Development and Optimization of Ciprofloxacin HCl-Loaded Chitosan Nanoparticles Using Box–Behnken Experimental Design
Abstract
:1. Introduction
2. Materials and Methods
2.1. Materials
2.2. Experimental Design
2.3. Preparation of CS-TPP NPs by Ionic Gelation
2.4. Characterization of CHCl-Loaded CS-NPs
2.4.1. Determination of PS, PDI and ZP
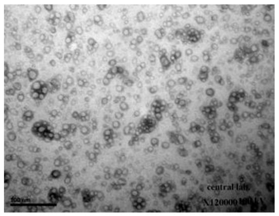
2.4.2. Determination of Morphology
2.4.3. Differential Scanning Calorimetry (DSC) Study
2.5. Lyophilization
2.6. High Performance Liquid Chromatography (HPLC) Assay of CHCl
2.7. Determination of EE
2.8. In Vitro Release Study of CHCl
2.9. Antibacterial Study
3. Results
3.1. CHCl NPs Formulation
3.2. Experimental Design Summary
3.3. Characterization of CHCl-Loaded CS-NPs
3.4. Fitting of Data to the Selected Model
3.5. Optimized Formula of CHCl NP
3.6. In Vitro Drug Release
3.7. Antibacterial Study
4. Discussion
5. Conclusions
Supplementary Materials
Author Contributions
Funding
Institutional Review Board Statement
Informed Consent Statement
Data Availability Statement
Acknowledgments
Conflicts of Interest
Sample Availability
References
- Dizaj, S.M.; Lotfipour, F.; Barzegar-Jalali, M.; Adibkia, K. Box-Behnken experimental design for preparation and optimization of ciprofloxacin hydrochloride-loaded CaCO3 nanoparticles. J. Drug Deliv. Sci. Technol. 2012, 29, 125–131. [Google Scholar] [CrossRef]
- Abdollahi, S.; Lotfipour, F. PLGA-and PLA-based polymeric nanoparticles for antimicrobial drug delivery. Biomed. Int. 2015, 3, 1–11. [Google Scholar]
- Das, S.; Suresh, P.K. Nanosuspension: A new vehicle for the improvement of the delivery of drugs to the ocular surface. Application to amphotericin B. Nanomed. Nanotechnol. Biol. Med. 2011, 7, 242–247. [Google Scholar] [CrossRef]
- Gupta, H.; Aqil, M.; Khar, R.; Ali, A.; Bhatnagar, A.; Mittal, G. Biodegradable levofloxacin nanoparticles for sustained ocular drug delivery. J. Drug Target. 2011, 19, 409–417. [Google Scholar] [CrossRef] [PubMed]
- Bu, H.Z.; Gukasyan, H.J.; Goulet, L.; Lou, X.J.; Xiang, C.; Koudriakova, T. Ocular disposition, pharmacokinetics, efficacy and safety of nanoparticle-formulated ophthalmic drugs. Curr. Drug Met. 2007, 8, 91–107. [Google Scholar] [CrossRef] [PubMed]
- Duxfield, L.; Sultana, R.; Wang, R.; Englebretsen, V.; Deo, S.; Rupenthal, I.D.; Al-Kassas, R. Ocular delivery systems for topical application of anti-infective agents. Drug Dev. Ind. Pharm. 2016, 42, 1–11. [Google Scholar] [CrossRef]
- Jeong, Y.I.; Na, H.S.; Seo, D.H.; Kim, D.G.; Lee, H.C.; Jang, M.K.; Nah, J.W. Ciprofloxacin-encapsulated poly (DL-lactide-co-glycolide) nanoparticles and its antibacterial activity. Int. J. Pharm. 2008, 352, 317–323. [Google Scholar] [CrossRef]
- Fabre, D.; Bressolle, F.; Gomeni, R.; Arich, C.; Lemesle, F.; Beziau, H.; Galtier, M. Steady-state pharmacokinetics of ciprofloxacin in plasma from patients with nosocomial pneumonia: Penetration of the bronchial mucosa. Antimic. Agents Chemother. 1991, 35, 2521–2525. [Google Scholar] [CrossRef] [Green Version]
- Drlica, K.; Zhao, X. DNA gyrase, topoisomerase IV, and the 4-quinolones. Microbiol. Mol. Biol. Rev. 1997, 61, 377–392. [Google Scholar]
