Pimenta dioica (L.) Merr. Bioactive Constituents Exert Anti-SARS-CoV-2 and Anti-Inflammatory Activities: Molecular Docking and Dynamics, In Vitro, and In Vivo Studies
Abstract
1. Introduction
2. Results and Discussion
2.1. Chemistry
2.2. RP-HPLC Analysis
2.3. Docking Studies
- (a)
- Their larger size compared to both ferulic acid (1) and gallic acid (3) of smaller sizes enabled them to occupy the large pocket of SARS-CoV-2 Mpro (similar to its co-crystallized polypeptide inhibitor, N3).
- (b)
- The presence of polyphenolic moieties and polyhydroxy groups in the chemical structures of the aforementioned tested compounds (rutin 2 and chlorogenic acid 4), besides the carboxylic acid group in chlorogenic acid 4 with nearly similar distances compared to the main functional groups of the N3 inhibitor. The previously mentioned functional groups with their described distances enabled them to bind the crucial amino acids inside the branched large pocket of SARS-CoV-2 Mpro.
2.4. Molecular Dynamics Simulations
2.5. Assessment of In Vitro Cytotoxicity, Antiviral Activity, and Selectivity
- (a)
- The obtained docking results against SARS-CoV-2 Mpro as a proposed mechanism of their inhibitory action showed the following activity order (2 > 4 > 1 > 3). These results were further evaluated through molecular dynamics simulations which greatly supported the docking results.
- (b)
- On the other hand, the in vitro anti-SARS-CoV-2 activities showed the following order (2 > 3 > 4 > 1) which may be attributed to the ability of gallic acid 3 to inhibit SARS-CoV-2 via more than one mechanism of action.
- (c)
- Finally, these findings confirm the great impact of using computational tools to predict the biological activities of different compounds against various recommended targets.
2.6. Biochemical Studies and Interpretation
3. Materials and Methods
3.1. Plant
3.2. Animals
3.3. Virus, and Cells
3.4. Chemicals and Equipment
4. Experimental Section
4.1. Extraction
RP-HPLC Analysis
4.2. Docking Studies
4.2.1. The Isolated and Identified Four Compounds (1–4) Preparation
4.2.2. The Target Mpro of SARS-CoV-2 Preparation
4.2.3. Docking of the Prepared Database to the Prepared Mpro of SARS-CoV-2
4.3. Molecular Dynamics Simulations
4.4. In Vitro Virological Studies
4.4.1. In Vitro Cytotoxicity Assay
4.4.2. Inhibitory Concentration 50 (IC50) Determination
4.5. Biochemical Assessments
4.5.1. RNA Extraction
4.5.2. qRT-PCR of miRNAs 21-3p and 155
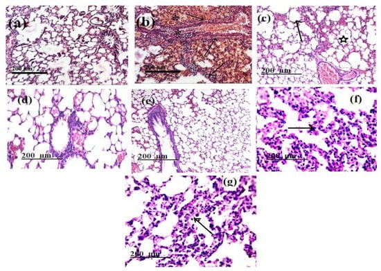
4.5.3. Histological Assessment
5. Conclusions
Supplementary Materials
Author Contributions
Funding
Institutional Review Board Statement
Informed Consent Statement
Data Availability Statement
Conflicts of Interest
Sample Availability
References
- Acter, T.; Uddin, N.; Das, J.; Akhter, A.; Choudhury, T.R.; Kim, S. Evolution of severe acute respiratory syndrome coronavirus 2 (SARS-CoV-2) as coronavirus disease 2019 (COVID-19) pandemic: A global health emergency. Sci. Total. Environ. 2020, 730, 138996. [Google Scholar] [CrossRef]
- Sarhan, A.A.; Ashour, N.A.; Al-Karmalawy, A.A. The journey of antimalarial drugs against SARS-CoV-2: Review article. Inform. Med. Unlocked 2021, 24, 100604. [Google Scholar] [CrossRef]
- Worldometer. 2021. Available online: https://www.worldometers.info/coronavirus/ (accessed on 1 August 2021).
