The Spectroscopic Similarity between Breast Cancer Tissues and Lymph Nodes Obtained from Patients with and without Recurrence: A Preliminary Study
Abstract
1. Introduction
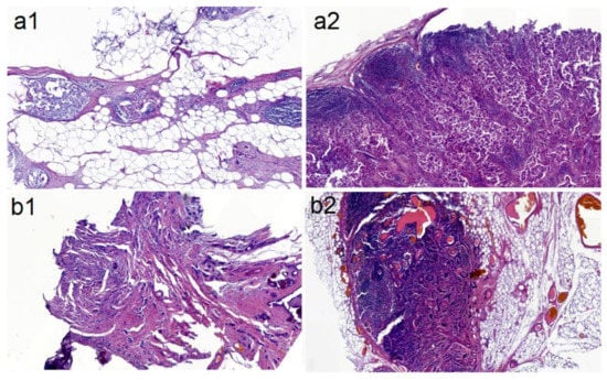
2. Results and Discussion
3. Materials and Methods
3.1. Materials
Material Preparation
3.2. Experimental
3.2.1. Histological Images of Samples
3.2.2. FTIR Spectroscopy
3.2.3. Raman Spectroscopy
3.2.4. Statistical and Computational Analysis
4. Conclusions
Author Contributions
Funding
Conflicts of Interest
References
- Chatterjee, G.; Pai, T.; Hardiman, T.; Avery-Kiejda, K.; Scott, R.J.; Spencer, J.; Pinder, S.E.; Grigoriadis, A. Molecular patterns of cancer colonization in lymph nodes of breast cancer patients. Breast Cancer Res. 2018, 20, 143. [Google Scholar] [CrossRef]
- Ji, R.-C. Lymph nodes and cancer metastatis: New perspectives on the role of intranodal lymphatic sinuses. Int. J. Mol. Sci. 2016, 18, 51. [Google Scholar] [CrossRef]
- Zhu, M.; Fu, Y.-X. The role of core TNF/LIGHT family members in lymph nodes homeostatis and remodeling. Immunol. Rev. 2011, 244, 75–84. [Google Scholar] [CrossRef] [PubMed]
- Lund, A.W.; Wagner, M.; Fankhauser, M.; Steinskog, E.S.; Broggi, M.A.; Spranger, S.; Gajewski, T.F.; Alitalo, K.; Eikesdal, H.P.; Wiig, H.; et al. Lymphatic vessels regulate immune microenvironments in human and murine melanoma. J. Clin. Investig. 2016, 126, 3389–3402. [Google Scholar] [CrossRef] [PubMed]
- Tauchi, T.; Tanaka, H.; Kumamoto, K.; Tokumoto, M.; Sakimura, C.; Sakurai, K.; Kimura, K.; Toyokawa, T.; Amano, R.; Kubo, N.; et al. Tumor-associated macrophages induce capillary morphogenesis of lymphatic endothelial cells derived from human gastric cancer. Cancer Sci. 2016, 107, 1101–1109. [Google Scholar] [CrossRef] [PubMed]
- Amin, M.B.; Greene, F.L.; Edge, S.B.; Compton, C.C.; Gershenwald, J.E.; Brookland, R.K.; Meyer, L.; Gress, D.M.; Byrd, D.R.; Winchester, D.P. The eighth edition AJCC cancer staging manual: Continuing to build a bridge from a population-based to a more ‘’personalized’’ approach to cancer staging. CA Cancer J. Clin. 2017, 67, 93–99. [Google Scholar] [CrossRef] [PubMed]
- Dickson, P.V.; Gershenwald, J.E. Staging and prognosis of cutaneous melanoma. Surg. Oncol. Clin. N. Am. 2011, 20, 1–17. [Google Scholar] [CrossRef] [PubMed]
- Carter, C.L.; Allen, C.; Henson, D.E. Relation of tumor size, lymph node status, and survival in 24 740 breast cancer cases. Cancer 1989, 63, 181–187. [Google Scholar] [CrossRef]
- Ellsworth, R.E.; Field, L.A.; Love, B.; Kane, J.L.; Hooke, J.A.; Shriver, C.D. Differential gene expression in primary breast tumors associated with lymph node metastasis. Int. J. Breast Cancer 2011, 2011, 142763. [Google Scholar] [CrossRef]
- Sotiriou, C.; Neo, S.-Y.; McShane, L.M.; Korn, E.L.; Long, P.M.; Jazaeri, A.; Martiat, P.; Fox, S.B.; Harris, A.L.; Tiu, E.T. Breast cancer classification and prognosis based on gene expression profiles from a population- based study. Proc. Natl Acad. Sci. USA 2003, 100, 10393–10398. [Google Scholar] [CrossRef]
- Sotirious, C.; Pusztai, L. Gene-expression signatures in breast cancer. N. Engl. J. Med. 2009, 360, 790–800. [Google Scholar] [CrossRef]
