Chemical Composition of Pinus roxburghii Bark Volatile Oil and Validation of Its Anti-Inflammatory Activity Using Molecular Modelling and Bleomycin-Induced Inflammation in Albino Mice
Abstract
1. Introduction
2. Results and Discussion
2.1. Chemical Composition of P. roxburghii Bark Essential Oil (PRO)
2.2. In Vitro Anti-Inflammatory Activity of PRO
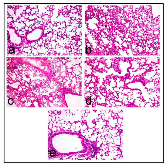
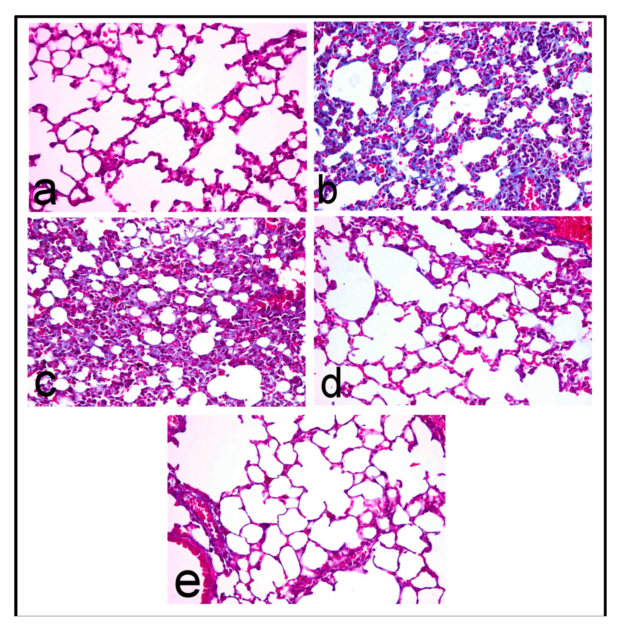
2.3. In Vivo Anti-Inflammatory Activity of PRO
2.4. In Silico Molecular Modelling Study of PRO Major Constituents in GR
3. Materials and Methods
3.1. Plant Material
3.2. Essential Oil Preparation
3.3. Gas Chromatography
3.3.1. GC/FID Analysis
3.3.2. GC/MS Analysis
3.4. In Vitro Anti-Inflammatory Activity Evaluation
3.4.1. Cannabinoid Receptor Binding Assay
3.4.2. Opioid Receptor Binding Assay
3.5. In Vivo Anti-Inflammatory Activity Evaluation
3.5.1. Drugs, Chemicals, and Kits
3.5.2. Animals
3.5.3. Experimental Design
3.5.4. Evaluation of Lipid Peroxidation and Oxidative Stress Markers
3.5.5. Evaluation of the Inflammatory Markers
3.5.6. Histological Study
3.5.7. Statistical Analysis
3.6. Molecular Modelling Study
| ΔG binding | The ligand–enzyme interaction binding energy |
| E complex | The potential energy for the complex of GR bound with the ligand |
| E GR | The potential energy of the protein alone |
| E ligand | The potential energy for the ligand alone |
4. Conclusions
Supplementary Materials
Acknowledgments
Author Contributions
Conflicts of Interest
References
- Oyedapo, O.; Adewunmi, C.; Iwalewa, E.; Makanju, V. Analgesic, antioxidant and anti-inflammatory related activities of 21-hydroxy-2,41-dimethoxychalcone and 4-hydroxychalcone in Mice. J. Biol. Sci. 2008, 8, 131–136. [Google Scholar]
- Stankov, S.V. Definition of inflammation, causes of inflammation and possible anti-inflammatory strategies. Open Inflamm. J. 2012, 5, 1–9. [Google Scholar] [CrossRef]
- El-Readi, M.Z.; Eid, H.H.; Ashour, M.L.; Eid, S.Y.; Labib, R.M.; Sporer, F.; Wink, M. Variations of the chemical composition and bioactivity of essential oils from leaves and stems of Liquidambar styraciflua (Altingiaceae). J. Pharm. Pharmacol. 2013, 65, 1653–1663. [Google Scholar] [CrossRef] [PubMed]
- Tapiero, H.; Ba, G.N.; Couvreur, P.; Tew, K. Polyunsaturated fatty acids (PUFA) and eicosanoids in human health and pathologies. Biomed. Pharmacother. 2002, 56, 215–222. [Google Scholar] [CrossRef]
- Kaushik, D.; Kumar, A.; Kaushik, P.; Rana, A. Analgesic and anti-inflammatory activity of Pinus roxburghii Sarg. Adv. Pharmacol. Sci. 2012, 2012, 245431. [Google Scholar] [CrossRef] [PubMed]
- Kaushik, P.; Kaushik, D.; Khokra, S.L. Ethnobotany and phytopharmacology of Pinus roxburghii Sarg: A plant review. J. Integr. Med. 2013, 11, 371–376. [Google Scholar] [CrossRef] [PubMed]
