The Discovery of Endoplasmic Reticulum Storage Disease. The Connection between an H&E Slide and the Brain
Abstract
1. Introduction
1.1. The Amazing Universe of the Cell Microstructure and Function
1.2. Endoplasmic Reticulum as a New World in the Cell Universe
1.3. The Biosynthesis of Glycoproteins in General
2. Apha-1-Antitrypsin Deficiency (AATD): The Prototype of ERSD
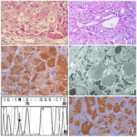
3. Hereditary Hypofibrinogenemia with Hepatic Storage (HHHS)
4. Conclusions and Perspectives
Author Contributions
Funding
Institutional Review Board Statement
Informed Consent Statement
Data Availability Statement
Acknowledgments
Conflicts of Interest
References
- Sharp, H.L.; Bridges, B.A.; Krivit, W.; Freier, E.F. Cirrhosis associated with alpha-1-antitrypsin deficiency—A previous unrecognized inheritd disorder. J. Lab. Clin. Med. 1969, 73, 934–939. [Google Scholar] [PubMed]
- Callea, F.; De Vos, R.; Pinackat, J.; Favret, M.; Facchetti, F.; Fiaccavento, S.; Ascari, E.; Tortora, O.; Albertini, A.; Henschen, A.; et al. Hereditary hypofinogenemia with hepatic storage of fibrinogen: A new endoplasmic reticulum storage diseases. In Fibrinogen 2, Biochemistry, Physiology and Clinical Relevance; Lowe, G.D.O., Ed.; Elsevier: Amsterdam, The Netherlands, 1987; pp. 75–78. [Google Scholar]
- Carrell, R.W.; Lomas, D.A. Conformational disease. Lancet 1997, 350, 134–138. [Google Scholar] [CrossRef]
- Majno, G.; Joris, I. Cells Tissues and Disease; Oxford University Press: Oxford, UK, 2004. [Google Scholar]
- Ishak, K.G.; Sharp, H.L.; Schwarzenberg, S.J. Metabolic Errors and Liver Disease. In Pathology of the Liver; RNM, Ed.; Churchill Livingstone: London, UK, 2003. [Google Scholar]
- Callea, F.; Brisigotti, M.; Fabbretti, G.; Bonino, F.; Desmet, V.J. Hepatic endoplasmic reticulum storage diseases. Liver 1992, 12, 357–362. [Google Scholar] [CrossRef] [PubMed]
- Callea, F.; Giovannoni, I.; Sari, S.; Guldal, E.; Dalgic, B.; Akyol, G.; Sogo, T.; Al-Hussaini, A.; Maggiore, G.; Bartuli, A.; et al. Fibrinogen Gamma Chain Mutations Provoke Fibrinogen and Apolipoprotein B Plasma Deficiency and Liver Storage. Int. J. Mol. Sci. 2017, 18, 2717. [Google Scholar] [CrossRef] [PubMed]
- Callea, F.; Giovannoni, I.; Francalanci, P.; Boldrini, R.; Faa, G.; Medicina, D.; Nobili, V.; Desmet, V.J.; Ishak, K.; Seyama, K.; et al. Mineralization of alpha-1-antitrypsin inclusion bodies in Mmalton alpha-1-antitrypsin deficiency. Orphanet J. Rare Dis. 2018, 13, 79. [Google Scholar] [CrossRef] [PubMed]
- Hooke, R. Micrographia: Or Some Physiological Descriptions of Minute Bodies Made by Magnified Glasses; Martyn, J., Alleftry, J., Eds.; Royal Society, St. Paul’s Church-Yard: London, UK, 1665; pp. 1635–1703. [Google Scholar]
- Virchow, R. Cellular Pathology as Based upon Physiological and Pathological Histology; Chance, B., Ed.; Dover Publications: New York, NY, USA, 1971. [Google Scholar]
