Association of Membranous WNT-1 and Nuclear mTOR with Endometrial Cancer Grade
Abstract
1. Introduction
2. Results
2.1. Association of WNT-1 and mTOR Subcellular Localizations with Endometrial Carcinoma Grading
2.2. Membranous and Cytoplasmic WNT-1 and Nuclear mTOR as Indicators of High-Grade Endometrial Cancer
2.3. Nuclear mTOR Expression as an Indicator of High FIGO Stage (IB–IV)
3. Discussion
4. Materials and Methods
4.1. Patients and Ethics Approval
4.2. Immunohistochemical Analysis of WNT-1 and mTOR Expression
4.3. Bioinformatical and Statistical Analysis of the Data
5. Conclusions
Author Contributions
Funding
Institutional Review Board Statement
Informed Consent Statement
Data Availability Statement
Conflicts of Interest
References
- Yagi, A.; Ueda, Y.; Ikeda, S.; Miyoshi, A.; Nakagawa, S.; Hiramatsu, K.; Kobayashi, E.; Kimura, T.; Ito, Y.; Nakayama, T.; et al. Improved long-term survival of corpus cancer in Japan: A 40-year population-based analysis. Int. J. Cancer 2022, 150, 232–242. [Google Scholar] [CrossRef] [PubMed]
- Concin, N.; Matias-Guiu, X.; Vergote, I.; Cibula, D.; Mirza, M.R.; Marnitz, S.; Ledermann, J.; Bosse, T.; Chargari, C.; Fagotti, A.; et al. ESGO/ESTRO/ESP guidelines for the management of patients with endometrial carcinoma. Int. J. Gynecol. Cancer 2021, 31, 12–39. [Google Scholar] [CrossRef] [PubMed]
- De, P.; Aske, J.C.; Dale, A.; Rojas Espaillat, L.; Starks, D.; Dey, N. Addressing activation of WNT beta-catenin pathway in diverse landscape of endometrial carcinogenesis. Am. J. Transl. Res. 2021, 13, 12168–12180. [Google Scholar] [PubMed]
- Fatima, I.; Barman, S.; Rai, R.; Thiel, K.W.; Chandra, V. Targeting wnt signaling in endometrial cancer. Cancers 2021, 13, 2351. [Google Scholar] [CrossRef]
- Kiewisz, J.; Wasniewski, T.; Kmiec, Z. Participation of WNT and β-Catenin in Physiological and Pathological Endometrial Changes: Association with Angiogenesis. Biomed. Res. Int. 2015, 2015, 854056. [Google Scholar] [CrossRef]
- Tepekoy, F.; Akkoyunlu, G.; Demir, R. The role of Wnt signaling members in the uterus and embryo during pre-implantation and implantation. J. Assist. Reprod. Genet. 2015, 32, 337–346. [Google Scholar] [CrossRef] [PubMed]
- Schlosshauer, P.W.; Pirog, E.C.; Levine, R.L.; Ellenson, L.H. Mutational analysis of the CTNNB1 and APC genes in uterine endometrioid carcinoma. Mod. Pathol. 2000, 13, 1066–1071. [Google Scholar] [CrossRef]
- Coopes, A.; Henry, C.E.; Llamosas, E.; Ford, C.E. An update of Wnt signalling in endometrial cancer and its potential as a therapeutic target. Endocr. Relat. Cancer 2018, 25, R647–R662. [Google Scholar] [CrossRef] [PubMed]
- Vadlakonda, L.; Pasupuleti, M.; Pallu, R. Role of PI3K-AKT-mTOR and Wnt Signaling Pathways in Transition of G1-S Phase of Cell Cycle in Cancer Cells. Front. Oncol. 2013, 3, 85. [Google Scholar] [CrossRef] [PubMed]
- Zeng, H.; Lu, B.; Zamponi, R.; Yang, Z.; Wetzel, K.; Loureiro, J.; Mohammadi, S.; Beibel, M.; Bergling, S.; Reece-Hoyes, J.; et al. mTORC1 signaling suppresses Wnt/β-catenin signaling through DVL-dependent regulation of Wnt receptor FZD level. Proc. Natl. Acad. Sci. USA 2018, 115, E10362–E10369. [Google Scholar] [CrossRef]
