Abstract
Colorectal cancer (CRC) remains the third leading cause of mortality among cancer patients in developed countries. Each new study in this field can contribute to better detection, diagnosis, and treatment of this disease. Our study aimed to assess transcriptional activity of genes associated with the biotransformation of xenobiotics and endobiotics in all three phases in the CRC adenocarcinoma, including correlations between them, as well as the aromatic hydrocarbon receptor (AhR) pathways. Based on transcriptome analysis (1252 mRNAs) of the CRC tissue and healthy colon, the upregulation or downregulation of 46 significant mRNAs was presented. The study also revealed the downregulation of AKR7A2 and upregulation of SLC5A6 and SLC29A2, previously undistinguished and potentially therapeutically valuable in CRC. The diagnostic potential of ADH1C, GGT5, NQO2, and SLC25A5 was demonstrated. It was stated that the AHR, EPHX1, GSTP1, and SLC25A32 did not correlate in healthy intestinal tissue whereas AHCY, ALDH1A1, NNMT, GSTM4, UGT2B17, and SLCO1B3 did not correlate in CRC. The disturbed transcriptional activity of genes related to the biotransformation process at all stages of CRC suggests that this may be the cause of its occurrence; the genes ought to be taken into account in preventive strategies and the treatment of patients.
1. Introduction
Despite many healthcare efforts to modify treatment methods and improve prevention, colorectal cancer remains the third most common cancer worldwide and the second leading cause of cancer death [1]. Although endoscopic screening, promoting a healthy lifestyle, and increased awareness of the consequences of environmental pollution (smoking bans in public places and information about its carcinogenic effects) have already led to a reduction in the number of colorectal cancer (CRC) cases in Europe [2], much remains to be performed. It is important to identify new biomarkers and develop affordable diagnostic tests for rapid CRC detection. Many of them demonstrate better sensitivity and specificity than the well-known CEA (Carcinoembryonic antigen) and CA19-9 (Carbohydrate antigen 19-9) [3].
Today, thanks to molecular, genomic, and genetic studies, we know that dysregulation of many genes contributes to the development of CRC, such as the APC gene, which leads to the activation of the Wnt/β-catenin pathway and contributes to the initiation of the neoplastic process; TP53 and PIK3CA pathways, which contribute to the progression of CRC; and the SMAD4 and TGF-β pathways, whose involvement in metastasis has also been described [4]. Increased gene expression contributes to disease progression, while its suppression also affects the dysregulation of cellular processes, which also influences the treatment process. Therefore, every study in CRC is important and can inspire researchers and practitioners to the combination treatment.
Despite significant progress in the treatment of CRC, surgical removal of the tumor remains the mainstay of treatment. Accurate removal and clinical description require the assessment of various factors, such as tumor location, its absence or presence, the size and local status of local lymph nodes, and distant metastases, according to the global TNM (Tumor Node Metastasis) classification, which defines the clinical stage of cancer in four stages [5]. Tissue differentiation is described using histological classification. Imaging techniques also play a significant role in determining CRC staging and treatment progress. The lower the clinical stage of the disease and the higher the tissue differentiation, the better the patient’s prognosis. CRC treatment strategies depend on all of these factors. In the early stages of the disease and with a low histological grade of the tumor, surgical methods, chemotherapy (typical cytostatic treatment: 5-fluorouracil, leucovorin, oxaliplatin, and irinotecan), and radiotherapy (in rectal cancer to shrink the tumor) are used, which are effective in most of the treated patients, as shown by long-term survival rates [6].
However, a still large number of CRC cases are detected at an advanced stage [7], significantly reducing the chances of effective treatment with typical chemotherapy for CRC. Targeted therapy, immunotherapy, and personalized treatment are used in the advanced stages of CRC, often in different combinations (adjuvant or neoadjuvant therapy) to manage systemic spread and shrink tumors. Surgery is also used to remove the tumor after it has been reduced with chemotherapy and/or radiotherapy and to relieve symptoms. The specific treatment strategy depends on the individual’s cancer and aims to improve quality of life and extend survival, similar to targeted therapy. Molecular research based on transcriptomic and/or genetic studies has contributed to the development of targeted therapies for colon cancer, such as those limiting angiogenesis through acting on vascular endothelial growth factor (anti-VEGF), targeting EGFR (Epidermal Growth Factor Receptor) and RAS (rat sarcoma) mutations, as well as KRAS (Kirsten RAS), NRAS (neuroblastoma RAS), BRAF (B-Raf proto-oncogene, serine/threonine kinase), MEK (mitogen-activated protein kinase kinase), and TNFA (Tumor Necrosis Factor A) inhibitor therapies. In response to anti-EGFR therapy resistance, HER2 (Human Epidermal Growth Factor Receptor) therapy was developed (amplified and/or overexpressed ERBB2/HER2 triggered constant signals for cell division and survival, driving cancer progression) [8]. Anti-HER2 therapies demonstrate a non-toxic profile and high efficacy in cases of chemotherapy resistance [9]. Treatment of metastatic colorectal cancer also involves blocking proteins that prevent the immune system from attacking cancer cells (immune checkpoint inhibitors) and HER2-specific or CAR T cells (Chimeric Antigen Receptor T cells) reactive to the tumor [10]. There are many more gene therapies targeting specific types of colon cancer, and new ones are constantly emerging, which are in various stages of clinical trials. Most of the genes mentioned above have also been identified in liquid biopsy samples [8,10,11], which may offer hope for improved treatment. Furthermore, there are many natural and synthetic compounds in preclinical studies that show activity against colon cancer cells [12,13].
The highest incidence of CRC in Poland is reported in the Silesian region (a highly industrialized region) [7]. Many global statistical studies link morbidity and mortality to environmental factors such as air, water, and soil pollution. The impact of environmental pollutants is directly proportional to the body’s detoxification capacity and indirectly influences the potential development of cancer [14]. The large intestine, as the final section of the digestive system, is highly folded and has an increased surface area for the absorption of minerals and hydrophilic substances from food residues. This makes it more susceptible to the effects of metabolized xenobiotics. Defense against them involves a three-phase biotransformation system that converts xenobiotics into compounds that facilitate their excretion (oxidation or hydroxylation, etc., and conjugation), but they are sometimes converted into more toxic compounds (e.g., the carcinogenic benzo(a)pyrene (BaP))—produced by various factories, car exhaust, tobacco smoke, or charcoal—and then metabolized into carcinogenic dihydroderivatives in the first phase of detoxification/biotransformation [15]. All proteins in the three phases of biotransformation are encoded by their corresponding genes. Phase I biotransformation genes encode enzymes, cytochrome P450 monooxygenases (CYPs), which are responsible for converting compounds into compounds with a more hydrophilic structure, facilitating their excretion from the body. The non-CYP group of oxidative enzymes also includes flavin-containing monooxygenases (FMOs), monoamine oxidases (MAOs), peroxidases, xanthine oxidases (XOs), aldehyde oxidase (AO), alcohol dehydrogenase (ADH), and aldehyde dehydrogenase (ALDH). Phase II genes encode enzymes such as glutathione S-transferase (GST), UDP glucuronosyltransferase (UGT), and others that bind phase I products by adding large side groups (glutathione, glucuronosyl, and others), increasing their hydrophilicity and facilitating their excretion from the body. Phase III genes encode transporters, such as the adenosine triphosphate-binding cassette (ABC), and other transmembrane transporters that actively uptake and/or pump conjugated compounds or phase II metabolites across the cytoplasmic membrane [16,17]. Phase III genes also encode solute carrier transporters (SLCs), which, in the form of proteins, facilitate the passage of specific solutes across the membrane and actively transport them against the electrochemical gradient, combining with ions or another solute [16]. This entire three-stage system is called biotransformation (not only of exogenous compounds, such as various chemicals, including pesticides, drugs, environmental pollutants, and food additives, but also of endogenous compounds, such as neurotransmitters, hormones, cellular components, and other synthetic or natural compounds) [14,15,16]. It is known that these enzymes also participate in the metabolism of endogenous substances, transforming them in biochemical pathways and detoxifying and removing exogenous substances (e.g., BaP or TCDD (2,3,7,8-tetrachlorodibenzo-p-dioxin)) from the body that have entered cells through slow accumulation or poisoning [14,15,18]. New roles for genes and proteins involved in biotransformation in health and disease are also being discovered. Biotransformation-related genes are expressed in greater or lesser amounts of mRNA in every cell of the body, although they are specific to certain tissues (e.g., some are found only in the liver, and others in the intestine) [16,19]. Imbalances within and between phases can have serious consequences for the organism. Changes at the mRNA level (transcriptional activity) can contribute to pathological processes, such as the development of disease in the tissue or cellular microenvironment [20].
Among the various theories explaining the causes of cancer, one focuses on an imbalance between the successive phases of xenobiotic/endobiotic detoxification/biotransformation. This may be due to external factors, such as alcohol consumption, smoking, exposure to carcinogenic environmental factors, and the consumption of large amounts of grilled or roasted meat, which are transformed in cells to soluble carcinogenic substances [21,22,23]. Studying changes in the expression of genes associated with biotransformation processes in tumor-affected colon segments at different clinical stages, compared to macroscopically and histopathologically unaffected colon tissue, could help explain these changes and identify potential diagnostic markers and/or therapeutic targets at the transcriptional level. Therefore, the study aimed to analyze the transcriptional activity of genes encoding enzymes and molecules involved in the biotransformation process in stages I–III of colorectal cancer compared with histopathologically normal colorectal tissue and to investigate the correlation between them as well as the AhR receptor pathways.
2. Results
2.1. Histopathological Confirmation
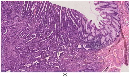
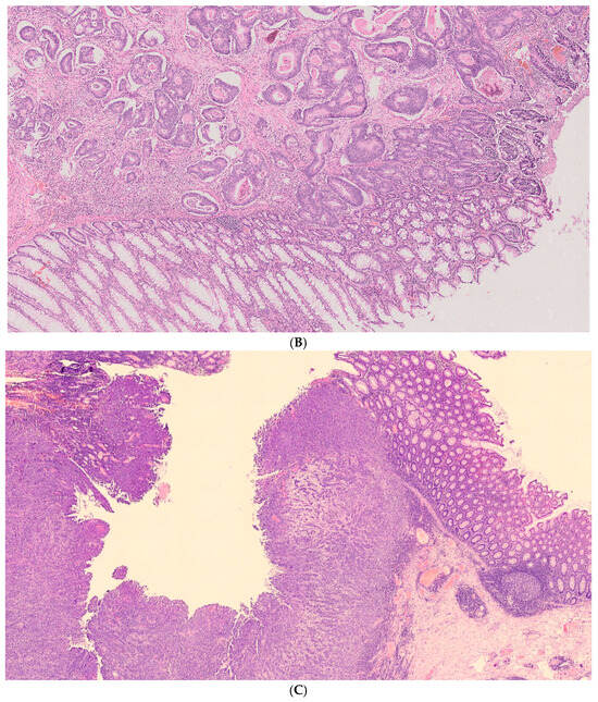
The results of the histopathological images confirm the colon tumor as adenocarcinoma of colorectal cancer in different grades, G1, G2, and G3, at 4× magnification (Figure 1). Histopathological grading is based on the amount of glandular differentiation in the tumor. Well-differentiated (G1) adenocarcinoma has more than 95% glandular tissue, moderately differentiated (G2) has 50–95%, and poorly differentiated (G3) has less than 5%. Figure 1A–C show the difference between large colon cancer (CRC) and healthy control colon tissue (CC) in the histopathological image, which is also visible to a surgeon who excises the cancer with a wide margin and selects material for investigation. The figures show histopathological images of CRC with the unchanged colon tissues. More images of this tumor in different grades of differentiation, G1, G2, and G3, can be seen in the Supplementary Materials in Figures S1–S3.

Figure 1.