- Dillen, K.; Vandervoort, J.; Van den Mooter, G.; Verheyden, L.; Ludwig, A. Factorial design, physicochemical characterisation and activity of ciprofloxacin-PLGA nanoparticles. Int. J. Pharm. 2004, 275, 171–187. [Google Scholar] [CrossRef]
- Fan, W.; Yan, W.; Xu, Z.; Ni, H. Formation mechanism of monodisperse, low molecular weight chitosan nanoparticles by ionic gelation technique. Coll. Surf. B 2012, 90, 21–27. [Google Scholar] [CrossRef] [PubMed]
- Gan, Q.; Wang, T.; Cochrane, C.; McCarron, P. Modulation of surface charge, particle size and morphological properties of chitosan–TPP nanoparticles intended for gene delivery. Coll. Surf. B 2005, 44, 65–73. [Google Scholar] [CrossRef] [PubMed]
- Shazly, G.A. Ciprofloxacin controlled-solid lipid nanoparticles: Characterization, in vitro release, and antibacterial activity assessment. Biomed. Res. Int. 2017, 2017, E2120734. [Google Scholar]
- Shah, M.; Agrawal, Y.K.; Garala, K.; Ramkishan, A. Solid lipid nanoparticles of a water soluble drug, ciprofloxacin hydrochloride. Indian J. Pharm. Sci. 2012, 74, 434–442. [Google Scholar] [CrossRef] [Green Version]
- Jain, D.; Banarjee, R. Comparison of ciprofloxacin hydrochloride-loaded protein, lipid, and chitosan for drug delivery. J. Biomed. Mater. Res. Part B 2008, 86, 105–112. [Google Scholar] [CrossRef] [PubMed]
- Pignatello, R.; Leonardi, A.; Fuochi, V.; Petronio, G.P.; Greco, A.S.; Furneri, P.M. A method for efficient loading of ciprofloxacin hydrochloride in cationic solid lipid nanaoparticles: Formulation and microbiological evaluation. Nanomaterials 2018, 8, 304. [Google Scholar] [CrossRef] [Green Version]
- Gunay, C.; Anand, S.; Gencer, H.B.; Munafo, S.; Moroni, L.; Fusco, A.; Donnarumma, G.; Ricci, C.; Hatir, P.C.; Tureli, N.G.; et al. Ciprofloxacin-loaded polymeric nanaoparticles incorporated electrospun fibers for drug delivery in tissue engineering applications. Drug Deliv. Transl. Res. 2020, 10, 706–720. [Google Scholar] [CrossRef]
- Tureli, N.G.; Torge, A.; Juntke, J.; Schwarz, B.C.; Schneider-Daum, N.; Tureli, A.E.; Lehr, C.M.; Schneider, M. Ciprofloxacin-loaded PLGA nanaoparticles against cystic fibrosis P. aeruginosa lung infections. Eur. J. Pharm. Biopharm. 2017, 117, 363–371. [Google Scholar] [CrossRef]
- Dizaj, S.M.; Lotfipour, F.; Barzegar-Jalali, M.; Zarrintan, M.H.; Adibkia, K. Ciprofloxacin HCl-loaded calcium carbonate nanoparticles: Preparation, solid state characterization, and evaluation of antimicrobial effect against Staphylococus aurius. Art. Cells Nanomed. Biotechnol. 2017, 45, 535–543. [Google Scholar] [CrossRef] [Green Version]
- Sobhani, Z.; Samani, S.M.; Montaseri, H.; Khezri, E. Nanoparticles of chitosal loaded ciprofloxacin: Fabrication and antimicrobial activity. Adv. Pharm. Bull. 2017, 7, 427–432. [Google Scholar] [CrossRef] [Green Version]
- De Giglio, E.; Trapani, A.; Cafagna, D.; Ferretti, C.; Iatta, R.; Cometa, S.; Mattioli-Belmonte, M. Ciprofloxacin-loaded Chitosan nanoparticles as titanium coatings: A valuable strategy to prevent implant-associated infections. Nano Biomed. Eng. 2012, 4, 163–169. [Google Scholar] [CrossRef] [Green Version]
