V.; Afanas’ev, S.G.; Spirina, L.V.; Volkov, A.M. Safety and Efficacy of Neoadjuvant Chemoimmunotherapy in Gastric Cancer Patients with a PD-L1 Positive Status: A Case Report. Curr. Issues Mol. Biol. 2023, 45, 7642-7649. https://doi.org/10.3390/cimb45090481
Avgustinovich AV, Bakina OV, Afanas’ev SG, Spirina LV, Volkov AM. Safety and Efficacy of Neoadjuvant Chemoimmunotherapy in Gastric Cancer Patients with a PD-L1 Positive Status: A Case Report. Current Issues in Molecular Biology. 2023; 45(9):7642-7649. https://doi.org/10.3390/cimb45090481
Chicago/Turabian StyleAvgustinovich, Alexandra V., Olga V. Bakina, Sergey G. Afanas’ev, Liudmila V. Spirina, and Alexander M. Volkov. 2023. "Safety and Efficacy of Neoadjuvant Chemoimmunotherapy in Gastric Cancer Patients with a PD-L1 Positive Status: A Case Report" Current Issues in Molecular Biology 45, no. 9: 7642-7649. https://doi.org/10.3390/cimb45090481
APA StyleAvgustinovich, A. V., Bakina, O. V., Afanas’ev, S. G., Spirina, L. V., & Volkov, A. M. (2023). Safety and Efficacy of Neoadjuvant Chemoimmunotherapy in Gastric Cancer Patients with a PD-L1 Positive Status: A Case Report. Current Issues in Molecular Biology, 45(9), 7642-7649. https://doi.org/10.3390/cimb45090481

