Black Ginseng Extract Exerts Potentially Anti-Asthmatic Activity by Inhibiting the Protein Kinase Cθ-Mediated IL-4/STAT6 Signaling Pathway
Abstract
1. Introduction
2. Results
2.1. BGE Decreases Inflammatory Cells and Mediators in OVA-Sensitized Mice with Allergic Airway Inflammation
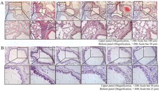
2.2. BGE Decreases Inflammatory Cell Recruitment and Mucus Secretion in Lung Tissues of OVA-Sensitized Mice with Allergic Airway Inflammation
2.3. BGE Suppresses the Expression of Th2 Cytokines in EL4 Cells
2.4. BGE Inhibits the Activation of PKCθ and Inflammatory Transcription Factors (NFAT, NF-κB, STAT6, and GATA3) In Vitro and In Vivo
2.5. Ginsenosides (Rg3, Rg5, and Rk1) Isolated from BGE Inhibit PKCθ and Its Downstream IL-4/STAT6 Signaling Pathway in EL4 Cells
3. Discussion
4. Materials and Methods
4.1. Preparation of BGE
4.2. Analysis of Chromatographic Condition for BGE
4.3. Chemicals and Reagents
4.4. Animal Experiments
4.5. Analysis of Bronchoalveolar Lavage Fluid (BALF) of an Animal Model
4.6. Western Blot Analysis
4.7. Histological Investigation
4.8. Cell Maintenance
4.9. Cell Viability Assay
4.10. Determination of Secreted Cytokines in EL4 Cells
4.11. Quantitative Real-Time Polymerase Chain Reaction Analysis of mRNA Expression Levels
4.12. ELISA-Based Measurement of PKCθ Phosphorylation
4.13. Statistical Analysis
5. Conclusions
Supplementary Materials
Author Contributions
Funding
Institutional Review Board Statement
Informed Consent Statement
Data Availability Statement
Acknowledgments
Conflicts of Interest
References
- Leon, B.; Ballesteros-Tato, A. Modulating Th2 Cell Immunity for the Treatment of Asthma. Front. Immunol. 2021, 12, 637948. [Google Scholar] [CrossRef] [PubMed]
- Ekbom, E.; Quint, J.; Scholer, L.; Malinovschi, A.; Franklin, K.; Holm, M.; Toren, K.; Lindberg, E.; Jarvis, D.; Janson, C. Asthma and treatment with inhaled corticosteroids: Associations with hospitalisations with pneumonia. BMC Pulm Med. 2019, 19, 254. [Google Scholar] [CrossRef]
- Schreiber, J.; Schwab Sauerbeck, I.; Mailander, C. The Long-Term Effectiveness and Safety of Omalizumab on Patient- and Physician-Reported Asthma Control: A Three-Year, Real-Life Observational Study. Adv. Ther. 2020, 37, 353–363. [Google Scholar] [CrossRef]
- Yildiz, Y.; Yavuz, A.Y. Complementary and alternative medicine use in children with asthma. Complement. Ther. Clin. Pract. 2021, 43, 101353. [Google Scholar] [CrossRef] [PubMed]
- Chiu, C.J.; Huang, M.T. Asthma in the Precision Medicine Era: Biologics and Probiotics. Int. J. Mol. Sci. 2021, 22, 4528. [Google Scholar] [CrossRef]
- Liu, F.; Xuan, N.X.; Ying, S.M.; Li, W.; Chen, Z.H.; Shen, H.H. Herbal Medicines for Asthmatic Inflammation: From Basic Researches to Clinical Applications. Mediat. Inflamm 2016, 2016, 6943135. [Google Scholar] [CrossRef] [PubMed]