- Hosseini-Ashtiani, N.; Tadjarodi, A.; Zare-Dorabei, R. Low molecular weight chitosan-cyanocobalamin nanoparticles for controlled delivery of ciprofloxacin: Preparation and evaluation. Int. J. Biol. Macromol. 2021, 176, 459–467. [Google Scholar] [CrossRef]
- Kumar, G.S.; Govindan, R.; Girija, E.K. In situ synthesis, characterization and in vitro studies of ciprofloxacin loaded hydroxyapatite nanoparticles for the treatment of osteomyelitis. J. Mater. Chem. B. 2014, 2, 5052–5060. [Google Scholar] [CrossRef]
- De Cassan, D.; Sydow, S.; Schmidt, N.; Behrens, P.; Roger, Y.; Hoffmann, A.; Hoheisel, A.L.; Glasmacher, B.; Hansch, R.; Menzel, H. Attachment of nanoparticulate drug-release systems on poly (ε-caprolactone) nanofibers via a graft polymer as interlayer. Coll. Surf. B 2018, 163, 309–320. [Google Scholar] [CrossRef] [PubMed]
- Khuri, A.I.; Mukhopadhyay, S. Response surface methodology. Wiley Inter. Rev. Comp. Stat. 2010, 2, 128–149. [Google Scholar] [CrossRef]
- Calvo, P.; Remuñan-López, C.; Vila-Jato, J.L.; Alonso, M.J. Chitosan and chitosan/ethylene oxide-propylene oxide block copolymer nanoparticles as novel carriers for proteins and vaccines. Pharm. Res. 1997, 14, 1431–1436. [Google Scholar] [CrossRef] [PubMed]
- Tsai, M.L.; Bai, S.W.; Chen, R.H. Cavitation effects versus stretch effects resulted in different size and polydispersity of ionotropic gelation chitosan–sodium tripolyphosphate nanoparticle. Carbohydr. Polym. 2008, 71, 448–457. [Google Scholar] [CrossRef]
- Badawi, A.A.; El-Laithy, H.M.; El-Qidra, R.K.; El-Mofty, H. Chitosan based nanocarriers for indomethacin ocular delivery. Arch. Pharm. Res. 2008, 31, 1040–1049. [Google Scholar] [CrossRef]
- El-Bagory, I.; Bayomi, M.; Mahrous, G.; Alanazi, F.; Alsarra, I. Effect of gamma irradiation on pluronic gels for ocular delivery of ciprofloxacin: In vitro evaluation. Aust. J. Basic Appl. Sci. 2010, 4, 4490–4498. [Google Scholar]
- Du, W.L.; Niu, S.S.; Xu, Y.L.; Xu, Z.R.; Fan, C.L. Antibacterial activity of chitosan tripolyphosphate nanoparticles loaded with various metal ions. Carbohydr. Polym. 2009, 75, 385–389. [Google Scholar] [CrossRef]
- Qi, L.; Xu, Z.; Jiang, X.; Hu, C.; Zou, X. Preparation and antibacterial activity of chitosan nanoparticles. Carbohydr. Res. 2004, 339, 2693–2700. [Google Scholar] [CrossRef] [PubMed]
- De Pinho Neves, A.L.; Milioli, C.C.; Müller, L.; Riella, H.G.; Kuhnen, N.C.; Stulzer, H.K. Factorial design as tool in chitosan nanoparticles development by ionic gelation technique. Coll. Surf. A 2014, 445, 34–39. [Google Scholar] [CrossRef]
- Mi, F.L.; Sung, H.W.; Shyu, S.S.; Su, C.C.; Pang, C.K. Synthesis and characterization of biodegradable TPP/genipin co-crosslinked chitosan gel beads. Polymers 2003, 44, 6521–6530. [Google Scholar] [CrossRef]
- Shu, X.Z.; Zhu, K.J. The influence of multivalent phosphate structure on the properties of ionically cross-linked chitosan films for controlled drug release. Eur. J. Pharm. Biopharm. 2002, 54, 235–243. [Google Scholar] [CrossRef]
