Characterization of the Impacts of Living at High Altitude in Taif: Oxidative Stress Biomarker Alterations and Immunohistochemical Changes
Abstract
1. Introduction
2. Materials and Methods
2.1. Animal Handling and Experimental Design
2.2. Serum Biochemical Parameters
2.3. Molecular Analysis Using qRT-PCR
2.4. Histopathological Evaluation of Hepatic and Renal Tissues
2.5. Immunohistochemical Investigation of Heme Oxygenase-1 (HO-1) and Nuclear Factor Erythroid Factor 2-Related Factor-2 (Nrf-2)
2.6. Statistical Analysis
3. Results
3.1. Effects of High Altitude on Hepatorenal Function in Rats
3.2. Effects of High Altitude on Serum MDA, Catalase, SOD, NO, and GSH Levels
3.3. Effects of High Altitude on Inflammatory Cytokine Biomarkers
3.4. Effects of High Altitude on Hepatorenal Gene Expression
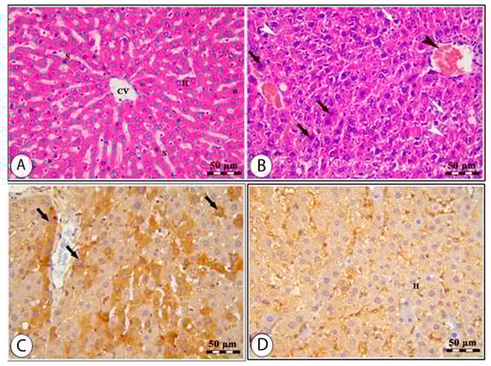
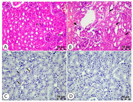
3.5. Effects of High Altitude on Hepatorenal Histological Architect
4. Discussion
5. Conclusions
Author Contributions
Funding
Institutional Review Board Statement
Informed Consent Statement
Data Availability Statement
Acknowledgments
Conflicts of Interest
Abbreviations
References
- Khurana, P.; Gupta, A.; Sugadev, R.; Sharma, Y.K.; Kumar, B. HAHmiR. DB: A server platform for high-altitude human miRNA–gene coregulatory networks and associated regulatory circuits. Database 2020, 2020, baaa101. [Google Scholar] [CrossRef] [PubMed]
- Loscalzo, J. The cellular response to hypoxia: Tuning the system with microRNAs. J. Clin. Investig. 2010, 120, 3815–3817. [Google Scholar] [CrossRef] [PubMed]
- Herrera, E.A.; Farías, J.G.; González-Candia, A.; Short, S.E.; Carrasco-Pozo, C.; Castillo, R.L. Ω3 Supplementation and intermittent hypobaric hypoxia induce cardioprotection enhancing antioxidant mechanisms in adult rats. Mar. Drugs 2015, 13, 838–860. [Google Scholar] [CrossRef] [PubMed]
- Semenza, G.L. O2-regulated gene expression: Transcriptional control of cardiorespiratory physiology by HIF-1. J. Appl. Physiol. 2004, 96, 1173–1177. [Google Scholar] [CrossRef] [PubMed]
- Zhao, H.; Chai, W.; Gao, W.; Xu, L.; Zhang, H.; Yang, Y. Hyperoxygenated solution: Effects on acute hypobaric hypoxia-induced oxidative damage in rabbits. High Alt. Med. Biol. 2009, 10, 283–291. [Google Scholar] [CrossRef] [PubMed]
- Donovan, L.; Welford, S.M.; Haaga, J.; LaManna, J.; Strohl, K.P. Hypoxia—Implications for pharmaceutical developments. Sleep Breath. 2010, 14, 291–298. [Google Scholar] [CrossRef] [PubMed]
- Han, E.J.; Lee, D.S. Significance of metabolites in the environmental risk assessment of pharmaceuticals consumed by human. Sci. Total Environ. 2017, 592, 600–607. [Google Scholar] [CrossRef]
- Zhou, B.; Yang, D.; Zhou, Q. The SEM observation of small intestinal mucosa in the rabbits under simulated high altitude hypoxia. Chin. J. Gastroenterol. Hepatol. 2009, 18, 751–753. [Google Scholar]
- Zhou, Q.-Q.; Yang, D.-Z.; Luo, Y.-J.; Li, S.-Z.; Liu, F.-Y.; Wang, G.-S. Over-starvation aggravates intestinal injury and promotes bacterial and endotoxin translocation under high-altitude hypoxic environment. World J. Gastroenterol. WJG 2011, 17, 1584. [Google Scholar] [CrossRef]