- Park, H.J.; Kim, D.H.; Park, S.J.; Kim, J.M.; Ryu, J.H. Ginseng in traditional herbal prescriptions. J. Ginseng Res. 2012, 36, 225–241. [Google Scholar] [CrossRef] [PubMed]
- Kim, D.Y.; Yang, W.M. Panax ginseng ameliorates airway inflammation in an ovalbumin-sensitized mouse allergic asthma model. J. Ethnopharmacol. 2011, 136, 230–235. [Google Scholar] [CrossRef] [PubMed]
- Alsayari, A.; Muhsinah, A.B.; Almaghaslah, D.; Annadurai, S.; Wahab, S. Pharmacological Efficacy of Ginseng against Respiratory Tract Infections. Molecules 2021, 26, 4095. [Google Scholar] [CrossRef]
- Zhu, L.; Luan, X.; Dou, D.; Huang, L. Comparative Analysis of Ginsenosides and Oligosaccharides in White Ginseng (WG), red Ginseng (RG) and Black Ginseng (BG). J. Chromatogr. Sci. 2019, 57, 403–410. [Google Scholar] [CrossRef]
- An, M.Y.; Lee, S.R.; Hwang, H.J.; Yoon, J.G.; Lee, H.J.; Cho, J.A. Antioxidant and Anti-Inflammatory Effects of Korean Black Ginseng Extract through ER Stress Pathway. Antioxidants 2021, 10, 62. [Google Scholar] [CrossRef]
- Lee, W.; Ku, S.K.; Kim, J.E.; Cho, S.H.; Song, G.Y.; Bae, J.S. Inhibitory Effects of Black Ginseng on Particulate Matter-Induced Pulmonary Injury. Am. J. Chin. Med. 2019, 47, 1237–1251. [Google Scholar] [CrossRef] [PubMed]
- Kim, M.O.; Lee, J.W.; Lee, J.K.; Song, Y.N.; Oh, E.S.; Ro, H.; Yoon, D.; Jeong, Y.H.; Park, J.Y.; Hong, S.T.; et al. Black Ginseng Extract Suppresses Airway Inflammation Induced by Cigarette Smoke and Lipopolysaccharides In Vivo. Antioxidants 2022, 11, 679. [Google Scholar] [CrossRef]
- Robinson, D.S. The role of the T cell in asthma. J. Allergy Clin. Immunol. 2010, 126, 1081–1091; quiz 1092–1093. [Google Scholar] [CrossRef] [PubMed]
- Kim, H.; Ellis, A.K.; Fischer, D.; Noseworthy, M.; Olivenstein, R.; Chapman, K.R.; Lee, J. Asthma biomarkers in the age of biologics. Allergy Asthma Clin. Immunol. 2017, 13, 48. [Google Scholar] [CrossRef]
- Ezechukwu, H.C.; Adegboye, O.A.; Okunowo, W.O.; Emeto, T.I. Targeting IgE and Th2-Cytokines in Allergy: Brief Updates on Monoclonal Antibodies and Antibody Gene Therapy. Allergies 2023, 3, 90–104. [Google Scholar] [CrossRef]
- Liu, Y.; Zhang, H.; Ni, R.; Jia, W.Q.; Wang, Y.Y. IL-4R suppresses airway inflammation in bronchial asthma by inhibiting the IL-4/STAT6 pathway. Pulm. Pharmacol. Ther. 2017, 43, 32–38. [Google Scholar] [CrossRef]
- Jakobi, M.; Kiefer, A.; Mirzakhani, H.; Rauh, M.; Zimmermann, T.; Xepapadaki, P.; Stanic, B.; Akdis, M.; Papadopoulos, N.G.; Raby, B.A.; et al. Role of nuclear factor of activated T cells 2 (NFATc2) in allergic asthma. Immun. Inflamm. Dis. 2020, 8, 704–712. [Google Scholar] [CrossRef]
- Guo, L.; Urban, J.F.; Zhu, J.; Paul, W.E. Elevating calcium in Th2 cells activates multiple pathways to induce IL-4 transcription and mRNA stabilization. J. Immunol. 2008, 181, 3984–3993. [Google Scholar] [CrossRef]
