The Transplantation of Pancreatic Islets to Portal Vein: The Influence on Liver Tissue
Abstract
1. Introduction
1.1. Insulin-Dependent Diabetes Mellitus and Therapeutic Context
1.2. Pancreatic Islets—Special Endocrine Micro-Organs
1.3. Pancreatic Islets Isolation
1.4. Pancreatic Islet Transplantation—Technical Aspects of Islet Insertion to Portal Vein
- When transplanted with the kidney, the surgeon dissects out the peripheral branch of the portal vein in the mesentery and inserts a catheter under visual control, which minimizes the risk of bleeding and provides complete certainty of catheter placement.
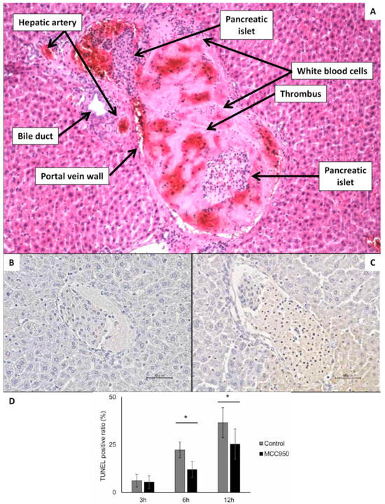
- In the case of islet transplantation alone, radiological catheterization is used. The catheter is inserted transcutaneously and transhepatically through the 9th-10th intercostal space, under ultrasound guidance through the peripheral branch of the portal vein into the main trunk, see Figure 2D [22]. Once the catheter is in place (verification by X-ray portography), the portal vein pressure is measured as an initial control level. Then the islets are inserted into the blood and spontaneously flow to the peripheral branches of the portal vein, where they settle. The direct contact of the graft with recipient blood induces a non-specific reaction, which is discussed below. After transplantation, the portal vein blood pressure is checked in order to indicate eventually the possible micro-thrombosis. When the tissue volume is large enough to be inserted in two steps (split into two bags), the portal vein pressure is checked after each infusion.
1.5. Primary Therapeutic Goals of Islet Transplantation
2. Liver as a Preferred Site for Islet Transplantation
Anatomical and Physiological Features of Liver Location for the Islet Graft
3. The Effects of Islet Transplantation on Liver
3.1. The Early Interaction of Liver with Islet Grafts

3.2. The Delayed Interaction of Liver with Islet Grafts
4. Conclusions
Author Contributions
Funding
Institutional Review Board Statement
Informed Consent Statement
Data Availability Statement
Acknowledgments
Conflicts of Interest
Abbreviations
| IR | Insulin receptor |
| IGF1R | Insulin like growth factor receptor |
| PI | Pancreatic islet |
| Tx | Transplantation |
| IBMIR | Instant Blood Mediated Inflammatory Response |
| ECM | Extracellular matrix |
| PVECs | Portal vein endothelial cells |
| LSECs | Liver sinusoidal endothelial cells |
| KC | Kupffer cells |
| HSC | Hepatic stellate cells |
| DC | Dendritic cells |
| HCA | Hepatocellular adenoma |
| HCC | Hepatocellular carcinoma |
References
- Faggionato, E.; Schiavon, M.; Dalla Man, C. Modeling Between-Subject Variability in Subcutaneous Absorption of a Fast-Acting Insulin Analogue by a Nonlinear Mixed Effects Approach. Metabolites 2021, 11, 235. [Google Scholar] [CrossRef]
- Haskova, A.; Radovnicka, L.; Petruzelkova, L.; Parkin, C.G.; Grunberger, G.; Horova, E.; Navratilova, V.; Kade, O.; Matoulek, M.; Prazny, M.; et al. Real-time CGM Is Superior to Flash Glucose Monitoring for Glucose Control in Type 1 Diabetes: The CORRIDA Randomized Controlled Trial. Diabetes Care 2020, 43, 2744–2750. [Google Scholar] [CrossRef]
- Soupal, J.; Petruzelkova, L.; Grunberger, G.; Haskova, A.; Flekac, M.; Matoulek, M.; Mikes, O.; Pelcl, T.; Skrha, J., Jr.; Horova, E.; et al. Glycemic Outcomes in Adults With T1D Are Impacted More by Continuous Glucose Monitoring Than by Insulin Delivery Method: 3 Years of Follow-Up From the COMISAIR Study. Diabetes Care 2020, 43, 37–43. [Google Scholar] [CrossRef]
- In’t Veld, P.; Marichal, M. Microscopic anatomy of the human islet of Langerhans. In The Islets of Langerhans; Springer: Berlin/Heidelberg, Germany, 2010; Volume 654, pp. 1–19. [Google Scholar] [CrossRef]
- Patel, S.N.; Mathews, C.E.; Chandler, R.; Stabler, C.L. The Foundation for Engineering a Pancreatic Islet Niche. Front. Endocrinol. 2022, 13, 881525. [Google Scholar] [CrossRef]
- Da Silva Xavier, G. The Cells of the Islets of Langerhans. J. Clin. Med. 2018, 7, 54. [Google Scholar] [CrossRef]
