The Development of Novel Reverse Transcription Loop-Mediated Isothermal Amplification Assays for the Detection and Differentiation of Virulent Newcastle Disease Virus
Abstract
1. Introduction
2. Results
2.1. Optimization of RT-LAMP Assays
2.2. Specificity of RT-LAMP Assays
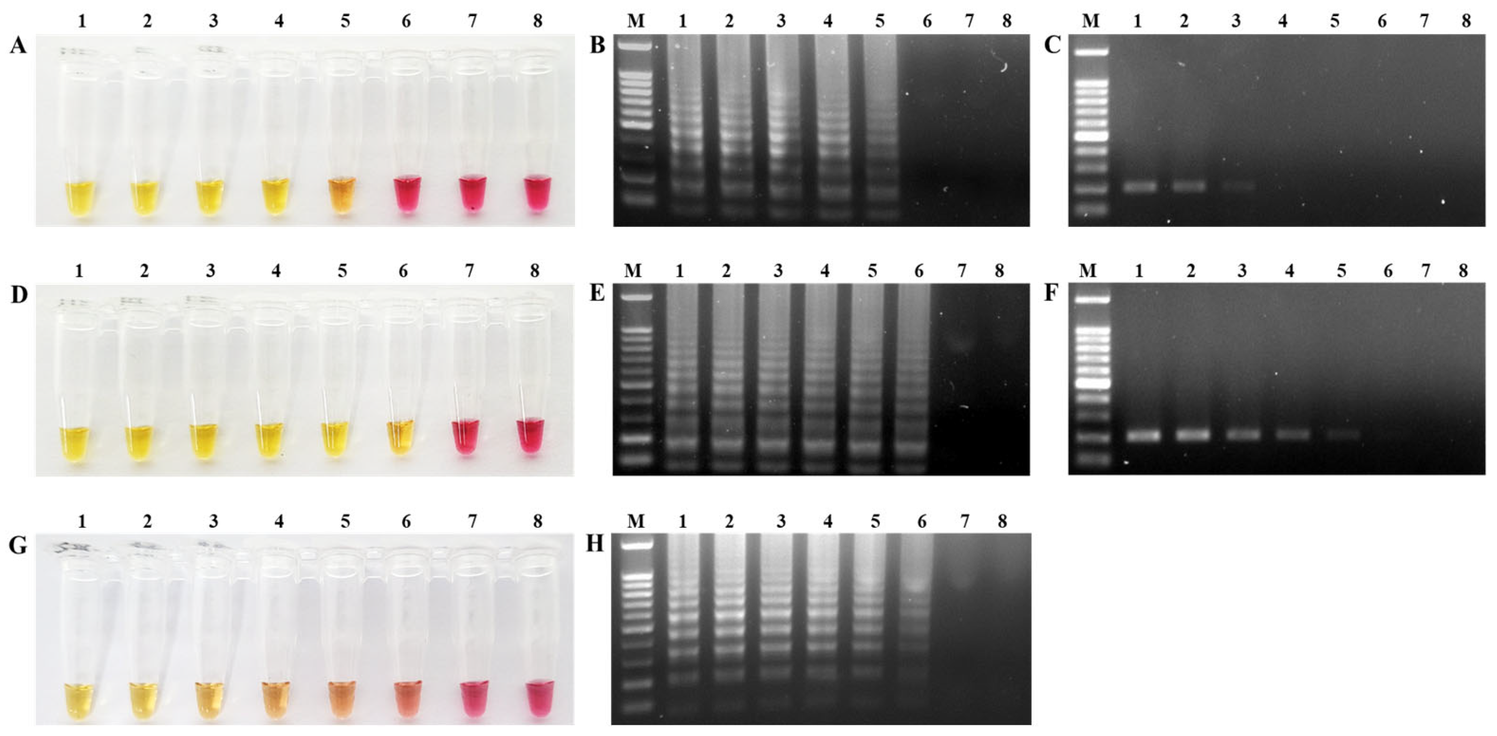
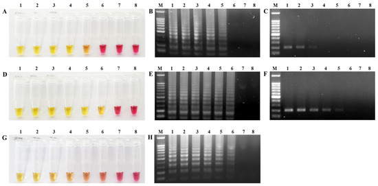
2.3. Sensitivity of RT-LAMP Assays
2.4. Validation of RT-LAMP Assays with NDV Strains
3. Discussion
4. Materials and Methods
4.1. Primer Design
4.2. Viral RNA Preparation
4.3. Optimization of RT-LAMP Assays
4.4. Specificity and Detection Limits of RT-LAMP Assays
4.5. Validation of RT-LAMP Assays with Wild Strains
5. Patents
Supplementary Materials
Author Contributions
Funding
Institutional Review Board Statement
Informed Consent Statement
Data Availability Statement
Conflicts of Interest
References
- Ganar, K.; Das, M.; Sinha, S.; Kumar, S. Newcastle disease virus: Current status and our understanding. Virus Res. 2014, 184, 71–81. [Google Scholar] [CrossRef]
- Rohaim, M.A.; Al-Natour, M.Q.; El Naggar, R.F.; Abdelsabour, M.A.; Madbouly, Y.M.; Ahmed, K.A.; Munir, M. Evolutionary trajectories of avian avulaviruses and vaccines compatibilities in poultry. Vaccines 2022, 10, 1862. [Google Scholar] [CrossRef] [PubMed]
- Kim, B.Y.; Lee, D.H.; Kim, M.S.; Jang, J.H.; Lee, Y.N.; Park, J.K.; Yuk, S.S.; Lee, J.B.; Park, S.Y.; Choi, I.S.; et al. Exchange of Newcastle disease viruses in Korea: The relatedness of isolates between wild birds, live bird markets, poultry farms and neighboring countries. Infect. Genet. Evol. 2012, 12, 478–482. [Google Scholar] [CrossRef] [PubMed]
- Kim, L.M.; King, D.J.; Suarez, D.L.; Wong, C.W.; Afonso, C.L. Characterization of class I newcastle disease virus isolates from Hong Kong live bird markets and detection using real-time reverse transcription-PCR. J. Clin. Microbiol. 2007, 45, 1310–1314. [Google Scholar] [CrossRef] [PubMed]
- Miller, P.J.; Haddas, R.; Simanov, L.; Lublin, A.; Rehmani, S.F.; Wajid, A.; Bibi, T.; Khan, T.A.; Yaqub, T.; Setiyaningsih, S. Identification of new sub-genotypes of virulent Newcastle disease virus with potential panzootic features. Infect. Genet. Evol. 2015, 29, 216–229. [Google Scholar] [CrossRef] [PubMed]
- De Leeuw, O.S.; Koch, G.; Hartog, L.; Ravenshorst, N.; Peeters, B.P.H. Virulence of Newcastle disease virus is determined by the cleavage site of the fusion protein and by both the stem region and globular head of the haemagglutinin-neuraminidase protein. J. Gen. Virol. 2005, 86, 1759–1769. [Google Scholar] [CrossRef] [PubMed]