(A) Histopathological image of colorectal adenocarcinoma G1 (on the left, cancerous tubules infiltrating the submucosa and muscularis propria, and on the right, a normal colonic wall) (H&E, ×4). (B) Histopathological image of colorectal adenocarcinoma G2 (primitive, tubules of various shapes forming solid and cribriform groups) contrasting with the normal mucosa below (H&E, ×4). (C) Histopathological image of colorectal adenocarcinoma G3 (on the left, cancer without glandular differentiation) and normal colon mucosa (on the right, a normal colonic wall) (H&E, ×4).
The images are examples used to demonstrate the contrast between cancerous and non-cancerous tissue.
2.2. Quality Confirmation
Quality control analysis of the microarrays is shown in Figure S4 (before removing one). All analyses were performed with exclusion and inclusion criteria for samples. Differences between CRC and CC are visible in the different expressions of the same mRNA from all examined samples in Figure 2. Magnitude segregation of the mRNA mean fluorescence intensity signals in the form of colors from cold (blue—lowest fluorescence) to warm (red—highest fluorescence) for CRC and CC samples is presented as a profile plot.
Figure 2.
Comparison of the mean fluorescence intensity values of mRNAs for CRC and CC samples. Explanation: CRC—examined colorectal cancer tissues; CC—healthy colon tissue samples. Legend: blue to yellow colors represent lower values, and yellow to red represent higher values.
The next profile plot in Figure 3 shows the differentiation of mRNA fluorescence signals in individual clinical stages of CRC (CSI—CSIV) and healthy colon tissue (CC). The mRNA fluorescence profile of the first clinical stage (CSI) significantly differs from the others, and it is dominated by an increase in fluorescence intensity for a large number of transcripts. Furthermore, a difference is visible between the subsequent CRC stages and the CC.
Figure 3.
Comparison of the mean fluorescence intensity values of mRNAs in CRC in particular clinical stages (CS I—IV) and control (CC) samples. Legend: blue to yellow colors are lower values, and yellow to red are higher values.
2.3. Similarities and Differences in Fluorescence Signals of mRNAs
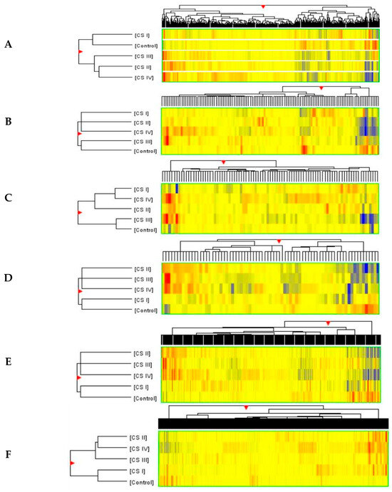
To present the similarities and differences between the fluorescence intensity of various mRNAs in individual panels of biotransformation processes (phases I–III), and, therefore, the relative arrangement of the examined CRC in four clinical stages (CSI-IV) and CC, self-organizing maps (SOMs) were performed using the Euclidean distance and Ward methods. These relationships are shown in Figure 4 as particular clusters for both entities on the top (fluorescence signal intensity for particular mRNAs) and conditions on the left (samples). All lists of entities for all biotransformation process panels of mRNA are presented in Tables S5–S10.
Figure 4.
Self-organizing maps for fluorescence intensity of biotransformation process transcripts in the examined CRC of CS I—IV and CC samples. Legend: (A) biotransformation 366 mRNA, (B) phase I functionalization 121 mRNA, (C) cytochrome P450 91 mRNA, (D) phase II conjugation 75 mRNA, (E) ATP-binding cassette 69 mRNA, (F) transporter 456 mRNA (phase I—(A–C); phase II—(D); phase III—(E,F)). High intensity of fluorescence signals—red; low—blue. The colors of particular bands of transcripts show similarities (the same color) and differences (different colors in different stages but the same mRNAs). CSI—clinical stage I, CSII—clinical stage II, CSIII—clinical stage III, CSIV—clinical stage IV of colorectal cancer development.
The fluorescence signal intensity of individual mRNAs (entities) in terms of the biotransformation process (366 mRNA), phase I functionalization (121 mRNA), cytochrome P450 (91 mRNA of CYP’s), phase II conjugation (75 mRNA), ATP-binding cassette (69 mRNA, phase III), and transporters (456 mRNA, phase III) show similarities and differences in the sample arrangement of visible clusters. The result of significant repetition of some mRNAs (fluorescence signals) for both phase I functionalization and CYPs, and phase II conjugation and ATP-binding cassette panels, is an unambiguous similarity in the distribution of the sample set (condition) in visible clusters. Different arrangements of the samples in the biotransformation process and transporter panels confirm differences in the fluorescence signal intensity of their mRNAs. The control sample’s initiation into each visible cluster instead of the first demonstrates its molecular uniqueness in these comparisons with cancer samples, as illustrated in Figure 4.
2.4. Analysis of Variance and Post Hoc Test
Each examined panel of transcripts related to biotransformation processes showed a different number of statistically significant mRNAs, depending on the p-value, which are presented in Table 1.
Table 1.
Phases of the biotransformation process, panels of transcripts, and the number of significant mRNAs dependent on the p-value in the ANOVA test.
From a total of 366 mRNAs in the general panel of biotransformation, 98 were significant at a p of less than 0.05, and 29 were significant in phase I functionalization (total 121). CYPs (total 91) had the lowest number of differential mRNAs, with only nine. In phase II conjugation, of a total of 75, 14 were statistically significant. In the phase III ATP-binding cassette panel, from a total of 69, 11 had differential mRNA, and 63 transporters from a total of 456 were significant in these microarrays. The number of significant genes in individual panels depends on the applied level of significance. The lower the p-value, the lower the number of statistically significant mRNAs. The ANOVA test results for all panels of mRNAs are shown in Tables S11–S16.
From the next results of the Tukey HSD post hoc test (p ≤ 0.05), a Venn diagram with numbers of significant mRNA in each comparison (CS vs. CC) was obtained for all panels, as shown in Figure 5A–F. Characteristic mRNAs for the first stage of CRC could be candidates for the group of genes differentiating cancer from healthy intestinal tissue (CSI vs. CC in CRC), which are listed next to the diagram. Unfortunately, not all probes for the assessed gene are expressed. Therefore, those that did not meet the criterion were excluded from the analysis. Additionally, not all probe sets of mRNAs corresponding to a specific gene are statistically significant in the analysis of variance (ANOVA), and only significant transcripts with an FC ≥ 2.0 at least at one clinical stage of the CRC are accepted. Rigorous statistical elimination of transcripts in all analyzed panels (p-value, Benjamini–Hochberg correction, fold change) allowed distinguishing the 23 significant genes (29 mRNAs) shown in Table 2 in the first (I) and second (II) phases, and 18 genes (20 mRNAs) are shown in Table 3 in the third (III) phase of the biotransformation process.
Figure 5.
Venn diagrams of biotransformation process panels in Tukey’s HSD post hoc test. Legend: (A) biotransformation, (B) phase I functionalization, (C) cytochrome P450, (D) phase II conjugation, (E) ATP-binding cassette, (F) transporters. CSI—clinical stage I, CSII—clinical stage II, CSIII—clinical stage III, CSIV—clinical stage IV of colorectal cancer development. HSD—highly significant difference.
Table 2.
Significant mRNA of the biotransformation process in CSI—CIV of CRC.
Table 3.
Significant mRNA of phase III in the CSI—CSIV stages of CRC.
2.5. Differentially Expressed Genes
Between transcripts linked to the first phase, the AHCY (encodes adenosylhomocysteinase), CYP2B7P1 (encodes cytochrome P450 2B7P1), and DPEP1 (encodes dipeptidase 1) expression increased with cancer growth in subsequent stages of the disease. This is evidence of the involvement of the biotransformation process in the development of CRC. Next, the expression of ADH1C (which encodes alcohol dehydrogenase 1C) only increases in CSI compared to the control and then drastically decreases in CSII to CSIV, showing a predisposition to be a good biomarker for CRC. Conversely, GGT5 (which encodes gammaglutamyl transferase 5) is decreased in CSI and is much higher in subsequent stages.
The next highlighted mRNAs, ADH5 (encodes alcohol dehydrogenase class III), AKR1B10 (encodes aldo-keto reductase 1 B10), AKR7A2 (encodes aldo-keto reductase family 7 member 2), ALDH1A1 (encodes aldehyde dehydrogenase 1A1), EPHX1 (encodes microsomal epoxide hydrolase), EPHX2 (encodes soluble epoxide hydrolase), MAOA (encodes monoamine oxidase A), and PTGS1 (encodes prostaglandin-endoperoxide synthase 1), are silenced at all clinical stages compared to CC (Table 2).
The second phase represented GSTP1 (encodes glutathione S-transferase π) and NNMT (encodes nicotinamide N-methyl transferase) expression, which increased in all stages of cancer development. But, NQO2 (encodes N-ribosyl dihydronicotinamide: quinone dehydrogenase 2) has reduced expression in CSI compared to CC and then increased it in subsequent stages. GSTM1, 2, 4 (encode glutathione S-transferase Mu 1, 2, 4), UGDH (encodes UDP-glucose 6-dehydrogenase), UGP2 (encodes the enzyme UDP glucose pyrophosphorylase 2), UGT1A9, and UGT2B17 (encode uridine diphosphate glucuronosyl transferase 1A9 and 2B17) are silenced in all clinical stages of CRC (Table 2).
In both the first and second phases of biotransformation, most transcripts are silenced. However, in the third (III) phase of biotransformation, most of the transporters are upregulated, as seen in Table 3.
The transcripts ABCB2 (encodes ATP-binding cassette subfamily B member 2) and SLC2A3 (encodes solute carrier 2A3), and ten more solute carriers representing the third phase of biotransformation (Table 3), are upregulated in subsequent stages, but ABCA8 (encodes ATP-binding cassette subfamily A member 8), ABCD3 (encodes ATP-binding cassette subfamily D member 3), and ABCG2 (encodes ATP-binding cassette subfamily G member 2) are downregulated. Differential expressions in the initial stage of cancer (CSI or CSI and CSII), such as for ADH1C, GGT5, NQO2, and SLC25A5 (Table 2 and Table 3, bolded), may indicate them as candidates for diagnostic biomarkers.
Many molecules constituting canonical and non-canonical cellular pathways are closely associated with the AhR receptor. Seventy-three probes of mRNA (Table S17) related to the AhR were identified. All of them met the criteria and are shown in Table 4. Their expression is uniform and indicates their involvement in the biotransformation process of CRC, but the FC value does not exceed 2.
Table 4.
Significant mRNA of AhR pathways in the CSI—CSIV stages of CRC.
All statistically significant mRNAs for the AHR pathways are shown in Table S18. They are also found in the panel of 366 mRNAs involved in the biotransformation process. The AHR (aryl hydrocarbon receptor), CPB2 (encodes carboxypeptidase B2), E2F1 (encodes a transcription factor crucial for cell cycle regulation, DNA repair, and apoptosis), E2F6 (encodes a transcription factor that controls the cell cycle), and PRB3 (encodes proline-rich protein BstNI subfamily 3) do not meet the criteria, but all of them have enhanced expression. Transcripts of PTGS1 (this group of molecules also acts with the AhR) have significantly diminished expression and are presented in Table 2. A statistically selected set of significant genes associated with AhR pathways confirms its regulatory role in the development of CRC. More information about selected significant genes is described in Table S19. No differences were observed between the obtained results when divided by age and sex.
2.6. Correlation Analysis
To further assess the transcriptional activity of statistically selected transcripts involved in the biotransformation process (all three phases) and AhR pathways, correlation analysis was performed. The results illustrating their relationships in a normal colon (CC), in the comparison of CC versus adenocarcinoma (AC), and in AC vs. AC are presented as statistically significant correlation coefficients (r) and probability values (p < 0.05) in Table 5, Table 6 and Table 7 for all three phases of biotransformation. The highest number of significant correlations between the fourteen significant mRNAs (including AHR) selected in the ANOVA test was found in CC samples in phase I (34 correlations, including 19 positive and 15 negative out of 91 total), and the lowest was found in CC vs. AC (nine correlations, including four positive and five negative out of 196 total). Fourteen were found in CRC tissue AC vs. AC (eight positive and five negative), which are shown in Table 5 (total correlations of the comparison are shown in Tables S20–S22, significant and insignificant). In the comparison CC vs, CC, CYP2B7P1 correlated with eight genes, indicating its important role in xenobiotic detoxification in these cells.