- Jansson, L.; Barbu, A.; Bodin, B.; Drott, C.J.; Espes, D.; Gao, X.; Grapensparr, L.; Kallskog, O.; Lau, J.; Liljeback, H.; et al. Pancreatic islet blood flow and its measurement. Ups. J. Med. Sci. 2016, 121, 81–95. [Google Scholar] [CrossRef] [PubMed]
- Lehrstrand, J.; Davies, W.I.L.; Hahn, M.; Korsgren, O.; Alanentalo, T.; Ahlgren, U. Illuminating the complete ss-cell mass of the human pancreas- signifying a new view on the islets of Langerhans. Nat. Commun. 2024, 15, 3318. [Google Scholar] [CrossRef]
- Bonner-Weir, S.; Orci, L. New perspectives on the microvasculature of the islets of Langerhans in the rat. Diabetes 1982, 31, 883–889. [Google Scholar] [CrossRef]
- Jansson, L.; Carlsson, P.O. Graft vascular function after transplantation of pancreatic islets. Diabetologia 2002, 45, 749–763. [Google Scholar] [CrossRef] [PubMed]
- Bonner-Weir, S.; Sullivan, B.A.; Weir, G.C. Human Islet Morphology Revisited: Human and Rodent Islets Are Not So Different After All. J. Histochem. Cytochem. 2015, 63, 604–612. [Google Scholar] [CrossRef] [PubMed]
- Dybala, M.P.; Hara, M. In Vivo and In Situ Approach to Study Islet Microcirculation: A Mini-Review. Front. Endocrinol. 2021, 12, 602620. [Google Scholar] [CrossRef] [PubMed]
- Muratore, M.; Santos, C.; Rorsman, P. The vascular architecture of the pancreatic islets: A homage to August Krogh. Comp. Biochem. Physiol. A Mol. Integr. Physiol. 2021, 252, 110846. [Google Scholar] [CrossRef]
- Rorsman, P.; Ashcroft, F.M. Pancreatic beta-Cell Electrical Activity and Insulin Secretion: Of Mice and Men. Physiol. Rev. 2018, 98, 117–214. [Google Scholar] [CrossRef] [PubMed]
- Hellman, B.; Wallgren, A.; Petersson, B. Cytological characteristics of the exocrine pancreatic cells with regard to their position in relation to the islets of Langerhans. A study in normal and obese-hyperglycaemic mice. Acta Endocrinol. 1962, 39, 465–473. [Google Scholar]
- Kramer, M.F.; Tan, H.T. The peri-insular acini of the pancreas of the rat. Z. Zellforsch. Mikrosk. Anat. 1968, 86, 163–170. [Google Scholar] [CrossRef] [PubMed]
- von Schonfeld, J.; Goebell, H.; Muller, M.K. The islet-acinar axis of the pancreas. Int. J. Pancreatol. 1994, 16, 131–140. [Google Scholar] [CrossRef]
- Berkova, Z.; Saudek, F.; Girman, P.; Zacharovova, K.; Kriz, J.; Fabryova, E.; Leontovyc, I.; Koblas, T.; Kosinova, L.; Neskudla, T.; et al. Combining Donor Characteristics with Immunohistological Data Improves the Prediction of Islet Isolation Success. J. Diabetes Res. 2016, 2016, 4214328. [Google Scholar] [CrossRef]
- Kim, H.I.; Yu, J.E.; Park, C.G.; Kim, S.J. Comparison of four pancreatic islet implantation sites. J. Korean Med. Sci. 2010, 25, 203–210. [Google Scholar] [CrossRef]
- Pepper, A.R.; Bruni, A.; Shapiro, A.M.J. Clinical islet transplantation: Is the future finally now? Curr. Opin. Organ Transplant. 2018, 23, 428–439. [Google Scholar] [CrossRef]
- Rajab, A. Islet transplantation: Alternative sites. Curr. Diab Rep. 2010, 10, 332–337. [Google Scholar] [CrossRef]
- Dixon, S.; Tapping, C.R.; Walker, J.N.; Bratby, M.; Anthony, S.; Boardman, P.; Phillips-Hughes, J.; Uberoi, R. The role of interventional radiology and imaging in pancreatic islet cell transplantation. Clin. Radiol. 2012, 67, 923–931. [Google Scholar] [CrossRef]
- Ong, S.L.; Pollard, C.; Rees, Y.; Garcea, G.; Webb, M.; Illouz, S.; Berry, D.P.; Dennison, A.R. Ultrasound changes within the liver after total pancreatectomy and intrahepatic islet cell autotransplantation. Transplantation 2008, 85, 1773–1777. [Google Scholar] [CrossRef]
- Pollard, C.; Gravante, G.; Webb, M.; Chung, W.Y.; Illouz, S.; Ong, S.L.; Musto, P.; Dennison, A.R. Use of the recanalised umbilical vein for islet autotransplantation following total pancreatectomy. Pancreatology 2011, 11, 233–239. [Google Scholar] [CrossRef]
- Chen, M.E.; Desai, C.S. Current practices in islet cell autotransplantation. Expert Rev. Endocrinol. Metab. 2023, 18, 419–425. [Google Scholar] [CrossRef] [PubMed]
- Shapiro, A.M.; Lakey, J.R.; Ryan, E.A.; Korbutt, G.S.; Toth, E.; Warnock, G.L.; Kneteman, N.M.; Rajotte, R.V. Islet transplantation in seven patients with type 1 diabetes mellitus using a glucocorticoid-free immunosuppressive regimen. N. Engl. J. Med. 2000, 343, 230–238. [Google Scholar] [CrossRef]
