Antitumoral Activity of Leptocarpha rivularis Flower Extracts against Gastric Cancer Cells
Abstract
1. Introduction
2. Results
2.1. Extract Yields
2.2. Phytochemical Content of L. rivularis Flower Extracts
2.3. Antiproliferative Effect of L. rivularis Flower Extracts on Gastric Cell Lines
2.4. L. rivularis Flower Extracts Affect Mitochondrial Membrane Potential and Induce Caspase Activity in Gastric Cancer Cells
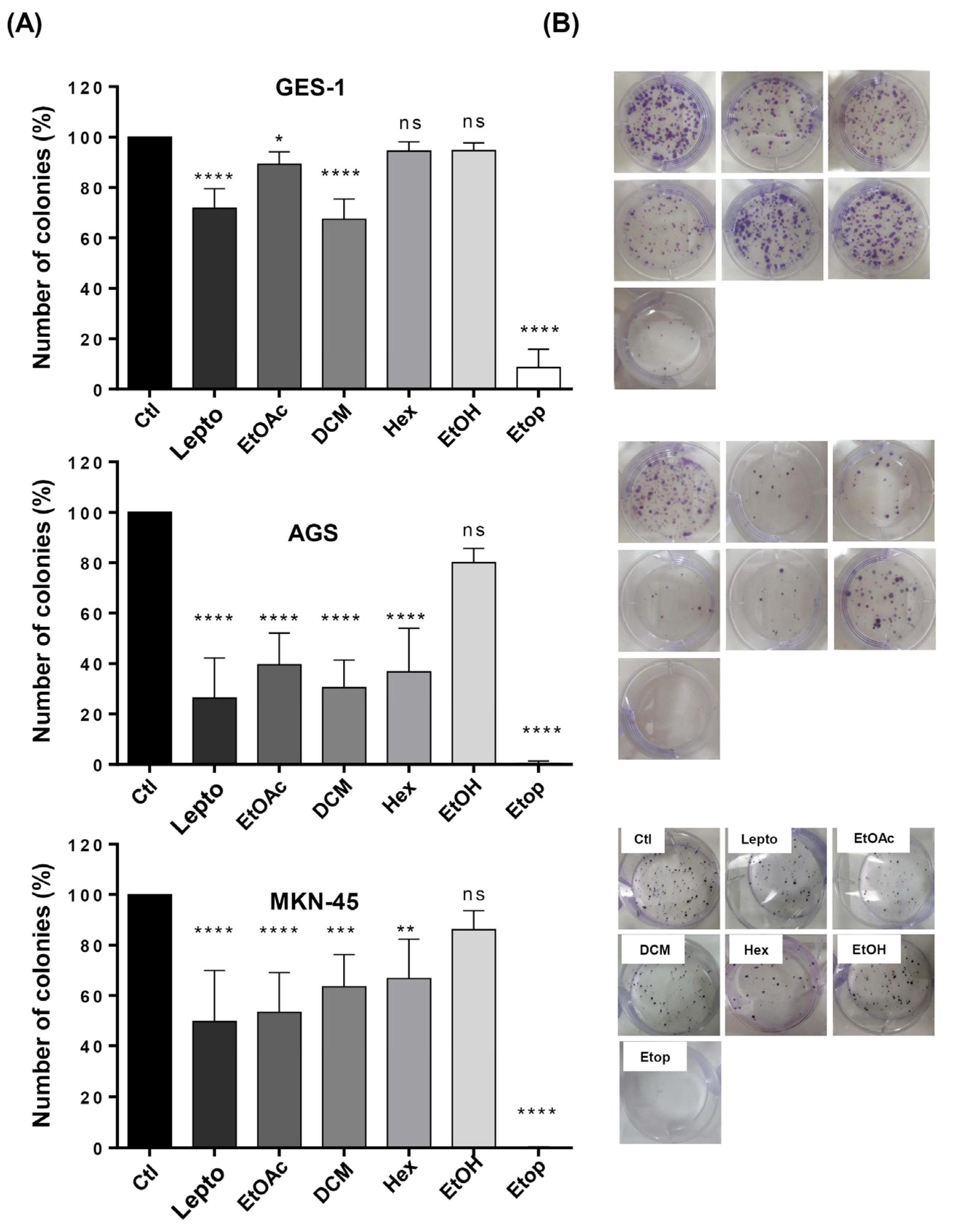
2.5. Effect of L. rivularis Flower Extracts on the Clonogenic Ability of Gastric Cells
2.6. L. rivularis Flower Extracts Induced a Senescent Phenotype in Gastric Cancer Cells
2.7. L. rivularis Flower Extracts Reduced Migration and Invasion Potential in Gastric Cancer Cells
2.8. The EtOAc Extract of L. rivularis Flowers Reduced the Vasculogenic Capacity of EA.hy926 Cells
3. Discussion
4. Materials and Methods
4.1. Obtention of Leptocarpha rivularis Flower Extracts
Chromatographic Analysis
4.2. Cell lines and Culture Conditions
4.3. Western Blot Analysis
4.4. Cytotoxicity Assays
4.4.1. Cell Proliferation
4.4.2. Trypan Blue Exclusion Assay
4.4.3. DEVDase Activity
4.4.4. Determination of Mitochondrial Transmembrane Potential
4.4.5. LIVE/DEAD® Viability/Cytotoxicity Assay
4.4.6. Clonogenic Assay
4.5. Detection of Senescent Cells
4.6. Cell Migration and Invasion Assays
4.7. Matrigel Vasculogenic Assay
4.8. Statistical Analysis
5. Conclusions
Author Contributions
Funding
Informed Consent Statement
Data Availability Statement
Acknowledgments
Conflicts of Interest
References
- Sung, H.; Ferlay, J.; Siegel, R.L.; Laversanne, M.; Soerjomataram, I.; Jemal, A.; Bray, F. Global Cancer Statistics 2020: GLOBOCAN Estimates of Incidence and Mortality Worldwide for 36 Cancers in 185 Countries. CA Cancer J. Clin. 2021, 71, 209–249. [Google Scholar] [CrossRef]
- Vasan, N.; Baselga, J.; Hyman, D.M. A view on drug resistance in cancer. Nature 2019, 575, 299–309. [Google Scholar] [CrossRef] [PubMed]
- Mroz, E.A.; Rocco, J.W. The challenges of tumor genetic diversity. Cancer 2017, 123, 917–927. [Google Scholar] [CrossRef] [PubMed]
- Li, B.; He, X.; Jia, W.; Li, H. Novel Applications of Metabolomics in Personalized Medicine: A Mini-Review. Molecules 2017, 22, 1173. [Google Scholar] [CrossRef] [PubMed]
- Smyth, E.C.; Nilsson, M.; Grabsch, H.I.; van Grieken, N.C.; Lordick, F. Gastric cancer. Lancet 2020, 396, 635–648. [Google Scholar] [CrossRef] [PubMed]
- Schmidt, N.; Peitz, U.; Lippert, H.; Malfertheiner, P. Missing gastric cancer in dyspepsia. Aliment. Pharmacol. Ther. 2005, 21, 813–820. [Google Scholar] [CrossRef]
- Kumar, V.; Soni, P.; Garg, M.; Kamholz, S.; Chandra, A.B. Emerging Therapies in the Management of Advanced-Stage Gastric Cancer. Front. Pharmacol. 2018, 9, 404. [Google Scholar] [CrossRef] [PubMed]
- Rim, C.; Lee, J.A.; Gong, S.; Kang, D.W.; Yang, H.; Han, H.Y.; Kim, N.Y. A Case of Long-Term Complete Remission of Advanced Gastric Adenocarcinoma with Liver Metastasis. J. Gastric. Cancer 2016, 16, 115–119. [Google Scholar] [CrossRef]
- Riquelme, I.; Letelier, P.; Riffo-Campos, A.L.; Brebi, P.; Roa, J.C. Emerging Role of miRNAs in the Drug Resistance of Gastric Cancer. Int. J. Mol. Sci. 2016, 17, 424. [Google Scholar] [CrossRef] [PubMed]