- Milanović, Ž.B.; Milanović, Z.; Antonijević, M.; Amić, A.D.; Avdovic, E.H.; Dimic, D.; Milenković, D.; Marković, Z. Inhibitory activity of quercetin, its metabolite, and standard antiviral drugs towards enzymes essential for SARS-CoV-2: The role of acid–base equilibria. Rsc Adv. 2021, 11, 2838–2847. [Google Scholar] [CrossRef]
- Elebeedy, D.; Elkhatib, W.F.; Kandeil, A.; Ghanem, A.; Kutkat, O.; Alnajjar, R.; Saleh, M.A.; El Maksoud, A.I.A.; Badawy, I.; Al-Karmalawy, A.A. Anti-SARS-CoV-2 activities of tanshinone IIA, carnosic acid, rosmarinic acid, salvianolic acid, baicalein, and glycyrrhetinic acid between computational and in vitro insights. RSC Adv. 2021, 11, 29267–29286. [Google Scholar] [CrossRef]
- Skegg, D.; Gluckman, P.; Boulton, G.; Hackmann, H.; Karim, S.S.A.; Piot, P.; Woopen, C. Future scenarios for the COVID-19 pandemic. Lancet 2021, 397, 777–778. [Google Scholar] [CrossRef]
- Song, P.; Li, W.; Xie, J.; Hou, Y.; You, C. Cytokine storm induced by SARS-CoV-2. Clin Chim Acta 2020, 509, 280–287. [Google Scholar] [CrossRef] [PubMed]
- Chaverri, C.; Cicció, J.F. Leaf and fruit essential oil compositions of Pimenta guatemalensis (Myrtaceae) from Costa Rica. Revista de Biología Tropical 2014, 63, 303–311. [Google Scholar] [CrossRef]
- Padmakumari, K.; Sasidharan, I.; Sreekumar, M. Composition and antioxidant activity of essential oil of pimento (Pimenta dioica(L) Merr.) from Jamaica. Nat. Prod. Res. 2011, 25, 152–160. [Google Scholar] [CrossRef]
- Zhang, L.; Lokeshwar, B.L. Medicinal properties of the Jamaican pepper plant Pimenta dioica and Allspice. Curr. Drug Targets 2012, 13, 1900–1906. [Google Scholar] [CrossRef]
- Tenne, P.; Karunaratne, M. Phytochemical profile and bioactivity of essential oil from Pimenta dioica leaves on cowpea beetle, Callosobruchus maculatus (F.) (Coleoptera: Bruchidae): A farmer friendly solution for postharvest pest management. Open Agric. 2018, 3, 301–309. [Google Scholar] [CrossRef]
- Paula, J.A.M.d. Phytochemical analysis and antimicrobial, antinociceptive, and anti-inflammatory activities of two chemotypes of Pimenta pseudocaryophyllus (Myrtaceae). Evid.-Based Complementary Altern. Med. 2012, 2012, 420715. [Google Scholar] [CrossRef]
- Mancuso, C.; Santangelo, R. Ferulic acid: Pharmacological and toxicological aspects. Food Chem. Toxicol. 2014, 65, 185–195. [Google Scholar] [CrossRef]
- López-Revuelta, A.; Gallego, J.I.S.; Hernandez-Hernandez, A.; Sánchez-Yagüe, J.; Llanillo, M. Membrane cholesterol contents influence the protective effects of quercetin and rutin in erythrocytes damaged by oxidative stress. Chem. Interact. 2006, 161, 79–91. [Google Scholar] [CrossRef]
- Yeh, C.-H.; Yang, J.-J.; Yang, M.-L.; Li, Y.-C.; Kuan, Y.-H. Rutin decreases lipopolysaccharide-induced acute lung injury via inhibition of oxidative stress and the MAPK–NF-κB pathway. Free. Radic. Biol. Med. 2014, 69, 249–257. [Google Scholar] [CrossRef]
- Yang, L.; Wang, N.; Zheng, G. Enhanced Effect of Combining Chlorogenic Acid on Selenium Nanoparticles in Inhibiting Amyloid β Aggregation and Reactive Oxygen Species Formation In Vitro. Nanoscale Res. Lett. 2018, 13, 1–9. [Google Scholar] [CrossRef]
- Karimi-Khouzani, O.; Heidarian, E.; Amini, S.A. Anti-inflammatory and ameliorative effects of gallic acid on fluoxetine-induced oxidative stress and liver damage in rats. Pharmacol. Rep. 2017, 69, 830–835. [Google Scholar] [CrossRef] [PubMed]
- Jin, Z.; Du, X.; Xu, Y.; Deng, Y.; Liu, M.; Zhao, Y.; Zhang, B.; Li, X.; Zhang, L.; Peng, C.; et al. Structure of Mpro from SARS-CoV-2 and discovery of its inhibitors. Nature 2020, 582, 289–293. [Google Scholar] [CrossRef] [PubMed]