Table 5.
Correlations between phase I transcripts of the biotransformation process.
Table 6.
Correlations between phase II transcripts of the biotransformation process.
Table 7.
Significant correlations between phase III transcripts of the biotransformation process.
Similar to phase I, the highest number of phase II genes correlated in control colon tissue (16 correlations for eleven transcripts, including seven negative ones), as shown in Table 6. Furthermore, a lower number of correlations was found for CC vs. AC (nine correlations, including two negative), and there were even fewer in AC vs. AC (four significant correlations and two negative correlations). All correlations (significant and insignificant) from phase II are shown in Tables S23–S25.
In phase III, 72 statistically significant correlations (48 positive and 24 negative) were found for CC vs. CC, eighteen (twelve positive and six negative) for CC vs. AC, and forty (28 positive and 12 negative) for AC vs. AC (Table 7). All correlations (significant and insignificant) from phase III are shown in Table S26–S28.
No statistically significant correlation with the AHR, EPHX1, GSTP1, and SLC25A32 was found in CC vs. CC, which may indicate that it has a role other than biotransformation in the large colon cell. These mRNAs correlate with others in CRC (AC vs. AC).
The AHR negatively correlates with ADH1C and AKRB10 in CC vs. AC and with DEPEP1 in AC vs. AC. EPHX1 positively correlates with ADH5 and GGT5 and negatively correlates with MAOA in CC vs. AC. It positively correlates with GGT5, AKR7A2, and PTGS1 in CRC. The phase II gene GSTP1 negatively correlates with NQO2 in CC vs. AC and with UGP2 in CRC. SLC25A32 only positively correlates with SLC5A1, SLC6A14, and SLC25A15 in CRC.
A lack of significant relationships with AHCY, ALDH1A1, NNMT, GSTM4, UGT2B17, and SLCO1B3 was found in CRC (AC vs. AC), which may indicate no cooperative role of these genes in CRC. These mRNAs correlate with others in the healthy colon (CC vs. CC) or CC vs. AC (AHCY, NNMT, GSTM4, UGT2B17).
In each phase of biotransformation, most relationships between genes occur in the healthy large intestine (CC vs. CC). Correlations between phases I vs. II, II vs. III, and I vs. III for CC and AC were also examined and are presented in Tables S29–S34, respectively. All the correlations shown indicate high transcriptional activity of the studied molecules and the many dependencies between them.
3. Discussion
Transcriptional activity of genes related to the biotransformation process in the healthy large colon and in CRC tissues was assessed in three phases, and additionally, it was connected with aryl hydrocarbon receptor canonical and non-canonical pathways.
The analysis allowed for the identification of mRNAs with diagnostic predispositions: ADH1C, GGT5, NQO2, and SLC25A5. Moreover, all statistically significant mRNAs in all three phases of xenobiotic/endobiotic biotransformation were identified. Mutual relationships of all significant genes in the healthy colon tissue and CRC were determined. The involvement of the AHR and its associated genes in CRC was confirmed, demonstrating its likely role through E2F1 in this cancer.
The study indicated that phase I transcripts, ADH1C and GGT5, phase II NQO2, and phase III SLC25A5 may have diagnostic and therapeutic potential in CRC due to their differential expression in the early phase of this cancer. ADH1C expression was only upregulated in the first clinical stage of CRC, but in CSII-CSIV, it was downregulated, which can indicate that this gene is a good diagnostic biomarker. A lower expression of ADH1C mRNA was found in intestinal epithelial cancer tissues compared to healthy tissues [24], which was only confirmed in the present work for CII-IV. Another study stated that decreased expression of ADH1C from adenoma to early and advanced stages of colorectal carcinomas was associated with reduced all-trans retinoic acid biosynthesis. Hence, it led to alterations in cell growth and differentiation in the colon and rectum, contributing to cancer progression [25]. The results show that ADH1C is the only phase I transcript that correlates with the AHR in CC vs. AC (Table 5; negatively).
Next, GGT5 was distinguished as a candidate for diagnostic molecules. GGT5 hydrolyzes the gamma-glutamyl moiety with the capacity to cleave the gamma-glutamyl moiety of glutathione [26]. Increased expression of GGT5 mRNA was found for breast, gastric, and colorectal cancer tumors in comparison to normal tissues [27]. In our study, GGT5 expression was increased with the clinical stage CSII-IV, but it was silenced in the CSI of the CRC tissues, which can indicate that this gene can be a good diagnostic marker. Furthermore, this transcript is active in correlations in both healthy colon tissue and CRC.
NQO2 was overexpressed in CRC tissue samples, except for CSI, where FC was slightly decreased. Chen et al. showed downregulated expression of NQO2 in CRC tissues from patients who already had liver metastasis [28]. Moreover, its expression can protect against quinone-induced skin carcinogenesis and stabilize p53 in the cell [29]. NQO2, acting as a detoxification enzyme, catalyzes the reduction in electrophilic estrogen quinones (estradiol) [30], revealing a relationship between breast cancer [31]. Furthermore, this transcript is active in correlations in both tissues and correlates negatively with UGT1A9 in CRC.
SLC25A5 in CSI-II was upregulated in CSI-II and downregulated in CSIII-IV in CRC, having diagnostic potential for this disease. A study showed that high expression of SLC25A5 indicated a longer survival time of patients with colon cancer [32]. This gene is responsible for nucleotide transport, mediates the exchange between ADP in the cytoplasm and ATP in the mitochondria [33], and correlates with glucose accumulation in various types of cancer [34], which is why different expression levels in different cancers and actions through different signaling pathways are observed [33,34]. There are many uncertainties associated with it.
The research shows selected transcripts (bolded in Table 2 and Table 3) as candidates for further investigation and observation. This transcript is active in correlations with both healthy colon tissue and CRC.
Among the significant genes with increased expression in CRC was AHCY, encoding adenosylhomocysteinase. AHCY expression was upregulated in colon cancer compared with uninvolved colon mucosa [35]. Studies using mice with Apc deletion demonstrated that pharmacological inhibition of AHCY reduced its intestinal tumor burden, demonstrating the potential of this gene in CRC treatment [36]. The obtained results support the possibility of using the upregulated AHCY in all CS in the treatment of CRC. This transcript is not involved in any relationships with other genes in CRC; it is only stimulated by DPEP1 and negatively stimulates ADH5 in CC vs. AC (Table 5).
Next, with increased expression in CRC, CYP2B7P1, which encodes a metabolic enzyme, allowed the cell to obtain energy from lipid metabolism and to alter the cell membrane composition. It plays a role in cell proliferation, survival, and cancer cell metastasis. Deregulation of this process was especially observed in different neoplasia. CYP2B7P1 showed potential as a prognostic factor in lung adenocarcinoma [37]. On the other hand, CYP2B7P1/2B6 was correlated with oxidative stress in clinical trauma indices, specifically blunt trauma [38]. CYP2B7P1 has been identified in colorectal cancer as an early differentially expressed gene that persists until tumor formation [39]. The presented results showed that CYP2B7P1/2B6 was upregulated in all CRC clinical stages in comparison to the control; the highest fold change was noted for CSIV, which confirmed its involvement in the development of this tumor.
Although CYP2B7P1 shows the highest activity in relationships with eight genes in healthy colon tissue, as shown in Figure 6, only a negative relationship with ADH5 was maintained in CRC.
Figure 6.
Relationships between CYP2B7P1 and other genes in healthy large colon tissue and CRC (Table 5). Legend: +, positive correlation; −, negative correlation.
DPEP1 hydrolyzes dipeptides and metabolizes leukotriene, and it is a marker for the transition from low-grade to high-grade intraepithelial neoplasia. Like our results, the expression of DPEP1 was increased in human CRC tissue samples compared with normal mucosa and was indicated as an adverse prognostic factor in CRC [40]. Due to the increased expression of this gene, it may be used for further studies to silence CRC. DPEP1 correlates positively with GGT5 in healthy intestinal tissue and with AHCY in CC vs. AC. However, it negatively correlates with the AHR and ADH5 in CRC.
Next, distinguished transcripts in phase I (ADH5, AKRB10, AKR7A2, ALDH1A1, EPHX1, EPHX2, MAOA, and PTGS1) have decreased expression in all stages of CRC development.
ADH5 has a low expression in the CSI-IV of CRC, and it is the lowest in CSIV. This gene encodes alcohol dehydrogenase class III, which metabolizes long-chain alcohols and omega-hydroxy fatty acids, eliminates formaldehyde (protecting cells), oxidizes S-(hydroxymethyl)glutathione, forms S-formylglutathione, and regulates nitric oxide in cells [41]. A comparison of class III ADH isoenzyme levels in biopsy specimens of healthy colon mucosa and cancer tissues revealed slight differences in their activity. Similar results were obtained in samples from alcohol drinkers and nondrinkers [42]. The expression of ADH5 was lower in CRC than in healthy colon tissues. The transcript shows high activity in the healthy colon (five negative correlations with CYP2B7P1, ADH1C, GGT5, AKRB10, and EPHX2 and two positive correlations with ALDH1A1 and PTGS1), and in CRC, it correlates negatively with DPEP1 and CYP2B7P1 and positively with MAOA (Table 5).
AKR1B10 was downregulated in CRC tissues compared to the adjacent normal colorectal tissues [43], which is similar to the presented results. AKR1B10 encodes aldo-keto-reductase, an enzyme that takes part in the metabolism of retinoids, aliphatic aldehydes, and ketones [44]; it participates in the regulation of fatty acid biosynthesis via the ubiquitination–proteasome pathway [45]. AKRB10 correlates positively with CYP2B7P1, ADH1C, EPHX2, MAOA and negatively with ADH5, ALDH1A1, and PTGS1 in CC and with the AHR (CC vs. AC). It also correlates positively with ADH1C and MAOA and negatively with GGT5 in CRC.
AKR7A2 encodes an enzyme that belongs to the AKR superfamily, previously AKR1B10, too. Next, with decreased expression in phase I, AKR7A2 is involved in the metabolism of acrolein, aflatoxin, and many other substances [36]. In humans, its presence was found in the upper regions of the intestine [46] and in neuroblastoma [47]. The role of AKR7A2 in the pathogenesis of CRC is unknown. AKR7A2 correlates positively with AHCY, CYP2B7P1, and EPHX2 in the healthy colon and in CRC with EPHX1, which correlates only in cancerous tissue (Table 5).
ALDH1A1 has multiple functions in the cell, starting with the decomposition of aldehydes to carboxylic acids and ending with it taking part in the biosynthesis of all-trans-retinoic acids. Its gene expression was correlated with cancer stem cell recognition, but overexpression is associated with poor cancer prognosis [48]. High levels of ALDH1A1 were associated with a poorly differentiated histology. The expression patterns of ALDH1A1 were heterogeneous in CRC and corresponding adjacent tissues [49]. Decreased expression of ADH1A1 in our study and a lack of relationships with other transcripts in CRC may be a good prognosis for patients.
EPHX1 encodes microsomal epoxide hydrolase that plays a role in the detoxification of epoxides (products of various metabolic processes of endogenous and xenobiotic substances) to convert them to less toxic trans dihydrodiols. Expressions of EPHX1 and EPHX2 were significantly decreased in CRC and presented as diagnostic and prognostic biomarkers for colorectal cancer [50]. EPHX1 in our findings was also decreased and showed only a positive correlation with other transcripts (GGT5, AKR7A2, and PTGS1). Lack of correlations with other transcripts in the healthy large intestine may indicate its limited role in this tissue. However, in CC vs. AC, a positive correlation with ADH5 was found (Table 5).