- Driva, T.S.; Schatz, C.; Sobočan, M.; Haybaeck, J. The Role of mTOR and eIF Signaling in Benign Endometrial Diseases. Int. J. Mol. Sci. 2022, 23, 3416. [Google Scholar] [CrossRef]
- Lebovitz, C.B.; Robertson, A.G.; Goya, R.; Jones, S.J.; Morin, R.D.; Marra, M.A.; Gorski, S.M. Cross-cancer profiling of molecular alterations within the human autophagy interaction network. Autophagy 2015, 11, 1668–1687. [Google Scholar] [CrossRef] [PubMed]
- Coleman, N.; Subbiah, V.; Pant, S.; Patel, K.; Roy-Chowdhuri, S.; Yedururi, S.; Johnson, A.; Yap, T.A.; Rodon, J.; Shaw, K.; et al. Emergence of mTOR mutation as an acquired resistance mechanism to AKT inhibition, and subsequent response to mTORC1/2 inhibition. NPJ Precis. Oncol. 2021, 5, 91. [Google Scholar] [CrossRef] [PubMed]
- Getz, G.; Gabriel, S.B.; Cibulskis, K.; Lander, E.; Sivachenko, A.; Sougnez, C.; Lawrence, M.; Kandoth, C.; Dooling, D.; Fulton, R.; et al. Integrated genomic characterization of endometrial carcinoma. Nature 2013, 497, 67–73. [Google Scholar]
- Lengyel, C.G.; Altuna, S.C.; Habeeb, B.S.; Trapani, D.; Khan, S.Z. The Potential of PI3K/AKT/mTOR Signaling as a Druggable Target for Endometrial and Ovarian Carcinomas. Curr. Drug. Targets 2020, 21, 946–961. [Google Scholar] [CrossRef]
- Fukuda, T.; Wada-Hiraike, O. The Two-Faced Role of Autophagy in Endometrial Cancer. Front. Cell Dev. Biol. 2022, 10, 839416. [Google Scholar] [CrossRef]
- Yoshida, Y.; Kurokawa, T.; Horiuchi, Y.; Sawamura, Y.; Shinagawa, A.; Kotsuji, F. Localisation of phosphorylated mTOR expression is critical to tumour progression and outcomes in patients with endometrial cancer. Eur. J. Cancer 2010, 46, 3445–3452. [Google Scholar] [CrossRef] [PubMed]
- Carmon, K.S.; Loose, D.S. Secreted frizzled-related protein 4 regulates two Wnt7a signaling pathways and inhibits proliferation in endometrial cancer cells. Mol. Cancer Res. 2008, 6, 1017–1028. [Google Scholar] [CrossRef] [PubMed]
- Peng, C.; Zhang, X.; Wang, Y.; Li, L.; Wang, Q.; Zheng, J. Expression and prognostic significance of wnt7a in human endometrial carcinoma. Obstet. Gynecol. Int. 2012, 2012, 134962. [Google Scholar] [CrossRef]
- Liu, Y.; Meng, F.; Xu, Y.; Yang, S.; Xiao, M.; Chen, X.; Lou, G. Overexpression of Wnt7a is associated with tumor progression and unfavorable prognosis in endometrial cancer. Int. J. Gynecol. Cancer 2013, 23, 304–311. [Google Scholar] [CrossRef] [PubMed]
- Chen, H.; Wang, Y.; Xue, F. Expression and the clinical significance of Wnt10a and Wnt10b in endometrial cancer are associated with the Wnt/β-catenin pathway. Oncol. Rep. 2013, 29, 507–514. [Google Scholar] [CrossRef] [PubMed]
- Bui, T.D.; Zhang, L.; Rees, M.C.P.; Bicknell, R.; Harris, A.L. Expression and hormone regulation of Wnt2, 3, 4, 5a, 7a, 7b and 10b in normal human endometrium and endometrial carcinoma. Br. J. Cancer 1997, 75, 1131–1136. [Google Scholar] [CrossRef] [PubMed]
- Domenyuk, V.P.; Litovkin, K.V.; Verbitskaya, T.G.; Dubinina, V.G.; Bubnov, V.V. Identification of new DNA markers of endometrial cancer in patients from the Ukrainian population. Exp. Oncol. 2007, 29, 152–155. [Google Scholar] [PubMed]
