Biological Insights into Chemotherapy Resistance in Ovarian Cancer
Abstract
1. Introduction
2. Results
2.1. Patient Characteristics and RNA Sequencing Metrics
2.2. Chemotherapy Effects on Gene Expression Are Stronger than the Effects of Inter-Patient Heterogeneity
2.3. Chemotherapy Changes the Molecular Subtype of the Patient
2.4. Cell Cycle Pathways Are Enriched in Pre-NACT Samples
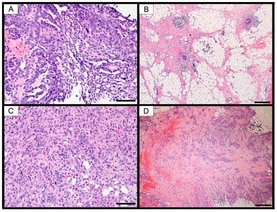
2.5. Drug Transport and Peroxisome Pathways Are Enriched Post-NACT Samples
2.6. Platinum Resistant Tumors Are Characterized by Lower Levels of Membrane Transporters
2.7. Quantitative PCR Supports the Accuracy of RNA Sequencing
3. Discussion
4. Materials and Methods
4.1. Patient Recruitment
4.2. Sample Collection, RNA Extraction, Library Preparation, and Sequencing
4.3. Pathology
4.4. Analysis of RNA-Seq Data
4.5. Quantitative RT-PCR
4.6. Statistical Considerations
5. Conclusions
Supplementary Materials
Author Contributions
Funding
Conflicts of Interest
References
- National Comprehensive Cancer Network. NCCN Clinical Practice Guidelines in Oncology. Available online: https://ci.nii.ac.jp/naid/10026458431/#cit (accessed on 5 March 2018).
- Cheng, L.; Lu, W.; Kulkarni, B.; Pejovic, T.; Yan, X.; Chiang, J.H.; Hood, L.; Odunsi, K.; Lin, B. Analysis of chemotherapy response programs in ovarian cancers by the next-generation sequencing technologies. Gynecol. Oncol. 2010, 117, 159–169. [Google Scholar] [CrossRef] [PubMed]
- Sherman-Baust, C.A.; Becker, K.G.; Wood Iii, W.H.; Zhang, Y.; Morin, P.J. Gene expression and pathway analysis of ovarian cancer cells selected for resistance to cisplatin, paclitaxel, or doxorubicin. J. Ovarian Res. 2011, 4, 21. [Google Scholar] [CrossRef] [PubMed]
- Bicaku, E.; Xiong, Y.; Marchion, D.C.; Chon, H.S.; Stickles, X.B.; Chen, N.; Judson, P.L.; Hakam, A.; Gonzalez-Bosquet, J.; Wenham, R.M.; et al. In vitro analysis of ovarian cancer response to cisplatin, carboplatin, and paclitaxel identifies common pathways that are also associated with overall patient survival. Br. J. Cancer 2012, 106, 1967–1975. [Google Scholar] [CrossRef] [PubMed]
- Marchion, D.C.; Cottrill, H.M.; Xiong, Y.; Chen, N.; Bicaku, E.; Fulp, W.J.; Bansal, N.; Chon, H.S.; Stickles, X.B.; Kamath, S.G.; et al. BAD phosphorylation determines ovarian cancer chemosensitivity and patient survival. Clin. Cancer Res. 2011, 17, 6356–6366. [Google Scholar] [CrossRef] [PubMed]
- Sonego, M.; Pellizzari, I.; Dall’Acqua, A.; Pivetta, E.; Lorenzon, I.; Benevol, S.; Bomben, R.; Spessotto, P.; Sorio, R.; Gattei, V.; et al. Common biological phenotypes characterize the acquisition of platinum-resistance in epithelial ovarian cancer cells. Sci. Rep. 2017, 7, 7104. [Google Scholar] [CrossRef] [PubMed]
- Bosquet, J.G.; Marchion, D.C.; Chon, H.; Lancaster, J.M.; Chanock, S. Analysis of chemotherapeutic response in ovarian cancers using publicly available high-throughput data. Cancer Res. 2014, 74, 3902–3912. [Google Scholar] [CrossRef] [PubMed]
- Patch, A.M.; Christie, E.L.; Etemadmoghadam, D.; Garsed, D.W.; George, J.; Fereday, S.; Nones, K.; Cowin, P.; Alsop, K.; Bailey, P.J.; et al. Whole-genome characterization of chemoresistant ovarian cancer. Nature 2015, 521, 489–494. [Google Scholar] [CrossRef]