- Jain, A.; Thakur, K.; Sharma, G.; Kush, P.; Jain, U.K. Fabrication, characterization and cytotoxicity studies of ionically cross-linked docetaxel loaded chitosan nanoparticles. Carbohydr. Polym. 2016, 137, 65–74. [Google Scholar] [CrossRef]
- Barresi, A.A.; Ghio, S.; Fissore, D.; Pisano, R. Freeze drying of pharmaceutical excipients close to collapse temperature: Influence of the process conditions on process time and product quality. Dry. Technol. 2009, 27, 805–816. [Google Scholar] [CrossRef] [Green Version]
- Abdelwahed, W.; Degobert, G.; Stainmesse, S.; Fessi, H. Freeze-drying of nanoparticles: Formulation, process and storage considerations. Adv. Drug Deliv. Rev. 2006, 58, 1688–1713. [Google Scholar] [CrossRef] [PubMed]
- Gokce, Y.; Cengiz, B.; Yildiz, N.; Calimli, A.; Aktas, Z. Ultrasonication of chitosan nanoparticle suspension: Influence on particle size. Coll. Surf. A 2014, 462, 75–81. [Google Scholar] [CrossRef]
- Sameti, M.; Bohr, G.; Ravi Kumar, M.N.V.; Kneuer, C.; Bakowsky, U.; Nacken, M.; Lehr, C.M. Stabilisation by freeze-drying of cationically modified silica nanoparticles for gene delivery. Int. J. Pharm. 2003, 266, 51–60. [Google Scholar] [CrossRef] [Green Version]
- Kalam, M.A.; Khan, A.A.; Khan, S.; Almalik, A.; Alshamsan, A. Optimizing indomethacin-loaded chitosan nanoparticle size, encapsulation, and release using Box–Behnken experimental design. Int. J. Biol. Macromol. 2016, 87, 329–340. [Google Scholar] [CrossRef]
- Benyounis, K.; Olabi, A.; Hashmi, M. Effect of laser welding parameters on the heat input and weld-bead profile. J. Mater. Process Technol. 2005, 164, 978–985. [Google Scholar] [CrossRef] [Green Version]
- Liu, Y.; Zheng, Y.; Wang, A. Response surface methodology for optimizing adsorption process parameters for methylene blue removal by a hydrogel composite. Adsorpt. Sci. Technol. 2010, 28, 913–922. [Google Scholar] [CrossRef]
- Wongsagonsup, R.; Shobsngob, S.; Oonkhanond, B.; Varavinit, S. Zeta potential (ζ) and pasting properties of phosphorylated or crosslinked rice starches. Starch Stärke 2005, 57, 32–37. [Google Scholar] [CrossRef]
- Motwani, S.K.; Chopra, S.; Talegaonkar, S.; Kohli, K.; Ahmad, F.J.; Khar, R.K. Chitosan–sodium alginate nanoparticles as submicroscopic reservoirs for ocular delivery: Formulation, optimisation and in vitro characterisation. Eur. J. Pharm. Biopharm. 2008, 68, 513–525. [Google Scholar] [CrossRef] [PubMed]
- Qun, G.; Ajun, W. Effects of molecular weight, degree of acetylation and ionic strength on surface tension of chitosan in dilute solution. Carbohydr. Polym. 2006, 64, 29–36. [Google Scholar] [CrossRef]
- Floris, A.; Meloni, M.C.; Lai, F.; Marongiu, F.; Maccioni, A.M.; Sinico, C. Cavitation effect on chitosan nanoparticle size: A possible approach to protect drugs from ultrasonic stress. Carbohydr. Polym. 2013, 94, 619–625. [Google Scholar] [CrossRef]
- Lan, J.; Yang, Y.; Li, X. Microstructure and microhardness of SiC nanoparticles reinforced magnesium composites fabricated by ultrasonic method. Mater. Sci. Eng. A 2004, 386, 284–290. [Google Scholar] [CrossRef]