- Pialoux, V.; Hanly, P.J.; Foster, G.E.; Brugniaux, J.V.; Beaudin, A.E.; Hartmann, S.E.; Pun, M.; Duggan, C.T.; Poulin, M.J. Effects of exposure to intermittent hypoxia on oxidative stress and acute hypoxic ventilatory response in humans. Am. J. Respir. Crit. Care Med. 2009, 180, 1002–1009. [Google Scholar] [CrossRef]
- Sandoval, D.A.; Matt, K.S. Gender differences in the endocrine and metabolic responses to hypoxic exercise. J. Appl. Physiol. 2002, 92, 504–512. [Google Scholar] [CrossRef] [PubMed][Green Version]
- Zhang, Y.; Wang, Y.; Liu, X. Mountain Sickness; Publishing House of Qinghai People: Xining, China, 1984. [Google Scholar]
- Brahmachari, H.; Malhotra, M.; Joseph, S.; Ramachandran, K. Effects of stay at high altitude on the serum proteins of man. Indian J. Physiol. Pharmacol. 1973, 17, 4. [Google Scholar]
- Peacock, A.J. Oxygen at high altitude. BMJ 1998, 317, 1063–1066. [Google Scholar] [CrossRef] [PubMed]
- Irarrázaval, S.; Allard, C.; Campodónico, J.; Pérez, D.; Strobel, P.; Vásquez, L.; Urquiaga, I.; Echeverría, G.; Leighton, F. Oxidative stress in acute hypobaric hypoxia. High Alt. Med. Biol. 2017, 18, 128–134. [Google Scholar] [CrossRef]
- Giaccia, A.J.; Simon, M.C.; Johnson, R. The biology of hypoxia: The role of oxygen sensing in development, normal function, and disease. Genes Dev. 2004, 18, 2183–2194. [Google Scholar] [CrossRef]
- Mehta, S.; Chawla, A.; Kashyap, A. Acute mountain sickness, high altitude cerebral oedema, high altitude pulmonary oedema: The current concepts. Med. J. Armed Forces India 2008, 64, 149. [Google Scholar] [CrossRef]
- Bishop, T.; Ratcliffe, P.J. Signaling hypoxia by hypoxia-inducible factor protein hydroxylases: A historical overview and future perspectives. Hypoxia 2014, 2, 197. [Google Scholar]
- Hopfl, G.; Ogunshola, O.; Gassmann, M. Hypoxia and high altitude. The molecular response. Adv. Exp. Med. Biol. 2003, 543, 89–115. [Google Scholar]
- Miranda, K.M.; Espey, M.G.; Wink, D.A. A rapid, simple spectrophotometric method for simultaneous detection of nitrate and nitrite. Nitric Oxide 2001, 5, 62–71. [Google Scholar] [CrossRef]
- Murray, R.; Kaplan, A. Alanine aminotransferase. In Clinical Chemistry: Theory, Analysis and Correlation; Kaplan, L.A., Pesce, A.J., Eds.; CV Mosby: St. Louis, MO, USA, 1984; Volume 1090. [Google Scholar]
- Szasz, G. New substrates for measuring gamma-glutamyl transpeptidase activity. Z. Klin. Chem. Klin. Biochem. 1974, 12, 228. [Google Scholar]
- Talke, H.; Schubert, G.E. Enzymatic Urea Determination in the Blood and Serum in the Warburg Optical Test. Klin. Wochenschr. 1965, 43, 174–175. [Google Scholar] [CrossRef] [PubMed]
- Bowers, L.D. Kinetic serum creatinine assays I. The role of various factors in determining specificity. Clin. Chem. 1980, 26, 551–554. [Google Scholar] [CrossRef] [PubMed]
- Barham, D.; Trinder, P. An improved colour reagent for the determination of blood glucose by the oxidase system. Analyst 1972, 97, 142–145. [Google Scholar] [CrossRef] [PubMed]
- Ruehl-Fehlert, C.; Kittel, B.; Morawietz, G.; Deslex, P.; Keenan, C.; Mahrt, C.R.; Nolte, T.; Robinson, M.; Stuart, B.P.; Deschl, U. Revised guides for organ sampling and trimming in rats and mice—Part 1: A joint publication of the RITA and NACAD groups. Exp. Toxicol. Pathol. 2003, 55, 91–106. [Google Scholar] [CrossRef]
- Fiette, L.; Slaoui, M. Necropsy and sampling procedures in rodents. In Drug Safety Evaluation; Springer: Berlin/Heidelberg, Germany, 2011; pp. 39–67. [Google Scholar]
