Expression of Antimicrobic Peptide Piscidin1 in Gills Mast Cells of Giant Mudskipper Periophthalmodon schlosseri (Pallas, 1770)
Abstract
1. Introduction
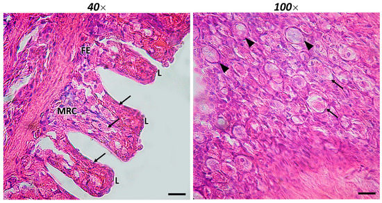
2. Results
3. Discussion
4. Materials and Methods
4.1. Samples
4.2. Tissue Preparation
4.3. Histology
4.4. Immunoperoxidase
4.5. Immunofluorescence
4.6. Laser Confocal Immunofluorescence
4.7. Quantitative Analysis
5. Conclusions
Author Contributions
Funding
Institutional Review Board Statement
Informed Consent Statement
Data Availability Statement
Conflicts of Interest
References
- Lauriano, E.R.; Faggio, C.; Capillo, G.; Spanò, N.; Kuciel, M.; Aragona, M.; Pergolizzi, S. Immunohistochemical Characterization of Epidermal Dendritic-like Cells in Giant Mudskipper, Periophthalmodon Schlosseri. Fish Shellfish Immunol. 2018, 74, 380–385. [Google Scholar] [CrossRef] [PubMed]
- Kuciel, M.; Rita Lauriano, E.; Silvestri, G.; Żuwała, K.; Pergolizzi, S.; Zaccone, D. The Structural Organization and Immunohistochemistry of G-Protein Alpha Subunits in the Olfactory System of the Air-Breathing Mudskipper, Periophthalmus Barbarus (Linnaeus, 1766) (Gobiidae, Oxudercinae). Acta Histochem. 2014, 116, 70–78. [Google Scholar] [CrossRef] [PubMed]
- Zaccone, G.; Lauriano, E.R.; Kuciel, M.; Capillo, G.; Pergolizzi, S.; Alesci, A.; Ishimatsu, A.; Ip, Y.K.; Icardo, J.M. Identification and Distribution of Neuronal Nitric Oxide Synthase and Neurochemical Markers in the Neuroepithelial Cells of the Gill and the Skin in the Giant Mudskipper, Periophthalmodon Schlosseri. Zoology 2017, 125, 41–52. [Google Scholar] [CrossRef]
- Yadav, A.N.; Prasad, M.S.; Singh, B.R. Gross Structure of the Respiratory Organs and Dimensions of the Gill in the Mud–Skipper, Periophthalmodon Schlosseri (Bleeker). J. Fish Biol. 1990, 37, 383–392. [Google Scholar] [CrossRef]
- Supriyati, H.; Apriliani, N.S.; Luthfi, M.J. Histological Study of Mudskipper (Periophthalmus Gracilis) Gills. Proceed. Int. Conf. Sci. Eng. 2019, 2, 177–179. [Google Scholar] [CrossRef]
- Aguilar, N.M.; Ishimatsu, A.; Ogawa, K.; Huat, K.K. Aerial Ventilatory Responses of the Mudskipper, Periophthalmodon Schlosseri, to Altered Aerial and Aquatic Respiratory Gas Concentrations. Comp. Biochem. Physiol. A Mol. Integr. Physiol. 2000, 127, 285–292. [Google Scholar] [CrossRef]
- Galli, S.J.; Nakae, S.; Tsai, M. Mast Cells in the Development of Adaptive Immune Responses. Nat. Immunol. 2005, 6, 135–142. [Google Scholar] [CrossRef]
- Abraham, S.N.; St. John, A.L. Mast Cell-Orchestrated Immunity to Pathogens. Nat. Rev. Immunol. 2010, 10, 440–452. [Google Scholar] [CrossRef]
- Shim, J.K.; Caron, M.A.; Weatherly, L.M.; Gerchman, L.B.; Sangroula, S.; Hattab, S.; Baez, A.Y.; Briana, T.J.; Gosse, J.A. Antimicrobial Agent Triclosan Suppresses Mast Cell Signaling via Phospholipase D Inhibition. J. Appl. Toxicol. 2019, 39, 1672–1690. [Google Scholar] [CrossRef]
- Alesci, A.; Pergolizzi, S.; Fumia, A.; Calabrò, C.; Lo Cascio, P.; Lauriano, E.R. Mast Cells in Goldfish (Carassius Auratus) Gut: Immunohistochemical Characterization. Acta Zool. 2022, azo.12417. [Google Scholar] [CrossRef]
