Abstract
Human papillomavirus (HPV)-independent vulvar squamous cell carcinomas (VSCC) and its precursors frequently harbour TP53 mutations. Recently, six p53 immunohistochemical (IHC) patterns have been defined, which have shown strong correlation with TP53 mutation status. However, few studies have applied this new six-pattern framework and none of them exhaustively compared p53 IHC positivity and patterns between invasive VSCC and adjacent skin lesion. We performed p53 IHC in a series of 779 HPV-independent VSCC with adjacent skin and evaluated the IHC slides following the newly described classification. Some 74.1% invasive VSCC showed abnormal p53 IHC staining. A skin lesion was identified in 450 cases (57.8%), including 254 intraepithelial precursors and 196 inflammatory/reactive lesions. Two hundred and ten of 450 (47%) VSCC with associated skin lesions showed an abnormal p53 IHC stain, with an identical staining pattern between the VSCC and the adjacent skin lesion in 80% of the cases. A total of 144/450 (32%) VSCC showed wild-type p53 IHC both in the invasive VSCC and adjacent skin lesion. Finally, 96/450 (21%) VSCC showed p53 IHC abnormal staining in the invasive VSCC but a wild-type p53 staining in the skin lesion. Most of the discordant cases (70/96; 73%) showed adjacent inflammatory lesions. In conclusion, the p53 IHC staining and pattern are usually identical in the VSCC and the intraepithelial precursor.
1. Introduction
Vulvar squamous cell carcinomas (VSCC) may arise via human papillomavirus (HPV)-associated and -independent pathways [1,2]. Invasive VSCC are commonly preceded by an intraepithelial precursor [1,2], and each type of invasive VSCC, HPV-associated and -independent, has specific precursors with differential morphological and immunohistochemical (IHC) features. The precursor of HPV-associated VSCC, i.e., high-grade squamous intraepithelial lesion (HSIL), is a well-characterized lesion with clear-cut morphological features. In contrast, HPV-independent precursors are more challenging and poorly defined lesions. Several intraepithelial precursors have been described in association with HPV-independent VSCC. They include differentiated vulvar intraepithelial neoplasia (dVIN), the classical precursor of HPV-independent VSCC [3,4,5,6,7,8], but also other new entities that have recently been added to the list of HPV-independent premalignant lesions: HSIL-like lesion [9], also referred to as basaloid dVIN [10], vulvar acanthosis with altered differentiation (VAAD) [11], and the closely related differentiated exophytic vulvar intraepithelial lesion (DEVIL) [12]. Finally, chronic inflammatory skin lesions, such as lichen sclerosus (LS), and other inflammatory/reactive skin lesions, including lichen planus, lichen simplex chronicus, and other lesions, are frequently identified in these patients [13]. The morphologic features of dVIN are subtle [14] and not infrequently overlap with inflammatory lesions [13], vulvar HSIL [9], and VAAD/DEVIL [3].
TP53 mutations are a common finding in HPV-independent VSCC and its classical precursor lesion, dVIN [5,15]. Indeed, recent molecular studies have shown that 40–70% of HPV-independent VSCC and dVIN harbor TP53 mutations [3,4,5,6,7,8]. In contrast, VAAD and DEVIL are rarely associated with TP53 abnormalities [3]. The most recent evidence has shown clear prognostic differences based on TP53 mutated or wild-type status in VSCC [16]. p53 IHC has been used as an adjunct in the identification and classification of HPV-independent VSCC and its precursors [17]. However, the criteria of p53 IHC evaluation have remained poorly defined over the last decades. Recently, a molecularly based p53 IHC interpretation framework has been proposed [18,19], which has shown an excellent correlation with TP53 mutational status [18] and high reproducibility among experienced gynecological pathologists [19]. Importantly, this new p53 IHC interpretation framework has the potential to define the prognostic relevance of TP53 mutation status within HPV-independent VSCC and its precursor intraepithelial lesions.
Only two studies have applied this new six-pattern classification in VSCC and premalignant lesions [19,20], but in both of them the study populations were relatively small. In addition, none of the previous studies have analyzed simultaneously the p53 positivity/negativity and IHC staining pattern in the invasive VSCC and in the associated skin lesion. Thus, the objectives of this study are: (1) to examine the spectrum of p53 IHC patterns in a large series of well-characterized HPV-independent VSCC (HPV DNA-negative and p16-negative) with adjacent skin, and (2) to correlate the p53 IHC staining pattern in the invasive VSCC and in the adjacent skin lesions.
2. Results
Overall, 577/779 invasive VSCC (74.1%) showed an abnormal p53 IHC staining, and 202/779 (25.9%) showed wild-type p53 expression. Parabasal/diffuse (373 tumors, 47.8%), followed by basal overexpression (130 tumors, 16.7%) were the most frequent abnormal patterns observed. Null pattern was observed in 66 cases (11.4%), whereas cytoplasmic staining was identified only in eight VSCC (1.4%). The percentage of invasive VSCC with abnormal patterns of p53 IHC was significantly higher in cases arising in normal skin compared with VSCC with adjacent skin lesion (82.4% vs. 68.0%; p < 0.001).
Four hundred and fifty out of 779 cases (57.8%) showed at least one adjacent skin abnormality, and in 329 cases (42.2%) no skin lesions were identified. Intraepithelial precursors were identified in 254 cases (32.6%). dVIN was the most frequent intraepithelial precursor identified (186/779, 23.9%), followed by HSIL-like lesions (n = 46, 5.9%) and VAAD/DEVIL (n = 22, 2.8%). LS was identified in 36 cases (4.6%). Finally, other inflammatory/reactive lesions were recognized in 160 cases (20.5%). LS was identified as an accompanying lesion in 64 cases (25.2%) with intraepithelial lesions. An abnormal p53 IHC staining was identified in 129/186 (69.3%) of the dVIN, 34/46 (73.9%) of the HSIL-like lesions, 9/22 (40.9%) of VAAD/DEVIL, 9/36 (25.0%) LS, and 29/160 (18.1%) of inflammatory/reactive lesions.