- Lloyd, K.L.; Cree, I.A.; Savage, R.S. Prediction of resistance to chemotherapy in ovarian cancer: A systematic review. BMC Cancer 2015, 15, 117. [Google Scholar] [CrossRef]
- Yin, F.; Yi, S.; Wei, L.; Zhao, B.; Li, J.; Cai, X.; Dong, C.; Liu, X. Microarray-based identification of genes associated with prognosis and drug resistance in ovarian cancer. J. Cell Biochem. 2019, 120, 6057–6070. [Google Scholar] [CrossRef]
- Ferriss, J.S.; Rice, L.W. The role of in vitro directed chemotherapy in epithelial ovarian cancer. Rev. Obstet. Gynecol. 2010, 3, 49–54. [Google Scholar]
- Hetland, T.E.; Kaern, J.; Skrede, M.; Sandstad, B.; Trope, C.; Davidson, B.; Florenes, V.A. Predicting platinum resistance in primary advanced ovarian cancer patients with an in vitro resistance index. Cancer Chemother. Pharmacol. 2012, 69, 1307–1314. [Google Scholar] [CrossRef]
- Kischkel, F.C.; Meyer, C.; Eich, J.; Nassir, M.; Mentze, M.; Braicu, I.; Kopp-Schneider, A.; Sehouli, J. Prediction of clinical response to drugs in ovarian cancer using the chemotherapy resistance test (CTR-test). J. Ovarian Res. 2017, 10, 72. [Google Scholar] [CrossRef]
- Tatar, B.; Boyraz, G.; Selcuk, I.; Dogan, A.K.; Usubutun, A.; Tuncer, Z.S. In vitro chemosensitivity in ovarian carcinoma: Comparison of three leading assays. J. Turk. Ger. Gynecol. Assoc. 2016, 17, 35–40. [Google Scholar] [CrossRef]
- van de Vijver, M.J.; He, Y.D.; van’t Veer, L.J.; Dai, H.; Hart, A.A.; Voskuil, D.W.; Schreiber, G.J.; Peterse, J.L.; Roberts, C.; Marton, M.J.; et al. A gene-expression signature as a predictor of survival in breast cancer. N. Engl. J. Med. 2002, 347, 1999–2009. [Google Scholar] [CrossRef]
- Wang, Y.; Klijn, J.G.; Zhang, Y.; Sieuwerts, A.M.; Look, M.P.; Yang, F.; Talantov, D.; Timmermans, M.; Meijer-van Gelder, M.E.; Yu, J.; et al. Gene-expression profiles to predict distant metastasis of lymph-node-negative primary breast cancer. Lancet 2005, 365, 671–679. [Google Scholar] [CrossRef]
- Paik, S.; Shak, S.; Tang, G.; Kim, C.; Baker, J.; Cronin, M.; Baehner, F.L.; Walker, M.G.; Watson, D.; Park, T.; et al. A multigene assay to predict recurrence of tamoxifen-treated, node-negative breast cancer. N. Engl. J. Med. 2004, 351, 2817–2826. [Google Scholar] [CrossRef]
- Parker, J.S.; Mullins, M.; Cheang, M.C.; Leung, S.; Voduc, D.; Vickery, T.; Davies, S.; Fauron, C.; He, X.; Hu, Z.; et al. Supervised risk predictor of breast cancer based on intrinsic subtypes. J. Clin. Oncol. 2009, 27, 1160–1167. [Google Scholar] [CrossRef]
- Tothill, R.W.; Tinker, A.V.; George, J.; Brown, R.; Fox, S.B.; Lade, S.; Johnson, D.S.; Trivett, M.K.; Etemadmoghadam, D.; Locandro, B.; et al. Novel molecular subtypes of serous and endometrioid ovarian cancer linked to clinical outcome. Clin. Cancer Res. 2008, 14, 5198–5208. [Google Scholar] [CrossRef]
- Cancer Genome Atlas Research Network. Integrated genomic analyses of ovarian carcinoma. Nature 2011, 474, 609–615. [Google Scholar] [CrossRef]
- Zhang, Z.; Huang, K.; Gu, C.; Zhao, L.; Wang, N.; Wang, X.; Zhao, D.; Zhang, C.; Lu, Y.; Meng, Y. Molecular Subtyping of Serous Ovarian Cancer Based on Multi-omics Data. Sci. Rep. 2016, 6, 26001. [Google Scholar] [CrossRef]