- Mulero, I.; Sepulcre, M.P.; Meseguer, J.; García-Ayala, A.; Mulero, V. Histamine Is Stored in Mast Cells of Most Evolutionarily Advanced Fish and Regulates the Fish Inflammatory Response. Proc. Natl. Acad. Sci. USA 2007, 104, 19434–19439. [Google Scholar] [CrossRef] [PubMed]
- Augustyniak, D.; Nowak, J.; Lundy, F.T. Direct and Indirect Antimicrobial Activities of Neuropeptides and Their Therapeutic Potential. Curr. Protein Pept. Sci. 2012, 13, 723–738. [Google Scholar] [CrossRef]
- Zasloff, M. Antimicrobial Peptides of Multicellular Organisms. Nature 2002, 415, 389–395. [Google Scholar] [CrossRef] [PubMed]
- Zaccone, G.; Capillo, G.; Fernandes, J.M.O.; Kiron, V.; Lauriano, E.R.; Alesci, A.; Cascio, P.L.; Guerrera, M.C.; Kuciel, M.; Zuwala, K.; et al. Expression of the Antimicrobial Peptide Piscidin 1 and Neuropeptides in Fish Gill and Skin: A Potential Participation in Neuro-Immune Interaction. Mar. Drugs 2022, 20, 145. [Google Scholar] [CrossRef] [PubMed]
- Diamond, G.; Beckloff, N.; Weinberg, A.; Kisich, K. The Roles of Antimicrobial Peptides in Innate Host Defense. Curr. Pharm. Des. 2009, 15, 2377–2392. [Google Scholar] [CrossRef] [PubMed]
- Salger, S.A.; Cassady, K.R.; Reading, B.J.; Noga, E.J. A Diverse Family of Host-Defense Peptides (Piscidins) Exhibit Specialized Anti-Bacterial and Anti-Protozoal Activities in Fishes. PLoS ONE 2016, 11, e0159423. [Google Scholar] [CrossRef]
- Lauth, X.; Shike, H.; Burns, J.C.; Westerman, M.E.; Ostland, V.E.; Carlberg, J.M.; Van Olst, J.C.; Nizet, V.; Taylor, S.W.; Shimizu, C.; et al. Discovery and Characterization of Two Isoforms of Moronecidin, a Novel Antimicrobial Peptide from Hybrid Striped Bass. J. Biol. Chem. 2002, 277, 5030–5039. [Google Scholar] [CrossRef]
- Salerno, G.; Parrinello, N.; Roch, P.; Cammarata, M. CDNA Sequence and Tissue Expression of an Antimicrobial Peptide, Dicentracin; a New Component of the Moronecidin Family Isolated from Head Kidney Leukocytes of Sea Bass, Dicentrarchus Labrax. Comp. Biochem. Physiol. B Biochem. Mol. Biol. 2007, 146, 521–529. [Google Scholar] [CrossRef]
- Acosta, J.; Montero, V.; Carpio, Y.; Velázquez, J.; Garay, H.E.; Reyes, O.; Cabrales, A.; Masforrol, Y.; Morales, A.; Estrada, M.P. Cloning and Functional Characterization of Three Novel Antimicrobial Peptides from Tilapia (Oreochromis Niloticus). Aquaculture 2013, 372–375, 9–18. [Google Scholar] [CrossRef]
- Alesci, A.; Pergolizzi, S.; Capillo, G.; Cascio, P.L.; Lauriano, E.R. Rodlet Cells in Kidney of Goldfish (Carassius Auratus, Linnaeus 1758): A Light and Confocal Microscopy Study. Acta Histochem. 2022, 124, 151876. [Google Scholar] [CrossRef]
- Silphaduang, U.; Noga, E.J. Peptide Antibiotics in Mast Cells of Fish. Nature 2001, 414, 268–269. [Google Scholar] [CrossRef] [PubMed]
- Kim, S.Y.; Zhang, F.; Gong, W.; Chen, K.; Xia, K.; Liu, F.; Gross, R.; Wang, J.M.; Linhardt, R.J.; Cotten, M.L. Copper Regulates the Interactions of Antimicrobial Piscidin Peptides from Fish Mast Cells with Formyl Peptide Receptors and Heparin. J. Biol. Chem. 2018, 293, 15381–15396. [Google Scholar] [CrossRef] [PubMed]