- Rashid, S.; Ahmad, M.; Zafar, M.; Sultana, S.; Ayub, M.; Khan, M.; Yaseen, G. Ethnobotanical survey of medicinally important shrubs and trees of Himalayan region of Azad Jammu and Kashmir, Pakista. J. Ethnopharmacol. 2015, 166, 340–351. [Google Scholar] [CrossRef] [PubMed]
- Khan, I.; Singh, V.; Chaudhary, A.K. Hepatoprotective activity of Pinus roxburghii Sarg. wood oil against carbon tetrachloride and ethanol induced hepatotoxicity. Bangladesh J. Pharmacol. 2012, 7, 94–99. [Google Scholar] [CrossRef]
- Sharma, A.; Goyal, R.; Sharma, L. Potential biological efficacy of Pinus plant species against oxidative, inflammatory andmicrobial disorders. BMC Complement. Altern. Med. 2016, 16, 35. [Google Scholar] [CrossRef]
- Shah, W.A.; Qadir, M.; Banday, J.A. GC-MS analysis, antibacterial, antioxidant and anticancer activity of essential oil of Pinus roxburghii from Kashmir, India. Int. J. Pharmacol. Res. 2014, 4, 61–64. [Google Scholar]
- Gülçin, İ.; Büyükokuroǧlu, M.E.; Oktay, M.; Küfrevioǧlu, Ö.İ. Antioxidant and analgesic activities of turpentine of Pinus nigra Arn. subsp. pallsiana (Lamb.) Holmboe. J. Ethnopharmacol. 2003, 86, 51–58. [Google Scholar] [CrossRef]
- Süntar, I.; Tumen, I.; Ustün, O.; Keleş, H.; Akkol, E.K. Appraisal on the wound healing and anti-inflammatory activities of the essential oils obtained from the cones and needles of Pinus species by in vivo and in vitro experimental models. J. Ethnopharmacol. 2012, 139, 533–540. [Google Scholar] [CrossRef] [PubMed]
- Neves, J.M.; Matos, C.; Moutinho, C.; Queiroz, G.; Gomes, L.R. Ethnopharmacological notes about ancient uses of medicinal plants in Trás-os-Montes (northern of Portugal). J. Ethnopharmacol. 2009, 124, 270–283. [Google Scholar] [CrossRef] [PubMed]
- Satyal, P.; Paudel, P.; Raut, J.; Deo, A.; Dosoky, N.S.; Setzer, W.N. Volatile constituents of Pinus roxburghii from Nepal. Pharmacogn. Res. 2013, 5, 43–48. [Google Scholar]
- Anilkumar, K.M. Ethnomedicinal plants as anti-inflammatory and analgesic agents. In Ethnomedicine: A Source of Complementary Therapeutics; Chattopadhyay, D., Ed.; Research Signpost: Kerala, India, 2010. [Google Scholar]
- Sehgal, N.; Smith, H.S.; Manchikanti, L. Peripherally acting opioids and clinical implications for pain control. Pain Physician 2011, 14, 249–258. [Google Scholar] [PubMed]
- Cashman, J.N. The mechanisms of action of NSAIDs in analgesia. Drugs 1996, 52, 13–23. [Google Scholar] [CrossRef] [PubMed]
- Pertwee, R.G. Pharmacology of cannabinoid CB1 and CB2 receptors. Pharmacol. Ther. 1997, 74, 129–180. [Google Scholar] [CrossRef]
- Cutroneo, K.R.; Sterling, K.M. A molecular basis for bleomycin-induced pulmonary fibrosis. Chest J. 1986, 89, 121S–122S. [Google Scholar] [CrossRef]