- Golgi, C. On the structure of nerve cells: 1898. J. Microsc. 1989, 155, 3–7. [Google Scholar] [CrossRef]
- Palade, G. Intracellular aspects of the process of protein synthesis. Science 1975, 159, 347–358. [Google Scholar] [CrossRef]
- Phillips, M.J.; Pourcell, S.; Patterson, J.; Valencia, P. The Liver. An Atlas and Text of Ultrastructural Pathology; Raven Press: New York, NY, USA, 1987. [Google Scholar]
- Farquhar, M.G.; Bergeron, J.J.; Palade, G.E. Cytochemistry of Golgi fractions prepared from rat liver. J. Cell Biol. 1974, 60, 8–25. [Google Scholar] [CrossRef]
- Brennan, S.O. Electrospray ionization mass analysis of normal and genetic variants of human serum albumin. Clin. Chem. 1998, 44, 2264–2269. [Google Scholar] [CrossRef] [PubMed]
- Mancini, M.; Summers, P.; Faita, F.; Brunetto, M.R.; Callea, F.; De Nicola, A.; Di Lascio, N.; Farinati, F.; Gastaldelli, A.; Gridelli, B.; et al. Digital liver biopsy: Bio-imaging of fatty liver for translational and clinical research. World J. Hepatol. 2018, 10, 231–245. [Google Scholar] [CrossRef]
- Ma, M.H.; Biempica, L. The normal human liver cell. Cytochemical and ultrastructural studies. Am. J. Pathol. 1971, 62, 353–390. [Google Scholar]
- Farquhar, M.G.; Palade, G.E. The Golgi apparatus: 100 years of progress and controversy. Trends Cell Biol. 1998, 8, 2–10. [Google Scholar] [CrossRef]
- Sabatini, D.D.; Kreibich, G.; Morimoto, T.; Adesnik, M. Mechanisms for the incorporation of proteins in membranes and organelles. J. Cell Biol. 1982, 92, 1–22. [Google Scholar] [CrossRef]
- Gilmore, R.; Blobel, G.; Walter, P. Protein translocation across the endoplasmic reticulum. I. Detection in the microsomal membrane of a receptor for the signal recognition particle. J. Cell Biol. 1982, 95, 463–469. [Google Scholar] [CrossRef] [PubMed]
- Gilmore, R.; Walter, P.; Blobel, G. Protein translocation across the endoplasmic reticulum. II. Isolation and characterization of the signal recognition particle receptor. J. Cell Biol. 1982, 95, 470–477. [Google Scholar] [CrossRef] [PubMed]
- Callea, F.; Fevery, J.; Massi, G.; Lievens, C.; de Groote, J.; Desmet, V.J. Alpha-1-antitrypsin (AAT) and its stimulation in the liver of PiMZ phenotype individuals. A “recruitment-secretory block” (“R-SB”) phenomenon. Liver 1984, 4, 325–337. [Google Scholar] [CrossRef]
- Perlmutter, D.H. Alpha-1-antitrypsin deficiency: Importance of proteasomal and autophagic degradative pathways in disposal of liver disease-associated protein aggregates. Annu. Rev. Med. 2011, 62, 333–345. [Google Scholar] [CrossRef]
- Li, C.; Xia, B.; Wang, S.; Xu, J. Folded or Degraded in Endoplasmic Reticulum. Adv. Exp. Med. Biol. 2020, 1248, 265–294. [Google Scholar] [PubMed]
- Spiro, R.G. Glycoproteins: Their biochemistry, biology and role in human disease. N. Engl. J. Med. 1969, 281, 1043–1056. [Google Scholar] [CrossRef] [PubMed]
- Hemming, F.W. Biochemical Mechanisms of Glycolysation. In Membrane Alterations as Basis of Liver Injury; Popper, H., Ed.; MTP: Lancaster, UK, 1977; pp. 77–88. [Google Scholar]