- Saeed, K.; Gould, I.; Esposito, S.; Ahmad-Saeed, N.; Ahmed, S.S.; Alp, E.; Bal, A.M.; Bassetti, M.; Bonnet, E.; Chan, M.; et al. Corrigendum to ‘Panton-Valentine Leucocidin (PVL) Staphylococcus aureus a position statement from the International Society of Chemotherapy. Int. J. Antimicrob. Agents 2018, 52, 125. [Google Scholar] [CrossRef] [PubMed]
- Sharma, V.; Wakode, S.; Kumar, H. Chapter 2—Structure- and ligand-based drug design: Concepts, approaches, and challenges. In Chemoinformatics and Bioinformatics in the Pharmaceutical Sciences; Sharma, N., Ojha, H., Raghav, P.K., Goyal, R.K., Eds.; Academic Press: Cambridge, MA, USA, 2021; pp. 27–53. [Google Scholar]
- Saikia, S.; Bordoloi, M. Molecular docking: Challenges, advances and its use in drug discovery perspective. Curr. Drug Targets 2019, 20, 501–521. [Google Scholar] [CrossRef]
- Soltan, M.A.; Eldeen, M.A.; Elbassiouny, N.; Mohamed, I.; El-Damasy, D.A.; Fayad, E.; Abu Ali, O.A.; Raafat, N.; Eid, R.A.; Al-Karmalawy, A.A. Proteome Based Approach Defines Candidates for Designing a Multitope Vaccine against the Nipah Virus. Int. J. Mol. Sci. 2021, 22, 9330. [Google Scholar] [CrossRef]
- Brogi, S. Computational Approaches for Drug Discovery. Multidiscip. Digit. Publ. Institute 2019, 24, 3601. [Google Scholar] [CrossRef] [PubMed]
- Elmeligie, S.; Taher, A.T.; Khalil, N.A.; El-Said, A.H. Synthesis and cytotoxic activity of certain trisubstituted azetidin-2-one derivatives as a cis-restricted combretastatin A-4 analogues. Arch. Pharmacal Res. 2017, 40, 13–24. [Google Scholar] [CrossRef] [PubMed]
- Taher, A.T.; Mohammed, L.W. Synthesis of new 1,3,4-benzotriazepin-5-one derivatives and their biological evaluation as antitumor agents. Arch. Pharmacal Res. 2013, 36, 684–693. [Google Scholar] [CrossRef] [PubMed]
- Al-Karmalawy, A.A.; Alnajjar, R.; Dahab, M.A.; Metwaly, A.; Eissa, I.H. Molecular docking and dynamics simulations reveal the potential of anti-HCV drugs to inhibit COVID-19 main protease. Pharm. Sci. 2021. [Google Scholar] [CrossRef]
- Alnajjar, R.; Mostafa, A.; Kandeil, A.; Al-Karmalawy, A.A. Molecular docking, molecular dynamics, and in vitro studies reveal the potential of angiotensin II receptor blockers to inhibit the COVID-19 main protease. Heliyon 2020, 6, e05641. [Google Scholar] [CrossRef] [PubMed]
- Zaki, A.A.; Al-Karmalawy, A.A.; El-Amier, Y.A.; Ashour, A. Molecular docking reveals the potential of Cleome amblyocarpa isolated compounds to inhibit COVID-19 virus main protease. New J. Chem. 2020, 44, 16752–16758. [Google Scholar] [CrossRef]
- AL-Karmalawy, A.; Dahab, M.A.; Metwaly, A.M.; Elhady, S.S.; Elkaeed, E.B.; Eissa, I.H.; Darwish, K.M. Molecular docking and dynamics simulation revealed the potential inhibitory activity of ACEIs against SARS-CoV-2 targeting hACE2 receptor. Front. Chem. 2021, 9, 227. [Google Scholar] [CrossRef]
- Elmaaty, A.A.; Darwish, K.M.; Khattab, M.; Elhady, S.S.; Salah, M.; Hamed, M.I.A.; Al-Karmalawy, A.A.; Saleh, M.M. In a search for potential drug candidates for combating COVID-19: Computational study revealed salvianolic acid B as a potential therapeutic targeting 3CLpro and spike proteins. J. Biomol. Struct. Dyn. 2021, 1–28. [Google Scholar] [CrossRef] [PubMed]
- Elmaaty, A.A.; Alnajar, R.; Hamed, M.I.A.; Khattab, M.; Khalifa, M.M.; Al-Karmalawy, A.A. Revisiting activity of some glucocorticoids as a potential inhibitor of SARS-CoV-2 main protease: Theoretical study. RSC Adv. 2021, 11, 10027–10042. [Google Scholar] [CrossRef]
- Zaki, A.A.; Ashour, A.; Elhady, S.S.; Darwish, K.M.; Al-Karmalawye, A.A. Calendulaglycoside A Showing Potential Activity Against SARS-CoV-2 Main Protease: Molecular Docking, Molecular Dynamics, and SAR Studies. J. Tradit. Complementary Med. 2021. [Google Scholar] [CrossRef] [PubMed]
