Rituximab, Intravitreal Bevacizumab and Laser Photocoagulation for Treatment of Macrophage Activation Syndrome and Retinal Vasculitis in Lupus: A Case Report
Abstract
1. Introduction
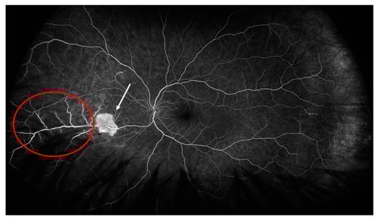
2. Case Description
3. Discussion
4. Conclusions
Author Contributions
Funding
Institutional Review Board Statement
Informed Consent Statement
Data Availability Statement
Conflicts of Interest
References
- Turk, M.A.; Hayworth, J.L.; Nevskaya, T.; Pope, J.E. Ocular manifestations in rheumatoid arthritis, connective tissue disease, and vasculitis: A systematic review and metaanalysis. J. Rheumatol. 2021, 48, 25–34. [Google Scholar] [CrossRef] [PubMed]
- Dammacco, R. Systemic lupus erythematosus and ocular involvement: An overview. Clin. Exp. Med. 2018, 18, 135–149. [Google Scholar] [CrossRef] [PubMed]
- Bashiri, H.; Karimi, N.; Mostafaei, S.; Baghdadi, A.; Nejadhosseinian, M.; Faezi, S.T. Retinopathy in newly-diagnosed systemic lupus erythematosus: Should we screen for ocular involvement? BMC Rheumatol. 2021, 5, 34. [Google Scholar] [CrossRef]
- Palejwala, N.V.; Walia, H.S.; Yeh, S. Ocular manifestations of systemic lupus erythematosus: A review of the literature. Autoimmune Dis. 2012, 2012, 290898. [Google Scholar] [CrossRef]
- Au, A.; O’Day, J. Review of severe vaso-occlusive retinopathy in systemic lupus erythematosus and the antiphospholipid syndrome: Associations, visual outcomes, complications and treatment. Clin. Exp. Ophthalmol. 2004, 32, 87–100. [Google Scholar] [CrossRef] [PubMed]
- Vilaiyuk, S.; Sirachainan, N.; Wanitkun, S.; Pirojsakul, K.; Vaewpanich, J. Recurrent macrophage activation syndrome as the primary manifestation in systemic lupus erythematosus and the benefit of serial ferritin measurements: A case-based review. Clin. Rheumatol. 2013, 32, 899–904. [Google Scholar] [CrossRef]
- Ahn, S.S.; Yoo, B.W.; Jung, S.M.; Lee, S.W.; Park, Y.B.; Song, J.J. In-hospital mortality in febrile lupus patients based on 2016 EULAR/ACR/PRINTO classification criteria for macrophage activation syndrome. Semin. Arthritis Rheum. 2017, 47, 216–221. [Google Scholar] [CrossRef]
- Aziz, A.; Castaneda, E.E.; Ahmad, N.; Veerapalli, H.; Rockferry, A.G.; Lankala, C.R.; Hamid, P. Exploring macrophage activation syndrome secondary to systemic lupus erythematosus in adults: A systematic review of the literature. Cureus 2021, 13, e18822. [Google Scholar] [CrossRef]
- Henter, J.I.; Horne, A.; Aricó, M.; Egler, M.; Filipovich, A.H.; Imashuku, S.; Ladisch, S.; McClain, K.; Webb, D.; Winiarski, J.; et al. HLH-2004: Diagnostic and therapeutic guidelines for hemophagocytic lymphohistiocytosis. Pediatr. Blood Cancer 2007, 48, 124–131. [Google Scholar] [CrossRef]
- Fardet, L.; Galicier, L.; Lambotte, O.; Marzac, C.; Aumont, C.; Chahwan, D.; Coppo, P.; Hejblum, G. Development and validation of the HScore, a score for the diagnosis of reactive hemophagocytic syndrome. Arthritis Rheumatol. 2014, 66, 2613–2620. [Google Scholar] [CrossRef]
- Ravelli, A.; Minoia, F.; Davì, S.; Horne, A.; Bovis, F.; Pistorio, A.; Aricò, M.; Avcin, T.; Behrens, E.M.; De Benedetti, F.; et al. 2016 Classification Criteria for Macrophage Activation Syndrome Complicating Systemic Juvenile Idiopathic Arthritis: A European League Against Rheumatism/American College of Rheumatology/Paediatric Rheumatology International Trials Organisation Collaborative Initiative. Arthritis Rheumatol. 2016, 68, 566–576. [Google Scholar] [CrossRef] [PubMed]