- Kgotlele, T.; Modise, B.; Nyange, J.F.; Thanda, C.; Cattoli, G.; Dundon, W.G. First molecular characterization of avian paramyxovirus-1 (Newcastle disease virus) in Botswana. Virus Genes 2020, 56, 646–650. [Google Scholar] [CrossRef]
- Nooruzzaman, M.; Hossain, I.; Begum, J.A.; Moula, M.; Shamsul Arefin Khaled, S.A.; Parvin, R.; Chowdhury, E.H.; Islam, M.R.; Diel, D.G.; Dimitrov, K.M. The first report of a virulent Newcastle disease virus of genotype VII.2 causing outbreaks in chickens in Bangladesh. Viruses 2022, 14, 2627. [Google Scholar] [CrossRef]
- Desingu, P.A.; Singh, S.D.; Dhama, K.; Kumar Vinodh, O.R.; Singh, R.; Singh, R.K. A rapid method of accurate detection and differentiation of Newcastle disease virus pathotypes by demonstrating multiple bands in degenerate primer based nested RT-PCR. J. Virol. Methods 2015, 212, 47–52. [Google Scholar] [CrossRef]
- OIE. Newcastle disease. In Manual of Diagnostic Tests and Vaccines for Terrestrial Animals: Mammals, Birds and Bees; Biological Standards Commission: Paris, France, 2012; Volume 1, pp. 555–574. ISBN 9789290447184. [Google Scholar]
- Seal, B.S.; King, D.J.; Bennett, J.D. Characterization of Newcastle disease virus isolates by reverse transcription PCR coupled to direct nucleotide sequencing and development of sequence database for pathotype prediction and molecular epidemiological analysis. J. Clin. Microbiol. 1995, 33, 2624–2630. [Google Scholar] [CrossRef]
- Gohm, D.S.; Thuer, B.; Hofmann, M.A. Detection of Newcastle disease virus in organs and faeces of experimentally infected chickens with RT-PCR. Avian Pathol. 2000, 29, 143–152. [Google Scholar] [CrossRef] [PubMed]
- Berinstein, A.; Sellers, H.S.; King, D.J.; Seal, B.S. Use of a heteroduplex mobility assay to detect differences in the fusion protein cleavage site coding sequence among Newcastle disease virus isolates. J. Clin. Microbiol. 2001, 39, 3171–3178. [Google Scholar] [CrossRef] [PubMed][Green Version]
- Creelan, J.L.; Graham, D.A.; McCullough, S.J. Detection and differentiation of pathogenicity of avian paramyxovirus serotype 1 from field cases with one-step reverse transcriptase-polymerase chain reaction. Avian Pathol. 2002, 31, 493–499. [Google Scholar] [CrossRef] [PubMed]
- Alves, P.A.; Oliveira, E.G.D.; Franco-Luiz, A.P.M.; Almeida, L.T.; Gonçalves, A.B.; Borges, I.A.; Rocha, F.D.S.; Rocha, R.P.; Bezerra, M.F.; Miranda, P.; et al. Optimization and clinical validation of colorimetric reverse transcription loop-mediated isothermal amplification, a fast, highly sensitive and specific COVID-19 molecular diagnostic tool that is robust to detect SARS-CoV-2 variants of concern. Front. Microbiol. 2021, 18, 713713. [Google Scholar] [CrossRef]
