A Simple Method for the Production of Human Skin Equivalent in 3D, Multi-Cell Culture
Abstract
1. Introduction
2. Results
2.1. Scaffold Crosslinking
2.2. Cytotoxicity of Genipin
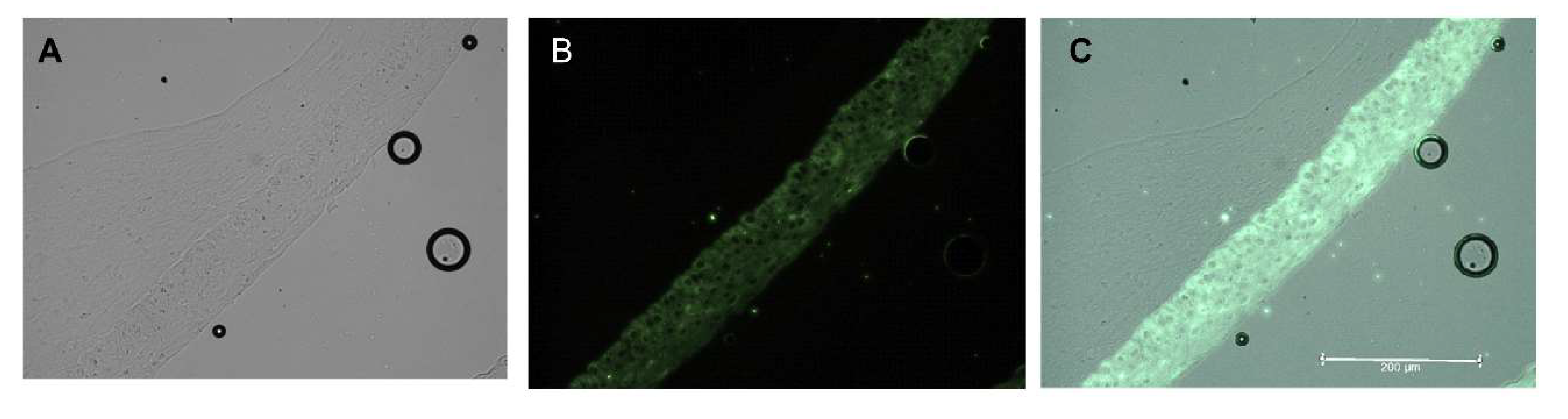
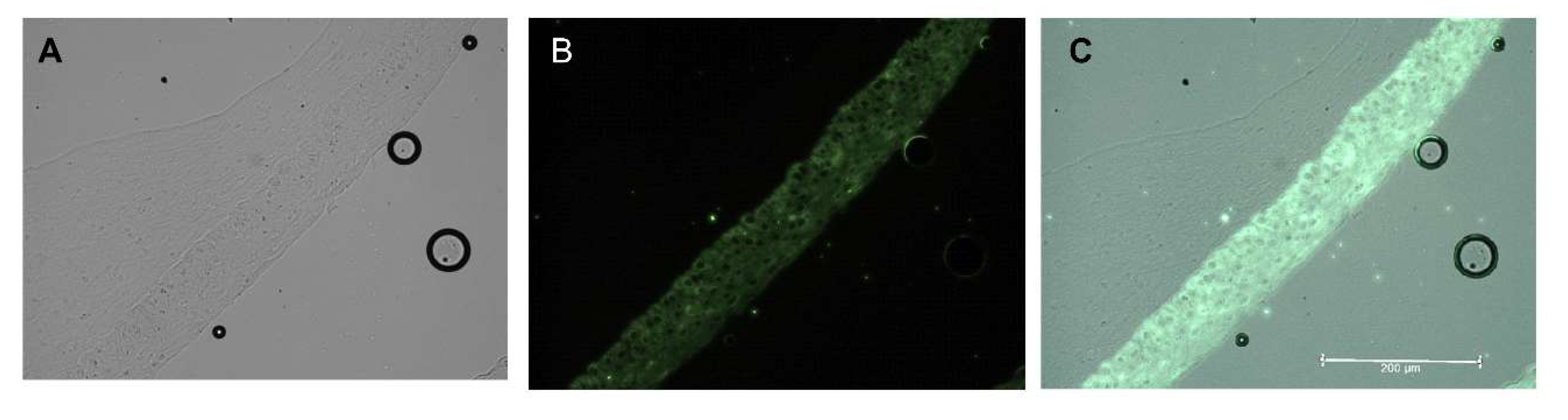
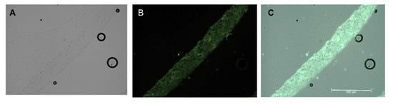
2.3. Histologic and Immunostaining Analysis
2.4. Cytokines Analysis
3. Discussion
4. Material and Methods
4.1. Reagents
4.2. Cells
4.3. Extracellular Scaffolding
4.4. Genipin Crosslinking of Collagen Scaffold
4.5. Cytotoxicity Analysis
4.6. Histological Analysis
- anti-cytokeratin 1 antibody, clone LHK1, DY550, REF#: LS-C180221, LSBio
- anti-cytokeratin 14 antibody, clone LL002, FITC, REF#: ab77684, abcam
- anti-vimentin antibody clone O91D3, Alexa Fluor® 647, REF#: 677807, BioLegend
4.7. Cytokine Analysis
4.8. Statistical Analysis
5. Conclusions
Supplementary Materials
Author Contributions
Funding
Conflicts of Interest
References
- Duval, C.; Chagnoleau, C.; Pouradier, F.; Sextius, P.; Condom, E.; Bernerd, F. Human Skin Model Containing Melanocytes: Essential Role of Keratinocyte Growth Factor for Constitutive Pigmentation—Functional Response to α-Melanocyte Stimulating Hormone and Forskolin. Tissue Eng. Part C Methods 2012, 18, 947–957. [Google Scholar] [CrossRef] [PubMed]
- Farage, M.A.; Miller, K.W.; Elsner, P.; Maibach, H.I. Structural Characteristics of the Aging Skin: A Review. Cutan. Ocul. Toxicol. 2007, 26, 343–357. [Google Scholar] [CrossRef] [PubMed]
- Min, D.; Lee, W.; Bae, I.-H.; Lee, T.R.; Croce, P.; Yoo, S.-S. Bioprinting of biomimetic skin containing melanocytes. Exp. Dermatol. 2018, 27, 453–459. [Google Scholar] [CrossRef]
- Hachiya, A.; Sriwiriyanont, P.; Kaiho, E.; Kitahara, T.; Takema, Y.; Tsuboi, R. An In Vivo Mouse Model of Human Skin Substitute Containing Spontaneously Sorted Melanocytes Demonstrates Physiological Changes after UVB Irradiation. J. Investig. Dermatol. 2005, 125, 364–372. [Google Scholar] [CrossRef] [PubMed]
- Bessou, S.; Surlève-Bazeille, J.-E.; Sorbier, E.; Taïeb, A. Ex Vivo Reconstruction of the Epidermis With Melanocytes and the Influence of UVB. Pigment Cell Res. 1995, 8, 241–249. [Google Scholar] [CrossRef] [PubMed]
- Bessou-Touya, S.; Pain, C.; Taïeb, A.; Picardo, M.; Maresca, V.; Surlève-Bazeille, J.-E. Chimeric Human Epidermal Reconstructs to Study the Role of Melanocytes and Keratinocytes in Pigmentation and Photoprotection. J. Investig. Dermatol. 1998, 111, 1103–1108. [Google Scholar] [CrossRef] [PubMed]