- Suvarna, K.S.; Layton, C.; Bancroft, J.D. Bancroft’s Theory and Practice of Histological Techniques E-Book; Elsevier Health Sciences: Amsterdam, The Netherlands, 2018. [Google Scholar]
- Hsu, S.-M.; Raine, L.; Fanger, H. Use of avidin-biotin-peroxidase complex (ABC) in immunoperoxidase techniques: A comparison between ABC and unlabeled antibody (PAP) procedures. J. Histochem. Cytochem. 1981, 29, 577–580. [Google Scholar] [CrossRef]
- Metwally, M.M.; Ebraheim, L.L.; Galal, A.A. Potential therapeutic role of melatonin on STZ-induced diabetic central neuropathy: A biochemical, histopathological, immunohistochemical and ultrastructural study. Acta Histochem. 2018, 120, 828–836. [Google Scholar] [CrossRef]
- Mazzeo, R.S.; Reeves, J.T. Adrenergic contribution during acclimatization to high altitude: Perspectives from Pikes Peak. Exerc. Sport Sci. Rev. 2003, 31, 13–18. [Google Scholar] [CrossRef]
- Yu, L.; Cao, X.; Tao, W.; Li, M.; Li, X.; Chen, L. Antioxidant activity and potential ameliorating effective ingredients for high altitude-induced fatigue from Gansu Maxianhao (Pedicularis Kansuensis Maxim.). J. Tradit. Chin. Med. Chung I Tsa Chih Ying Wen Pan 2020, 40, 83–93. [Google Scholar]
- Althobaiti, F.; Hassan, M.M.; El-Shehawi, A.M.; Alotaibi, S.S.; Youssef, G.B.; Soliman, M.M.; Sayed, S.; Aldhahrani, A. The Protective Impact of Salsola imbricata Leaf Extract From Taif Against Acrylamide-Induced Hepatic Inflammation and Oxidative Damage: The Role of Antioxidants, Cytokines, and Apoptosis-Associated Genes. Front. Vet. Sci. 2022, 8, 817183. [Google Scholar]
- Jun, J.; Savransky, V.; Nanayakkara, A.; Bevans, S.; Li, J.; Smith, P.L.; Polotsky, V.Y. Intermittent hypoxia has organ-specific effects on oxidative stress. Am. J. Physiol. Regul. Integr. Comp. Physiol. 2008, 295, R1274–R1281. [Google Scholar] [CrossRef]
- Gola, S.; Gupta, A.; Keshri, G.K.; Nath, M.; Velpandian, T. Evaluation of hepatic metabolism and pharmacokinetics of ibuprofen in rats under chronic hypobaric hypoxia for targeted therapy at high altitude. J. Pharm. Biomed. Anal. 2016, 121, 114–122. [Google Scholar] [CrossRef] [PubMed]
- Luo, B.; Li, J.; Yang, T.; Li, W.; Zhang, J.; Wang, C.; Zhao, A.; Wang, R. Evaluation of renal excretion and pharmacokinetics of furosemide in rats after acute exposure to high altitude at 4300 m. Biopharm. Drug Dispos. 2018, 39, 378–387. [Google Scholar] [CrossRef] [PubMed]
- Li, W.; Wang, R.; Xie, H.; Zhang, J.; Jia, Z. Changes of pathological and physiological indicators affecting drug metabolism in rats after acute exposure to high altitude. Exp. Ther. Med. 2015, 9, 98–104. [Google Scholar] [CrossRef] [PubMed]
- Tanaka, T.; Miyata, T.; Inagi, R.; Kurokawa, K.; Adler, S.; Fujita, T.; Nangaku, M. Hypoxia-induced apoptosis in cultured glomerular endothelial cells: Involvement of mitochondrial pathways. Kidney Int. 2003, 64, 2020–2032. [Google Scholar] [CrossRef]
- Radak, Z.; Lee, K.; Choi, W.; Sunoo, S.; Kizaki, T.; Oh-Ishi, S.; Suzuki, K.; Taniguchi, N.; Ohno, H.; Asano, K. Oxidative stress induced by intermittent exposure at a simulated altitude of 4000 m decreases mitochondrial superoxide dismutase content in soleus muscle of rats. Eur. J. Appl. Physiol. Occup. Physiol. 1994, 69, 392–395. [Google Scholar] [CrossRef]