- Kim, G.S.; Lee, J.H.; Shin, D.Y.; Lee, H.S.; Park, H.; Lee, K.W.; Yang, H.M.; Kim, S.J.; Park, J.B. Integrated whole liver histologic analysis of the allogeneic islet distribution and characteristics in a nonhuman primate model. Sci. Rep. 2020, 10, 793. [Google Scholar] [CrossRef] [PubMed]
- Shapiro, A.M.; Gallant, H.L.; Hao, E.G.; Lakey, J.R.; McCready, T.; Rajotte, R.V.; Yatscoff, R.W.; Kneteman, N.M. The portal immunosuppressive storm: Relevance to islet transplantation? Ther. Drug Monit. 2005, 27, 35–37. [Google Scholar] [CrossRef] [PubMed]
- Koch, P.S.; Lee, K.H.; Goerdt, S.; Augustin, H.G. Angiodiversity and organotypic functions of sinusoidal endothelial cells. Angiogenesis 2021, 24, 289–310. [Google Scholar] [CrossRef]
- Poisson, J.; Lemoinne, S.; Boulanger, C.; Durand, F.; Moreau, R.; Valla, D.; Rautou, P.E. Liver sinusoidal endothelial cells: Physiology and role in liver diseases. J. Hepatol. 2017, 66, 212–227. [Google Scholar] [CrossRef]
- Blouin, A.; Bolender, R.P.; Weibel, E.R. Distribution of organelles and membranes between hepatocytes and nonhepatocytes in the rat liver parenchyma. A stereological study. J. Cell Biol. 1977, 72, 441–455. [Google Scholar] [CrossRef]
- Neumann, K.; Rudolph, C.; Neumann, C.; Janke, M.; Amsen, D.; Scheffold, A. Liver sinusoidal endothelial cells induce immunosuppressive IL-10-producing Th1 cells via the Notch pathway. Eur. J. Immunol. 2015, 45, 2008–2016. [Google Scholar] [CrossRef]
- Schulze, R.J.; Schott, M.B.; Casey, C.A.; Tuma, P.L.; McNiven, M.A. The cell biology of the hepatocyte: A membrane trafficking machine. J. Cell Biol. 2019, 218, 2096–2112. [Google Scholar] [CrossRef]
- Hirsova, P.; Ibrahim, S.H.; Verma, V.K.; Morton, L.A.; Shah, V.H.; LaRusso, N.F.; Gores, G.J.; Malhi, H. Extracellular vesicles in liver pathobiology: Small particles with big impact. Hepatology 2016, 64, 2219–2233. [Google Scholar] [CrossRef]
- Nussler, A.K.; Di Silvio, M.; Billiar, T.R.; Hoffman, R.A.; Geller, D.A.; Selby, R.; Madariaga, J.; Simmons, R.L. Stimulation of the nitric oxide synthase pathway in human hepatocytes by cytokines and endotoxin. J. Exp. Med. 1992, 176, 261–264. [Google Scholar] [CrossRef]
- Alpini, G.; Roberts, S.; Kuntz, S.M.; Ueno, Y.; Gubba, S.; Podila, P.V.; LeSage, G.; LaRusso, N.F. Morphological, molecular, and functional heterogeneity of cholangiocytes from normal rat liver. Gastroenterology 1996, 110, 1636–1643. [Google Scholar] [CrossRef]
- Wisse, E.; Braet, F.; Luo, D.; De Zanger, R.; Jans, D.; Crabbe, E.; Vermoesen, A. Structure and function of sinusoidal lining cells in the liver. Toxicol. Pathol. 1996, 24, 100–111. [Google Scholar] [CrossRef] [PubMed]
- Bonnardel, J.; T’Jonck, W.; Gaublomme, D.; Browaeys, R.; Scott, C.L.; Martens, L.; Vanneste, B.; De Prijck, S.; Nedospasov, S.A.; Kremer, A.; et al. Stellate Cells, Hepatocytes, and Endothelial Cells Imprint the Kupffer Cell Identity on Monocytes Colonizing the Liver Macrophage Niche. Immunity 2019, 51, 638–654.e9. [Google Scholar] [CrossRef]
- Caldwell-Kenkel, J.C.; Currin, R.T.; Tanaka, Y.; Thurman, R.G.; Lemasters, J.J. Kupffer cell activation and endothelial cell damage after storage of rat livers: Effects of reperfusion. Hepatology 1991, 13, 83–95. [Google Scholar]
- Bennet, W.; Sundberg, B.; Groth, C.G.; Brendel, M.D.; Brandhorst, D.; Brandhorst, H.; Bretzel, R.G.; Elgue, G.; Larsson, R.; Nilsson, B.; et al. Incompatibility between human blood and isolated islets of Langerhans: A finding with implications for clinical intraportal islet transplantation? Diabetes 1999, 48, 1907–1914. [Google Scholar] [CrossRef] [PubMed]
- Tokodai, K.; Goto, M.; Inagaki, A.; Imura, T.; Nakanishi, W.; Satomi, S. Expression of receptors for anaphylatoxins C3a and C5a on rat islet preparations. Transplant. Proc. 2011, 43, 3179–3180. [Google Scholar] [CrossRef] [PubMed]
- Bottino, R.; Fernandez, L.A.; Ricordi, C.; Lehmann, R.; Tsan, M.F.; Oliver, R.; Inverardi, L. Transplantation of allogeneic islets of Langerhans in the rat liver: Effects of macrophage depletion on graft survival and microenvironment activation. Diabetes 1998, 47, 316–323. [Google Scholar] [CrossRef]