- Cario-André, M.; Bessou, S.; Gontier, E.; Maresca, V.; Picardo, M.; Taïeb, A. The reconstructed epidermis with melanocytes: A new tool to study pigmentation and photoprotection. Cell. Mol. Biol. (Noisy-le-grand) 1999, 45, 931–942. [Google Scholar]
- Duval, K.; Grover, H.; Han, L.-H.; Mou, Y.; Pegoraro, A.F.; Fredberg, J.; Chen, Z. Modeling Physiological Events in 2D vs. 3D Cell Culture. Physiology (Bethesda) 2017, 32, 266–277. [Google Scholar] [CrossRef]
- Li, L.; Fukunaga-Kalabis, M.; Herlyn, M. The three-dimensional human skin reconstruct model: A tool to study normal skin and melanoma progression. J. Vis. Exp. 2011, e2937. [Google Scholar] [CrossRef]
- Böttcher-Haberzeth, S.; Biedermann, T.; Klar, A.S.; Widmer, D.S.; Neuhaus, K.; Schiestl, C.; Meuli, M.; Reichmann, E. Characterization of pigmented dermo-epidermal skin substitutes in a long-term in vivo assay. Exp. Dermatol. 2015, 24, 16–21. [Google Scholar] [CrossRef]
- Biedermann, T.; Klar, A.S.; Böttcher-Haberzeth, S.; Michalczyk, T.; Schiestl, C.; Reichmann, E.; Meuli, M. Long-term expression pattern of melanocyte markers in light- and dark-pigmented dermo-epidermal cultured human skin substitutes. Pediatr. Surg. Int. 2015, 31, 69–76. [Google Scholar] [CrossRef] [PubMed]
- Böttcher-Haberzeth, S.; Klar, A.S.; Biedermann, T.; Schiestl, C.; Meuli-Simmen, C.; Reichmann, E.; Meuli, M. “Trooping the color”: Restoring the original donor skin color by addition of melanocytes to bioengineered skin analogs. Pediatr. Surg. Int. 2013, 29, 239–247. [Google Scholar] [CrossRef]
- Michalczyk, T.; Biedermann, T.; Böttcher-Haberzeth, S.; Klar, A.S.; Meuli, M.; Reichmann, E. UVB exposure of a humanized skin model reveals unexpected dynamic of keratinocyte proliferation and Wnt inhibitor balancing. J. Tissue Eng. Regen. Med. 2018, 12, 505–515. [Google Scholar] [CrossRef] [PubMed]
- Harrison, R.G. The outgrowth of the nerve fiber as a mode of protoplasmic movement. J. Exp. Zool. 1959, 142, 5–73. [Google Scholar] [CrossRef] [PubMed]
- Yao, T.; Asayama, Y. Animal-cell culture media: History, characteristics, and current issues. Reprod. Med. Biol. 2017, 16, 99–117. [Google Scholar] [CrossRef]
- Maliszewska-Olejniczak, K.; Brodaczewska, K.K.; Bielecka, Z.F.; Solarek, W.; Kornakiewicz, A.; Szczylik, C.; Porta, C.; Czarnecka, A.M. Development of extracellular matrix supported 3D culture of renal cancer cells and renal cancer stem cells. Cytotechnology 2019, 71, 149–163. [Google Scholar] [CrossRef] [PubMed]
- Macklin, P. Key challenges facing data-driven multicellular systems biology. Gigascience 2019, 8. [Google Scholar] [CrossRef]