- Otaegi-Ugartemendia, M.; Matheu, A.; Carrasco-Garcia, E. Impact of Cancer Stem Cells on Therapy Resistance in Gastric Cancer. Cancers 2022, 14, 1457. [Google Scholar] [CrossRef]
- Dasari, S.; Tchounwou, P.B. Cisplatin in cancer therapy: Molecular mechanisms of action. Eur. J. Pharmacol. 2014, 740, 364–378. [Google Scholar] [CrossRef]
- Longley, D.B.; Harkin, D.P.; Johnston, P.G. 5-fluorouracil: Mechanisms of action and clinical strategies. Nat. Rev. Cancer 2003, 3, 330–338. [Google Scholar] [CrossRef] [PubMed]
- Zhu, L.; Chen, L. Progress in research on paclitaxel and tumor immunotherapy. Cell Mol. Biol. Lett. 2019, 24, 40. [Google Scholar] [CrossRef]
- Boku, N. HER2-positive gastric cancer. Gastric Cancer 2014, 17, 1–12. [Google Scholar] [CrossRef] [PubMed]
- Walcher, L.; Kistenmacher, A.K.; Suo, H.; Kitte, R.; Dluczek, S.; Strauss, A.; Blaudszun, A.R.; Yevsa, T.; Fricke, S.; Kossatz-Boehlert, U. Cancer Stem Cells-Origins and Biomarkers: Perspectives for Targeted Personalized Therapies. Front. Immunol. 2020, 11, 1280. [Google Scholar] [CrossRef] [PubMed]
- Marin, J.J.; Al-Abdulla, R.; Lozano, E.; Briz, O.; Bujanda, L.; Banales, J.M.; Macias, R.I. Mechanisms of Resistance to Chemotherapy in Gastric Cancer. Anticancer Agents Med. Chem. 2016, 16, 318–334. [Google Scholar] [CrossRef]
- Recasens, A.; Munoz, L. Targeting Cancer Cell Dormancy. Trends Pharmacol. Sci. 2019, 40, 128–141. [Google Scholar] [CrossRef]
- Kim, C.; Kim, B. Anti-Cancer Natural Products and Their Bioactive Compounds Inducing ER Stress-Mediated Apoptosis: A Review. Nutrients 2018, 10, 1021. [Google Scholar] [CrossRef]
- Das, P.K.; Zahan, T.; Abdur Rakib, M.; Khanam, J.A.; Pillai, S.; Islam, F. Natural Compounds Targeting Cancer Stem Cells: A Promising Resource for Chemotherapy. Anticancer Agents Med. Chem. 2019, 19, 1796–1808. [Google Scholar] [CrossRef]
- Dutta, S.; Mahalanobish, S.; Saha, S.; Ghosh, S.; Sil, P.C. Natural products: An upcoming therapeutic approach to cancer. Food Chem. Toxicol. 2019, 128, 240–255. [Google Scholar] [CrossRef]
- Daniyal, M.; Liu, Y.; Yang, Y.; Xiao, F.; Fan, J.; Yu, H.; Qiu, Y.; Liu, B.; Wang, W.; Yuhui, Q. Anti-gastric cancer activity and mechanism of natural compound “Heilaohulignan C” isolated from Kadsura coccinea. Phytother. Res. 2021, 35, 3977–3987. [Google Scholar] [CrossRef] [PubMed]
- Zhu, H.; Zhao, H.; Zhang, L.; Xu, J.; Zhu, C.; Zhao, H.; Lv, G. Dandelion root extract suppressed gastric cancer cells proliferation and migration through targeting lncRNA-CCAT1. Biomed. Pharmacother. 2017, 93, 1010–1017. [Google Scholar] [CrossRef]
- He, W.; Cao, P.; Xia, Y.; Hong, L.; Zhang, T.; Shen, X.; Zheng, P.; Shen, H.; Zhao, Y.; Zou, P. Potent inhibition of gastric cancer cells by a natural compound via inhibiting TrxR1 activity and activating ROS-mediated p38 MAPK pathway. Free Radic. Res. 2019, 53, 104–114. [Google Scholar] [CrossRef]
- Nakonieczna, S.; Grabarska, A.; Kukula-Koch, W. The Potential Anticancer Activity of Phytoconstituents against Gastric Cancer-A Review on In Vitro, In Vivo, and Clinical Studies. Int. J. Mol. Sci. 2020, 21, 8307. [Google Scholar] [CrossRef] [PubMed]
- Cao, Y.J.; Duan, J.; Liu, L.F.; Wei, X.; Ren, L.; Zhang, L.N.; Zhang, W. Individualized Treatment and Palliative Care for A 90-Year-Old Patient with Primary Gastric Diffuse Large-B Cell Lymphoma: 4 Year Follow-up and Inspiration. Chin. Med. Sci. J. 2021, 36, 72–77. [Google Scholar] [PubMed]
