Therapeutic Efficacy of Lavandula dentata’s Oil and Ethanol Extract in Regulation of the Neuroinflammation, Histopathological Alterations, Oxidative Stress, and Restoring Balance Treg Cells Expressing FoxP3+ in a Rat Model of Epilepsy
Abstract
1. Introduction
2. Results
2.1. Electrolytes in Sera and Tissues
2.2. Evaluation of Oxidative Stress Biomarkers in the Hippocampus
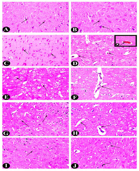
2.3. Histopathological Alterations (H&E)
2.4. Image Analysis
3. Discussion
4. Materials and Methods
4.1. Animals
4.2. Pharmaceuticals and Chemicals
4.3. Lavandula Dentata Collection, Extraction, and Characterization
4.4. Induction of Epilepsy (In Vivo)
4.5. Animal Grouping
4.6. Blood and Tissue Sampling and Biochemical Measurements
4.7. Assessment of Oxidative Stress
4.8. Isolation of RNA and Quantitative Reverse Transcription Polymerase Chain Reaction (qRT-PCR)
4.9. Histopathological Investigation
4.10. Immunohistological Tissue Staining
4.11. Statistical Analysis
5. Conclusions
Author Contributions
Funding
Institutional Review Board Statement
Informed Consent Statement
Data Availability Statement
Acknowledgments
Conflicts of Interest
References
- Vezzani, A.; Fujinami, R.S.; White, H.S.; Preux, P.-M.; Blümcke, I.; Sander, J.W.; Löscher, W. Infections, inflammation and epilepsy. Acta Neuropathol. 2016, 131, 211–234. [Google Scholar] [CrossRef] [PubMed]
- Pires, G.; Leitner, D.; Drummond, E.; Kanshin, E.; Nayak, S.; Askenazi, M.; Faustin, A.; Friedman, D.; Debure, L.; Ueberheide, B. Proteomic differences in the hippocampus and cortex of epilepsy brain tissue. Brain Commun. 2021, 3, fcab021. [Google Scholar] [CrossRef] [PubMed]
- Stafstrom, C.E.; Carmant, L. Seizures and epilepsy: An overview for neuroscientists. Cold Spring Harb. Perspect. Med. 2015, 5, a022426. [Google Scholar] [CrossRef] [PubMed]
- Ahmad, M. Protective effects of curcumin against lithium–pilocarpine induced status epilepticus, cognitive dysfunction and oxidative stress in young rats. Saudi J. Biol. Sci. 2013, 20, 155–162. [Google Scholar] [CrossRef]
- Freitas, R.M.; Vasconcelos, S.M.; Souza, F.C.; Viana, G.S.; Fonteles, M.M. Oxidative stress in the hippocampus after pilocarpine-induced status epilepticus in Wistar rats. FEBS J. 2005, 272, 1307–1312. [Google Scholar] [CrossRef]
- Koutroumanidou, E.; Kimbaris, A.; Kortsaris, A.; Bezirtzoglou, E.; Polissiou, M.; Charalabopoulos, K.; Pagonopoulou, O. Increased seizure latency and decreased severity of pentylenetetrazol-induced seizures in mice after essential oil administration. Epilepsy Res. Treat. 2013, 2013, 532657. [Google Scholar] [CrossRef]
- Tamber, M.S.; Mountz, J.M. Advances in the diagnosis and treatment of epilepsy. Semin. Nucl. Med. 2012, 42, 371–386. [Google Scholar] [CrossRef]
- Beyreuther, B.K.; Freitag, J.; Heers, C.; Krebsfänger, N.; Scharfenecker, U.; Stöhr, T. Lacosamide: A review of preclinical properties. CNS Drug Rev. 2007, 13, 21–42. [Google Scholar] [CrossRef]
- Bialer, M.; Midha, K.K. Generic products of antiepileptic drugs: A perspective on bioequivalence and interchangeability. Epilepsia 2010, 51, 941–950. [Google Scholar] [CrossRef]
- Shorvon, S.D.; Goodridge, D.M. Longitudinal cohort studies of the prognosis of epilepsy: Contribution of the National General Practice Study of Epilepsy and other studies. Brain 2013, 136, 3497–3510. [Google Scholar] [CrossRef]
- Gilani, A.H. Trends in ethnopharmacology. J. Ethnopharmacol. 2005, 100, 43–49. [Google Scholar] [CrossRef] [PubMed]
- Lin, J.-T.; Chen, Y.-C.; Lee, Y.-C.; Hou, C.-W.R.; Chen, F.-L.; Yang, D.-J. Antioxidant, anti-proliferative and cyclooxygenase-2 inhibitory activities of ethanolic extracts from lemon balm (Melissa officinalis L.) leaves. LWT 2012, 49, 1–7. [Google Scholar] [CrossRef]
- Kähkönen, M.P.; Hopia, A.I.; Vuorela, H.J.; Rauha, J.-P.; Pihlaja, K.; Kujala, T.S.; Heinonen, M. Antioxidant activity of plant extracts containing phenolic compounds. J. Agric. Food Chem. 1999, 47, 3954–3962. [Google Scholar] [CrossRef] [PubMed]
- Hussain, A.I. Characterization and biological activities of essential oils of some species of lamiaceae. Ph.D. Thesis, University of Agriculture, Faisalabad, Pakistan, 2009. [Google Scholar]
- Malcolm, B.J.; Tallian, K. Essential oil of lavender in anxiety disorders: Ready for prime time? Ment. Health Clin. 2017, 7, 147–155. [Google Scholar] [CrossRef]
- Sayorwan, W.; Siripornpanich, V.; Piriyapunyaporn, T.; Hongratanaworakit, T.; Kotchabhakdi, N.; Ruangrungsi, N. The effects of lavender oil inhalation on emotional states, autonomic nervous system, and brain electrical activity. J. Med. Assoc. Thai. 2012, 9, 598–606. [Google Scholar]
- López, V.; Nielsen, B.; Solas, M.; Ramírez, M.J.; Jäger, A.K. Exploring pharmacological mechanisms of lavender (Lavandula angustifolia) essential oil on central nervous system targets. Front. Pharmacol. 2017, 8, 280. [Google Scholar] [CrossRef]
- Ayaz, M.; Sadiq, A.; Junaid, M.; Ullah, F.; Subhan, F.; Ahmed, J. Neuroprotective and anti-aging potentials of essential oils from aromatic and medicinal plants. Front. Aging Neurosci. 2017, 9, 168. [Google Scholar] [CrossRef]
- Justus, B.; Almeida, V.P.d.; Gonçalves, M.M.; Assunção, D.P.d.S.F.d.; Borsato, D.M.; Arana, A.F.M.; Maia, B.H.L.N.S.; Paula, J.d.F.P.d.; Budel, J.M.; Farago, P.V. Chemical composition and biological activities of the essential oil and anatomical markers of Lavandula dentata L. cultivated in Brazil. Braz. Arch. Biol. Technol. 2018, 61, e18180111. [Google Scholar] [CrossRef]
- Labhar, A.; El-Mernissi, Y.; Ahidar, N.; Zouhri, A.; Benamari, O.; Siddique, F.; Bashir, M.; Salhi, A.; Ahari, M.; Ibenmoussa, S. Seasonal Variations in the Essential Oil Composition and Biological Activities of Wild Lavandula dentata L. Natural Product Communications 2024, 19, 1934578X241230822. [Google Scholar] [CrossRef]
- Bouyahya, A.; Chamkhi, I.; El Menyiy, N.; El Moudden, H.; Harhar, H.; El Idrissi, Z.L.; Khouchlaa, A.; Jouadi, I.; El Baaboua, A.; Taha, D. Traditional use, phytochemistry, toxicology, and pharmacological properties of Lavandula dentata L.: A comprehensive review. South Afr. J. Bot. 2023, 154, 67–87. [Google Scholar] [CrossRef]
- Castilla-Guerra, L.; Fernández-Moreno, M.d.C.; López-Chozas, J.M.; Fernández-Bolaños, R. Electrolytes disturbances and seizures. Epilepsia 2006, 47, 1990–1998. [Google Scholar] [CrossRef] [PubMed]
- Raimondo, J.V.; Burman, R.J.; Katz, A.A.; Akerman, C.J. Ion dynamics during seizures. Front. Cell. Neurosci. 2015, 9, 419. [Google Scholar] [CrossRef] [PubMed]
- Abdel-Reheim, E.; Ahmed, R.; Mohamed, E. Modulatory effects of pumpkin seed oil on pilocarpine–model of epilepsy in rats compared to topiramate as a common antiepileptic drug. J. Egypt. Ger. Soc. Zool. C 2008, 57, 151–195. [Google Scholar]
- Gorji, A.; Madeja, M.; Straub, H.; Köhling, R.; Speckmann, E.-J. Lowering of the potassium concentration induces epileptiform activity in guinea-pig hippocampal slices. Brain Res. 2001, 908, 130–139. [Google Scholar] [CrossRef]
- Sirait, R.H. Bahan Kuliah Fisiologi Cairan Tubuh dan Elektrolit. 2019. Available online: http://repository.uki.ac.id/2783/ (accessed on 26 December 2024).
