Differential Dynamics and Roles of FKBP51 Isoforms and Their Implications for Targeted Therapies
Abstract
1. Introduction

2. Results
2.1. Expression and Degradation Dynamics of FKBP5/FKBP51
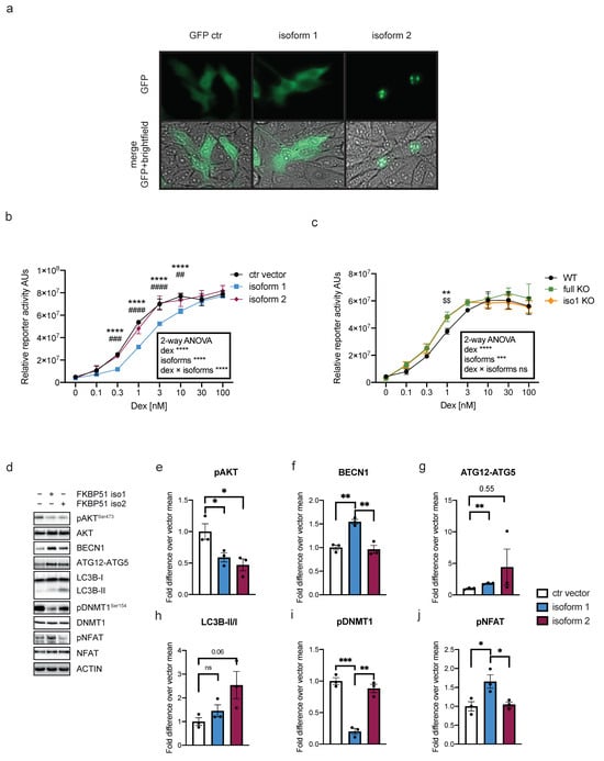
2.2. Differential Localization and Regulation of Cellular Pathways
3. Discussion
4. Materials and Methods
4.1. Antibodies
4.2. Plasmids
4.3. RT-qPCR Primers
4.4. Cell Culture
4.5. Transfections
4.6. Imaging
4.7. Western Blot Analysis
Quantification
4.8. Real-Time–Quantitative Polymerase Chain Reaction (RT-qPCR)
4.8.1. HeLa Cells
4.8.2. Human Samples
4.9. CRISPR-Cas9 KO Generation
4.10. Reporter Gene Assays
4.11. Pulse-Chase Assay
Supplementary Materials
Author Contributions
Funding
Institutional Review Board Statement
Informed Consent Statement
Data Availability Statement
Conflicts of Interest
References
- Zannas, A.S.; Wiechmann, T.; Gassen, N.C.; Binder, E.B. Gene–Stress–Epigenetic Regulation of FKBP5: Clinical and Translational Implications. Neuropsychopharmacology 2016, 41, 261–274. [Google Scholar] [CrossRef] [PubMed]
- Blair, L.J.; Baker, J.D.; Sabbagh, J.J.; Dickey, C.A. The Emerging Role of Peptidyl-Prolyl Isomerase Chaperones in Tau Oligomerization, Amyloid Processing, and Alzheimer’s Disease. J. Neurochem. 2015, 133, 1–13. [Google Scholar] [CrossRef] [PubMed]
- Marrone, L.; D’Agostino, M.; Giordano, C.; DI Giacomo, V.; Urzini, S.; Malasomma, C.; Gammella, M.P.; Tufano, M.; Romano, S.; Romano, M.F. Scaffold Proteins of Cancer Signaling Networks: The Paradigm of FK506 Binding Protein 51 (FKBP51) Supporting Tumor Intrinsic Properties and Immune Escape. Oncol. Res. 2023, 31, 423–436. [Google Scholar] [CrossRef] [PubMed]
- Smedlund, K.B.; Sanchez, E.R.; Hinds, T.D. FKBP51 and the Molecular Chaperoning of Metabolism. Trends Endocrinol. Metab. 2021, 32, 862–874. [Google Scholar] [CrossRef] [PubMed]
- Zannas, A.S.; Jia, M.; Hafner, K.; Baumert, J.; Wiechmann, T.; Pape, J.C.; Arloth, J.; Ködel, M.; Martinelli, S.; Roitman, M.; et al. Epigenetic Upregulation of FKBP5 by Aging and Stress Contributes to NF-ΚB–Driven Inflammation and Cardiovascular Risk. Proc. Natl. Acad. Sci. USA 2019, 116, 11370–11379. [Google Scholar] [CrossRef]
- Denny, W.B.; Valentine, D.L.; Reynolds, P.D.; Smith, D.F.; Scammell, J.G. Squirrel Monkey Immunophilin FKBP51 Is a Potent Inhibitor of Glucocorticoid Receptor Binding. Endocrinology 2000, 141, 4107–4113. [Google Scholar] [CrossRef]
- Scammell, J.G.; Denny, W.B.; Valentine, D.L.; Smith, D.F. Overexpression of the FK506-Binding Immunophilin FKBP51 Is the Common Cause of Glucocorticoid Resistance in Three New World Primates. Gen. Comp. Endocrinol. 2001, 124, 152–165. [Google Scholar] [CrossRef]
- Jääskeläinen, T.; Makkonen, H.; Palvimo, J.J. Steroid Up-Regulation of FKBP51 and Its Role in Hormone Signaling. Curr. Opin. Pharmacol. 2011, 11, 326–331. [Google Scholar] [CrossRef]