Table 1 shows the p53 IHC patterns identified in the different intraepithelial precursors and inflammatory lesions. Parabasal/diffuse or basal overexpression were the most frequent p53 IHC pattern observed in dVIN and HSIL-like lesions, but 30.7% and 26.1% of these lesions, respectively, showed wild-type p53 expression. Wild-type scattered staining was the most frequent p53 IHC pattern in VAAD/DEVIL cases, but 40.9% of the cases showed basal or parabasal overexpression. Normal skin showed wild-type scattered pattern in all cases, although staining was frequently limited to only few cells. Representative examples of abnormal and wild-type p53 IHC patterns in the different intraepithelial and inflammatory lesions are shown in the Figure 1 and Figure 2.
Table 1.
Immunohistochemical expression of p53 in the different intraepithelial lesions adjacent to vulvar squamous cell carcinoma (VSCC).
Figure 1.
Examples of abnormal and wild-type p53 immunohistochemical expression in the two types of intraepithelial lesions. (A–E) Differentiated vulvar intraepithelial neoplasia (dVIN), and (F–J) high-grade squamous intraepithelial-like lesion (HSIL-like). Each column shows, respectively, the following pattern: First column, parabasal overexpression; second column, basal overexpression; third column, null; fourth column, cytoplasmic; fifth column, wild-type scattered pattern (p53 IHC immunostaining with hematoxylin counterstain, original magnification: 100×).
Figure 2.
Examples of abnormal and wild-type p53 immunohistochemical expression in vulvar acanthosis with altered differentiation (VAAD), lichen sclerosus (LS) and inflammatory/reactive lesions. (A,G) Parabasal/diffuse patterns; (B,D,H) basal pattern; (E) null pattern (with wild-type staining in the hair follicle on the left); (C,F,I) wild-type scattered staining. (p53 IHC immunostaining with hematoxylin counterstain, original magnification: 100×).
Table 2 shows correlation of the p53 IHC patterns between invasive VSCC and their respective adjacent skin lesions in 450 VSCC. Two hundred and ten out of 450 VSCC (46.6%) had abnormal p53 staining both in the adjacent skin lesion and in the invasive component. The type of an abnormal p53 IHC pattern in the invasive VSCC and in the skin lesion was identical in 80% of the cases (168/210). Discrepancies in the abnormal p53 IHC pattern were only observed between basal and parabasal/diffuse overexpression, whereas all invasive VSCC with null or cytoplasmic abnormal patterns had the same pattern in the surrounding skin lesion. One hundred and forty-four VSCC out of 450 (32.0%) had a wild-type p53 IHC both in the invasive tumor and adjacent skin lesion, with p53 pattern being coincident in all cases. Finally, 96 cases (21.3%) showed an abnormal p53 staining in the invasive VSCC and a discordant, wild-type p53 IHC expression in the adjacent skin lesion (16 dVIN, seven HSIL-like lesions, three VAAD/DEVIL, and 70 inflammatory lesions). Figure 3 shows two examples of discordant p53 IHC patterns between the intraepithelial lesion and the VSCC.
Table 2.
Correlation of the p53 immunohistochemical patterns between the invasive squamous cell carcinoma of the vulva and the adjacent skin lesions in the 450 vulvar squamous cell carcinoma (VSCC) with abnormal skin. The cases in which the pattern of p53 expression in the invasive carcinoma and in the associated skin lesion is coincident are in bold and highlighted in grey (diagonal of coincidence).
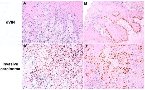
Figure 3.
Two cases with discordant p53 immunohistochemical patterns between intraepithelial lesion and adjacent invasive carcinoma. (A): Differentiated vulvar intraepithelial neoplasia (dVIN) showing wild-type scattered p53 pattern; (A’) invasive carcinoma from the same case with p53 parabasal overexpression; (B): dVIN with p53 basal staining; (B’) invasive component from the same case showing p53 parabasal overexpression (p53 IHC immunostaining with hematoxylin counterstain, original magnification: 100× (A,B,B’) and 200× (A’)).
3. Discussion
Our study provides a representative picture of the distribution of the p53 IHC patterns in a large unselected sample of HPV-independent VSCC from a wide geographic origin. To our knowledge, only one study has applied the newly introduced six-pattern framework [19], predominantly in HPV-negative VSCC, but, unlike the present report, it did not provide the real distribution of the p53 IHC patterns due to pre-selection of cases. Moreover, the staining patterns of lesions with unusual morphology have not been previously explored. Other studies evaluating p53 IHC in VSCC and/or intraepithelial precursors were conducted before the six-pattern framework was introduced [21,22,23,24,25]. Thus, these studies did not recognize the newly introduced patterns, such as mid-epithelial or cytoplasm staining, and the basal pattern was not specifically recognized either, although at least some of them, were reported as abnormal [21,22,23,24]. Some of these studies only evaluated p53 IHC as positive or negative [6,22]. Therefore, comparisons with other studies might be biased in terms of pattern distribution. Indeed, whereas the overall frequency of p53 abnormal p53 IHC patterns in VSCC in our study (74.1%) is similar to the rates reported in the two recent studies that applied the six-pattern framework [18,19], they are higher than the percentages reported in previous studies that did not use this scheme [5,21,25,26]. Notably, the recent studies that have introduced [18] or applied [19] the new six-pattern framework, have shown a lower frequency of basal overexpression pattern (<5% and 12%, respectively) compared with our study (17%), whereas the rates of parabasal, null, and wild-type patterns are similar. The pre-selection of unusual patterns in the abovementioned studies might explain these differences. Remarkably, our study shows higher rates of p53 abnormalities in VSCC with no adjacent skin lesions. These differences might be casual and must be interpreted with caution as only one block was available for revision for each case. On the other hand, no series has specifically compared these two groups of cases. Further studies focused in confirming this finding are warranted.