- de Groot, H.; Littauer, A. Hypoxia, reactive oxygen, and cell injury. Free Radic. Biol. Med. 1989, 6, 541–551. [Google Scholar] [CrossRef]
- AL-Hashem, F.H.; Shatoor, A.S.; Sakr, H.F.; Al–Daghri, N.; Khalil, M.; Alkhateeb, M. Co-administration of Vitamins E and C protects against stress-induced hepatorenal oxidative damage and effectively improves lipid profile at both low and high altitude. Afr. J. Biotechnol. 2012, 11, 10416–10423. [Google Scholar]
- Raff, H.; Hong, J.J.; Oaks, M.K.; Widmaier, E.P. Adrenocortical responses to ACTH in neonatal rats: Effect of hypoxia from birth on corticosterone, StAR, and PBR. Am. J. Physiol. Regul. Integr. Comp. Physiol. 2003, 284, R78–R85. [Google Scholar] [CrossRef]
- McIntosh, L.J.; Hong, K.E.; Sapolsky, R.M. Glucocorticoids may alter antioxidant enzyme capacity in the brain: Baseline studies. Brain Res. 1998, 791, 209–214. [Google Scholar] [CrossRef]
- Bailey, D.M.; Davies, B. Acute mountain sickness; prophylactic benefits of antioxidant vitamin supplementation at high altitude. High Alt. Med. Biol. 2001, 2, 21–29. [Google Scholar] [CrossRef]
- Maiti, P.; Singh, S.B.; Sharma, A.K.; Muthuraju, S.; Banerjee, P.K.; Ilavazhagan, G. Hypobaric hypoxia induces oxidative stress in rat brain. Neurochem. Int. 2006, 49, 709–716. [Google Scholar] [CrossRef] [PubMed]
- Zhu, J.; Kang, J.; Li, X.; Wang, M.; Shang, M.; Luo, Y.; Xiong, M.; Hu, K. Chronic intermittent hypoxia vs chronic continuous hypoxia: Effects on vascular endothelial function and myocardial contractility. Clin. Hemorheol. Microcirc. 2020, 74, 417–427. [Google Scholar] [CrossRef] [PubMed]
- Berger, M.M.; Hesse, C.; Dehnert, C.; Siedler, H.; Kleinbongard, P.; Bardenheuer, H.J.; Kelm, M.; Bärtsch, P.; Haefeli, W.E. Hypoxia impairs systemic endothelial function in individuals prone to high-altitude pulmonary edema. Am. J. Respir. Crit. Care Med. 2005, 172, 763–767. [Google Scholar] [CrossRef] [PubMed]
- Holtmann, M.H.; Neurath, M.F. Differential TNF-signaling in chronic inflammatory disorders. Curr. Mol. Med. 2004, 4, 439–444. [Google Scholar] [CrossRef] [PubMed]
- Naldini, A.; Carraro, F.; Silvestri, S.; Bocci, V. Hypoxia affects cytokine production and proliferative responses by human peripheral mononuclear cells. J. Cell. Physiol. 1997, 173, 335–342. [Google Scholar] [CrossRef]
- El-Assal, O.N.; Yamanoi, A.; Soda, Y.; Yamaguchi, M.; Igarashi, M.; Yamamoto, A.; Nabika, T.; Nagasue, N. Clinical significance of microvessel density and vascular endothelial growth factor expression in hepatocellular carcinoma and surrounding liver: Possible involvement of vascular endothelial growth factor in the angiogenesis of cirrhotic liver. Hepatology 1998, 27, 1554–1562. [Google Scholar] [CrossRef]
- Mochida, S.; Ishikawa, K.; Inao, M.; Shibuya, M.; Fujiwara, K. Increased Expressions of Vascular Endothelial Growth Factor and Its Receptors, flt-1 andKDR/flk-1, in Regenerating Rat Liver. Biochem. Biophys. Res. Commun. 1996, 226, 176–179. [Google Scholar] [CrossRef]
- Orphanides, C.; Fine, L.G.; Norman, J.T. Hypoxia stimulates proximal tubular cell matrix production via a TGF-β1-independent mechanism. Kidney Int. 1997, 52, 637–647. [Google Scholar] [CrossRef]
