Exploring Azithromycin’s Neuroprotective Role in Traumatic Brain Injury: Insights into Cognitive and Motor Recovery and Neuroinflammatory Modulation
Abstract
1. Introduction
2. Results
2.1. Effect of Azithromycin on Body Weight in Rat Model of TBI
2.2. Effect of AZI on Neurobehavioral Assessment Task in Rat Model of TBI
2.2.1. Effect of Azithromycin in Reversing Memory Impairment in Rat Model of TBI
2.2.2. Effect of Azithromycin on Neuromuscular Coordination in Rat Model of TBI
2.2.3. Effect of Azithromycin on Locomotor Activity in Rat Model of TBI
2.2.4. Effect of Azithromycin on Memory in Rat Model of TBI
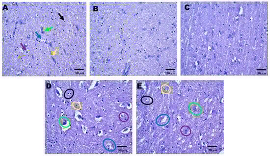
2.3. Histopathological Effects of AZI on TBI-Induced Damage in the Cortex, Hippocampus, and Striatum
2.4. Effect of AZI on Oxidative Stress Parameters in Rat Model of TBI
2.5. Effect of AZI on Inflammatory Markers in Rat Model of TBI
2.6. Effect of AZI on Apoptotic Markers in Rat Model of TBI
2.7. Effect of AZI on TGF- β in Rat Model of TBI
2.8. Effect of AZI on Mitochondrial Complexes in Rat Model of TBI
3. Discussion
Limitations and Future Directions
4. Materials and Methods
4.1. Animals
4.2. Experimental Animal Grouping
4.3. Experimental Model
4.4. Experimental Protocol Schedule
4.5. Neurobehavioral Experiments
4.5.1. Rotarod
4.5.2. Morris Water Maze
4.5.3. Novel Object Recognition Test
4.5.4. Open Field Test
4.5.5. Body Weight
4.6. Biochemical and Neurochemical Investigations
4.6.1. Biochemical Assays
4.6.2. ELISA Assay
4.7. Gross Pathological Analysis
4.8. Histopathological Evaluation
4.9. Statistical Analysis
5. Conclusions
Author Contributions
Funding
Institutional Review Board Statement
Informed Consent Statement
Data Availability Statement
Acknowledgments
Conflicts of Interest
References
- Rauchman, S.H.; Zubair, A.; Jacob, B.; Rauchman, D.; Pinkhasov, A.; Placantonakis, D.G.; Reiss, A.B. Traumatic brain injury: Mechanisms, manifestations, and visual sequelae. Front. Neurosci. 2023, 17, 1090672. [Google Scholar] [CrossRef] [PubMed]
- Taylor, C.A.; Bell, J.M.; Breiding, M.J.; Xu, L. Traumatic Brain Injury-Related Emergency Department Visits, Hospitalizations, and Deaths–United States, 2007 and 2013. MMWR Surveill. Summ. 2017, 66, 1–16. [Google Scholar] [CrossRef] [PubMed]
- Khatri, N.; Sumadhura, B.; Kumar, S.; Kaundal, R.K.; Sharma, S.; Datusalia, A.K. The Complexity of Secondary Cascade Consequent to Traumatic Brain Injury: Pathobiology and Potential Treatments. Curr. Neuropharmacol. 2021, 19, 1984–2011. [Google Scholar] [CrossRef] [PubMed]
- Koliatsos, V.E.; Rao, V. The Behavioral Neuroscience of Traumatic Brain Injury. Psychiatr. Clin. N. Am. 2020, 43, 305–330. [Google Scholar] [CrossRef]
- McKee, A.C.; Daneshvar, D.H. The neuropathology of traumatic brain injury. Handb. Clin. Neurol. 2015, 127, 45–66. [Google Scholar] [CrossRef]
- Silvestro, S.; Raffaele, I.; Quartarone, A.; Mazzon, E. Innovative Insights into Traumatic Brain Injuries: Biomarkers and New Pharmacological Targets. Int. J. Mol. Sci. 2024, 25, 2372. [Google Scholar] [CrossRef]
- Ritter, K.; Somnuke, P.; Hu, L.; Griemert, E.V.; Schafer, M.K.E. Current state of neuroprotective therapy using antibiotics in human traumatic brain injury and animal models. BMC Neurosci. 2024, 25, 10. [Google Scholar] [CrossRef]
- Zhang, B.; Bailey, W.M.; Kopper, T.J.; Orr, M.B.; Feola, D.J.; Gensel, J.C. Azithromycin drives alternative macrophage activation and improves recovery and tissue sparing in contusion spinal cord injury. J. Neuroinflammation 2015, 12, 218. [Google Scholar] [CrossRef]