- Maier, E.; Duschl, A.; Horejs-Hoeck, J. STAT6-dependent and -independent mechanisms in Th2 polarization. Eur. J. Immunol. 2012, 42, 2827–2833. [Google Scholar] [CrossRef]
- Kim, H.; Zamel, R.; Bai, X.H.; Liu, M. PKC activation induces inflammatory response and cell death in human bronchial epithelial cells. PLoS ONE 2013, 8, e64182. [Google Scholar] [CrossRef]
- Madouri, F.; Chenuet, P.; Beuraud, C.; Fauconnier, L.; Marchiol, T.; Rouxel, N.; Ledru, A.; Gallerand, M.; Lombardi, V.; Mascarell, L.; et al. Protein kinase Ctheta controls type 2 innate lymphoid cell and TH2 responses to house dust mite allergen. J. Allergy Clin. Immunol. 2017, 139, 1650–1666. [Google Scholar] [CrossRef]
- Stevens, L.; Htut, T.M.; White, D.; Li, X.; Hanidu, A.; Stearns, C.; Labadia, M.E.; Li, J.; Brown, M.; Yang, J. Involvement of GATA3 in protein kinase C theta-induced Th2 cytokine expression. Eur. J. Immunol. 2006, 36, 3305–3314. [Google Scholar] [CrossRef]
- Marsland, B.J.; Soos, T.J.; Spath, G.; Littman, D.R.; Kopf, M. Protein kinase C theta is critical for the development of in vivo T helper (Th)2 cell but not Th1 cell responses. J. Exp. Med. 2004, 200, 181–189. [Google Scholar] [CrossRef]
- Park, J.W.; Choi, J.; Lee, J.; Park, J.M.; Kim, S.M.; Min, J.H.; Seo, D.Y.; Goo, S.H.; Kim, J.H.; Kwon, O.K.; et al. Methyl P-Coumarate Ameliorates the Inflammatory Response in Activated-Airway Epithelial Cells and Mice with Allergic Asthma. Int. J. Mol. Sci. 2022, 23, 14909. [Google Scholar] [CrossRef]
- Finkelman, F.D.; Hogan, S.P.; Hershey, G.K.; Rothenberg, M.E.; Wills-Karp, M. Importance of cytokines in murine allergic airway disease and human asthma. J. Immunol. 2010, 184, 1663–1674. [Google Scholar] [CrossRef]
- Prado, C.M.; Martins, M.A.; Tiberio, I.F. Nitric oxide in asthma physiopathology. ISRN Allergy 2011, 2011, 832560. [Google Scholar] [CrossRef]
- Yu, Q.L.; Chen, Z. Establishment of different experimental asthma models in mice. Exp. Ther. Med. 2018, 15, 2492–2498. [Google Scholar] [CrossRef]
- Horiuchi, S.; Onodera, A.; Hosokawa, H.; Watanabe, Y.; Tanaka, T.; Sugano, S.; Suzuki, Y.; Nakayama, T. Genome-wide analysis reveals unique regulation of transcription of Th2-specific genes by GATA3. J. Immunol. 2011, 186, 6378–6389. [Google Scholar] [CrossRef]
- Walford, H.H.; Doherty, T.A. STAT6 and lung inflammation. Jak-Stat 2013, 2, e25301. [Google Scholar] [CrossRef]
- Iwaszko, M.; Bialy, S.; Bogunia-Kubik, K. Significance of Interleukin (IL)-4 and IL-13 in Inflammatory Arthritis. Cells 2021, 10, 3000. [Google Scholar] [CrossRef]
- Kim, S.H. Risk of Pneumonia Associated with the Use of Inhaled Corticosteroids in Asthma. Allergy Asthma Immunol. Res. 2019, 11, 760–762. [Google Scholar] [CrossRef]
