Mesenchymal Stem Cells Increase Neo-Angiogenesis and Albumin Production in a Liver Tissue-Engineered Engraftment
Abstract
:1. Introduction
2. Results and Discussion
2.1. Three-Dimensional (3D) Culture Preparation
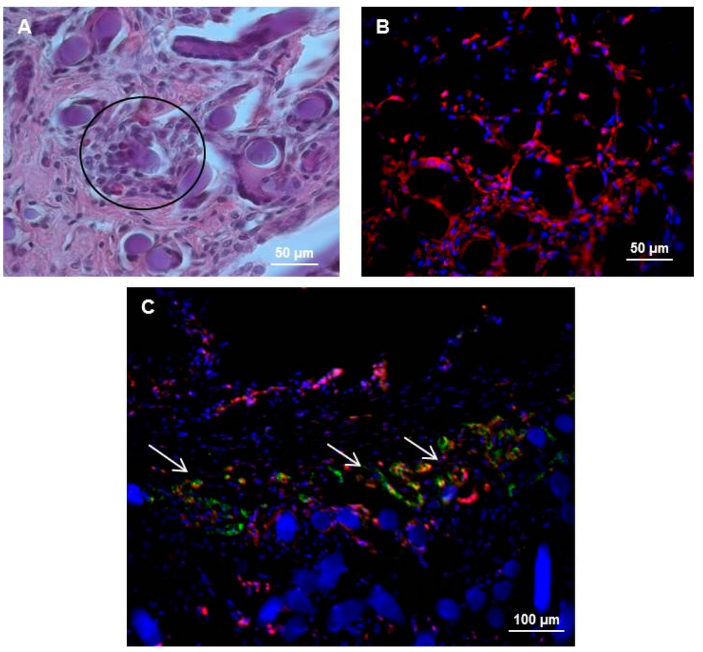
2.2. In Vivo Experiments
3. Experimental Section
3.1. Biomaterial
3.2. Animals
3.3. Cells
3.3.1. hMSC Isolation from Adipose Tissue
3.3.2. Hepatocytes Isolation from Rat Liver
3.4. 3D Culture Preparation
3.5. Methyl Thiazolyl-Tetrazolium (MTT) Assay
3.6. Albumin Enzyme-Linked Immunosorbent Assay (ELISA) Assay
3.7. 3D Culture Surgical Implantation
3.8. Hematoxylin and Eosin (H&E) and Immunofluorescence (IF) Stainings
3.9. Real-Time PCR
3.10. Semi-Quantitative Analysis of Cells
3.11. Statistical Analysis
4. Conclusions
Acknowledgments
Author Contributions
Conflicts of Interest
References
- Lee, W.M.; Squires, R.H., Jr.; Nyberg, S.L.; Doo, E.; Hoofnagle, J.H. Acute liver failure: Summary of a workshop. Hepatology 2008, 47, 1401–1415. [Google Scholar] [CrossRef]
- Yu, C.B.; Pan, X.P.; Li, L.J. Progress in bioreactors of bioartificial livers. Hepatobiliary Pancreat. Dis. Int. 2009, 8, 134–140. [Google Scholar] [PubMed]
- Van de Kerkhove, M.P.; Poyck, P.P.; Deurholt, T.; Hoekstra, R.; Chamuleau, R.A.; van Gulik, T.M. Liver support therapy: An overview of the AMC-bioartificial liver research. Dig. Surg. 2005, 22, 254–264. [Google Scholar] [CrossRef] [PubMed]
- Morsiani, E.; Brogli, M.; Galavotti, D.; Pazzi, P.; Puviani, A.C.; Azzena, G.F. Biologic liver support: Optimal cell source and mass. Int. J. Artif. Organs 2002, 25, 985–993. [Google Scholar] [PubMed]
- Van de Kerkhove, M.P.; Hoekstra, R.; Chamuleau, R.A.; van Gulik, T.M. Clinical application of bioartificial liver support systems. Ann. Surg. 2004, 240, 216–230. [Google Scholar] [CrossRef] [PubMed]
- Inamori, M.; Mizumoto, H.; Kajiwara, T. An approach for formation of vascularized liver tissue by endothelial cell-covered hepatocyte spheroid integration. Tissue Eng. A 2009, 15, 2029–2037. [Google Scholar] [CrossRef] [PubMed]
- Tilles, A.W.; Berthiaume, F.; Yarmush, M.L.; Toner, M. Critical issues in bioartificial liver development. Technol. Health Care 2002, 10, 177–186. [Google Scholar] [PubMed]
- Discher, D.E.; Mooney, D.J.; Zandstra, P.W. Growth factors, matrices, and forces combine and control stem cells. Science 2009, 324, 1673–1677. [Google Scholar] [CrossRef] [PubMed]
- Spradling, A.; Drummond-Barbosa, D.; Kai, T. Stem cells find their niche. Nature 2001, 414, 98–104. [Google Scholar] [CrossRef] [PubMed]
- Korff, T.; Augustin, H.G. Integration of endothelial cells in multicellular spheroids prevents apoptosis and induces differentiation. J. Cell Biol. 1998, 143, 1341–1352. [Google Scholar] [CrossRef] [PubMed]
- Montaño, I.; Schiestl, C.; Schneider, J.; Pontiggia, L.; Luginbühl, J.; Biedermann, T.; Böttcher-Haberzeth, S.; Braziulis, E.; Meuli, M.; Reichmann, E. Formation of human capillaries in vitro: The engineering of prevascularized matrices. Tissue Eng. A 2010, 16, 269–282. [Google Scholar] [CrossRef] [PubMed]
- Bartneck, M.; Topuz, F.; Tag, C.G.; Sauer-Lehnen, S.; Warzecha, K.T.; Trautwein, C.; Weiskirchen, R.; Tacke, F. Molecular response of liver sinusoidal endothelial cells on hydrogels. Mater. Sci. Eng. C Mater. Biol. Appl. 2015, 51, 64–72. [Google Scholar] [CrossRef] [PubMed]