- Kang, S.Y.; Hwang, D.; Shin, S.; Park, J.; Kim, M.; Rahman, M.D.H.; Rahman, M.A.; Ko, S.G.; Kim, B. Potential of Bioactive Food Components against Gastric Cancer: Insights into Molecular Mechanism and Therapeutic Targets. Cancers 2021, 13, 4502. [Google Scholar] [CrossRef] [PubMed]
- Rubio, J.; Arias, G.; Robles-Kelly, C.; Silva-Moreno, E.; Espinoza, L.; Carrasco, H.; Olea, A.F. Phytochemical Profiling and Assessment of Anticancer Activity of Leptocarpha rivularis Extracts Obtained from In Vitro Cultures. Plants 2022, 11, 546. [Google Scholar] [CrossRef]
- Jimenez-Gonzalez, A.; Quispe, C.; Borquez, J.; Sepulveda, B.; Riveros, F.; Areche, C.; Nagles, E.; Garcia-Beltran, O.; Simirgiotis, M.J. UHPLC-ESI-ORBITRAP-MS analysis of the native Mapuche medicinal plant palo negro (Leptocarpha rivularis DC.—Asteraceae) and evaluation of its antioxidant and cholinesterase inhibitory properties. J. Enzyme Inhib. Med. Chem. 2018, 33, 936–944. [Google Scholar] [CrossRef]
- Montenegro, I.; Moreira, J.; Ramirez, I.; Dorta, F.; Sanchez, E.; Alfaro, J.F.; Valenzuela, M.; Jara-Gutierrez, C.; Munoz, O.; Alvear, M.; et al. Chemical Composition, Antioxidant and Anticancer Activities of Leptocarpha rivularis DC Flower Extracts. Molecules 2020, 26, 67. [Google Scholar] [CrossRef]
- Babaei, G.; Aliarab, A.; Abroon, S.; Rasmi, Y.; Aziz, S.G. Application of sesquiterpene lactone: A new promising way for cancer therapy based on anticancer activity. Biomed. Pharmacother. 2018, 106, 239–246. [Google Scholar] [CrossRef]
- Martinez, R.; Kesternich, V.; Gutierrez, E.; Dolz, H.; Mansilla, H. Conformational analysis and biological activity of leptocarpin and leptocarpin acetate. Planta Med. 1995, 61, 188–189. [Google Scholar] [CrossRef] [PubMed]
- Bosio, C.; Tomasoni, G.; Martinez, R.; Olea, A.F.; Carrasco, H.; Villena, J. Cytotoxic and apoptotic effects of leptocarpin, a plant-derived sesquiterpene lactone, on human cancer cell lines. Chem. Biol. Interact. 2015, 242, 415–421. [Google Scholar] [CrossRef] [PubMed]
- Adams, R.P. Identification of Essential Oil Components by Gas Chromatography/Mass Spectrometry, 4th ed.; Allured Pub Corp: Carol Stream, IL, USA, 2007. [Google Scholar]
- Suffness, M.I.; Pezzuto, J.M. Assays Related to Cancer Drug Discovery; SCISPACE: Bangalore, India, 1999. [Google Scholar]
- Ronot, X.; Benel, L.; Adolphe, M.; Mounolou, J.C. Mitochondrial analysis in living cells: The use of rhodamine 123 and flow cytometry. Biol. Cell 1986, 57, 1–7. [Google Scholar] [CrossRef]
- Fleischer, A.; Ghadiri, A.; Dessauge, F.; Duhamel, M.; Rebollo, M.P.; Alvarez-Franco, F.; Rebollo, A. Modulating apoptosis as a target for effective therapy. Mol. Immunol. 2006, 43, 1065–1079. [Google Scholar] [CrossRef]
- Kashyap, D.; Garg, V.K.; Goel, N. Intrinsic and extrinsic pathways of apoptosis: Role in cancer development and prognosis. Adv. Protein Chem. Struct. Biol. 2021, 125, 73–120. [Google Scholar]
- Janicke, R.U.; Sprengart, M.L.; Wati, M.R.; Porter, A.G. Caspase-3 is required for DNA fragmentation and morphological changes associated with apoptosis. J. Biol. Chem. 1998, 273, 9357–9360. [Google Scholar] [CrossRef] [PubMed]
- Waza, A.A.; Hamid, Z.; Ali, S.; Bhat, S.A.; Bhat, M.A. A review on heme oxygenase-1 induction: Is it a necessary evil. Inflamm. Res. 2018, 67, 579–588. [Google Scholar] [CrossRef]