- Silphaduang, U.; Colorni, A.; Noga, E. Evidence for Widespread Distribution of Piscidin Antimicrobial Peptides in Teleost Fish. Dis. Aquat. Organ. 2006, 72, 241–252. [Google Scholar] [CrossRef] [PubMed]
- Maina, J.W.; Pringle, J.M.; Razal, J.M.; Nunes, S.; Vega, L.; Gallucci, F.; Dumée, L.F. Strategies for Integrated Capture and Conversion of CO2 from Dilute Flue Gases and the Atmosphere. ChemSusChem 2021, 14, 1805–1820. [Google Scholar] [CrossRef]
- Sfacteria, A.; Brines, M.; Blank, U. The Mast Cell Plays a Central Role in the Immune System of Teleost Fish. Mol. Immunol. 2015, 63, 3–8. [Google Scholar] [CrossRef]
- Romano, L.A.; Oliveira, F.P.S.; Pedrosa, V.F. Mast Cells and Eosinophilic Granule Cells in Oncorhynchus Mykiss: Are They Similar or Different? Fish Shellfish Immunol. Rep. 2021, 2, 100029. [Google Scholar] [CrossRef]
- Chen, X.; Yi, Y.; Bian, C.; You, X.; Shi, Q. Putative Antimicrobial Peptides in Fish: Using Zebrafish as a Representative. Protein Pept. Lett. 2020, 27, 1059–1067. [Google Scholar] [CrossRef]
- Raju, S.V.; Sarkar, P.; Kumar, P.; Arockiaraj, J. Piscidin, Fish Antimicrobial Peptide: Structure, Classification, Properties, Mechanism, Gene Regulation and Therapeutical Importance. Int. J. Pept. Res. Ther. 2021, 27, 91–107. [Google Scholar] [CrossRef]
- Fernandes, J.M.; Ruangsri, J.; Kiron, V. Atlantic Cod Piscidin and Its Diversification through Positive Selection. PLoS ONE 2010, 5, e9501. [Google Scholar] [CrossRef]
- Elumalai, P.; Rubeena, A.S.; Arockiaraj, J.; Wongpanya, R.; Cammarata, M.; Ringø, E.; Vaseeharan, B. The Role of Lectins in Finfish: A Review. Rev. Fish. Sci. Aquac. 2019, 27, 152–169. [Google Scholar] [CrossRef]
- Dezfuli, B.S.; Pironi, F.; Giari, L.; Noga, E.J. Immunocytochemical Localization of Piscidin in Mast Cells of Infected Seabass Gill. Fish Shellfish Immunol. 2010, 28, 476–482. [Google Scholar] [CrossRef] [PubMed]
- Niu, S.-F.; Jin, Y.; Xu, X.; Qiao, Y.; Wu, Y.; Mao, Y.; Su, Y.-Q.; Wang, J. Characterization of a Novel Piscidin-like Antimicrobial Peptide from Pseudosciaena Crocea and Its Immune Response to Cryptocaryon Irritans. Fish Shellfish Immunol. 2013, 35, 513–524. [Google Scholar] [CrossRef] [PubMed]
- Li, Z.-P.; Chen, D.-W.; Pan, Y.-Q.; Deng, L. Two Isoforms of Piscidin from Malabar Grouper, Epinephelus Malabaricus: Expression and Functional Characterization. Fish Shellfish Immunol. 2016, 57, 222–235. [Google Scholar] [CrossRef] [PubMed]
- Ruangsri, J.; Fernandes, J.M.O.; Rombout, J.H.W.M.; Brinchmann, M.F.; Kiron, V. Ubiquitous Presence of Piscidin-1 in Atlantic Cod as Evidenced by Immunolocalisation. BMC Vet. Res. 2012, 8, 46. [Google Scholar] [CrossRef]
- Yi, Y.; You, X.; Bian, C.; Chen, S.; Lv, Z.; Qiu, L.; Shi, Q. High-Throughput Identification of Antimicrobial Peptides from Amphibious Mudskippers. Mar. Drugs 2017, 15, 364. [Google Scholar] [CrossRef]
