Mesenchymal Stem Cell Therapy Modulates Peripheral–Central Immune Interactions and Attenuates Neuroinflammation-Driven Cognitive Dysfunction
Abstract
1. Introduction
2. Results
2.1. Culture and Identification of Human Umbilical Cord Mesenchymal Stem Cells
2.2. Seven Consecutive Days of LPS Administration Elicited Robust Systemic and Central Inflammatory Responses
2.3. Behavioral Tests
2.3.1. Open-Field Test (OFT)
2.3.2. MSCs Improved the Spatial Working Memory in the Model of Neuroinflammation (Y Maze Test)
2.3.3. MSCs Reverse LPS-Induced Impairments in Recognition Memory (Novel Object Recognition Test)
2.3.4. MSC Improved Associative Learning Functions and Long-Term Memory in a Peripherally Induced Model of Neuroinflammation: Passive Avoidance Test (PAT)
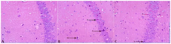
2.4. MSCs Prevent LPS-Induced Neuronal Loss
2.5. MSC Treatment Reduces LPS-Induced Microglial Proliferation
2.6. Evaluation of IBA-1 and CD68 Co-Expression in the Hippocampus and Prefrontal Cortex
2.7. MSCs Reduce LPS-Induced CD45+ Immune Cell Infiltration in the Hippocampus and Prefrontal Cortex
2.8. MSC Treatment Attenuates LPS-Induced Astrocytic Hyperplasia and Hypertrophy
2.9. Biochemical Analysis of Hippocampal Cytokine Levels
3. Discussion
4. Materials and Methods
4.1. Animals
4.2. Experimental Design
4.3. Mesenchymal Stem Cell Isolation, Culture and Characterization
4.4. Flow Cytometry Characterization of Surface Markers in MSCs
4.5. Cytokine Profiling
4.6. Assessment of Systemic and Central Inflammatory Status at the Time of MSC Administration
4.6.1. Behavioral Assessments
4.6.2. Assessment of Spontaneous Locomotor Activity and Anxiety-like Behavior
4.6.3. Assessment of Spatial Working Memory
4.6.4. Assessment of Recognition Memory: Novel Object Recognition (NOR) Test
4.6.5. Assessment of Associative Learning and Long-Term Memory: Passive Avoidance Test
4.6.6. Tissue Collection
4.6.7. Histological and Immunohistochemical Studies
4.6.8. Dual Immunofluorescence Staining
4.6.9. Biochemical Analysis
4.6.10. Statistical Analysis
Supplementary Materials
Author Contributions
Funding
Institutional Review Board Statement
Informed Consent Statement
Data Availability Statement
Conflicts of Interest
Abbreviations
| AD | Alzheimer’s disease |
| Ang-1 | Angiopoietin-1 |
| ANOVA | Analysis of variance |
| BBB | Blood–brain barrier |
| BDNF | Brain-Derived Neurotrophic Factor |
| CNS | Central nervous system |
| DI | Discrimination index |
| ELISA | Enzyme-linked immunosorbent assay |
| GFAP | Glial fibrillary acidic protein |
| H&E | Hematoxylin and eosin |
| Iba1 | Ionized calcium-binding adapter molecule 1 |
| IL | Interleukin |
| i.p. | Intraperitoneal |
| i.v. | Intravenous |
| LPS | Lipopolysaccharide |
| MAPK | Mitogen-activated protein kinase |
| MSC | Mesenchymal stem cell |
| NGF | Nerve Growth Factor |
| NORT | Novel object recognition test |
| OFT | Open-field test |
| PAT | Passive avoidance test |
| PBS | Phosphate-buffered saline |
| PFA | Paraformaldehyde |
| SA | Spontaneous alternation |
| TLR4 | Toll-like receptor 4 |
| TNF-α | Tumor necrosis factor alpha |
| UC-MSC | Umbilical cord-derived mesenchymal stem cell |
| VEGF | Vascular Endothelial Growth Factor |
References
- Kwon, H.S.; Koh, S.-H. Neuroinflammation in neurodegenerative disorders: The roles of microglia and astrocytes. Transl. Neurodegener. 2020, 9, 42. [Google Scholar] [CrossRef] [PubMed]