- Moore, K.J.M.; Cahill, J.; Aidelberg, G.; Aronoff, R.; Bektaş, A.; Bezdan, D.; Butler, D.J.; Chittur, S.V.; Codyre, M.; Federici, F.; et al. Loop-mediated isothermal amplification detection of SARS-CoV-2 and myriad other applications. J. Biomol. Tech. 2021, 32, 228–275. [Google Scholar] [CrossRef] [PubMed]
- Roohani, K.; Tan, S.W.; Yeap, S.K.; Ideris, A.; Bejo, M.H.; Omar, A.R. Characterisation of genotype VII Newcastle disease virus (NDV) isolated from NDV vaccinated chickens, and the efficacy of LaSota and recombinant genotype VII vaccines against challenge with velogenic NDV. J. Vet. Sci. 2015, 16, 447–457. [Google Scholar] [CrossRef]
- Liu, H.; Wang, J.; Ge, S.; Lv, Y.; Li, Y.; Zheng, D.; Zhao, Y.; Castellan, D.; Wang, Z. Molecular characterization of new emerging sub-genotype VIIh Newcastle disease viruses in China. Virus Genes 2019, 55, 314–321. [Google Scholar] [CrossRef]
- Welch, C.N.; Shittu, I.; Abolnik, C.; Solomon, P.; Dimitrov, K.M.; Taylor, T.L.; Williams Coplin, D.; Goraichuk, I.V.; Meseko, C.A.; Ibu, J.O.; et al. Genomic comparison of Newcastle disease viruses isolated in Nigeria between 2002 and 2015 reveals circulation of highly diverse genotypes and spillover into wild birds. Arch. Virol. 2019, 164, 2031–2047. [Google Scholar] [CrossRef]
- Figueroa, A.; Escobedo, E.; Solis, M.; Rivera, C.; Ikelman, A.; Gallardo, R.A. Outreach efforts to prevent Newcastle disease outbreaks in Southern California. Viruses 2022, 14, 1509. [Google Scholar] [CrossRef]
- Notomi, T.; Okayama, H.; Masubuchi, H.; Yonekawa, T.; Watanabe, K.; Amino, N.; Hase, T. Loop-mediated isothermal amplification of DNA. Nucleic Acids Res. 2000, 28, E63. [Google Scholar] [CrossRef]
- Song, H.; Bae, Y.; Park, S.; Kwon, H.; Lee, H.; Joh, S. Loop-mediated isothermal amplification assay for detection of four immunosuppressive viruses in chicken. J. Virol. Methods 2018, 256, 6–11. [Google Scholar] [CrossRef] [PubMed]
- Glickman, R.L.; Syddall, R.J.; Iorio, R.M.; Sheehan, J.P.; Bratt, M.A. Quantitative basic residue requirements in the cleavage-activation site of the fusion glycoprotein as a determinant of virulence for Newcastle disease virus. J. Virol. 1988, 62, 354–356. [Google Scholar] [CrossRef] [PubMed]
- Liu, H.; Zhao, Y.; Zheng, D.; Lv, Y.; Zhang, W.; Xu, T.; Li, J.; Wang, Z. Multiplex RT-PCR for rapid detection and differentiation of class I and class II Newcastle disease viruses. J. Virol. Methods 2011, 171, 149–155. [Google Scholar] [CrossRef] [PubMed]