- Corpechot, C.; Barbu, V.; Wendum, D.; Kinnman, N.; Rey, C.; Poupon, R.; Housset, C.; Rosmorduc, O. Hypoxia-induced VEGF and collagen I expressions are associated with angiogenesis and fibrogenesis in experimental cirrhosis. Hepatology 2002, 35, 1010–1021. [Google Scholar] [CrossRef]
- Liu, Y.V.; Hubbi, M.E.; Pan, F.; McDonald, K.R.; Mansharamani, M.; Cole, R.N.; Liu, J.O.; Semenza, G.L. Calcineurin promotes hypoxia-inducible factor 1α expression by dephosphorylating RACK1 and blocking RACK1 dimerization. J. Biol. Chem. 2007, 282, 37064–37073. [Google Scholar] [CrossRef]
- Zhang, Q.; Tang, X.; Lu, Q.; Zhang, Z.; Rao, J.; Le, A.D. Green tea extract and (−)-epigallocatechin-3-gallate inhibit hypoxia-and serum-induced HIF-1α protein accumulation and VEGF expression in human cervical carcinoma and hepatoma cells. Mol. Cancer Ther. 2006, 5, 1227–1238. [Google Scholar] [CrossRef] [PubMed]
- Dzhalilova, D.S.; Kosyreva, A.M.; Diatroptov, M.E.; Ponomarenko, E.A.; Tsvetkov, I.S.; Zolotova, N.A.; Mkhitarov, V.A.; Khochanskiy, D.N.; Makarova, O.V. Dependence of the severity of the systemic inflammatory response on resistance to hypoxia in male Wistar rats. J. Inflamm. Res. 2019, 12, 73. [Google Scholar] [CrossRef] [PubMed]
- Kirova, Y.I.; Germanova, E.; Lukyanova, L. Phenotypic features of the dynamics of HIF-1α levels in rat neocortex in different hypoxia regimens. Bull. Exp. Biol. Med. 2013, 154, 718–722. [Google Scholar] [CrossRef] [PubMed]
- Cimino, F.; Balestra, C.; Germonpre, P.; De Bels, D.; Tillmans, F.; Saija, A.; Speciale, A.; Virgili, F. Pulsed high oxygen induces a hypoxic-like response in human umbilical endothelial cells and in humans. J. Appl. Physiol. 2012, 113, 1684–1689. [Google Scholar] [CrossRef]
- Han, S.H.; Kim, M.; Park, K.; Kim, T.-H.; Seol, D.-W. Blockade of processing/activation of caspase-3 by hypoxia. Biochem. Biophys. Res. Commun. 2008, 375, 684–688. [Google Scholar] [CrossRef]
- Pereira, E.R.; Frudd, K.; Awad, W.; Hendershot, L.M. Endoplasmic reticulum (ER) stress and hypoxia response pathways interact to potentiate hypoxia-inducible factor 1 (HIF-1) transcriptional activity on targets like vascular endothelial growth factor (VEGF). J. Biol. Chem. 2014, 289, 3352–3364. [Google Scholar] [CrossRef]
- Tuder, R.M.; Flook, B.E.; Voelkel, N.F. Increased gene expression for VEGF and the VEGF receptors KDR/Flk and Flt in lungs exposed to acute or to chronic hypoxia. Modulation of gene expression by nitric oxide. J. Clin. Investig. 1995, 95, 1798–1807. [Google Scholar] [CrossRef]
- Zhang, H.; Gao, P.; Fukuda, R.; Kumar, G.; Krishnamachary, B.; Zeller, K.I.; Dang, C.V.; Semenza, G.L. HIF-1 inhibits mitochondrial biogenesis and cellular respiration in VHL-deficient renal cell carcinoma by repression of C-MYC activity. Cancer Cell 2007, 11, 407–420. [Google Scholar] [CrossRef]
- Viollet, B.; Mounier, R.; Leclerc, J.; Yazigi, A.; Foretz, M.; Andreelli, F. Targeting AMP-activated protein kinase as a novel therapeutic approach for the treatment of metabolic disorders. Diabetes Metab. 2007, 33, 395–402. [Google Scholar] [CrossRef]
- Viollet, B.; Foretz, M.; Guigas, B.; Horman, S.; Dentin, R.; Bertrand, L.; Hue, L.; Andreelli, F. Activation of AMP-activated protein kinase in the liver: A new strategy for the management of metabolic hepatic disorders. J. Physiol. 2006, 574, 41–53. [Google Scholar] [CrossRef]