- Kamila, P.; Kar, K.; Chowdhury, S.; Chakraborty, P.; Dutta, R.; S, S.; Singh, S.A.; Prajapati, B.G. Effect of neuroinflammation on the progression of Alzheimer’s disease and its significant ramifications for novel anti-inflammatory treatments. IBRO Neurosci. Rep. 2025, 18, 771–782. [Google Scholar] [CrossRef]
- Xin, Y.-R.; Jiang, J.-X.; Hu, Y.; Pan, J.-P.; Mi, X.-N.; Gao, Q.; Xiao, F.; Zhang, W.; Luo, H.-M. The Immune System Drives Synapse Loss During Lipopolysaccharide-Induced Learning and Memory Impairment in Mice. Front. Aging Neurosci. 2019, 11, 279. [Google Scholar] [CrossRef] [PubMed]
- Wang, L.; Geng, G.; Zhu, T.; Chen, W.; Li, X.; Gu, J.; Jiang, E. Progress in Research on TLR4-Mediated Inflammatory Response Mechanisms in Brain Injury after Subarachnoid Hemorrhage. Cells 2022, 11, 3781. [Google Scholar] [CrossRef] [PubMed]
- Zhao, J.; Bi, W.; Xiao, S.; Lan, X.; Cheng, X.; Zhang, J.; Lu, D.; Wei, W.; Wang, Y.; Li, H.; et al. Neuroinflammation induced by lipopolysaccharide causes cognitive impairment in mice. Sci. Rep. 2019, 9, 5790. [Google Scholar] [CrossRef]
- Carvalho, L.B.; Baroudi, K.; França, C.; Gonçalves, A.A.S.; Bernadi, M.M.; Da Silva, R.A.F. LPS-induced neuroinflammation induces changes in the transcriptional profile of members of the CoRest repressive complex in the hippocampus. Mol. Biol. Rep. 2024, 51, 1156. [Google Scholar] [CrossRef]
- Jung, H.; Lee, D.; You, H.; Lee, M.; Kim, H.; Cheong, E.; Um, J.W. LPS induces microglial activation and GABAergic synaptic deficits in the hippocampus accompanied by prolonged cognitive impairment. Sci. Rep. 2023, 13, 6547. [Google Scholar] [CrossRef]
- Naji, A.; Eitoku, M.; Favier, B.; Deschaseaux, F.; Rouas-Freiss, N.; Suganuma, N. Biological functions of mesenchymal stem cells and clinical implications. Cell. Mol. Life Sci. 2019, 76, 3323–3348. [Google Scholar] [CrossRef]
- Trinh, Q.D.; Mai, H.N.; Pham, D.T. Application of mesenchymal stem cells for neurodegenerative diseases therapy discovery. Regen. Ther. 2024, 26, 981–989. [Google Scholar] [CrossRef]
- Kim, H.J.; Cho, K.R.; Jang, H.; Lee, N.K.; Jung, Y.H.; Kim, J.P.; Lee, J.I.; Chang, J.W.; Park, S.; Kim, S.T.; et al. Intracerebroventricular injection of human umbilical cord blood mesenchymal stem cells in patients with Alzheimer’s disease dementia: A phase I clinical trial. Alzheimers Res. Ther. 2021, 13, 154. [Google Scholar] [CrossRef]
- Skok, M.; Deryabina, O.; Lykhmus, O.; Kalashnyk, O.; Uspenska, K.; Shuvalova, N.; Pokholenko, I.; Lushnikova, I.; Smozhanyk, K.; Skibo, G.; et al. Mesenchymal stem cell application for treatment of neuroinflammation-induced cognitive impairment in mice. Regen. Med. 2022, 17, 533–546. [Google Scholar] [CrossRef]
- Kodali, M.; Madhu, L.N.; Reger, R.L.; Milutinovic, B.; Upadhya, R.; Gonzalez, J.J.; Attaluri, S.; Shuai, B.; Gitai, D.L.G.; Rao, S.; et al. Intranasally administered human MSC-derived extracellular vesicles inhibit NLRP3-p38/MAPK signaling after TBI and prevent chronic brain dysfunction. Brain Behav. Immun. 2023, 108, 118–134. [Google Scholar] [CrossRef]
- Ayyubova, G.; Kodali, M.; Upadhya, R.; Madhu, L.N.; Attaluri, S.; Somayaji, Y.; Shuai, B.; Rao, S.; Shankar, G.; Shetty, A.K. Extracellular vesicles from hiPSC-NSCs can prevent peripheral inflammation-induced cognitive dysfunction with inflammasome inhibition and improved neurogenesis in the hippocampus. J. Neuroinflamm. 2023, 20, 297. [Google Scholar] [CrossRef]