- Pham, H.M.; Nakajima, C.; Ohashi, K.; Onuma, M. Loop-mediated isothermal amplification for rapid detection of Newcastle disease virus. J. Clin. Microbiol. 2005, 43, 1646–1650. [Google Scholar] [CrossRef]
- Li, Q.; Xue, C.; Qin, J.; Zhou, Q.; Chen, F.; Bi, Y.; Cao, Y. An improved reverse transcription loop-mediated isothermal amplification assay for sensitive and specific detection of Newcastle disease virus. Arch. Virol. 2009, 154, 1433–1440. [Google Scholar] [CrossRef]
- Kirunda, H.; Thekisoe, O.; Kasaija, P.; Kerfua, S.; Nasinyama, G.; OpudaAsibo, J.; Inoue, N. Use of reverse transcriptase loop-mediated isothermal amplification assay for field detection of Newcastle disease virus using less invasive samples. Vet. World 2012, 5, 206–212. [Google Scholar] [CrossRef]
- Saitou, N.; Nei, M. The Neighbor-joining Method: A New Method for Reconstructing Phylogenetic Trees. Mol. Biol. Evol. 1987, 4, 406–425. [Google Scholar] [CrossRef]





| Primer Set | Target Gene | Primer | Sequence (5′–3′) | Product | |
|---|---|---|---|---|---|
| Size (bp) | |||||
| NDV-Common-LAMP | HN | Outer | F3 | GGATACCCTCATTCGACATGAG | 188 |
| B3 | TTGCACTCACACTGCAAGA | ||||
| Inner | FIP | TCCGAAGCACACAAGTTATACTG | |||
| CTACATCACAATGTGATA | |||||
| BIP | CATCTCAACAGGGAGGTATCTTCCGATTTTGGGTGTCATC | ||||
| Loop | LF | TGCGAGTGATCTCTGCAACC | |||
| LB | TCTTTTTACTCTGCGTTCCATCAATCT | ||||
| NDV-Patho-LAMP | F | Outer | F3 | GAGGCATACAATAGAACATGAC | 223 |
| B3 | TCTTTAAGCCGGAGGATGTT | ||||
| Inner | FIP | AAGCGTTTTGTCTCCTTCCTCACCC | |||
| CCCTTGGCGATTCCATCG | |||||
| BIP | TGTAGCTCTTGGGGTTGCAACAGC | ||||
| GCAGCATTCTGGTTGGCTTGTAT | |||||
| Loop | LF | CAGACCCTTGTATCCTGCGGAT | |||
| LB | GCACAGATAACAGCAGCCGC | ||||
| NDV-HN-PCR | HN | 1643F | ACCCTAGATCAGATGAGAGCC | 1643 | |
| 1643R | CTACTGTGAGAACTCTGCCTTC | ||||
| 1325F | AATCGGAAGTCTTGCAGTGTG | 1325 | |||
| 1325R | TGTGACTCTGGTAGATGATCTG | ||||
| NDV-F-PCR | F | 1333F | GCTAAGTACTCTGAGCCAAAC | 1333 | |
| 1333R | CAGTATGAGGTGTCGATTCTTCTA | ||||
| 1166F | GGGAACAATCAACTCAGCTCATT | 1166 | |||
| 1166R | GCCATGTGTTCTTTGCTTCTC | ||||
| Strain | Year of Isolation | Country of Origin | Host | RT-LAMP | Sequencing | ||||||
|---|---|---|---|---|---|---|---|---|---|---|---|
| Common | Patho | Common | Patho | GenBank Accession No. | |||||||
| HN | F | F0 Cleavage Site | HN | F | |||||||
| Reference in NCBI | LaSota/46 | 1946 | - | - | P 1 | N 2 | P | P | GRQGRL | AF077761 | AF077761 |
| HitchnerB1 | 1947 | USA | - | P | N | P | P | GRQGRL | - | JN872151 | |
| Ulster/67 | - | - | - | P | N | P | P | GRQGRL | AY562991 | AY562991 | |
| VG/GA | - | - | - | P | N | P | P | GRQGRL | EU289028 | EU289028 | |