- Burton, D.G.; Krizhanovsky, V. Physiological and pathological consequences of cellular senescence. Cell Mol. Life Sci. 2014, 71, 4373–4386. [Google Scholar] [CrossRef] [PubMed]
- Hernandez-Segura, A.; Nehme, J.; Demaria, M. Hallmarks of Cellular Senescence. Trends Cell Biol. 2018, 28, 436–453. [Google Scholar] [CrossRef]
- Wang, L.; Lankhorst, L.; Bernards, R. Exploiting senescence for the treatment of cancer. Nat. Rev. Cancer 2022, 22, 340–355. [Google Scholar] [CrossRef]
- Valenzuela, M.; Bastias, L.; Montenegro, I.; Werner, E.; Madrid, A.; Godoy, P.; Parraga, M.; Villena, J. Autumn Royal and Ribier Grape Juice Extracts Reduced Viability and Metastatic Potential of Colon Cancer Cells. Evid. Based Complement. Altern. Med. 2018, 2018, 2517080. [Google Scholar] [CrossRef] [PubMed]
- Kleinman, H.K.; Jacob, K. Invasion assays. Curr. Protoc. Cell Biol. 2001, volume, page. [Google Scholar] [CrossRef] [PubMed]
- Lugano, R.; Ramachandran, M.; Dimberg, A. Tumor angiogenesis: Causes, consequences, challenges and opportunities. Cell Mol. Life Sci. 2020, 77, 1745–1770. [Google Scholar] [CrossRef] [PubMed]
- Saman, H.; Raza, S.S.; Uddin, S.; Rasul, K. Inducing Angiogenesis, a Key Step in Cancer Vascularization, and Treatment Approaches. Cancers 2020, 12, 1172. [Google Scholar] [CrossRef] [PubMed]
- Garrido, M.P.; Vera, C.; Vega, M.; Quest, A.F.G.; Romero, C. Metformin prevents nerve growth factor-dependent proliferative and proangiogenic effects in epithelial ovarian cancer cells and endothelial cells. Ther. Adv. Med. Oncol. 2018, 10, 1758835918770984. [Google Scholar] [CrossRef] [PubMed]
- Bray, F.; Ferlay, J.; Soerjomataram, I.; Siegel, R.L.; Torre, L.A.; Jemal, A. Global cancer statistics 2018: GLOBOCAN estimates of incidence and mortality worldwide for 36 cancers in 185 countries. CA Cancer J. Clin. 2018, 68, 394–424. [Google Scholar] [CrossRef]
- Hanahan, D.; Weinberg, R.A. Hallmarks of cancer: The next generation. Cell 2011, 144, 646–674. [Google Scholar] [CrossRef]
- Nurgali, K.; Jagoe, R.T.; Abalo, R. Editorial: Adverse Effects of Cancer Chemotherapy: Anything New to Improve Tolerance and Reduce Sequelae? Front. Pharmacol. 2018, 9, 245. [Google Scholar] [CrossRef]
- Merfort, I. Perspectives on sesquiterpene lactones in inflammation and cancer. Curr. Drug Targets 2011, 12, 1560–1573. [Google Scholar] [CrossRef]
- Jeong, S.H.; Koo, S.J.; Choi, J.H.; Park, J.H.; Ha, J.; Park, H.J.; Lee, K.T. Intermedeol isolated from the leaves of Ligularia fischeri var. spiciformis induces the differentiation of human acute promyeocytic leukemia HL-60 Cells. Planta Med. 2002, 68, 881–885. [Google Scholar] [CrossRef]
- Choi, E.J.; Ahn, W.S. Antiproliferative effects of dehydrocostuslactone through cell cycle arrest and apoptosis in human ovarian cancer SK-OV-3 cells. Int. J. Mol. Med. 2009, 23, 211–216. [Google Scholar] [PubMed]
- Mukherjee, A.; Sikdar, S.; Bishayee, K.; Paul, A.; Ghosh, S.; Boujedaini, N.; Khuda-Bukhsh, A.R. Ethanolic extract of Thuja occidentalis blocks proliferation of A549 cells and induces apoptosis in vitro. Zhong Xi Yi Jie He Xue Bao 2012, 10, 1451–1459. [Google Scholar] [CrossRef]