- Luong, E.; Gerecht, S. Stem cells and scaffolds for vascularizing engineered tissue constructs. Adv. Biochem. Eng. Biotechnol. 2009, 114, 129–172. [Google Scholar] [PubMed]
- Bressan, E.; Carraro, A.; Ferroni, L.; Gardin, C.; Sbricoli, L.; Guazzo, R.; Stellini, E.; Roman, M.; Pinton, P.; Sivolella, S.; et al. Nanotechnology to drive stem cell commitment. Nanomedicine 2013, 8, 469–486. [Google Scholar] [CrossRef] [PubMed]
- McMurray, R.J.; Gadegaard, N.; Tsimbouri, P.M.; Burgess, K.V.; McNamara, L.E.; Tare, R.; Murawski, K.; Kingham, E.; Oreffo, R.O.; Dalby, M.J. Nanoscale surfaces for the long-term maintenance of mesenchymal stem cell phenotype and multipotency. Nat. Mater 2011, 10, 637–644. [Google Scholar] [CrossRef] [PubMed]
- Reilly, G.C.; Engler, A.J. Intrinsic extracellular matrix properties regulate stem cell differentiation. J. Biomech. 2010, 43, 55–62. [Google Scholar] [CrossRef] [PubMed]
- Dominici, M.; Le Blanc, K.; Mueller, I.; Slaper-Cortenbach, I.; Marini, F.; Krause, D.; Deans, R.; Keating, A.; Prockop, D.J.; Horowitz, E. Minimal criteria for defining multipotent mesenchymal stromal cells. The International Society for Cellular Therapy position statement. Cytotherapy 2006, 8, 315–317. [Google Scholar] [CrossRef] [PubMed]
- Herrmann, M.; Verrier, S.; Alini, M. Strategies to stimulate mobilization and homing of endogenous stem and progenitor cells for bone tissue repair. Front. Bioeng. Biotechnol. 2015, 3. [Google Scholar] [CrossRef] [PubMed]
- Baiguera, S.; Ribatti, D. Endothelialization approaches for viable engineered tissue. Angiogenesis 2013, 16, 1–14. [Google Scholar] [CrossRef] [PubMed]
- Li, Y.Y.; Choy, T.H.; Ho, F.C.; Chan, P.B. Scaffold composition affects cytoskeleton organization, cell-matrix interaction and the cellular fate of human mesenchymal stem cells upon chondrogenic differentiation. Biomaterials 2015, 52, 208–220. [Google Scholar] [CrossRef] [PubMed]
- Kaully, T.; Kaufman-Francis, K.; Lesman, A.; Levenberg, S. Vascularization-the conduit to viable engineered tissues. Tissue Eng. B Rev. 2009, 5, 159–169. [Google Scholar] [CrossRef] [PubMed]
- Lokmic, Z.; Mitchell, G.M. Engineering the microcirculation. Tissue Eng. B Rev. 2008, 14, 87–103. [Google Scholar] [CrossRef] [PubMed]
- Yu, B.; Zhang, X.; Li, X. Exosomes derived from mesenchymal stem cells. Int. J. Mol. Sci. 2014, 15, 4142–4157. [Google Scholar] [CrossRef] [PubMed]
- Zhang, L.; Xu, Q. Stem/Progenitor cells in vascular regeneration. Arterioscler. Thromb. Vasc. Biol. 2014, 34, 1114–1119. [Google Scholar] [CrossRef] [PubMed]
- Loibl, M.; Binder, A.; Herrmann, M.; Duttenhoefer, F.; Richards, R.G.; Nerlich, M.; Alini, M.; Verrier, S. Direct cell–cell contact between mesenchymal stem cells and endothelial progenitor cells induces a pericyte-like phenotype in vitro. Biomed. Res. Int. 2014, 2014, 395781. [Google Scholar] [CrossRef] [PubMed]
- Watt, S.M.; Gullo, F.; van der Garde, M.; Markeson, D.; Camicia, R.; Khoo, C.P.; Zwaginga, J.J. The angiogenic properties of mesenchymal stem/stromal cells and their therapeutic potential. Br. Med. Bull. 2013, 108, 25–53. [Google Scholar] [CrossRef] [PubMed]
- Szöke, K.; Beckstrøm, K.J.; Brinchmann, J.E. Human adipose tissue as a source of cells with angiogenic potential. Cell Transplant. 2012, 21, 235–250. [Google Scholar] [CrossRef] [PubMed]