| Hert 33/1956 | - | - | - | P | P | P | P | RRQRRF | AY741404 | AY741404 | |
| Kr-KJW/49 | 1949 | Korea | Chicken | P | P | P | P | RRQKRF | - | AY630409 | |
| Kr005 | 2000 | Korea | Chicken (layer) | P | P | P | P | RRQKRF | - | KY404087 | |
| 02263 | 2002 | Korea | - | P | N | P | P | GKQGRL | OP921680 | OP818810 | |
| GS20/05 | 2005 | Korea | - | P | N | P | P | GKQGRL | OP921630 | OP818760 | |
| KR/duck/02/06 | 2006 | Korea | Duck | P | N | P | P | GKQGRL | OP921712 | OP818842 | |
| KR/duck/07/07 | 2006 | Korea | Duck | P | N | P | P | GKQGRL | OP921639 | OP818769 | |
| KR/duck/08/07 | 2006 | Korea | Duck | P | N | P | P | GKQGRL | OP921640 | OP818770 | |
| KR/duck/09/07 | 2006 | Korea | Duck | P | N | P | P | GKQGRL | OP921641 | OP818771 | |
| KR/duck/10/07 | 2006 | Korea | Duck | P | N | P | P | GKQGRL | OP921642 | OP818772 | |
| KR/duck/13/07 | 2007 | Korea | Duck | P | N | P | P | GKQGRL | OP921691 | OP818821 | |
| H142-17FS | 2007 | Korea | - | P | N | P | P | GKQGRL | OP921624 | OP818754 | |
| H190-1F | 2007 | Korea | - | P | N | P | P | GKQGRL | OP921622 | OP818752 | |
| H450-4F | 2007 | Korea | - | P | N | P | P | GKQGRL | OP921625 | OP818755 | |
| H455-9F | 2007 | Korea | - | P | N | P | P | GKQGRL | OP921626 | OP818756 | |
| H448-15CL | 2007 | Korea | - | P | N | P | P | GKQGRL | OP921627 | OP818757 | |
| H65-10F | 2007 | Korea | - | P | N | P | P | GKQGRL | OP921628 | OP818758 | |
| H449-4F | 2007 | Korea | - | P | N | P | P | GKQGRL | OP921629 | OP818759 | |
| H49-4F | 2007 | Korea | - | P | N | P | P | GKQGRL | OP921634 | OP818764 | |
| H325-6F | 2007 | Korea | - | P | N | P | P | GKQGRL | OP921636 | OP818766 | |
| H122-6F | 2007 | Korea | - | P | N | P | P | GKQGRL | OP921637 | OP818767 | |
| H134-9FS | 2007 | Korea | - | P | N | P | P | GKQGRL | OP921638 | OP818768 | |
| H366-3FS | 2007 | Korea | - | P | N | P | P | GKQGRL | OP921632 | OP818762 | |
| Kr-48/82 | 1982 | Korea | Chicken | P | P | P | P | RRQKRF | OP921713 | OP818843 | |
| Kr-1129/83 | 1983 | Korea | - | P | P | P | P | RRQKRF | OP921686 | OP818816 | |
| Kr-M/88 | 1984 | Korea | Quail | P | P | P | P | RRQKRF | OP921718 | OP818848 | |
| Kr-K/84 | 1984 | Korea | Chicken | P | P | P | P | RRQKRF | OP921687 | OP818817 | |
| Kr_D/84 | 1984 | Korea | Peafowl | P | P | P | P | RRQKRF | OP921652 | OP818782 | |
| 84-1C | 1984 | Korea | - | P | P | P | P | RRQKRF | OP921653 | OP818783 | |
| Kr_12A/89 | 1989 | Korea | Chicken | P | P | P | P | RRRKRF | OP921654 | OP818784 | |
| Kr_163/90 | 1990 | Korea | - | P | P | P | P | RRRKRF | OP921655 | OP818785 | |
| Kr-9/91 | 1991 | Korea | - | P | P | P | P | RRRKRF | OP921656 | OP818786 | |