- Karpova, L.V.; Bulygina, E.R.; Boldyrev, A.A. Different neuronal Na+/K+-ATPase isoforms are involved in diverse signaling pathways. Cell Biochem. Funct. Cell. Biochem. Modul. Act. Agents Dis. 2010, 28, 135–141. [Google Scholar] [CrossRef]
- Hinterkeuser, S.; Schröder, W.; Hager, G.; Seifert, G.; Blümcke, I.; Elger, C.E.; Schramm, J.; Steinhäuser, C. Astrocytes in the hippocampus of patients with temporal lobe epilepsy display changes in potassium conductances. Eur. J. Neurosci. 2000, 12, 2087–2096. [Google Scholar] [CrossRef]
- Engelborghs, S.; D’hooge, R.; De Deyn, P. Pathophysiology of epilepsy. Acta Neurol. Belg. 2000, 100, 201–213. [Google Scholar]
- Holmes, G.L.; Ben-Ari, Y. The neurobiology and consequences of epilepsy in the developing brain. Pediatr. Res. 2001, 49, 320–325. [Google Scholar] [CrossRef]
- Xie, Y.; Ng, N.N.; Safrina, O.S.; Ramos, C.M.; Ess, K.C.; Schwartz, P.H.; Smith, M.A.; O’Dowd, D.K. Comparisons of dual isogenic human iPSC pairs identify functional alterations directly caused by an epilepsy associated SCN1A mutation. Neurobiol. Dis. 2020, 134, 104627. [Google Scholar] [CrossRef]
- Lai, H.C.; Jan, L.Y. The distribution and targeting of neuronal voltage-gated ion channels. Nat. Rev. Neurosci. 2006, 7, 548–562. [Google Scholar] [CrossRef]
- Trimmer, J.S.; Rhodes, K.J. Localization of voltage-gated ion channels in mammalian brain. Annu. Rev. Physiol. 2004, 66, 477–519. [Google Scholar] [CrossRef]
- Lorincz, A.; Nusser, Z. Molecular identity of dendritic voltage-gated sodium channels. Science 2010, 328, 906–909. [Google Scholar] [CrossRef]
- Lipton, S.A.; Rosenberg, P.A. Excitatory amino acids as a final common pathway for neurologic disorders. N. Engl. J. Med. 1994, 330, 613–622. [Google Scholar] [PubMed]
- Werner, F.-M.; Coveñas, R. Classical neurotransmitters and neuropeptides involved in generalized epilepsy: A focus on antiepileptic drugs. Curr. Med. Chem. 2011, 18, 4933–4948. [Google Scholar] [CrossRef]
- Coulter, D.A.; Eid, T. Astrocytic regulation of glutamate homeostasis in epilepsy. Glia 2012, 60, 1215–1226. [Google Scholar] [CrossRef]
- Hauser, R.M.; Henshall, D.C.; Lubin, F.D. The epigenetics of epilepsy and its progression. Neuroscientist 2018, 24, 186–200. [Google Scholar] [CrossRef] [PubMed]
- Akyuz, E.; Polat, A.K.; Eroglu, E.; Kullu, I.; Angelopoulou, E.; Paudel, Y.N. Revisiting the role of neurotransmitters in epilepsy: An updated review. Life Sci. 2021, 265, 118826. [Google Scholar] [CrossRef] [PubMed]
- Freitas, R.M. Lipoic acid alters δ-aminolevulinic dehydratase, glutathione peroxidase and Na+, K+-ATPase activities and glutathione-reduced levels in rat hippocampus after pilocarpine-induced seizures. Cell. Mol. Neurobiol. 2010, 3, 381–387. [Google Scholar] [CrossRef]
- Silva Brum, L.; Emanuelli, T.; Souza, D.; Elisabetsky, E. Effects of linalool on glutamate release and uptake in mouse cortical synaptosomes. Neurochem. Res. 2001, 26, 191–194. [Google Scholar] [CrossRef]
- Bavarsad, N.H.; Bagheri, S.; Kourosh-Arami, M.; Komaki, A. Aromatherapy for the brain: Lavender’s healing effect on epilepsy, depression, anxiety, migraine, and Alzheimer’s disease: A review article. Heliyon 2023, 9, e18492. [Google Scholar] [CrossRef]
- Cifelli, P.; Grace, A.A. Pilocarpine-induced temporal lobe epilepsy in the rat is associated with increased dopamine neuron activity. Int. J. Neuropsychopharmacol. 2012, 15, 957–964. [Google Scholar] [CrossRef] [PubMed]
- Li, J.; Wang, X.; Xun, S.; Guo, Q.; Wang, Y.; Jia, Y.; Wang, W.; Wang, Y.; Li, T.; Tang, T. Study of the Mechanism of Antiemetic Effect of Lavandula angustifolia Mill. Essential Oil Based on Ca2+/CaMKII/ERK1/2 Pathway. Drug Des. Dev. Ther. 2022, 16, 2407–2422. [Google Scholar] [CrossRef] [PubMed]
- Drozdoff, L.; Klein, E.; Kiechle, M.; Paepke, D. Use of biologically-based complementary medicine in breast and gynecological cancer patients during systemic therapy. BMC Complement. Altern. Med. 2018, 18, 259. [Google Scholar] [CrossRef] [PubMed]
- Zingg, J.M.; Meydani, M.; Azzi, A. α-Tocopheryl phosphate—An activated form of vitamin E important for angiogenesis and vasculogenesis? Biofactors 2012, 38, 24–33. [Google Scholar] [CrossRef]
- Sudha, K.; Rao, A.V.; Rao, A. Oxidative stress and antioxidants in epilepsy. Clin. Chim. Acta 2001, 303, 19–24. [Google Scholar] [CrossRef]
- Singh, R.; Pathak, D.N. Lipid peroxidation and glutathione peroxidase, glutathione reductase, superoxide dismutase, catalase, and glucose-6-phosphate dehydrogenase activities in FeCl3-induced epileptogenic foci in the rat brain. Epilepsia 1990, 31, 15–26. [Google Scholar] [CrossRef]
- Bruce, A.J.; Baudry, M. Oxygen free radicals in rat limbic structures after kainate-induced seizures. Free Radic. Biol. Med. 1995, 18, 993–1002. [Google Scholar] [CrossRef]
- Gluck, M.R.; Jayatilleke, E.; Shaw, S.; Rowan, A.J.; Haroutunian, V. CNS oxidative stress associated with the kainic acid rodent model of experimental epilepsy. Epilepsy Res. 2000, 39, 63–71. [Google Scholar] [CrossRef]
- Bellissimo, M.I.; Amado, D.; Abdalla, D.S.; Ferreira, E.C.; Cavalheiro, E.A.; da Graça Naffah-Mazzacoratti, M. Superoxide dismutase, glutathione peroxidase activities and the hydroperoxide concentration are modified in the hippocampus of epileptic rats. Epilepsy Res. 2001, 46, 121–128. [Google Scholar] [CrossRef]