- Waechter, C.J.; Lennarz, W.J. The role of polyprenol-linked sugars in glycoprotein synthesis. Annu. Rev. Biochem. 1976, 45, 95–112. [Google Scholar] [CrossRef]
- Sharon, N.; Lis, H. Glycoproteins: Research booming on long-ignored ubiquitous compounds. Mol. Cell. Biochem. 1982, 42, 167–187. [Google Scholar] [CrossRef]
- Lajoie, P.; Snapp, E.L. Size-dependent secretory protein reflux into the cytosol in association with acute endoplasmic reticulum stress. Traffic 2020, 21, 419–429. [Google Scholar] [CrossRef]
- Nakatsukasa, K.; Brodsky, J.L. The recognition and retrotranslocation of misfolded proteins from the endoplasmic reticulum. Traffic 2008, 96, 861–870. [Google Scholar] [CrossRef] [PubMed]
- Callea, F. Immunohistochemical Study on Alpha-1-Antitrypsin. Ph.D. Thesis, KUL Acco, Leuven, Belgium, 1983; pp. 1–113. [Google Scholar]
- Callea, F.; Fabbretti, G.; Bonetti, M.; Brisigotti, M.; Desmet, V.J. Alpha-1-antitrypsin deficiency. In Extrahepatic Manifestations in Liver Disease; Schmid, R., Ed.; Kluwer Academic Publishers: Dordrecht, The Netherlands; Kluwer Academic Publishers: Boston, MA, USA; Kluwer Academic Publishers: London, UK, 1993; pp. 315–330. [Google Scholar]
- Carlson, J.; Eriksson, S. Alpha 1-antitrypsin and other acute phase reactants in liver disease. Acta Med. Scand. 1980, 207, 79–83. [Google Scholar] [CrossRef]
- Laurell, C.B.; Eriksson, S. The electrophoretic α1-globulin pattern of serum in α1-antitrypsin deficiency. 1963. COPD J. Chronic Obstr. Pulm. Dis. 2013, 10 (Suppl. 1), 3–8. [Google Scholar] [CrossRef] [PubMed]
- Eriksson, S. Studies in alpha 1-antitrypsin deficiency. Acta Med. Scand. Suppl. 1965, 432, 1–85. [Google Scholar]
- Janciauskiene, S.M.; Bals, R.; Koczulla, R.; Vogelmeier, C.; Kohnlein, T.; Welte, T. The discovery of alpha-1-antitrypsin and its role in health and disease. Respir. Med. 2011, 105, 1129–1139. [Google Scholar] [CrossRef] [PubMed]
- Yoshida, A.; Lieberman, J.; Gaidulis, L.; Ewing, C. Molecular abnormality of human alpha-1-antitrypsin variant (Pi Z) associated with plasma activity deficiency. Proc. Natl. Acad. Sci. USA 1976, 73, 1324–1328. [Google Scholar] [CrossRef]
- Carrell, R.W.; Jeppsson, J.O.; Laurell, C.B.; Brennan, S.O.; Owen, M.C.; Vaughan, L.; Boswell, D.R. Structure and variation of human alpha 1-antitrypsin. Nature 1982, 298, 329–334. [Google Scholar] [CrossRef] [PubMed]
- Lomas Da Evans, D.L.; Finch, J.T.; Carrell, R.W. The mechanisms of Z alpha-1-antuitrypsin accumulation in the liver. Nature 1992, 357, 605–607. [Google Scholar] [CrossRef] [PubMed]
- Jeppsson, J.O.; Larsson, C.; Eriksson, S. Characterization of alpha1-antitrypsin in the inclusion bodies from the liver in alpha 1-antitrypsin deficiency. N. Engl. J. Med. 1975, 293, 576–579. [Google Scholar] [CrossRef] [PubMed]