- Morrissey, J.H. Tissue factor: A key molecule in hemostatic and nonhemostatic systems. Int. J. Hematol. 2004, 79, 103–108. [Google Scholar] [CrossRef]
- Chou, H.S.; Hsieh, C.C.; Yang, H.R.; Wang, L.; Arakawa, Y.; Brown, K.; Wu, Q.; Lin, F.; Peters, M.; Fung, J.J.; et al. Hepatic stellate cells regulate immune response by way of induction of myeloid suppressor cells in mice. Hepatology 2011, 53, 1007–1019. [Google Scholar] [CrossRef]
- Maher, J.J. Interactions between hepatic stellate cells and the immune system. Semin. Liver Dis. 2001, 21, 417–426. [Google Scholar] [CrossRef]
- Yu, M.C.; Chen, C.H.; Liang, X.; Wang, L.; Gandhi, C.R.; Fung, J.J.; Lu, L.; Qian, S. Inhibition of T-cell responses by hepatic stellate cells via B7-H1-mediated T-cell apoptosis in mice. Hepatology 2004, 40, 1312–1321. [Google Scholar] [CrossRef]
- Friedman, S.L. Seminars in medicine of the Beth Israel Hospital, Boston. The cellular basis of hepatic fibrosis. Mechanisms and treatment strategies. N. Engl. J. Med. 1993, 328, 1828–1835. [Google Scholar] [CrossRef]
- Rastellini, C.; Lu, L.; Ricordi, C.; Starzl, T.E.; Rao, A.S.; Thomson, A.W. Granulocyte/macrophage colony-stimulating factor-stimulated hepatic dendritic cell progenitors prolong pancreatic islet allograft survival. Transplantation 1995, 60, 1366–1370. [Google Scholar]
- Stepkowski, S.M.; Phan, T.; Zhang, H.; Bilinski, S.; Kloc, M.; Qi, Y.; Katz, S.M.; Rutzky, L.P. Immature syngeneic dendritic cells potentiate tolerance to pancreatic islet allografts depleted of donor dendritic cells in microgravity culture condition. Transplantation 2006, 82, 1756–1763. [Google Scholar] [CrossRef] [PubMed]
- Lian, Z.X.; Okada, T.; He, X.S.; Kita, H.; Liu, Y.J.; Ansari, A.A.; Kikuchi, K.; Ikehara, S.; Gershwin, M.E. Heterogeneity of dendritic cells in the mouse liver: Identification and characterization of four distinct populations. J. Immunol. 2003, 170, 2323–2330. [Google Scholar] [CrossRef] [PubMed]
- Long, G.; Zhang, G.; Zhang, F.; Li, M.; Ye, D.; Yang, D.; Yang, Y. Cotransplantation of Mesenchymal Stem Cells and Immature Dendritic Cells Potentiates the Blood Glucose Control of Islet Allografts. Biomed. Res. Int. 2017, 2017, 4107943. [Google Scholar] [CrossRef] [PubMed]
- Molnar, C.; Essand, M.; Wennberg, L.; Berne, C.; Larsson, E.; Tufveson, G.; Korsgren, O. Islet engraftment and revascularization in clinical and experimental transplantation. Cell Transplant. 2013, 22, 243–251. [Google Scholar] [CrossRef] [PubMed]
- Henriksnas, J.; Lau, J.; Zang, G.; Berggren, P.O.; Kohler, M.; Carlsson, P.O. Markedly decreased blood perfusion of pancreatic islets transplanted intraportally into the liver: Disruption of islet integrity necessary for islet revascularization. Diabetes 2012, 61, 665–673. [Google Scholar] [CrossRef]
- Lau, J.; Kampf, C.; Mattsson, G.; Nyqvist, D.; Kohler, M.; Berggren, P.O.; Carlsson, P.O. Beneficial role of pancreatic microenvironment for angiogenesis in transplanted pancreatic islets. Cell Transplant. 2009, 18, 23–30. [Google Scholar] [CrossRef]
- Olsson, R.; Carlsson, P.O. Better vascular engraftment and function in pancreatic islets transplanted without prior culture. Diabetologia 2005, 48, 469–476. [Google Scholar] [CrossRef]
- Olsson, R.; Carlsson, P.O. A low-oxygenated subpopulation of pancreatic islets constitutes a functional reserve of endocrine cells. Diabetes 2011, 60, 2068–2075. [Google Scholar] [CrossRef]
- Carlsson, P.O.; Liss, P.; Andersson, A.; Jansson, L. Measurements of oxygen tension in native and transplanted rat pancreatic islets. Diabetes 1998, 47, 1027–1032. [Google Scholar] [CrossRef]
- Carlsson, P.O.; Palm, F.; Andersson, A.; Liss, P. Chronically decreased oxygen tension in rat pancreatic islets transplanted under the kidney capsule. Transplantation 2000, 69, 761–766. [Google Scholar] [CrossRef]
- Delaune, V.; Berney, T.; Lacotte, S.; Toso, C. Intraportal islet transplantation: The impact of the liver microenvironment. Transpl. Int. 2017, 30, 227–238. [Google Scholar] [CrossRef] [PubMed]