- Zhang, X.; Kuang, Q.; Xu, J.; Lin, Q.; Chi, H.; Yu, D. MSC-Based Cell Therapy in Neurological Diseases: A Concise Review of the Literature in Pre-Clinical and Clinical Research. Biomolecules 2024, 14, 538. [Google Scholar] [CrossRef] [PubMed]
- Izquierdo-Altarejos, P.; Cabrera-Pastor, A.; Martínez-García, M.; Sánchez-Huertas, C.; Hernández, A.; Moreno-Manzano, V.; Felipo, V. Extracellular vesicles from mesenchymal stem cells reduce neuroinflammation in hippocampus and restore cognitive function in hyperammonemic rats. J. Neuroinflamm. 2023, 20, 1. [Google Scholar] [CrossRef] [PubMed]
- Da Silva, A.A.F.; Fiadeiro, M.B.; Bernardino, L.I.; Fonseca, C.S.P.; Baltazar, G.M.F.; Cristóvão, A.C.B. Lipopolysaccharide-induced animal models for neuroinflammation—An overview. J. Neuroimmunol. 2024, 387, 578273. [Google Scholar] [CrossRef] [PubMed]
- Maurice, T.; Lockhart, B.P.; Privat, A. Amnesia induced in mice by centrally administered β-amyloid peptides involves cholinergic dysfunction. Brain Res. 1996, 706, 181–193. [Google Scholar] [CrossRef] [PubMed]
- Aydoğdu, N.; Öztel, O.N.; Karaöz, E. Isolation Culture Cryopreservation Preparation of Umbilical Cord-Derived Mesenchymal Stem Cells as a Final Cellular Product Under Good Manufacturing Practices–Compliant Conditions. In Stem Cells and Good Manufacturing Practices; Turksen, K., Ed.; Springer: New York, NY, USA, 2020; Volume 2286, pp. 73–84. [Google Scholar] [CrossRef]
- Secunda, R.; Vennila, R.; Mohanashankar, A.M.; Jeswanth, S.; Surendran, R. Isolation, expansion and characterisation of mesenchymal stem cells from human bone marrow, adipose tissue, umbilical cord blood and matrix: A comparative study. Cytotechnology 2015, 67, 793–807. [Google Scholar] [CrossRef]
- Kraeuter, A.-K.; Guest, P.C.; Sarnyai, Z. The Y-Maze for Assessment of Spatial Working and Reference Memory in Mice. In Pre-Clinical Models; Guest, P.C., Ed.; Springer: New York, NY, USA, 2018; Volume 1916, pp. 105–111. [Google Scholar] [CrossRef]
- Heneka, M.T.; Kummer, M.P.; Latz, E. Innate immune activation in neurodegenerative disease. Nat. Rev. Immunol. 2014, 14, 463–477. [Google Scholar] [CrossRef]
- Walker, K.A.; Le Page, L.M.; Terrando, N.; Duggan, M.R.; Heneka, M.T.; Bettcher, B.M. The role of peripheral inflammatory insults in Alzheimer’s disease: A review and research roadmap. Mol. Neurodegener. 2023, 18, 37. [Google Scholar] [CrossRef]
- Ghanbarian, E.; Khorsand, B.; Petersen, K.K.; Nallapu, B.T.; Sajjadi, S.A.; Lipton, R.B.; Ezzati, A. Cerebrospinal fluid inflammatory cytokines as prognostic indicators for cognitive decline across Alzheimer's disease spectrum. J. Alzheimers Dis. 2025, 105, 1298–1308. [Google Scholar] [CrossRef]
- Oberlin, L.E.; Erickson, K.I.; Mackey, R.; Klunk, W.E.; Aizenstein, H.; Lopresti, B.J.; Kuller, L.H.; Lopez, O.L.; Snitz, B.E. Peripheral inflammatory biomarkers predict the deposition and progression of amyloid-β in cognitively unimpaired older adults. Brain Behav. Immun. 2021, 95, 178–189. [Google Scholar] [CrossRef]
- Jin, Z.; Lu, Y.; Tang, H.; Cui, H. Integrating neuroinflammation biomarkers into the ATN(X) framework: Advances in Alzheimer’s pathogenesis, diagnosis, and insights from non-human primate models. Alzheimers Dement. 2025, 21, e70472. [Google Scholar] [CrossRef]
- Cheng, Z.; Wang, L.; Qu, M.; Liang, H.; Li, W.; Li, Y.; Deng, L.; Zhang, Z.; Yang, G.-Y. Mesenchymal stem cells attenuate blood-brain barrier leakage after cerebral ischemia in mice. J. Neuroinflamm. 2018, 15, 135. [Google Scholar] [CrossRef]