- Wallmark, A.; Alm, R.; Eriksson, S. Monoclonal antibody specific for the mutant PiZ alpha 1-antitrypsin and its application in an ELISA procedure for identification of PiZ gene carriers. Proc. Natl. Acad. Sci. USA 1984, 81, 5690–5693. [Google Scholar] [CrossRef]
- Janciauskiene, S.; Dominaitiene, R.; Sternby, N.H.; Piitulainen, E.; Eriksson, S. Detection of circulating and endothelial cell polymers of Z and wild type alpha-1-antitripsin by a monoclonal antibody. J. Biol. Chem. 2002, 277, 2640–2646. [Google Scholar] [CrossRef]
- Callea, F.; Brisigotti, M.; Faa, G.; Lucini, L.; Eriksson, S. Identification of PiZ gene products in liver tissue by a monoclonal antibody specific for the Z mutant of alpha 1-antitrypsin. J. Hepatol. 1991, 12, 372–376. [Google Scholar] [CrossRef]
- Talamo, R.C.; Langley, C.E.; Reed, C.E.; Makino, S. Alpha-1-Antitrypsin deficiency: A variant with no detectable alpha-1-antitrypsin. Science 1973, 181, 70–71. [Google Scholar] [CrossRef]
- Strnad, P.; McElvaney, N.G.; Lomas, D.A. Alpha1-Antitrypsin Deficiency. N. Engl. J. Med. 2020, 382, 1443–1455. [Google Scholar] [CrossRef]
- Fernandez-Segura, E.; Warley, A. Electron Probe X-ray Microanalysis for the Study of Cell Physiology. Methods Cell Biol. 2008, 88, 19–43. [Google Scholar]
- Curiel, D.T.; Holmes, M.D.; Okayama, H.; Brantley, M.L.; Vogelmeier, C.; Travis, W.D. Molecular basis of the liver and lung disease associate with alpha-1-antitrpsin deficiency allele Mmalton. J. Biol. Chem. 1989, 264, 13938–13945. [Google Scholar] [CrossRef]
- Seyama, K.; Nukiwa, T.; Takabe, K.; Takabashi, H.; Miyaki, K.; Kira, S. Siiyama (serine 53 (TTC) to phenilalanine 53 (TTC). A new alpha-1-antitrypsin deficient variant with mutation on a predicted conserved residue of the serpine backbone. J. Biol. Chem. 1991, 266, 12627–12632. [Google Scholar] [CrossRef]
- Desmet, V.J. The amazing universe of hepatic microstructure. Hepatology 2009, 50, 333–344. [Google Scholar] [CrossRef] [PubMed]
- Brennan, S.O.; Wyatt, J.; Medicina, D.; Callea, F.; George, P.M. Fibrinogen Brescia. Hepatic Endoplasmic Reticulum Storage and hypofibrinogenemia because of a γ284Gly—Arg mutation. Am. J. Pathol. 2000, 157, 189–196. [Google Scholar] [CrossRef]
- Wehinger, H.; Klinge, O.; Alexandrkis, E.; Shurman, J.; Witt, J.; Seydevitz, H.H. Hereditary hypofibrinogenemia with fibrinogen storage in the liver. Eur. J. Pediatr. 1983, 141, 109–112. [Google Scholar] [CrossRef] [PubMed]
- Pfeifer, U.; Ormans, W.; Klinge, O. Hepatocellular fibrinogen storage in familiar hypofibrinogenemuia. Virchows Arch. B 1987, 36, 247–255. [Google Scholar] [CrossRef]
- Callea, F.; Tortora, O.; Kojima, T.; Lucini, L.; Brisigotti, M.; Fabbretti, G.; Favret, M.; Torchio, B.; Togni, R.; Albertini, A.; et al. Hypofibrinogenemia anfd Fibrinogen storge deiseases. In Fibrinogen 3. Biochemistry, Biological Function, Gene Regulation and Expression; Mosesson, M., Ed.; Elsevier: Amsterdam, The Netherlands, 1988; pp. 247–250. [Google Scholar]