- Parodi, A.; Davì, S.; Pringe, A.B.; Pistorio, A.; Ruperto, N.; Magni-Manzoni, S.; Miettunen, P.; Bader-Meunier, B.; Espada, G.; Sterba, G.; et al. Macrophage activation syndrome in juvenile systemic lupus erythematosus: A multinational multicenter study of thirty-eight patients. Arthritis Rheum. 2009, 60, 3388–3399. [Google Scholar] [CrossRef] [PubMed]
- Carter, S.J.; Tattersall, R.S.; Ramanan, A.V. Macrophage activation syndrome in adults: Recent advances in pathophysiology, diagnosis and treatment. Rheumatology 2019, 58, 5–17. [Google Scholar] [CrossRef]
- Wafa, A.; Hicham, H.; Naoufal, R.; Hajar, K.; Rachid, R.; Souad, B.; Mouna, M.; Zoubida, M.T.; Mohamed, A. Clinical spectrum and therapeutic management of systemic lupus erythematosus-associated macrophage activation syndrome: A study of 20 Moroccan adult patients. Clin. Rheumatol. 2022, 41, 2021–2033. [Google Scholar] [CrossRef] [PubMed]
- Gavand, P.E.; Serio, I.; Arnaud, L.; Costedoat-Chalumeau, N.; Carvelli, J.; Dossier, A.; Hinschberger, O.; Mouthon, L.; Le Guern, V.; Korganow, A.S.; et al. Clinical spectrum and therapeutic management of systemic lupus erythematosus-associated macrophage activation syndrome: A study of 103 episodes in 89 adult patients. Autoimmun. Rev. 2017, 16, 743–749. [Google Scholar] [CrossRef]
- Liu, A.-C.; Yang, Y.; Li, M.-T.; Jia, Y.; Chen, S.; Ye, S.; Zeng, X.-Z.; Wang, Z.; Zhao, J.-X.; Liu, X.-Y.; et al. Macrophage activation syndrome in systemic lupus erythematosus: A multicenter, case-control study in China. Clin. Rheumatol. 2018, 37, 93–100. [Google Scholar] [CrossRef]
- Lerkvaleekul, B.; Vilaiyuk, S. Macrophage activation syndrome: Early diagnosis is key. Open Access Rheumatol. 2018, 10, 117–128. [Google Scholar] [CrossRef]
- Luo, Y.; Wen, Y.; Arevalo Molina, A.B.; Dahal, P.; Leuprecht, L.; Bsrat, M. Macrophage activation syndrome, glomerulonephritis, pericarditis, and retinal vasculitis as initial presentation of systemic lupus erythematosus. Case Rep. Med. 2018, 2018, 5979386. [Google Scholar] [CrossRef]
- Shah, K.; Porter, A.; Takhar, G.; Reddy, V. Case of using mycophenolate in combination with steroids for concurrent macrophage activation syndrome and lupus flare. BMJ Case Rep. 2020, 13, e231554. [Google Scholar] [CrossRef]
- Deaner, J.D.; Zeft, A.S.; Emami-Naeini, P.; Lowder, C.Y. Visual recovery and vascular reperfusion after vaso-occlusive retinopathy from anti-phospholipid syndrome associated with systemic lupus erythematosus. Am. J. Ophthalmol. Case Rep. 2020, 19, 100763. [Google Scholar] [CrossRef]
- Ermakova, N.A.; Alekberova, Z.S.; Kosheleva, N.M.; Reshetniak, T.N. Osobennosti porazheniia sosudov setchatki pri sistemnoĭ krasnoĭ volchanke [Characteristics of retinal vascular involvement in systemic lupus erythematosus]. Vestn. Oftalmol. 2001, 117, 21–24. [Google Scholar]
- Talat, L.; Lightman, S.; Tomkins-Netzer, O. Ischemic retinal vasculitis and its management. J. Ophthalmol. 2014, 2014, 197675. [Google Scholar] [CrossRef] [PubMed]