- Taipale, M.; Tucker, G.; Peng, J.; Krykbaeva, I.; Lin, Z.-Y.; Larsen, B.; Choi, H.; Berger, B.; Gingras, A.-C.; Lindquist, S. A Quantitative Chaperone Interaction Network Reveals the Architecture of Cellular Protein Homeostasis Pathways. Cell 2014, 158, 434–448. [Google Scholar] [CrossRef]
- Martinelli, S.; Anderzhanova, E.A.; Bajaj, T.; Wiechmann, S.; Dethloff, F.; Weckmann, K.; Heinz, D.E.; Ebert, T.; Hartmann, J.; Geiger, T.M.; et al. Stress-Primed Secretory Autophagy Promotes Extracellular BDNF Maturation by Enhancing MMP9 Secretion. Nat. Commun. 2021, 12, 4643. [Google Scholar] [CrossRef]
- Hähle, A.; Merz, S.; Meyners, C.; Hausch, F. The Many Faces of FKBP51. Biomolecules 2019, 9, 35. [Google Scholar] [CrossRef] [PubMed]
- Pei, H.; Li, L.; Fridley, B.L.; Jenkins, G.D.; Kalari, K.R.; Lingle, W.; Petersen, G.; Lou, Z.; Wang, L. FKBP51 Affects Cancer Cell Response to Chemotherapy by Negatively Regulating Akt. Cancer Cell 2009, 16, 259–266. [Google Scholar] [CrossRef] [PubMed]
- Lonsdale, J.; Thomas, J.; Salvatore, M.; Phillips, R.; Lo, E.; Shad, S.; Hasz, R.; Walters, G.; Garcia, F.; Young, N.; et al. The Genotype-Tissue Expression (GTEx) Project. Nat. Genet. 2013, 45, 580–585. [Google Scholar] [CrossRef] [PubMed]
- Schiene, C.; Fischer, G. Enzymes That Catalyse the Restructuring of Proteins. Curr. Opin. Struct. Biol. 2000, 10, 40–45. [Google Scholar] [CrossRef]
- Sabatini, D.M. MTOR and Cancer: Insights into a Complex Relationship. Nat. Rev. Cancer 2006, 6, 729–734. [Google Scholar] [CrossRef]
- Cioffi, D.L.; Hubler, T.R.; Scammell, J.G. Organization and Function of the FKBP52 and FKBP51 Genes. Curr. Opin. Pharmacol. 2011, 11, 308–313. [Google Scholar] [CrossRef]
- Sinars, C.R.; Cheung-Flynn, J.; Rimerman, R.A.; Scammell, J.G.; Smith, D.F.; Clardy, J. Structure of the Large FK506-Binding Protein FKBP51, an Hsp90-Binding Protein and a Component of Steroid Receptor Complexes. Proc. Natl. Acad. Sci. USA 2003, 100, 868–873. [Google Scholar] [CrossRef]
- Russell, L.C.; Whitt, S.R.; Chen, M.-S.; Chinkers, M. Identification of Conserved Residues Required for the Binding of a Tetratricopeptide Repeat Domain to Heat Shock Protein 90. J. Biol. Chem. 1999, 274, 20060–20063. [Google Scholar] [CrossRef]
- Dornan, J.; Taylor, P.; Walkinshaw, M. Structures of Immunophilins and Their Ligand Complexes. Curr. Top. Med. Chem. 2003, 3, 1392–1409. [Google Scholar] [CrossRef]
- Li, T.-K.; Baksh, S.; Cristillo, A.D.; Bierer, B.E. Calcium- and FK506-Independent Interaction between the Immunophilin FKBP51 and Calcineurin. J. Cell. Biochem. 2002, 84, 460–471. [Google Scholar] [CrossRef]
- Romano, S.; D’Angelillo, A.; Staibano, S.; Simeone, E.; D’Arrigo, P.; Ascierto, P.A.; Scalvenzi, M.; Mascolo, M.; Ilardi, G.; Merolla, F.; et al. Immunomodulatory Pathways Regulate Expression of a Spliced FKBP51 Isoform in Lymphocytes of Melanoma Patients. Pigment Cell Melanoma Res. 2015, 28, 442–452. [Google Scholar] [CrossRef] [PubMed]
- D’Arrigo, P.; Russo, M.; Rea, A.; Tufano, M.; Guadagno, E.; Del Basso De Caro, M.L.; Pacelli, R.; Hausch, F.; Staibano, S.; Ilardi, G.; et al. A Regulatory Role for the Co-Chaperone FKBP51s in PD-L1 Expression in Glioma. Oncotarget 2017, 8, 68291–68304. [Google Scholar] [CrossRef] [PubMed]