- Leemburg, S.; Kala, A.; Nataraj, A.; Karkusova, P.; Baindur, S.; Suresh, A.; Blahna, K.; Jezek, K. LPS-induced sepsis disrupts brain activity in a region- and vigilance-state specific manner. bioRxiv 2024. [Google Scholar] [CrossRef]
- Ayyubova, G.; Madhu, L.N. Microglial NLRP3 Inflammasomes in Alzheimer’s Disease Pathogenesis: From Interaction with Autophagy/Mitophagy to Therapeutics. Mol. Neurobiol. 2025, 62, 7124–7143. [Google Scholar] [CrossRef] [PubMed]
- Adamu, A.; Li, S.; Gao, F.; Xue, G. The role of neuroinflammation in neurodegenerative diseases: Current understanding and future therapeutic targets. Front. Aging Neurosci. 2024, 16, 1347987. [Google Scholar] [CrossRef] [PubMed]
- Tashima, T. Mesenchymal Stem Cell (MSC)-Based Drug Delivery into the Brain across the Blood-Brain Barrier. Pharmaceutics 2024, 16, 289. [Google Scholar] [CrossRef] [PubMed]
- Zhang, J.; Chen, H.; Chen, C.; Liu, H.; He, Y.; Zhao, J.; Yang, P.; Mao, Q.; Xia, H. Systemic administration of mesenchymal stem cells loaded with a novel oncolytic adenovirus carrying IL-24/endostatin enhances glioma therapy. Cancer Lett. 2021, 509, 26–38. [Google Scholar] [CrossRef]
- Lykhmus, O.; Koval, L.; Voytenko, L.; Uspenska, K.; Komisarenko, S.; Deryabina, O.; Shuvalova, N.; Kordium, V.; Ustymenko, A.; Kyryk, V.; et al. Intravenously Injected Mesenchymal Stem Cells Penetrate the Brain and Treat Inflammation-Induced Brain Damage and Memory Impairment in Mice. Front. Pharmacol. 2019, 10, 355. [Google Scholar] [CrossRef]
- Alzahrani, N.A.; Bahaidrah, K.A.; Mansouri, R.A.; Alsufiani, H.M.; Alghamdi, B.S. Investigation of the optimal dose for experimental lipopolysaccharide-induced recognition memory impairment: Behavioral and histological studies. J. Integr. Neurosci. 2022, 21, 49. [Google Scholar] [CrossRef]
- Xie, Z.H.; Liu, Z.; Zhang, X.R.; Yang, H.; Wei, L.F.; Wang, Y.; Xu, S.L.; Sun, L.; Lai, C.; Bi, J.Z.; et al. Wharton’s Jelly-derived mesenchymal stem cells alleviate memory deficits and reduce amyloid-β deposition in an APP/PS1 transgenic mouse model. Clin. Exp. Med. 2016, 16, 89–98. [Google Scholar] [CrossRef]
- Pinheiro, L.L.; de Lima, A.R.; Martins, D.M.; de Oliveira, E.H.C.; Souza, M.P.C.; de Carvalho Miranda, C.M.F.; Baleeiro Beltrão-Braga, P.C.; Russo, F.B.; Pignatari, G.C.; da Silva Filho, E.; et al. Mesenchymal stem cells in dogs with demyelinating leukoencephalitis as an experimental model of multiple sclerosis. Heliyon 2019, 5, e01857. [Google Scholar] [CrossRef]
- Zanier, E.R.; Pischiutta, F.; Riganti, L.; Marchesi, F.; Turola, E.; Fumagalli, S.; Perego, C.; Parotto, E.; Vinci, P.; Veglianese, P.; et al. Bone marrow mesenchymal stromal cells drive protective M2 microglia polarization after brain trauma. Neurotherapeutics 2014, 11, 679–695. [Google Scholar] [CrossRef]
- Park, H.J.; Shin, J.Y.; Kim, H.N.; Oh, S.H.; Song, S.K.; Lee, P.H. Mesenchymal stem cells stabilize the blood-brain barrier through regulation of astrocytes. Stem Cell Res. Ther. 2015, 6, 187. [Google Scholar] [CrossRef]
- Tanaka, E.; Ogawa, Y.; Mukai, T.; Sato, Y.; Hamazaki, T.; Nagamura-Inoue, T.; Harada-Shiba, M.; Shintaku, H.; Tsuji, M. Dose-Dependent Effect of Intravenous Administration of Human Umbilical Cord-Derived Mesenchymal Stem Cells in Neonatal Stroke Mice. Front. Neurol. 2018, 9, 133. [Google Scholar] [CrossRef]
- Nairuz, T.; Heo, J.-C.; Lee, J.-H. Differential Glial Response and Neurodegenerative Patterns in CA1, CA3, and DG Hippocampal Regions of 5XFAD Mice. Int. J. Mol. Sci. 2024, 25, 12156. [Google Scholar] [CrossRef] [PubMed]