- Janes, K.; Alonso, M. Depolymerized chitosan nanoparticles for protein delivery: Preparation and characterization. J. Appl. Polym. Sci. 2003, 88, 2769–2776. [Google Scholar] [CrossRef]
- Jain, N.K.; Jain, S.K. Development and in vitro characterization of galactosylated low molecular weight chitosan nanoparticles bearing doxorubicin. AAPS PharmSciTech. 2010, 11, 686–697. [Google Scholar] [CrossRef]
- Zaki, N.M.; Hafez, M.M. Enhanced antibacterial effect of ceftriaxone sodium-loaded chitosan nanoparticles against intracellular Salmonella typhimurium. AAPS PharmSciTech 2012, 13, 411–421. [Google Scholar] [CrossRef] [Green Version]
- Makadia, H.K.; Siegel, S.J. Poly lactic-co-glycolic acid (PLGA) as biodegradable controlled drug delivery carrier. Polymers 2011, 3, 1377–1397. [Google Scholar] [CrossRef] [PubMed]
- Fàbregas, A.; Miñarro, M.; García-Montoya, E.; Pérez-Lozano, P.; Carrillo, C.; Sarrate, R.; Suñé-Negre, J. Impact of physical parameters on particle size and reaction yield when using the ionic gelation method to obtain cationic polymeric chitosan–tripolyphosphate nanoparticles. Int. J. Pharm. 2013, 446, 199–204. [Google Scholar] [CrossRef] [PubMed]
- Tang, E.; Huang, M.; Lim, L. Ultrasonication of chitosan and chitosan nanoparticles. Int. J. Pharm. 2003, 265, 103–114. [Google Scholar] [CrossRef]
- Prabha, S.; Zhou, W.Z.; Panyam, J.; Labhasetwar, V. Size-dependency of nanoparticle-mediated gene transfection: Studies with fractionated nanoparticles. Int. J. Pharm. 2002, 244, 105–115. [Google Scholar] [CrossRef]
- Osman, R.; Kan, P.L.; Awad, G.; Mortada, N.; Abd-Elhameed, E.S.; Alpar, O. Spray dried inhalable ciprofloxacin powder with improved aerosolisation and antimicrobial activity. Int. J. Pharm. 2013, 449, 44–58. [Google Scholar] [CrossRef]
- Gajra, B.; Patel, R.R.; Dalwadi, C. Formulation, optimization and characterization of cationic polymeric nanoparticles of mast cell stabilizing agent using the Box–Behnken experimental design. Drug Dev. Ind. Pharm. 2015, 42, 747–757. [Google Scholar] [CrossRef]
- Saini, D.; Fazil, M.; Ali, M.M.; Baboota, S.; Ali, J. Formulation, development and optimization of raloxifene-loaded chitosan nanoparticles for treatment of osteoporosis. Drug Deliv. 2015, 22, 823–836. [Google Scholar] [CrossRef] [Green Version]
- Ali, J.; Bhatnagar, A.; Kumar, N.; Ali, A. Chitosan nanoparticles amplify the ocular hypotensive effect of cateolol in rabbits. Int. J. Biol. Macromol. 2014, 65, 479–491. [Google Scholar]
- Callegan, M.; Booth, M.; Gilmore, M. In vitro pharmacodynamics of ofloxacin and ciprofloxacin against common ocular pathogens. Cornea 2000, 19, 539–545. [Google Scholar] [CrossRef]
- Ravi Kumar, M.N.V. A review of chitin and chitosan applications. Reac. Func. Polym. 2000, 46, 1–27. [Google Scholar] [CrossRef]
- Abdelrahman, A.A.; Salem, H.F.; Khallaf, R.A.; Ali, M.A. Modeling, optimization, and in vitro corneal permeation of chitosan-lomefloxacin HCl nanosuspension intended for ophthalmic delivery. J. Pharm. Innov. 2015, 10, 254–268. [Google Scholar] [CrossRef]
