A Synthetic Curcuminoid Analog, (2E,6E)-2,6-bis(2-(trifluoromethyl)benzylidene)cyclohexanone, Ameliorates Impaired Wound Healing in Streptozotocin-Induced Diabetic Mice by Increasing miR-146a
Abstract
1. Introduction
2. Results
2.1. Effect of C66 on Blood Glucose Level and Body Weight in Diabetic Mice
2.2. C66 Accelerates Skin Wound Healing
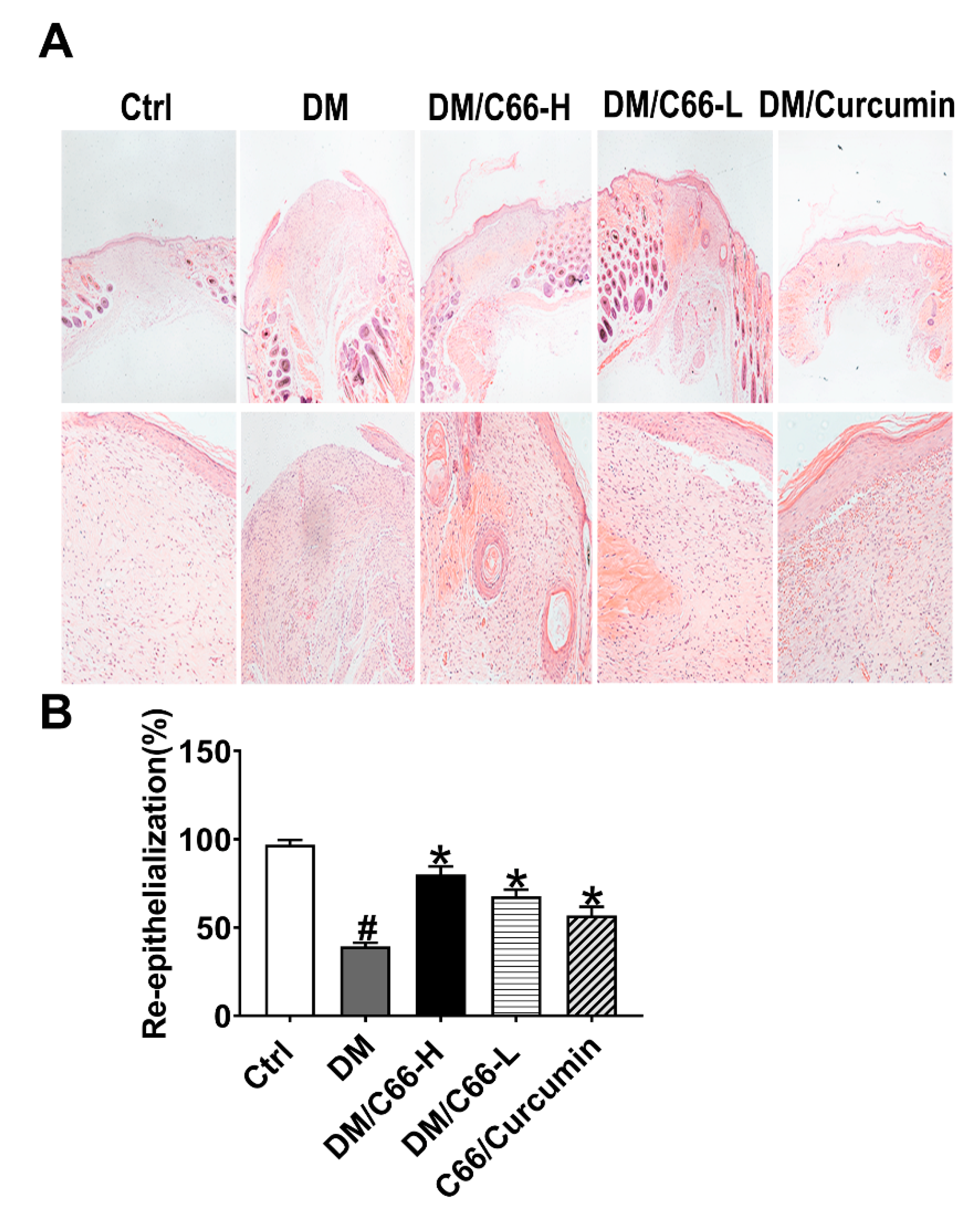
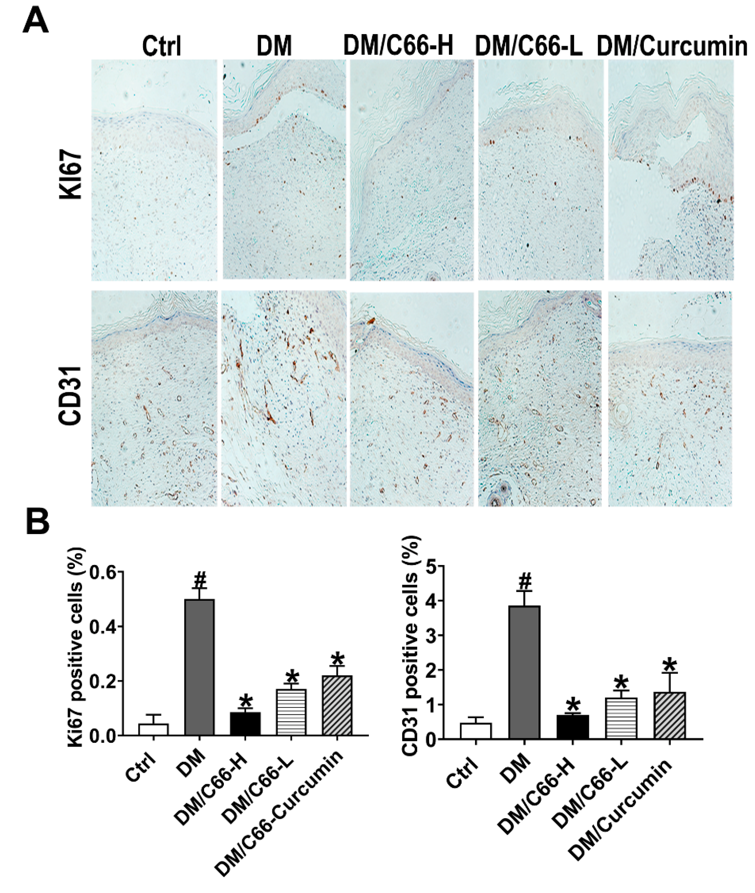
2.3. Pathologic Study on Diabetic Wound Healing by C66
2.4. C66 Attenuates NF-κB Activity via miR-146a Targeting IRAK1
2.5. MiR-146a Mediates the Inhibitory Effect of C66 on High Glucose-Induced NF-κB Activation through Targeting IRAK1
2.6. C66 Decreases Pro-Inflammatory Factors
3. Discussion
4. Materials and Methods
4.1. Drugs and Chemicals
4.2. Animals and Ethics Statement
4.3. Induction of DM and Experimental Design
4.4. Wound Biopsy and Measurement of Wound Closure
4.5. Histological Analysis of Wound Healing
4.6. Immunohistochemistry for Ki-67 and CD31
4.7. Detection of miRNA and mRNA Expression
4.8. Western Blot Analysis
4.9. Cell Culture and Drug Treatment
4.10. Transfection of miR-146a Antagomir
4.11. Statistical Analysis
Author Contributions
Funding
Conflicts of Interest
References
- Makrantonaki, E.; Jiang, D.; Hossini, A.M.; Nikolakis, G.; Wlaschek, M.; Scharffetter-Kochanek, K.; Zouboulis, C.C. Diabetes mellitus and the skin. Rev. Endocr. Metab. Disord. 2016, 17, 269–282. [Google Scholar] [CrossRef] [PubMed]
- Han, G.; Ceilley, R. Chronic Wound Healing: A Review of Current Management and Treatments. Adv. Ther. 2017, 34, 599–610. [Google Scholar] [CrossRef] [PubMed]
- Mohanty, C.; Sahoo, S.K. Curcumin and its topical formulations for wound healing applications. Drug Discov. Today 2017, 22, 1582–1592. [Google Scholar] [CrossRef] [PubMed]
- Panchatcharam, M.; Miriyala, S.; Gayathri, V.S.; Suguna, L. Curcumin improves wound healing by modulating collagen and decreasing reactive oxygen species. Mol. Cell. Biochem. 2006, 290, 87–96. [Google Scholar] [CrossRef] [PubMed]