- Mike, J.K.; White, Y.; Hutchings, R.S.; Vento, C.; Ha, J.; Manzoor, H.; Lee, D.; Losser, C.; Arellano, K.; Vanhatalo, O.; et al. Perinatal Azithromycin Provides Limited Neuroprotection in an Ovine Model of Neonatal Hypoxic-Ischemic Encephalopathy. Stroke 2023, 54, 2864–2874. [Google Scholar] [CrossRef]
- Kopper, T.J.; McFarlane, K.E.; Bailey, W.M.; Orr, M.B.; Zhang, B.; Gensel, J.C. Delayed Azithromycin Treatment Improves Recovery After Mouse Spinal Cord Injury. Front. Cell Neurosci. 2019, 13, 490. [Google Scholar] [CrossRef]
- Jiang, X.; Baucom, C.; Elliott, R.L. Mitochondrial Toxicity of Azithromycin Results in Aerobic Glycolysis and DNA Damage of Human Mammary Epithelia and Fibroblasts. Antibiotics 2019, 8, 110. [Google Scholar] [CrossRef]
- Hassanein, E.H.M.; Sayed, G.A.; Alzoghaibi, A.M.; Alammar, A.S.; Abdel-Wahab, B.A.; Abd El-Ghafar, O.A.M.; Mahdi, S.E.; Atwa, A.M.; Alzoghaibi, M.A.; Mahmoud, A.M. Azithromycin Mitigates Cisplatin-Induced Lung Oxidative Stress, Inflammation and Necroptosis by Upregulating SIRT1, PPARgamma, and Nrf2/HO-1 Signaling. Pharmaceuticals 2022, 16, 52. [Google Scholar] [CrossRef] [PubMed]
- Koza, L.; Linseman, D.A. Glutathione precursors shield the brain from trauma. Neural Regen. Res. 2019, 14, 1701–1702. [Google Scholar] [CrossRef] [PubMed] [PubMed Central]
- Amantea, D.; Petrelli, F.; Greco, R.; Tassorelli, C.; Corasaniti, M.T.; Tonin, P.; Bagetta, G. Azithromycin affords neuroprotection in rat undergone transient focal cerebral ischemia. Front. Neurosci. 2019, 13, 1256. [Google Scholar] [CrossRef]
- Ferdowsi, S.; Abdolmaleki, A.; Asadi, A.; Zahri, S. Effect of azithromycin on sciatic nerve injury in the Wistar rats. Neurochem. Res. 2023, 48, 161–171. [Google Scholar] [CrossRef]
- McDonald, B.Z.; Gee, C.C.; Kievit, F.M. The Nanotheranostic Researcher’s Guide for Use of Animal Models of Traumatic Brain Injury. J. Nanotheranostics 2021, 2, 224–268. [Google Scholar] [CrossRef]
- Farkas, O.; Lifshitz, J.; Povlishock, J.T. Mechanoporation induced by diffuse traumatic brain injury: An irreversible or reversible response to injury? J. Neurosci. 2006, 26, 3130–3140. [Google Scholar] [CrossRef]
- Shiotsuki, H.; Yoshimi, K.; Shimo, Y.; Funayama, M.; Takamatsu, Y.; Ikeda, K.; Takahashi, R.; Kitazawa, S.; Hattori, N. A rotarod test for evaluation of motor skill learning. J. Neurosci. Methods 2010, 189, 180–185. [Google Scholar] [CrossRef]
- Illouz, T.; Madar, R.; Louzoun, Y.; Griffioen, K.J.; Okun, E. Unraveling cognitive traits using the Morris water maze unbiased strategy classification (MUST-C) algorithm. Brain Behav. Immun. 2016, 52, 132–144. [Google Scholar] [CrossRef]
- Antunes, M.; Biala, G. The novel object recognition memory: Neurobiology, test procedure, and its modifications. Cogn. Process 2012, 13, 93–110. [Google Scholar] [CrossRef]
- Seibenhener, M.L.; Wooten, M.C. Use of the Open Field Maze to measure locomotor and anxiety-like behavior in mice. J. Vis. Exp. 2015, 96, e52434. [Google Scholar] [CrossRef]
- Ghasemi, A.; Jeddi, S.; Kashfi, K. The laboratory rat: Age and body weight matter. EXCLI J. 2021, 20, 1431–1445. [Google Scholar] [CrossRef] [PubMed]
- Tsikas, D. Assessment of lipid peroxidation by measuring malondialdehyde (MDA) and relatives in biological samples: Analytical and biological challenges. Anal. Biochem. 2017, 524, 13–30. [Google Scholar] [CrossRef]