- Chung, Y.C.; Su, Y.P.; Chen, C.C.; Jia, G.; Wang, H.I.; Wu, J.G.; Lin, J.G. Relationship between antibacterial activity of chitosan and surface characteristics of cell wall. Acta Pharmacol. Sin. 2004, 25, 932–936. [Google Scholar] [PubMed]
- Sarwar, A.; Katas, H.; Zin, N.M. Antibacterial effects of chitosan–tripolyphosphate nanoparticles: Impact of particle size molecular weight. J. Nanopart. Res. 2014, 16, 2517. [Google Scholar] [CrossRef]
- Shi, Z.; Neoh, K.G.; Kang, E.T.; Wang, W. Antibacterial and mechanical properties of bone cement impregnated with chitosan nanoparticles. Biomaterials 2006, 27, 2440–2449. [Google Scholar] [CrossRef]
- Dillen, K.; Vandervoort, J.; Van den Mooter, G.; Ludwig, A. Evaluation of ciprofloxacin-loaded Eudragit® RS100 or RL100/PLGA nanoparticles. Int. J. Pharm. 2006, 314, 72–82. [Google Scholar] [CrossRef]









| Experiment | x1 | x2 | x3 |
|---|---|---|---|
| 1 | −1 | −1 | 0 |
| 2 | 1 | −1 | 0 |
| 3 | −1 | 1 | 0 |
| 4 | 1 | 1 | 0 |
| 5 | −1 | 0 | −1 |
| 6 | 1 | 0 | −1 |
| 7 | −1 | 0 | 1 |
| 8 | 1 | 0 | 1 |
| 9 | 0 | −1 | −1 |
| 10 | 0 | 1 | −1 |
| 11 | 0 | −1 | 1 |
| 12 | 0 | 1 | 1 |
| C | 0 | 0 | 0 |
| C | 0 | 0 | 0 |
| C | 0 | 0 | 0 |
| Independent Variables | Levels | Response | Constrains | ||
|---|---|---|---|---|---|
| −1 | 0 | +1 | |||
| TPP concentration (mg/mL) | 0.1 | 0.35 | 0.6 | Particle size | Minimize |
| PDI | <0.5 | ||||
| CS concentration (mg/mL) | 0.3 | 0.65 | 1 | Zeta potential | 30–40 mV |
| Encapsulation efficiency | Maximize | ||||
| Ultra-sonication energy (watt) | 10 | 25 | 40 | Release type | Sustained Release |
| Factor | Name | Units | Type | Low Actual | High Actual | Low Coded | High Coded | Mean |
|---|---|---|---|---|---|---|---|---|
| A | TPP concentration | mg/mL | Numeric | 0.100 | 0.60 | −1.000 | 1.000 | 0.350 |
| B | Chitosan concentration | mg/mL | Numeric | 0.30 | 1.00 | −1.000 | 1.000 | 0.650 |
| C | Sonication input | watt | Numeric | 10.00 | 40.00 | −1.000 | 1.000 | 25.000 |
| Response Name | Obs | Analysis | Minimum | Maximum | Mean | STDEV | Transformation | Model |
|---|---|---|---|---|---|---|---|---|
| Particle size | 15 | Polynomial | 198.200 | 304.500 | 250.777 | ±38.356 | None | Quadratic |
| PDI | 15 | Polynomial | 0.029 | 0.354 | 0.242 | ±0.090 | None | 2FI |
| ZP | 15 | Polynomial | 27.300 | 42.3 | 35.160 | ±5.827 | None | Linear |
| EE | 15 | Polynomial | 23.5 | 45.500 | 33.609 | ±7.750 | None | Quadratic |
| Release | 15 | Polynomial | 38.900 | 61.300 | 47.751 | ±7.925 | None | Quadratic |
| Std. Order | A | B | C | PS | PDI | ZP | EE | % Cumulative CHCl Release at 24 h |
|---|---|---|---|---|---|---|---|---|
| 1 | 0.10 | 0.30 | 25 | 206.8 ± 12.3 | 0.234 ± 0.019 | 41.8 ± 1.3 | 31.23 ± 2.87 | 48.2 ± 5.73 |
| 2 | 0.60 | 0.30 | 25 | 258.7 ± 13.2 | 0.265 ± 0.04 | 27.3 ± 0.5 | 27.12 ± 4.08 | 39.43 ± 8.63 |
| 3 | 0.10 | 1.00 | 25 | 215.3 ± 8.6 | 0.257 ± 0.011 | 38.1 ± 1.6 | 32.38 ± 2.56 | 41.86 ± 5.75 |
| 4 | 0.60 | 1.00 | 25 | 304.5 ± 22.2 | 0.312 ± 0.016 | 27.6 ± 0.75 | 26.72 ± 5.78 | 43.3 ± 2.6 |
| 5 | 0.10 | 0.65 | 10 | 252.4 ± 9.7 | 0.029 ± 0.13 | 42.2 ± 3.2 | 32.05 ± 1.30 | 52.4 ± 4.58 |
| 6 | 0.60 | 0.65 | 10 | 302.4 ± 12.8 | 0.256 ± 0.091 | 29.9 ± 0.9 | 28.7 ± 5.74 | 42.9 ± 2.54 |