EPHX2 encodes the soluble epoxide hydrolase that plays a role in lipid metabolism (breakdown of epoxyeicosatrienoic acids), which takes part in anti-inflammatory and cytoprotective processes. The dysregulation of EPHX2 was connected to hypertension, hypercholesterolemia, cardiovascular diseases, and hepatocellular carcinoma [51]. Decreased expression of this transcript in CRC and high activity in nine correlations (positive with CYP2B7P1, ADH1C, GGT5, AKRB10, AKR7A2, and MAOA and negative with ADH5, ALDH1A1, and PTGS1) in healthy intestines that were only positive with ADH1C in CRC were found (Table 5).
The next silenced gene in CRC is MAOA, which encodes monoamine oxidase. Its role is not well understood in CRC pathogenesis, but continuous downregulation of its expression was stated [52], and it is suggested to be a biomarker for progression [53], similar to the presented findings. Dysfunction of oxidative deamination of amines is associated with progressive gene silencing and can lead to reduced oxidation of norepinephrine, serotonin, dopamine, and tyramine [54,55]. When comparing the results of MAOA expression in different cancers, they are inconsistent and differ per malignancy. For example, overexpression was found in classical Hodgkin lymphoma and glioma brain tumors, but downregulation was observed in melanoma, small cell lung carcinoma, malignant pleural mesothelioma, renal carcinoma, breast, hypopharyngeal, gastric, papillary thyroid, colon, and cholangiocarcinomas [53,55]. It is a correlation activity that was observed in both healthy tissue (positive with CYP2B7P1, ADH1C, AKRB10, and EPHX2 and negative with PTGS1), as well as CC vs. AC (positive with MAOA and negative with EPHX1 and PTGS1) and CRC (positive with ADH1C, ADH5, and AKRB10, and negative with GGT5) (Table 5).
Decreased expression in CRC was also observed; it was significant and met the criteria for PTGS1 (other names include COX1, PGHS-1, and PTGHS), which encodes prostaglandin-endoperoxide synthase 1, which converts arachidonates to prostaglandines (key mediators in inflammation capable of playing a dual role, pro-inflammatory or anti-inflammatory, depending on context) [56]. This gene was involved in the process of carcinogenesis, where its expression was increased or decreased, as in the breast [57] or bladder [58], respectively. Silenced PTGS1 expression was observed in colon cancer adenocarcinoma [59], as shown in the results. Furthermore, a correlation activity was observed in healthy tissue (positive with ADH5 and ALDH1A1 positive and negative with CYP2B7P1, ADH1C, AKRB10, EPHX2, and MAOA) in comparison to CC vs. AC (only negative with MAOA) and CRC (only positive with EPHX1) (Table 5).
The phase I biotransformation process in the studied CRC tissue can be characterized by oxidative stress and lipid, glutathione, aldehyde, many toxic compounds, and retinol metabolism. This can be a reason for the enhanced activity of CYP2B7P1. The expression of these genes increases in parallel with the clinical stages of CRC. On the other hand, the expression of most genes encoding enzymes involved in the metabolism of the first phase was significantly decreased in all clinical stages.
GSTP1 and NNMT are among the differentially expressed genes taking part in the second phase of biotransformation.
The presented results confirm the increased expression of GSTP1 in colorectal cancer [60,61], which issimilar for NNMT [62,63]. The first one, GSTP1, encodes glutathione S-transferase pi 1, which catalyzes reactions between glutathione and lipophilic compounds with electrophilic centers, leading to the neutralization of toxic compounds, xenobiotics, and products of oxidative stress [64]. GSTP1 only shows correlations with NQO2 in CC vs. AC and UGP2 in CRC.
The second one, NNMT, encodes the nicotinamide (vitamin B3) N-methyltransferase, which controls the intracellular concentration of nicotinamide, a precursor of NAD+ [65]. The expression of NNMT in the presented CRC was increased in all clinical stages, with a maximum value of FC at 5.5 in CSIII. Overexpressed NNMT is characteristic of many cancers [62]. Moreover, the activity of NNMT is mostly correlated with inflammation but can regulate multiple metabolic pathways, leading to increased proliferation and metastasis [65]. NNMT shows a negative correlation with UGP2 in CC, a positive correlation with NQO2, GSTM2, and UGT2B17 in CC vs. AC, and a lack of relation in CRC.
Among downregulated differentially expressed genes taking part in the second phase of biotransformation, our results confirm their participation in CRC, namely, GSTM1 [60], GSTM2 [60,66], GSTM4 [66], UGDH [67], UGP2 [68], UGT1A9, and UGT2B17.
Analysis of GSTM1 and GSTM2 showed that these genes were related to cell cycle, metabolism, and detoxification processes, as well as the Wnt signaling and NF-κB pathways [66,69]. UGDH mRNA expression levels were significantly lower in CRC tissues than in normal tissues and can potentially serve as a prognostic indicator for this cancer [67], similar to the presented findings.
The last two differentiated genes, UGT1A9 and UGT2B17, in the second biotransformation phase were both downregulated in the tested CRC tissue, which confirms previous works [70,71,72]. Our findings also confirm that UGT2B17 might be a CRC stage-related gene [72].
These genes encode the uridine 5′-diphospho-glucuronosyltransferase enzyme responsible for transferring glucuronic acid to a variety of substrates, e.g., bilirubin, bile acids, fatty acid derivatives, glucocorticoids, mineralocorticoids, retinoids, steroids, or thyroid hormones. They play a vital role in the detoxification process [71].
Only seven mRNAs exhibit correlation activity in this phase in CRC: two positive, GSTM1 with GSTM2 and UGDH with UGP2, and two negative, GSTP1 with UGP2 and NQO2 with UGT1A9.
The analysis of gene expression of phase II biotransformation showed two major processes dysregulated in CRC cells. The first is oxidative phosphorylation, a vital part of the cell’s metabolism and its main energy producer from FADH and NADH. NNMT takes part in nicotinamide biosynthesis in the cell, and NQO2 enables the reduction of two electrons in the electron transport chain. Hence, this aligns with the phase I expression pattern focused on oxidative stress, confirming the previous observation. The second process is glucuronic acid transfer, whose efficiency will be lowered in CRC cells as a consequence of the downregulation of the two described genes. Disruption of this process probably leads to the accumulation of first-phase products and inhibition of the detoxification process.
Differentially expressed transcripts in the third biotransformation phase (III) can be divided into two groups: adenosine triphosphate binding cassette (ABCB2, ABCG2, ABCD3, ABCA8) and solute carriers (SLC2A3 and more than ten SLC highlighted). The expression of the ABCB2 (TAP1) gene was upregulated in all four clinical stages, which confirms the analysis where TAP1 exhibited a state of elevated expression in colon adenocarcinoma, too [73].
The next three mentioned adenosine triphosphate-binding cassette (ABC) transporter family members (ABCG2, ABCD3, ABCA8) had downregulated expression in the studied CRC samples in comparison to the control. The ABCG2 gene encodes a protein that plays a protective role in capillary endothelial cells, the gastrointestinal tract, and hematopoietic stem cells, and it is expressed in many organs. Downregulated expression of ABCG2 in normal and cancer tissues from colectomy specimens [74] was confirmed in CRC. It was stated that the decreased expression of this gene can be caused by the accumulation of genotoxins and the overproduction of nitric oxide [75]. ABCD3 encodes an enzyme essential in the peroxisomal oxidation of lauric and palmitic acid. Large amounts of this gene were observed in the liver, kidneys, gut, brain microvessels, and skin [76,77]. Zhang et. al. also stated that the mRNA of ABCD3 was decreased in CRC tissue in comparison to the control [78]. These results are in parallel with the CRC samples in the presented study. Hence, the expression of ABCD3 may be considered as a potential diagnostic, prognostic, and therapeutic factor in CRC patients. The dramatically reduced expression of ABCA8 in the CRC tissues is also confirmed by Yang et al. [79], where it was found that this gene inhibited CRC cell proliferation and metastasis through the Wnt/β-catenin signaling pathway, both in vitro and in vivo. Namely, downregulated expression of ABCA8 induced epithelial transformation to mesenchyme via the ABCA8/ERK/ZEB1 pathway and promoted the progression of hepatocellular carcinoma [80]. All listed ATP-binding cassette mRNAs showed correlative activity (Table 7).
The second group of genes in phase III are solute carriers (SLCs), specifically SLC2A3 encoding the glucose transporter (GLUT3) protein [81]. Upregulation of SLC2A3 was stated in CRC. Overexpression of this gene was associated with progression and decreased survival in CRC [81,82]. A similar expression profile was noted for SLC5A1 [83], SLC6A14 [84], SLC7A5 [85], SLC12A2 [82], SLC25A15 [32], SLC25A32 [32,86], SLCO1B3 [87], and SLCO4A1 [88], which are enhanced in CRC, too. Furthermore, the results confirm the involvement of SLC25A4 in the development of CRC and its silencing in all stages [32] and the reduced expression of SLC35A1 in this tumor [87]. It was stated that mutations in SLC25A15 and SLC25A32 occurred at a higher frequency in patients with colon cancer than in healthy individuals [32]. Moreover, SLC25A32 promotes tumor progression through MYC-mediated pathways [89]. However, no evidence for the involvement of other mRNAs was found. Regarding AKRB7A2, SLC5A6, and SLC29A2, for the first time, a significant role in CRC adenocarcinoma development as well as in a healthy colon is presented. The first was presented with silenced transcripts from phase I biotransformation. The next ones belong to phase III.
SLC5A6 (SMVT) encodes a cotransporter sodium coupled to solutes as diverse as water-soluble vitamins, which can transport biotin and pantothenic acid. It was stated that SLC5A6 may potentially be a diagnostic and prognostic biomarker in gastric cancer [90]. SLC5A6 had increased expression in CRC. Correlative activity of this mRNA with others from phase III was observed in both healthy and cancerous colons. Apart from our results, there is no information on mRNA expression in CRC.
SLC29A2 encodes human equilibrative nucleoside transporters (hENT2), which can transport nucleosides, nucleobases, and certain neurotransmitters across cell membranes. It was stated that SLC29A2 was expressed at lower levels in colon cancer cell lines originating from metastatic sites than from primary sites [91]. Expression was increased in the CSI stage and gradually reduced in the subsequent stages (CSII-IV) of CRC development, but it was still overexpressed. Correlative activity of this mRNA with others from phase III occurred in both healthy and cancerous colons.
The AHR (aryl hydrocarbon receptor)–ligand-dependent transcription factor regulates gene expression in lipid and cholesterol synthesis, xenobiotic (e.g., aryl hydrocarbons) metabolism, and many cellular responses not only in different physiological cells but also in all stages of cancer development (it can act as a tumor suppressor or tumor promoter) [92]. Its expression was found to be elevated in breast cancer (ER-negative), lung cancer (non-small cell), papillary thyroid carcinoma, cutaneous squamous cell carcinoma, T cell leukemia, B cell lymphoma, hepatocellular carcinoma, and glioblastoma, but in gastric cancer, it was downregulated [93]. The obtained results indicate that adenocarcinoma of CRC has a slightly elevated expression of the AHR in all clinical stages. Diminished AHR expression triggers cooperation with E2F1, which may lead to increased cell proliferation and apoptosis [94]. This gene had no correlations with other biotransformation-connected genes in healthy colon tissue (CC). The AHR in AC correlates negatively with ADH1C and with AKR1B10 in CC; the higher the activity of ADH1C and/or AKR1B10, the lower the AHR. However, in CRC, its activity is negatively influenced by DPEP1, which is involved in leukotriene metabolism and inflammation. Furthermore, taking into account the obtained results of the analysis of AhR pathways (Table 2 and Table 4), it can be indicated that this transcript plays a pro-proliferative, apoptotic, and anti-inflammatory role in the development of CRC.