- Van’t Veer, L.J.; Dai, H.; van de Vijver, M.J.; He, Y.D.; Augustinus, A.M.; Hart, M.; Mao, M.; Peterse, H.L.; van der Kooy, K.; Marton, M.J.; et al. Gene expression profiling predicts clinical outcome of breast cancer. Nature 2002, 415, 530–536. [Google Scholar] [CrossRef] [PubMed]
- Burns, B.F.; Comrie, W.; Willan, A.R.; McCaughey, W.T. Observer variation in the pathologic diagnosis of malignant lymphoma in Canada. Cancer 1988, 62, 314–318. [Google Scholar] [CrossRef]
- 14 Willard-Mack, C.L. Normal structure, function, and histology of lymph nodes. Toxicol. Pathol. 2006, 34, 409–424. [Google Scholar] [CrossRef] [PubMed]
- Isabelle, M.; Stone, N.; Barr, H.; Vipond, M.; Shepherd, N.; Rogers, K. Lymph node pathology using optical spectroscopy in cancer diagnostics. J. Spectrosc. 2008, 22, 871940. [Google Scholar] [CrossRef][Green Version]
- Chan, J.W.; Taylor, D.S.; Zwerdling, T.; Lane, S.M.; Ihara, K.; Huser, T. Micro-Raman spectroscopy detects individual neoplastic and normal hematopoietic cells. Biophys. J. 2006, 90, 648–656. [Google Scholar] [CrossRef] [PubMed]
- Depciuch, J.; Sowa-Kućma, M.; Nowak, G.; Szewczyk, B.; Doboszewska, U.; Parlinska-Wojtan, M. The role of zinc deficiency-induced changes in the phospholipid-protein balance of blood serum in animal depression model by Raman, FTIR and UV-Vis spectroscopy. Biomed. Pharmacother. 2017, 89, 549–558. [Google Scholar] [CrossRef]
- Depciuch, J.; Sowa-Kućma, M.; Nowak, G.; Dudek, D.; Siwek, M.; Styczeń, K.; Parlinska-Wojtan, M. Phospholipid-protein balance in affective disorders: Analysis of human blood serum using Raman and FTIR spectroscopy. A pilot study. J. Pharm. Biomed. Anal. 2016, 131, 287–296. [Google Scholar] [CrossRef]
- Depciuch, J.; Parlinska-Wojtan, M. Qualitative and quantitative changes in phospholipids and proteins investigated by spectroscopic techniques in olfactory bulbectomy animal depression model. J. Pharm. Biomed. Anal. 2018, 148, 24–31. [Google Scholar] [CrossRef]
- Larkin, P. Infrared and Raman Spectroscopy. In Principles and Spectral Interpretation, 1st ed.; Elsevier: San Diego, CA, USA, 2011; pp. 73–117. [Google Scholar]
- Depciuch, J.; Kaznowska, E.; Zawlik, I.; Wojnarowska, R.; Cholewa, M.; Heraud, P.; Cebulski, J. Application of Raman spectroscopy and infrared spectroscopy in the identification of breast cancer. Appl. Spectrosc. 2016, 70, 251–263. [Google Scholar] [CrossRef]
- Kaznowska, E.; Łach, K.; Depciuch, J.; Chaber, R.; Koziorowska, A.; Slobodian, S.; Kiper, K.; Chlebus, A.; Cebulski, J. Application of infrared spectroscopy for the identification of squamous cell carcinoma (lung cancer). Preliminary study. Infrared Phys. Technol. 2018, 89, 282–290. [Google Scholar] [CrossRef]
- Chaber, R.; Arthur, C.J.; Depciuch, J.; Łac, K.; Raciborska, A.; Michalak, E.; Cebulski, J. Distinguishing Ewing sarcoma and osteomyelitis using FTIR spectroscopy. Sci. Rep. 2018, 8, 15081. [Google Scholar] [CrossRef] [PubMed]
- Depciuch, J.; Stanek-Widera, A.; Skrzypiec, D.; Lange, D.; Biskup-Frużyńska, M.; Kiper, K.; Stanek-Tarkowska, J.; Kula, M.; Cebulski, J. Spectroscopic identification of benign (follicular adenoma) and cancerous lesion (follicular thyroid carcinoma) in thyroid tissues. J. Pharm. Biomed. Anal. 2019, 7, 321–326. [Google Scholar] [CrossRef] [PubMed]