| 7 | 0.10 | 0.65 | 40 | 198.2 ± 16.9 | 0.304 ± 0.026 | 42.3 ± 1.6 | 29.4 ± 5.89 | 41.4 ± 2.50 |
| 8 | 0.60 | 0.65 | 40 | 295.4 ± 9.7 | 0.354 ± 0.05 | 30.5 ± 2.3 | 23.5 ± 4.87 | 38.9 ± 7.31 |
| 9 | 0.35 | 0.30 | 10 | 267.9 ± 25.3 | 0.056 ± 0.131 | 39.6 ± 1.1 | 36.57 ± 2.75 | 54.75 ± 5.83 |
| 10 | 0.35 | 1.00 | 10 | 299.06 ± 11.3 | 0.207 ± 0.021 | 30.6 ± 0.7 | 35.72 ± 1.67 | 42.55 ± 3.71 |
| 11 | 0.35 | 0.30 | 40 | 237.8 ± 16.9 | 0.339 ± 0.091 | 39.8 ± 2.1 | 31.68 ± 5.40 | 40.18 ± 2.47 |
| 12 | 0.35 | 1.00 | 40 | 286 ± 7.7 | 0.298 ± 0.061 | 30.8 ± 1.2 | 31.91 ± 1.56 | 47.63 ± 4.62 |
| * 13 | 0.35 | 0.65 | 25 | 217.3 ± 2.3 | 0.273 ± 0.087 | 33.2 ± 2.3 | 45.2 ± 2.56 | 61.16 ± 6.42 |
| * 14 | 0.35 | 0.65 | 25 | 207.2 ± 1.7 | 0.257 ± 0.068 | 34.3 ± 1.1 | 45.5 ± 1.74 | 60.3 ± 7.12 |
| * 15 | 0.35 | 0.65 | 25 | 212.7 ± 212.7 ± 2.6 | 0.247 ± 0.09 | 35.5 ± 1.7 | 45.08 ± 1.36 | 61.3 ± 6.40 |
| Source | Sum of Squares | df | Mean Square | F Value | p-Value Prob > F | |
|---|---|---|---|---|---|---|
| Model | 21,892.71 | 9 | 2432.52 | 69.51 | 0.0001 | Significant |
| A | 10,389.61 | 1 | 10,389.61 | 296.89 | <0.0001 | |
| B | 2233.12 | 1 | 2233.12 | 63.81 | 0.0005 | |
| C | 1361.38 | 1 | 1361.38 | 38.90 | 0.0016 | |
| AB | 347.82 | 1 | 347.82 | 9.94 | 0.0253 | |
| AC | 556.96 | 1 | 556.96 | 15.92 | 0.0104 | |
| BC | 72.59 | 1 | 72.59 | 2.07 | 0.2093 | |
| A2 | 502.64 | 1 | 502.64 | 14.36 | 0.0128 | |
| B2 | 1829.16 | 1 | 1829.16 | 52.27 | 0.0008 | |
| C2 | 5340.82 | 1 | 5340.82 | 152.62 | <0.0001 | |
| Residual | 174.97 | 5 | 34.99 | |||
| Lack of Fit | 123.83 | 3 | 41.28 | 1.61 | 0.4046 | not significant |
| Pure Error | 51.14 | 2 | 25.57 | |||
| Cor Total | 22,067.68 | 14 | ||||
| Source | Sum of Squares | df | Mean Square | F Value | p-Value Prob > F | |
|---|---|---|---|---|---|---|
| Model | 322.51 | 3 | 107.50 | 16.56 | 0.0002 | significant |
| A | 301.35 | 1 | 301.35 | 46.41 | <0.0001 | |
| B | 21.12 | 1 | 21.12 | 3.25 | 0.0987 | |
| C | 0.031 | 1 | 0.031 | 4.813 × 10−3 | 0.9459 | |
| Residual | 71.43 | 11 | 6.49 | |||
| Lack of Fit | 68.78 | 9 | 7.64 | 5.78 | 0.1563 | not significant |
| Pure Error | 2.65 | 2 | 1.32 | |||
| Cor Total | 393.94 | 14 | ||||
| Source | Sum of Squares | df | Mean Square | F Value | p-Value Prob > F | |
|---|---|---|---|---|---|---|
| Model | 0.11 | 6 | 0.018 | 14.11 | 0.0007 | significant |
| A | 0.016 | 1 | 0.016 | 12.98 | 0.0070 | |
| B | 4.050 × 10−3 | 1 | 4.050 × 10−3 | 3.19 | 0.1119 | |
| C | 0.070 | 1 | 0.070 | 54.95 | <0.0001 | |
| AB | 1.440 × 10−4 | 1 | 1.440 × 10−4 | 0.11 | 0.7449 | |
| AC | 7.832 × 10−3 | 1 | 7.832 × 10−3 | 6.17 | 0.0379 | |
| BC | 9.216 × 10−3 | 1 | 9.216 × 10−3 | 7.26 | 0.0273 | |
| Residual | 0.010 | 8 | 1.269 × 10−3 | |||
| Lack of Fit | 9.704 × 10−3 | 6 | 1.617 × 10−3 | 7.18 | 0.1273 | not significant |
| Pure Error | 4.507 × 10−4 | 2 | 2.253 × 10−4 | |||
| Cor Total | 0.12 | 14 | ||||
| Source | Sum of Squares | df | Mean Square | F Value | p-Value Prob > F | |
|---|---|---|---|---|---|---|
| Model | 669.76 | 9 | 74.42 | 822.61 | <0.0001 | significant |