- Waterhouse, A.; Bertoni, M.; Bienert, S.; Studer, G.; Tauriello, G.; Gumienny, R.; Heer, F.T.; de Beer, T.A.P.; Rempfer, C.; Bordoli, L.; et al. SWISS-MODEL: Homology Modelling of Protein Structures and Complexes. Nucleic Acids Res. 2018, 46, W296–W303. [Google Scholar] [CrossRef] [PubMed]
- DeMorrow, S. Role of the Hypothalamic–Pituitary–Adrenal Axis in Health and Disease. Int. J. Mol. Sci. 2018, 19, 986. [Google Scholar] [CrossRef] [PubMed]
- Johnson, D.B.; Lopez, M.J.; Kelley, B. Dexamethasone; StatPearls Publishing: Treasure Island, FL, USA, 2024. [Google Scholar]
- Annett, S.; Moore, G.; Robson, T. FK506 Binding Proteins and Inflammation Related Signalling Pathways; Basic Biology, Current Status and Future Prospects for Pharmacological Intervention. Pharmacol. Ther. 2020, 215, 107623. [Google Scholar] [CrossRef]
- Bailus, B.J.; Scheeler, S.M.; Simons, J.; Sanchez, M.A.; Tshilenge, K.-T.; Creus-Muncunill, J.; Naphade, S.; Lopez-Ramirez, A.; Zhang, N.; Lakshika Madushani, K.; et al. Modulating FKBP5/FKBP51 and Autophagy Lowers HTT (Huntingtin) Levels. Autophagy 2021, 17, 4119–4140. [Google Scholar] [CrossRef]
- Lesovaya, E.A.; Chudakova, D.; Baida, G.; Zhidkova, E.M.; Kirsanov, K.I.; Yakubovskaya, M.G.; Budunova, I.V. The Long Winding Road to the Safer Glucocorticoid Receptor (GR) Targeting Therapies. Oncotarget 2022, 13, 408–424. [Google Scholar] [CrossRef]
- Wedel, S.; Mathoor, P.; Rauh, O.; Heymann, T.; Ciotu, C.I.; Fuhrmann, D.C.; Fischer, M.J.M.; Weigert, A.; de Bruin, N.; Hausch, F.; et al. SAFit2 Reduces Neuroinflammation and Ameliorates Nerve Injury-Induced Neuropathic Pain. J. Neuroinflamm. 2022, 19, 254. [Google Scholar] [CrossRef]
- Göver, T.; Slezak, M. Targeting Glucocorticoid Receptor Signaling Pathway for Treatment of Stress-Related Brain Disorders. Pharmacol. Rep. 2024, 1–13. [Google Scholar] [CrossRef]
- Gassen, N.C.; Hartmann, J.; Zschocke, J.; Stepan, J.; Hafner, K.; Zellner, A.; Kirmeier, T.; Kollmannsberger, L.; Wagner, K.V.; Dedic, N.; et al. Association of FKBP51 with Priming of Autophagy Pathways and Mediation of Antidepressant Treatment Response: Evidence in Cells, Mice, and Humans. PLoS Med. 2014, 11, e1001755. [Google Scholar] [CrossRef]
- Gassen, N.C.; Fries, G.R.; Zannas, A.S.; Hartmann, J.; Zschocke, J.; Hafner, K.; Carrillo-Roa, T.; Steinbacher, J.; Preißinger, S.N.; Hoeijmakers, L.; et al. Chaperoning Epigenetics: FKBP51 Decreases the Activity of DNMT1 and Mediates Epigenetic Effects of the Antidepressant Paroxetine. Sci. Signal. 2015, 8, ra119. [Google Scholar] [CrossRef] [PubMed]
- Menke, A.; Arloth, J.; Best, J.; Namendorf, C.; Gerlach, T.; Czamara, D.; Lucae, S.; Dunlop, B.W.; Crowe, T.M.; Garlow, S.J.; et al. Time-Dependent Effects of Dexamethasone Plasma Concentrations on Glucocorticoid Receptor Challenge Tests. Psychoneuroendocrinology 2016, 69, 161–171. [Google Scholar] [CrossRef] [PubMed]