- Kangsamaksin, T.; Chaithongyot, S.; Wootthichairangsan, C.; Hanchaina, R.; Tangshewinsirikul, C.; Svasti, J. Lupeol and stigmasterol suppress tumor angiogenesis and inhibit cholangiocarcinoma growth in mice via downregulation of tumor necrosis factor-alpha. PLoS ONE 2017, 12, e0189628. [Google Scholar] [CrossRef]
- Wen, S.; Gu, D.; Zeng, H. Antitumor effects of beta-amyrin in Hep-G2 liver carcinoma cells are mediated via apoptosis induction, cell cycle disruption and activation of JNK and P38 signalling pathways. J. BUON 2018, 23, 965–970. [Google Scholar] [PubMed]
- Long, H.Y.; Huang, Q.X.; Yu, Y.Y.; Zhang, Z.B.; Yao, Z.W.; Chen, H.B.; Feng, J.W. Dehydrocostus lactone inhibits in vitro gastrinoma cancer cell growth through apoptosis induction, sub-G1 cell cycle arrest, DNA damage and loss of mitochondrial membrane potential. Arch. Med. Sci. 2019, 15, 765–773. [Google Scholar] [CrossRef]
- Torres, A.; Vargas, Y.; Uribe, D.; Carrasco, C.; Torres, C.; Rocha, R.; Oyarzun, C.; San Martin, R.; Quezada, C. Pro-apoptotic and anti-angiogenic properties of the alpha /beta-thujone fraction from Thuja occidentalis on glioblastoma cells. J. Neurooncol. 2016, 128, 9–19. [Google Scholar] [CrossRef]
- Butturini, E.; Di Paola, R.; Suzuki, H.; Paterniti, I.; Ahmad, A.; Mariotto, S.; Cuzzocrea, S. Costunolide and Dehydrocostuslactone, two natural sesquiterpene lactones, ameliorate the inflammatory process associated to experimental pleurisy in mice. Eur. J. Pharmacol. 2014, 730, 107–115. [Google Scholar] [CrossRef] [PubMed]
- Seo, M.S.; Choi, E.M. The effects of dehydrocostus lactone on osteoblastic MC3T3-E1 cells in redox changes and PI3K/Akt/CREB. Immunopharmacol. Immunotoxicol. 2012, 34, 810–814. [Google Scholar] [CrossRef]
- Kuo, P.L.; Ni, W.C.; Tsai, E.M.; Hsu, Y.L. Dehydrocostuslactone disrupts signal transducers and activators of transcription 3 through up-regulation of suppressor of cytokine signaling in breast cancer cells. Mol. Cancer Ther. 2009, 8, 1328–1339. [Google Scholar] [CrossRef]
- Kim, E.J.; Hong, J.E.; Lim, S.S.; Kwon, G.T.; Kim, J.; Kim, J.S.; Lee, K.W.; Park, J.H. The hexane extract of Saussurea lappa and its active principle, dehydrocostus lactone, inhibit prostate cancer cell migration. J. Med. Food 2012, 15, 24–32. [Google Scholar] [CrossRef] [PubMed]
- Wang, C.Y.; Tsai, A.C.; Peng, C.Y.; Chang, Y.L.; Lee, K.H.; Teng, C.M.; Pan, S.L. Dehydrocostuslactone suppresses angiogenesis in vitro and in vivo through inhibition of Akt/GSK-3beta and mTOR signaling pathways. PLoS ONE 2012, 7, e31195. [Google Scholar]
- Naser, B.; Bodinet, C.; Tegtmeier, M.; Lindequist, U. Thuja occidentalis (Arbor vitae): A Review of its Pharmaceutical, Pharmacological and Clinical Properties. Evid. Based Complement. Altern. Med. 2005, 2, 69–78. [Google Scholar] [CrossRef] [PubMed]
- Biswas, R.; Mandal, S.K.; Dutta, S.; Bhattacharyya, S.S.; Boujedaini, N.; Khuda-Bukhsh, A.R. Thujone-Rich Fraction of Thuja occidentalis Demonstrates Major Anti-Cancer Potentials: Evidences from In Vitro Studies on A375 Cells. Evid. Based Complement. Altern. Med. 2011, 2011, 568148. [Google Scholar] [CrossRef]
- Cooper, J.P.; Reynolds, C.P.; Cho, H.; Kang, M.H. Clinical development of fenretinide as an antineoplastic drug: Pharmacology perspectives. Exp. Biol. Med. 2017, 242, 1178–1184. [Google Scholar] [CrossRef]