- Miranda, K.M.; Espey, M.G.; Wink, D.A. A rapid, simple spectrophotometric method for simultaneous detection of nitrate and nitrite. Nitric Oxide 2001, 5, 62–71. [Google Scholar] [CrossRef]
- Salbitani, G.; Bottone, C.; Carfagna, S. Determination of Reduced and Total Glutathione Content in Extremophilic Microalga Galdieria phlegrea. Bio Protoc. 2017, 7, e2372. [Google Scholar] [CrossRef]
- Sahu, R.; Mehan, S.; Kumar, S.; Prajapati, A.; Alshammari, A.; Alharbi, M.; Assiri, M.A.; Narula, A.S. Effect of alpha-mangostin in the prevention of behavioural and neurochemical defects in methylmercury-induced neurotoxicity in experimental rats. Toxicol. Rep. 2022, 9, 977–998. [Google Scholar] [CrossRef]
- Chhabra, S.; Mehan, S.; Khan, Z.; Gupta, G.D.; Narula, A.S. Matrine mediated neuroprotective potential in experimental multiple sclerosis: Evidence from CSF, blood markers, brain samples and in-silico investigations. J. Neuroimmunol. 2023, 384, 578200. [Google Scholar] [CrossRef]
- Sharma, S.; Mehan, S.; Khan, Z.; Gupta, G.D.; Narula, A.S. Icariin prevents methylmercury-induced experimental neurotoxicity: Evidence from cerebrospinal fluid, blood plasma, brain samples, and in-silico investigations. Heliyon 2024, 10, e24050. [Google Scholar] [CrossRef]
- Barks, J.D.E.; Liu, Y.; Dopp, I.A.; Silverstein, F.S. Azithromycin reduces inflammation-amplified hypoxic-ischemic brain injury in neonatal rats. Pediatr. Res. 2022, 92, 415–423. [Google Scholar] [CrossRef]
- Schimmer, J.; Breazzano, S. Investor Outlook: Significance of the Positive LCA2 Gene Therapy Phase III Results. Hum. Gene Ther. Clin. Dev. 2015, 26, 208–210. [Google Scholar] [CrossRef]
- Rana, A.; Singh, S.; Deshmukh, R.; Kumar, A. Pharmacological potential of tocopherol and doxycycline against traumatic brain injury-induced cognitive/motor impairment in rats. Brain Inj. 2020, 34, 1039–1050. [Google Scholar] [CrossRef] [PubMed]
- Li, X.; Ma, R.; Li, Q.; Li, S.; Zhang, H.; Xie, J.; Bai, J.; Idris, A.; Feng, R. Transmembrane Protein 39A Promotes the Replication of Encephalomyocarditis Virus via Autophagy Pathway. Front. Microbiol. 2019, 10, 2680. [Google Scholar] [CrossRef] [PubMed]
- Kumar, V.; Torben, W.; Mansfield, J.; Alvarez, X.; Vande Stouwe, C.; Li, J.; Byrareddy, S.N.; Didier, P.J.; Pahar, B.; Molina, P.E.; et al. Cannabinoid Attenuation of Intestinal Inflammation in Chronic SIV-Infected Rhesus Macaques Involves T Cell Modulation and Differential Expression of Micro-RNAs and Pro-inflammatory Genes. Front. Immunol. 2019, 10, 914. [Google Scholar] [CrossRef] [PubMed]
- Bayir, H.; Kagan, V.E.; Tyurina, Y.Y.; Tyurin, V.; Ruppel, R.A.; Adelson, P.D.; Graham, S.H.; Janesko, K.; Clark, R.S.; Kochanek, P.M. Assessment of antioxidant reserves and oxidative stress in cerebrospinal fluid after severe traumatic brain injury in infants and children. Pediatr. Res. 2002, 51, 571–578. [Google Scholar] [CrossRef]
- Li, Q.; Gan, X.; Zhang, M.; Zhang, G.; Li, Y.; Gao, L. Erianin promotes endogenous neurogenesis in traumatic brain injury rats. Sci. Rep. 2024, 14, 4108. [Google Scholar] [CrossRef]
- Ng, S.Y.; Lee, A.Y.W. Traumatic Brain Injuries: Pathophysiology and Potential Therapeutic Targets. Front. Cell Neurosci. 2019, 13, 528. [Google Scholar] [CrossRef]
- Thapa, K.; Khan, H.; Singh, T.G.; Kaur, A. Traumatic Brain Injury: Mechanistic Insight on Pathophysiology and Potential Therapeutic Targets. J. Mol. Neurosci. 2021, 71, 1725–1742. [Google Scholar] [CrossRef]