- Lotz, C.; Schmid, F.F.; Oechsle, E.; Monaghan, M.G.; Walles, H.; Groeber-Becker, F. Cross-linked Collagen Hydrogel Matrix Resisting Contraction To Facilitate Full-Thickness Skin Equivalents. ACS Appl. Mater. Interfaces 2017, 9, 20417–20425. [Google Scholar] [CrossRef]
- Meng, Q.; Shen, C. Construction of low contracted 3D skin equivalents by genipin cross-linking. Exp. Dermatol. 2018, 27, 1098–1103. [Google Scholar] [CrossRef]
- Výborný, K.; Vallová, J.; Kočí, Z.; Kekulová, K.; Jiráková, K.; Jendelová, P.; Hodan, J.; Kubinová, Š. Genipin and EDC crosslinking of extracellular matrix hydrogel derived from human umbilical cord for neural tissue repair. Sci. Rep. 2019, 9, 10674. [Google Scholar] [CrossRef]
- Reijnders, C.M.A.; van Lier, A.; Roffel, S.; Kramer, D.; Scheper, R.J.; Gibbs, S. Development of a Full-Thickness Human Skin Equivalent In Vitro Model Derived from TERT-Immortalized Keratinocytes and Fibroblasts. Tissue Eng. Part A 2015, 21, 2448–2459. [Google Scholar] [CrossRef]
- Carlson, M.W.; Alt-Holland, A.; Egles, C.; Garlick, J.A. Three-Dimensional Tissue Models of Normal and Diseased Skin. Curr. Protoc. Cell Biol. 2008, 41, 19. [Google Scholar] [CrossRef] [PubMed]
- Rossi, A.; Appelt-Menzel, A.; Kurdyn, S.; Walles, H.; Groeber, F. Generation of a Three-dimensional Full Thickness Skin Equivalent and Automated Wounding. J. Vis. Exp. 2015, e52576. [Google Scholar] [CrossRef] [PubMed]
- Löwa, A.; Vogt, A.; Kaessmeyer, S.; Hedtrich, S. Generation of full-thickness skin equivalents using hair follicle-derived primary human keratinocytes and fibroblasts. J. Tissue Eng. Regen. Med. 2018, 12, e2134–e2146. [Google Scholar] [CrossRef]
- Smits, J.P.H.; Niehues, H.; Rikken, G.; van Vlijmen-Willems, I.M.J.J.; van de Zande, G.W.H.J.F.; Zeeuwen, P.L.J.M.; Schalkwijk, J.; van den Bogaard, E.H. Immortalized N/TERT keratinocytes as an alternative cell source in 3D human epidermal models. Sci. Rep. 2017, 7, 11838. [Google Scholar] [CrossRef] [PubMed]
- Arlian, L.G.; Morgan, M.S. Immunomodulation of Skin Cytokine Secretion by House Dust Mite Extracts. Int. Arch. Allergy Immunol. 2011, 156, 171–178. [Google Scholar] [CrossRef]
- Spiekstra, S.W.; Breetveld, M.; Rustemeyer, T.; Scheper, R.J.; Gibbs, S. Wound-healing factors secreted by epidermal keratinocytes and dermal fibroblasts in skin substitutes. Wound Repair. Regen. 2007, 15, 708–717. [Google Scholar] [CrossRef]
- Kinn, P.M.; Holdren, G.O.; Westermeyer, B.A.; Abuissa, M.; Fischer, C.L.; Fairley, J.A.; Brogden, K.A.; Brogden, N.K. Age-dependent variation in cytokines, chemokines, and biologic analytes rinsed from the surface of healthy human skin. Sci. Rep. 2015, 5, 10472. [Google Scholar] [CrossRef]