- Junga, Z.; Stitt, R.; Tracy, C.; Keith, M. Novel use of rituximab in macrophage activation syndrome secondary to systemic lupus erythematosus. BMJ Case Rep. 2017, 2017, bcr2017221347. [Google Scholar] [CrossRef] [PubMed]
- Bakshi, J.; Hassan, S.; D’Cruz, D.; Chan, A. Rituximab therapy in refractory macrophage activation syndrome secondary to systemic lupus erythematosus. Lupus 2013, 22, 1544–1546. [Google Scholar] [CrossRef]
- Hickman, R.A.; Denniston, A.K.; Yee, C.S.; Toescu, V.; Murray, P.I.; Gordon, C. Bilateral retinal vasculitis in a patient with systemic lupus erythematosus and its remission with rituximab therapy. Lupus 2010, 19, 327–329. [Google Scholar] [CrossRef]
- Tselios, K.; Lam, W.C.; Urowitz, M.B.; Gladman, D.D. Rituximab for sight-threatening lupus-related retinal vasculitis. J. Clin. Rheumatol. 2018, 24, 93–94. [Google Scholar] [CrossRef] [PubMed]
- Ali Dhirani, N.; Ahluwalia, V.; Somani, S. Case of combination therapy to treat lupus retinal vasculitis refractory to steroids. Can. J. Ophthalmol. 2017, 52, e13–e15. [Google Scholar] [CrossRef] [PubMed]
- Seth, G.; Chengappa, K.G.; Misra, D.P.; Babu, R.; Belani, P.; Shanoj, K.C.; Kumar, G.; Negi, V.S. Lupus retinopathy: A marker of active systemic lupus erythematosus. Rheumatol. Int. 2018, 38, 1495–1501. [Google Scholar] [CrossRef]




| Reference Range | Admission | After 12 Months of RTX | |
|---|---|---|---|
| White blood cell count (109/L) | 3.4–9.7 | 0.79 | 4.2 |
| Hemoglobin (g/L) | 138–175 | 126 | 147 |
| Platelets (109/L) | 158–424 | 95 | 181 |
| ALT (U/L) | 12–48 | 151 | 32 |
| AST (U/L) | 11–38 | 232 | 56 |
| LDH (U/L) | <241 | 666 | 238 |
| Triglyceride (mmol/L) | <1.7 | 3.58 | 0.9 |
| Albumin (g/L) | 41–51 | 32 | 47 |
| Ferritin (ng/mL) | 22–322 | 4835 | 130 |
| Fibrinogen (g/L) | 1.8–3.5 | 2.2 | 3.6 |
| d-dimer (μg/L) | <500 | >4530 | 2960 |
| CRP (mg/dL) | <5.0 | 25.9 | 5.9 |
| ESR (mm/3.6 ks) | 2–13 | 10 | 2 |
| Procalcitonin (µg/L) | 0.5–2 | 0.206 | - |
| Creatinine (µmol/L) | 64–104 | 65 | 88 |
| 24-h urine protein (mg/24 h) | <150 | 308 | 172 |
| Direct antiglobulin test | - | Positive | - |
| C3 (g/L) | 0.89–1.87 | 0.366 | 0.6 |
| C4 (g/L) | 0.17–0.38 | 0.027 | 0.05 |
| Antinuclear antibody * | Positive > 1 | 20 | - |
| Anti-dsDNA antibody * (IU/mL) | Positive > 15 | 106 | 175 |
| Anticardiolipin antibody IgM * (MPL-U/mL) | Positive > 40 | 12 | - |
| Anticardiolipin antibody IgG * (GPL-U/mL) | Positive > 40 | 3.3 | - |
| Beta2-Glycoprotein I IgM * (EliA U/mL) | Positive > 10 | 19 | - |
| Beta2-Glycoprotein I IgG * (EliA U/mL) | Positive > 10 | 3.3 | - |
| Lupus anticoagulant | - | Positive | - |
| Primary HLH | Secondary HLH and MAS | |||
|---|---|---|---|---|
| HLH-2004, Henter et al. [9] | HScore, Fardet et al. [10] | PRINTO criteria, Ravelli et al. [11] | MAS complicating juvenile SLE, Parodi A et al. [12] | |
| Target population | Primary HLH | Adults | sJIA | Juvenile SLE |
| Clinical features | ||||
| Fever * | + | <38.4 (0), 38.4–39.4 (33), >39.4 (49) | + | + |
| Hepatomegaly * | Neither (0), either hepatomegaly or splenomegaly (23), both (38) + | + | ||
| Splenomegaly * | + | + | ||
| Immunosuppression | No (0), yes (18) | |||
| Hemorrhagic manifestations | + | |||
| Central nervous system dysfunction | + | |||
| Laboratory criteria | ||||
