Mating Increases CHST10 Activity in Rat Oviductal Mucosa to Induce the Synthesis of HNK-1 Glycoproteins: Possible Role in Sperm–Oviduct Interactions
Abstract
1. Introduction
2. Results
2.1. Mating Increases CHST10 Protein Levels and Sulfotransferase Activity in the Oviductal Mucosa
2.2. Mating Changes the Levels of HNK-1 Glycoproteins in the Oviductal Mucosa
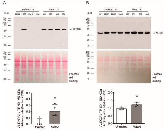
2.3. Mating Induces the Secretion of ALDH9A1 and Increases the Secretion of ALDOA from the Epithelial Cells of Oviductal Mucosa
2.4. Vaginocervical Stimulation (VCS) Increases the Expression of Chst10 in the Oviductal Mucosa
3. Discussion
4. Materials and Methods
4.1. Animals
4.1.1. Mating and Sample Collection
4.1.2. Sperm and Seminal Vesicle Fluid (SVF) Collection
4.1.3. Intrauterine Injection of Sperm or SVF
4.1.4. Vaginocervical Stimulation
4.2. Sulfotransferase Activity
4.3. Immunofluorescence
4.4. Western Blotting
4.4.1. Sample Preparation
4.4.2. One-Dimensional Electrophoresis and Western Blotting
4.4.3. Two-Dimensional Electrophoresis and Western Blotting
4.5. Protein Identification
4.5.1. Destaining and Drying the Gel Pieces
4.5.2. Trypsin Digestion
4.5.3. Liquid Chromatography and Mass Spectrometry Analysis
4.5.4. Criteria for Protein Identification
4.6. Relative Gene Expression Levels
4.7. Statistical Analysis
5. Conclusions
Supplementary Materials
Author Contributions
Funding
Institutional Review Board Statement
Informed Consent Statement
Data Availability Statement
Acknowledgments
Conflicts of Interest
References
- Zuniga, L.M.; Andrade, J.C.; Fabrega-Gueren, F.; Orihuela, P.A.; Velasquez, E.V.; Vidal, E.A.; Gutierrez, R.A.; Morales, P.; Gomez-Silva, B.; Croxatto, H.B. Mating induces early transcriptional response in the rat endosalpinx: The role of TNF and RA. Reproduction 2021, 161, 43–59. [Google Scholar] [CrossRef] [PubMed]
- Diekman, A.B. Glycoconjugates in sperm function and gamete interactions: How much sugar does it take to sweet-talk the egg? Cell. Mol. Life Sci. 2003, 60, 298–308. [Google Scholar] [CrossRef] [PubMed]
- Suarez, S.S. Mammalian sperm interactions with the female reproductive tract. Cell Tissue Res. 2016, 363, 185–194. [Google Scholar] [CrossRef] [PubMed]
- Topfer-Petersen, E.; Ekhlasi-Hundrieser, M.; Tsolova, M. Glycobiology of fertilization in the pig. Int. J. Dev. Biol. 2008, 52, 717–736. [Google Scholar] [CrossRef]
- Voshol, H.; van Zuylen, C.W.; Orberger, G.; Vliegenthart, J.F.; Schachner, M. Structure of the HNK-1 carbohydrate epitope on bovine peripheral myelin glycoprotein P0. J. Biol. Chem. 1996, 271, 22957–22960. [Google Scholar] [CrossRef]
- Oka, S.; Terayama, K.; Kawashima, C.; Kawasaki, T. A novel glucuronyltransferase in nervous system presumably associated with the biosynthesis of HNK-1 carbohydrate epitope on glycoproteins. J. Biol. Chem. 1992, 267, 22711–22714. [Google Scholar] [CrossRef]
- Terayama, K.; Oka, S.; Seiki, T.; Miki, Y.; Nakamura, A.; Kozutsumi, Y.; Takio, K.; Kawasaki, T. Cloning and functional expression of a novel glucuronyltransferase involved in the biosynthesis of the carbohydrate epitope HNK-1. Proc. Natl. Acad. Sci. USA 1997, 94, 6093–6098. [Google Scholar] [CrossRef]
- Bakker, H.; Friedmann, I.; Oka, S.; Kawasaki, T.; Nifant’ev, N.; Schachner, M.; Mantei, N. Expression cloning of a cDNA encoding a sulfotransferase involved in the biosynthesis of the HNK-1 carbohydrate epitope. J. Biol. Chem. 1997, 272, 29942–29946. [Google Scholar] [CrossRef]