- Soltane, R.; Chrouda, A.; Mostafa, A.; Al-Karmalawy, A.; Chouaïb, K.; Dhahri, A.; Pashameah, R.; Alasiri, A.; Kutkat, O.; Shehata, M.; et al. Strong Inhibitory Activity and Action Modes of Synthetic Maslinic Acid Derivative on Highly Pathogenic Coronaviruses: COVID-19 Drug Candidate. Pathogens 2021, 10, 623. [Google Scholar] [CrossRef] [PubMed]
- Kandeil, A.; Mostafa, A.; Kutkat, O.; Moatasim, Y.; Al-Karmalawy, A.A.; Rashad, A.A.; Kayed, A.E.; Kayed, A.E.; El-Shesheny, R.; Kayali, G.; et al. Bioactive Polyphenolic Compounds Showing Strong Antiviral Activities against Severe Acute Respiratory Syndrome Coronavirus 2. Pathogens 2021, 10, 758. [Google Scholar] [CrossRef] [PubMed]
- Elmaaty, A.A.; Hamed, M.; Ismail, M.; Elkaeed, E.B.; Abulkhair, H.S.; Khattab, M.; Al-Karmalawy, A. Computational Insights on the Potential of Some NSAIDs for Treating COVID-19: Priority Set and Lead Optimization. Molecules 2021, 26, 3772. [Google Scholar] [CrossRef] [PubMed]
- De Meyer, S.; Bojkova, D.; Cinatl, J.; Damme, E.; Buyck, C.; Loock, M.; Woodfall, B.; Ciesek, S. Lack of antiviral activity of darunavir against SARS-CoV-2. Int. J. Infect. Dis. 2020, 97, 7–10. [Google Scholar] [CrossRef]
- Chen, F. In vitro susceptibility of 10 clinical isolates of SARS coronavirus to selected antiviral compounds. J. Clin. Virol. 2004. [Google Scholar] [CrossRef]
- García-Niño, W.R.; Pedraza-Chaverrí, J. Protective effect of curcumin against heavy metals-induced liver damage. Food Chem. Toxicol. 2014, 69, 182–201. [Google Scholar] [CrossRef]
- Smiechowicz, J.; Skoczynska, A.; Nieckula-Szwarc, A.; Kulpa, K.; Kübler, A. Occupational mercury vapour poisoning with a respiratory failure, pneumomediastinum and severe quadriparesis. SAGE Open Med Case Rep. 2017, 5. [Google Scholar] [CrossRef]
- Pateda, S.M.; Sakakibara, M.; Sera, K. Lung Function Assessment as an Early Biomonitor of Mercury-Induced Health Disorders in Artisanal and Small-Scale Gold Mining Areas in Indonesia. Int. J. Environ. Res. Public Health 2018, 15, 2480. [Google Scholar] [CrossRef]
- Ibrahim, M. Design, Synthesis, Molecular Docking and Biological Evaluation of Some Novel Quinazolin-4(3h)-One Derivatives As Anti-Inflammatory Agents. Al-Azhar J. Pharm. Sci. 2012, 46, 185–203. [Google Scholar] [CrossRef]
- Emeny, R.T.; Korrick, S.A.; Li, Z.; Nadeau, K.; Madan, J.; Jackson, B.; Baker, E.; Karagas, M.R. Prenatal exposure to mercury in relation to infant infections and respiratory symptoms in the New Hampshire Birth Cohort Study. Environ. Res. 2019, 171, 523–529. [Google Scholar] [CrossRef]
- Mueller, M.; Hobiger, S.; Jungbauer, A. Anti-inflammatory activity of extracts from fruits, herbs and spices. Food Chem. 2010, 122, 987–996. [Google Scholar] [CrossRef]
- Bachiega, T.F.; de Sousa, J.P.B.; Bastos, J.K.; Sforcin, J.M. Clove and eugenol in noncytotoxic concentrations exert immunomodulatory/anti-inflammatory action on cytokine production by murine macrophages. J. Pharm. Pharmacol. 2012, 64, 610–616. [Google Scholar] [CrossRef] [PubMed]
- Jayaprakasam, B.; Vanisree, M.; Zhang, Y.; DeWitt, D.L.; Nair, M.G. Impact of Alkyl Esters of Caffeic and Ferulic Acids on Tumor Cell Proliferation, Cyclooxygenase Enzyme, and Lipid Peroxidation. J. Agric. Food Chem. 2006, 54, 5375–5381. [Google Scholar] [CrossRef] [PubMed]
- Kim, S.-H.; Jun, C.-D.; Suk, K.; Choi, B.-J.; Lim, H.; Park, S.; Lee, S.H.; Shin, H.-Y.; Kim, D.-K.; Shin, T.-Y. Gallic Acid Inhibits Histamine Release and Pro-inflammatory Cytokine Production in Mast Cells. Toxicol. Sci. 2005, 91, 123–131. [Google Scholar] [CrossRef]