- Doherty, D.T.; Khambalia, H.A.; van Dellen, D.; Jennings, R.E.; Piper Hanley, K. Unlocking the post-transplant microenvironment for successful islet function and survival. Front. Endocrinol. 2023, 14, 1250126. [Google Scholar] [CrossRef]
- Kosinova, L.; Patikova, A.; Jirak, D.; Galisova, A.; Vojtiskova, A.; Saudek, F.; Kriz, J. A novel model for in vivo quantification of immediate liver perfusion impairment after pancreatic islet transplantation. Islets 2019, 11, 129–140. [Google Scholar] [CrossRef] [PubMed]
- Sakata, N.; Hayes, P.; Tan, A.; Chan, N.K.; Mace, J.; Peverini, R.; Sowers, L.; Pearce, W.J.; Chinnock, R.; Obenaus, A.; et al. MRI assessment of ischemic liver after intraportal islet transplantation. Transplantation 2009, 87, 825–830. [Google Scholar] [CrossRef][Green Version]
- Hyon, S.H.; Ceballos, M.C.; Barbich, M.; Groppa, R.; Grosembacher, L.; Vieiro, M.M.; Barcan, L.; Algranati, S.; Litwak, L.; Argibay, P.F. Effect of the embolization of completely unpurified islets on portal vein pressure and hepatic biochemistry in clinical practice. Cell Transplant. 2004, 13, 61–65. [Google Scholar] [CrossRef]
- Toso, C.; Oberholzer, J.; Ceausoglu, I.; Ris, F.; Rochat, B.; Rehor, A.; Bucher, P.; Wandrey, C.; Schuldt, U.; Belenger, J.; et al. Intra-portal injection of 400- microm microcapsules in a large-animal model. Transpl. Int. 2003, 16, 405–410. [Google Scholar] [CrossRef]
- Rafael, E.; Ryan, E.A.; Paty, B.W.; Oberholzer, J.; Imes, S.; Senior, P.; McDonald, C.; Lakey, J.R.; Shapiro, A.M. Changes in liver enzymes after clinical islet transplantation. Transplantation 2003, 76, 1280–1284. [Google Scholar] [CrossRef] [PubMed]
- Nilsson, B.; Ekdahl, K.N.; Korsgren, O. Control of instant blood-mediated inflammatory reaction to improve islets of Langerhans engraftment. Curr. Opin. Organ Transplant. 2011, 16, 620–626. [Google Scholar] [CrossRef] [PubMed]
- Moberg, L.; Johansson, H.; Lukinius, A.; Berne, C.; Foss, A.; Kallen, R.; Ostraat, O.; Salmela, K.; Tibell, A.; Tufveson, G.; et al. Production of tissue factor by pancreatic islet cells as a trigger of detrimental thrombotic reactions in clinical islet transplantation. Lancet 2002, 360, 2039–2045. [Google Scholar] [CrossRef]
- Bennet, W.; Groth, C.G.; Larsson, R.; Nilsson, B.; Korsgren, O. Isolated human islets trigger an instant blood mediated inflammatory reaction: Implications for intraportal islet transplantation as a treatment for patients with type 1 diabetes. Ups. J. Med. Sci. 2000, 105, 125–133. [Google Scholar] [CrossRef] [PubMed]
- Moberg, L.; Korsgren, O.; Nilsson, B. Neutrophilic granulocytes are the predominant cell type infiltrating pancreatic islets in contact with ABO-compatible blood. Clin. Exp. Immunol. 2005, 142, 125–131. [Google Scholar] [CrossRef]
- Johansson, H.; Lukinius, A.; Moberg, L.; Lundgren, T.; Berne, C.; Foss, A.; Felldin, M.; Kallen, R.; Salmela, K.; Tibell, A.; et al. Tissue factor produced by the endocrine cells of the islets of Langerhans is associated with a negative outcome of clinical islet transplantation. Diabetes 2005, 54, 1755–1762. [Google Scholar] [CrossRef]
- Gray, D.W.; Sutton, R.; McShane, P.; Peters, M.; Morris, P.J. Exocrine contamination impairs implantation of pancreatic islets transplanted beneath the kidney capsule. J. Surg. Res. 1988, 45, 432–442. [Google Scholar] [CrossRef]
- Vargas, F.; Vives-Pi, M.; Somoza, N.; Armengol, P.; Alcalde, L.; Marti, M.; Costa, M.; Serradell, L.; Dominguez, O.; Fernandez-Llamazares, J.; et al. Endotoxin contamination may be responsible for the unexplained failure of human pancreatic islet transplantation. Transplantation 1998, 65, 722–727. [Google Scholar] [CrossRef] [PubMed]
- Toso, C.; Isse, K.; Demetris, A.J.; Dinyari, P.; Koh, A.; Imes, S.; Kin, T.; Emamaullee, J.; Senior, P.; Shapiro, A.M. Histologic graft assessment after clinical islet transplantation. Transplantation 2009, 88, 1286–1293. [Google Scholar] [CrossRef]
- Smith, R.N.; Kent, S.C.; Nagle, J.; Selig, M.; Iafrate, A.J.; Najafian, N.; Hafler, D.A.; Auchincloss, H.; Orban, T.; Cagliero, E. Pathology of an islet transplant 2 years after transplantation: Evidence for a nonimmunological loss. Transplantation 2008, 86, 54–62. [Google Scholar] [CrossRef] [PubMed]