- Taur, D.J.; Patil, R.Y. Some medicinal plants with antiasthmatic potential: A current status. Asian Pac. J. Trop. Biomed. 2011, 1, 413–418. [Google Scholar] [CrossRef]
- Li, Z.-H.; Yu, D.; Huang, N.-N.; Wu, J.-K.; Du, X.-W.; Wang, X.-J. Immunoregulatory mechanism studies of ginseng leaves on lung cancer based on network pharmacology and molecular docking. Sci. Rep. 2021, 11, 18201. [Google Scholar] [CrossRef] [PubMed]
- Kim, J.H.; Kim, J.W.; Kim, C.Y.; Jeong, J.S.; Lim, J.O.; Ko, J.W.; Kim, T.W. Korean Red Ginseng Ameliorates Allergic Asthma through Reduction of Lung Inflammation and Oxidation. Antioxidants 2022, 11, 1422. [Google Scholar] [CrossRef] [PubMed]
- Jeon, W.-Y.; Shin, I.-S.; Shin, H.-K.; Lee, M.-Y. Samsoeum water extract attenuates allergic airway inflammation via modulation of Th1/Th2 cytokines and decrease of iNOS expression in asthmatic mice. BMC Complement. Altern. Med. 2015, 15, 47. [Google Scholar] [CrossRef]
- Batra, J.; Chatterjee, R.; Ghosh, B. Inducible nitric oxide synthase (iNOS): Role in asthma pathogenesis. Indian J. Biochem. Biophys. 2007, 44, 303–309. [Google Scholar]
- Holgate, S.T.; Wenzel, S.; Postma, D.S.; Weiss, S.T.; Renz, H.; Sly, P.D. Asthma. Nat. Rev. Dis. Primers 2015, 1, 15025. [Google Scholar] [CrossRef]
- Duong-Quy, S. Clinical Utility of the Exhaled Nitric Oxide (NO) Measurement with Portable Devices in the Management of Allergic Airway Inflammation and Asthma. J. Asthma Allergy 2019, 12, 331–341. [Google Scholar] [CrossRef]
- Harb, H.; Irvine, J.; Amarasekera, M.; Hii, C.S.; Kesper, D.A.; Ma, Y.; D’Vaz, N.; Renz, H.; Potaczek, D.P.; Prescott, S.L.; et al. The role of PKCzeta in cord blood T-cell maturation towards Th1 cytokine profile and its epigenetic regulation by fish oil. Biosci. Rep. 2017, 37, BSR20160485. [Google Scholar] [CrossRef]
- Acevedo, N.; Alashkar Alhamwe, B.; Caraballo, L.; Ding, M.; Ferrante, A.; Garn, H.; Garssen, J.; Hii, C.S.; Irvine, J.; Llinas-Caballero, K.; et al. Perinatal and Early-Life Nutrition, Epigenetics, and Allergy. Nutrients 2021, 13, 724. [Google Scholar] [CrossRef] [PubMed]
- Perveen, K.; Quach, A.; McPhee, A.; Prescott, S.L.; Barry, S.C.; Hii, C.S.; Ferrante, A. Cord Blood T Cells Expressing High and Low PKCzeta Levels Develop into Cells with a Propensity to Display Th1 and Th9 Cytokine Profiles, Respectively. Int. J. Mol. Sci. 2021, 22, 4907. [Google Scholar] [CrossRef] [PubMed]
- Perveen, K.; Quach, A.; Stark, M.J.; Prescott, S.L.; Barry, S.C.; Hii, C.S.; Ferrante, A. Characterization of the Transient Deficiency of PKC Isozyme Levels in Immature Cord Blood T Cells and Its Connection to Anti-Allergic Cytokine Profiles of the Matured Cells. Int. J. Mol. Sci. 2021, 22, 12650. [Google Scholar] [CrossRef]