The presented data offer a novel insight into the transcriptional activity of genes related to the biotransformation process in phases I–III of CRC adenocarcinoma development, with additional insight into statistically significant transcripts of the canonical and non-canonical AhR pathways. An increase in the expression of genes related to the metabolism of lipids, retinol or other alcohols, hydroxy sterols, aldehydes, and carboxylic acids, in the absence of transcriptional activity of genes encoding coupling enzymes, may contribute to the induction of oxidative stress and “alleged inflammation” induced by the products of these reactions, such as reactive free radicals and non-metabolized compounds [95]. This is demonstrated by the differentiation in the gene expression profile shown in the study, not only in phases I and II but also in transporters (phase III). The profile of deregulated biotransformation genes disrupted processes, which are important for the intestinal tissue and are similar but also different from those in other tissues [96].
For the first time, the involvement of the phase I transcript AKR7A2 and the phase III SLC5A6 and SLC29A2, as well as those related to the AhR receptor pathways, was demonstrated in CRC development. Among the statistically significant genes associated with xenobiotic biotransformation, AKR7A2 may metabolize acrolein and aflatoxins, and many other genes mentioned in the study are encoding enzymes involved in the biotransformation of compounds, such as leukotrienes, glutathione, lipids, retinol, glucose, vitamins B5 and B7, lipoate, and iodide; as well as transports of amino acids, nucleotides, and others, indicating that the development of CRC at the tumor site is associated with the disruption of the biotransformation process. The transcriptional activity of the 46 genes (phases I–III) related to the biotransformation/detoxification of xenobiotics/endobiotics and their connections to key pathways involved in carcinogenesis confirms the importance of this process in CRC development.
4. Materials and Methods
The project of examining samples of CRC was approved by the Bioethics Committee of the Medical University of Silesia with consent no. KNW/0022/KB1/21/I/10. All the procedures conform to the standards set by the Declaration of Helsinki (printed in the British Medical Journal in 1964 and the next revision). The participants provided understanding and written consent for the use of their resected material in the research project.
All participants, 98 patients aged 39–89 years, underwent surgical resection due to CRC at the Clinical Department of General, Colorectal, and Multiorgan Surgery of the Medical University of Silesia.
The material consisted of CRC tumors taken from resected large intestines and samples of untouched large intestines taken from the operating material, histologically checked as normal tissue. All the CRC adenocarcinoma sections were histopathologically and clinically described and divided into four clinical stages (CSI, CSII, CSIII, CSIV) according to the AJCC/UICC staging system, as shown in Table 8 [5,97,98].
Table 8.
Descriptions of clinical stages.
Characteristics of the patients, basic parameters, and data collected from the interview are presented in Table 9.
Table 9.
Characteristics of patients included in the test.
The criteria for exclusion from the study group included patients who were diagnosed with a form of cancer other than CRC, had unclear histological confirmation of CRC, re-operated on due to the underlying disease, had genetic changes as well as metabolic or systemic conditions (such as obesity, hyperlipidemia, hyperglycemia), had previous radio- and/or chemotherapy, and those undergoing or had hormone replacement therapy completed within 5 years before the operation.
The criteria for inclusion were CRC adenocarcinoma in histopathological assessments of tumor material obtained intraoperatively from patients with different stages of disease undergoing elective classical surgical procedures and patients who lived all their lives in the industrial area of Silesia in Poland. Moreover, the inclusion criteria included patients who did not take any medications regularly. Forty cases met the criteria for inclusion.
4.1. Material for Analysis
The study material collected from the patients comprised a total of 98 biopsies from various parts of the colon. Of these, 20 biopsies from healthy colons and 20 biopsies from cancerous sites of the colon were selected for the study based on patient characteristics and inclusion and exclusion criteria. The percentage distribution of biopsies collected is presented in Figure 7.
Figure 7.
Distribution of tumor location in the colon (from the inside of the circle: female, male, and all).
The collected large intestine material consisted of cecums—5% (only female), ascending colons—5% (female) and 10% (male), descending colons—5% each, sigmoid—15% (female) and 10% (male), colons 5% (only male), and rectums—5% (female) and 25% (male), respectively.
After excision of the tumor and collection of samples for histopathological analysis, the material was preserved for molecular studies by storing it in a Dewar flask in containers in RNAprotect® solution (QIAGEN GmbH, Hilden, Germany) at a low temperature of −80 °C, and then the samples were immediately transported to the molecular laboratory.
4.2. Histopathological Procedure
Tissues from all surgical biopsies were collected for histopathological examination. The tissues were fixed, dehydrated, embedded in paraffin, and thinly sliced using a microtome to prepare them for routine microscopic evaluation. Each tissue was stained with hematoxylin and eosin (H&E). The prepared slides were viewed under an Olympus AX70 microscope (Olympus Co., Tokyo, Japan). The slides were classified as adenocarcinomas of varying degrees of differentiation. The depth of invasion of the colon wall and surrounding tissues and the invasion of blood vessels or nerves were recorded, as indicated by the image. The microscopic images presented in this paper (Figure 1A–C and Figure S1–S3) were acquired using a NanoZoomer SQ slide scanner (Hamamatsu Photonic K.K., Hamamatsu, Shizuoka, Japan).
4.3. Material Grouping
The clinical stage of CRC (according to AJCC/UICC) was assessed intraoperatively during classical surgical techniques (without the use of electrical instruments) and with mechanical tissue compression kept to a minimum. Colorectal cancer specimens were obtained from 78 individuals (37 female and 41 male), and healthy colon tissues were obtained from 20 individuals (8 female and 12 male) hospitalized at the Clinical Department of General, Colorectal and Multiorgan Surgery in St Barbara Regional Specialist Hospital No 5 in Sosnowiec. The distribution of CRC clinical stages for females was as follows: CSI N = 2, CSII N = 18, CSIII N = 11, and CSIV N = 6. For males, it was CSI N = 16, CSII N = 14, CSIII N = 3, and CSIV N = 8. The percentage distribution of the clinical stages of colorectal cancer in patients and the distribution of histopathological differentiation grade of tumors (feature G) are presented in Figure 8A,B, respectively.
Figure 8.
Distribution of clinical stages of colorectal cancer in patients (A) and histopathological grading of tumors (B).
Based on the inclusion criteria of patients and taking into consideration the clinical stage, the tissues included in the experiment were divided into 5 groups: control (CC, N = 20), clinical stage I (CSI, N = 4; G1 and G2 (75%)), clinical stage II (CSII, N = 6; G2 (66%) and G1), clinical stage III (CSIII, N = 6; G2 (33%) and G3), and clinical stage IV (CSIV, N = 4; G3 and G2 (25%)), with the histopathological grade described.
4.4. RNA Extraction
The frozen postoperative control large colon (CC; histopathologically estimated) and CRC adenocarcinoma (histopathologically estimated) samples at different stages (CSI–CSIV) were homogenized separately with the use of TRIzol reagent and isolated total RNA in accordance with the producer’s protocol (Invitrogen Inc., Carlsbad, CA, USA). Isolated RNA was purified with RNeasy Mini Kit columns (QIAGEN, Germany). The purity of the isolated RNA was evaluated using standard methods recommended by the microarray manufacturer.
4.5. Microarray Analysis
The isolated RNA from each sample was used to prepare microarrays. Analysis was performed by the formation of cDNA and cRNA; next, its fragmentation and hybridization with HG-U133A microarrays were performed according to the producer’s manual (Affymetrix, Santa Clara, CA, USA). During all steps of analysis, the quality of cDNA and cRNA was checked according to the manufacturer’s recommendations. The fluorescence intensity signal was read using the Gene Chip Optical Scanner 3000 7G (Affymetrix, Santa Clara, CA, USA). The quality of the microarrays was checked in the Affymetrix® GeneChip® Command Console® v6.1 Software (Figure S4). All data are deposited in the PL-Grid Infrastructure (www.plgrid.pl).
4.6. Selecting Gene Panels for Analysis
The examined selected panels of mRNA from HGU-133A microarrays of CRC (CSI –CSIV) and healthy colon tissue samples (CC) were based on separate genes associated with the biotransformation process (302 genes in the term “Cytochrome P450—arranged by substrate type” downloaded on 15 February 2020 and repeated in 2025), which correspond to 366 mRNAs on the used microarrays. Additionally, genes linked to the terms “I phase biotransformation”, “cytochrome P450”, “II phase biotransformation”, “III phase biotransformation”, “ATP binding cassette”, “transporters”, and “AhR canonical and non-canonical pathways” downloaded at the same time were investigated. The above-mentioned entries and the literature allowed us to create lists of probes (entities), which are presented in Tables S5–S10 and S17. Statistically significant entities were assigned their corresponding gene names and are presented in Tables S11–S16 and S18.
4.7. Statistical Analysis
The standard statistical analysis of the data obtained from microarrays was performed in the GeneSpring 13.0 software (Agilent Technologies, Inc., Santa Clara, CA, USA). Descriptive statistics were calculated for all mRNAs in each CRC clinical stage (CSI-IV) in comparison to the control colon tissues (CC). For comparison, all samples in all stages were subjected to analysis of variance with the post hoc HSD Tukey test with Benjamini–Hochberg correction (FDR—False Discovery Rate). The fold change (FC) parameter was calculated from statistically significant CRC mRNAs compared to the control.
The fluorescence signals of the mRNAs obtained from colorectal adenocarcinoma tissues (CRC in CSI–CSIV) and the control colon (CC) were normalized in MATLAB 8.0 software and submitted to the Excel application of Microsoft®Office. Statistical analysis of the Pearson correlations with a coefficient, r, from −1.00 (negative) to 1.00 (positive) of the significant genes in phases I–III was performed with the use of STATISTICA 13.3 (TIBCO) software. The significance level was set at p ≤ 0.05.
5. Conclusions
The presented disturbances in all studied phases (I–III) indicate that genes associated with biotransformation actively participate in the development of CRC. Potential diagnostic transcripts may include ADH1C, GGT5, NQO2, and SLC25A5 in colorectal adenocarcinoma. Transcriptional activity of biotransformation genes in the healthy intestine was more intense in phases I–II and in phase III in CRC. The AHR, EPHX1, GSTP1, and SLC25A32 were observed to be uncorrelated with other genes in the healthy intestine; they were only in CRC. Analysis of the transcriptional activity of genes associated with the biotransformation phases supports the theory that imbalances in subsequent phases of biotransformation may influence the development of CRC. The observed changes in the presented transcripts in phases I–III, as well as those associated with the AhR, indicate their importance for new therapies and directions for preventive measures in colorectal cancer.
The presented analysis demonstrates potential diagnostic and therapeutic targets for CRC limited to cellular biotransformation at the transcriptomic level. Further studies in vitro and in vivo are recommended.
Supplementary Materials
The following supporting information can be downloaded at https://www.mdpi.com/article/10.3390/ijms262412116/s1.
Author Contributions
Conceptualization, G.J. and T.J.; methodology, G.J., T.J., A.K., Z.L., M.O. and U.M.; software, T.J. and G.J.; validation, G.J., T.J., A.K. and Z.L.; formal analysis, G.J.; investigation, T.J.; resources, T.J., M.O. and G.J.; data curation, Z.L., U.M., T.J. and G.J.; writing—original draft preparation, G.J. and T.J.; writing—review and editing, T.J., G.J. and M.O.; visualization, G.J., A.K., and T.J.; supervision, U.M., Z.L. and G.J.; project administration, Z.L., U.M. and G.J.; funding acquisition, G.J. All authors have read and agreed to the published version of the manuscript.
Funding
This research was funded in part by the Medical University of Silesia, grant number BNW-1-080/N/3/F, and in part by the MDPI reviewer vouchers and discounts.
Institutional Review Board Statement
The study was conducted in accordance with the Declaration of Helsinki and was approved by the Bioethics Committee of Medical University of Silesia for studies involving humans, KNW/0022/KB1/21/I/10, on 16 February 2010.
Informed Consent Statement
Informed consent was obtained from all subjects involved in the study.
Data Availability Statement
All data are deposited in the PL-Grid Infrastructure (www.plgrid.pl).
Acknowledgments
The authors would like to thank the PL-Grid Infrastructure dedicated to Life Science and Personalized Medicine, which created the possibility to perform part of the data analysis. The authors would like to thank all patients for their contribution to this study.