- Kumar, S.; Singh, M.; Rawat, J.K.; Gautam, S.; Saraf, S.A.; Kaithwas, G. Effect of rutin against gastric esophageal reflux in experimental animals. Toxicol. Mech. Methods 2014, 24, 666–671. [Google Scholar] [CrossRef] [PubMed]
- Boyman, O.; Krieg, C.; Létourneau, S.; Pantaleo, G. Insight into mechanism of IL-2-induced toxicity provides rationale for improved treatment strategy using IL-2/mAb complexes (38.8). J. Immunol. 2009, 182, 38.8. [Google Scholar]
- Juhás, S.; Bukovská, A.; Čikoš, S.; Czikková, S.; Fabian, D.; Koppel, J. Anti-Inflammatory Effects of Rosmarinus officinalis Essential Oil in Mice. Acta Veter–Brno 2009, 78, 121–127. [Google Scholar] [CrossRef]
- Takaki, I.; Bersani-Amado, L.; Vendruscolo, A.; Sartoretto, S.; Diniz, S.; Bersani-Amado, C.; Cuman, R. Anti-Inflammatory and Antinociceptive Effects of Rosmarinus officinalis L. Essential Oil in Experimental Animal Models. J. Med. Food 2008, 11, 741–746. [Google Scholar] [CrossRef]
- Steen, E.H.; Wang, X.; Balaji, S.; Butte, M.J.; Bollyky, P.L.; Keswani, S.G. The Role of the Anti-Inflammatory Cytokine Interleukin-10 in Tissue Fibrosis. Adv. Wound Care 2020, 9, 184–198. [Google Scholar] [CrossRef]
- Tchounwou, P.B.; Yedjou, C.G.; Patlolla, A.K.; Sutton, D.J. Heavy Metal Toxicity and the Environment. Front. Environ. Sci. 2012, 101, 133–164. [Google Scholar] [CrossRef]
- Czubak, K.; Lewandowska, M.A.; Klonowska, K.; Roszkowski, K.; Kowalewski, J.; Figlerowicz, M.; Kozlowski, P. High copy number variation of cancer-related microRNA genes and frequent amplification of DICER1 and DROSHA in lung cancer. Oncotarget 2015, 6, 23399–23416. [Google Scholar] [CrossRef]
- Yang, M.; Shen, H.; Qiu, C.; Ni, Y.; Wang, L.; Dong, W.; Liao, Y.; Du, J. High expression of miR-21 and miR-155 predicts recurrence and unfavourable survival in non-small cell lung cancer. Eur. J. Cancer 2013, 49, 604–615. [Google Scholar] [CrossRef]
- Liu, Z.-L.; Wang, H.; Liu, J.; Wang, Z.-X. MicroRNA-21 (miR-21) expression promotes growth, metastasis, and chemo-or radioresistance in non-small cell lung cancer cells by targeting PTEN. Mol. Cell. Biochem. 2013, 372, 35–45. [Google Scholar] [CrossRef]
- Robertson, J.A.; Sauer, D.; Gold, J.; Nonas, S.A. The Role of Cyclooxygenase-2 in Mechanical Ventilation–Induced Lung Injury. Am. J. Respir. Cell Mol. Biol. 2012, 47, 387–394. [Google Scholar] [CrossRef]
- El-Lakkany, N.M.; Hammam, O.A.; El-Maadawy, W.H.; Badawy, A.A.; Ain-Shoka, A.; A Ebeid, F. Anti-inflammatory/anti-fibrotic effects of the hepatoprotective silymarin and the schistosomicide praziquantel against Schistosoma mansoni-induced liver fibrosis. Parasites Vectors 2012, 5, 9. [Google Scholar] [CrossRef] [PubMed]
- Ramakrishnan, G.; Elinos-Báez, C.M.; Jagan, S.; Augustine, T.A.; Kamaraj, S.; Anandakumar, P.; Devaki, T. Silymarin downregulates COX-2 expression and attenuates hyperlipidemia during NDEA-induced rat hepatocellular carcinoma. Mol. Cell. Biochem. 2008, 313, 53–61. [Google Scholar] [CrossRef] [PubMed]
- Boshra, S.A. Resveratrol Modulates miR-34a in Cardiotoxicity Induced by Isoproterenol. J. Med. Food 2020, 23, 593–599. [Google Scholar] [CrossRef]
- Sozmen, M.; Devrim, A.K.; Tunca, R.; Bayezit, M.; Dag, S.; Essiz, D. Protective effects of silymarin on fumonisin B1-induced hepatotoxicity in mice. J. Vete–Sci. 2014, 15, 51–60. [Google Scholar] [CrossRef] [PubMed]
- Shanthakumar, J.; Karthikeyan, A.; Bandugula, V.R.; Prasad, N.R. Ferulic acid, a dietary phenolic acid, modulates radiation effects in Swiss albino mice. Eur. J. Pharmacol. 2012, 691, 268–274. [Google Scholar] [CrossRef] [PubMed]