- Davalli, A.M.; Maffi, P.; Socci, C.; Sanvito, F.; Freschi, M.; Bertuzzi, F.; Falqui, L.; Di Carlo, V.; Pozza, G.; Secchi, A. Insights from a successful case of intrahepatic islet transplantation into a type 1 diabetic patient. J. Clin. Endocrinol. Metab. 2000, 85, 3847–3852. [Google Scholar] [CrossRef][Green Version]
- Korsgren, O.; Lundgren, T.; Felldin, M.; Foss, A.; Isaksson, B.; Permert, J.; Persson, N.H.; Rafael, E.; Ryden, M.; Salmela, K.; et al. Optimising islet engraftment is critical for successful clinical islet transplantation. Diabetologia 2008, 51, 227–232. [Google Scholar] [CrossRef] [PubMed]
- Matsuoka, T.; Yoshimatsu, G.; Sakata, N.; Kawakami, R.; Tanaka, T.; Yamada, T.; Yoshida, Y.; Hasegawa, S.; Kodama, S. Inhibition of NLRP3 inflammasome by MCC950 improves the metabolic outcome of islet transplantation by suppressing IL-1beta and islet cellular death. Sci. Rep. 2020, 10, 17920. [Google Scholar] [CrossRef]
- Barreto, S.G.; Carati, C.J.; Toouli, J.; Saccone, G.T. The islet-acinar axis of the pancreas: More than just insulin. Am. J. Physiol. Gastrointest. Liver Physiol. 2010, 299, G10–G22. [Google Scholar] [CrossRef]
- Sohn, J.; Siegelman, E.; Osiason, A. Unusual patterns of hepatic steatosis caused by the local effect of insulin revealed on chemical shift MR imaging. AJR Am. J. Roentgenol. 2001, 176, 471–474. [Google Scholar] [CrossRef]
- Eckhard, M.; Lommel, D.; Hackstein, N.; Winter, D.; Ziegler, A.; Rau, W.; Choschzick, M.; Bretzel, R.G.; Brendel, M.D. Disseminated periportal fatty degeneration after allogeneic intraportal islet transplantation in a patient with type 1 diabetes mellitus: A case report. Transplant. Proc. 2004, 36, 1111–1116. [Google Scholar] [CrossRef]
- Markmann, J.F.; Rosen, M.; Siegelman, E.S.; Soulen, M.C.; Deng, S.; Barker, C.F.; Naji, A. Magnetic resonance-defined periportal steatosis following intraportal islet transplantation: A functional footprint of islet graft survival? Diabetes 2003, 52, 1591–1594. [Google Scholar] [CrossRef]
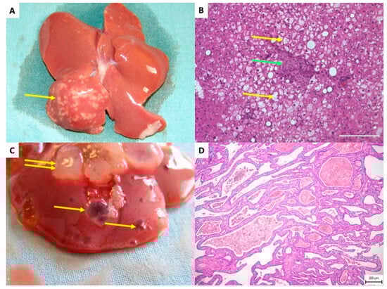
- Dombrowski, F.; Lehringer-Polzin, M.; Pfeifer, U. Hyperproliferative liver acini after intraportal islet transplantation in streptozotocin-induced diabetic rats. Lab. Investig. 1994, 71, 688–699. [Google Scholar]
- Scharf, J.G.; Ramadori, G.; Dombrowski, F. Analysis of the IGF axis in preneoplastic hepatic foci and hepatocellular neoplasms developing after low-number pancreatic islet transplantation into the livers of streptozotocin diabetic rats. Lab. Investig. 2000, 80, 1399–1411. [Google Scholar] [CrossRef] [PubMed]
- Dombrowski, F.; Filsinger, E.; Bannasch, P.; Pfeifer, U. Altered liver acini induced in diabetic rats by portal vein islet isografts resemble preneoplastic hepatic foci in their enzymic pattern. Am. J. Pathol. 1996, 148, 1249–1256. [Google Scholar] [PubMed]
- Evert, M.; Sun, J.; Pichler, S.; Slavova, N.; Schneider-Stock, R.; Dombrowski, F. Insulin receptor, insulin receptor substrate-1, Raf-1, and Mek-1 during hormonal hepatocarcinogenesis by intrahepatic pancreatic islet transplantation in diabetic rats. Cancer Res. 2004, 64, 8093–8100. [Google Scholar] [CrossRef] [PubMed]
- Hirshberg, B.; Mog, S.; Patterson, N.; Leconte, J.; Harlan, D.M. Histopathological study of intrahepatic islets transplanted in the nonhuman primate model using edmonton protocol immunosuppression. J. Clin. Endocrinol. Metab. 2002, 87, 5424–5429. [Google Scholar] [CrossRef][Green Version]
- Pao, C.I.; Farmer, P.K.; Begovic, S.; Villafuerte, B.C.; Wu, G.J.; Robertson, D.G.; Phillips, L.S. Regulation of insulin-like growth factor-I (IGF-I) and IGF-binding protein 1 gene transcription by hormones and provision of amino acids in rat hepatocytes. Mol. Endocrinol. 1993, 7, 1561–1568. [Google Scholar] [CrossRef][Green Version]
- Scharf, J.; Ramadori, G.; Braulke, T.; Hartmann, H. Synthesis of insulinlike growth factor binding proteins and of the acid-labile subunit in primary cultures of rat hepatocytes, of Kupffer cells, and in cocultures: Regulation by insulin, insulinlike growth factor, and growth hormone. Hepatology 1996, 23, 818–827. [Google Scholar] [CrossRef] [PubMed]