- Choi, Y.H.; Jin, G.Y.; Li, L.C.; Yan, G.H. Inhibition of protein kinase C delta attenuates allergic airway inflammation through suppression of PI3K/Akt/mTOR/HIF-1 alpha/VEGF pathway. PLoS ONE 2013, 8, e81773. [Google Scholar] [CrossRef]
- Nicolle, A.; Zhang, Y.; Belguise, K. The Emerging Function of PKCtheta in Cancer. Biomolecules 2021, 11, 221. [Google Scholar] [CrossRef]
- Monticelli, S.; Rao, A. NFAT1 and NFAT2 are positive regulators of IL-4 gene transcription. Eur. J. Immunol. 2002, 32, 2971–2978. [Google Scholar] [CrossRef]
- Kock, J.; Kreher, S.; Lehmann, K.; Riedel, R.; Bardua, M.; Lischke, T.; Jargosch, M.; Haftmann, C.; Bendfeldt, H.; Hatam, F.; et al. Nuclear factor of activated T cells regulates the expression of interleukin-4 in Th2 cells in an all-or-none fashion. J. Biol. Chem. 2014, 289, 26752–26761. [Google Scholar] [CrossRef]
- Gruber, T.; Pfeifhofer-Obermair, C.; Baier, G. PKCtheta is necessary for efficient activation of NFkappaB, NFAT, and AP-1 during positive selection of thymocytes. Immunol. Lett. 2010, 132, 6–11. [Google Scholar] [CrossRef] [PubMed]
- Hermann-Kleiter, N.; Baier, G. NFAT pulls the strings during CD4+ T helper cell effector functions. Blood 2010, 115, 2989–2997. [Google Scholar] [CrossRef]
- Lim, P.S.; Hardy, K.; Peng, K.; Shannon, F.M. Transcriptomic analysis of mouse EL4 T cells upon T cell activation and in response to protein synthesis inhibition via cycloheximide treatment. Genom. Data 2016, 7, 148–151. [Google Scholar] [CrossRef]
- Paterson, S.; Fernandez-Tome, S.; Galvez, A.; Hernandez-Ledesma, B. Evaluation of the Multifunctionality of Soybean Proteins and Peptides in Immune Cell Models. Nutrients 2023, 15, 1220. [Google Scholar] [CrossRef]
- Kim, S.M.; Ryu, H.W.; Kwon, O.K.; Hwang, D.; Kim, M.G.; Min, J.H.; Zhang, Z.; Kim, S.Y.; Paik, J.H.; Oh, S.R.; et al. Callicarpa japonica Thunb. ameliorates allergic airway inflammation by suppressing NF-kappaB activation and upregulating HO-1 expression. J. Ethnopharmacol. 2021, 267, 113523. [Google Scholar] [CrossRef]
- Kim, S.M.; Ryu, H.W.; Kwon, O.K.; Min, J.H.; Park, J.M.; Kim, D.Y.; Oh, S.R.; Lee, S.J.; Ahn, K.S.; Lee, J.W. Protective Effect of Paulownia tomentosa Fruits in an Experimental Animal Model of Acute Lung Injury. Microbiol. Biotechnol. Lett. 2022, 50, 310–318. [Google Scholar] [CrossRef]
- Kim, H.I.; Kim, J.K.; Kim, J.Y.; Han, M.J.; Kim, D.H. Fermented red ginseng and ginsenoside Rd alleviate ovalbumin-induced allergic rhinitis in mice by suppressing IgE, interleukin-4, and interleukin-5 expression. J. Ginseng Res. 2019, 43, 635–644. [Google Scholar] [CrossRef]
- Lee, S.Y.; Kim, M.H.; Kim, S.H.; Ahn, T.; Kim, S.W.; Kwak, Y.S.; Cho, I.H.; Nah, S.Y.; Cho, S.S.; Park, K.M.; et al. Korean Red Ginseng affects ovalbumin-induced asthma by modulating IL-12, IL-4, and IL-6 levels and the NF-kappaB/COX-2 and PGE(2) pathways. J. Ginseng Res. 2021, 45, 482–489. [Google Scholar] [CrossRef]