- Depciuch, J.; Tołpa, B.; Witek, P.; Szmuc, K.; Kaznowska, E.; Osuchowski, M.; Król, P.; Cebulski, J. Raman and FTIR spectroscopy in determining the chemical changes in healthy brain tissues and glioblastoma tumor tissues. Spectrochim Acta A. Mol. Biomol. Spectrosc. 2020, 225, 117526. [Google Scholar] [CrossRef] [PubMed]
- Babrah, J.; McCarthy, K.; Lush, R.J.; Ryc, A.D.; Bessant, C.; Stone, N. Fourier transform infrared spectroscopic studies of T-cell lymphoma, B-cell lymphoid and myeloid leukaemia cell lines. Analyst 2009, 134, 763–768. [Google Scholar] [CrossRef]
- Liu, Y.; Xu, Y.; Liu, Y.; Zhang, Y.; Wang, D.; Xiu, D.; Xu, Z.; Zhou, X.; Wu, J.; Ling, X. Detection of cervical metastatic lymph nodes in papillary thyroid carcinoma by Fourier transform infrared spectroscopy. Br. J. Surg. 2011, 98, 380–384. [Google Scholar] [CrossRef]
- Surmacki, J.; Brozek-Pluska, B.; Kordek, R.; Abramczyk, H. The lipid-reactive oxygen species phenotype of breast cancer. Raman spectroscopy and mapping, PCA and PLSDA for invasive ductal carcinoma and invasive lobular carcinoma. Molecular tumorigenic mechanisms beyond Warburg effect. Analyst 2015, 140, 2121–2133. [Google Scholar] [CrossRef]
- Meksiarun, P.; Ishigaki, M.; Huck-Pezzei, V.; Huck, C.W.; Wongravee, K.; Sato, H.; Ozaki, Y. Comparison of multivariate analysis methods for extracting the paraffin component from the paraffin-embedded cancer tissue spectra for Raman imaging. Sci. Rep. 2017, 7, 44890. [Google Scholar] [CrossRef]
- Huang, Z.; McWilliams, A.; Lam, S.; English, J.; McLean, D.J.; Lui, H.; Zeng, H. Effect of formalin fixation on the near-infrared Raman spectroscopy of normal and cancerous human bronchial tissues. Int. J. Oncol. 2003, 1, 649–655. [Google Scholar] [CrossRef]
- Galvis, L.; Dunlop, J.W.C.; Duda, G.; Fratzl, P.; Masic, A. Polarized Raman Anisotropic Response of Collagen in Tendon: Towards 3D Orientation Mapping of Collagen in Tissues. PLoS ONE 2013, 8, e63518. [Google Scholar] [CrossRef]
- Moreno, M.; Raniero, L.; Arisawa, E.A.L.; Santo, A.M.E.; Santos, E.A.P.; Bitar, R.A.; Martin, A.A. Raman spectroscopy study of breast disease. Theor. Chem. Acc. 2010, 125, 329–334. [Google Scholar] [CrossRef]
- Khrustalev, V.V.; Khrustaleva, T.A.; Kahanouskaya, E.Y.; Rudnichenko, Y.A.; Bandarenka, H.V.; Arutyunyan, A.M.; Girel, K.V.; Khinevich, N.V.; Ksenofontov, A.L.; Kordyukova, L.V. The alpha helix 1 from the first conserved region of HIV1 gp120 is reconstructed in the short NQ21 peptide. Arch. Biochem. Biophys. 2018, 638, 66–75. [Google Scholar] [CrossRef] [PubMed]
- Zavatski, S.; Khinevich, N.; Girel, K.; Redko, S.; Kovalchuk, N.; Komissarov, I.; Lukashevich, V.; Semak, I.; Mamatkulov, K.; Vorobyeva, M.; et al. Surface enhanced Raman spectroscopy of lactoferrin adsorbed on silvered porous silicon covered with graphene. Biosensors 2019, 9, 34. [Google Scholar] [CrossRef] [PubMed]
- Ji, R.C. Lymph node lymphangiogenesis: A new concept for modulating tumor metastasis and inflammatory process. Histol. Histopathol. 2009, 24, 377–384. [Google Scholar] [PubMed]
- Nagata, H.; Arai, T.; Soejima, Y.; Suzuki, H.; Ishii, H.; Hibi, T. Limited capability of regional lymph nodes to eradicate metastatic cancer cells. Cancer Res. 2004, 64, 8239–8248. [Google Scholar] [CrossRef] [PubMed][Green Version]