- Jahan, S.; Munawar, A.; Razak, S.; Anam, S.; Ain, Q.U.; Ullah, H.; Afsar, T.; Abulmeaty, M.; Almajwal, A. Ameliorative effects of rutin against cisplatin-induced reproductive toxicity in male rats. BMC Urol. 2018, 18, 1–11. [Google Scholar] [CrossRef] [PubMed]
- Meng, S.; Cao, J.; Feng, Q.; Peng, J.; Hu, Y. Roles of Chlorogenic Acid on Regulating Glucose and Lipids Metabolism: A Review. Evidence-Based Complement. Altern. Med. 2013, 2013, 1–11. [Google Scholar] [CrossRef] [PubMed]
- Marzouk, M.S.A.; Moharram, F.A.; Mohamed, M.A.; Gamal-Eldeen, A.M.; Aboutabl, E.A. Anticancer and Antioxidant Tannins from Pimenta dioica Leaves. Zeitschrift für Naturforschung C 2007, 62, 526–536. [Google Scholar] [CrossRef] [PubMed]
- Chemical Computing Group Inc. Molecular Operating Environment (MOE); Chemical Computing Group Inc.: Montreal, QC, Canada, 2016. [Google Scholar]
- Al-Karmalawy, A.A.; Khattab, M. Molecular modelling of mebendazole polymorphs as a potential colchicine binding site inhibitor. New J. Chem. 2020, 44, 13990–13996. [Google Scholar] [CrossRef]
- Samra, R.M.; Soliman, A.F.; Zaki, A.A.; Ashour, A.; Al-Karmalawy, A.A.; Hassan, M.A.; Zaghloul, A.M. Bioassay-guided isolation of a new cytotoxic ceramide from Cyperus rotundus L. South Afr. J. Bot. 2021, 139, 210–216. [Google Scholar] [CrossRef]
- Gaber, A.A.; El-Morsy, A.M.; Sherbiny, F.F.; Bayoumi, A.H.; El-Gamal, K.M.; El-Adl, K.; Al-Karmalawy, A.A.; Ezz Eldin, R.R.; Saleh, M.A.; Abulkhair, H.S. Pharmacophore-linked pyrazolo [3,4-d]pyrimidines as EGFR-TK inhibitors: Synthesis, anticancer evaluation, pharmacokinetics, and in silico mechanistic studies. Arch. Der Pharmazie. 2021, e2100258. [Google Scholar] [CrossRef]
- Al-Karmalawy, A.; Nissa, Y.M.; Ismail, N.S.M.; Dalal, A.; Ella, A.E.; Khojah, S.M.; Abouzid, K.A.M. Synthesis of New Quinoxaline Derivatives as Potential Histone Deacetylase Inhibitors Targeting Hepatocellular Carcinoma: In Silico, In Vitro, and SAR Studies. Front. Chem. 2021, 648. [Google Scholar]
- El-Shershaby, M.H.; Ghiaty, A.; Bayoumi, A.H.; Al-Karmalawy, A.A.; Husseiny, E.M.; El-Zoghbi, M.S.; Abulkhair, H.S. The antimicrobial potential and pharmacokinetic profiles of novel quinoline-based scaffolds: Synthesis and in silico mechanistic studies as dual DNA gyrase and DHFR inhibitors. New J. Chem. 2021. [Google Scholar] [CrossRef]
- Wang, K.Y.; Liu, F.; Jiang, R.; Yang, X.; You, T.; Liu, X.; Xiao, C.Q.; Shi, Z.; Jiang, H.; Rao, Z.; et al. Structure of Mpro from COVID-19 virus and discovery of its inhibitors. Nature 2020, 582, 289–293. [Google Scholar]
- Ghanem, A.; Emara, H.A.; Muawia, S.; Abd El Maksoud, A.I.; Al-Karmalawy, A.A.; Elshal, M.F. Tanshinone IIA synergistically enhances the antitumor activity of doxorubicin by interfering with the PI3K/AKT/mTOR pathway and inhibition of topoisomerase II: In Vitro and molecular docking studies. New J. Chem. 2020, 44, 17374–17381. [Google Scholar] [CrossRef]
- Khattab, M.; Al-Karmalawy, A.A. Revisiting Activity of Some Nocodazole Analogues as a Potential Anticancer Drugs Using Molecular Docking and DFT Calculations. Front. Chem. 2021, 9, 92. [Google Scholar] [CrossRef]
- Alesawy, M.S.; Al-Karmalawy, A.A.; Elkaeed, E.B.; Alswah, M.; Belal, A.; Taghour, M.S.; Eissa, I.H. Design and discovery of new 1,2,4-triazolo [4,3-c] quinazolines as potential DNA intercalators and topoisomerase II inhibitors. Archiv Der Pharmazie 2020, e2000237. [Google Scholar] [CrossRef]
- Eliaa, S.G.; Al-Karmalawy, A.A.; Saleh, R.M.; Elshal, M.F. Empagliflozin and Doxorubicin Synergistically Inhibit the Survival of Triple-Negative Breast Cancer Cells via Interfering with the mTOR Pathway and Inhibition of Calmodulin: In Vitro and Molecular Docking Studies. ACS Pharmacol. Transl. Sci. 2020, 3, 1330–1338. [Google Scholar] [CrossRef] [PubMed]