- Ilhan, A.; Gurel, A.; Armutcu, F.; Kamisli, S.; Iraz, M. Antiepileptogenic and antioxidant effects of Nigella sativa oil against pentylenetetrazol-induced kindling in mice. Neuropharmacology 2005, 49, 456–464. [Google Scholar] [CrossRef]
- Lores Arnaiz, S.; Travacio, M.; Llesuy, S.; Rodriguez de Lores Arnaiz, G. Regional vulnerability to oxidative stress in a model of experimental epilepsy. Neurochem. Res. 1998, 23, 1477–1483. [Google Scholar] [CrossRef] [PubMed]
- Svenningsen, A.B.; Madsen, K.D.; Liljefors, T.; Stafford, G.I.; van Staden, J.; Jäger, A.K. Biflavones from Rhus species with affinity for the GABAA/benzodiazepine receptor. J. Ethnopharmacol. 2006, 103, 276–280. [Google Scholar] [CrossRef] [PubMed]
- Kashani, M.S.; Tavirani, M.R.; Talaei, S.A.; Salami, M. Aqueous extract of lavender (Lavandula angustifolia) improves the spatial performance of a rat model of Alzheimer’s disease. Neurosci. Bull. 2011, 27, 99. [Google Scholar] [CrossRef] [PubMed]
- Wang, D.; Yuan, X.; Liu, T.; Liu, L.; Hu, Y.; Wang, Z.; Zheng, Q. Neuroprotective activity of lavender oil on transient focal cerebral ischemia in mice. Molecules 2012, 17, 9803–9817. [Google Scholar] [CrossRef]
- Elisabetsky, E.; Marschner, J.; Onofre Souza, D. Effects of linalool on glutamatergic system in the rat cerebral cortex. Neurochem. Res. 1995, 20, 461–465. [Google Scholar] [CrossRef]
- Qneibi, M.; Jaradat, N.; Hawash, M.; Zaid, A.N.; Natsheh, A.-R.; Yousef, R.; AbuHasan, Q. The neuroprotective role of Origanum syriacum L. and Lavandula dentata L. essential oils through their effects on AMPA receptors. BioMed Res. Int. 2019, 2019, 5640173. [Google Scholar] [CrossRef]
- Büyükokuroğlu, M.E.; Gepdiremen, A.; Hacimüftüoğlu, A.; Oktay, M. The effects of aqueous extract of Lavandula angustifolia flowers in glutamate-induced neurotoxicity of cerebellar granular cell culture of rat pups. J. Ethnopharmacol. 2003, 84, 91–94. [Google Scholar] [CrossRef]
- Hanrahan, J.R.; Chebib, M.; Johnston, G.A. Interactions of flavonoids with ionotropic GABA receptors. Adv. Pharmacol. 2015, 72, 189–200. [Google Scholar]
- Jiang, K.; Wang, W.; Jin, X.; Wang, Z.; Ji, Z.; Meng, G. Silibinin, a natural flavonoid, induces autophagy via ROS-dependent mitochondrial dysfunction and loss of ATP involving BNIP3 in human MCF7 breast cancer cells. Oncol. Rep. 2015, 33, 2711–2718. [Google Scholar] [CrossRef]
- Leyva-López, N.; Gutierrez-Grijalva, E.P.; Ambriz-Perez, D.L.; Heredia, J.B. Flavonoids as cytokine modulators: A possible therapy for inflammation-related diseases. Int. J. Mol. Sci. 2016, 17, 921. [Google Scholar] [CrossRef]
- Bahr, T.A.; Rodriguez, D.; Beaumont, C.; Allred, K. The effects of various essential oils on epilepsy and acute seizure: A systematic review. Evid. -Based Complement. Altern. Med. 2019, 2019, 6216745. [Google Scholar] [CrossRef] [PubMed]
- Costa, D.A.; de Oliveira, G.A.L.; Lima, T.C.; dos Santos, P.S.; de Sousa, D.P.; de Freitas, R.M. Anticonvulsant and antioxidant effects of cyano-carvone and its action on acetylcholinesterase activity in mice hippocampus. Cell. Mol. Neurobiol. 2012, 32, 633–640. [Google Scholar] [CrossRef] [PubMed]
- Somani, S.J.; Modi, K.P.; Majumdar, A.S.; Sadarani, B.N. Phytochemicals and their potential usefulness in inflammatory bowel disease. Phytother. Res. 2015, 29, 339–350. [Google Scholar] [CrossRef] [PubMed]
- Comalada, M.; Ballester, I.; Bailón, E.; Sierra, S.; Xaus, J.; Gálvez, J.; de Medina, F.S.; Zarzuelo, A. Inhibition of pro-inflammatory markers in primary bone marrow-derived mouse macrophages by naturally occurring flavonoids: Analysis of the structure–activity relationship. Biochem. Pharmacol. 2006, 72, 1010–1021. [Google Scholar] [CrossRef] [PubMed]
- Comalada, M.; Camuesco, D.; Sierra, S.; Ballester, I.; Xaus, J.; Gálvez, J.; Zarzuelo, A. In vivo quercitrin anti-inflammatory effect involves release of quercetin, which inhibits inflammation through down-regulation of the NF-κB pathway. Eur. J. Immunol. 2005, 35, 584–592. [Google Scholar] [CrossRef] [PubMed]
- Kita, T.; Asanuma, M.; Miyazaki, I.; Takeshima, M. Protective effects of phytochemical antioxidants against neurotoxin-induced degeneration of dopaminergic neurons. J. Pharmacol. Sci. 2014, 124, 313–319. [Google Scholar] [CrossRef] [PubMed]
- Raafat, K.; Breitinger, U.; Mahran, L.; Ayoub, N.; Breitinger, H.-G. Synergistic inhibition of glycinergic transmission in vitro and in vivo by flavonoids and strychnine. Toxicol. Sci. 2010, 118, 171–182. [Google Scholar] [CrossRef] [PubMed]
- Hanrahan, J.R.; Chebib, M.; Johnston, G.A. Flavonoid modulation of GABAA receptors. Br. J. Pharmacol. 2011, 163, 234–245. [Google Scholar] [CrossRef] [PubMed]
- Alexander, S.P. Flavonoids as antagonists at A1 adenosine receptors. Phytother. Res. Int. J. Devoted Pharmacol. Toxicol. Eval. Nat. Prod. Deriv. 2006, 20, 1009–1012. [Google Scholar] [CrossRef] [PubMed]
- Algieri, F.; Rodriguez-Nogales, A.; Vezza, T.; Garrido-Mesa, J.; Garrido-Mesa, N.; Utrilla, M.P.; González-Tejero, M.R.; Casares-Porcel, M.; Molero-Mesa, J.; del Mar Contreras, M. Anti-inflammatory activity of hydroalcoholic extracts of Lavandula dentata L. and Lavandula stoechas L. J. Ethnopharmacol. 2016, 190, 142–158. [Google Scholar] [CrossRef]