- Fischer, T.D.; Hylin, M.J.; Zhao, J.; Moore, A.N.; Waxham, M.N.; Dash, P.K. Altered Mitochondrial Dynamics and TBI Pathophysiology. Front. Syst. Neurosci. 2016, 10, 29. [Google Scholar] [CrossRef]
- Divolis, G.; Stavropoulos, A.; Manioudaki, M.; Apostolidou, A.; Doulou, A.; Gavriil, A.; Dafnis, I.; Chroni, A.; Mummery, C.; Xilouri, M.; et al. Activation of both transforming growth factor-beta and bone morphogenetic protein signalling pathways upon traumatic brain injury restrains pro-inflammatory and boosts tissue reparatory responses of reactive astrocytes and microglia. Brain Commun. 2019, 1, fcz028. [Google Scholar] [CrossRef]
- Almikhlafi, M.A.; Karami, M.M.; Jana, A.; Alqurashi, T.M.; Majrashi, M.; Alghamdi, B.S.; Ashraf, G.M. Mitochondrial Medicine: A Promising Therapeutic Option Against Various Neurodegenerative Disorders. Curr. Neuropharmacol. 2023, 21, 1165–1183. [Google Scholar] [CrossRef]
- Zhang, A.; Zhang, Z.; Liu, Y.; Lenahan, C.; Xu, H.; Jiang, J.; Yuan, L.; Wang, L.; Xu, Y.; Chen, S.; et al. The Role of Caspase Family in Acute Brain Injury: The Potential Therapeutic Targets in the Future. Curr. Neuropharmacol. 2022, 20, 1194–1211. [Google Scholar] [CrossRef]








Disclaimer/Publisher’s Note: The statements, opinions and data contained in all publications are solely those of the individual author(s) and contributor(s) and not of MDPI and/or the editor(s). MDPI and/or the editor(s) disclaim responsibility for any injury to people or property resulting from any ideas, methods, instructions or products referred to in the content. |
© 2025 by the authors. Licensee MDPI, Basel, Switzerland. This article is an open access article distributed under the terms and conditions of the Creative Commons Attribution (CC BY) license (https://creativecommons.org/licenses/by/4.0/).
Share and Cite
Almikhlafi, M.A.; Abdallah, N.A.; Kumar, A.; Sharma, T.; Khan, Z.; Fadil, H.A.; Althagfan, S.; Aljohani, A.K.B.; Almadani, S.A.; Miski, S.F.; et al. Exploring Azithromycin’s Neuroprotective Role in Traumatic Brain Injury: Insights into Cognitive and Motor Recovery and Neuroinflammatory Modulation. Pharmaceuticals 2025, 18, 115. https://doi.org/10.3390/ph18010115
Almikhlafi MA, Abdallah NA, Kumar A, Sharma T, Khan Z, Fadil HA, Althagfan S, Aljohani AKB, Almadani SA, Miski SF, et al. Exploring Azithromycin’s Neuroprotective Role in Traumatic Brain Injury: Insights into Cognitive and Motor Recovery and Neuroinflammatory Modulation. Pharmaceuticals. 2025; 18(1):115. https://doi.org/10.3390/ph18010115
Chicago/Turabian StyleAlmikhlafi, Mohannad A., Nehad A. Abdallah, Aakash Kumar, Tarun Sharma, Zuber Khan, Haifa A. Fadil, Sultan Althagfan, Ahmed K. B. Aljohani, Sara A. Almadani, Samar F. Miski, and et al. 2025. "Exploring Azithromycin’s Neuroprotective Role in Traumatic Brain Injury: Insights into Cognitive and Motor Recovery and Neuroinflammatory Modulation" Pharmaceuticals 18, no. 1: 115. https://doi.org/10.3390/ph18010115
APA StyleAlmikhlafi, M. A., Abdallah, N. A., Kumar, A., Sharma, T., Khan, Z., Fadil, H. A., Althagfan, S., Aljohani, A. K. B., Almadani, S. A., Miski, S. F., Saeedi, T., Alharbi, R. S., Al-Harthe, A. M., Alsubhi, M. H., Wanas, H., Aldhafiri, A., Mehan, S., & Elbadawy, H. M. (2025). Exploring Azithromycin’s Neuroprotective Role in Traumatic Brain Injury: Insights into Cognitive and Motor Recovery and Neuroinflammatory Modulation. Pharmaceuticals, 18(1), 115. https://doi.org/10.3390/ph18010115