- Carrano, A.; Hoozemans, J.J.M.; Van Der Vies, S.M.; Van Horssen, J.; De Vries, H.E.; Rozemuller, A.J.M. Neuroinflammation and Blood-Brain Barrier Changes in Capillary Amyloid Angiopathy. Neurodegener. Dis. 2012, 10, 329–331. [Google Scholar] [CrossRef] [PubMed]
- Honarpisheh, P.; Lee, J.; Banerjee, A.; Blasco-Conesa, M.P.; Honarpisheh, P.; d’Aigle, J.; Mamun, A.A.; Ritzel, R.M.; Chauhan, A.; Ganesh, B.P.; et al. Potential caveats of putative microglia-specific markers for assessment of age-related cerebrovascular neuroinflammation. J. Neuroinflamm. 2020, 17, 366. [Google Scholar] [CrossRef] [PubMed]
- John, R.K.; Vogel, S.P.; Zia, S.; Lee, K.V.; Nguyen, A.T.; Torres-Espin, A.; Fenrich, K.K.; Ng, C.; Schmidt, E.K.A.; Vavrek, R.; et al. Reawakening inflammation in the chronically injured spinal cord using lipopolysaccharide induces diverse microglial states. J. Neuroinflamm. 2025, 22, 56. [Google Scholar] [CrossRef]
- Fu, S.-P.; Wu, X.-C.; Yang, R.-L.; Zhao, D.-Z.; Cheng, J.; Qian, H.; Ao, J.; Zhang, Q.; Zhang, T. The role and mechanisms of mesenchymal stem cells regulating macrophage plasticity in spinal cord injury. Biomed. Pharmacother. 2023, 168, 115632. [Google Scholar] [CrossRef] [PubMed]
- Hao, L.; Yang, Y.; Xu, X.; Guo, X.; Zhan, Q. Modulatory effects of mesenchymal stem cells on microglia in ischemic stroke. Front. Neurol. 2022, 13, 1073958. [Google Scholar] [CrossRef] [PubMed]











Disclaimer/Publisher’s Note: The statements, opinions and data contained in all publications are solely those of the individual author(s) and contributor(s) and not of MDPI and/or the editor(s). MDPI and/or the editor(s) disclaim responsibility for any injury to people or property resulting from any ideas, methods, instructions or products referred to in the content. |
© 2026 by the authors. Licensee MDPI, Basel, Switzerland. This article is an open access article distributed under the terms and conditions of the Creative Commons Attribution (CC BY) license.
Share and Cite
Ayyubova, G.; Huseynova, S.; Mustafayeva, N.; Yildirim, L.; Ismayilova, S.; Gasimova, T.; Aliyeva, S. Mesenchymal Stem Cell Therapy Modulates Peripheral–Central Immune Interactions and Attenuates Neuroinflammation-Driven Cognitive Dysfunction. Int. J. Mol. Sci. 2026, 27, 1182. https://doi.org/10.3390/ijms27031182
Ayyubova G, Huseynova S, Mustafayeva N, Yildirim L, Ismayilova S, Gasimova T, Aliyeva S. Mesenchymal Stem Cell Therapy Modulates Peripheral–Central Immune Interactions and Attenuates Neuroinflammation-Driven Cognitive Dysfunction. International Journal of Molecular Sciences. 2026; 27(3):1182. https://doi.org/10.3390/ijms27031182
Chicago/Turabian StyleAyyubova, Gunel, Shahla Huseynova, Nigar Mustafayeva, Leyla Yildirim, Seher Ismayilova, Tarana Gasimova, and Sabina Aliyeva. 2026. "Mesenchymal Stem Cell Therapy Modulates Peripheral–Central Immune Interactions and Attenuates Neuroinflammation-Driven Cognitive Dysfunction" International Journal of Molecular Sciences 27, no. 3: 1182. https://doi.org/10.3390/ijms27031182
APA StyleAyyubova, G., Huseynova, S., Mustafayeva, N., Yildirim, L., Ismayilova, S., Gasimova, T., & Aliyeva, S. (2026). Mesenchymal Stem Cell Therapy Modulates Peripheral–Central Immune Interactions and Attenuates Neuroinflammation-Driven Cognitive Dysfunction. International Journal of Molecular Sciences, 27(3), 1182. https://doi.org/10.3390/ijms27031182