- Chen, X.L.; He, J.J.; Chen, K.; Lai, B.C.; Si, L.S.; Wang, Y.L. In situ analysis of distribution of immunocompetent cells in tumor’s local draining lymph nodes. Chin. J. Cell. Mol. Immunol. 2006, 22, 748–751. [Google Scholar]
- Kaffenberger, W.; Clasen, B.P.; van Beuningen, D. The respiratory burst of neutrophils, a prognostic parameter in head and neck cancer? Clin. Immunol. Immunopathol. 1992, 64, 57–62. [Google Scholar] [CrossRef]
- Liu, Y.-Q.; Sang, C.-Y.; Xu, Y.-Z.; Xu, Z.; Zhou, X.-S.; Ling, X.F. Detection of micro-metastatic lymph node in thyroid cancer by Fourier transform infrared spectroscopy. Chem. J. Chin. Univ. Chin. Ed. 2013, 34, 2279–2283. [Google Scholar]
- Da Silva, R.M.; Pupin, B.; Tapobrata, T.; Kulcsar, A.V.; Uno, M.; Chammas, R. ATR-FTIR spectroscopy and CDKN1C gene expression in the prediction of lymph nodes metastates in papillary thyroid carcinoma. Spectrochim. Acta A: Mol. Biomol. Spectrosc. 2020, 228, 117693. [Google Scholar] [CrossRef]
Sample Availability: Samples of the compounds from Raman and FTIR spectra are available from the authors. |





| Raman Spectra Peaks (cm−1) | ||||
| BCI | LNI | BCII | LNII | Vibrations |
| 849 | 848 | 846 | CCH from collagen [16] | |
| 872–892 | 891 | 893 | CCH from collagen [16,17,18,19] | |
| 945 | C-C glycogen [32] | |||
| 986 | 986 | 987 | C-C glycogen [32] | |
| 1003 | 1005 | C-C from aromatic ring of phenylalanine [16,32] | ||
| 1029 | PO2− from DNA, RNA and phospholipids [16] | |||
| 1042 | 1047 | 1048 | 1050 | C-C glycogen [16] |
| 1083 | 1083 | PO2− from DNA, RNA and phospholipids [16,28] | ||
| 1126 | 1126 | 1127 | 1127 | C-N from proteins, C-C from DNA [16] |
| 1151 | 1151 | 1150 | 1150 | C-O from carbohydrates [17,18,19] |
| 1243 | 1243 | 1244 | 1243 | Amide III [21] |
| 1348 | 1348 | 1350 | 1350 | CH from lipids and proteins [20] |
| 1399 | 1399 | 1399 | 1399 | CH from lipids and proteins [21] |
| 1424 | 1424 | 1420 | 1420 | CH2 from lipids [21] |
| 1440 | 1440 | 1440 | 1440 | CH2 from lipids, proteins [16,20] |
| 1542 | 1542 | 1541 | 1543 | Amide II [18,21] |
| 1624 | 1624 | Amino acids residues, proteins [33,34] | ||
| 1638 | 1641 | 1637 | 1637 | Amide I, proteins [33] |
| 2849 | 2849 | 2847 | 2849 | CH2 from lipids [17,20] |
| 2878 | 2878 | 2878 | 2878 | CH3 from lipids [20,21] |
| FTIR Spectroscopy Peaks (cm−1) | ||||
| BSI | LNI | BSII | LNII | Vibrations |
| 931 | 922 | 931 | 926 | PO3−2 group from DNA, RNA and phospholipids [22] |
| 1078 | 1078 | 1072 | 1078 | C-O group from glycogen [23] |
| 1181 | 1181 | 1183 | PO3−2 group from DNA, RNA and phospholipids [24] | |
| 1238 | 1238 | 1238 | 1238 | Amide III [25] |
| 1377 | 1377 | 1377 | 1377 | CH2 group from protein and lipids [25] |
| 1484 | 1484 | 1484 | 1488 | CH2 group from cholesterol [25] |
| 1541 | 1539 | 1543 | 1537 | Amide II [26] |
| 1639 | 1639 | 1637 | 1637 | Amide I [26] |
| 1741 | 1730 | 1732 | 1732 | CO vibrations from lipids [27] |
| 2849 | 2848 | 2848 | 2848 | Symmetric stretching vibrations of CH2 [26] |
| 2914 | 2915 | 2916 | 2919 | Asymmetric stretching vibrations of CH2 [26] |
| 2958 | 2958 | 2955 | 2959 | CH3 asymmetric stretching [26] |