- Li, Z.-L.; Lv, L.-L.; Tang, T.-T.; Wang, B.; Feng, Y.; Zhou, L.-T.; Cao, J.-Y.; Tang, R.-N.; Wu, M.; Liu, H. HIF-1α inducing exosomal microRNA-23a expression mediates the cross-talk between tubular epithelial cells and macrophages in tubulointerstitial inflammation. Kidney Int. 2019, 95, 388–404. [Google Scholar] [CrossRef] [PubMed]
- Kuzyk, A.; Mai, S. c-MYC-induced genomic instability. Cold Spring Harb. Perspect. Med. 2014, 4, a014373. [Google Scholar] [CrossRef] [PubMed]
- Zhou, Z.; Ni, J.; Li, J.; Huo, C.; Miao, N.; Yin, F.; Cheng, Q.; Xu, D.; Xie, H.; Chen, P. RIG-I aggravates interstitial fibrosis via c-Myc-mediated fibroblast activation in UUO mice. J. Mol. Med. 2020, 98, 527–540. [Google Scholar] [CrossRef] [PubMed]
- Kasparova, D.; Neckar, J.; Dabrowska, L.; Novotny, J.; Mraz, J.; Kolar, F.; Zurmanova, J. Cardioprotective and nonprotective regimens of chronic hypoxia diversely affect the myocardial antioxidant systems. Physiol. Genom. 2015, 47, 612–620. [Google Scholar] [CrossRef] [PubMed]
- Flora, R.; Zulkarnain, M.; Sorena, E.; Deva, I.; Widowati, W. Correlation between hypoxia inducible factor-1α and vesicular endothelial growth factor in male Wistar rat brain tissue after anaerobic exercise. Trends Med. Res. 2016, 11, 35–41. [Google Scholar] [CrossRef]
- Jusman, S.W.; Halim, A.; Wanandi, S.I.; Sadikin, M. Expression of hypoxia-inducible factor-1alpha (HIF-1alpha) related to oxidative stress in liver of rat-induced by systemic chronic normobaric hypoxia. Acta Med. Indones 2010, 42, 17–23. [Google Scholar]
- Hermes-Lima, M. Oxygen in biology and biochemistry: Role of free radicals. In Functional Metabolism: Regulation and Adaptation; John Wiley & Sons, Inc.: Hoboken, NJ, USA, 2004; pp. 319–368. [Google Scholar]
- Cummins, E.P.; Taylor, C.T. Hypoxia-responsive transcription factors. Pflügers Arch. 2005, 450, 363–371. [Google Scholar] [CrossRef]
- Sawada, H.; Mitani, Y.; Maruyama, J.; Jiang, B.H.; Ikeyama, Y.; Dida, F.A.; Yamamoto, H.; Imanaka-Yoshida, K.; Shimpo, H.; Mizoguchi, A. A nuclear factor-κB inhibitor pyrrolidine dithiocarbamate ameliorates pulmonary hypertension in rats. Chest 2007, 132, 1265–1274. [Google Scholar] [CrossRef]
- Putra, A.C.; Eguchi, H.; Lee, K.L.; Yamane, Y.; Gustine, E.; Isobe, T.; Nishiyama, M.; Hiyama, K.; Poellinger, L.; Tanimoto, K. The A Allele at rs13419896 of EPAS1 is associated with enhanced expression and poor prognosis for non-small cell lung cancer. PLoS ONE 2015, 10, e0134496. [Google Scholar] [CrossRef]
- Tashi, T.; Scott Reading, N.; Wuren, T.; Zhang, X.; Moore, L.G.; Hu, H.; Tang, F.; Shestakova, A.; Lorenzo, F.; Burjanivova, T. Gain-of-function EGLN1 prolyl hydroxylase (PHD2 D4E: C127S) in combination with EPAS1 (HIF-2α) polymorphism lowers hemoglobin concentration in Tibetan highlanders. J. Mol. Med. 2017, 95, 665–670. [Google Scholar] [CrossRef]
- Strassheim, D.; Karoor, V.; Stenmark, K.; Verin, A.; Gerasimovskaya, E. A current view of G protein-coupled receptor-mediated signaling in pulmonary hypertension: Finding opportunities for therapeutic intervention. Vessel. Plus 2018, 2, 29. [Google Scholar] [CrossRef] [PubMed]