- Menezes, M.d.P.N.; Oshima, C.T.F.; Filho, L.B.; Gomes, T.S.; Barrezueta, L.F.M.; Stávale, J.N.; Gonçalves, W.J. Canonical and noncanonical Wnt pathways: A comparison between endometrial cancer type I and atrophic endometrium in Brazil. Sao Paulo Med. J. 2011, 129, 320–324. [Google Scholar] [CrossRef]
- Peng, C.; Lu, Y.; Ren, X.; Wang, Y.; Zhang, S.; Chen, M.; Liu, J.; Fang, F.; Li, T.; Han, J. Comprehensive bioinformatic analysis of Wnt1 and Wnt1-associated diseases. Intractable Rare Dis. Res. 2020, 9, 14–22. [Google Scholar] [CrossRef] [PubMed]
- Mehta, S.; Hingole, S.; Chaudhary, V. The Emerging Mechanisms of Wnt Secretion and Signaling in Development. Front. Cell. Dev. Biol. 2021, 9, 2191. [Google Scholar] [CrossRef]
- Jung, Y.S.; Park, J. Il Wnt signaling in cancer: Therapeutic targeting of Wnt signaling beyond β-catenin and the destruction complex. Exp. Mol. Med. 2020, 52, 183–191. [Google Scholar] [CrossRef]
- Bachmann, R.A.; Kim, J.H.; Wu, A.L.; Park, I.H.; Chen, J. A nuclear transport signal in mammalian target of rapamycin is critical for its cytoplasmic signaling to S6 kinase 1. J. Biol. Chem. 2006, 281, 7357–7363. [Google Scholar] [CrossRef]
- Back, J.H.; Kim, A.L. The expanding relevance of nuclear mTOR in carcinogenesis. Cell Cycle 2011, 10, 3849–3852. [Google Scholar] [CrossRef] [PubMed]
- Gupta, S.; Kumar, M.; Chaudhuri, S.; Kumar, A. The non-canonical nuclear functions of key players of the PI3K-AKT-MTOR pathway. J. Cell. Physiol. 2022, 237, 3181–3204. [Google Scholar] [CrossRef] [PubMed]
- Torres, A.S.; Holz, M.K. Unraveling the multifaceted nature of the nuclear function of mTOR. Biochim. Biophys. Acta. Mol. Cell Res. 2021, 1868, 118907. [Google Scholar] [CrossRef] [PubMed]
- Audet-Walsh, É.; Dufour, C.R.; Yee, T.; Zouanat, F.Z.; Yan, M.; Kalloghlian, G.; Vernier, M.; Caron, M.; Bourque, G.; Scarlata, E.; et al. Nuclear mTOR acts as a transcriptional integrator of the androgen signaling pathway in prostate cancer. Genes Dev. 2017, 31, 1228–1242. [Google Scholar] [CrossRef]
- Guglielmelli, T.; Giugliano, E.; Brunetto, V.; Rapa, I.; Cappia, S.; Giorcelli, J.; Rrodhe, S.; Papotti, M.; Saglio, G. mTOR pathway activation in multiple myeloma cell lines and primary tumour cells: Pomalidomide enhances cytoplasmic-nuclear shuttling of mTOR protein. Oncoscience 2015, 2, 382–394. [Google Scholar] [CrossRef] [PubMed]
- Tian, T.; Li, X.; Zhang, J. mTOR Signaling in Cancer and mTOR Inhibitors in Solid Tumor Targeting Therapy. Int. J. Mol. Sci. 2019, 20, 755. [Google Scholar] [CrossRef]
- Pietrus, M.; Pitynski, K.; Waligora, M.; Milian-Ciesielska, K.; Bialon, M.; Ludwin, A.; Skrzypek, K. CD133 Expression in the Nucleus is Associated with Endometrial Carcinoma Staging and Tumor Angioinvasion. J. Clin. Med. 2021, 10, 2144. [Google Scholar] [CrossRef] [PubMed]
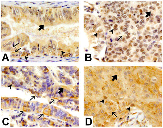
), and focal nuclear (
) and membranous (
) mTOR staining. (B) High-grade endometrial cancer exhibiting cytoplasmic (
), diffuse nuclear (
), and focal membranous (
) mTOR staining. (C) Low-grade endometrial cancer exhibiting cytoplasmic (
) and significant membranous (
) and focal nuclear (
) WNT-1 staining. (D) High-grade endometrial cancer exhibiting cytoplasmic (
) and focal membranous (
) and nuclear (
) WNT-1 staining. Magnification 400×.