- Ong, E.; Yeh, J.C.; Ding, Y.; Hindsgaul, O.; Fukuda, M. Expression cloning of a human sulfotransferase that directs the synthesis of the HNK-1 glycan on the neural cell adhesion molecule and glycolipids. J. Biol. Chem. 1998, 273, 5190–5195. [Google Scholar] [CrossRef]
- Kared, H.; Martelli, S.; Ng, T.P.; Pender, S.L.; Larbi, A. CD57 in human natural killer cells and T-lymphocytes. Cancer Immunol. Immunother. 2016, 65, 441–452. [Google Scholar] [CrossRef]
- Morita, I.; Kizuka, Y.; Kakuda, S.; Oka, S. Expression and function of the HNK-1 carbohydrate. J. Biochem. 2008, 143, 719–724. [Google Scholar] [CrossRef]
- Schachner, M.; Martini, R. Glycans and the modulation of neural-recognition molecule function. Trends Neurosci. 1995, 18, 183–191. [Google Scholar] [CrossRef] [PubMed]
- Domowicz, M.S.; Mueller, M.M.; Novak, T.E.; Schwartz, L.E.; Schwartz, N.B. Developmental expression of the HNK-1 carbohydrate epitope on aggrecan during chondrogenesis. Dev. Dyn. 2003, 226, 42–50. [Google Scholar] [CrossRef] [PubMed]
- Hashiguchi, T.; Mizumoto, S.; Nishimura, Y.; Tamura, J.; Yamada, S.; Sugahara, K. Involvement of human natural killer-1 (HNK-1) sulfotransferase in the biosynthesis of the GlcUA(3-O-sulfate)-Gal-Gal-Xyl tetrasaccharide found in alpha-thrombomodulin from human urine. J. Biol. Chem. 2011, 286, 33003–33011. [Google Scholar] [CrossRef]
- Yabuno, K.; Morise, J.; Kizuka, Y.; Hashii, N.; Kawasaki, N.; Takahashi, S.; Miyata, S.; Izumikawa, T.; Kitagawa, H.; Takematsu, H.; et al. A Sulfated Glycosaminoglycan Linkage Region is a Novel Type of Human Natural Killer-1 (HNK-1) Epitope Expressed on Aggrecan in Perineuronal Nets. PLoS ONE 2015, 10, e0144560. [Google Scholar] [CrossRef]
- Erickson-Lawrence, M.F.; Turner, T.T.; Ross, P.; Thomas, T.S.; Oliphant, G. Sulfated oviductal glycoproteins in the rabbit: Quantitation by competitive enzyme-linked immunosorbent assay. Biol. Reprod. 1989, 40, 1299–1310. [Google Scholar] [CrossRef]
- Murray, M.K. Epithelial lining of the sheep ampulla oviduct undergoes pregnancy-associated morphological changes in secretory status and cell height. Biol. Reprod. 1995, 53, 653–663. [Google Scholar] [CrossRef]
- Suzuki-Anekoji, M.; Suzuki, A.; Wu, S.W.; Angata, K.; Murai, K.K.; Sugihara, K.; Akama, T.O.; Khoo, K.H.; Nakayama, J.; Fukuda, M.N.; et al. In vivo regulation of steroid hormones by the Chst10 sulfotransferase in mouse. J. Biol. Chem. 2013, 288, 5007–5016. [Google Scholar] [CrossRef]
- Pasqualini, J.R. Estrogen sulfotransferases in breast and endometrial cancers. Ann. N. Y. Acad. Sci. 2009, 1155, 88–98. [Google Scholar] [CrossRef]
- Forcelledo, M.L.; Vera, R.; Croxatto, H.B. Ovum transport in pregnant, pseudopregnant, and cyclic rats and its relationship to estradiol and progesterone blood levels. Biol. Reprod. 1981, 24, 760–765. [Google Scholar]
- Prather, B.; Ethen, C.M.; Machacek, M.; Wu, Z.L. Golgi-resident PAP-specific 3′-phosphatase-coupled sulfotransferase assays. Anal. Biochem. 2012, 423, 86–92. [Google Scholar] [CrossRef] [PubMed]
- Harwalkar, K.; Ford, M.J.; Teng, K.; Yamanaka, N.; Yang, B.; Burtscher, I.; Lickert, H.; Yamanaka, Y. Anatomical and cellular heterogeneity in the mouse oviduct-its potential roles in reproduction and preimplantation development. Biol. Reprod. 2021, 104, 1249–1261. [Google Scholar] [CrossRef]