- Bensa, V.; Calarco, E.; Giusto, E.; Perri, P.; Corrias, M.V.; Ponzoni, M.; Brignole, C.; Pastorino, F. Retinoids Delivery Systems in Cancer: Liposomal Fenretinide for Neuroectodermal-Derived Tumors. Pharmaceuticals 2021, 14, 854. [Google Scholar] [CrossRef] [PubMed]
- Neto, S.F.; Prada, A.L.; Achod, L.D.R.; Torquato, H.F.V.; Lima, C.S.; Paredes-Gamero, E.J.; Silva de Moraes, M.O.; Lima, E.S.; Sosa, E.H.; de Souza, T.P.; et al. alpha-amyrin-loaded nanocapsules produce selective cytotoxic activity in leukemic cells. Biomed. Pharmacother. 2021, 139, 111656. [Google Scholar] [CrossRef] [PubMed]
- McSherry, E.A.; Donatello, S.; Hopkins, A.M.; McDonnell, S. Molecular basis of invasion in breast cancer. Cell Mol. Life Sci. 2007, 64, 3201–3218. [Google Scholar] [CrossRef]
- Liu, K.; Zhang, X.; Xie, L.; Deng, M.; Chen, H.; Song, J.; Long, J.; Li, X.; Luo, J. Lupeol and its derivatives as anticancer and anti-inflammatory agents: Molecular mechanisms and therapeutic efficacy. Pharmacol. Res. 2021, 164, 105373. [Google Scholar] [CrossRef]
- Sewduth, R.; Santoro, M.M. “Decoding” Angiogenesis: New Facets Controlling Endothelial Cell Behavior. Front. Physiol. 2016, 7, 306. [Google Scholar] [CrossRef]
- Trepat, X.; Chen, Z.; Jacobson, K. Cell migration. Compr. Physiol. 2012, 2, 2369–2392. [Google Scholar]
- Montenegro, I.; Madrid, A.; Zaror, L.; Martínez, R.; Werner, E.; Carrasco, H.; Cuellar, M.; Palma, H. Antimicrobial activity of ethyl acetate extract and essential oil from bark of Laurelia sempervirens against multiresistant bacteria. Bol. Latinoam. Caribe Plant. Med. Aromat. 2012, 11, 306–315. [Google Scholar]
- IST/EPA/NIH Mass Spectral Library with Search Program (Data Version: NIST 11, Software Version 2.0g). Available online: http://webbook.nist.gov/chemistry/name-ser.html (accessed on 15 May 2016).
- Santander, R.; Creixell, W.; Sánchez, E.; Tomic, G.; Silva, J.R.; Acevedo, C.A. Recognizing Age at Slaughter of Cattle from Beef Samples Using GC/MS-SPME Chromatographic Method. Food Bioprocess Technol. 2013, 6, 3345–3352. [Google Scholar]
- Palavecino, C.E.; Carrasco-Veliz, N.; Quest, A.F.G.; Garrido, M.P.; Valenzuela-Valderrama, M. The 5’ untranslated region of the anti-apoptotic protein Survivin contains an inhibitory upstream AUG codon. Biochem. Biophys. Res. Commun. 2020, 526, 898–905. [Google Scholar] [CrossRef]
- Valenzuela, M.; Perez-Perez, G.; Corvalan, A.H.; Carrasco, G.; Urra, H.; Bravo, D.; Toledo, H.; Quest, A.F. Helicobacter pylori-induced loss of the inhibitor-of-apoptosis protein survivin is linked to gastritis and death of human gastric cells. J. Infect. Dis. 2010, 202, 1021–1030. [Google Scholar] [CrossRef]
- Strober, W. Trypan blue exclusion test of cell viability. Curr. Protoc. Immunol. 2001, 21, page. [Google Scholar] [CrossRef]
- Valenzuela, M.; Glorieux, C.; Stockis, J.; Sid, B.; Sandoval, J.M.; Felipe, K.B.; Kviecinski, M.R.; Verrax, J.; Buc Calderon, P. Retinoic acid synergizes ATO-mediated cytotoxicity by precluding Nrf2 activity in AML cells. Br. J. Cancer 2014, 111, 874–882. [Google Scholar] [CrossRef] [PubMed]
- Perry, S.W.; Norman, J.P.; Barbieri, J.; Brown, E.B.; Gelbard, H.A. Mitochondrial membrane potential probes and the proton gradient: A practical usage guide. Biotechniques 2011, 50, 98–115. [Google Scholar] [CrossRef]