- Kelley, K. Sample size planning for the coefficient of variation from the accuracy in parameter estimation approach. Behav. Res. Methods 2007, 39, 755–766. [Google Scholar] [CrossRef]
- Ansel, J.; Perry, P.; Brown, J.; Damm, D.; Phan, T.; Hart, C.; Luger, T.; Hefeneider, S. Cytokine Modulation of Keratinocyte Cytokines. J. Investig. Dermatol. 1990, 94, s101–s107. [Google Scholar] [CrossRef]
- Gröne, A. Keratinocytes and cytokines. Vet. Immunol. Immunopathol. 2002, 88, 1–12. [Google Scholar] [CrossRef]
- Hänel, K.H.; Cornelissen, C.; Lüscher, B.; Baron, J.M. Cytokines and the Skin Barrier. Int. J. Mol. Sci. 2013, 14, 6720–6745. [Google Scholar] [CrossRef] [PubMed]
- Sauder, D.N. The Role of Epidermal Cytokines in Inflammatory Skin Diseases. J. Investig. Dermatol. 1990, 95, S27–S28. [Google Scholar] [CrossRef] [PubMed]




| Condition. | Genipin Concentration [µM] | Average Construct Diameter [mm] | Average Contraction [%] |
|---|---|---|---|
| 1 | 0 | 3.1 | 59 |
| 2 | 1 | 3.4 | 55 |
| 3 | 5 | 3.8 | 49 |
| 4 | 10 | 4.3 | 43 |
| 5 | 15 | 4.7 | 37 |
| 6 | 20 | 5.7 | 24 |
| 7 | 30 | 5.9 | 21 |
| 8 | 50 | 6.1 | 19 |
| 9 | 80 | 6.4 | 15 |
| 10 | 100 | 6.5 | 13 |
| 11 | 150 | 6.4 | 15 |
| 12 | 200 | 6.6 | 12 |
© 2020 by the authors. Licensee MDPI, Basel, Switzerland. This article is an open access article distributed under the terms and conditions of the Creative Commons Attribution (CC BY) license (http://creativecommons.org/licenses/by/4.0/).
Share and Cite
Szymański, Ł.; Jęderka, K.; Cios, A.; Ciepelak, M.; Lewicka, A.; Stankiewicz, W.; Lewicki, S. A Simple Method for the Production of Human Skin Equivalent in 3D, Multi-Cell Culture. Int. J. Mol. Sci. 2020, 21, 4644. https://doi.org/10.3390/ijms21134644
Szymański Ł, Jęderka K, Cios A, Ciepelak M, Lewicka A, Stankiewicz W, Lewicki S. A Simple Method for the Production of Human Skin Equivalent in 3D, Multi-Cell Culture. International Journal of Molecular Sciences. 2020; 21(13):4644. https://doi.org/10.3390/ijms21134644
Chicago/Turabian StyleSzymański, Łukasz, Krystyna Jęderka, Aleksandra Cios, Martyna Ciepelak, Aneta Lewicka, Wanda Stankiewicz, and Sławomir Lewicki. 2020. "A Simple Method for the Production of Human Skin Equivalent in 3D, Multi-Cell Culture" International Journal of Molecular Sciences 21, no. 13: 4644. https://doi.org/10.3390/ijms21134644
APA StyleSzymański, Ł., Jęderka, K., Cios, A., Ciepelak, M., Lewicka, A., Stankiewicz, W., & Lewicki, S. (2020). A Simple Method for the Production of Human Skin Equivalent in 3D, Multi-Cell Culture. International Journal of Molecular Sciences, 21(13), 4644. https://doi.org/10.3390/ijms21134644