- El-Shershaby, M.H.; Ghiaty, A.; Bayoumi, A.H.; Al-Karmalawy, A.A.; Husseiny, E.M.; El-Zoghbi, M.S.; Abulkhair, H.S. From triazolophthalazines to triazoloquinazolines: A bioisosterism-guided approach toward the identification of novel PCAF inhibitors with potential anticancer activity. Bioorganic Med. Chem. 2021, 42, 116266. [Google Scholar] [CrossRef] [PubMed]
- Soltan, M.A.; Elbassiouny, N.; Gamal, H.; Elkaeed, E.B.; Eid, R.A.; Eldeen, M.A.; Al-Karmalawy, A.A. In Silico Prediction of a Multitope Vaccine against Moraxella catarrhalis: Reverse Vaccinology and Immunoinformatics. Vaccines 2021, 9, 669. [Google Scholar] [CrossRef]
- McConkey, B.J.; Sobolev, V.; Edelman, M. The Performance of Current Methods In Ligand–Protein Dockin. Curr. Sci. 2002, 845–856. [Google Scholar]
- Abdallah, A.E.; Alesawy, M.S.; Eissa, S.I.; El-Fakharany, E.M.; Kalaba, M.H.; Sharaf, M.H.; Shama, N.M.A.; Mahmoud, S.H.; Mostafa, A.; Al-Karmalawy, A.A.; et al. Design and synthesis of new 4-(2-nitrophenoxy)benzamide derivatives as potential antiviral agents: Molecular modeling and in vitro antiviral screening. New J. Chem. 2021. [Google Scholar] [CrossRef]
- Mosmann, T. Rapid colorimetric assay for cellular growth and survival: Application to proliferation and cytotoxicity assays. J. Immunol. Methods 1983, 65, 55–63. [Google Scholar] [CrossRef]
- Mostafa, A.; Kandeil, A.; Elshaier, Y.A.M.M.; Kutkat, O.; Moatasim, Y.; Rashad, A.A.; Shehata, M.; Gomaa, M.R.; Mahrous, N.; Mahmoud, S.H.; et al. FDA-Approved Drugs with Potent In Vitro Antiviral Activity against Severe Acute Respiratory Syndrome Coronavirus 2. Pharmaceuticals 2020, 13, 443. [Google Scholar] [CrossRef] [PubMed]
- Livak, K.J.; Schmittgen, T.D. Analysis of relative gene expression data using real-time quantitative PCR and the 2−ΔΔCT method. Methods 2001, 25, 402–408. [Google Scholar] [CrossRef]
- Bancroft, J.; Stevens, A.; Turner, D. Theory and Practice of Histological Techniques, 4th ed.; Churchill Living Stone: New York, NY, USA; Edinburgh, Scotland; Madrid, Spain; San Francisco, CA, USA, 1996. [Google Scholar]










| Identified Component | Area | Conc. (µg/g) |
|---|---|---|
| Gallic acid | 3427.40 | 13,496.53 |
| Chlorogenic acid | 1095.38 | 3897.96 |
| Catechin | 621.52 | 3443.93 |
| Methyl gallate | 194.12 | 132.68 |
| Caffeic acid | 97.89 | 166.34 |
| Syringic acid | 80.70 | 180.96 |
| Pyro catechol | 109.82 | 343.14 |
| Rutin | 160.07 | 966.47 |
| Ellagic acid | 529.16 | 1797.51 |
| Coumaric acid | 641.32 | 557.62 |
| Vanillin | ND | ND |
| Ferulic acid | 322.33 | 520.92 |
| Naringenin | 2783.46 | 7514.91 |
| Taxifolin | 138.86 | 467.37 |
| Cinnamic acid | ND | ND |
| Kaempferol | ND | ND |
| No. | Isolated Compound | S a | RMSD b | Receptor Interactions | Distance (Å) |
|---|---|---|---|---|---|
| 1 | Ferulic acid | −5.35 | 1.81 | Glu166/H-donor | 2.98 |
| 2 | Rutin | −9.19 | 1.81 | His163/H-acceptor Glu166/H-donor Glu166/H-donor Phe140/H-donor Cys145/H-donor His41/H-pi | 2.78 2.87 2.88 2.89 3.23 3.93 |
| 3 | Gallic acid | −4.52 | 1.58 | Leu141/H-donor Glu166/H-acceptor | 2.82 3.03 |
| 4 | Chlorogenic acid | −7.18 | 1.66 | Asn142/H-donor His164/H-donor Arg188/H-acceptor Met165/H-donor | 2.72 2.77 3.30 3.48 |
| 5 | Docked N3 | −9.22 | 1.84 | Asn142/H-acceptor His164/H-donor Cys145/H-donor | 3.08 3.28 3.37 |
| Isolated Comp. | 3D Receptor Binding | 3D Receptor Positioning |
|---|---|---|
| Ferulic acid (1) | ![]() | ![]() |
| Rutin (2) | ![]() | ![]() |
| Gallic acid (3) | ![]() | ![]() |
| Chlorogenic acid (4) | ![]() | ![]() |
| Docked N3 Inhibitor (5) * | ![]() | ![]() |