- Guimarães, A.G.; Quintans, J.S.; Quintans-Júnior, L.J. Monoterpenes with analgesic activity—A systematic review. Phytother. Res. 2013, 27, 1–15. [Google Scholar] [CrossRef] [PubMed]
- Guilhon, C.C.; Raymundo, L.J.; Alviano, D.S.; Blank, A.F.; Arrigoni-Blank, M.F.; Matheus, M.E.; Cavalcanti, S.C.; Alviano, C.S.; Fernandes, P.D. Characterisation of the anti-inflammatory and antinociceptive activities and the mechanism of the action of Lippia gracilis essential oil. J. Ethnopharmacol. 2011, 135, 406–413. [Google Scholar] [CrossRef] [PubMed]
- Miyazawa, M.; Yamafuji, C. Inhibition of acetylcholinesterase activity by bicyclic monoterpenoids. J. Agric. Food Chem. 2005, 53, 1765–1768. [Google Scholar] [CrossRef] [PubMed]
- Quintans-Júnior, L.J.; Melo, M.S.; De Sousa, D.P.; Araujo, A.; Onofre, A.; Gelain, D.P.; Gonçalves, J.; Araújo, D.; Almeida, J.; Bonjardim, L.R. Antinociceptive effects of citronellal in formalin-, capsaicin-, and glutamate-induced orofacial nociception in rodents and its action on nerve excitability. J. Oral Facial Pain Headache 2010, 24, 305–312. [Google Scholar]
- Felipe, C.F.B.; Albuquerque, A.M.S.; de Pontes, J.L.X.; de Melo, J.Í.V.; Rodrigues, T.C.M.L.; de Sousa, A.M.P.; Monteiro, Á.B.; Ribeiro, A.E.d.S.; Lopes, J.P.; de Menezes, I.R.A. Comparative study of alpha-and beta-pinene effect on PTZ-induced convulsions in mice. Fundam. Clin. Pharmacol. 2019, 33, 181–190. [Google Scholar] [CrossRef]
- Skalicka-Woźniak, K.; Walasek, M.; Aljarba, T.M.; Stapleton, P.; Gibbons, S.; Xiao, J.; Łuszczki, J.J. The anticonvulsant and anti-plasmid conjugation potential of Thymus vulgaris chemistry: An in vivo murine and in vitro study. Food Chem. Toxicol. 2018, 120, 472–478. [Google Scholar] [CrossRef]
- Jiang, J.; Shen, Y.Y.; Li, J.; Lin, Y.H.; Luo, C.X.; Zhu, D.Y. (+)-Borneol alleviates mechanical hyperalgesia in models of chronic inflammatory and neuropathic pain in mice. Eur. J. Pharmacol. 2015, 757, 53–58. [Google Scholar] [CrossRef]
- Nguyen, P.T.T.; Jang, S.H.; Rijal, S.; Park, S.J.; Han, S.K. Inhibitory actions of borneol on the substantia gelatinosa neurons of the trigeminal subnucleus caudalis in mice. Korean J. Physiol. Pharmacol. Off. J. Korean Physiol. Soc. Korean Soc. Pharmacol. 2020, 24, 433–440. [Google Scholar] [CrossRef]
- Conforti, F.; Statti, G.A.; Tundis, R.; Loizzo, M.R.; Menichini, F. In vitro activities of Citrus medica L. cv. Diamante (Diamante citron) relevant to treatment of diabetes and Alzheimer’s disease. Phytother. Res. Int. J. Devoted Pharmacol. Toxicol. Eval. Nat. Prod. Deriv. 2007, 21, 427–433. [Google Scholar] [CrossRef]
- Boiangiu, R.S.; Brinza, I.; Hancianu, M.; Erdogan Orhan, I.; Eren, G.; Gündüz, E.; Ertas, H.; Hritcu, L.; Cioanca, O. Cognitive facilitation and antioxidant effects of an essential oil mix on scopolamine-induced amnesia in rats: Molecular modeling of in vitro and in vivo approaches. Molecules 2020, 25, 1519. [Google Scholar] [CrossRef]
- Ku, C.-M.; Lin, J.-Y. Anti-inflammatory effects of 27 selected terpenoid compounds tested through modulating Th1/Th2 cytokine secretion profiles using murine primary splenocytes. Food Chem. 2013, 141, 1104–1113. [Google Scholar] [CrossRef] [PubMed]
- Milanos, S.; Elsharif, S.A.; Janzen, D.; Buettner, A.; Villmann, C. Metabolic products of linalool and modulation of GABAA receptors. Front. Chem. 2017, 5, 46. [Google Scholar] [CrossRef] [PubMed]
- Souto-Maior, F.N.; Fonsêca, D.V.d.; Salgado, P.R.R.; Monte, L.d.O.; de Sousa, D.P.; de Almeida, R.N. Antinociceptive and anticonvulsant effects of the monoterpene linalool oxide. Pharm. Biol. 2017, 55, 63–67. [Google Scholar] [CrossRef] [PubMed]
- El Alaoui, C.; Chemin, J.; Fechtali, T.; Lory, P. Modulation of T-type Ca2+ channels by Lavender and Rosemary extracts. PLoS ONE 2017, 12, e0186864. [Google Scholar] [CrossRef]
- Wei, F.; Yan, L.-M.; Su, T.; He, N.; Lin, Z.-J.; Wang, J.; Shi, Y.-W.; Yi, Y.-H.; Liao, W.-P. Ion channel genes and epilepsy: Functional alteration, pathogenic potential, and mechanism of epilepsy. Neurosci. Bull. 2017, 33, 455–477. [Google Scholar] [CrossRef]
- Li, Z.M.; Liu, X.X.; Li, C.; Wei, Z.C.; Shi, Y.; Song, H.Y.; Chen, X.; Zhang, Y.; Li, J.W.; Zhu, R.F. Decreased synapse-associated proteins are associated with the onset of epileptic memory impairment in endothelial CDK5-deficient mice. MedComm 2022, 3, e128. [Google Scholar] [CrossRef]
- De Simoni, M.G.; Perego, C.; Ravizza, T.; Moneta, D.; Conti, M.; Marchesi, F.; De Luigi, A.; Garattini, S.; Vezzani, A. Inflammatory cytokines and related genes are induced in the rat hippocampus by limbic status epilepticus. Eur. J. Neurosci. 2000, 12, 2623–2633. [Google Scholar] [CrossRef]
- Cacheaux, L.P.; Ivens, S.; David, Y.; Lakhter, A.J.; Bar-Klein, G.; Shapira, M.; Heinemann, U.; Friedman, A.; Kaufer, D. Transcriptome profiling reveals TGF-β signaling involvement in epileptogenesis. J. Neurosci. 2009, 29, 8927–8935. [Google Scholar] [CrossRef]
- de Oliveira, T.M.; de Carvalho, R.B.F.; da Costa, I.H.F.; de Oliveira, G.A.L.; de Souza, A.A.; de Lima, S.G.; de Freitas, R.M. Evaluation of p-cymene, a natural antioxidant. Pharm. Biol. 2015, 53, 423–428. [Google Scholar] [CrossRef]