- Chen, G.M.; Kannan, L.; Geistlinger, L.; Kofia, V.; Safikhani, Z.; Gendoo, D.M.A.; Parmigiani, G.; Birrer, M.; Haibe-Kains, B.; Waldron, L. Consensus on Molecular Subtypes of High-Grade Serous Ovarian Carcinoma. Clin. Cancer Res. 2018. [Google Scholar] [CrossRef] [PubMed]
- Verhaak, R.G.; Tamayo, P.; Yang, J.Y.; Hubbard, D.; Zhang, H.; Creighton, C.J.; Fereday, S.; Lawrence, M.; Carter, S.L.; Mermel, C.H.; et al. Prognostically relevant gene signatures of high-grade serous ovarian carcinoma. J. Clin. Invest. 2013, 123, 517–525. [Google Scholar] [CrossRef]
- Konecny, G.E.; Wang, C.; Hamidi, H.; Winterhoff, B.; Kalli, K.R.; Dering, J.; Ginther, C.; Chen, H.W.; Dowdy, S.; Cliby, W.; et al. Prognostic and therapeutic relevance of molecular subtypes in high-grade serous ovarian cancer. J. Natl. Cancer Inst. 2014, 106, 10. [Google Scholar] [CrossRef] [PubMed]
- Konecny, G.E.; Winterhoff, B.; Wang, C. Gene-expression signatures in ovarian cancer: Promise and challenges for patient stratification. Gynecol. Oncol. 2016, 141, 379–385. [Google Scholar] [CrossRef]
- Bohm, S.; Faruqi, A.; Said, I.; Lockley, M.; Brockbank, E.; Jeyarajah, A.; Fitzpatrick, A.; Ennis, D.; Dowe, T.; Santos, J.L.; et al. Chemotherapy Response Score: Development and Validation of a System to Quantify Histopathologic Response to Neoadjuvant Chemotherapy in Tubo-Ovarian High-Grade Serous Carcinoma. J. Clin. Oncol. 2015, 33, 2457–2463. [Google Scholar] [CrossRef] [PubMed]
- Singh, P.; Kaushal, V.; Rai, B.; Rajwanshi, A.; Gupta, N.; Dey, P.; Garg, R.; Rohilla, M.; Suri, V.; Ghoshal, S.; et al. The chemotherapy response score is a useful histological predictor of prognosis in high-grade serous carcinoma. Histopathology 2018, 72, 619–625. [Google Scholar] [CrossRef] [PubMed]
- Yoshihara, K.; Shahmoradgoli, M.; Martinez, E.; Vegesna, R.; Kim, H.; Torres-Garcia, W.; Trevino, V.; Shen, H.; Laird, P.W.; Levine, D.A.; et al. Inferring tumour purity and stromal and immune cell admixture from expression data. Nat. Commun. 2013, 4, 2612. [Google Scholar] [CrossRef]
- Zhao, M.; Zhao, Z. Concordance of copy number loss and down-regulation of tumor suppressor genes: A pan-cancer study. BMC Genom. 2016, 17 (Suppl. 7), 532. [Google Scholar] [CrossRef]
- Li, X.; Liu, Y.; Lu, J.; Zhao, M. Integrative analysis to identify oncogenic gene expression changes associated with copy number variations of enhancer in ovarian cancer. Oncotarget 2017, 8, 91558–91567. [Google Scholar] [CrossRef][Green Version]
- Subramanian, A.; Tamayo, P.; Mootha, V.K.; Mukherjee, S.; Ebert, B.L.; Gillette, M.A.; Paulovich, A.; Pomeroy, S.L.; Golub, T.R.; Lander, E.S.; et al. Gene set enrichment analysis: A knowledge-based approach for interpreting genome-wide expression profiles. Proc. Natl. Acad. Sci. USA 2005, 102, 15545–15550. [Google Scholar] [CrossRef]
- Liberzon, A.; Birger, C.; Thorvaldsdottir, H.; Ghandi, M.; Mesirov, J.P.; Tamayo, P. The Molecular Signatures Database (MSigDB) hallmark gene set collection. Cell Syst. 2015, 1, 417–425. [Google Scholar] [CrossRef]
- Robinson, M.D.; McCarthy, D.J.; Smyth, G.K. edgeR: A Bioconductor package for differential expression analysis of digital gene expression data. Bioinformatics 2010, 26, 139–140. [Google Scholar] [CrossRef]