Conflicts of Interest
The authors declare no conflicts of interest.
Abbreviations
The following abbreviations are used in this manuscript:
| ABC | Adenosine triphosphate-binding cassette |
| AC | Adenocarcinoma |
| ADH | Alcohol dehydrogenase |
| ALDH | Aldehyde dehydrogenase |
| ANOVA | Analysis of variance |
| BaP | Benzo(a)pyrene |
| B-H | Benjamini–Hochberg correction of p-value |
| BRAF | B-rapidly accelerated fibrosarcoma |
| CA 19-9 | Carbohydrate antigen 19-9 |
| CAR T | Chimeric antigen receptor T cells |
| CC | Control colon |
| CEA | Carcinoembryonic antigen |
| CRC | Colorectal cancer |
| CS | Clinical stage |
| CYP | Cytochrome P450 |
| down | downregulation |
| EGFR | Epidermal growth factor receptor |
| ERBB2 | Erythroblastic oncogene B |
| FC | Fold Change |
| FDR | False discovery rate |
| FMO | Flavin-containing monooxidase |
| G1 | Grade 1 |
| G2 | Grade 2 |
| G3 | Grade 3 |
| GST | Glutathione S-transferase |
| HER2 | Human epidermal growth factor receptor 2 |
| HSD | High Significant Difference |
| ID | Identified number of transcript probes in Affymetrix microarrays |
| KRAS | Kirsten Rat sarcoma |
| MAOA | Monoamine oxidase |
| MEK | Mitogen-activated protein kinase kinase |
| NRAS | Neuroblastoma RAS |
| p-value | Probability value |
| r | Correlation coefficient |
| RAS | Rat Sarcoma |
| S | Supplemental |
| SLC | Solute Carrier transporter |
| TCDD | 2,3,7,8-tetrachlorodibenzo-p-dioxin |
| TNM | Tumor Node Metastasis |
| UGT | Uridine diphospho-glucuronosyl ransferase |
| up | upregulation |
| VEGF | Vascular endothelial growth factor |
| Names of genes used in the text are explained in Table S18. |
References
- Siegel, R.L.; Kratzer, T.B.; Giaquinto, A.N.; Sung, H.; Jemal, A. Cancer statistics, 2025. CA Cancer J. Clin. 2025, 75, 10–45. [Google Scholar] [CrossRef]
- World Health Statistics. Monitoring Health for the SDGs, Sustainable Development Goals; World Health Organization: Geneva, Switzerland, 2019; Available online: https://www.who.int/news-room/fact-sheets/detail/colorectal-cancer (accessed on 26 June 2025).
- Nikolaou, S.; Qiu, S.; Fiorentino, F.; Rasheed, S.; Tekkis, P.; Kontovounisios, C. Systematic review of blood diagnostic markers in colorectal cancer. Tech. Coloproctol. 2018, 22, 481–498. [Google Scholar] [CrossRef]
- Delle Cave, D. Advances in Molecular Mechanisms and Therapeutic Strategies in Colorectal Cancer: A New Era of Precision Medicine. Int. J. Mol. Sci. 2025, 26, 346. [Google Scholar] [CrossRef]
- Amin, M.B.; Greene, F.L.; Edge, S.B.; Compton, C.C.; Gershenwald, J.E.; Brookland, R.K.; Meyer, L.; Gress, D.M.; Byrd, D.R.; Winchester, D.P. The Eighth Edition AJCC Cancer Staging Manual: Continuing to build a bridge from a population-based to a more “personalized” approach to cancer staging. CA Cancer J. Clin. 2017, 67, 93–99. [Google Scholar] [CrossRef]
- Jafarlou, V.; Jafarlou, M. Current Approaches, Challenges, and Future Perspectives in Colorectal Cancer Therapeutics and Integrated Care. Asian Pac. J. Cancer Care 2025, 10, 861–869. [Google Scholar] [CrossRef]
- Wojciechowska, U.; Didkowska, J.; Barańska, K.; Miklewska, M.; Michałek, I.; Olasek, P.; Jawołowska, A. Cancer in Poland in 2022. In Polish National Cancer Registry; Maria Curie-Sklodowska National Institute of Oncology: Warsaw, Poland, 2024; Available online: https://onkologia.org.pl/sites/default/files/publications/2025-02/Nowotwory_2022.pdf (accessed on 22 August 2025).
- Dosunmu, G.T.; Shergill, A. Colorectal Cancer: Genetic Underpinning and Molecular Therapeutics for Precision Medicine. Genes 2024, 15, 538. [Google Scholar] [CrossRef] [PubMed]
- Sánchez-Gundín, J.; Fernández-Carballido, A.M.; Martínez-Valdivieso, L.; Barreda-Hernández, D.; Torres-Suárez, A.I. New Trends in the Therapeutic Approach to Metastatic Colorectal Cancer. Int. J. Med. Sci. 2018, 15, 659–665. [Google Scholar] [CrossRef] [PubMed]
- Steup, C.; Kennel, K.B.; Neurath, M.F.; Fichtner-Feigl, S.; Greten, F.R. Current and emerging concepts for systemic treatment of metastatic colorectal cancer. Gut 2025, 74, 2070–2095. [Google Scholar] [CrossRef]
- Rapanotti, M.C.; Cenci, T.; Scioli, M.G.; Cugini, E.; Anzillotti, S.; Savino, L.; Coletta, D.; Di Raimondo, C.; Campione, E.; Roselli, M.; et al. Circulating Tumor Cells: Origin, Role, Current Applications, and Future Perspectives for Personalized Medicine. Biomedicines 2024, 12, 2137. [Google Scholar] [CrossRef]
- Ezeanolue, I.R.; Ezeanolue, C.F.; Plastina, P.; Stefanello, F.M.; Giacomelli Tavares, R.; Spanevello, R.M. In Vitro Anti-Inflammatory and Anticancer Potential of Pecan Nut (Carya illinoinensis) Kernel Extracts: Modulation of Cell Signaling Pathways-A Scoping Review. Molecules 2025, 30, 4310. [Google Scholar] [CrossRef] [PubMed]
- Yudaev, P.; Tupikov, A.; Chistyakov, E. Organocyclophosphazenes and Materials Based on Them for Pharmaceuticals and Biomedicine. Biomolecules 2025, 15, 262. [Google Scholar] [CrossRef] [PubMed]
- Silva, D.B.D.; Pianovski, M.A.D.; Carvalho Filho, N.P. Environmental pollution and cancer. J. Pediatr. 2025, 101, S18–S26. [Google Scholar] [CrossRef]
- Shimada, T. Xenobiotic-metabolizing enzymes involved in activation and detoxification of carcinogenic polycyclic aromatic hydrocarbons. Drug Metab. Pharmacokinet. 2006, 21, 257–276. [Google Scholar] [CrossRef]
- Phang-Lyn, S.; Llerena, V.A. Biochemistry, Biotransformation; StatPearls Publishing: Treasure Island, FL, USA, 2025. [Google Scholar]
- Liu, X. ABC Family Transporters. Adv. Exp. Med. Biol. 2019, 1141, 13–100. [Google Scholar]
- Xue, J.; Zhao, Q.; Sharma, V.; Nguyen, L.P.; Lee, Y.N.; Pham, K.L.; Edderkaoui, M.; Pandol, S.J.; Park, W.; Habtezion, A. Aryl Hydrocarbon Receptor Ligands in Cigarette Smoke Induce Production of Interleukin-22 to Promote Pancreatic Fibrosis in Models of Chronic Pancreatitis. Gastroenterology 2016, 151, 1206–1217. [Google Scholar] [CrossRef]
- Fritz, A.; Busch, D.; Lapczuk, J.; Ostrowski, M.; Drozdzik, M.; Oswald, S. Expression of clinically relevant drug-metabolizing enzymes along the human intestine and their correlation to drug transporters and nuclear receptors: An intra-subject analysis. Basic. Clin. Pharmacol. Toxicol. 2019, 124, 245–255. [Google Scholar] [CrossRef]
- Srinivasan Sridhar, V.; Ambinathan, J.P.N.; Kretzler, M.; Pyle, L.L.; Bjornstad, P.; Eddy, S.; Cherney, D.Z.; Reich, H.N. European Renal cDNA Bank (ERCB): Nephrotic Syndrome Study Network (NEPTUNE). Renal SGLT mRNA expression in human health and disease: A study in two cohorts. Am. J. Physiol. Renal Physiol. 2019, 317, F1224–F1230. [Google Scholar] [CrossRef]
- Lin, T.C.; Chien, W.C.; Hu, J.M.; Tzeng, N.S.; Chung, C.H.; Pu, T.W.; Hsiao, C.W.; Chen, C.Y. Risk of colorectal cancer in patients with alcoholism: A nationwide, population-based nested case-control study. PLoS ONE 2020, 15, e0232740. [Google Scholar] [CrossRef] [PubMed]
- Botteri, E.; Borroni, E.; Sloan, E.K.; Bagnardi, V.; Bosetti, C.; Peveri, G.; Santucci, C.; Specchia, C.; van den Brandt, P.; Gallus, S.; et al. Smoking and Colorectal Cancer Risk, Overall and by Molecular Subtypes: A Meta-Analysis. Am. J. Gastroenterol. 2020, 115, 1940–1949. [Google Scholar] [CrossRef]
- Chiavarini, M.; Bertarelli, G.; Minelli, L.; Fabiani, R. Dietary Intake of Meat Cooking-Related Mutagens (HCAs) and Risk of Colorectal Adenoma and Cancer: A Systematic Review and Meta-Analysis. Nutrients 2017, 9, 514. [Google Scholar] [CrossRef] [PubMed]
- Li, S.; Yang, H.; Li, W.; Liu, J.Y.; Ren, L.W.; Yang, Y.H.; Ge, B.B.; Zhang, Y.Z.; Fu, W.Q.; Zheng, X.J.; et al. ADH1C inhibits progression of colorectal cancer through the ADH1C/PHGDH /PSAT1/serine metabolic pathway. Acta Pharmacol. Sin. 2022, 43, 2709–2722, Erratum in Acta Pharmacol. Sin. 2024, 45, 2450–2451. [Google Scholar] [CrossRef]
- Kropotova, E.S.; Zinovieva, O.L.; Zyryanova, A.F.; Dybovaya, V.I.; Prasolov, V.S.; Beresten, S.F.; Oparina, N.Y.; Mashkova, T.D. Altered expression of multiple genes involved in retinoic acid biosynthesis in human colorectal cancer. Pathol. Oncol. Res. 2014, 20, 707–717. [Google Scholar] [CrossRef]
- Wickham, S.; Regan, N.; West, M.B.; Kumar, V.P.; Thai, J.; Li, P.K.; Cook, P.F.; Hanigan, M.H. Divergent effects of compounds on the hydrolysis and transpeptidation reactions of γ-glutamyl transpeptidase. J. Enzyme Inhib. Med. Chem. 2012, 27, 476–489. [Google Scholar] [CrossRef] [PubMed]
- Yardim-Akaydin, S.; Deviren, C.; Miser-Salihoglu, E.; Caliskan-Can, E.; Atalay, M.C. mRNA Expressions of Gamma-Glutamyl Transferase Genes in Different Types of Cancer. FABAD J. Pharm. Sci. 2017, 42, 21–28. [Google Scholar]
- Chen, D.; Sun, Q.; Cheng, X.; Zhang, L.; Song, W.; Zhou, D.; Lin, J.; Wang, W. Genome-wide analysis of long noncoding RNA (lncRNA) expression in colorectal cancer tissues from patients with liver metastasis. Cancer Med. 2016, 5, 1629–1639. [Google Scholar] [CrossRef]