- Scharf, J.G.; Dombrowski, F.; Ramadori, G. The IGF axis and hepatocarcinogenesis. Mol. Pathol. 2001, 54, 138–144. [Google Scholar] [CrossRef]
- Belfiore, A.; Malaguarnera, R. Insulin receptor and cancer. Endocr. Relat. Cancer 2011, 18, R125–R147. [Google Scholar] [CrossRef]
- Pollak, M. Targeting insulin and insulin-like growth factor signalling in oncology. Curr. Opin. Pharmacol. 2008, 8, 384–392. [Google Scholar] [CrossRef]
- Pollak, M. Insulin and insulin-like growth factor signalling in neoplasia. Nat. Rev. Cancer 2008, 8, 915–928, Erratum in Nat. Rev. Cancer. 2009, 9, 224. [Google Scholar] [CrossRef]
- Vigneri, R.; Squatrito, S.; Sciacca, L. Insulin and its analogs: Actions via insulin and IGF receptors. Acta Diabetol. 2010, 47, 271–278. [Google Scholar] [CrossRef]
- White, M.F. IRS proteins and the common path to diabetes. Am. J. Physiol. Endocrinol. Metab. 2002, 283, E413–E422. [Google Scholar] [CrossRef]
- Calvisi, D.F.; Evert, M.; Dombrowski, F. Hepatocarcinogenesis following pancreatic islet transplantation in streptozotocin- and autoimmune-diabetic rats. Arch. Physiol. Biochem. 2009, 115, 97–104. [Google Scholar] [CrossRef] [PubMed]
- Dombrowski, F.; Mathieu, C.; Evert, M. Hepatocellular neoplasms induced by low-number pancreatic islet transplants in autoimmune diabetic BB/Pfd rats. Cancer Res. 2006, 66, 1833–1843. [Google Scholar] [CrossRef]
- Evert, M.; Dombrowski, F.; Schirmacher, P.; Pfeifer, U. Nonparenchymal cells in chronically hyperinsulinemic liver acini of diabetic rats, with special regard to hepatic stellate cells. J. Hepatol. 1998, 28, 709–716. [Google Scholar] [CrossRef] [PubMed]
- Evert, M.; Schildhaus, H.U.; Schneider-Stock, R.; Dombrowski, F. Cystic cholangiomas after transplantation of pancreatic islets into the livers of diabetic rats. Virchows Arch. 2006, 448, 776–787. [Google Scholar] [CrossRef]
- Feldman, S.; Scharp, D.; Hirshberg, G.; Dodi, G.; Ballinger, W.; Lacy, P. Streptozotocin-induced liver tumors. Transplantation 1977, 24, 152–154. [Google Scholar] [CrossRef] [PubMed]
- Finch, D.R.; Morris, P.J.; Vanhegan, R.I. Cystic changes in the liver following experimental intraportal pancreatic islet transplantation. Transplantation 1977, 23, 182–185. [Google Scholar] [CrossRef] [PubMed]
- Lauder, I.; Abascal, J.; Cartwright, R.A.; Farndon, J.R.; Johnston, I.D. Liver tumours following streptozotocin administration in rats and the effects of pancreatic islet cell transplantation. Carcinogenesis 1981, 2, 799–803. [Google Scholar] [CrossRef]
- Lorenz, D.; Lippert, H.; Dorn, A.; Hahn, H.J. Absence of liver cysts after intraportal islet transplantation in pancreatectomized rats. Transplantation 1979, 27, 71–73. [Google Scholar] [CrossRef]
- Sutherland, D.E.; Matas, A.J.; Steffes, M.W.; Najarian, J.S. Liver cysts in streptozotocin-treated rats. Transplantation 1977, 24, 162–163. [Google Scholar] [CrossRef] [PubMed]
- Dombrowski, F.; Bannasch, P.; Pfeifer, U. Hepatocellular neoplasms induced by low-number pancreatic islet transplants in streptozotocin diabetic rats. Am. J. Pathol. 1997, 150, 1071–1087. [Google Scholar]
- Kriz, J.; Fabryova, E.; Sticova, E.; Papackova, Z.; Koblas, T.; Cahova, M.; Saudek, F. Formation of Cholangiogenic Cysts Following Intrahepatic Islet Transplantation in Streptozotocin Diabetic Rats. Transplant. Proc. 2015, 47, 2763–2767. [Google Scholar] [CrossRef]
- Kriz, J.; Fabryova, E.; Sticova, E.; Saudek, F. Liver Cysts After Islet Transplantation in Rats—Preliminary Data. Transplantation 2013, 96, S129. [Google Scholar]
- Kazumi, T.; Yoshino, G.; Fujii, S.; Baba, S. Tumorigenic action of streptozotocin on the pancreas and kidney in male Wistar rats. Cancer Res. 1978, 38, 2144–2147. [Google Scholar]
- Breuhahn, K.; Schirmacher, P. Reactivation of the insulin-like growth factor-II signaling pathway in human hepatocellular carcinoma. World J. Gastroenterol. 2008, 14, 1690–1698. [Google Scholar] [CrossRef][Green Version]