- Franken, N.A.; Rodermond, H.M.; Stap, J.; Haveman, J.; van Bree, C. Clonogenic assay of cells in vitro. Nat. Protoc. 2006, 1, 2315–2319. [Google Scholar] [CrossRef] [PubMed]
- Gary, R.K.; Kindell, S.M. Quantitative assay of senescence-associated beta-galactosidase activity in mammalian cell extracts. Anal. Biochem. 2005, 343, 329–334. [Google Scholar] [CrossRef] [PubMed]
- Kuilman, T.; Michaloglou, C.; Mooi, W.J.; Peeper, D.S. The essence of senescence. Genes Dev. 2010, 24, 2463–2479. [Google Scholar] [CrossRef]
- Collado, M.; Serrano, M. Senescence in tumours: Evidence from mice and humans. Nat. Rev. Cancer 2010, 10, 51–57. [Google Scholar] [CrossRef]
- Justus, C.R.; Leffler, N.; Ruiz-Echevarria, M.; Yang, L.V. In vitro cell migration and invasion assays. J. Vis. Exp. 2014, 752, 10–24. [Google Scholar]






| N° Peak | RT (min) | Main Components | RI a | RI Ref b | %Area c | Match | Identification |
|---|---|---|---|---|---|---|---|
| 1 | 22.81 | Grosheiminok | 2143 | 2143 | 1.58 | 850 | RI, MS, Co |
| 2 | 23.28 | (Z)-18-Octadec-9-enolide | 2155 | 2158 | 0.52 | 950 | RI, MS |
| 3 | 26.46 | Reynosin | 2266 | 2266 | 1.35 | 900 | RI, MS, Co |
| 4 | 31.66 | duvatrienediol | 2397 | 2400 | 25.70 | 860 | RI, MS |
| 5 | 34.62 | 3-Ethyl-5-(2-ethylbutyl)octadecane | 2410 | 2413 | 3.89 | 930 | RI, MS |
| 6 | 34.81 | Tetraneurin D | 2490 | 2494 | 0.69 | 970 | RI, MS |
| 7 | 35.62 | 2-Methylenecholestan-3-ol | 2650 | 2652 | 0.41 | 970 | RI, MS |
| 8 | 35.86 | α-Tocopherol | 3149 | 3149 | 0.35 | 950 | RI, MS, Co |
| 9 | 37.69 | Stigmasterol | 3170 | 3170 | 0.70 | 940 | RI, MS, Co |
| 10 | 40.50 | γ-Sitosterol | 3290 | 3290 | 0.33 | 930 | RI, MS, Co |
| 11 | 42.69 | ß-Amyrin | 3330 | 3337 | 0.35 | 850 | RI, MS |
| 12 | 43.79 | ß-Amyrin acetate | 3333 | 3339 | 4.78 | 910 | RI, MS |
| 13 | 44.57 | Lupeyl acetate | 3380 | 3380 | 10.96 | 850 | RI, MS, Co |
| 14 | 46.06 | Betulinaldehyde | 3630 | 3629 | 0.13 | 820 | RI, MS |
| 15 | 46.62 | 1-Heptatriacontanol | 3941 | 3942 | 0.46 | 900 | RI, MS |
| N° Peak | RT (min) | Main Components | RI a | RI Ref b | %Area c | Match | Identification |
|---|---|---|---|---|---|---|---|
| 1 | 12.13 | Intermedeol | 1660 | 1675 | 2.94 | 810 | RI, MS |
| 2 | 16.03 | Dehydrocostus lactone | 1860 | 1866 | 2.76 | 890 | RI, MS, Co |
| 3 | 25.66 | (Z)-18-Octadec-9-enolide | 2190 | 2208 | 2.57 | 980 | RI, MS |
| 4 | 26.48 | Reynosin | 2260 | 2266 | 1.05 | 860 | RI, MS, Co |
| 5 | 29.90 | Tricosane | 2330 | 2300 | 3.85 | 970 | RI, MS |
| 6 | 33.95 | Thunbergol | 2500 | 2498 | 8.82 | 940 | RI, MS |
| 7 | 23.18 | 2-Methylenecholestan-3-ol | 2650 | 2652 | 1.15 | 920 | RI, MS |
| 8 | 36.05 | Triacontane | 3000 | 3000 | 4.36 | 870 | RI, MS |
| 9 | 36.34 | ß-Amyrin | 3315 | 3337 | 0.43 | 940 | RI, MS |
| 10 | 36.96 | α-Amyrin | 3360 | 3376 | 0.98 | 940 | RI, MS |
| 11 | 37.59 | Tetratriacontane | 3400 | 3400 | 6.39 | 860 | RI, MS, Co |
| 12 | 44.48 | ß -amyrin acetate | 3430 | 3437 | 6.43 | 910 | RI, MS |
| 13 | 44.59 | Lupeol | 3494 | 3486 | 0.25 | 930 | RI, MS, Co |
| 14 | 45.53 | lupeyl acetate | 3530 | 3525 | 14.96 | 900 | RI, MS |
| 15 | 45.67 | Betulinaldehyde | 3743 | 3760 | 0.70 | 900 | RI, MS |
| 16 | 46.62 | 1-Heptatriacotanol | 3940 | 3942 | 6.71 | 880 | RI, MS, Co |
| 17 | 50.52 | Oleic acid 3-(octadecyloxy)propyl ester | 4100 | 4149 | 0.76 | 850 | RI, MS, Co |