- Yen, Y.H.; Pu, C.M.; Liu, C.W.; Chen, Y.C.; Chen, Y.C.; Liang, C.J.; Hsieh, J.H.; Huang, H.F.; Chen, Y.L. Curcumin accelerates cutaneous wound healing via multiple biological actions: The involvement of TNF-alpha, MMP-9, alpha-SMA, and collagen. Int. Wound J. 2018, 15, 605–617. [Google Scholar] [CrossRef]
- Bisht, S.; Feldmann, G.; Soni, S.; Ravi, R.; Karikar, C.; Maitra, A.; Maitra, A. Polymeric nanoparticle-encapsulated curcumin (“nanocurcumin”): A novel strategy for human cancer therapy. J. Nanobiotechnol. 2007, 5, 3. [Google Scholar] [CrossRef]
- Huang, S.-S.; Chen, D.-Z.; Wu, H.; Chen, R.-C.; Du, S.-J.; Dong, J.-J.; Liang, G.; Xu, L.-M.; Wang, X.-D.; Yang, Y.-P.; et al. Cannabinoid receptors are involved in the protective effect of a novel curcumin derivative C66 against CCl4-induced liver fibrosis. Eur. J. Pharmacol. 2016, 779, 22–30. [Google Scholar] [CrossRef]
- Wu, H.; Kong, L.; Tan, Y.; Epstein, P.N.; Zeng, J.; Gu, J.; Liang, G.; Kong, M.; Chen, X.; Miao, L.; et al. C66 ameliorates diabetic nephropathy in mice by both upregulating NRF2 function via increase in miR-200a and inhibiting miR-21. Diabetology 2016, 59, 1558–1568. [Google Scholar] [CrossRef]
- Pan, Y.; Zhao, Y.; Peng, K.; Li, W.; Wang, Y.; Zhang, J.; Zhou, S.; Liu, Q.; Li, X.; Cai, L.; et al. Inhibition of JNK Phosphorylation by a Novel Curcumin Analog Prevents High Glucose-Induced Inflammation and Apoptosis in Cardiomyocytes and the Development of Diabetic Cardiomyopathy. Diabetes 2014, 63, 3497–3511. [Google Scholar] [CrossRef]
- Pan, Y.; Huang, Y.; Wang, Z.; Fang, Q.; Sun, Y.; Tong, C.; Peng, K.; Wang, Y.; Miao, L.; Cai, L.; et al. Inhibition of MAPK-mediated ACE expression by compound C66 prevents STZ-induced diabetic nephropathy. J. Cell Mol. Med. 2014, 18, 231–241. [Google Scholar] [CrossRef]
- Miranda, K.C.; Huynh, T.; Tay, Y.; Ang, Y.-S.; Tam, W.L.; Thomson, A.M.; Lim, B.; Rigoutsos, I. A Pattern-Based Method for the Identification of MicroRNA Binding Sites and Their Corresponding Heteroduplexes. Cell 2006, 126, 1203–1217. [Google Scholar] [CrossRef] [PubMed]
- Herter, E.K.; Landén, N.X. Non-Coding RNAs: New Players in Skin Wound Healing. Adv. Wound Care 2017, 6, 93–107. [Google Scholar] [CrossRef] [PubMed]
- Fahs, F.; Bi, X.; Yu, F.-S.; Zhou, L.; Mi, Q.-S. New insights into microRNAs in skin wound healing. IUBMB Life 2015, 67, 889–896. [Google Scholar] [CrossRef] [PubMed]