- Zhang, F.; Wu, W.; Deng, Z.; Zheng, X.; Zhang, J.; Deng, S.; Chen, J.; Ma, Q.; Wang, Y.; Yu, X. High altitude increases the expression of hypoxia-inducible factor 1α and inducible nitric oxide synthase with intest-inal mucosal barrier failure in rats. Int. J. Clin. Exp. Pathol. 2015, 8, 5189. [Google Scholar] [PubMed]
- Xie, H.; Hao, Y.; Yin, Q.; Li, W.B.; Lu, H.; Jia, Z.P.; Wang, R. Expression of plateau adaptation gene of rat tissues after plain acute exposure to high altitude. Zhejiang Da Xue Xue Bao Yi Xue Ban 2015, 44, 571–577. [Google Scholar] [PubMed]
- Mann, G.E. Nrf2-mediated redox signalling in vascular health and disease. Free Radic. Biol. Med. 2014, 75 (Suppl. 1), S1. [Google Scholar] [CrossRef] [PubMed]
- Antognelli, C.; Gambelunghe, A.; Talesa, V.N.; Muzi, G. Reactive oxygen species induce apoptosis in bronchial epithelial BEAS-2B cells by inhibiting the antiglycation glyoxalase I defence: Involvement of superoxide anion, hydrogen peroxide and NF-κB. Apoptosis Int. J. Program. Cell Death 2014, 19, 102–116. [Google Scholar] [CrossRef] [PubMed]





| Organ | Gene | Accession Number | Direction | Primer Sequence | Product Size (bp) | Annealing Temp (Tm °C) | Efficiency % | Slope |
|---|---|---|---|---|---|---|---|---|
| Liver | iNOS | NM_153629.1 | Sense | TGGGTGAAAGCGGTGTTCTT | 108 | 60 | 95.298% | −3.44 |
| Antisense | TAGCGCTTCCGACTTCCTTG | |||||||
| TNF-α | L19123.1 | Sense | CAGCCGATTTGCCATTTCA | 111 | 59 | 93.801% | −3.48 | |
| Antisense | AGGGCTCTTGATGGCAGAGA | |||||||
| Cox-2 | NM_017232.3 | Sense | CTGAGGGGTTACCACTTCCA | 209 | 61 | 98.435% | −3.36 | |
| Antisense | TGAGCAAGTCCGTGTTCAAG | |||||||
| type 1 collagen | NM_021578.2 | Sense | CAGTCGATTCACCTACAGCAC | 198 | 58 | 92.349% | −3.52 | |
| Antisense | GGGATGGAGGGAGTTTACACG | |||||||
| VEGF | AY033508.1 | Sense | CAAACCTCACCAAAGCCAGC | 118 | 60 | 96.064% | −3.42 | |
| Antisense | TTCTCCGCTCTGAACAAGGC | |||||||
| AMPK | NM022627.1 | Sense | TCTCGGGGTGGTTCGGTG | 131 | 59 | 97.236% | −3.39 | |
| Antisense | GGGGACAGGATTTTCGGATT | |||||||
| β-actin | NM 031144 | Sense | AGGAGTACGATGAGTCCGGC | 71 | 58 | 95.289% | −3.55 | |
| Antisense | CGCAGCTCAGTAACAGTCCG | |||||||
| GAPDH | NM_017008.4 | Sense | TCAAGAAGGTGGTGAAGCAG | 123 | 58 | 95.2% | −3.44 | |
| Antisense | AGGTGGAAGAATGGGAGTTG | |||||||
| Kidney | EGLN-2 | NM_001004083.1 | Sense | TCAGTCCGTCCGTCTGGC | 162 | 60 | 99.251% | −3.34 |
| Antisense | GCCTCGTGTGGGGCAG | |||||||
| HIF-1α | NM_024359.2 | Sense | AAGCAGCAGGAATTGGAACG | 178 | 59 | 99.664% | −3.33 | |
| Antisense | TCATCCATTGACTGCCCCAG | |||||||
| C-MYC | NM_012603.2 | Sense | ACTCGGTGCAGCCCTATTTC | 187 | 60 | 98.435% | −3.36 | |
| Antisense | GTAGCGACCGCAACATAGGA | |||||||
| EPASI (HIF2A) | NM_023090.2 | Sense | GACTGTATGGTCATCTCAGCGG | 193 | 59 | 97.632% | −3.38 | |
| Antisense | TGCAAGACGCCAAAAGAGAG | |||||||
| VHLEL | NM_052801.2 | Sense | CGGAACTGTTTGTGCCATCC | 187 | 60 | 93.801% | −3.48 | |
| Antisense | CGCACATTTGGGTGGTCTTC | |||||||
| β-actin | NM 031144 | Sense | AGGAGTACGATGAGTCCGGC | 71 | 58 | 94.289% | −3.55 | |
| Antisense | CGCAGCTCAGTAACAGTCCG | |||||||
| GAPDH | NM_017008.4 | Sense | TCAAGAAGGTGGTGAAGCAG | 123 | 58 | 95.2% | −3.44 | |
| Antisense | AGGTGGAAGAATGGGAGTTG |
| Normal Sea Level | High Altitude | |
|---|---|---|
| GPT (U/L) | 17.3 ± 0.3 a | 58.3 ± 1.5 b |
| GOT (U/L) | 20.4 ± 0.4 a | 51.6 ± 0.8 b |
| GGT (U/L) | 9.4 ± 0.3 a | 20.2 ± 1. 1 b |