- Marrone, L.; D’Agostino, M.; Cesaro, E.; di Giacomo, V.; Urzini, S.; Romano, M.F.; Romano, S. Alternative Splicing of FKBP5 Gene Exerts Control over T Lymphocyte Expansion. J. Cell. Biochem. 2023. [Google Scholar] [CrossRef]
- Shrestha, S.; Sun, Y.; Lufkin, T.; Kraus, P.; Or, Y.; Garcia, Y.A.; Guy, N.; Ramos, P.; Cox, M.B.; Tay, F.; et al. Tetratricopeptide Repeat Domain 9A Negatively Regulates Estrogen Receptor Alpha Activity. Int. J. Biol. Sci. 2015, 11, 434–447. [Google Scholar] [CrossRef]
- Barent, R.L.; Nair, S.C.; Carr, D.C.; Ruan, Y.; Rimerman, R.A.; Fulton, J.; Zhang, Y.; Smith, D.F. Analysis of FKBP51/FKBP52 Chimeras and Mutants for Hsp90 Binding and Association with Progesterone Receptor Complexes. Mol. Endocrinol. 1998, 12, 342–354. [Google Scholar] [CrossRef]
- Stechschulte, L.A.; Sanchez, E.R. FKBP51—A Selective Modulator of Glucocorticoid and Androgen Sensitivity. Curr. Opin. Pharmacol. 2011, 11, 332–337. [Google Scholar] [CrossRef]
- Balsevich, G.; Häusl, A.S.; Meyer, C.W.; Karamihalev, S.; Feng, X.; Pöhlmann, M.L.; Dournes, C.; Uribe-Marino, A.; Santarelli, S.; Labermaier, C.; et al. Stress-Responsive FKBP51 Regulates AKT2-AS160 Signaling and Metabolic Function. Nat. Commun. 2017, 8, 1725. [Google Scholar] [CrossRef]
- Yamamoto, S.; Kuramoto, K.; Wang, N.; Situ, X.; Priyadarshini, M.; Zhang, W.; Cordoba-Chacon, J.; Layden, B.T.; He, C. Autophagy Differentially Regulates Insulin Production and Insulin Sensitivity. Cell Rep. 2018, 23, 3286–3299. [Google Scholar] [CrossRef]
- Soukas, A.; Cohen, P.; Socci, N.D.; Friedman, J.M. Leptin-Specific Patterns of Gene Expression in White Adipose Tissue. Genes Dev. 2000, 14, 963–980. [Google Scholar] [CrossRef]
- Häusl, A.S.; Balsevich, G.; Gassen, N.C.; Schmidt, M.V. Focus on FKBP51: A Molecular Link between Stress and Metabolic Disorders. Mol. Metab. 2019, 29, 170–181. [Google Scholar] [CrossRef]
- Häusl, A.S.; Bajaj, T.; Brix, L.M.; Pöhlmann, M.L.; Hafner, K.; De Angelis, M.; Nagler, J.; Dethloff, F.; Balsevich, G.; Schramm, K.-W.; et al. Mediobasal Hypothalamic FKBP51 Acts as a Molecular Switch Linking Autophagy to Whole-Body Metabolism. Sci. Adv. 2022, 8, eabi4797. [Google Scholar] [CrossRef] [PubMed]
- Singh, R.; Kaushik, S.; Wang, Y.; Xiang, Y.; Novak, I.; Komatsu, M.; Tanaka, K.; Cuervo, A.M.; Czaja, M.J. Autophagy Regulates Lipid Metabolism. Nature 2009, 458, 1131–1135. [Google Scholar] [CrossRef] [PubMed]
- Singh, R. Autophagy in the Control of Food Intake. Adipocyte 2012, 1, 75–79. [Google Scholar] [CrossRef] [PubMed]
- Gebru, N.T.; Hill, S.E.; Blair, L.J. Development of FKBP5 ASOs to Mitigate Tau Pathology. Alzheimer’s Dement. 2023, 19, e082780. [Google Scholar] [CrossRef]
- Hinds, T.D.; John, K.; McBeth, L.; Trabbic, C.J.; Sanchez, E.R. Timcodar (VX-853) Is a Non-FKBP12 Binding Macrolide Derivative That Inhibits PPAR γ and Suppresses Adipogenesis. PPAR Res. 2016, 2016, 6218637. [Google Scholar] [CrossRef] [PubMed]