- Herwig, R.; Hardt, C.; Lienhard, M.; Kamburov, A. Analyzing and interpreting genome data at the network level with ConsensusPathDB. Nat. Protoc. 2016, 11, 1889–1907. [Google Scholar] [CrossRef]
- Kobayashi, Y.; Seino, K.; Hosonuma, S.; Ohara, T.; Itamochi, H.; Isonishi, S.; Kita, T.; Wada, H.; Kojo, S.; Kiguchi, K. Side population is increased in paclitaxel-resistant ovarian cancer cell lines regardless of resistance to cisplatin. Gynecol. Oncol. 2011, 121, 390–394. [Google Scholar] [CrossRef]
- Kampan, N.C.; Madondo, M.T.; McNally, O.M.; Quinn, M.; Plebanski, M. Paclitaxel and Its Evolving Role in the Management of Ovarian Cancer. BioMed. Res. Int. 2015, 2015, 413076. [Google Scholar] [CrossRef]
- Uhlen, M.; Zhang, C.; Lee, S.; Sjostedt, E.; Fagerberg, L.; Bidkhori, G.; Benfeitas, R.; Arif, M.; Liu, Z.; Edfors, F.; et al. A pathology atlas of the human cancer transcriptome. Science 2017, 357, eaan2507. [Google Scholar] [CrossRef]
- Arend, R.C.; Londono, A.I.; Montgomery, A.M.; Smith, H.J.; Dobbin, Z.C.; Katre, A.A.; Martinez, A.; Yang, E.S.; Alvarez, R.D.; Huh, W.K.; et al. Molecular Response to Neoadjuvant Chemotherapy in High-Grade Serous Ovarian Carcinoma. Mol. Cancer Res. 2018, 16, 813–824. [Google Scholar] [CrossRef]
- Calon, A.; Lonardo, E.; Berenguer-Llergo, A.; Espinet, E.; Hernando-Momblona, X.; Iglesias, M.; Sevillano, M.; Palomo-Ponce, S.; Tauriello, D.V.; Byrom, D.; et al. Stromal gene expression defines poor-prognosis subtypes in colorectal cancer. Nat. Genet. 2015, 47, 320–329. [Google Scholar] [CrossRef]
- Isella, C.; Terrasi, A.; Bellomo, S.E.; Petti, C.; Galatola, G.; Muratore, A.; Mellano, A.; Senetta, R.; Cassenti, A.; Sonetto, C.; et al. Stromal contribution to the colorectal cancer transcriptome. Nat. Genet. 2015, 47, 312–319. [Google Scholar] [CrossRef]
- Zhang, A.W.; McPherson, A.; Milne, K.; Kroeger, D.R.; Hamilton, P.T.; Miranda, A.; Funnell, T.; Little, N.; de Souza, C.P.E.; Laan, S.; et al. Interfaces of Malignant and Immunologic Clonal Dynamics in Ovarian Cancer. Cell 2018, 173, 1755–1769. [Google Scholar] [CrossRef]
- Farr, R.L.; Lismont, C.; Terlecky, S.R.; Fransen, M. Peroxisome biogenesis in mammalian cells: The impact of genes and environment. Biochim. Biophys. Acta 2016, 1863, 1049–1060. [Google Scholar] [CrossRef]
- Van Veldhoven, P.P. Biochemistry and genetics of inherited disorders of peroxisomal fatty acid metabolism. J. Lipid Res. 2010, 51, 2863–2895. [Google Scholar] [CrossRef]
- Cooke, S.L.; Ng, C.K.; Melnyk, N.; Garcia, M.J.; Hardcastle, T.; Temple, J.; Langdon, S.; Huntsman, D.; Brenton, J.D. Genomic analysis of genetic heterogeneity and evolution in high-grade serous ovarian carcinoma. Oncogene 2010, 29, 4905–4913. [Google Scholar] [CrossRef] [PubMed]
- Colombo, P.E.; Fabbro, M.; Theillet, C.; Bibeau, F.; Rouanet, P.; Ray-Coquard, I. Sensitivity and resistance to treatment in the primary management of epithelial ovarian cancer. Crit. Rev. Oncol. Hematol. 2014, 89, 207–216. [Google Scholar] [CrossRef]