| No | A Year of Birth | Breast | Type of Cancer | DCIS | NG | G | IM | ER | PR | HER | Type of Surgery | Tumor Size before Treatment [cm] | ypTNM | Treatment | Answer | Recurrence |
|---|---|---|---|---|---|---|---|---|---|---|---|---|---|---|---|---|
| 23--3 | 1960 | L | NST | 0 | 3 | 3 | 11 | (+++) | (+++) | (+) | amputation | 2.5 | ypT1cN2a | CT, RT | partial small | Without evidence of failure |
| 25--3 | 1962 | R | NST | 1 | 2 | 2 | 7 | (++) | (+++) | (+) | amputation | 2.3 × 1.9 × 1.9 | ypT1cN1a | CT, RT | partial small | Without evidence of failure |
| 21--3 | 1949 | L | NST | 0 | 2 | 2 | 5 | (+) | (+++) | (+) | amputation | 3.6 | ypT2N1a | CT, RT | partial small | Without evidence of failure |
| 10--3 | 1954 | L | NST | 0 | 3 | 3 | 43 | (−) | (−) | (−) | amputation | 4.0 | ypT2N1a | CT, RT | partial | Without evidence of failure |
| 5--3 | 1950 | R | NST | 1 | 3 | 3 | 15 | (++) po CT | (+) po CT | (+) po Ct | amputation | 1.1 | ypT1aN1a | CT, RT | partial large | Spread to the brain, DCIS in the second breast |
| 14--3 | 1970 | L | NST | 1 | 1 | 1 | 0 | (−) | (+) | (+++) | amputation | 3.0 | ypT1cN1a | CT, RT | partial large | Spread to the lymph nodes |
| 20--3 | 1952 | L | NST | 0 | 2 | 2 | 5 | (−) | (−) | (+) | amputation | 5.5 | ypT2N3a | CT, RT | partial small | Spread to the lymph nodes and recurence |
| 22--3 | 1937 | L | NST | 0 | 2 | 2 | 4 | (+) | (+) | (−) | amputation | 4.0 | ypT2N3a | CT, RT | partial small | Endometrial cancer, spread to bone, lung, local recurrence |
© 2020 by the authors. Licensee MDPI, Basel, Switzerland. This article is an open access article distributed under the terms and conditions of the Creative Commons Attribution (CC BY) license (http://creativecommons.org/licenses/by/4.0/).
Share and Cite
Depciuch, J.; Stanek-Widera, A.; Khinevich, N.; Bandarenka, H.V.; Kandler, M.; Bayev, V.; Fedotova, J.; Lange, D.; Stanek-Tarkowska, J.; Cebulski, J. The Spectroscopic Similarity between Breast Cancer Tissues and Lymph Nodes Obtained from Patients with and without Recurrence: A Preliminary Study. Molecules 2020, 25, 3295. https://doi.org/10.3390/molecules25143295
Depciuch J, Stanek-Widera A, Khinevich N, Bandarenka HV, Kandler M, Bayev V, Fedotova J, Lange D, Stanek-Tarkowska J, Cebulski J. The Spectroscopic Similarity between Breast Cancer Tissues and Lymph Nodes Obtained from Patients with and without Recurrence: A Preliminary Study. Molecules. 2020; 25(14):3295. https://doi.org/10.3390/molecules25143295
Chicago/Turabian StyleDepciuch, Joanna, Agata Stanek-Widera, Nadia Khinevich, Hanna V. Bandarenka, Michal Kandler, Vadim Bayev, Julia Fedotova, Dariusz Lange, Jadwiga Stanek-Tarkowska, and Jozef Cebulski. 2020. "The Spectroscopic Similarity between Breast Cancer Tissues and Lymph Nodes Obtained from Patients with and without Recurrence: A Preliminary Study" Molecules 25, no. 14: 3295. https://doi.org/10.3390/molecules25143295
APA StyleDepciuch, J., Stanek-Widera, A., Khinevich, N., Bandarenka, H. V., Kandler, M., Bayev, V., Fedotova, J., Lange, D., Stanek-Tarkowska, J., & Cebulski, J. (2020). The Spectroscopic Similarity between Breast Cancer Tissues and Lymph Nodes Obtained from Patients with and without Recurrence: A Preliminary Study. Molecules, 25(14), 3295. https://doi.org/10.3390/molecules25143295