| A | 45.22 | 1 | 45.22 | 499.86 | <0.0001 | |
| B | 2.113 × 10−3 | 1 | 2.113 × 10−3 | 0.023 | 0.8845 | |
| C | 34.24 | 1 | 34.24 | 378.46 | <0.0001 | |
| AB | 0.60 | 1 | 0.60 | 6.64 | 0.0496 | |
| AC | 1.63 | 1 | 1.63 | 17.97 | 0.0082 | |
| BC | 0.29 | 1 | 0.29 | 3.22 | 0.1325 | |
| A2 | 424.91 | 1 | 424.91 | 4696.93 | <0.0001 | |
| B2 | 98.69 | 1 | 98.69 | 1090.93 | <0.0001 | |
| C2 | 138.29 | 1 | 138.29 | 1528.69 | <0.0001 | |
| Residual | 0.45 | 5 | 0.090 | |||
| Lack of Fit | 0.36 | 3 | 0.12 | 2.56 | 0.2937 | not significant |
| Pure Error | 0.094 | 2 | 0.047 | |||
| Cor Total | 670.21 | 14 |
| Source | Sum of Squares | df | Mean Square | F Value | p-Value | |
|---|---|---|---|---|---|---|
| Model | 934.24 | 9 | 103.80 | 66.91 | 0.0001 | significant |
| A | 46.71 | 1 | 46.71 | 30.10 | 0.0027 | |
| B | 6.52 | 1 | 6.52 | 4.20 | 0.0957 | |
| C | 74.97 | 1 | 74.97 | 48.32 | 0.0009 | |
| AB | 26.06 | 1 | 26.06 | 16.80 | 0.0094 | |
| AC | 12.25 | 1 | 12.25 | 7.90 | 0.0376 | |
| BC | 96.53 | 1 | 96.53 | 62.22 | 0.0005 | |
| A2 | 372.93 | 1 | 372.93 | 240.37 | <0.0001 | |
| B2 | 217.36 | 1 | 217.36 | 140.10 | <0.0001 | |
| C2 | 179.38 | 1 | 179.38 | 115.62 | 0.0001 | |
| Residual | 7.76 | 5 | 1.55 | |||
| Lack of Fit | 7.17 | 3 | 2.39 | 8.15 | 0.1112 | not significant |
| Pure Error | 0.59 | 2 | 0.29 | |||
| Cor Total | 942.00 | 14 |
| S. aureus ATCC 25923 | P. aeruginosa ATCC 27853 | |
|---|---|---|
| CHCL soln. | 0.5 ug/mL | 1 ug/mL |
| CHCl CS-NPs | 0.12 ug/mL | 0.25 ug/mL |
Publisher’s Note: MDPI stays neutral with regard to jurisdictional claims in published maps and institutional affiliations. |
© 2022 by the authors. Licensee MDPI, Basel, Switzerland. This article is an open access article distributed under the terms and conditions of the Creative Commons Attribution (CC BY) license (https://creativecommons.org/licenses/by/4.0/).
Share and Cite
Soliman, N.M.; Shakeel, F.; Haq, N.; Alanazi, F.K.; Alshehri, S.; Bayomi, M.; Alenazi, A.S.M.; Alsarra, I.A. Development and Optimization of Ciprofloxacin HCl-Loaded Chitosan Nanoparticles Using Box–Behnken Experimental Design. Molecules 2022, 27, 4468. https://doi.org/10.3390/molecules27144468
Soliman NM, Shakeel F, Haq N, Alanazi FK, Alshehri S, Bayomi M, Alenazi ASM, Alsarra IA. Development and Optimization of Ciprofloxacin HCl-Loaded Chitosan Nanoparticles Using Box–Behnken Experimental Design. Molecules. 2022; 27(14):4468. https://doi.org/10.3390/molecules27144468
Chicago/Turabian StyleSoliman, Noha M., Faiyaz Shakeel, Nazrul Haq, Fars K. Alanazi, Sultan Alshehri, Mohsen Bayomi, Ahmed S. M. Alenazi, and Ibrahim A. Alsarra. 2022. "Development and Optimization of Ciprofloxacin HCl-Loaded Chitosan Nanoparticles Using Box–Behnken Experimental Design" Molecules 27, no. 14: 4468. https://doi.org/10.3390/molecules27144468
APA StyleSoliman, N. M., Shakeel, F., Haq, N., Alanazi, F. K., Alshehri, S., Bayomi, M., Alenazi, A. S. M., & Alsarra, I. A. (2022). Development and Optimization of Ciprofloxacin HCl-Loaded Chitosan Nanoparticles Using Box–Behnken Experimental Design. Molecules, 27(14), 4468. https://doi.org/10.3390/molecules27144468