- Medicina, D.; Fabbretti, G.; Brennan, S.O.; George, P.M.; Kudryk, B.; Callea, F. Genetic and immunological characterization of fibrinogen inclusion bodies in patients with hepatic fibrinogen storage and liver disease. Ann. N. Y. Acad. Sci. 2001, 936, 522–525. [Google Scholar] [CrossRef] [PubMed]
- Brennan, S.O.; Maghzal, G.; Schneider, B.I.; Gordon, R.; Magid, M.S.; George, P.M. Novel fibrinogen gamma 375Arg-Trp mutation (fibrinogen Aguadilla) causes hepatic endoplasmic reticulum storage and hypofibrinogenemia. Hepatology 2002, 36, 2501–2505. [Google Scholar] [CrossRef] [PubMed]
- Brennan, S.O.; Davis, R.L.; Conard, K.; Savo, A.; Furuya, K.N. Novel fibrinogen mutation γ314Thr→Pro (fibrinogen AI duPont) associated with hepatic fibrinogen storage disease and hypofibrinogenaemia. Liver Int. 2010, 30, 1541–1547. [Google Scholar] [CrossRef] [PubMed]
- Dib, N.; Quelin, F.; Ternisien, C.; Hanss, M.; Michalak, S.; De Mazancourt, P.; Rousselet, M.C.; Calès, P. Fibrinogen angers with a new deletion (gamma GVYYQ 346-350) causes hypofibrinogenemia with hepatic storage. J. Thromb. Haemost. 2007, 5, 1999–2005. [Google Scholar] [CrossRef] [PubMed]
- Asselta, R.; Robusto, M.; Braidori, P.; Pevvandi, E.; Nastasio, S.; D’Antiga, O.; Perisic, V.N.; Maggiore, G.; Caccia, S.; Duga, S. Hepatic fibrinogen storage disease: Identification of two novel mutations (p.Asp316Asn, fibrinogen Pisa and p.Gly366Ser, fibrinogen Beograd) impacting on the fibrinogen module. J. Thromb. Haemost. 2015, 13, 1459–1467. [Google Scholar] [CrossRef]
- Callea, F.; Giovannoni, I.; Sari, S.; Aksu, A.U.; Esendagly, G.; Dalgic, B.; Boldrini, R.; Akyol, G.; Francalanci, P.; Bellacchio, E. A novel fibrinogen gamma chain mutation (c.1096C > G; p.His340Asp), fibrinogen Ankara, causing hypofibrinogenaemia and hepatic storage. Pathology 2017, 49, 534–537. [Google Scholar] [CrossRef]
- Burcu, G.; Bellacchio, E.; Sang, E.; Cebi, A.H.; Saygin, I.; Bahadir, A.; Yilmaz, G.; Corbeddu, M.; Murat, C.; Callea, F. Structural characteristics in the gamma chain variants associated with fibrinogen storage disease suggest the underlying pathogenic mechanism. Int. J. Mol. Sci. 2020, 21, 5139. [Google Scholar] [CrossRef]
- Lee, M.J.; Venick, R.; Bhuta, S.; Li, X.; Wang, H.L. Hepatic Fibrinogen Storage Disease in a Patient with Hypofibrinogenemia: Report of a Case with a Missense Mutation of the FGA Gene. Semin. Liver Dis. 2015, 35, 439–443. [Google Scholar] [CrossRef] [PubMed]
- Starzl, T.E.; Porter, K.A.; Terblanche, J. Interorgan communications with particular reference to hepatotrophic factors and intrinsic liver growth factors. In Communications of Liver Cells; Popper, H., Ed.; PTP Press, Ltd: Lancaster, UK, 1980; pp. 93–97. [Google Scholar]
- Fra, A.; Cosmi, F.; Ordoñez, A.; Berardelli, R.; Perez, J.; Guadagno, N.A.; Corda, L.; Marciniak, S.J.; Lomas, D.A.; Miranda, E. Polymers of Z α1-antitrypsin are secreted in cell models of disease. Eur. Respir. J. 2016, 47, 1005–1009. [Google Scholar] [CrossRef] [PubMed]