Notably, the correlation of p53 IHC staining pattern in the invasive VSCC and in the synchronic adjacent skin lesion has been poorly evaluated in the previous literature. Recent evidence suggests that the abnormal p53 IHC staining in the skin lesion consistently matches with that of the adjacent invasive VSCC [3]. In keeping with these findings, in our study all invasive VSCC with wild-type p53 patterns had a wild-type p53 expression in the adjacent skin lesion. Moreover, when an abnormal pattern of p53 expression was observed in the VSCC the same pattern was identified in the skin lesion in 80% of the cases, with discrepancies only observed between basal and parabasal/diffuse overexpression. These basal/parabasal abnormal pattern’s variations are probably not relevant, as both basal and suprabasal patterns are consistently associated with TP53 missense mutation [18]. On the other hand, 31.4% of the invasive VSCC with abnormal p53 expression and adjacent skin lesion, showed a wild-type p53 IHC expression in the skin lesion. However, most of these p53 wild-type skin lesions adjacent to mutant p53-VSCC were inflammatory/reactive lesions, thus, probably not clonally related to the tumor. It is noteworthy that dVIN or HSIL-like lesions with discordant staining pattern comprised only 5% of the total 450 cases. Indeed, a recent study has identified also a small proportion of dVIN that did not harbor TP53 mutation in contrast with the invasive VSCC [3]. Interestingly, another study that identified a few p53 IHC wild-type dVIN lesions giving rise to a p53 IHC abnormal invasive VSCC, showed that the dVIN did harbor TP53 mutations identical to those in the invasive tumor [18]. On the other hand, it has been hypothesized that p53 IHC overexpression might occur late in the progression of vulvar tumorigenesis [27].
In keeping with other series [18,19], mid-epithelial and cytoplasmic p53 IHC patterns were exceedingly rare in our study. Interestingly, only one lesion showed mid-epithelial pattern. This lesion was an HSIL-like lesion, previously described by our group [9,10]. Indeed, this type of staining is rare and has been recently noted in previous studies, mainly in HPV-associated VSCC and precursors [18,28,29]. Although it has been proposed that the mid-epithelial pattern is caused by senescence of HPV-infected tumor cells [29], it has also been rarely reported in HPV-independent VSCC [19]. On the other hand, the two cases with cytoplasmic staining were identified in VSCC with HSIL-like lesion and dVIN. Contrarily, other recent series only identified this pattern in a few VSCC without skin [19] or did not identify it in any of the cases [17].
Surprisingly, 40.9% of our VAAD/DEVIL lesions exhibited p53 IHC abnormal patterns of expression, mostly basal or parabasal pattern. These newly described entities, VAAD and DEVIL, are still controversial as little evidence is available [5,11,12]. In this regard, although the most recent study did not report any TP53 mutations in VAAD or DEVIL [3,12,30], Nooij et al. identified TP53 abnormality in one out of seven VAAD lesions [5].
Finally, similarly to other studies [17,31], we also identified a small proportion of LS and inflammatory/reactive lesions with p53 abnormal staining. However, accumulating evidence suggests that LS do not harbor TP53 mutations [31,32] and p53 IHC abnormalities in these cases might be associated with ischemic stress [31]. Likewise, it is not uncommon for inflammatory/reactive lesions to show p53 alterations not related to mutation [17]. Lastly, although some authors have reported a complete absence of p53 staining in normal skin [33], we have identified scattered wild-type staining in all normal skin, although in some cases, it was limited to one to two cells.
One of the main strengths of the study is the inclusion of a large number of HPV-independent VSCC with cases collected from the five continents. Secondly, both histology and IHC analysis were performed in a centralized manner. There are also significant limitations in our study. The main weakness is that TP53 mutational analysis was not performed. However, recent studies have shown the new p53 IHC interpretation framework has shown to be highly correlated with TP53 mutational status, with 95% concordance in VSCC and 93% in intraepithelial lesions [18]. Secondly, only one paraffin block was available per case, and consequently, some cases considered as arising on normal skin could harbor an intraepithelial lesion in a different area, not represented in the study block. In addition, the fact that the cases were collected in different laboratories with variable fixation protocols might have affected in some degree the p53 staining distribution. Finally, the complete absence of any clinical and follow-up data prevents any prognostic correlation of the findings of this study.
In conclusion, our study provides a reliable picture of the prevalence of the different p53 IHC patterns in a large unselected sample of HPV-independent VSCC from a wide geographic origin and confirms the percentages provided in recent molecular-based studies. The study corroborates previous findings that the pattern of p53 IHC is usually similar in VSCC and the associated premalignant lesion. Finally, our series shows the need of additional studies addressing the TP53 mutational profiles in VSCC and intraepithelial lesions with concordant and discrepant p53 IHC patterns and in cases with unusual morphological features.
4. Materials and Methods
4.1. Case Selection
A series of 1709 invasive VSCCs included in the VVAP study (international survey on HPV prevalence and type distribution in vulvar, vaginal, anal, and penile neoplasms) was reviewed. The series, which has been described in detail elsewhere [34], includes cases from 38 countries from the five continents (Mali, Mozambique, Nigeria, and Senegal in Africa; Argentina, Brazil, Chile, Colombia, Ecuador, Guatemala, Honduras, Mexico, Paraguay, Uruguay, the United States, and Venezuela in the Americas; Bangladesh, India, Israel, South Korea, Kuwait, Lebanon, Philippines, Taiwan, and Turkey in Asia; Austria, Belarus, Bosnia-Herzegovina, Czech Republic, France, Germany, Greece, Italy, Poland, Portugal, Spain, and the United Kingdom in Europe and Australia and New Zealand in Oceania). The study was approved by theCatalan Institute of OncologyEthics Committee (ref 91/07; date 10/05/2007).
All VSCC fulfilling the following inclusion criteria were included in the study: (1) Negative result for HPV detection by polymerase chain reaction (PCR); (2) negative result for p16 IHC in the invasive tumor; and (3) presence of at least 1 cm of skin surrounding or overlying the invasive tumor.
From 1709 VSCC included in the VVAP study, 1060 were HPV negative and p16 negative. Of them, 281 cases were excluded because no skin, or less than 1 cm of adjacent skin was available for revision. Overall, 779 cases fulfilled the inclusion criteria and were included in the analysis. The study algorithm is shown in Figure 4.