- Gaikwad, N.W.; Yang, L.; Rogan, E.G.; Cavalieri, E.L. Evidence for NQO2-mediated reduction of the carcinogenic estrogen ortho-quinones. Free Radic. Biol. Med. 2009, 46, 253–262. [Google Scholar] [CrossRef]
- Hsieh, T.C.; Wang, Z.; Hamby, C.V.; Wu, J.M. Inhibition of melanoma cell proliferation by resveratrol is correlated with upregulation of quinone reductase 2 and p53. Biochem. Biophys. Res. Commun. 2005, 334, 223–230. [Google Scholar] [CrossRef]
- Zhou, J.Q.; Zhu, S.Y.; He, Y.; Yu, K.D. Association Between a Tri-allelic Polymorphism in the Estrogen Metabolism Oxidoreductase NRH:Quinone Oxidoreductase 2 Gene and Risk of Breast Cancer by Molecular Subtype. Front. Genet. 2021, 12, 658285. [Google Scholar] [CrossRef] [PubMed]
- Chen, Y.J.; Hong, W.F.; Liu, M.L.; Guo, X.; Yu, Y.Y.; Cui, Y.H.; Liu, T.S.; Liang, L. An integrated bioinformatic investigation of mitochondrial solute carrier family 25 (SLC25) in colon cancer followed by preliminary validation of member 5 (SLC25A5) in tumourigenesis. Cell Death Dis. 2022, 13, 237. [Google Scholar] [CrossRef]
- Gao, R.; Zhou, D.; Qiu, X.; Zhang, J.; Luo, D.; Yang, X.; Qian, C.; Liu, Z. Cancer Therapeutic Potential and Prognostic Value of the SLC25 Mitochondrial Carrier Family: A Review. Cancer Control 2024, 31, 10732748241287905. [Google Scholar] [CrossRef] [PubMed]
- Lee, C.H.; Kim, M.J.; Lee, H.H.; Paeng, J.C.; Park, Y.J.; Oh, S.W.; Chai, Y.J.; Kim, Y.A.; Cheon, G.J.; Kang, K.W.; et al. Adenine nucleotide translocase 2 as an enzyme related to [(18)F] FDG accumulation in various cancers. Mol. Imaging Biol. 2019, 21, 722–730. [Google Scholar] [CrossRef]
- Fan, J.; Yan, D.; Teng, M.; Tang, H.; Zhou, C.; Wang, X.; Li, D.; Qiu, G.; Peng, Z. Digital transcript profile analysis with aRNA-LongSAGE validates FERMT1 as a potential novel prognostic marker for colon cancer. Clin. Cancer Res. 2011, 9, 2908–2918. [Google Scholar] [CrossRef] [PubMed]
- Vande Voorde, J.; Steven, R.T.; Najumudeen, A.K.; Ford, C.A.; Dexter, A.; Gonzalez-Fernandez, A.; Nikula, C.J.; Xiang, Y.; Ford, L.; Stavrakaki, S.M.; et al. Metabolic profiling stratifies colorectal cancer and reveals adenosylhomocysteinase as a therapeutic target. Nat. Metab. 2023, 5, 1303–1318. [Google Scholar] [CrossRef]
- Shen, X.Q.; Wu, Q.M.; Yang, C.H.; Yan, Q.D.; Cao, P.J.; Chen, F.L. Four Low Expression LncRNAs are Associated with Prognosis of Human Lung Adenocarcinoma. Clin. Lab. 2020, 66, 200211. [Google Scholar] [CrossRef]
- Brandfellner, H.M.; Ruparel, S.B.; Gelfond, J.A.; Hargreaves, K.M. Major blunt trauma evokes selective upregulation of oxidative enzymes in circulating leukocytes. Shock 2013, 40, 182–187. [Google Scholar] [CrossRef]
- Zhang, C.; Aldrees, M.; Arif, M.; Li, X.; Mardinoglu, A.; Aziz, M.A. Elucidating the Reprograming of Colorectal Cancer Metabolism Using Genome-Scale Metabolic Modeling. Front. Oncol. 2019, 9, 681. [Google Scholar] [CrossRef] [PubMed]
- Eisenach, P.A.; Soeth, E.; Röder, C.; Klöppel, G.; Tepel, J.; Kalthoff, H.; Sipos, B. Dipeptidase 1 (DPEP1) is a marker for the transition from low-grade to high-grade intraepithelial neoplasia and an adverse prognostic factor in colorectal cancer. Br. J. Cancer 2013, 109, 694–703. [Google Scholar] [CrossRef]
- Sebag, S.C.; Zhang, Z.; Qian, Q.; Li, M.; Zhu, Z.; Harata, M.; Li, W.; Zingman, L.V.; Liu, L.; Lira, V.A.; et al. ADH5-mediated NO bioactivity maintains metabolic homeostasis in brown adipose tissue. Cell Rep. 2021, 37, 110003. [Google Scholar] [CrossRef]
- Jelski, W.; Zalewski, B.; Chrostek, L.; Szmitkowski, M. The activity of class I, II, III, and IV alcohol dehydrogenase isoenzymes and aldehyde dehydrogenase in colorectal cancer. Dig. Dis. Sci. 2004, 49, 977–981. [Google Scholar] [CrossRef]
- Yao, Y.; Wang, X.; Zhou, D.; Li, H.; Qian, H.; Zhang, J.; Jiang, L.; Wang, B.; Lin, Q.; Zhu, X. Loss of AKR1B10 promotes colorectal cancer cells proliferation and migration via regulating FGF1-dependent pathway. Aging 2020, 12, 13059–13075. [Google Scholar] [CrossRef] [PubMed]
- Andress Huacachino, A.; Joo, J.; Narayanan, N.; Tehim, A.; Himes, B.E.; Penning, T.M. Aldo-keto reductase (AKR) superfamily website and database: An update. Chem. Biol. Interact. 2024, 398, 111111. [Google Scholar] [CrossRef]
- Guo, M.; Wang, T.; Ge, W.; Ren, C.; Ko, B.C.; Zeng, X.; Cao, D. Role of AKR1B10 in inflammatory diseases. Scand. J. Immunol. 2024, 100, e13390. [Google Scholar] [CrossRef] [PubMed]
- Nakase, H.; Mizuguchi, H.; Nakajima, M. Quantitative Analysis of mRNA and Protein Expression Levels of Aldo-Keto Reductase and Short-Chain Dehydrogenase/Reductase Isoforms in the Human Intestine. Drug Metab. Dispos. 2023, 51, 1569–1577. [Google Scholar]
- Lyon, R.C.; Johnston, S.M.; Watson, D.G.; McGarvie, G.; Ellis, E.M. Synthesis and catabolism of gamma-hydroxybutyrate in SH-SY5Y human neuroblastoma cells: Role of the aldo-keto reductase AKR7A2. J. Biol. Chem. 2007, 282, 25986–25992. [Google Scholar] [CrossRef] [PubMed]
- van der Waals, L.M.; Borel Rinkes, I.H.M.; Kranenburg, O. ALDH1A1 expression is associated with poor differentiation, ‘right-sidedness’ and poor survival in human colorectal cancer. PLoS ONE 2018, 13, e0205536. [Google Scholar] [CrossRef]
- Xu, S.L.; Zeng, D.Z.; Dong, W.G.; Ding, Y.Q.; Rao, J.; Duan, J.J.; Liu, Q.; Yang, J.; Zhan, N.; Liu, Y.; et al. Distinct patterns of ALDH1A1 expression predict metastasis and poor outcome of colorectal carcinoma. Int. J. Clin. Exp. Pathol. 2014, 7, 2976–2986. [Google Scholar]
- Cao, L.; Ba, Y.; Chen, F.; Li, D.; Zhang, S.; Zhang, H. The prognostic significance of epoxide hydrolases in colorectal cancer. Biochem. Biophys. Rep. 2025, 41, 101912. [Google Scholar] [CrossRef]
- Ren, Y.; Wang, T.; Yin, J. The role of soluble epoxide hydrolase in the intestine. Cell Biol. Int. 2024, 48, 1612–1620. [Google Scholar] [CrossRef]
- Mikula, M.; Rubel, T.; Karczmarski, J.; Goryca, K.; Dadlez, M.; Ostrowski, J. Integrating proteomic and transcriptomic high-throughput surveys for search of new biomarkers of colon tumours. Funct. Integr. Genom. 2010, 11, 215–224. [Google Scholar] [CrossRef]
- Rybaczyk, L.A.; Bashaw, M.J.; Pathak, D.R.; Huang, K. An indicator of cancer: Downregulation of monoamine oxidase-A in multiple organs and species. BMC Genom. 2008, 9, 134. [Google Scholar] [CrossRef] [PubMed]
- Shih, J.C. Monoamine oxidase isoenzymes: Genes, functions and targets for behavior and cancer therapy. J. Neural Transm. 2018, 125, 1553–1566. [Google Scholar] [CrossRef] [PubMed]
- Huang, L.; Frampton, G.; Rao, A.; Zhang, K.S.; Chen, W.; Lai, J.M.; Yin, X.Y.; Walker, K.; Culbreath, B.; Leyva-Illades, D.; et al. Monoamine oxidase A expression is suppressed in human cholangiocarcinoma via coordinated epigenetic and IL-6-driven events. Lab. Investig. 2012, 92, 1451–1460. [Google Scholar] [CrossRef] [PubMed]
- Fitzpatrick, F.A. Cyclooxygenase enzymes: Regulation and function. Curr. Pharm. Des. 2004, 10, 577–588. [Google Scholar] [CrossRef]
- Adekeye, A.; Agarwal, D.; Nayak, A.; Tchou, J. PTGES3 is a Putative Prognostic Marker in Breast Cancer. J. Surg. Res. 2022, 271, 154–162. [Google Scholar] [CrossRef]
- Xu, Y.; Wu, G.; Li, J.; Li, J.; Ruan, N.; Ma, L.; Han, X.; Wei, Y.; Li, L.; Zhang, H.; et al. Screening and Identification of Key Biomarkers for Bladder Cancer: A Study Based on TCGA and GEO Data. Biomed. Res. Int. 2020, 2020, 8283401. [Google Scholar] [CrossRef]
- Kennedy, B.M.; Harris, R.E. Cyclooxygenase and Lipoxygenase Gene Expression in the Inflammogenesis of Colorectal Cancer: Correlated Expression of EGFR, JAK STAT and Src Genes, and a Natural Antisense Transcript, RP11-C67.2.2. Cancers 2023, 15, 2380. [Google Scholar] [CrossRef]
- Beyerle, J.; Holowatyj, A.N.; Haffa, M.; Frei, E.; Gigic, B.; Schrotz-King, P.; Boehm, J.; Habermann, N.; Stiborova, M.; Scherer, D.; et al. Expression Patterns of Xenobiotic-Metabolizing Enzymes in Tumour and Adjacent Normal Mucosa Tissues among Patients with Colorectal Cancer: The ColoCare Study. Cancer Epidemiol. Biomarkers Prev. 2020, 29, 460–469. [Google Scholar] [CrossRef] [PubMed]
- Peters, W.H.; Nagengast, F.M.; Wobbes, T. Glutathione S-transferases in normal and cancerous human colon tissue. Carcinogenesis 1989, 10, 2371–2374. [Google Scholar] [CrossRef]
- Roessler, M.; Rollinger, W.; Palme, S.; Hagmann, M.L.; Berndt, P.; Engel, A.M.; Schneidinger, B.; Pfeffer, M.; Andres, H.; Karl, J.; et al. Identification of nicotinamide N-methyltransferase as a novel serum tumour marker for colorectal cancer. Clin. Cancer Res. 2005, 11, 6550–6557. [Google Scholar] [CrossRef]
- Lu, X.M.; Long, H. Nicotinamide N-methyltransferase as a potential marker for cancer. Neoplasma 2018, 65, 656–663. [Google Scholar] [CrossRef] [PubMed]
- Jancova, P.; Anzenbacher, P.; Anzenbacherova, E. Phase II drug metabolizing enzymes. Biomed. Pap. Med. Fac. Univ. Palacky. Olomouc Czech Repub. 2010, 154, 103–116. [Google Scholar] [CrossRef]