- Laffranchi, M.; Elliston, E.L.; Miranda, E.; Perez, J.; Ronzoni, R.; Jagger, A.M.; Heyer-Chauhan, N.; Brantly, M.L.; Fra, A.; Lomas, D.A.; et al. Intrahepatic heteropolymerization of M and Z alpha-1-antitrypsin. JCI Insight 2020, 5, e135459. [Google Scholar] [CrossRef]
- Rosai, J. The H&E technique: Old mistress apologue. Pathologica 1998, 90, 739–742. [Google Scholar]
- Gerber, M.A.; Thung, S.N. Obituary (Hans Popper, MD, PHD. 24 November 1903–May 6). AJP 1988, 133, 13–14. [Google Scholar]
- Callea, F.; Sergi, C.; Medicina, D.; Pizzorni, S.; Brisigotti, M.; Fabbretti, G.; Bonino, F. From immunohistochemistry to in situ hybridization. Liver 1992, 12, 290–295. [Google Scholar] [CrossRef]
- Zhang, X.; Pham, K.; Li, D.; Schutte, R.J.; Gonzalo, D.H.; Zhang, P.; Oshins, R.; Tan, W.; Brantly, M.; Liu, C.; et al. A novel small molecule inhibits intrahepatocellular accumulation of Z-Variant Alpha 1-Antitrypsin in vitro and in vivo. Cells 2019, 8, 1586. [Google Scholar] [CrossRef]





| A. Hepatic ERSD |
| Alpha-1-antitrypsin deficiency (AATD) |
| Heredirary Hypofibrinogenemia with hepatic storage (HHHS) |
| Alpha-1-antichymotrypsin deficiency (ACTD) |
| B. Extrahepatic CD |
| Synucleopathies: |
| Parkinson’s disease |
| Beta-amyloidosis |
| Dementia with Lewy bodies |
| Multiple system atrophy |
| Prion encephalopathy |
| C. Miscellanea |
| Alpha-2-antiplasmin inhibitor deficiency |
| C3 and C4 complement hepatic storage |
| Lebanese low density lipoprotein receptor defect |
| D. Others |
| Plasmacell Ig storage (Russell bodies) |
Publisher’s Note: MDPI stays neutral with regard to jurisdictional claims in published maps and institutional affiliations. |
© 2021 by the authors. Licensee MDPI, Basel, Switzerland. This article is an open access article distributed under the terms and conditions of the Creative Commons Attribution (CC BY) license (http://creativecommons.org/licenses/by/4.0/).
Share and Cite
Callea, F.; Desmet, V. The Discovery of Endoplasmic Reticulum Storage Disease. The Connection between an H&E Slide and the Brain. Int. J. Mol. Sci. 2021, 22, 2899. https://doi.org/10.3390/ijms22062899
Callea F, Desmet V. The Discovery of Endoplasmic Reticulum Storage Disease. The Connection between an H&E Slide and the Brain. International Journal of Molecular Sciences. 2021; 22(6):2899. https://doi.org/10.3390/ijms22062899
Chicago/Turabian StyleCallea, Francesco, and Valeer Desmet. 2021. "The Discovery of Endoplasmic Reticulum Storage Disease. The Connection between an H&E Slide and the Brain" International Journal of Molecular Sciences 22, no. 6: 2899. https://doi.org/10.3390/ijms22062899
APA StyleCallea, F., & Desmet, V. (2021). The Discovery of Endoplasmic Reticulum Storage Disease. The Connection between an H&E Slide and the Brain. International Journal of Molecular Sciences, 22(6), 2899. https://doi.org/10.3390/ijms22062899