| Kr-104/92 | 1992 | Korea | - | P | P | P | P | RRRKRF | OP921688 | OP818818 | |
| Kr-146/95 | 1995 | Korea | Chicken (broiler) | P | P | P | P | RRQKRF | OP921714 | OP818844 | |
| Kr_147/97 | 1997 | Korea | Chicken (broiler) | P | P | P | P | RRRKRF | OP921657 | OP818787 | |
| Kr_420/00 | 2000 | Korea | Ostrich | P | P | P | P | RRQKRF | OP921658 | OP818788 | |
| Kr_009/00 | 2000 | Korea | Chicken (layer) | P | P | P | P | RRQKRF | OP921659 | OP818789 | |
| Kr_010/00 | 2000 | Korea | Chicken (layer) | P | P | P | P | RRQKRF | OP921660 | OP818790 | |
| Kr_352/00 | 2000 | Korea | Chicken | P | P | P | P | RRQKRF | OP921661 | OP818791 | |
| Kr_400/00 | 2000 | Korea | Chicken (broiler) | P | P | P | P | RRQKRF | OP921662 | OP818792 | |
| Kr_401/00 | 2000 | Korea | Chicken | P | P | P | P | RRQKRF | OP921663 | OP818793 | |
| 00060 | 2000 | Korea | - | P | P | P | P | RRQKRF | OP921664 | OP818794 | |
| 00423 | 2000 | Korea | - | P | P | P | P | RRQKRF | OP921665 | OP818795 | |
| 00707 | 2000 | Korea | - | P | P | P | P | RRQKRF | OP921666 | OP818796 | |
| Kr_021/00 | 2000 | Korea | Chicken (layer) | P | P | P | P | RRQKRF | OP921667 | OP818797 | |
| 01194 | 2001 | Korea | - | P | P | P | P | RRQKRF | OP921669 | OP818799 | |
| 01077 | 2001 | Korea | - | P | P | P | P | RRQKRF | OP921668 | OP818798 | |
| 02188 | 2002 | Korea | - | P | P | P | P | RRQKRF | OP921670 | OP818800 | |
| Kr_188/02 | 2002 | Korea | Chicken (broiler) | P | P | P | P | RRQKRF | OP921671 | OP818801 | |
| 00396 | 2002 | Korea | - | P | P | P | P | RRQKRF | OP921672 | OP818802 | |
| 02413 | 2002 | Korea | - | P | P | P | P | RRQKRF | OP921673 | OP818803 | |
| 02415 | 2002 | Korea | - | P | P | P | P | RRQKRF | OP921674 | OP818804 | |
| 02222 | 2002 | Korea | - | P | P | P | P | RRQKRF | OP921675 | OP818805 | |
| 02239 | 2002 | Korea | - | P | P | P | P | RRQKRF | OP921676 | OP818806 | |
| 02254 | 2002 | Korea | - | P | P | P | P | RRQKRF | OP921677 | OP818807 | |
| 02255 | 2002 | Korea | - | P | P | P | P | RRQKRF | OP921678 | OP818808 | |
| 02262 | 2002 | Korea | - | P | P | P | P | RRQKRF | OP921679 | OP818809 | |
| 04185 | 2004 | Korea | - | P | P | P | P | RRQKRF | OP921614 | OP818744 | |
| 05D57 | 2005 | Korea | Chicken (broiler) | P | P | P | P | RRQKRF | OP921715 | OP818845 | |
| 05Q15 | 2005 | Korea | - | P | P | P | P | RRQKRF | OP921620 | OP818750 | |
| 06D008 | 2006 | Korea | Chicken (broiler) | P | P | P | P | RRQKRF | OP921618 | OP818748 | |
| 2287 | 2006 | Korea | - | P | P | P | P | RRQKRF | OP921615 | OP818745 | |
| H245-1 | 2007 | Korea | - | P | P | P | P | RRQKRF | OP921619 | OP818749 | |