), and focal nuclear (
) and membranous (
) mTOR staining. (B) High-grade endometrial cancer exhibiting cytoplasmic (
), diffuse nuclear (
), and focal membranous (
) mTOR staining. (C) Low-grade endometrial cancer exhibiting cytoplasmic (
) and significant membranous (
) and focal nuclear (
) WNT-1 staining. (D) High-grade endometrial cancer exhibiting cytoplasmic (
) and focal membranous (
) and nuclear (
) WNT-1 staining. Magnification 400×.

| No. of Patients in the Cohort | No. of Patients in the Low-Grade Cancer Group (Grade 1 or 2) | No. of Patients in the High-Grade Cancer Group (Grade 3) | p | |
|---|---|---|---|---|
| Number of patients | 64 | 40 | 24 | - |
| Age (y) MV ± STD | 61.2 ± 11.3 | 60.5 ± 11.1 | 62.5 ± 11.8 | 0.52 |
| Median (IQR) | 61 (53–69) | 61 (53–66.5) | 62 (55–70) | |
| Age at the time of the first menstruation (y) MV ± STD | 13.8 ± 1.5 | 13.8 ± 1.4 | 13.7 ± 1.8 | 0.99 |
| Median (IQR) | 14 (13–15) | 14 (13–14.5) | 14 (12–15) | |
| Age at the time of the last menstruation (y) MV ± STD | 50.7 ± 4.3 | 50.7 ± 4.4 | 50.7 ± 4 | 0.91 |
| Median (IQR) | 50 (49–54) | 51.5 (48.5–54) | 50 (49–54) | |
| Number of pregnancies (n, %) | ||||
| Nulliparous | 4 (6.3%) | 2 (5%) | 2 (8.7%) | 1 * |
| Single pregnancy | 13 (20.3%) | 6 (15%) | 7 (30.4%) | 0.17 |
| Multiparous | 46 (71.9%) | 32 (80%) | 14 (58.3%) | 0.06 |
| Data not available | 1 (1.6%) | 0 | 1 (4.2%) | 0.79 * |
| FIGO stage (n, %) | ||||
| I | 43 (67.2%) | 33 (82.5%) | 10 (41.7%) | 0.0008 |
| II | 12 (18.8%) | 5 (12.5%) | 7 (29.2%) | 0.1 |
| III | 8 (12.5%) | 2 (5%) | 6 (25%) | 0.051 * |
| IV | 1 (1.6%) | 0 | 1 (4.2%) | 0.79 * |
| Low-Grade Tumor Group (n = 40) | High-Grade Tumor Group (n = 24) | p | |
|---|---|---|---|
| Cytoplasmic WNT-1 expression (% of cells) MV ± STD | 60.4 ± 24.9 | 73.1 ± 16.5 | 0.06 |
| Median (IQR) | 55 (30–80) | 80 (55–90) | |
| Nuclear WNT-1 expression (% of cells) MV ± STD | 6.1 ± 14.7 | 10.5 ± 11.1 | 0.04 |
| Median (IQR) | 1 (1–5) | 5 (1–20) | |
| Membranous WNT-1 expression (% of cells) MV ± STD | 50.6 ± 31.1 | 30 ± 35.8 | 0.008 |
| Median (IQR) | 50 (20–80) | 5 (1–75) | |
| Cytoplasmic mTOR expression (% of cells) MV ± STD | 73.3 ± 20.3 | 61.5 ± 21.6 | 0.03 |
| Median (IQR) | 70 (65–90) | 70 (40–80) | |
| Nuclear mTOR expression (% of cells) MV ± STD | 10.2 ± 11.7 | 41 ± 33.2 | 0.0005 |
| Median (IQR) | 5 (1–10) | 35 (7.5–75) | |
| Membranous mTOR expression (% of cells) MV ± STD | 25.4 ± 26.8 | 12.8 ± 2.2 | 0.007 |
| Median (IQR) | 15 (5–40) | 3 (1–15) |
| OR | 95% CI | p | |
|---|---|---|---|
| Cytoplasmic WNT-1 expression (per 1% of cells identified) | 274.9 | 5.1–14690.2 | 0.006 |
| Membranous WNT-1 expression (per 1% of cells identified) | 0.09 | 0.009–0.89 | 0.04 |