- La Spina, F.A.; Puga Molina, L.C.; Romarowski, A.; Vitale, A.M.; Falzone, T.L.; Krapf, D.; Hirohashi, N.; Buffone, M.G. Mouse sperm begin to undergo acrosomal exocytosis in the upper isthmus of the oviduct. Dev. Biol. 2016, 411, 172–182. [Google Scholar] [CrossRef] [PubMed]
- Muro, Y.; Hasuwa, H.; Isotani, A.; Miyata, H.; Yamagata, K.; Ikawa, M.; Yanagimachi, R.; Okabe, M. Behavior of Mouse Spermatozoa in the Female Reproductive Tract from Soon after Mating to the Beginning of Fertilization. Biol. Reprod. 2016, 94, 80. [Google Scholar] [CrossRef] [PubMed]
- Suarez, S.S. Sperm transport and motility in the mouse oviduct: Observations in situ. Biol. Reprod. 1987, 36, 203–210. [Google Scholar] [CrossRef]
- Muzio, G.; Maggiora, M.; Paiuzzi, E.; Oraldi, M.; Canuto, R.A. Aldehyde dehydrogenases and cell proliferation. Free Radic. Biol. Med. 2012, 52, 735–746. [Google Scholar] [CrossRef]
- Kurys, G.; Ambroziak, W.; Pietruszko, R. Human aldehyde dehydrogenase. Purification and characterization of a third isozyme with low Km for gamma-aminobutyraldehyde. J. Biol. Chem. 1989, 264, 4715–4721. [Google Scholar]
- Jin, J.Y.; Chen, W.Y.; Zhou, C.X.; Chen, Z.H.; Yu-Ying, Y.; Ni, Y.; Chan, H.C.; Shi, Q.X. Activation of GABAA receptor/Cl- channel and capacitation in rat spermatozoa: HCO3- and Cl- are essential. Syst. Biol. Reprod. Med. 2009, 55, 97–108. [Google Scholar] [CrossRef]
- Kurata, S.; Hiradate, Y.; Umezu, K.; Hara, K.; Tanemura, K. Capacitation of mouse sperm is modulated by gamma-aminobutyric acid (GABA) concentration. J. Reprod. Dev. 2019, 65, 327–334. [Google Scholar] [CrossRef]
- Puente, M.A.; Tartaglione, C.M.; Ritta, M.N. Bull sperm acrosome reaction induced by gamma-aminobutyric acid (GABA) is mediated by GABAergic receptors type A. Anim. Reprod. Sci. 2011, 127, 31–37. [Google Scholar] [CrossRef]
- Shi, Q.X.; Yuan, Y.Y.; Roldan, E.R. gamma-Aminobutyric acid (GABA) induces the acrosome reaction in human spermatozoa. Mol. Hum. Reprod. 1997, 3, 677–683. [Google Scholar] [CrossRef] [PubMed]
- Del Rio, R.M. Gamma-aminobutyric acid system in rat oviduct. J. Biol. Chem. 1981, 256, 9816–9819. [Google Scholar]
- Orensanz, L.M.; Fernandez, I.; Martin del Rio, R.; Storm-Mathisen, J. Gamma-aminobutyric acid in the rat oviduct. Adv. Biochem. Psychopharmacol. 1986, 42, 265–274. [Google Scholar] [PubMed]
- Koncitikova, R.; Vigouroux, A.; Kopecna, M.; Sebela, M.; Morera, S.; Kopecny, D. Kinetic and structural analysis of human ALDH9A1. Biosci. Rep. 2019, 39, BSR20190558. [Google Scholar] [CrossRef]
- Fernandez, C.; Sharrard, R.M.; Talbot, M.; Reed, B.D.; Monks, N. Evaluation of the significance of polyamines and their oxidases in the aetiology of human cervical carcinoma. Br. J. Cancer 1995, 72, 1194–1199. [Google Scholar] [CrossRef]
- Mann, T. Secretory function of the prostate, seminal vesicle and other male accessory organs of reproduction. J. Reprod. Fertil. 1974, 37, 179–188. [Google Scholar] [CrossRef]
- Breitbart, H.; Rubinstein, S.; Lax, Y. Regulatory mechanisms in acrosomal exocytosis. Rev. Reprod. 1997, 2, 165–174. [Google Scholar] [CrossRef][Green Version]
- Rubinstein, S.; Breitbart, H. Role of spermine in mammalian sperm capacitation and acrosome reaction. Biochem. J. 1991, 278, 25–28. [Google Scholar] [CrossRef]