- Gong, Y.; Cui, L.; Minuk, G.Y. The expression of insulin-like growth factor binding proteins in human hepatocellular carcinoma. Mol. Cell Biochem. 2000, 207, 101–104. [Google Scholar] [CrossRef] [PubMed]
- Villanueva, A.; Chiang, D.Y.; Newell, P.; Peix, J.; Thung, S.; Alsinet, C.; Tovar, V.; Roayaie, S.; Minguez, B.; Sole, M.; et al. Pivotal role of mTOR signaling in hepatocellular carcinoma. Gastroenterology 2008, 135, 1972–1983.e11. [Google Scholar] [CrossRef]
- Ho, C.; Wang, C.; Mattu, S.; Destefanis, G.; Ladu, S.; Delogu, S.; Armbruster, J.; Fan, L.; Lee, S.A.; Jiang, L.; et al. AKT (v-akt murine thymoma viral oncogene homolog 1) and N-Ras (neuroblastoma ras viral oncogene homolog) coactivation in the mouse liver promotes rapid carcinogenesis by way of mTOR (mammalian target of rapamycin complex 1), FOXM1 (forkhead box M1)/SKP2, and c-Myc pathways. Hepatology 2012, 55, 833–845. [Google Scholar] [CrossRef]
- Evert, M.; Calvisi, D.F.; Evert, K.; De Murtas, V.; Gasparetti, G.; Mattu, S.; Destefanis, G.; Ladu, S.; Zimmermann, A.; Delogu, S.; et al. V-AKT murine thymoma viral oncogene homolog/mammalian target of rapamycin activation induces a module of metabolic changes contributing to growth in insulin-induced hepatocarcinogenesis. Hepatology 2012, 55, 1473–1484. [Google Scholar] [CrossRef]
- Renehan, A.; Smith, U.; Kirkman, M.S. Linking diabetes and cancer: A consensus on complexity. Lancet 2010, 375, 2201–2202. [Google Scholar] [CrossRef] [PubMed]
- Wang, C.C.; Goalstone, M.L.; Draznin, B. Molecular mechanisms of insulin resistance that impact cardiovascular biology. Diabetes 2004, 53, 2735–2740. [Google Scholar] [CrossRef] [PubMed]
- El-Serag, H.B.; Hampel, H.; Javadi, F. The association between diabetes and hepatocellular carcinoma: A systematic review of epidemiologic evidence. Clin. Gastroenterol. Hepatol. 2006, 4, 369–380. [Google Scholar] [CrossRef] [PubMed]
- Johnson, J.A.; Carstensen, B.; Witte, D.; Bowker, S.L.; Lipscombe, L.; Renehan, A.G.; Diabetes and Cancer Research Consortium. Diabetes and cancer (1): Evaluating the temporal relationship between type 2 diabetes and cancer incidence. Diabetologia 2012, 55, 1607–1618. [Google Scholar] [CrossRef]





| Cell Type | Hormone | Percentage |
|---|---|---|
| α (alpha) cells | Glucagon, GLP-1 | 15–20% |
| β (beta) cells | Insulin | 65–80% |
| δ (delta) cells | Somatostatin | 3–10% |
| γ (PP) cells | Pancreatic polypeptide | 3–5% |
| ε (epsilon) cells | Ghrelin | 1% |
| Other cell types: | Stromal cells, blood cells, immune cells, neurons, endothelium | |
Disclaimer/Publisher’s Note: The statements, opinions and data contained in all publications are solely those of the individual author(s) and contributor(s) and not of MDPI and/or the editor(s). MDPI and/or the editor(s) disclaim responsibility for any injury to people or property resulting from any ideas, methods, instructions or products referred to in the content. |
© 2026 by the authors. Licensee MDPI, Basel, Switzerland. This article is an open access article distributed under the terms and conditions of the Creative Commons Attribution (CC BY) license.
Share and Cite
Vojtíšková, A.; Fábryová, E.; Berková, Z.; Koblas, T.; Girman, P.; Kříž, J. The Transplantation of Pancreatic Islets to Portal Vein: The Influence on Liver Tissue. Int. J. Mol. Sci. 2026, 27, 1419. https://doi.org/10.3390/ijms27031419
Vojtíšková A, Fábryová E, Berková Z, Koblas T, Girman P, Kříž J. The Transplantation of Pancreatic Islets to Portal Vein: The Influence on Liver Tissue. International Journal of Molecular Sciences. 2026; 27(3):1419. https://doi.org/10.3390/ijms27031419
Chicago/Turabian StyleVojtíšková, Alžběta, Eva Fábryová, Zuzana Berková, Tomas Koblas, Peter Girman, and Jan Kříž. 2026. "The Transplantation of Pancreatic Islets to Portal Vein: The Influence on Liver Tissue" International Journal of Molecular Sciences 27, no. 3: 1419. https://doi.org/10.3390/ijms27031419
APA StyleVojtíšková, A., Fábryová, E., Berková, Z., Koblas, T., Girman, P., & Kříž, J. (2026). The Transplantation of Pancreatic Islets to Portal Vein: The Influence on Liver Tissue. International Journal of Molecular Sciences, 27(3), 1419. https://doi.org/10.3390/ijms27031419