- Dringen, R.; Gutterer, J.M.; Hirrlinger, J. Glutathione metabolism in brain: Metabolic interaction between astrocytes and neurons in the defense against reactive oxygen species. Eur. J. Biochem. 2000, 267, 4912–4916. [Google Scholar] [CrossRef]
- Horváthová, E.; Slameňová, D.; Maršálková, L.; Šramková, M.; Wsólová, L. Effects of borneol on the level of DNA damage induced in primary rat hepatocytes and testicular cells by hydrogen peroxide. Food Chem. Toxicol. 2009, 47, 1318–1323. [Google Scholar] [CrossRef] [PubMed]
- Liu, R.; Zhang, L.; Lan, X.; Li, L.; Zhang, T.-T.; Sun, J.-H.; Du, G.-H. Protection by borneol on cortical neurons against oxygen-glucose deprivation/reperfusion: Involvement of anti-oxidation and anti-inflammation through nuclear transcription factor κappaB signaling pathway. Neuroscience 2011, 176, 408–419. [Google Scholar] [CrossRef] [PubMed]
- Tambe, R.; Jain, P.; Patil, S.; Ghumatkar, P.; Sathaye, S. Antiepileptogenic effects of borneol in pentylenetetrazole-induced kindling in mice. Naunyn-Schmiedeb. Arch. Pharmacol. 2016, 389, 467–475. [Google Scholar] [CrossRef]
- Wu, H.-Y.; Tang, Y.; Gao, L.-Y.; Sun, W.-X.; Hua, Y.; Yang, S.-B.; Zhang, Z.-P.; Liao, G.-Y.; Zhou, Q.-G.; Luo, C.-X. The synergetic effect of edaravone and borneol in the rat model of ischemic stroke. Eur. J. Pharmacol. 2014, 740, 522–531. [Google Scholar] [CrossRef] [PubMed]
- Delgado-Marín, L.; Sánchez-Borzone, M.; García, D.A. Neuroprotective effects of gabaergic phenols correlated with their pharmacological and antioxidant properties. Life Sci. 2017, 175, 11–15. [Google Scholar] [CrossRef] [PubMed]
- Aydın, E.; Turkez, H.; Tasdemir, S.; Hacımuftuoglu, F. Anticancer, antioxidant and cytotoxic potential of thymol in vitro brain tumor cell model. Cent. Nerv. Syst. Agents Med. Chem. 2017, 17, 116–122. [Google Scholar] [CrossRef]
- Venu, S.; Naik, D.; Sarkar, S.; Aravind, U.K.; Nijamudheen, A.; Aravindakumar, C. Oxidation reactions of thymol: A pulse radiolysis and theoretical study. J. Phys. Chem. A 2013, 117, 291–299. [Google Scholar]
- Nagoor Meeran, M.F.; Stanely Mainzen Prince, P. Protective effects of thymol on altered plasma lipid peroxidation and nonenzymic antioxidants in isoproterenol-induced myocardial infarcted rats. J. Biochem. Mol. Toxicol. 2012, 26, 368–373. [Google Scholar] [CrossRef]
- Asadbegi, M.; Komaki, A.; Salehi, I.; Yaghmaei, P.; Ebrahim-Habibi, A.; Shahidi, S.; Sarihi, A.; Asl, S.S.; Golipoor, Z. Effects of thymol on amyloid-β-induced impairments in hippocampal synaptic plasticity in rats fed a high-fat diet. Brain Res. Bull. 2018, 137, 338–350. [Google Scholar]
- Rabidas, S.S.; Prakash, C.; Tyagi, J.; Suryavanshi, J.; Kumar, P.; Bhattacharya, J.; Sharma, D. A comprehensive review on anti-inflammatory response of flavonoids in experimentally-induced epileptic seizures. Brain Sci. 2023, 13, 102. [Google Scholar] [CrossRef]
- Ngaibi, J.; Kandeda, A.K.; Nguezeye, Y.; Wangbara, T.A.; Gaoudji, L.; Taiwe, G.S.; Bum, E.N. Antiepileptic and anti-inflammatory effects of Lippia multiflora moldenke (Verbenaceae) in mice model of chronic temporal lobe epilepsy induced by pilocarpine. Heliyon 2024, 10, e39483. [Google Scholar] [CrossRef] [PubMed]
- Azimi, S.; Rahmati, B.; Roghani, M.; Sedighnejad, L. The effects of aerial parts hydroalcoholic extract of Lavandula dentata in the pilocarpine rat model of temporal lobe epilepsy. Daneshvar Med. 2021, 29, 35–48. [Google Scholar]
- Houssni, A.; Youness, E.A.; Meryem, J.; El Bouazzi, O.; Aimad, A.; Karima, M. Extract and Fixed Oil of Moroccan Lavandula dentata Aerial Parts as Potential Antioxidants. Trop. J. Nat. Prod. Res. 2024, 8, 7704–7708. [Google Scholar]
- Zhang, Y.; Hu, X.; Zou, L.-Q. Flavonoids as therapeutic agents for epilepsy: Unveiling anti-inflammatory and antioxidant pathways for novel treatments. Front. Pharmacol. 2024, 15, 1457284. [Google Scholar] [CrossRef]
- Liu, W.; Ge, T.; Pan, Z.; Leng, Y.; Lv, J.; Li, B. The effects of herbal medicine on epilepsy. Oncotarget 2017, 8, 48385. [Google Scholar] [CrossRef]
- Gholijani, N.; Amirghofran, Z. Effects of thymol and carvacrol on T-helper cell subset cytokines and their main transcription factors in ovalbumin-immunized mice. J. Immunotoxicol. 2016, 13, 729–737. [Google Scholar] [CrossRef]
- Mahmoodi, M.; Amiri, H.; Ayoobi, F.; Rahmani, M.; Taghipour, Z.; Ghavamabadi, R.T.; Jafarzadeh, A.; Sankian, M. Carvacrol ameliorates experimental autoimmune encephalomyelitis through modulating pro-and anti-inflammatory cytokines. Life Sci. 2019, 219, 257–263. [Google Scholar] [CrossRef]
- Vieira, É.L.; de Oliveira, G.N.; Lessa, J.M.K.; Gonçalves, A.P.; Sander, J.W.; Cendes, F.; Teixeira, A.L. Interleukin-1β plasma levels are associated with depression in temporal lobe epilepsy. Epilepsy Behav. 2015, 53, 131–134. [Google Scholar] [CrossRef]
- Meng, F.; Yao, L. The role of inflammation in epileptogenesis. Acta Epileptol. 2020, 2, 15. [Google Scholar] [CrossRef]
- Lee, Y.B.; Nagai, A.; Kim, S.U. Cytokines, chemokines, and cytokine receptors in human microglia. J. Neurosci. Res. 2002, 69, 94–103. [Google Scholar] [CrossRef]
- Wang, Y.; Wang, D.; Guo, D. Interictal cytokine levels were correlated to seizure severity of epileptic patients: A retrospective study on 1218 epileptic patients. J. Transl. Med. 2015, 13, 378. [Google Scholar] [CrossRef] [PubMed]