- You, X.; Bian, C.; Zan, Q.; Xu, X.; Liu, X.; Chen, J.; Wang, J.; Qiu, Y.; Li, W.; Zhang, X.; et al. Mudskipper Genomes Provide Insights into the Terrestrial Adaptation of Amphibious Fishes. Nat. Commun. 2014, 5, 5594. [Google Scholar] [CrossRef]
- Dezfuli, B.S.; Pironi, F.; Maynard, B.; Simoni, E.; Bosi, G. Rodlet Cells, Fish Immune Cells and a Sentinel of Parasitic Harm in Teleost Organs. Fish Shellfish Immunol. 2022, 121, 516–534. [Google Scholar]
- Alesci, A.; Cicero, N.; Fumia, A.; Petrarca, C.; Mangifesta, R.; Nava, V.; Lo Cascio, P.; Gangemi, S.; Di Gioacchino, M.; Lauriano, E.R. Histological and Chemical Analysis of Heavy Metals in Kidney and Gills of Boops Boops: Melanomacrophages Centers and Rodlet Cells as Environmental Biomarkers. Toxics 2022, 10, 218. [Google Scholar] [CrossRef]
- Frossi, B.; Mion, F.; Sibilano, R.; Danelli, L.; Pucillo, C.E.M. Is It Time for a New Classification of Mast Cells? What Do We Know about Mast Cell Heterogeneity? Immunol. Rev. 2018, 282, 35–46. [Google Scholar] [CrossRef]
- Baccari, G.C.; Pinelli, C.; Santillo, A.; Minucci, S.; Rastogi, R.K. Mast Cells in Nonmammalian Vertebrates. In International Review of Cell and Molecular Biology; Elsevier: Amsterdam, The Netherlands, 2011; Volume 290, pp. 1–53. ISBN 978-0-12-386037-8. [Google Scholar]
- Dobson, J.T.; Seibert, J.; Teh, E.M.; Da’as, S.; Fraser, R.B.; Paw, B.H.; Lin, T.-J.; Berman, J.N. Carboxypeptidase A5 Identifies a Novel Mast Cell Lineage in the Zebrafish Providing New Insight into Mast Cell Fate Determination. Blood 2008, 112, 2969–2972. [Google Scholar] [CrossRef]
- Saccheri, P.; Travan, L.; Ribatti, D.; Crivellato, E. Mast Cells, an Evolutionary Approach. Ital. J. Anat. Embryol. 2020, 124, 271–287. [Google Scholar] [CrossRef]
- Sandig, H.; Bulfone-Paus, S. TLR Signaling in Mast Cells: Common and Unique Features. Front. Immunol. 2012, 3, 185. [Google Scholar] [CrossRef]
- Alesci, A.; Pergolizzi, S.; Lo Cascio, P.; Fumia, A.; Lauriano, E.R. Neuronal Regeneration: Vertebrates Comparative Overview and New Perspectives for Neurodegenerative Diseases. Acta Zool. 2021, 103, 129–140. [Google Scholar] [CrossRef]
- Marino, A.; Pergolizzi, S.; Lauriano, E.R.; Santoro, G.; Spataro, F.; Cimino, F.; Speciale, A.; Nostro, A.; Bisignano, G. TLR2 Activation in Corneal Stromal Cells by Staphylococcus Aureus -Induced Keratitis. APMIS 2015, 123, 163–168. [Google Scholar] [CrossRef]
- Alesci, A.; Capillo, G.; Fumia, A.; Messina, E.; Albano, M.; Aragona, M.; Lo Cascio, P.; Spanò, N.; Pergolizzi, S.; Lauriano, E.R. Confocal Characterization of Intestinal Dendritic Cells from Myxines to Teleosts. Biology 2022, 11, 1045. [Google Scholar] [CrossRef] [PubMed]
- Alesci, A.; Lauriano, E.R.; Aragona, M.; Capillo, G.; Pergolizzi, S. Marking Vertebrates Langerhans Cells, from Fish to Mammals. Acta Histochem. 2020, 122, 151622. [Google Scholar] [CrossRef] [PubMed]
- Alesci, A.; Pergolizzi, S.; Savoca, S.; Fumia, A.; Mangano, A.; Albano, M.; Messina, E.; Aragona, M.; Lo Cascio, P.; Capillo, G.; et al. Detecting Intestinal Goblet Cells of the Broadgilled Hagfish Eptatretus Cirrhatus (Forster, 1801): A Confocal Microscopy Evaluation. Biology 2022, 11, 1366. [Google Scholar] [CrossRef]