- Hwang, D.; Ryu, H.W.; Park, J.W.; Kim, J.H.; Kim, D.Y.; Oh, J.H.; Kwon, O.K.; Han, S.B.; Ahn, K.S. Effects of 3’-isovaleryl-4’-senecioylkhellactone from Peucedanum japonicum Thunberg on PMA-Stimulated Inflammatory Response in A549 Human Lung Epithelial Cells. J. Microbiol. Biotechnol. 2022, 32, 81–90. [Google Scholar] [CrossRef]
- Lee, S.U.; Kim, M.O.; Kang, M.J.; Oh, E.S.; Ro, H.; Lee, R.W.; Song, Y.N.; Jung, S.; Lee, J.W.; Lee, S.Y.; et al. Transforming Growth Factor beta Inhibits MUC5AC Expression by Smad3/HDAC2 Complex Formation and NF-kappaB Deacetylation at K310 in NCI-H292 Cells. Mol. Cells 2021, 44, 38–49. [Google Scholar] [CrossRef]






Disclaimer/Publisher’s Note: The statements, opinions and data contained in all publications are solely those of the individual author(s) and contributor(s) and not of MDPI and/or the editor(s). MDPI and/or the editor(s) disclaim responsibility for any injury to people or property resulting from any ideas, methods, instructions or products referred to in the content. |
© 2023 by the authors. Licensee MDPI, Basel, Switzerland. This article is an open access article distributed under the terms and conditions of the Creative Commons Attribution (CC BY) license (https://creativecommons.org/licenses/by/4.0/).
Share and Cite
Song, Y.N.; Lee, J.-W.; Ryu, H.W.; Lee, J.K.; Oh, E.S.; Kim, D.-Y.; Ro, H.; Yoon, D.; Park, J.-Y.; Hong, S.-T.; et al. Black Ginseng Extract Exerts Potentially Anti-Asthmatic Activity by Inhibiting the Protein Kinase Cθ-Mediated IL-4/STAT6 Signaling Pathway. Int. J. Mol. Sci. 2023, 24, 11970. https://doi.org/10.3390/ijms241511970
Song YN, Lee J-W, Ryu HW, Lee JK, Oh ES, Kim D-Y, Ro H, Yoon D, Park J-Y, Hong S-T, et al. Black Ginseng Extract Exerts Potentially Anti-Asthmatic Activity by Inhibiting the Protein Kinase Cθ-Mediated IL-4/STAT6 Signaling Pathway. International Journal of Molecular Sciences. 2023; 24(15):11970. https://doi.org/10.3390/ijms241511970
Chicago/Turabian StyleSong, Yu Na, Jae-Won Lee, Hyung Won Ryu, Jae Kyoung Lee, Eun Sol Oh, Doo-Young Kim, Hyunju Ro, Dahye Yoon, Ji-Yoon Park, Sung-Tae Hong, and et al. 2023. "Black Ginseng Extract Exerts Potentially Anti-Asthmatic Activity by Inhibiting the Protein Kinase Cθ-Mediated IL-4/STAT6 Signaling Pathway" International Journal of Molecular Sciences 24, no. 15: 11970. https://doi.org/10.3390/ijms241511970
APA StyleSong, Y. N., Lee, J.-W., Ryu, H. W., Lee, J. K., Oh, E. S., Kim, D.-Y., Ro, H., Yoon, D., Park, J.-Y., Hong, S.-T., Kim, M.-O., Lee, S. U., & Lee, D. Y. (2023). Black Ginseng Extract Exerts Potentially Anti-Asthmatic Activity by Inhibiting the Protein Kinase Cθ-Mediated IL-4/STAT6 Signaling Pathway. International Journal of Molecular Sciences, 24(15), 11970. https://doi.org/10.3390/ijms241511970