Figure 4.
The study algorithm and results of histological and p53 immunohistochemical (IHC) evaluation of the adjacent skin and invasive vulvar squamous cell carcinoma (VSCC).
4.2. Tissue Preparation, Nucleic-Acid Isolation, and Human Papillomavirus (HPV) DNA Detection
DNA extraction was performed on whole sections of formalin-fixed paraffin-embedded tissue from surgical specimens or vulvar biopsies as previously described [35]. No microdissection was performed; in all cases, the analyzed tissue included the invasive tumor and the adjacent skin with the inflammatory and/or premalignant lesions, if present. Sectioning and sample preparation were carried out with the highest safety measures to avoid cross-contamination. Processing and pathology diagnosis were done by the ICO laboratory.
HPV DNA detection and typing were performed using SPF10 PCR, DEIA and the LiPA25 system (version 1, Labo Biomedical Products, Rijswijk, The Netherlands) as previously described [22]. Briefly, LiPA25 can be used to detect 25 high-risk and low-risk HPV types (6, 11, 16, 18, 31, 33, 34, 35, 39, 40, 42, 43, 44, 45, 51, 52, 53, 54, 56, 58, 59, 66, 68, 70, and 74). Each run contained negative and positive controls to monitor the efficiency of DNA isolation, PCR amplification, hybridization, and genotyping procedures.
4.3. Histological Evaluation
A single histological slide of each tumor was available for review. The squamous epithelium adjacent to the neoplasms was carefully evaluated in search of associated precursor lesions or inflammatory/reactive skin abnormalities. In order to establish the diagnosis of intraepithelial lesion, the lesion had the peripheral extension for at least 1 cm away from the invasive carcinoma to rule out possible peripheral intraepithelial extension of the invasive tumor [9,36].
Intraepithelial precursors included (1) dVIN, (2) HSIL-like lesions, and 3) VAAD/DEVIL. As inflammatory skin lesions we included LS as a separate category, but any other inflammatory/reactive skin conditions, including lichen simplex chronicus, lichen planus, and other non-specific inflammatory and/or reactive abnormalities, were grouped as a single category. The diagnosis of dVIN was based on the presence of atypical keratinocytes limited to the basal and parabasal layers in the context of a fully differentiated epithelium [14]. HSIL-like lesion was diagnosed based on the finding of small atypical cells throughout the epidermis, with a marked architectural disarray (basaloid subtype), by the presence of epidermis with wide and deep rete ridges, pleomorphism and easily recognizable koilocytic-like changes (warty subtype), or by the presence of combined basaloid and warty features (mixed basaloid/warty subtype) [9]. VAAD was diagnosed by absence of atypia and the presence of prominent acanthosis with variable verruciform architecture, loss of the granular cell layer with superficial epithelial cell pallor, and multilayered parakeratosis [11]; DEVIL’s diagnosis implied, in addition, focal preservation of granular layer and more striking parakeratosis [12]. VAAD and DEVIL lesions were grouped into a single category as VAAD/DEVIL. LS was diagnosed on the basis of homogenization of the collagen of the papillary dermis, alongside with other features described elsewhere [37]. The adjacent skin was considered normal in the absence of any intraepithelial precursor, LS, or any other premalignant or inflammatory/reactive skin lesions.
All 779 cases included in the VVAP study were evaluated by two pathologists (N.R. and J.O.). This evaluation was blind to the HPV detection and IHC results. The morphological evaluation included tumor subtype and characteristics of the adjacent skin with identification of inflammatory and/or intraepithelial precursors (if present). All discrepant results were reviewed in an adjudication meeting and a final diagnosis was established by consensus between the reviewers.
4.4. p53 Immunohistochemical (IHC)
IHC stainings were performed with the automated system TechMate 500 (Dako, Carpinteria, CA, USA), using the EnVision system (Dako). p53 was detected with the monoclonal antibody (clone DO-7; Dako, Carpinteria, CA, USA). Briefly, 4 μm sections were deparaffinized and hydrated through graded alcohols and water. Peroxidase was blocked for 7.5 min in ChemMate peroxidase-blocking solution (Dako). Then, the slides were incubated with the primary antibodies for 30 min and washed in ChemMate buffer solution (Dako). Then, the peroxidase-labeled polymer was applied for 30 min. After washing in ChemMate buffer solution, the glass slides were incubated with the diaminobenzidine substrate chromogen solution, washed in water, counterstained with hematoxylin, washed, dehydrated, and mounted. A positive control consisting of an ovarian serous papillary carcinoma was included in each section.
The staining was evaluated separately in the invasive tumor and in the adjacent skin. Figure 1 summarizes simplified flow of all the steps of the p53 IHC evaluation, and the stratification of the cases based on the histological findings. The evaluation was performed following recent p53 IHC pattern-based interpretation framework [18,19]. Briefly, p53 IHC staining was classified into six major categories: two normal (wild-type) and four abnormal (mutant) patterns. Wild-type patterns included: (1) scattered and (2) mid-epithelial (basal sparing) staining. Scattered pattern was defined as heterogeneous, dispersed nuclear staining in the basal and/or parabasal layer. Mid-epithelial pattern was diagnosed when there was moderate to strong nuclear p53 staining in the parabasal layers staining, with notable basal sparing. Abnormal (mutant) p53 staining patterns were classified into (1) basal overexpression, (2) parabasal (diffuse) overexpression, (3) null, and (4) cytoplasmic patterns. Basal pattern was defined as continuous, strong nuclear staining of basal layer. The same basal staining but with suprabasal extension was classified as p53 parabasal (diffuse). The p53 null pattern was characterized by a complete absence of staining in the tumor and/or intraepithelial lesion. Finally, diffuse cytoplasmic staining with or without nuclear expression was classified as a cytoplasmic pattern. The null and cytoplasmic patterns required an intrinsic positive control (non-lesional skin, stromal, or inflammatory cells) [8].