- Shabtay, O.; Breitbart, H. CaMKII prevents spontaneous acrosomal exocytosis in sperm through induction of actin polymerization. Dev. Biol. 2016, 415, 64–74. [Google Scholar] [CrossRef]
- Gualtieri, R.; Mollo, V.; Barbato, V.; Talevi, R. Ability of sulfated glycoconjugates and disulfide-reductants to release bovine epididymal sperm bound to the oviductal epithelium in vitro. Theriogenology 2010, 73, 1037–1043. [Google Scholar] [CrossRef]
- Cebo, C.; Durier, V.; Lagant, P.; Maes, E.; Florea, D.; Lefebvre, T.; Strecker, G.; Vergoten, G.; Zanetta, J.P. Function and molecular modeling of the interaction between human interleukin 6 and its HNK-1 oligosaccharide ligands. J. Biol. Chem. 2002, 277, 12246–12252. [Google Scholar] [CrossRef] [PubMed]
- Needham, L.K.; Schnaar, R.L. The HNK-1 reactive sulfoglucuronyl glycolipids are ligands for L-selectin and P-selectin but not E-selectin. Proc. Natl. Acad. Sci. USA 1993, 90, 1359–1363. [Google Scholar] [CrossRef] [PubMed]
- Hoffman, S.; Edelman, G.M. A proteoglycan with HNK-1 antigenic determinants is a neuron-associated ligand for cytotactin. Proc. Natl. Acad. Sci. USA 1987, 84, 2523–2527. [Google Scholar] [CrossRef] [PubMed]
- Hall, H.; Vorherr, T.; Schachner, M. Characterization of a 21 amino acid peptide sequence of the laminin G2 domain that is involved in HNK-1 carbohydrate binding and cell adhesion. Glycobiology 1995, 5, 435–441. [Google Scholar] [CrossRef][Green Version]
- Miura, R.; Aspberg, A.; Ethell, I.M.; Hagihara, K.; Schnaar, R.L.; Ruoslahti, E.; Yamaguchi, Y. The proteoglycan lectin domain binds sulfated cell surface glycolipids and promotes cell adhesion. J. Biol. Chem. 1999, 274, 11431–11438. [Google Scholar] [CrossRef]
- Jiwakanon, J.; Berg, M.; Persson, E.; Fossum, C.; Dalin, A.M. Cytokine expression in the gilt oviduct: Effects of seminal plasma, spermatozoa and extender after insemination. Anim. Reprod. Sci. 2010, 119, 244–257. [Google Scholar] [CrossRef]
- Koch, M.; Olson, P.F.; Albus, A.; Jin, W.; Hunter, D.D.; Brunken, W.J.; Burgeson, R.E.; Champliaud, M.F. Characterization and expression of the laminin gamma3 chain: A novel, non-basement membrane-associated, laminin chain. J. Cell. Biol. 1999, 145, 605–618. [Google Scholar] [CrossRef]
- Voronina, V.A.; Harris, F.M.; Schmahl, J.; Galligan, C.; Oristian, D.; Zamfirova, R.; Gong, G.; Bai, Y.; Fury, W.; Rajamani, S.; et al. Deletion of Adam6 in Mus musculus leads to male subfertility and deficits in sperm ascent into the oviduct. Biol. Reprod. 2019, 100, 686–696. [Google Scholar] [CrossRef]
- Gibb, Z.; Lambourne, S.R.; Curry, B.J.; Hall, S.E.; Aitken, R.J. Aldehyde Dehydrogenase Plays a Pivotal Role in the Maintenance of Stallion Sperm Motility. Biol. Reprod. 2016, 94, 133. [Google Scholar] [CrossRef]
- Cervantes, M.P.; Palomino, J.M.; Adams, G.P. In vivo imaging in the rabbit as a model for the study of ovulation-inducing factors. Lab. Anim. 2015, 49, 1–9. [Google Scholar] [CrossRef]
- Gunnet, J.W.; Freeman, M.E. The mating-induced release of prolactin: A unique neuroendocrine response. Endocr. Rev. 1983, 4, 44–61. [Google Scholar] [CrossRef] [PubMed]
- Shafik, A.; El Sebai, O.; Shafik, A.A.; Shafik, I. Oviduct contractile response to vaginal distension: Identification of vagino-tubal reflex. Arch. Gynecol. Obstet. 2005, 271, 148–151. [Google Scholar] [CrossRef] [PubMed]