- Winterhoff, B.J.; Maile, M.; Mitra, A.K.; Sebe, A.; Bazzaro, M.; Geller, M.A.; Abrahante, J.E.; Klein, M.; Hellweg, R.; Mullany, S.A.; et al. Single cell sequencing reveals heterogeneity within ovarian cancer epithelium and cancer associated stromal cells. Gynecol. Oncol. 2017, 144, 598–606. [Google Scholar] [CrossRef] [PubMed]
- Chen, G.M.; Kannan, L.; Geistlinger, L.; Kofia, V.; Safikhani, Z.; Gendoo, D.M.A.; Parmigiani, G.; Birrer, M.; Haibe-Kains, B.; Waldron, L. Consensus on Molecular Subtypes of Ovarian Cancer. bioRxiv 2017. [Google Scholar] [CrossRef]
- Konecny, G.E.; Winterhoff, B.; Kolarova, T.; Qi, J.; Manivong, K.; Dering, J.; Yang, G.; Chalukya, M.; Wang, H.J.; Anderson, L.; et al. Expression of p16 and retinoblastoma determines response to CDK4/6 inhibition in ovarian cancer. Clin. Cancer Res. 2011, 17, 1591–1602. [Google Scholar] [CrossRef] [PubMed]
- Trapnell, C.; Roberts, A.; Goff, L.; Pertea, G.; Kim, D.; Kelley, D.R.; Pimentel, H.; Salzberg, S.L.; Rinn, J.L.; Pachter, L. Differential gene and transcript expression analysis of RNA-seq experiments with TopHat and Cufflinks. Nat. Protoc. 2012, 7, 562–578. [Google Scholar] [CrossRef]
- Liao, Y.; Smyth, G.K.; Shi, W. featureCounts: An efficient general purpose program for assigning sequence reads to genomic features. Bioinformatics 2014, 30, 923–930. [Google Scholar] [CrossRef]
- de Hoon, M.J.; Imoto, S.; Nolan, J.; Miyano, S. Open source clustering software. Bioinformatics 2004, 20, 1453–1454. [Google Scholar] [CrossRef] [PubMed]
- Page, R.D. TreeView: An application to display phylogenetic trees on personal computers. Comput. Appl. Biosci. 1996, 12, 357–358. [Google Scholar] [PubMed]
- Kamburov, A.; Stelzl, U.; Lehrach, H.; Herwig, R. The ConsensusPathDB interaction database: 2013 update. Nucleic Acids Res. 2013, 41, D793–D800. [Google Scholar] [CrossRef] [PubMed]





| Patient ID | Age at Diagnosis | Number of NACT Cycles | PFS 1 (Months) | Platinum Classification 2 | Pre- and Post- Sample Site | CRS 3 | ESTIMATE Score Change 4 |
|---|---|---|---|---|---|---|---|
| 1 | 47 | 3 | 5 | Resistant | Omentum | 2 | +2309 |
| 9 | 56 | 7 5 | 12 | Sensitive | Omentum | 3 | −108 |
| 10 | 57 | 3 | 3 | Resistant | Peritoneum | 2 | −3383 |
| 16 | 74 | 3 | 2 | Resistant | Omentum | 1 | +1898 |
| 17 | 58 | 3 | 10 | Sensitive | Omentum | 3 | +655 |
| 22 | 78 | 3 | 5 | Resistant | Peritoneum | 2 | −2070 |
| Patient ID | Pre-NACT Molecular Subtype | Post-NACT Molecular Subtype |
|---|---|---|
| 1 | Proliferative | Mesenchymal |
| 9 | Mesenchymal | Differentiated |
| 10 | Immunoreactive | Proliferative |
| 16 | Immunoreactive | Immunoreactive |
| 17 | Differentiated | Differentiated |
| 22 | Immunoreactive | Mesenchymal |
| Hallmark Name | Size | ES | NES | NOM p-val * | FDR q-val * |
|---|---|---|---|---|---|
| G2M CHECKPOINT | 151 | 0.76 | 1.89 | 0.00 | 0.003 |
| E2F TARGETS | 166 | 0.78 | 1.82 | 0.00 | 0.004 |
| MTORC1 SIGNALING | 158 | 0.60 | 1.68 | 0.01 | 0.028 |
| GLYCOLYSIS | 162 | 0.59 | 1.70 | 0.01 | 0.029 |
| UNFOLDED PROTEIN RESPONSE | 92 | 0.53 | 1.54 | 0.04 | 0.079 |
| DNA REPAIR | 114 | 0.50 | 1.55 | 0.01 | 0.085 |
| MYC TARGETS V1 | 159 | 0.60 | 1.55 | 0.05 | 0.100 |
| MITOTIC SPINDLE | 163 | 0.49 | 1.47 | 0.04 | 0.112 |
| MYC TARGETS V2 | 51 | 0.62 | 1.47 | 0.11 | 0.125 |
| PI3K AKT MTOR SIGNALING | 78 | 0.48 | 1.42 | 0.05 | 0.153 |