| No. | RT (min) | Main Components | RI a | RI Ref b | % Area c | Match | Identification |
|---|---|---|---|---|---|---|---|
| 1 | 9.575 | Thujone | 1095 | 1089 | 6.46 | 927 | RI, MS, Co |
| 2 | 12.750 | Isopentenyl acetate | 1196 | 1200 | 2.87 | 950 | RI, MS |
| 3 | 13.215 | trans-Sabinyl acetate | 1265 | 1264 | 4.01 | 934 | RI, MS |
| 4 | 18.110 | Intermedeol | 1660 | 1667 | 3.44 | 949 | RI, MS |
| 5 | 18.234 | 6-epi-Shyobunol | 1883 | 1881 | 3.59 | 953 | RI, MS |
| 6 | 18.450 | Eicosane | 2000 | 2000 | 2.87 | 989 | RI, MS |
| 7 | 18.610 | Geranyllinalool | 2040 | 2046 | 2.08 | 910 | RI, MS |
| 8 | 19.85 | Leptocarpin | 2050 | 2050 | 3.46 | 967 | RI, Co |
| 9 | 20.120 | Duvatrienediol | 2395 | 2400 | 6.20 | 960 | RI, MS |
| 10 | 21.250 | Linalool | 2486 | 2491 | 2.26 | 899 | RI, MS, Co |
| 11 | 21.590 | 2-Methylenecholestan-3-ol | 2651 | 2652 | 2.32 | 956 | RI, MS |
| 12 | 42.06 | Stigmasterol | 3140 | 3142 | 24.02 | 940 | RI, MS, Co |
| 13 | 42.70 | Fenretinide | 3290 | 3289 | 13.76 | 930 | RI, MS, Co |
| 14 | 43.86 | 1-Heptatriacontanol | 3938 | 3942 | 8.49 | 900 | RI, MS |
| Solvent | AGS SI | MKN45 SI | ||
|---|---|---|---|---|
| 24 h | 48 h | 24 h | 48 h | |
| DCM | 1.29 | 1.11 | 0.86 | 0.98 |
| EtOAc | 1.66 | 1.29 | 1.40 | 0.92 |
| Hex | 1.20 | 1.07 | 0.64 | 0.54 |
| EtOH | 0.46 | 1.15 | 0.68 | 0.58 |
| Leptocarpin | 0.76 | 0.68 | 0.74 | 0.62 |
Disclaimer/Publisher’s Note: The statements, opinions and data contained in all publications are solely those of the individual author(s) and contributor(s) and not of MDPI and/or the editor(s). MDPI and/or the editor(s) disclaim responsibility for any injury to people or property resulting from any ideas, methods, instructions or products referred to in the content. |
© 2023 by the authors. Licensee MDPI, Basel, Switzerland. This article is an open access article distributed under the terms and conditions of the Creative Commons Attribution (CC BY) license (https://creativecommons.org/licenses/by/4.0/).
Share and Cite
Carrasco, N.; Garrido, M.; Montenegro, I.; Madrid, A.; Hartley, R.; González, I.; Rubilar, M.; Villena, J.; Valenzuela-Valderrama, M. Antitumoral Activity of Leptocarpha rivularis Flower Extracts against Gastric Cancer Cells. Int. J. Mol. Sci. 2023, 24, 1439. https://doi.org/10.3390/ijms24021439
Carrasco N, Garrido M, Montenegro I, Madrid A, Hartley R, González I, Rubilar M, Villena J, Valenzuela-Valderrama M. Antitumoral Activity of Leptocarpha rivularis Flower Extracts against Gastric Cancer Cells. International Journal of Molecular Sciences. 2023; 24(2):1439. https://doi.org/10.3390/ijms24021439
Chicago/Turabian StyleCarrasco, Nicolás, Maritza Garrido, Iván Montenegro, Alejandro Madrid, Ricardo Hartley, Iván González, Mariaignacia Rubilar, Joan Villena, and Manuel Valenzuela-Valderrama. 2023. "Antitumoral Activity of Leptocarpha rivularis Flower Extracts against Gastric Cancer Cells" International Journal of Molecular Sciences 24, no. 2: 1439. https://doi.org/10.3390/ijms24021439
APA StyleCarrasco, N., Garrido, M., Montenegro, I., Madrid, A., Hartley, R., González, I., Rubilar, M., Villena, J., & Valenzuela-Valderrama, M. (2023). Antitumoral Activity of Leptocarpha rivularis Flower Extracts against Gastric Cancer Cells. International Journal of Molecular Sciences, 24(2), 1439. https://doi.org/10.3390/ijms24021439