- Habibi, F.; Soufi, F.G.; Ghiasi, R.; Khamaneh, A.M.; Alipour, M.R. Alteration in Inflammation-related miR-146a Expression in NF-KB Signaling Pathway in Diabetic Rat Hippocampus. Adv. Pharm. Bull. 2016, 6, 99–103. [Google Scholar] [CrossRef]
- Xu, J.; Wu, W.; Zhang, L.; Dorset-Martin, W.; Morris, M.W.; Mitchell, M.E.; Liechty, K.W. The role of microRNA-146a in the pathogenesis of the diabetic wound-healing impairment: Correction with mesenchymal stem cell treatment. Diabetes 2012, 61, 2906–2912. [Google Scholar] [CrossRef]
- Bao, B.; Ali, S.; Banerjee, S.; Wang, Z.; Logna, F.; Azmi, A.S.; Kong, D.; Ahmad, A.; Li, Y.; Padhye, S.; et al. Curcumin analogue CDF inhibits pancreatic tumor growth by switching on suppressor microRNAs and attenuating EZH2 expression. Cancer Res. 2012, 72, 335–345. [Google Scholar] [CrossRef]
- Hayden, M.S.; Ghosh, S. Signaling to NF-kappaB. Genes Dev. 2004, 18, 2195–2224. [Google Scholar] [CrossRef]
- Ma, F.; Liu, F.; Ding, L.; You, M.; Yue, H.; Zhou, Y.; Hou, Y. Anti-inflammatory effects of curcumin are associated with down regulating microRNA-155 in LPS-treated macrophages and mice. Pharm. Boil. 2017, 55, 1263–1273. [Google Scholar] [CrossRef]
- Park, H.; Huang, X.; Lu, C.; Cairo, M.S.; Zhou, X. MicroRNA-146a and microRNA-146b regulate human dendritic cell apoptosis and cytokine production by targeting TRAF6 and IRAK1 proteins. J. Biol. Chem. 2015, 290, 2831–2841. [Google Scholar] [CrossRef]
- Bhaumik, D.; Scott, G.K.; Schokrpur, S.; Patil, C.K.; Orjalo, A.V.; Rodier, F.; Lithgow, G.J.; Campisi, J. MicroRNAs miR-146a/b negatively modulate the senescence-associated inflammatory mediators IL-6 and IL-8. Aging 2009, 1, 402–411. [Google Scholar] [CrossRef]
- Furman, B.L. Streptozotocin-Induced Diabetic Models in Mice and Rats. Curr. Protoc. Pharmacol. 2015, 70, 5–47. [Google Scholar] [CrossRef] [PubMed]
- Mori, R.; Kondo, T.; Ohshima, T.; Ishida, Y.; Mukaida, N. Accelerated wound healing in tumor necrosis factor receptor p55-deficient mice with reduced leukocyte infiltration. FASEB J. 2002, 16, 963–974. [Google Scholar] [CrossRef] [PubMed]