Author Contributions
Conceptualization, N.R., J.O., and M.d.P.; data curation, L.A., S.d.S., M.T.R.-C., O.C., B.Q., and J.G.; formal analysis, M.d.P., L.M., N.V., and M.P.; methodology, A.S., I.R.-C., M.A., and B.L.; writing—original draft, N.R. and J.O.; writing—review and editing, A.T., M.T.R.-C., M.M., and W.Q. All authors have read and agreed to the published version of the manuscript.
Funding
The research was funded in part by Spanish Institute of Health Carlos III (ISCIII) and ERDF “One way to Europe” (PI17/00772).
Acknowledgments
HPV VVAP study group for vulvar site: Argentina: Myriam Perrotta, Ana Jaen (Hospital Italiano de Buenos Aires). Australia: Suzanne M Garland, Sepher N Tabrizi (The Royal Women′s Hospital, The University of Melbourne); Gerard Vincent Wain, Catherine Jane Kennedy, Yoke‐Eng Chiew (Gynaecological Oncology, Westmead Hospital); Raghwa Sharma (Department of Tissue Pathology and Diagnostic Oncology, University of Sydney and University of Western Sydney Westmead Hospital). Austria: Elmar Armin Joura (University Hospital and Medical School); Josefine Stani and Reinhard Horvat, MD (Medical University and General Hospital Vienna, Austria). Bangladesh: Ashrafun Nessa, AJE Nahar Rahman, Mohammed Kamal (Bangabandhu Sheikh Mujib Medical University – BSMMU); Faruk Ahmed (Dhaka Medical College Hospital). Belarus: Halina Viarheichyk, Sitnikov Valeriy (Gomel State Medical University); Achynovich Searhei (Gomel Regional Clinical Oncological Hospital). Bosnia Herzegovina: Ermina Iljazovic (University Clinical Center Tuzla BiH). Brazil: Paula Maldonado, Gutemberg Leão Almeida, Isabel Val, Renata Fonseca, Roberto José Lima, Marcia Mannarino, Yara Furtado (Instituto de Ginecologia da Universidad Federal do Rio de Janeiro). Chile: Rodrigo Prado, Carla Molina, Rosa Muñoz (Centro de Oncología Preventiva, Facultad de Medicina, Universidad de Chile); Ximena Rodriguez, Marisol Guerrero, Virginia Leiva, Elsa Olave, Claudia Ramis, Viviana Toro (Hospital de San José). Colombia: Raúl Murillo, Gustavo Adolfo Hernández Suárez, Carlos Eduardo Pinzón, Nubia Muñoz (Instituto Nacional de Cancerología). Czech Republic: Václav Mandys (3rd Faculty of Medicine and University Hospital King′s Wineyards, Prague); Jan Laco (Faculty Hospital Hradec Kralove). Ecuador: Leopoldo Tinoco, Hospital Oncológico de Quito, Quito, Ecuador. France: Christine Clavel, Philippe Birembaut, Veronique Dalstein (CHU de Reims, Laboratoire Pol Bouin/INSERM UMR‐S 903, Reims); Christine Bergeron (Laboratoire Cerba, Department de Pathology, Cergy Pontoise); Massimo Tommasino (International Agency for Research on Cancer). Germany: Monika Hampl, Prof. Baldus (Department of Obstetrics and Gynecology, Heinrich Heine University of Duesseldorf, Duesseldorf, Germany); Karl Ulrich Petry, Alexander Luyten (Klinikum Wolfsburg); Michael Pawlita, Gordana Halec, Daniela Hoefler, Dana Holzinger (German Cancer Research Center, Division of Molecular Diagnostics of Oncogenic Infections, Heidelberg, Germany). Greece: Theodoros Agorastos (Aristotle University of Thessaloniki). Guatemala: Luis Estuardo Lombardi, Edgar Kestler, Obdulia Salic, Sergio Marroquin, Victor Argueta (Centro de Investigación Epidemiológica en Salud Sexual y Reproductiva‐CIESAR, Hospital General San Juan de Dios); Walter Guerra (Instituto Nacional del Cáncer); Hesler Morales (Instituto Guatemalteco de Seguridad Social, Instituto Nacional del Cáncer). Honduras: Annabelle Ferrera (Escuela de Microbiología, Universidad Nacional Autónoma de Honduras); Odessa Henríquez and Silvia Portillo (Instituto Nacional Cardiopulmonar en Tegucigalpa). India: Neerja Bhatla (All India Institute of Medical Sciences, New Delhi‐110029, India). Israel: Jacob Bornstein, Alejandro Livoff, Hector Itzhac Cohen (Western Galilee Hospital‐ Nahariya). Italy: Luciano Mariani, Amina Vocaturo, Maria Benevolo, Fernando Marandino, Francesca Rollo (Regina Elena Cancer Istitute). Korea‐South: Hai‐Rim Shin, Jin‐Kyung Oh (National Cancer Center); Shin Gwang Kang (Asian Medical Center); Dong‐chul Kim (Kangnam St. Mary′s Hospital). Kuwait: Waleed Al‐Jassar (Faculty of Medicine, Kuwait University), Rema′a Al‐Safi (Maternity Hospital). Lebanon: Muhieddine Seoud (The American University of Beirut Medical Center). Mali: Bakarou Kamate, Cathy Ndiaye (Hospital National DU Point G). Mexico: Isabel Alvarado‐Cabrero (Instituto Mexicano del Seguro Social); Rubén López‐Revilla, Claudia Magaña‐León (Instituto Potosino de Investigación Científica y Tecnológica, AC); Cuauhtémoc Oros (Hospital Central Ignacio Morones Prieto, San Luis Potosí). Mozambique: Carla Carrilho (Eduardo Mondlane University). New Zealand: Susan M