- Alesci, A.; Aragona, M.; Cicero, N.; Lauriano, E.R. Can Nutraceuticals Assist Treatment and Improve COVID-19 Symptoms? Nat. Prod. Res. 2021, 36, 2672–2691. [Google Scholar] [CrossRef]
- Alesci, A.; Lauriano, E.R.; Fumia, A.; Irrera, N.; Mastrantonio, E.; Vaccaro, M.; Gangemi, S.; Santini, A.; Cicero, N.; Pergolizzi, S. Relationship between Immune Cells, Depression, Stress, and Psoriasis: Could the Use of Natural Products Be Helpful? Molecules 2022, 27, 1953. [Google Scholar] [CrossRef]
- Alesci, A.; Pergolizzi, S.; Lo Cascio, P.; Capillo, G.; Lauriano, E.R. Localization of Vasoactive Intestinal Peptide and Toll-like Receptor 2 Immunoreactive Cells in Endostyle of Urochordate Styela plicata (Lesueur, 1823). Microsc. Res. Tech. 2022, 85, 2651–2658. [Google Scholar] [CrossRef]
- Alessio, A.; Pergolizzi, S.; Gervasi, T.; Aragona, M.; Lo Cascio, P.; Cicero, N.; Lauriano, E.R. Biological Effect of Astaxanthin on Alcohol-Induced Gut Damage in Carassius Auratus Used as Experimental Model. Nat. Prod. Res. 2021, 35, 5737–5743. [Google Scholar] [CrossRef] [PubMed]
- Metz, M.; Siebenhaar, F.; Maurer, M. Mast Cell Functions in the Innate Skin Immune System. Immunobiology 2008, 213, 251–260. [Google Scholar] [CrossRef] [PubMed]
- Nautiyal, K.M.; Ribeiro, A.C.; Pfaff, D.W.; Silver, R. Brain Mast Cells Link the Immune System to Anxiety-like Behavior. Proc. Natl. Acad. Sci. USA 2008, 105, 18053–18057. [Google Scholar] [CrossRef] [PubMed]
- De Winter, B.Y.; van den Wijngaard, R.M.; de Jonge, W.J. Intestinal Mast Cells in Gut Inflammation and Motility Disturbances. Biochim. Biophys. Acta BBA Mol. Basis Dis. 2012, 1822, 66–73. [Google Scholar] [CrossRef] [PubMed]
- da Silva, T.A.; Zorzetto-Fernandes, A.L.V.; Cecílio, N.T.; Sardinha-Silva, A.; Fernandes, F.F.; Roque-Barreira, M.C. CD14 Is Critical for TLR2-Mediated M1 Macrophage Activation Triggered by N-Glycan Recognition. Sci. Rep. 2017, 7, 7083. [Google Scholar] [CrossRef] [PubMed]
- Dezfuli, B.S.; Lui, A.; Giovinazzo, G.; Boldrini, P.; Giari, L. Intestinal Inflammatory Response of Powan Coregonus Lavaretus (Pisces) to the Presence of Acanthocephalan Infections. Parasitology 2009, 136, 929–937. [Google Scholar] [CrossRef] [PubMed]
- Khan, N.; Deschaux, P. Role of Serotonin in Fish Immunomodulation. J. Exp. Biol. 1997, 200, 1833–1838. [Google Scholar] [CrossRef]
- Zaccone, G.; Bonga, S.E.W.; Flik, G.; Fasulo, S.; Licata, A.; Cascio, P.L.; Mauceri, A.; Lauriano, E.R. Localization of Calbindin D28K-like Immunoreactivity in Fish Gill: A Light Microscopic and Immunoelectron Histochemical Study. Regul. Pept. 1992, 41, 195–208. [Google Scholar]
- Icardo, J.M.; Colvee, E.; Lauriano, E.R.; Capillo, G.; Guerrera, M.C.; Zaccone, G. The Structure of the Gas Bladder of the Spotted Gar, Lepisosteus Oculatus: THE GAS BLADDER OF Lepisosteus Oculatus. J. Morphol. 2015, 276, 90–101. [Google Scholar] [CrossRef]