| Cytopaenia in more than two lineages * | Either: haemoglobin < 90 g/L, platelets < 100 × 109/L, neutrophils < 1 × 109/L | One lineage (0), two lineages (24), three lineages (34) | White blood cell count ≤ 4.0 × 109/L, hemoglobin ≤ 90 g/L, or platelet ≤ 150 × 109/L | |
| Platelets * | ≤181 × 109/L | |||
| Ferritin, ng/mL * | ≥500 | <2000 (0), 2000–6000 (35), >6000 (50) | >684 | >500 |
| Hypertriglyceridaemia, mmol/L * | ≥3 | <1.5 (0), 1.5–4 (44), >4 (64) | >1.76 | 2.01 |
| Hypofibrinogenaemia, g/L * | ≤1.5 | >2.5 (0), <2.5 (30) | ≤3.6 | ≤1.5 |
| Liver function tests, IU/L * | AST < 30 (0), >30 (19) | AST > 48 | AST > 48, LDH > 567 | |
| Low/absent NK cell activity | + | |||
| Soluble CD25, U/ml | ≥2400 | |||
| Haemophagocytosis | + | No (0), yes (35) | + | + |
| Fulfillment of criteria | Molecular diagnosis consistent with primary HLH or five or more of eight criteria | Produces a probability outcome. Scores > 169 are 93% sensitive and 86% specific for HLH | Febrile patient with known or suspected sJIA, ferritin > 684 ng/mL and two or more additional items | Diagnosis of MAS if one clinical + two laboratory criteria or evidence of hemophagocytosis in the bone marrow aspirate |
| Our patient | Meets the criteria | HScore 223 points (96–98% probability of HLH) | Meets the criteria | Meets the criteria |
Disclaimer/Publisher’s Note: The statements, opinions and data contained in all publications are solely those of the individual author(s) and contributor(s) and not of MDPI and/or the editor(s). MDPI and/or the editor(s) disclaim responsibility for any injury to people or property resulting from any ideas, methods, instructions or products referred to in the content. |
© 2023 by the authors. Licensee MDPI, Basel, Switzerland. This article is an open access article distributed under the terms and conditions of the Creative Commons Attribution (CC BY) license (https://creativecommons.org/licenses/by/4.0/).
Share and Cite
Ikić Matijašević, M.; Kilić, P.; Ikić, L.; Galić, I.; Brzović Šarić, V.; Galić, E. Rituximab, Intravitreal Bevacizumab and Laser Photocoagulation for Treatment of Macrophage Activation Syndrome and Retinal Vasculitis in Lupus: A Case Report. Int. J. Mol. Sci. 2023, 24, 2594. https://doi.org/10.3390/ijms24032594
Ikić Matijašević M, Kilić P, Ikić L, Galić I, Brzović Šarić V, Galić E. Rituximab, Intravitreal Bevacizumab and Laser Photocoagulation for Treatment of Macrophage Activation Syndrome and Retinal Vasculitis in Lupus: A Case Report. International Journal of Molecular Sciences. 2023; 24(3):2594. https://doi.org/10.3390/ijms24032594
Chicago/Turabian StyleIkić Matijašević, Marina, Paula Kilić, Lucija Ikić, Iva Galić, Vlatka Brzović Šarić, and Edvard Galić. 2023. "Rituximab, Intravitreal Bevacizumab and Laser Photocoagulation for Treatment of Macrophage Activation Syndrome and Retinal Vasculitis in Lupus: A Case Report" International Journal of Molecular Sciences 24, no. 3: 2594. https://doi.org/10.3390/ijms24032594
APA StyleIkić Matijašević, M., Kilić, P., Ikić, L., Galić, I., Brzović Šarić, V., & Galić, E. (2023). Rituximab, Intravitreal Bevacizumab and Laser Photocoagulation for Treatment of Macrophage Activation Syndrome and Retinal Vasculitis in Lupus: A Case Report. International Journal of Molecular Sciences, 24(3), 2594. https://doi.org/10.3390/ijms24032594