Bigby (Middlemore Hospital), Lois J Eva, Ronald W Jones, (Auckland City Hospital). Nigeria: Adekunbiola AF Banjo, FB Abdulkareem, AO Daramola, CC Anunobi, RU Anorlu (Lagos University Teaching Hospital Idi‐Araba); Sani Malami, Ali Bala Umar (Faculty of Medicine, Bayero University). Paraguay: Elena Kasamatsu, Antonio Leopoldo Cubilla, Francisco Perrota (Instituto de Investigaciones en Ciencias de la Salud, Universidad Nacional de Asunción) Instituto de Patología e Investigación. Philippines: Celia Ladines Llave, Jean Anne Toral (Cervical Cancer Prevention Center‐CECAP, Cancer Institute (UP‐CM‐PGH)); Efren J Domingo, Maria Julieta V Germar, Jerico Thaddeus, P Luna, Arnold M Fernandez, Carolyn Zalameda Castro, Roslyn Balacuit (University of the Philippine College of Medicine General Hospital). Poland: Andrzej Marcin Nowakowski (Medical University of Lublin); Robert Jach, Jolanta Orlowska‐Heitzman, Monika Kabzinska‐Turek, Paulina Przybylska, Marzena kula‐Prykan (Jagiellonian University Medical College). Portugal: Eugenia Cruz (Instituto Portugués de Oncologia de Coimbra, Francisco Gentil – Coimbra, Portugal); Ana Félix (Instituto Portugues de Oncologia de Lisboa Francisco Gentil). Senegal: Cathy Ndiaye, Nafissatou Ndiaye Ba, Victorino Mendes (HOGGY stands for Hôpital Général de Grand Yoff; DANTEC—Hôpital A Le Dantec; FAC—Faculté de Médecine, Université Cheikh A Diop). Spain: Maria Alejo, Ana Mulero (Hospital General d′Hospitalet); Belén Lloveras (Hospital del Mar); Laia Alemany, F Xavier Bosch, Ignacio Bravo, Vanesa Camón, Xavier Castellsagué, Omar Clavero, Silvia de Sanjosé, Ion Espuña, Ana Esteban, Jose M Godínez, Yolanda Florencia, Joellen Klaustermeier, Nubia Muñoz, Nati Patón, Beatriz Quirós, Maëlle Saunier, Cristina Rajo, Sara Tous, Marleny Vergara (IDIBELL, Institut Català d′Oncologia – Catalan Institute of Oncology), August Vidal, Enric Condom (Hospital Universitari de Bellvitge), Jaume Ordi (Hospital Clínic), Julio Velasco, Cristina Pérez (Hospital San Agustín). Taiwan: Chou Cheng‐Yang (National Cheng Kung University Medical College, Taiwan Association of Gynecologic Oncologists); Tang‐Yuan Chu (Buddhist Tzuchi Genral Hospital); Kuo‐Feng Huang (Chi Mei Medical Center); Cheng Wen‐Fang (National Taiwan University Hospital); Chih‐Ming Ho (Gynecologic Cancer Center, Cathay General Hospital). The Netherlands: Wim Quint, Anco C Molijn, Daan T Geraets, Nuria Guimera (DDL Diagnostic Laboratory); (Chris JLM Meijer (Vrije Universiteit Medical Center). Turkey: Alp Usubutun (Hacettepe University). United Kingdom: Henry Kitchener, Godfrey Wilson (School of Medicine, University of Manchester); Paul Cross (Queen Elizabeth Hospital, Sheriff Hill). Uruguay: Adela Rosa Sica, Benedicta Caserta, Mabel Cedeira, Daniel Mazal, Guillermo Rodríguez (Laboratorio de Anatomía patológica del hospital de la Mujer, Montevideo). USA: Wendy Cozen (Los Angeles, CA); Marc T Goodman and Brenda Y Hernández (Hawaii); Charles F Lynch, Daniel B Olson, Freda R Selk (Iowa). Venezuela: Victoria García Barriola, Mirian Naranjo de Gómez, Adayza Figueredo, Janira Navarro (Universidad Central de Venezuela).
Conflicts of Interest
The authors declare no conflict of interest.
References
- del Pino, M.; Rodriguez-Carunchio, L.; Ordi, J. Pathways of vulvar intraepithelial neoplasia and squamous cell carcinoma. Histopathology 2013, 62, 161–175. [Google Scholar] [CrossRef] [PubMed]
- Nitecki, R.; Feltmate, C.M. Human papillomavirus and nonhuman papillomavirus pathways to vulvar squamous cell carcinoma: A review. Curr. Probl. Cancer 2018, 42, 476–485. [Google Scholar] [CrossRef] [PubMed]
- Tessier-Cloutier, B.; Pors, J.; Thompson, E.; Ho, J.; Prentice, L.; McConechy, M.; Aguirre-Hernandez, R.; Miller, R.; Leung, S.; Proctor, L.; et al. Molecular characterization of invasive and in situ squamous neoplasia of the vulva and implications for morphologic diagnosis and outcome. Mod. Pathol. 2020. [Google Scholar] [CrossRef] [PubMed]
- Trietsch, M.D.; Nooij, L.S.; Gaarenstroom, K.N.; van Poelgeest, M.I.E. Genetic and epigenetic changes in vulvar squamous cell carcinoma and its precursor lesions: A review of the current literature. Gynecol. Oncol. 2015, 136, 143–157. [Google Scholar] [CrossRef] [PubMed]
- Nooij, L.S.; Ter Haar, N.T.; Ruano, D.; Rakislova, N.; van Wezel, T.; Smit, V.T.; Trimbos, B.J.; Ordi, J.; Van Poelgeest, M.I.; Bosse, T. Genomic Characterization of Vulvar (Pre)cancers Identifies Distinct Molecular Subtypes with Prognostic Significance. Clin. Cancer Res. 2017, 23, 6781–6789. [Google Scholar] [CrossRef] [PubMed]