| H79-2F | 2007 | Korea | - | P | P | P | P | RRQKRF | OP921623 | OP818753 | |
| WB07-65FS | 2007 | Korea | - | P | P | P | P | RRQKRF | OP921631 | OP818761 | |
| H216-3F | 2007 | Korea | - | P | P | P | P | RRQKRF | OP921633 | OP818763 | |
| ch-77/01 | 2001 | China | Chicken meat | P | P | P | P | RRQKRF | OP921651 | OP818781 | |
| ch-501/02 | 2002 | China | Chicken meat | P | P | P | P | RRQKRF | OP921650 | OP818780 | |
| MN-Ck/Mongolia/1/10 | - | Mongolia | - | P | P | P | P | RRQKRF | OP921699 | OP818829 | |
| MN-Ck/Mongolia/2/10 | - | Mongolia | - | P | P | P | P | RRQKRF | OP921697 | OP818827 | |
| MN-Ck/Mongolia/3/10 | - | Mongolia | - | P | P | P | P | RRQKRF | OP921700 | OP818830 | |
| MN-Ck/Mongolia/4/10 | - | Mongolia | - | P | P | P | P | RRQKRF | OP921701 | OP818831 | |
| MN-Ck/Mongolia/5/10 | - | Mongolia | - | P | P | P | P | RRQKRF | OP921698 | OP818828 | |
| VN5 | 2007 | Vietnam | Chicken | P | P | P | P | RRQKRF | OP921705 | OP818835 | |
| VN2 | 2011 | Vietnam | Chicken | P | P | P | P | RRRKRF | OP921716 | OP818846 | |
| KN7 | 2012 | Vietnam | Chicken | P | P | P | P | RRRKRF | OP921685 | OP818815 | |
| KN8 | 2012 | Vietnam | Chicken | P | P | P | P | RRRKRF | OP921689 | OP818819 | |
| 18D045 | 2018 | Vietnam | - | P | P | P | P | RRRKRF | OP921690 | OP818820 | |
| KH-cmb06-01/12 | 2012 | Cambodia | Chicken | P | P | P | P | RRRKRF | OP921643 | OP818773 | |
| KH-cmb06-02/12 | 2012 | Cambodia | Chicken | P | P | P | P | RRRKRF | OP921644 | OP818774 | |
| KH-cmb06-77/LC4/12 | 2012 | Cambodia | - | P | P | P | P | RRRKRF | OP921645 | OP818775 | |
| CMB12-097-LC2 | 2012 | Cambodia | - | P | P | P | P | RRRKRF | OP921647 | OP818777 | |
| CMB12-080-LC5 | 2012 | Cambodia | - | P | P | P | P | RRRKRF | OP921648 | OP818778 | |
| CMB12-099-D1 | 2012 | Cambodia | - | P | P | P | P | RRRKRF | OP921649 | OP818779 | |
| A-1 | 2016 | Pakistan | Chicken (broiler) | P | P | P | P | RRQKRF | OP921702 | OP818832 | |
| A-2 | 2016 | Pakistan | Chicken (broiler) | P | P | P | P | RRQKRF | OP921703 | OP818833 | |
| P-1 | 2016 | Pakistan | Chicken (broiler) | P | P | P | P | RRQKRF | OP921704 | OP818834 | |
| MY3518 | 2010 | Malaysia | - | P | P | P | P | RRRKRF | OP921616 | OP818746 | |
| MY3519 | 2010 | Malaysia | - | P | P | P | P | RRRKRF | OP921617 | OP818747 | |
| UPM/001/2011 | 2011 | Malaysia | Chicken (broiler) | P | P | P | P | RRRKRF | OP921681 | OP818811 | |
| UPM/362/2016 | 2016 | Malaysia | Chicken (broiler) | P | P | P | P | KRRKRF | OP921682 | OP818812 | |
| UPM/395/2017 | 2017 | Malaysia | Chicken (broiler) | P | P | P | P | RRRKRF | OP921693 | OP818823 | |