| Creatinine (mg/dL) | 0.5 ± 0.02 a | 1.7 ± 0.2 b |
| Urea (mg/dL) | 18.4 ± 0.6 a | 43.1 ± 1.6 b |
| Uric acid (g/dL) | 4.7 ± 0.15 a | 13.7 ± 0.4 b |
| Normal Sea Level | High Altitude | |
|---|---|---|
| MDA (nmol/mL) | 12.1 ± 0.3 a | 32.1 ± 1.4 b |
| SOD (U/mL) | 3.4 ± 0.05 a | 1.8 ± 0.01 b |
| Catalase (U/L) | 200.0 ± 9.0 a | 132.1 ± 4.9 b |
| NO (ng/mL) | 15.2 ± 1.7 a | 10.5 ± 0.7 b |
| GSH (U/mL) | 3.3 ± 0.2 a | 1.3 ± 0.1 b |
| Normal Sea Level | High Altitude | |
|---|---|---|
| IL-6 (pg/mL) | 64.2 ± 0.3 a | 157.6 ± 4.2 b |
| TNF-α (pg/mL) | 515.2 ± 13.0 a | 775.5 ± 5.8 b |
| IFN-γ (pg/mL) | 661.6 ± 15.3 a | 842.2 ± 19.9 b |
| Organ | Lesion and Immunoexpression | Normal Sea Level | High Altitude |
|---|---|---|---|
| Liver | Congestions | 0 a | 7.1 ± 0.9 b |
| Fatty change | 0 a | 3.5 ± 0.6 b | |
| Inflammatory infiltrate | 0 a | 5.4 ± 0.3 b | |
| Vacuolar and hydropic degeneration | 0 a | 8.76 ± 1.4 b | |
| Single-cell necrosis | 0 a | 3.1 ± 0.9 b | |
| Nrf-2 immunoreactivity | 13.3 ± 0.5 a | 4.8 ± 0.8 b | |
| Kidney | Glomerular congestion | 0 a | 7.1 ± 1.2 b |
| Interstitial congestion | 0 a | 5.1 ± 0.7 b | |
| Glomerular necrosis | 0 a | 3.4 ± 0.7 b | |
| Tubular attenuation | 0 a | 9.7 ± 1.3 | |
| Tubular vacuolation | 0 a | 10.3 ± 2.5 b | |
| Tubular necrosis | 0 a | 5. 7 ± 0.4 b | |
| Cast formation | 0 a | 4.1 ± 0.9 b | |
| Inflammatory cell infiltrate | 0 a | 1.1 ± 0.2 b | |
| HO-1 immunoreactivity | 11 ± 0.5 a | 2.6 ± 0.8 b |
Publisher’s Note: MDPI stays neutral with regard to jurisdictional claims in published maps and institutional affiliations. |
© 2022 by the authors. Licensee MDPI, Basel, Switzerland. This article is an open access article distributed under the terms and conditions of the Creative Commons Attribution (CC BY) license (https://creativecommons.org/licenses/by/4.0/).
Share and Cite
Soliman, M.M.; Aldhahrani, A.; Althobaiti, F.; Ahmed, M.M.; Sayed, S.; Alotaibi, S.; Shukry, M.; El-Shehawi, A.M. Characterization of the Impacts of Living at High Altitude in Taif: Oxidative Stress Biomarker Alterations and Immunohistochemical Changes. Curr. Issues Mol. Biol. 2022, 44, 1610-1625. https://doi.org/10.3390/cimb44040110
Soliman MM, Aldhahrani A, Althobaiti F, Ahmed MM, Sayed S, Alotaibi S, Shukry M, El-Shehawi AM. Characterization of the Impacts of Living at High Altitude in Taif: Oxidative Stress Biomarker Alterations and Immunohistochemical Changes. Current Issues in Molecular Biology. 2022; 44(4):1610-1625. https://doi.org/10.3390/cimb44040110
Chicago/Turabian StyleSoliman, Mohamed Mohamed, Adil Aldhahrani, Fayez Althobaiti, Mohamed Mohamed Ahmed, Samy Sayed, Saqer Alotaibi, Mustafa Shukry, and Ahmed M. El-Shehawi. 2022. "Characterization of the Impacts of Living at High Altitude in Taif: Oxidative Stress Biomarker Alterations and Immunohistochemical Changes" Current Issues in Molecular Biology 44, no. 4: 1610-1625. https://doi.org/10.3390/cimb44040110
APA StyleSoliman, M. M., Aldhahrani, A., Althobaiti, F., Ahmed, M. M., Sayed, S., Alotaibi, S., Shukry, M., & El-Shehawi, A. M. (2022). Characterization of the Impacts of Living at High Altitude in Taif: Oxidative Stress Biomarker Alterations and Immunohistochemical Changes. Current Issues in Molecular Biology, 44(4), 1610-1625. https://doi.org/10.3390/cimb44040110