| Nuclear mTOR expression (per 1% of cells identified) | 1054.7 | 17.3–64354.1 | 0.0009 |
| FIGO Stage IA (n = 23) | FIGO Stage IB–IV (n = 41) | p | |
|---|---|---|---|
| Cytoplasmic WNT-1 expression (% of cells) MV ± STD | 62.6 ± 22.6 | 66.6 ± 23.2 | 0.48 |
| Median (IQR) | 60 (50–80) | 70 (50–90) | |
| Nuclear WNT-1 expression (% of cells) MV ± STD | 9.2 ± 19.4 | 7 ± 8.9 | 0.75 |
| Median (IQR) | 1 (1–5) | 5 (1–5) | |
| Membranous WNT-1 expression (% of cells) MV ± STD | 52.4 ± 29.8 | 37.4 ± 35.6 | 0.08 |
| Median (IQR) | 50 (30–80) | 20 (5–80) | |
| Cytoplasmic mTOR expression (% of cells) MV ± STD | 71.7 ± 20.7 | 67.2 ± 21.9 | 0.41 |
| Median (IQR) | 70 (50–90) | 70 (50–80) | |
| Nuclear mTOR expression (% of cells) MV ± STD | 10.7 ± 15.7 | 27.9 ± 29.7 | 0.03 |
| Median (IQR) | 5 (1–10) | 20 (5–50) | |
| Membranous mTOR expression (% of cells) MV ± STD | 27.6 ± 27.9 | 16.8 ± 24 | 0.06 |
| Median (IQR) | 20 (5–50) | 5 (1–20) |
Disclaimer/Publisher’s Note: The statements, opinions and data contained in all publications are solely those of the individual author(s) and contributor(s) and not of MDPI and/or the editor(s). MDPI and/or the editor(s) disclaim responsibility for any injury to people or property resulting from any ideas, methods, instructions or products referred to in the content. |
© 2023 by the authors. Licensee MDPI, Basel, Switzerland. This article is an open access article distributed under the terms and conditions of the Creative Commons Attribution (CC BY) license (https://creativecommons.org/licenses/by/4.0/).
Share and Cite
Pietrus, M.; Pitynski, K.; Waligora, M.; Milian-Ciesielska, K.; Ludwin, A.; Socha, M.W.; Skrzypek, K. Association of Membranous WNT-1 and Nuclear mTOR with Endometrial Cancer Grade. Int. J. Mol. Sci. 2023, 24, 8342. https://doi.org/10.3390/ijms24098342
Pietrus M, Pitynski K, Waligora M, Milian-Ciesielska K, Ludwin A, Socha MW, Skrzypek K. Association of Membranous WNT-1 and Nuclear mTOR with Endometrial Cancer Grade. International Journal of Molecular Sciences. 2023; 24(9):8342. https://doi.org/10.3390/ijms24098342
Chicago/Turabian StylePietrus, Milosz, Kazimierz Pitynski, Marcin Waligora, Katarzyna Milian-Ciesielska, Artur Ludwin, Maciej W. Socha, and Klaudia Skrzypek. 2023. "Association of Membranous WNT-1 and Nuclear mTOR with Endometrial Cancer Grade" International Journal of Molecular Sciences 24, no. 9: 8342. https://doi.org/10.3390/ijms24098342
APA StylePietrus, M., Pitynski, K., Waligora, M., Milian-Ciesielska, K., Ludwin, A., Socha, M. W., & Skrzypek, K. (2023). Association of Membranous WNT-1 and Nuclear mTOR with Endometrial Cancer Grade. International Journal of Molecular Sciences, 24(9), 8342. https://doi.org/10.3390/ijms24098342