- Duttenhoefer, F.; Lara de Freitas, R.; Meury, T.; Loibl, M.; Benneker, L.M.; Richards, R.G.; Alini, M.; Verrier, S. 3D scaffolds co-seeded with human endothelial progenitor and mesenchymal stem cells: Evidence of prevascularisation within 7 days. Eur. Cell. Mater. 2013, 26, 49–64. [Google Scholar] [PubMed]
- Carraro, A.; Flaibani, M.; Cillo, U.; Michelotto, L.; Magrofuoco, E.; Buggio, M.; Abatangelo, G.; Cortivo, R.; Herrera, M.B.; Tetta, C.; et al. A combining method to enhance the in vitro differentiation of hepatic precursor cells. Tissue Eng. C Methods 2010, 16, 1543–1551. [Google Scholar] [CrossRef] [PubMed]
- Vindigni, V.; Cortivo, R.; Iacobellis, L.; Abatangelo, G.; Zavan, B. Hyaluronan benzyl ester as a scaffold for tissue engineering. Int. J. Mol. Sci. 2009, 10, 2972–2985. [Google Scholar] [CrossRef] [PubMed]
- Clauser, L.; Ferroni, L.; Gardin, C.; Tieghi, R.; Galiè, M.; Elia, G.; Piattelli, A.; Pinton, P.; Bressan, E.; Zavan, B. Selective augmentation of stem cell populations in structural fat grafts for maxillofacial surgery. PLoS ONE 2014, 9, e110796. [Google Scholar] [CrossRef] [PubMed]
- Seglen, P.O. Preparation of isolated rat liver cells. Methods Cell Biol. 1976, 13, 29–83. [Google Scholar] [PubMed]
- Rigo, C.; Ferroni, L.; Tocco, I.; Roman, M.; Munivrana, I.; Gardin, C.; Cairns, W.R.; Vindigni, V.; Azzena, B.; Barbante, C.; et al. Active silver nanoparticles for wound healing. Int. J. Mol. Sci. 2013, 14, 4817–4840. [Google Scholar] [CrossRef] [PubMed]
- Novosel, E.C.; Kleinhans, C.; Kluger, P.J. Vascularization is the key challenge in tissue engineering. Adv. Drug Deliv. Rev. 2011, 63, 300–311. [Google Scholar] [CrossRef] [PubMed]
- Gardin, C.; Vindigni, V.; Bressan, E.; Ferroni, L.; Nalesso, E.; Puppa, A.D.; D’Avella, D.; Lops, D.; Pinton, P.; Zavan, B. Hyaluronan and fibrin biomaterial as scaffolds for neuronal differentiation of adult stem cells derived from adipose tissue and skin. Int. J. Mol. Sci. 2011, 12, 6749–6764. [Google Scholar] [CrossRef] [PubMed]






© 2016 by the authors; licensee MDPI, Basel, Switzerland. This article is an open access article distributed under the terms and conditions of the Creative Commons by Attribution (CC-BY) license (http://creativecommons.org/licenses/by/4.0/).
Share and Cite
Carraro, A.; Buggio, M.; Gardin, C.; Tedeschi, U.; Ferroni, L.; Zavan, B. Mesenchymal Stem Cells Increase Neo-Angiogenesis and Albumin Production in a Liver Tissue-Engineered Engraftment. Int. J. Mol. Sci. 2016, 17, 374. https://doi.org/10.3390/ijms17030374
Carraro A, Buggio M, Gardin C, Tedeschi U, Ferroni L, Zavan B. Mesenchymal Stem Cells Increase Neo-Angiogenesis and Albumin Production in a Liver Tissue-Engineered Engraftment. International Journal of Molecular Sciences. 2016; 17(3):374. https://doi.org/10.3390/ijms17030374
Chicago/Turabian StyleCarraro, Amedeo, Maurizio Buggio, Chiara Gardin, Umberto Tedeschi, Letizia Ferroni, and Barbara Zavan. 2016. "Mesenchymal Stem Cells Increase Neo-Angiogenesis and Albumin Production in a Liver Tissue-Engineered Engraftment" International Journal of Molecular Sciences 17, no. 3: 374. https://doi.org/10.3390/ijms17030374
APA StyleCarraro, A., Buggio, M., Gardin, C., Tedeschi, U., Ferroni, L., & Zavan, B. (2016). Mesenchymal Stem Cells Increase Neo-Angiogenesis and Albumin Production in a Liver Tissue-Engineered Engraftment. International Journal of Molecular Sciences, 17(3), 374. https://doi.org/10.3390/ijms17030374