- Lauriano, E.R.; Żuwała, K.; Kuciel, M.; Budzik, K.A.; Capillo, G.; Alesci, A.; Pergolizzi, S.; Dugo, G.; Zaccone, G. Confocal Immunohistochemistry of the Dermal Glands and Evolutionary Considerations in the Caecilian, Typhlonectes Natans (Amphibia: Gymnophiona). Acta Zool. 2016, 97, 154–164. [Google Scholar] [CrossRef]





| No. of MCs | |
|---|---|
| Piscidin1 (immunoperoxidase) | 148.37 ± 12.76 ** |
| Piscidin1 (immunofluorescence) | 154.43 ± 14.69 * |
| TLR2 | 147.39 ± 13.56 ** |
| 5-HT | 145.92 ± 17.84 * |
| Piscidin1 + 5-HT | 143.68 ± 21.11 * |
| TLR2 + 5-HT | 139.58 ± 16.14 ** |
| Antibody | Supplier | Dilution | Animal Source |
|---|---|---|---|
| Piscidin1 | GenScript Biotech Corporation, Rijswijk, Netherlands, Europe. Produced on demand | 1:50 | Rabbit |
| TLR2 | Active Motif, La Hulpe, Belgium, Europe. | 1:125 | Rabbit |
| 5-HT | Santa Cruz Biotechnology, Inc., Dallas, TX, USA. | 1:50 | Mouse |
| Goat anti-Rabbit IgG Peroxidase conjugated | Sigma Aldrich, Saint Louis, MO, USA. | 1:100 | Goat |
| Alexa Fluor 488 Donkey anti-Mouse IgG FITC conjugated | Molecular Probes, Invitrogen | 1:300 | Donkey |
| Alexa Fluor 594 Donkey anti-Rabbit IgG TRITC conjugated | Molecular Probes, Invitrogen | 1:300 | Donkey |
Publisher’s Note: MDPI stays neutral with regard to jurisdictional claims in published maps and institutional affiliations. |
© 2022 by the authors. Licensee MDPI, Basel, Switzerland. This article is an open access article distributed under the terms and conditions of the Creative Commons Attribution (CC BY) license (https://creativecommons.org/licenses/by/4.0/).
Share and Cite
Alesci, A.; Capillo, G.; Mokhtar, D.M.; Fumia, A.; D’Angelo, R.; Lo Cascio, P.; Albano, M.; Guerrera, M.C.; Sayed, R.K.A.; Spanò, N.; et al. Expression of Antimicrobic Peptide Piscidin1 in Gills Mast Cells of Giant Mudskipper Periophthalmodon schlosseri (Pallas, 1770). Int. J. Mol. Sci. 2022, 23, 13707. https://doi.org/10.3390/ijms232213707
Alesci A, Capillo G, Mokhtar DM, Fumia A, D’Angelo R, Lo Cascio P, Albano M, Guerrera MC, Sayed RKA, Spanò N, et al. Expression of Antimicrobic Peptide Piscidin1 in Gills Mast Cells of Giant Mudskipper Periophthalmodon schlosseri (Pallas, 1770). International Journal of Molecular Sciences. 2022; 23(22):13707. https://doi.org/10.3390/ijms232213707
Chicago/Turabian StyleAlesci, Alessio, Gioele Capillo, Doaa M. Mokhtar, Angelo Fumia, Roberta D’Angelo, Patrizia Lo Cascio, Marco Albano, Maria Cristina Guerrera, Ramy K. A. Sayed, Nunziacarla Spanò, and et al. 2022. "Expression of Antimicrobic Peptide Piscidin1 in Gills Mast Cells of Giant Mudskipper Periophthalmodon schlosseri (Pallas, 1770)" International Journal of Molecular Sciences 23, no. 22: 13707. https://doi.org/10.3390/ijms232213707
APA StyleAlesci, A., Capillo, G., Mokhtar, D. M., Fumia, A., D’Angelo, R., Lo Cascio, P., Albano, M., Guerrera, M. C., Sayed, R. K. A., Spanò, N., Pergolizzi, S., & Lauriano, E. R. (2022). Expression of Antimicrobic Peptide Piscidin1 in Gills Mast Cells of Giant Mudskipper Periophthalmodon schlosseri (Pallas, 1770). International Journal of Molecular Sciences, 23(22), 13707. https://doi.org/10.3390/ijms232213707