- Wochnik, G.M.; Rüegg, J.; Abel, G.A.; Schmidt, U.; Holsboer, F.; Rein, T. FK506-Binding Proteins 51 and 52 Differentially Regulate Dynein Interaction and Nuclear Translocation of the Glucocorticoid Receptor in Mammalian Cells. J. Biol. Chem. 2005, 280, 4609–4616. [Google Scholar] [CrossRef]
- Volk, N.; Paul, E.D.; Haramati, S.; Eitan, C.; Fields, B.K.K.; Zwang, R.; Gil, S.; Lowry, C.A.; Chen, A. MicroRNA-19b Associates with Ago2 in the Amygdala Following Chronic Stress and Regulates the Adrenergic Receptor Beta 1. J. Neurosci. 2014, 34, 15070–15082. [Google Scholar] [CrossRef]
- Pfaffl, M.W. A New Mathematical Model for Relative Quantification in Real-Time RT-PCR. Nucleic Acids Res. 2001, 29, e45. [Google Scholar] [CrossRef]
- Touma, C.; Gassen, N.C.; Herrmann, L.; Cheung-Flynn, J.; Büll, D.R.; Ionescu, I.A.; Heinzmann, J.-M.; Knapman, A.; Siebertz, A.; Depping, A.-M.; et al. FK506 Binding Protein 5 Shapes Stress Responsiveness: Modulation of Neuroendocrine Reactivity and Coping Behavior. Biol. Psychiatry 2011, 70, 928–936. [Google Scholar] [CrossRef]
- Schülke, J.-P.; Wochnik, G.M.; Lang-Rollin, I.; Gassen, N.C.; Knapp, R.T.; Berning, B.; Yassouridis, A.; Rein, T. Differential Impact of Tetratricopeptide Repeat Proteins on the Steroid Hormone Receptors. PLoS ONE 2010, 5, e11717. [Google Scholar] [CrossRef]


Disclaimer/Publisher’s Note: The statements, opinions and data contained in all publications are solely those of the individual author(s) and contributor(s) and not of MDPI and/or the editor(s). MDPI and/or the editor(s) disclaim responsibility for any injury to people or property resulting from any ideas, methods, instructions or products referred to in the content. |
© 2024 by the authors. Licensee MDPI, Basel, Switzerland. This article is an open access article distributed under the terms and conditions of the Creative Commons Attribution (CC BY) license (https://creativecommons.org/licenses/by/4.0/).
Share and Cite
Martinelli, S.; Hafner, K.; Koedel, M.; Knauer-Arloth, J.; Gassen, N.C.; Binder, E.B. Differential Dynamics and Roles of FKBP51 Isoforms and Their Implications for Targeted Therapies. Int. J. Mol. Sci. 2024, 25, 12318. https://doi.org/10.3390/ijms252212318
Martinelli S, Hafner K, Koedel M, Knauer-Arloth J, Gassen NC, Binder EB. Differential Dynamics and Roles of FKBP51 Isoforms and Their Implications for Targeted Therapies. International Journal of Molecular Sciences. 2024; 25(22):12318. https://doi.org/10.3390/ijms252212318
Chicago/Turabian StyleMartinelli, Silvia, Kathrin Hafner, Maik Koedel, Janine Knauer-Arloth, Nils C. Gassen, and Elisabeth B. Binder. 2024. "Differential Dynamics and Roles of FKBP51 Isoforms and Their Implications for Targeted Therapies" International Journal of Molecular Sciences 25, no. 22: 12318. https://doi.org/10.3390/ijms252212318
APA StyleMartinelli, S., Hafner, K., Koedel, M., Knauer-Arloth, J., Gassen, N. C., & Binder, E. B. (2024). Differential Dynamics and Roles of FKBP51 Isoforms and Their Implications for Targeted Therapies. International Journal of Molecular Sciences, 25(22), 12318. https://doi.org/10.3390/ijms252212318