Sample Availability: Not available. |








| Genes | Sequence (5′-3′) |
|---|---|
| TNF-α | F: CTCGAACCCCGAGTGACAA |
| R: CCGTCGAGGATGTACCGAAT | |
| IL-6 | F: ACTTCCATCCAGTTGCCTTCTTGG |
| R:TTAAGCCTCCGACTTGTGAAGTGG | |
| IL-8 | F: GCTCCTGCTGGCTGTCCTTA |
| R: AGCCTTCACCCATGGAGCAT | |
| IRAK1 | F: AGGATCAGCTCCACCTTCAGACC |
| R: TCGGTGTCCACAGCCAGTCG | |
| GAPDH | F: AGGTCGGTGTGAACGGATTTG |
| R: TGTAGACCATGTAGTTGAGGTCA | |
| U6 | F: CTCGCTTCGGCAGCACA |
| mmu-miR-146a | F: CGCGTGAGAACTGAATTCCA |
| Human-miR-146a | F:GCCCTGAGAACTGAATTCCATG |
| Universal reverse primer | R: GTGCAGGGTCCGAGGT |
| F: Forward; R: Reverse |
© 2020 by the authors. Licensee MDPI, Basel, Switzerland. This article is an open access article distributed under the terms and conditions of the Creative Commons Attribution (CC BY) license (http://creativecommons.org/licenses/by/4.0/).
Share and Cite
Huang, J.; Fu, J.; Liu, B.; Wang, R.; You, T. A Synthetic Curcuminoid Analog, (2E,6E)-2,6-bis(2-(trifluoromethyl)benzylidene)cyclohexanone, Ameliorates Impaired Wound Healing in Streptozotocin-Induced Diabetic Mice by Increasing miR-146a. Molecules 2020, 25, 920. https://doi.org/10.3390/molecules25040920
Huang J, Fu J, Liu B, Wang R, You T. A Synthetic Curcuminoid Analog, (2E,6E)-2,6-bis(2-(trifluoromethyl)benzylidene)cyclohexanone, Ameliorates Impaired Wound Healing in Streptozotocin-Induced Diabetic Mice by Increasing miR-146a. Molecules. 2020; 25(4):920. https://doi.org/10.3390/molecules25040920
Chicago/Turabian StyleHuang, Jingjuan, Jia Fu, Bing Liu, Rui Wang, and Tianhui You. 2020. "A Synthetic Curcuminoid Analog, (2E,6E)-2,6-bis(2-(trifluoromethyl)benzylidene)cyclohexanone, Ameliorates Impaired Wound Healing in Streptozotocin-Induced Diabetic Mice by Increasing miR-146a" Molecules 25, no. 4: 920. https://doi.org/10.3390/molecules25040920
APA StyleHuang, J., Fu, J., Liu, B., Wang, R., & You, T. (2020). A Synthetic Curcuminoid Analog, (2E,6E)-2,6-bis(2-(trifluoromethyl)benzylidene)cyclohexanone, Ameliorates Impaired Wound Healing in Streptozotocin-Induced Diabetic Mice by Increasing miR-146a. Molecules, 25(4), 920. https://doi.org/10.3390/molecules25040920