| Compound | Name | CC50 (µg/mL) | IC50 (µg/mL) | Selectivity Index CC50/IC50 |
|---|---|---|---|---|
| 1 | Ferulic acid | 5316 | 7050 | 0.75 |
| 2 | Rutin | 8017 | 31 | 259 |
| 3 | Gallic acid | 3108 | 108 | 29 |
| 4 | Chlorogenic acid | 3030 | 360 | 8 |
| No. | Groups | TNF-α (pg/mL) | (IL-1β) (pg/mL) | (IL-2) (pg/mL) |
|---|---|---|---|---|
| (I) | Normal (5 mL distilled water) | 27.60 ± 4.76 a | 46.47 ± 6.49 a | 7.11 ±0.78 a |
| (II) | Positive control HgCl2 (1 mg/kg b.w. per day in distilled water) | 188.09 ±10.02 b | 175.26 ±7.98 b | 32.46 ±3.54 b |
| (III) | HgCl2 (1 mg/kg) + Ferulic acid (50 mg/kg b.w.) | 43.85 ± 6.29 c | 56.54 ± 4.85 c | 10.49 ± 2.11 c |
| (IV) | HgCl2 (1 mg/kg) + Rutin (75 mg/kg b.w.) | 53.54 ± 4.20 d | 67.43 ±6.01 d | 14.80 ±2.34 d |
| (V) | HgCl2 (1 mg/kg) + Gallic acid (50 mg/kg b.w.) | 70.77 ± 6.48 e | 89.50 ± 7.68 e | 19.04 ± 1.30 e |
| (VI) | HgCl2 (1 mg/kg) + Chlorogenic acid (50 mg/kg) | 92.70 ± 9.28 f | 132.17 ±9.85 f | 26.02 ± 4.31 f |
| (VII) | HgCl2 (1 mg/kg) + P. dioica (50 mg/kg) | 79.61 ± 6.97 g | 115.41 ± 7.88 g | 21.49 ±2.42 e |
| No. | Groups | G-CSF (pg/mL) | (IL-10) (pg/mL) |
|---|---|---|---|
| (I) | Normal (5 mL distilled water) | 110.97 ± 11.31 a | 29.47 ±3.02 a |
| (II) | Positive control HgCl2 (1 mg/kg b.w. per day in distilled water) | 301.96 ± 17.07 b | 10.72 ± 1.81 b |
| (III) | HgCl2 (1 mg/kg.) + Ferulic acid (50 mg/kg b.w.) | 127.57 ± 9.05 c | 25.68 ± 3.08 c |
| (IV) | HgCl2 (1 mg/kg.) + Rutin (75 mg/kg b.w.) | 145.96 ± 8.64 d | 21.11 ± 1.45 d |
| (V) | HgCl2 (1 mg/kg.) + Gallic acid (50 mg/kg b.w.) | 176.23 ± 6.94 e | 17.67 ± 1.68 e |
| (VI) | HgCl2 (1 mg/kg.) + Chlorogenic acid (50 mg/kg) | 216.30 ± 13.81 f | 14.40 ± 1.24 f |
| (VII) | HgCl2 (1 mg/kg.) + P. dioica (50 mg/kg) | 201.33 ± 9.42 f | 15.72 ± 2.15 ef |
Publisher’s Note: MDPI stays neutral with regard to jurisdictional claims in published maps and institutional affiliations. |
© 2021 by the authors. Licensee MDPI, Basel, Switzerland. This article is an open access article distributed under the terms and conditions of the Creative Commons Attribution (CC BY) license (https://creativecommons.org/licenses/by/4.0/).
Share and Cite
El Gizawy, H.A.; Boshra, S.A.; Mostafa, A.; Mahmoud, S.H.; Ismail, M.I.; Alsfouk, A.A.; Taher, A.T.; Al-Karmalawy, A.A. Pimenta dioica (L.) Merr. Bioactive Constituents Exert Anti-SARS-CoV-2 and Anti-Inflammatory Activities: Molecular Docking and Dynamics, In Vitro, and In Vivo Studies. Molecules 2021, 26, 5844. https://doi.org/10.3390/molecules26195844
El Gizawy HA, Boshra SA, Mostafa A, Mahmoud SH, Ismail MI, Alsfouk AA, Taher AT, Al-Karmalawy AA. Pimenta dioica (L.) Merr. Bioactive Constituents Exert Anti-SARS-CoV-2 and Anti-Inflammatory Activities: Molecular Docking and Dynamics, In Vitro, and In Vivo Studies. Molecules. 2021; 26(19):5844. https://doi.org/10.3390/molecules26195844
Chicago/Turabian StyleEl Gizawy, Heba A., Sylvia A. Boshra, Ahmed Mostafa, Sara H. Mahmoud, Muhammad I. Ismail, Aisha A. Alsfouk, Azza T. Taher, and Ahmed A. Al-Karmalawy. 2021. "Pimenta dioica (L.) Merr. Bioactive Constituents Exert Anti-SARS-CoV-2 and Anti-Inflammatory Activities: Molecular Docking and Dynamics, In Vitro, and In Vivo Studies" Molecules 26, no. 19: 5844. https://doi.org/10.3390/molecules26195844
APA StyleEl Gizawy, H. A., Boshra, S. A., Mostafa, A., Mahmoud, S. H., Ismail, M. I., Alsfouk, A. A., Taher, A. T., & Al-Karmalawy, A. A. (2021). Pimenta dioica (L.) Merr. Bioactive Constituents Exert Anti-SARS-CoV-2 and Anti-Inflammatory Activities: Molecular Docking and Dynamics, In Vitro, and In Vivo Studies. Molecules, 26(19), 5844. https://doi.org/10.3390/molecules26195844