- Sinha, S.; Patil, S.; Jayalekshmy, V.; Satishchandra, P. Do cytokines have any role in epilepsy? Epilepsy Res. 2008, 82, 171–176. [Google Scholar] [CrossRef] [PubMed]
- Mao, L.Y.; Ding, J.; Peng, W.F.; Ma, Y.; Zhang, Y.H.; Fan, W.; Wang, X. Interictal interleukin-17 A levels are elevated and correlate with seizure severity of epilepsy patients. Epilepsia 2013, 54, e142–e145. [Google Scholar] [CrossRef] [PubMed]
- Pernhorst, K.; Herms, S.; Hoffmann, P.; Cichon, S.; Schulz, H.; Sander, T.; Schoch, S.; Becker, A.J.; Grote, A. TLR4, ATF-3 and IL8 inflammation mediator expression correlates with seizure frequency in human epileptic brain tissue. Seizure 2013, 22, 675–678. [Google Scholar] [CrossRef]
- Sonmez, F.M.; Serin, H.M.; Alver, A.; Aliyazicioglu, R.; Cansu, A.; Can, G.; Zaman, D. Blood levels of cytokines in children with idiopathic partial and generalized epilepsy. Seizure 2013, 22, 517–521. [Google Scholar] [CrossRef]
- Lopes, A.M.; Buosi, P.; de Mattos Farina, B.; Fernandes-Ferreira, R.; Oliveira-Brancati, C.I.F.; Martins, D.P.; da Silva, D.G.H.; Chaves, N.A.; Marques, L.H.N.; de Araújo Filho, G.M. Serum levels of oxidative stress biomarkers is changed in pharmacoresistant mesial temporal lobe epilepsy patients with or without psychiatric disorders. Brain Disord. 2023, 11, 100099. [Google Scholar] [CrossRef]
- Parsons, A.L.; Bucknor, E.M.; Castroflorio, E.; Soares, T.R.; Oliver, P.L.; Rial, D. The interconnected mechanisms of oxidative stress and neuroinflammation in epilepsy. Antioxidants 2022, 11, 157. [Google Scholar] [CrossRef]
- Fabisiak, T.; Patel, M. Crosstalk between neuroinflammation and oxidative stress in epilepsy. Front. Cell Dev. Biol. 2022, 10, 976953. [Google Scholar] [CrossRef]
- Wang, L.; Liang, Q.; Lin, A.; Wu, Y.; Min, H.; Song, S.; Wang, Y.; Wang, H.; Yi, L.; Gao, Q. Borneol alleviates brain injury in sepsis mice by blocking neuronal effect of endotoxin. Life Sci. 2019, 232, 116647. [Google Scholar] [CrossRef]
- Bauer, J.; Vezzani, A.; Bien, C.G. Epileptic encephalitis: The role of the innate and adaptive immune system. Brain Pathol. 2012, 22, 412–421. [Google Scholar] [CrossRef]
- Zhou, Z.; Peng, X.; Insolera, R.; Fink, D.J.; Mata, M. Interleukin-10 provides direct trophic support to neurons. J. Neurochem. 2009, 110, 1617–1627. [Google Scholar] [CrossRef] [PubMed]
- Ashkenazi, A.; Dixit, V.M. Death receptors: Signaling and modulation. Science 1998, 281, 1305–1308. [Google Scholar] [CrossRef] [PubMed]
- Pahan, K.; Khan, M.; Singh, I. Interleukin-10 and interleukin-13 inhibit proinflammatory cytokine-induced ceramide production through the activation of phosphatidylinositol 3-kinase. J. Neurochem. 2000, 75, 576–582. [Google Scholar] [CrossRef] [PubMed]
- Bachis, A.; Colangelo, A.M.; Vicini, S.; Doe, P.P.; De Bernardi, M.A.; Brooker, G.; Mocchetti, I. Interleukin-10 prevents glutamate-mediated cerebellar granule cell death by blocking caspase-3-like activity. J. Neurosci. 2001, 21, 3104–3112. [Google Scholar] [CrossRef]
- Grilli, M.; Barbieri, I.; Basudev, H.; Brusa, R.; Casati, C.; Lozza, G.; Ongini, E. Interleukin-10 modulates neuronal threshold of vulnerability to ischaemic damage. Eur. J. Neurosci. 2000, 12, 2265–2272. [Google Scholar] [CrossRef]
- Strle, K.; Zhou, J.-H.; Broussard, S.R.; Venters, H.D.; Johnson, R.W.; Freund, G.G.; Dantzer, R.; Kelley, K.W. IL-10 promotes survival of microglia without activating Akt. J. Neuroimmunol. 2002, 122, 9–19. [Google Scholar] [CrossRef]
- Brodie, C. Differential effects of Th1 and Th2 derived cytokines on NGF synthesis by mouse astrocytes. FEBS Lett. 1996, 394, 117–120. [Google Scholar] [CrossRef]
- Gao, F.; Gao, Y.; Zhang, S.J.; Zhe, X.; Meng, F.l.; Qian, H.; Zhang, B.; Li, Y.j. Alteration of plasma cytokines in patients with active epilepsy. Acta Neurol. Scand. 2017, 135, 663–669. [Google Scholar] [CrossRef]
- LM, W. Maintenance of the Foxp3-dependent developmental program in mature regulatory T cells requires continued expression of Foxp3. Nat. Immunol. 2007, 8, 277. [Google Scholar]
- Wang, J.; Lin, Z.-J.; Liu, L.; Xu, H.-Q.; Shi, Y.-W.; Yi, Y.-H.; He, N.; Liao, W.-P. Epilepsy-associated genes. Seizure 2017, 44, 11–20. [Google Scholar] [CrossRef]
- McDonald, D.R. TH17 deficiency in human disease. J. Allergy Clin. Immunol. 2012, 129, 1429–1435. [Google Scholar] [CrossRef] [PubMed]
- Faridzadeh, A.; Salimi, Y.; Ghasemirad, H.; Kargar, M.; Rashtchian, A.; Mahmoudvand, G.; Karimi, M.A.; Zerangian, N.; Jahani, N.; Masoudi, A. Neuroprotective Potential of Aromatic Herbs: Rosemary, Sage, and Lavender. Front. Neurosci. 2022, 16, 909833. [Google Scholar] [CrossRef] [PubMed]
- Jeffery, K.J. The hippocampus: From memory, to map, to memory map. Trends Neurosci. 2018, 41, 64–66. [Google Scholar] [CrossRef] [PubMed]
- Brandt, C.; Potschka, H.; Löscher, W.; Ebert, U. N-methyl-D-aspartate receptor blockade after status epilepticus protects against limbic brain damage but not against epilepsy in the kainate model of temporal lobe epilepsy. Neuroscience 2003, 118, 727–740. [Google Scholar] [CrossRef] [PubMed]
- Bui, A.D.; Nguyen, T.M.; Limouse, C.; Kim, H.K.; Szabo, G.G.; Felong, S.; Maroso, M.; Soltesz, I. Dentate gyrus mossy cells control spontaneous convulsive seizures and spatial memory. Science 2018, 359, 787–790. [Google Scholar] [CrossRef] [PubMed]