| UPM/559/2017 | 2017 | Malaysia | Chicken (broiler) | P | P | P | P | RRQKRF | OP921683 | OP818813 | |
| UPM/WB_BS/2017 | 2017 | Malaysia | Black swan | P | P | P | P | RRQKRF | OP921684 | OP818814 | |
| UPM/756/2018 | 2018 | Malaysia | Chicken (broiler) | P | P | P | P | KRRKRF | OP921692 | OP818822 | |
| UPM/929/2018 | 2018 | Malaysia | Chicken (broiler) | P | P | P | P | RRRKRF | OP921694 | OP818824 | |
| UPM/1051/2018 | 2018 | Malaysia | Chicken (layer) | P | P | P | P | RRRKRF | OP921696 | OP818826 | |
| UPM/1055/2018 | 2018 | Malaysia | Chicken (broiler) | P | P | P | P | RRRKRF | OP921695 | OP818825 | |
Disclaimer/Publisher’s Note: The statements, opinions and data contained in all publications are solely those of the individual author(s) and contributor(s) and not of MDPI and/or the editor(s). MDPI and/or the editor(s) disclaim responsibility for any injury to people or property resulting from any ideas, methods, instructions or products referred to in the content. |
© 2023 by the authors. Licensee MDPI, Basel, Switzerland. This article is an open access article distributed under the terms and conditions of the Creative Commons Attribution (CC BY) license (https://creativecommons.org/licenses/by/4.0/).
Share and Cite
Song, H.-S.; Kim, H.-S.; Kim, J.-Y.; Kwon, Y.-K.; Kim, H.-R. The Development of Novel Reverse Transcription Loop-Mediated Isothermal Amplification Assays for the Detection and Differentiation of Virulent Newcastle Disease Virus. Int. J. Mol. Sci. 2023, 24, 13847. https://doi.org/10.3390/ijms241813847
Song H-S, Kim H-S, Kim J-Y, Kwon Y-K, Kim H-R. The Development of Novel Reverse Transcription Loop-Mediated Isothermal Amplification Assays for the Detection and Differentiation of Virulent Newcastle Disease Virus. International Journal of Molecular Sciences. 2023; 24(18):13847. https://doi.org/10.3390/ijms241813847
Chicago/Turabian StyleSong, Hye-Soon, Hyeon-Su Kim, Ji-Ye Kim, Yong-Kuk Kwon, and Hye-Ryoung Kim. 2023. "The Development of Novel Reverse Transcription Loop-Mediated Isothermal Amplification Assays for the Detection and Differentiation of Virulent Newcastle Disease Virus" International Journal of Molecular Sciences 24, no. 18: 13847. https://doi.org/10.3390/ijms241813847
APA StyleSong, H.-S., Kim, H.-S., Kim, J.-Y., Kwon, Y.-K., & Kim, H.-R. (2023). The Development of Novel Reverse Transcription Loop-Mediated Isothermal Amplification Assays for the Detection and Differentiation of Virulent Newcastle Disease Virus. International Journal of Molecular Sciences, 24(18), 13847. https://doi.org/10.3390/ijms241813847