- Blandau, R.J.; Money, W.L. Observations on the rate of transport of spermatozoa in the female genital tract of the rat. Anat. Rec. 1944, 90, 255–260. [Google Scholar] [CrossRef]
- Cortes, P.P.; Orihuela, P.A.; Zuniga, L.M.; Velasquez, L.A.; Croxatto, H.B. Sperm binding to oviductal epithelial cells in the rat: Role of sialic acid residues on the epithelial surface and sialic acid-binding sites on the sperm surface. Biol. Reprod. 2004, 71, 1262–1269. [Google Scholar] [CrossRef]
- Kovarik, A.; Hlubinova, K.; Vrbenska, A.; Prachar, J. An improved colloidal silver staining method of protein blots on nitrocellulose membranes. Folia Biol. 1987, 33, 253–257. [Google Scholar]
- Schindelin, J.; Arganda-Carreras, I.; Frise, E.; Kaynig, V.; Longair, M.; Pietzsch, T.; Preibisch, S.; Rueden, C.; Saalfeld, S.; Schmid, B.; et al. Fiji: An open-source platform for biological-image analysis. Nat. Methods 2012, 9, 676–682. [Google Scholar] [CrossRef]










| Spot Number | Protein | Gene | Sequence Coverage (%) | Molecular Mass (kDa) |
|---|---|---|---|---|
| 2 | Aldehyde dehydrogenase 9 family, member A1 | Aldh9a1 | 37.2 | 54.1 |
| 3 | Aldehyde dehydrogenase 9 family, member A1 | Aldh9a1 | 45.3 | 54.1 |
| 4 | Fructose bisphosphate aldolase A | Aldoa | 42.0 | 39.4 |
| 5 | Four and a half LIM domains protein 1 | Fhl1 | 59.3 | 31.9 |
| 6 | Four and a half LIM domains protein 1 | Fhl1 | 68.2 | 31.9 |
Disclaimer/Publisher’s Note: The statements, opinions and data contained in all publications are solely those of the individual author(s) and contributor(s) and not of MDPI and/or the editor(s). MDPI and/or the editor(s) disclaim responsibility for any injury to people or property resulting from any ideas, methods, instructions or products referred to in the content. |
© 2025 by the authors. Licensee MDPI, Basel, Switzerland. This article is an open access article distributed under the terms and conditions of the Creative Commons Attribution (CC BY) license (https://creativecommons.org/licenses/by/4.0/).
Share and Cite
Fábrega-Guerén, F.; Andrade, J.C.; Zúñiga-Cóndor, M.; Morales, P.; Gómez-Silva, B.; Zúñiga, L.M. Mating Increases CHST10 Activity in Rat Oviductal Mucosa to Induce the Synthesis of HNK-1 Glycoproteins: Possible Role in Sperm–Oviduct Interactions. Int. J. Mol. Sci. 2025, 26, 3309. https://doi.org/10.3390/ijms26073309
Fábrega-Guerén F, Andrade JC, Zúñiga-Cóndor M, Morales P, Gómez-Silva B, Zúñiga LM. Mating Increases CHST10 Activity in Rat Oviductal Mucosa to Induce the Synthesis of HNK-1 Glycoproteins: Possible Role in Sperm–Oviduct Interactions. International Journal of Molecular Sciences. 2025; 26(7):3309. https://doi.org/10.3390/ijms26073309
Chicago/Turabian StyleFábrega-Guerén, Francisca, Juan C. Andrade, Marlene Zúñiga-Cóndor, Patricio Morales, Benito Gómez-Silva, and Lidia M. Zúñiga. 2025. "Mating Increases CHST10 Activity in Rat Oviductal Mucosa to Induce the Synthesis of HNK-1 Glycoproteins: Possible Role in Sperm–Oviduct Interactions" International Journal of Molecular Sciences 26, no. 7: 3309. https://doi.org/10.3390/ijms26073309
APA StyleFábrega-Guerén, F., Andrade, J. C., Zúñiga-Cóndor, M., Morales, P., Gómez-Silva, B., & Zúñiga, L. M. (2025). Mating Increases CHST10 Activity in Rat Oviductal Mucosa to Induce the Synthesis of HNK-1 Glycoproteins: Possible Role in Sperm–Oviduct Interactions. International Journal of Molecular Sciences, 26(7), 3309. https://doi.org/10.3390/ijms26073309