- Nikonenko, A.G.; Radenovic, L.; Andjus, P.R.; Skibo, G.G. Structural features of ischemic damage in the hippocampus. Anat. Rec. 2009, 292, 1914–1921. [Google Scholar] [CrossRef]
- Davies, N. Gas chromatographic retention indices of monoterpenes and sesquiterpenes on methyl silicon and Carbowax 20M phases. J. Chromatogr. A 1990, 503, 1–24. [Google Scholar] [CrossRef]
- Adams, R.P. Identification of Essential Oil Components by Gas Chromatography/Mass Spectrometry, 5th ed.; Texensis Publishing: Gruver, TX, USA, 2017. [Google Scholar]
- Blažeković, B.; Yang, W.; Wang, Y.; Li, C.; Kindl, M.; Pepeljnjak, S.; Vladimir-Knežević, S. Chemical composition, antimicrobial and antioxidant activities of essential oils of Lavandula × intermedia ‘Budrovka’and L. angustifolia cultivated in Croatia. Ind. Crops Prod. 2018, 123, 173–182. [Google Scholar] [CrossRef]
- Turski, L.; Ikonomidou, C.; Turski, W.A.; Bortolotto, Z.A.; Cavalheiro, E.A. Cholinergic mechanisms and epileptogenesis. The seizures induced by pilocarpine: A novel experimental model of intractable epilepsy. Synapse 1989, 3, 154–171. [Google Scholar] [CrossRef]
- Abdel-Reheim, E.S. Physiological and biochemical studies on the melatonin effect on the fertility of epileptic rats. J. Egyp. Ger. Soci. Zool. 2009, 58, 1–25. [Google Scholar]
- Raza, M.; Dhariwal, M.A.; Ageel, A.M.; Qureshi, S. Evaluation of the antiinflammatory activity of sodium valproate in rats and mice. Gen. Pharmacol. Vasc. Syst. 1996, 27, 1395–1400. [Google Scholar] [CrossRef] [PubMed]
- Ortinski, P.; Meador, K.J. Cognitive side effects of antiepileptic drugs. Epilepsy Behav. 2004, 5, 60–65. [Google Scholar] [CrossRef] [PubMed]
- Abd El-Hameed, A.M.; Abuelsaad, A.S.; Khalil, A. Bee venom acupuncture therapy ameliorates neuroinflammatory alterations in a pilocarpine-induced epilepticus model. Metab. Brain Dis. 2021, 36, 2047–2058. [Google Scholar] [CrossRef] [PubMed]
- Bradford, M.M. A rapid and sensitive method for the quantitation of microgram quantities of protein utilizing the principle of protein-dye binding. Anal. Biochem. 1976, 72, 248–254. [Google Scholar] [CrossRef]
- Uchiyama, M.; Mihara, M. Determination of malonaldehyde precursor in tissues by thiobarbituric acid test. Anal. Biochem. 1978, 86, 271–278. [Google Scholar] [CrossRef]
- Feelisch, M.; Noack, E. Nitric oxide (NO) formation from nitrovasodilators occurs independently of hemoglobin or non-heme iron. Eur. J. Pharmacol. 1987, 142, 465–469. [Google Scholar] [CrossRef]
- Sinet, P.; Michelson, A.; Bazin, A.; Lejeune, J.; Jerome, H. Increase in glutathione peroxidase activity in erythrocytes from trisomy 21 subjects. Biochem. Biophys. Res. Commun. 1975, 67, 910–915. [Google Scholar] [CrossRef]
- Nishikimi, M.; Rao, N.A.; Yagi, K. The occurrence of superoxide anion in the reaction of reduced phenazine methosulfate and molecular oxygen. Biochem. Biophys. Res. Commun. 1972, 46, 849–854. [Google Scholar] [CrossRef]
- Delic, D.; Gailus, N.; Vohr, H.-W.; Dkhil, M.; Al-Quraishy, S.; Wunderlich, F. Testosterone-induced permanent changes of hepatic gene expression in female mice sustained during Plasmodium chabaudi malaria infection. J. Mol. Endocrinol. 2010, 45, 379. [Google Scholar] [CrossRef]
- Bleda, S.; de Haro, J.; Varela, C.; Ferruelo, A.; Acin, F. Elevated levels of triglycerides and vldl-cholesterol provoke activation of nlrp1 inflammasome in endothelial cells. Int. J. Cardiol. 2016, 220, 52–55. [Google Scholar] [CrossRef]
- Bancroft, J.D.; Gamble, M. Theory and Practice of Histological Techniques; Elsevier Health Sciences: Amsterdam, The Netherlands, 2008. [Google Scholar]
- Abdel-Latif, R.G.; Heeba, G.H.; Taye, A.; Khalifa, M.M. Lixisenatide, a novel GLP-1 analog, protects against cerebral ischemia/reperfusion injury in diabetic rats. Naunyn-Schmiedeb. Arch. Pharmacol. 2018, 391, 705–717. [Google Scholar] [CrossRef] [PubMed]
- Lopès, A.; Cassé, A.H.; Billard, E.; Boulcourt-Sambou, E.; Roche, G.; Larois, C.; Barnich, N.; Naimi, S.; Bonnet, M.; Dumas, B. Deciphering the immune microenvironment of a tissue by digital imaging and cognition network. Sci. Rep. 2018, 8, 16692. [Google Scholar] [CrossRef] [PubMed]





| Group | Na+ | K+ | Ca++ | Cl− | ||||
|---|---|---|---|---|---|---|---|---|
| Serum (mmol/L) | Tissues (mmol/L Homogenate Tissue) | Serum (mmol/L) | Tissues (mmol/L Homogenate Tissue) | Serum (mmol/L) | Tissues (mmol/L Homogenate Tissue) | Serum (mmol/L) | Tissues (mmol/L Homogenate Tissue) | |
| C | 139.75 ± 0.51 c | 22.69 ± 0.71 a | 4.86 ± 0.51 a | 90.77 ± 10.81 b | 1.03 ± 0.17 d | 0.30 ± 0.06 ab | 105.06 ± 3.65 a | 94.17 ± 3.52 b |
| EP | 128.89 ± 0.46 a | 29.07 ± 0.56 b | 7.13 ± 0.28 c | 65.63 ± 6.62 a | 0.36 ± 0.08 a | 0.60 ± 0.02 d | 115.57 ± 2.77 b | 73.08 ± 6.45 a |
| EP-VPA | 137.55 ± 1.93 bc | 20.43 ± 1.07 a | 5.70 ± 0.15 b | 86.27 ± 4.89 b | 0.81 ± 0.05 bc | 0.29 ± 0.02 a | 103.31 ± 2.42 a | 91.29 ± 6.15 b |
| EP-LO | 138.44 ± 1.12 bc | 21.70 ± 0.33 a | 4.35 ± 0.14 a | 92.78 ± 5.15 b | 0.76 ± 0.12 b | 0.39 ± 0.03 c | 103.32 ± 3.01 a | 95.40 ± 2.50 b |
| EP-LX | 136.59 ± 1.17 c | 26.51 ± 2.47 bc | 4.65 ± 0.54 a | 80.69 ± 3.79 b | 0.99 ± 0.08 cd | 0.36 ± 0.02 bc | 106.48 ± 3.93 a | 105.81 ± 1.57 c |