- Zięba, S.; Pouwer, A.F.W.; Kowalik, A.; Zalewski, K.; Rusetska, N.; Bakuła-Zalewska, E.; Kopczyński, J.; Pijnenborg, J.M.A.; de Hullu, J.A.; Kowalewska, M. Somatic mutation profiling in premalignant lesions of vulvar squamous cell carcinoma. Int. J. Mol. Sci. 2020, 21, 4880. [Google Scholar] [CrossRef] [PubMed]
- Pinto, A.P.; Miron, A.; Yassin, Y.; Monte, N.; Woo, T.Y.C.; Mehra, K.K.; Medeiros, F.; Crum, C.P. Differentiated vulvar intraepithelial neoplasia contains Tp53 mutations and is genetically linked to vulvar squamous cell carcinoma. Mod. Pathol. 2010, 23, 404–412. [Google Scholar] [CrossRef]
- Singh, N.; Leen, S.L.; Han, G.; Faruqi, A.; Kokka, F.; Rosenthal, A.; Jiang, X.R.; Kim, R.; McAlpine, J.N.; Gilks, C.B. Expanding the morphologic spectrum of differentiated VIN (dVIN) through detailed mapping of cases with p53 loss. Am. J. Surg. Pathol. 2015, 39, 52–60. [Google Scholar] [CrossRef]
- Rakislova, N.; Alemany, L.; Clavero, O.; Del Pino, M.; Saco, A.; Marimon, L.; Quirós, B.; Lloveras, B.; Ribera-Cortada, I.; Alejo, M.; et al. HPV-independent Precursors Mimicking High-grade Squamous Intraepithelial Lesions (HSIL) of the Vulva. Am. J. Surg. Pathol. 2020, 44, 1506–1514. [Google Scholar] [CrossRef]
- Ordi, J.; Alejo, M.; Fusté, V.; Lloveras, B.; Del Pino, M.; Alonso, I.; Torné, A. HPV-negative vulvar intraepithelial neoplasia (VIN) with basaloid histologic pattern: An unrecognized variant of simplex (differentiated) VIN. Am. J. Surg. Pathol. 2009, 33, 1659–1665. [Google Scholar] [CrossRef]
- Nascimento, A.F.; Granter, S.R.; Cviko, A.; Yuan, L.; Hecht, J.L.; Crum, C.P. Vulvar Acanthosis with Altered Differentiation: A Precursor to Verrucous Carcinoma? Am. J. Surg. Pathol. 2004, 28, 638–643. [Google Scholar] [CrossRef] [PubMed]
- Watkins, J.C.; Howitt, B.E.; Horowitz, N.S.; Ritterhouse, L.L.; Dong, F.; Macconaill, L.E.; Garcia, E.; Lindeman, N.I.; Lee, L.J.; Berkowitz, R.S.; et al. Differentiated exophytic vulvar intraepithelial lesions are genetically distinct from keratinizing squamous cell carcinomas and contain mutations in PIK3CA. Mod. Pathol. 2017, 30, 448–458. [Google Scholar] [CrossRef] [PubMed]
- Hoang, L.N.; Park, K.J.; Soslow, R.A.; Murali, R. Squamous precursor lesions of the vulva: Current classification and diagnostic challenges. Pathology 2016, 48, 291–302. [Google Scholar] [CrossRef] [PubMed]
- Reutter, J.C.; Walters, R.A.; Selim, M.A. Differentiated Vulvar Intraepithelial Neoplasia: What Criteria Do We Use in Practice? J. Low. Genit. Tract Dis. 2016, 20, 261–266. [Google Scholar] [CrossRef] [PubMed]
- Prieske, K.; Alawi, M.; Oliveira-Ferrer, L.; Jaeger, A.; Eylmann, K.; Burandt, E.; Schmalfeldt, B.; Joosse, S.A.; Woelber, L. Genomic characterization of vulvar squamous cell carcinoma. Gynecol. Oncol. 2020, 158, 547–554. [Google Scholar] [CrossRef]
- Kortekaas, K.E.; Bastiaannet, E.; van Doorn, H.C.; van Steenwijk, P.J.D.V.; Ewing-Graham, P.C.; Creutzberg, C.L.; Akdeniz, K.; Nooij, L.S.; Van Der Burg, S.H.; Bosse, T.; et al. Vulvar cancer subclassification by HPV and p53 status results in three clinically distinct subtypes. Gynecol. Oncol. 2020. [Google Scholar] [CrossRef] [PubMed]
- Liu, Y.; Ji, J.; Almadani, N.; Crawford, R.; Gilks, C.; Kinloch, M.; Hoang, L. Comparison of p53 Immunohistochemical Staining in Differentiated Vulvar Intraepithelial Neoplasia (dVIN) to Inflammatory Dermatoses and Benign Squamous Lesions in the Vulva. Histopathology 2020, 14238, his.14238. [Google Scholar] [CrossRef] [PubMed]
- Tessier-Cloutier, B.; Kortekaas, K.E.; Thompson, E.; Pors, J.; Chen, J.; Ho, J.; Prentice, L.M.; McConechy, M.K.; Chow, C.; Proctor, L.; et al. Major p53 immunohistochemical patterns in in situ and invasive squamous cell carcinomas of the vulva and correlation with TP53 mutation status. Mod. Pathol. 2020, 33, 1595–1605. [Google Scholar] [CrossRef] [PubMed]
- Kortekaas, K.E.; Solleveld-Westerink, N.; Tessier-Cloutier, B.; Rutten, T.A.; I E Van Poelgeest, M.; Gilks, C.B.; Hoang, L.N.; Bosse, T. Performance of the Pattern Based Interpretation of p53 Immunohistochemistry as a Surrogate for TP53 Mutations in Vulvar Squamous Cell Carcinoma. Histopathology 2020, 77, 92–99. [Google Scholar] [CrossRef]
- Thompson, E.F.; Chen, J.; Huvila, J.; Pors, J.; Ren, H.; Ho, J.; Chow, C.; Ta, M.; Proctor, L.; McAlpine, J.N.; et al. p53 Immunohistochemical patterns in HPV-related neoplasms of the female lower genital tract can be mistaken for TP53 null or missense mutational patterns. Mod. Pathol. 2020, 33, 1649–1659. [Google Scholar] [CrossRef]
- Santos, M.; Montagut, C.; Mellado, B.; Garcia, A.; Cajal, S.; Cardesa, A.; Puig-Tintoré, L.M.; Ordi, J. Immunohistochemical staining for p16 and p53 in premalignant and malignant epithelial lesions of the vulva. Int. J. Gynecol. Pathol. 2004, 23, 206–214. [Google Scholar] [CrossRef]