- Pissios, P. Nicotinamide N-Methyltransferase: More Than a Vitamin B3 Clearance Enzyme. Trends Endocrinol. Metab. 2017, 28, 340–353. [Google Scholar] [CrossRef]
- Guo, E.; Wei, H.; Liao, X.; Wu, L.; Zeng, X. Clinical significance and biological mechanisms of glutathione S-transferase mu gene family in colon adenocarcinoma. BMC Med. Genet. 2020, 21, 130. [Google Scholar] [CrossRef]
- Wang, M.; Ge, Z.; Fan, X.; Zhao, H.; Shi, Z.; Zhang, J.; Jin, L.; Li, Y.; Wang, J.; Zao, X.; et al. Downregulation of UDP-glucose 6-dehydrogenase predicts adverse outcomes in patients with colorectal cancer and promotes tumourigenesis. Sci. Rep. 2025, 15, 21522. [Google Scholar] [CrossRef]
- Pan, Y.; Zhang, H.; Zhang, M.; Zhu, J.; Yu, J.; Wang, B.; Qiu, J.; Zhang, J. A five-gene based risk score with high prognostic value in colorectal cancer. Oncol. Lett. 2017, 14, 6724–6734. [Google Scholar] [CrossRef] [PubMed]
- Nguyen, L.H.; Goel, A.; Chung, D.C. Pathways of Colorectal Carcinogenesis. Gastroenterology 2020, 158, 291–302. [Google Scholar] [CrossRef] [PubMed]
- Kaiser, S.; Park, Y.K.; Franklin, J.L.; Halberg, R.B.; Yu, M.; Jessen, W.J.; Freudenberg, J.; Chen, X.; Haigis, K.; Jegga, A.G.; et al. Transcriptional recapitulation and subversion of embryonic colon development by mouse colon tumour models and human colon cancer. Genome Biol. 2007, 8, R131. [Google Scholar] [CrossRef]
- Strassburg, C.P.; Nguyen, N.; Manns, M.P.; Tukey, R.H. UDP-glucuronosyltransferase activity in human liver and colon. Gastroenterology 1999, 116, 149–160. [Google Scholar] [CrossRef]
- Shi, G.; Wang, Y.; Zhang, C.; Zhao, Z.; Sun, X.; Zhang, S.; Fan, J.; Zhou, C.; Zhang, J.; Zhang, H.; et al. Identification of genes involved in the four stages of colorectal cancer: Gene expression profiling. Mol. Cell Probes 2018, 37, 39–47. [Google Scholar] [CrossRef] [PubMed]
- Xiao, H.N.; Zhao, Z.Y.; Li, J.P.; Li, A.Y. Comprehensive pan-cancer analysis: Essential role of ABCB family genes in cancer. Transl. Cancer Res. 2024, 13, 1642–1664. [Google Scholar] [CrossRef]
- Gupta, N.; Martin, P.M.; Miyauchi, S.; Ananth, S.; Herdman, A.V.; Martindale, R.G.; Podolsky, R.; Ganapathy, V. Down-regulation of BCRP/ABCG2 in colorectal and cervical cancer. Biochem. Biophys. Res. Commun. 2006, 343, 571–577. [Google Scholar] [CrossRef]
- Nie, S.; Huang, Y.; Shi, M.; Qian, X.; Li, H.; Peng, C.; Kong, B.; Zou, X.; Shen, S. Protective role of ABCG2 against oxidative stress in colorectal cancer and its potential underlying mechanism. Oncol. Rep. 2018, 40, 2137–2146. [Google Scholar] [CrossRef]
- Violante, S.; Achetib, N.; van Roermund, C.W.T.; Hagen, J.; Dodatko, T.; Vaz, F.M.; Waterham, H.R.; Chen, H.; Baes, M.; Yu, C.; et al. Peroxisomes can oxidize medium- and long-chain fatty acids through a pathway involving ABCD3 and HSD17B4. FASEB J. 2019, 33, 4355–4364. [Google Scholar] [CrossRef] [PubMed]
- Al-Majdoub, Z.M.; Achour, B.; Couto, N.; Howard, M.; Elmorsi, Y.; Scotcher, D.; Alrubia, S.; El-Khateeb, E.; Vasilogianni, A.M.; Alohali, N.; et al. Mass spectrometry-based abundance atlas of ABC transporters in human liver, gut, kidney, brain and skin. FEBS Lett. 2020, 594, 4134–4150. [Google Scholar] [CrossRef]
- Zhang, Y.; Zhang, Y.; Wang, J.; Yang, J.; Yang, G. Abnormal expression of ABCD3 is an independent prognostic factor for colorectal cancer. Oncol. Lett. 2020, 19, 3567–3577. [Google Scholar] [CrossRef] [PubMed]
- Yang, K.; Li, X.; Jiang, Z.; Li, J.; Deng, Q.; He, J.; Chen, J.; Li, X.; Xu, S.; Jiang, Z. Tumour suppressor ABCA8 inhibits malignant progression of colorectal cancer via Wnt/β-catenin pathway. Dig. Liver Dis. 2024, 56, 880–893. [Google Scholar] [CrossRef]
- Cui, Y.; Liang, S.; Zhang, S.; Zhang, C.; Zhao, Y.; Wu, D.; Wang, J.; Song, R.; Wang, J.; Yin, D.; et al. ABCA8 is regulated by miR-374b-5p and inhibits proliferation and metastasis of hepatocellular carcinoma through the ERK/ZEB1 pathway. J. Exp. Clin. Cancer Res. 2020, 39, 90. [Google Scholar] [CrossRef] [PubMed]
- Kim, E.; Jung, S.; Park, W.S.; Lee, J.H.; Shin, R.; Heo, S.C.; Choe, E.K.; Lee, J.H.; Kim, K.; Chai, Y.J. Upregulation of SLC2A3 gene and prognosis in colorectal carcinoma: Analysis of TCGA data. BMC Cancer 2019, 19, 302. [Google Scholar] [CrossRef]
- Chen, D.Y.; Zhang, Y.Y.; Nie, H.H.; Wang, H.Z.; Qiu, P.S.; Wang, F.; Peng, Y.N.; Xu, F.; Zhao, Q.; Zhang, M. Comprehensive analyses of solute carrier family members identify SLC12A2 as a novel therapy target for colorectal cancer. Sci. Rep. 2024, 14, 4459. [Google Scholar] [CrossRef]
- Guo, G.F.; Cai, Y.C.; Zhang, B.; Xu, R.H.; Qiu, H.J.; Xia, L.P.; Jiang, W.Q.; Hu, P.L.; Chen, X.X.; Zhou, F.F.; et al. Overexpression of SGLT1 and EGFR in colorectal cancer showing a correlation with the prognosis. Med. Oncol. 2011, 28, S197–S203. [Google Scholar]
- Gupta, N.; Miyauchi, S.; Martindale, R.G.; Herdman, A.V.; Podolsky, R.; Miyake, K.; Mager, S.; Prasad, P.D.; Ganapathy, M.E.; Ganapathy, V. Upregulation of the amino acid transporter ATB0,+ (SLC6A14) in colorectal cancer and metastasis in humans. Biochim. Biophys. Acta 2005, 1741, 215–223. [Google Scholar] [CrossRef]
- Vaziri-Moghadam, A.; Foroughmand-Araabi, M.H. Integrating machine learning and bioinformatics approaches for identifying novel diagnostic gene biomarkers in colorectal cancer. Sci. Rep. 2024, 14, 24786. [Google Scholar] [CrossRef] [PubMed]
- Hashemi, M.; Tahmasebi-Birgani, M.; Talaiezadeh, A.; Saberi, A. Upregulation of SLC25A32 in Tumourous Tissues of Patients with Non-Metastatic Colorectal Cancer: A Pilot Study. Indian J. Clin. Biochem. 2025, 40, 668–675. [Google Scholar] [CrossRef]
- Lee, W.; Belkhiri, A.; Lockhart, A.C.; Merchant, N.; Glaeser, H.; Harris, E.I.; Washington, M.K.; Brunt, E.M.; Zaika, A.; Kim, R.B.; et al. Overexpression of OATP1B3 confers apoptotic resistance in colon cancer. Cancer Res. 2008, 68, 10315–10323. [Google Scholar] [CrossRef] [PubMed]
- Ban, M.J.; Ji, S.H.; Lee, C.K.; Bae, S.B.; Kim, H.J.; Ahn, T.S.; Lee, M.S.; Baek, M.J.; Jeong, D. Solute carrier organic anion transporter family member 4A1 (SLCO4A1) as a prognosis marker of colorectal cancer. J. Cancer Res. Clin. Oncol. 2017, 143, 1437–1447. [Google Scholar] [CrossRef]
- Tsai, K.Y.; Wei, P.L.; Lee, C.C.; Zumbi, C.N.; Prince, G.M.S.H.; Batzorig, U.; Huang, C.Y.; Chang, Y.J. Solute Carrier Family 35 A2 (SLC35A2) Promotes Tumour Progression through MYC-Mediated Pathways in Colorectal Cancer. Int. J. Med. Sci. 2025, 22, 1992–2009. [Google Scholar]
- Sun, T.; Wang, D.; Ping, Y.; Sang, Y.; Dai, Y.; Wang, Y.; Liu, Z.; Duan, X.; Tao, Z.; Liu, W. Integrated profiling identifies SLC5A6 and MFAP2 as novel diagnostic and prognostic biomarkers in gastric cancer patients. Int. J. Oncol. 2020, 56, 460–469. [Google Scholar] [CrossRef]
- Liu, Y.; Zuo, T.; Zhu, X.; Ahuja, N.; Fu, T. Differential expression of hENT1 and hENT2 in colon cancer cell lines. Genet. Mol. Res. 2017, 16, 16. [Google Scholar] [CrossRef]
- Murray, I.A.; Patterson, A.D.; Perdew, G.H. Aryl hydrocarbon receptor ligands in cancer: Friend and foe. Nat. Rev. Cancer 2014, 14, 801–814. [Google Scholar] [CrossRef]
- Safe, S.; Lee, S.O.; Jin, U.H. Role of the aryl hydrocarbon receptor in carcinogenesis and potential as a drug target. Toxicol. Sci. 2013, 135, 1–16. [Google Scholar] [CrossRef] [PubMed]
- Marlowe, J.L.; Fan, Y.; Chang, X.; Peng, L.; Knudsen, E.S.; Xia, Y.; Puga, A. The aryl hydrocarbon receptor binds to E2F1 and inhibits E2F1-induced apoptosis. Mol. Biol. Cell 2008, 19, 3263–3271. [Google Scholar] [CrossRef] [PubMed]
- Tschopp, J.; Schroder, K. NLRP3 inflammasome activation: The convergence of multiple signalling pathways on ROS production? Nat. Rev. Immunol. 2010, 10, 210–215. [Google Scholar] [CrossRef] [PubMed]
- Hu, D.G.; Marri, S.; McKinnon, R.A.; Mackenzie, P.I.; Meech, R. Deregulation of the Genes that Are Involved in Drug Absorption, Distribution, Metabolism, and Excretion in Hepatocellular Carcinoma. J. Pharmacol. Exp. Ther. 2019, 368, 363–381. [Google Scholar] [CrossRef]
- Edge, S.B.; Compton, C.C. The American Joint Committee on Cancer: The 7th edition of the AJCC cancer staging manual and the future of TNM. Ann. Surg. Oncol. 2010, 17, 1471–1474. [Google Scholar] [CrossRef] [PubMed]
- Sobin, L.H.; Gospodarowicz, M.K.; Wittekind, C.H. TNM Classification of Malignant Tumours; Wiley-Blackwell: New York, NY, USA, 2009. [Google Scholar]
Disclaimer/Publisher’s Note: The statements, opinions and data contained in all publications are solely those of the individual author(s) and contributor(s) and not of MDPI and/or the editor(s). MDPI and/or the editor(s) disclaim responsibility for any injury to people or property resulting from any ideas, methods, instructions or products referred to in the content. |
© 2025 by the authors. Licensee MDPI, Basel, Switzerland. This article is an open access article distributed under the terms and conditions of the Creative Commons Attribution (CC BY) license (https://creativecommons.org/licenses/by/4.0/).