| F value | 40.304 | 24.021 | 28.086 | 7.879 | 17.957 | 41.937 | 7.620 | 21.096 |
| p< | 0.000 | 0.000 | 0.000 | 0.004 | 0.000 | 0.000 | 0.004 | 0.000 |
| Group | SCN1A (Na+) | KCNJ2 (K+) | CACNA1S Ca++; (Cav1.1) | CLCNC (GABA Receptor) | NMDA (Glutamate Receptor) |
|---|---|---|---|---|---|
| C | 1.01 ± 0.01 b | 1.01 ± 0.01 c | 1.01 ± 0.01 a | 1.03 ± 0.02 d | 1.01 ± 0.01 a |
| EP | 1.44 ± 0.01 c | 0.36 ± 0.05 a | 7.07 ± 0.40 c | 0.14 ± 0.03 a | 7.71 ± 1.63 c |
| EP-VPA | 0.79 ± 0.03 a | 0.62 ± 0.05 b | 3.17 ± 0.35 b | 0.62 ± 0.03 b | 3.73 ± 0.20 b |
| EP-LO | 0.81 ± 0.05 a | 0.65 ± 0.10 b | 2.87 ± 0.33 b | 0.77 ± 0.08 c | 3.22 ± 0.58 b |
| EP-LX | 0.78 ± 0.05 a | 0.58 ± 0.08 b | 2.54 ± 0.60 b | 0.56 ± 0.06 b | 3.64 ± 0.34 b |
| F value | 214.089 | 41.896 | 101.207 | 128.050 | 28.040 |
| p< | 0.000 | 0.000 | 0.000 | 0.000 | 0.000 |
| Group | DOPA (Ug/ Protein Tissue | Epinepherine (EP) (pg/mg Protein Tissue) | Norepinephrine (NE) (pg/mg Protein Tissue) | GABA (pg/mg Protein Tissue) | Glutamate (ng/mg Protein Tissue) | Ach-Esterase (U/mg Protein Tissue) |
|---|---|---|---|---|---|---|
| C | 15.23 ± 1.753 a | 78.63 ± 2.143 a | 108.67 ± 3.299 a | 57.23 ± 0.689 d | 3.63 ± 0.696 a | 95.43 ± 3.552 c |
| EP | 36.40 ± 2.352 b | 134.67 ± 5.860 c | 213.10 ± 8.365 d | 19.13 ± 1.203 a | 24.10 ± 2.065 d | 38.43 ± 3.896 a |
| EP-VPA | 16.97 ± 1.503 a | 91.67 ± 2.410 b | 147.30 ± 4.613 bc | 43.50 ± 2.376 bc | 7.50 ± 1.273 ab | 73.10 ± 4.351 b |
| EP-LO | 17.30 ± 1.007 a | 92.83 ± 1.849 b | 133.03 ± 1.590 b | 49.03 ± 0.884 c | 10.83 ± 0.406 c | 70.87 ± 4.532 b |
| EP-LX | 15.30 ± 1.012 a | 93.83 ± 2.167 b | 152.70 ± 4.293 bc | 42.80 ± 2.892 b | 6.99 ± 1.011 ab | 89.57 ± 4.535 c |
| F value | 31.977 | 42.643 | 60.807 | 60.347 | 41.944 | 28.122 |
| p< | 0.000 | 0.000 | 0.000 | 0.000 | 0.000 | 0.000 |
| Groups | Average Cerebral Neurons (cells/mm2) | Degenerative Neurons (cells/mm2) | Average Glial (cells/m2) | Cerebellum Thickness (mm) | Number of Blood Vessels | Hippocampus Degenerative Neurons (cells/mm2) |
|---|---|---|---|---|---|---|
| Control | 25.500 ± 2.739 c | 10.313 ± 1.559 a | 42.333 ± 2.582 c | 48,948.180 ± 1997.897 c | 7.167 ± 1.722 c | 4.688 ± 0.552 a |
| EP | 13.333 ± 2.251 a | 19.254 ± 2.451 c | 29.500 ± 4.764 a | 38,617.459 ± 1783.434 a | 2.000 ± 1.095 a | 12.604 ± 1.074 b |
| EP-VPA | 20.333 ± 1.633 b | 14.844 ± 3.575 b | 40.167 ± 1.941 bc | 44,809.778 ± 1196.650 b | 3.333 ± 1.366 ab | 11.083 ± 1.139 b |
| EP-LO | 21.167 ± 2.137 b | 10.067 ± 0.467 a | 36.167 ± 2.229 b | 49,689.334 ± 2101.564 c | 4.500 ± 1.049 b | 6.417 ± 1.400 a |
| EP-LX | 22.167 ± 3.189 bc | 10.067 ± 0.467 a | 36.333 ± 2.805 b | 49,856.001 ± 3211.469 c | 5.000 ± 1.414 b | 6.417 ± 1.400 a |
| F value | 19.925 | 23.175 | 15.633 | 29.683 | 12.254 | 52.127 |
| p < | 0.0000 | 0.0000 | 0.0000 | 0.0000 | 0.0000 | 0.0000 |
Disclaimer/Publisher’s Note: The statements, opinions and data contained in all publications are solely those of the individual author(s) and contributor(s) and not of MDPI and/or the editor(s). MDPI and/or the editor(s) disclaim responsibility for any injury to people or property resulting from any ideas, methods, instructions or products referred to in the content. |
© 2024 by the authors. Licensee MDPI, Basel, Switzerland. This article is an open access article distributed under the terms and conditions of the Creative Commons Attribution (CC BY) license (https://creativecommons.org/licenses/by/4.0/).
Share and Cite
Antar, A.; Abdel-Rehiem, E.S.; Al-Khalaf, A.A.; Abuelsaad, A.S.A.; Abdel-Gabbar, M.; Shehab, G.M.G.; Abdel-Aziz, A.M. Therapeutic Efficacy of Lavandula dentata’s Oil and Ethanol Extract in Regulation of the Neuroinflammation, Histopathological Alterations, Oxidative Stress, and Restoring Balance Treg Cells Expressing FoxP3+ in a Rat Model of Epilepsy. Pharmaceuticals 2025, 18, 35. https://doi.org/10.3390/ph18010035
Antar A, Abdel-Rehiem ES, Al-Khalaf AA, Abuelsaad ASA, Abdel-Gabbar M, Shehab GMG, Abdel-Aziz AM. Therapeutic Efficacy of Lavandula dentata’s Oil and Ethanol Extract in Regulation of the Neuroinflammation, Histopathological Alterations, Oxidative Stress, and Restoring Balance Treg Cells Expressing FoxP3+ in a Rat Model of Epilepsy. Pharmaceuticals. 2025; 18(1):35. https://doi.org/10.3390/ph18010035
Chicago/Turabian StyleAntar, Aziza, Eman S. Abdel-Rehiem, Areej A. Al-Khalaf, Abdelaziz S. A. Abuelsaad, Mohamed Abdel-Gabbar, Gaber M. G. Shehab, and Ayman M. Abdel-Aziz. 2025. "Therapeutic Efficacy of Lavandula dentata’s Oil and Ethanol Extract in Regulation of the Neuroinflammation, Histopathological Alterations, Oxidative Stress, and Restoring Balance Treg Cells Expressing FoxP3+ in a Rat Model of Epilepsy" Pharmaceuticals 18, no. 1: 35. https://doi.org/10.3390/ph18010035
APA StyleAntar, A., Abdel-Rehiem, E. S., Al-Khalaf, A. A., Abuelsaad, A. S. A., Abdel-Gabbar, M., Shehab, G. M. G., & Abdel-Aziz, A. M. (2025). Therapeutic Efficacy of Lavandula dentata’s Oil and Ethanol Extract in Regulation of the Neuroinflammation, Histopathological Alterations, Oxidative Stress, and Restoring Balance Treg Cells Expressing FoxP3+ in a Rat Model of Epilepsy. Pharmaceuticals, 18(1), 35. https://doi.org/10.3390/ph18010035