- Barlow, E.L.; Lambie, N.; Donoghoe, M.W.; Naing, Z.; Hacker, N.F. The Clinical Relevance of p16 and p53 Status in Patients with Squamous Cell Carcinoma of the Vulva. J. Oncol. 2020, 3739075. [Google Scholar] [CrossRef] [PubMed]
- Hay, C.M.; Lachance, J.A.; Lucas, F.L.; Smith, K.A.; Jones, M.A. Biomarkers p16, HPV, and p53 Predict Recurrence and Survival in Early Stage Squamous Cell Carcinoma of the Vulva. J. Low. Genit. Tract Dis. 2016, 20, 252–256. [Google Scholar] [CrossRef]
- Dong, F.; Kojiro, S.; Borger, D.R.; Growdon, W.B.; Oliva, E. Squamous Cell Carcinoma of the Vulva: A Subclassification of 97 Cases by Clinicopathologic, Immunohistochemical, and Molecular Features (p16, p53, and EGFR). Am. J. Surg. Pathol. 2015, 39, 1045–1053. [Google Scholar] [CrossRef]
- Rosenthal, A.N.; Hopster, D.; Ryan, A.; Jacobs, I.J. Immunohistochemical analysis of p53 in vulval intraepithelial neoplasia and vulval squamous cell carcinoma. Br. J. Cancer 2003, 88, 251–256. [Google Scholar] [CrossRef] [PubMed]
- Choschzick, M.; Hantaredja, W.; Tennstedt, P.; Gieseking, F.; Wölber, L.; Simon, R. Role of TP53 mutations in vulvar carcinomas. Int. J. Gynecol. Pathol. 2011, 30, 497–504. [Google Scholar] [CrossRef] [PubMed]
- Emanuels, A.G.; Koudstaal, J.; Burger, M.P.M.; Hollema, H. In squamous cell carcinoma of the vulva, overexpression of p53 is a late event and neither p53 nor mdm2 expression is a useful marker to predict lymph node metastases. Br. J. Cancer 1999, 80, 38–43. [Google Scholar] [CrossRef]
- Jeffreys, M.; Jeffus, S.K.; Herfs, M.; Quick, C.M. Accentuated p53 staining in usual type vulvar dysplasia-A potential diagnostic pitfall. Pathol. Res. Pract. 2018, 214, 76–79. [Google Scholar] [CrossRef] [PubMed]
- Watkins, J.C.; Yang, E.; Crum, C.P.; Herfs, M.; Gheit, T.; Tommasino, M.; Nucci, M.R. Classic Vulvar Intraepithelial Neoplasia with Superimposed Lichen Simplex Chronicus: A Unique Variant Mimicking Differentiated Vulvar Intraepithelial Neoplasia. Int. J. Gynecol. Pathol. 2019, 38, 175–182. [Google Scholar] [CrossRef]
- Akbari, A.; Pinto, A.; Amemiya, Y.; Seth, A.; Mirkovic, J.; Parra-Herran, C. Differentiated exophytic vulvar intraepithelial lesion: Clinicopathologic and molecular analysis documenting its relationship with verrucous carcinoma of the vulva. Mod. Pathol. 2020, 33, 2011–2018. [Google Scholar] [CrossRef]
- Liegl, B.; Regauer, S. p53 immunostaining in lichen sclerosus is related to ischaemic stress and is not a marker of differentiated vulvar intraepithelial neoplasia (d-VIN). Histopathology 2006, 48, 268–274. [Google Scholar] [CrossRef] [PubMed]
- Zięba, S.; Kowalik, A.; Zalewski, K.; Rusetska, N.; Goryca, K.; Piaścik, A.; Misiek, M.; Bakuła-Zalewska, E.; Kopczyński, J.; Kowalski, K.; et al. Somatic mutation profiling of vulvar cancer: Exploring therapeutic targets. Gynecol. Oncol. 2018, 150, 552–561. [Google Scholar] [CrossRef] [PubMed]
- Mulvany, N.J.; Allen, D.G. Differentiated intraepithelial neoplasia of the vulva. Int. J. Gynecol. Pathol. 2008, 27, 125–135. [Google Scholar] [CrossRef]
- de Sanjosé, S.; Alemany, L.; Ordi, J.; Tous, S.; Alejo, M.; Bigby, S.M.; Joura, E.A.; Maldonado, P.; Laco, J.; Bravo, I.G.; et al. Worldwide human papillomavirus genotype attribution in over 2000 cases of intraepithelial and invasive lesions of the vulva. Eur. J. Cancer 2013, 49, 3450–3461. [Google Scholar] [CrossRef]
- Rakislova, N.; Clavero, O.; Alemany, L.; Saco, A.; Quirós, B.; Lloveras, B.; Alejo, M.; Pawlita, M.; Quint, W.; Del Pino, M.; et al. “Histological characteristics of HPV-associated and -independent squamous cell carcinomas of the vulva: A study of 1,594 cases”. Int. J. Cancer 2017, 141, 2517–2527. [Google Scholar] [CrossRef]
- Rakislova, N.; Alemany, L.; Clavero, O.; Del Pino, M.; Saco, A.; Quirós, B.; Lloveras, B.; Alejo, M.; Halec, G.; Quint, W.; et al. Differentiated Vulvar Intraepithelial Neoplasia-like and Lichen Sclerosus-like Lesions in HPV-associated Squamous Cell Carcinomas of the Vulva. Am. J. Surg. Pathol. 2018, 42, 828–835. [Google Scholar] [CrossRef]
- Scurry, J.; Whitehead, J.; Healey, M. Histology of lichen sclerosus varies according to site and proximity to carcinoma. Am. J. Dermatopathol. 2001, 23, 413–418. [Google Scholar] [CrossRef] [PubMed]
Publisher’s Note: MDPI stays neutral with regard to jurisdictional claims in published maps and institutional affiliations. |
© 2020 by the authors. Licensee MDPI, Basel, Switzerland. This article is an open access article distributed under the terms and conditions of the Creative Commons Attribution (CC BY) license (http://creativecommons.org/licenses/by/4.0/).