| Hallmark Name | SIZE | ES | NES | NOM p-val | FDR q-val |
|---|---|---|---|---|---|
| BILE ACID METABOLISM | 89 | 0.53 | 1.76 | 0.002 | 0.007 |
| ADIPOGENESIS | 155 | 0.46 | 1.65 | 0.000 | 0.012 |
| UV RESPONSE DN | 110 | 0.44 | 1.49 | 0.002 | 0.049 |
| Gene Symbol | Patient ID | Fold Change Based on qRT-PCR | Fold Change Based on FPKM | Change in Same Direction |
|---|---|---|---|---|
| CYR61 | 1 | 7.3 | 14.1 | yes |
| CYR61 | 10 | −2.2 | −1.9 | yes |
| CYR61 | 16 | −7.1 | 20.7 | no |
| CYR61 | 17 | 20.3 | 3.5 | yes |
| CCNB2 | 1 | −88.6 | −48.9 | yes |
| CCNB2 | 10 | −5.6 | −4.5 | yes |
| CCNB2 | 16 | −1.8 | −7.9 | yes |
| CCNB2 | 17 | −4.1 | −5.4 | yes |
| CDC20 | 1 | −9.0 | −72.2 | yes |
| CDC20 | 10 | −2.5 | −4.4 | yes |
| CDC20 | 16 | 0.7 | −14.8 | no |
| CDC20 | 17 | −10.7 | −7.8 | yes |
| EPYC | 1 | −44.9 | −44.6 | yes |
| EPYC | 10 | −4.2 | −10.6 | yes |
| EPYC | 16 | 5.9 | 2.6 | yes |
| EPYC | 17 | −340.1 | −166.5 | yes |
| LIPE | 1 | 186.1 | 168.6 | yes |
| LIPE | 10 | 12.6 | 2.4 | yes |
| LIPE | 16 | 2.3 | 31.0 | yes |
| LIPE | 17 | 0.4 | −2.6 | no |
| Gene Symbol | Function |
|---|---|
| CAT | Antioxidant, Catalase enzyme |
| CH25H | Cholesterol metabolism |
| RETSAT | Drug metabolism |
| ABCA5 | Drug transport (ABC1 family) |
| ABCA6 | Drug transport (ABC1 family) |
| ABCA8 | Drug transport (ABC1 family) |
| ABCA9 | Drug transport (ABC1 family) |
| ABCD2 | Drug transport (ALD family) |
| ISOC1 | Enzymatic production of pyruvate |
| LIPE | Fatty acid and cholesterol metabolism |
| HACL1 | Fatty acid metabolism |
| PECR | Fatty acid metabolism |
| PEX11A | Peroxisome membrane elongation |
| BMP6 | Regulates bone development and ovulation, secreted TGFb ligand |
| AR | Steroid hormone receptor, transcription factor |
© 2019 by the authors. Licensee MDPI, Basel, Switzerland. This article is an open access article distributed under the terms and conditions of the Creative Commons Attribution (CC BY) license (http://creativecommons.org/licenses/by/4.0/).
Share and Cite
Glasgow, M.A.; Argenta, P.; Abrahante, J.E.; Shetty, M.; Talukdar, S.; Croonquist, P.A.; Khalifa, M.A.; Starr, T.K. Biological Insights into Chemotherapy Resistance in Ovarian Cancer. Int. J. Mol. Sci. 2019, 20, 2131. https://doi.org/10.3390/ijms20092131
Glasgow MA, Argenta P, Abrahante JE, Shetty M, Talukdar S, Croonquist PA, Khalifa MA, Starr TK. Biological Insights into Chemotherapy Resistance in Ovarian Cancer. International Journal of Molecular Sciences. 2019; 20(9):2131. https://doi.org/10.3390/ijms20092131
Chicago/Turabian StyleGlasgow, Michelle A., Peter Argenta, Juan E. Abrahante, Mihir Shetty, Shobhana Talukdar, Paula A. Croonquist, Mahmoud A. Khalifa, and Timothy K. Starr. 2019. "Biological Insights into Chemotherapy Resistance in Ovarian Cancer" International Journal of Molecular Sciences 20, no. 9: 2131. https://doi.org/10.3390/ijms20092131
APA StyleGlasgow, M. A., Argenta, P., Abrahante, J. E., Shetty, M., Talukdar, S., Croonquist, P. A., Khalifa, M. A., & Starr, T. K. (2019). Biological Insights into Chemotherapy Resistance in Ovarian Cancer. International Journal of Molecular Sciences, 20(9), 2131. https://doi.org/10.3390/ijms20092131