- Dik, W.; McAnulty, R.; Versnel, M.; Naber, B.; Zimmermann, L.; Laurent, G.; Mutsaers, S. Short course dexamethasone treatment following injury inhibits bleomycin induced fibrosis in rats. Thorax 2003, 58, 765–771. [Google Scholar] [CrossRef] [PubMed]
- Rhen, T.; Cidlowski, J.A. Antiinflammatory action of glucocorticoids—New mechanisms for old drugs. N. Engl. J. Med. 2005, 353, 1711–1723. [Google Scholar] [CrossRef] [PubMed]
- Adams, R.P. Identification of Essential oil Components by Gas Chromatography/Mass Spectrometry, 4th ed.; Allured Books: Carol Stream, IL, USA, 2009; p. 804. [Google Scholar]
- Youssef, F.S.; Hamoud, R.; Ashour, M.L.; Singab, A.N.; Wink, M. Volatile oils from the aerial parts of Eremophila maculata and their antimicrobial activity. Chem. Biodivers. 2014, 11, 831–841. [Google Scholar] [CrossRef] [PubMed]
- Howlett, A.; Barth, F.; Bonner, T.; Cabral, G.; Casellas, P.; Devane, W.; Felder, C.; Herkenham, M.; Mackie, K.; Martin, B. International Union of Pharmacology. XXVII. Classification of cannabinoid receptors. Pharmacol. Rev. 2002, 54, 161–202. [Google Scholar] [CrossRef] [PubMed]
- Karimfar, M.H.; Rostami, S.; Haghani, K.; Bakhtiyari, S.; Noori-Zadeh, A. Melatonin alleviates bleomycin-induced pulmonary fibrosis in mice. J. Biol. Regul. Homeost. Agents 2015, 29, 327–334. [Google Scholar] [PubMed]
- Nishikimi, M.; Appaji, N.; Yagi, K. The occurrence of superoxide anion in the reaction of reduced phenazine methosulfate and molecular oxygen. Biochem. Biophys. Res. Commun. 1972, 46, 849–854. [Google Scholar] [CrossRef]
- Aebi, H. Catalase in vitro. Methods Enzymol. 1984, 105, 121–126. [Google Scholar] [PubMed]
- Mihara, M.; Uchiyama, M. Determination of malonaldehyde precursor in tissues by thiobarbituric acid test. Anal. Biochem. 1978, 86, 271–278. [Google Scholar] [PubMed]
- Okazaki, T.; Nakao, A.; Nakano, H.; Takahashi, F.; Takahashi, K.; Shimozato, O.; Takeda, K.; Yagita, H.; Okumura, K. Impairment of bleomycin-induced lung fibrosis in CD28-deficient mice. J. Immunol. 2001, 167, 1977–1981. [Google Scholar] [CrossRef] [PubMed]
- Youssef, F.S.; Ashour, M.L.; Ebada, S.S.; Sobeh, M.; El-Beshbishy, H.A.; Singab, A.N.; Wink, M. Antihyperglycaemic activity of the methanol extract from leaves of Eremophila maculata (Scrophulariaceae) in streptozotocin-induced diabetic rats. J. Pharm. Pharmacol. 2017, 69, 733–742. [Google Scholar] [CrossRef] [PubMed]
- Ashour, M.L.; Youssef, F.S.; Gad, H.A.; Wink, M. Inhibition of cytochrome P450 (CYP3A4) activity by extracts from 57 plants used in traditional chinese medicine (TCM). Pharmacogn. Mag. 2017, 13, 300–308. [Google Scholar] [PubMed]
- Youssef, F.; Ashour, M.; Sobeh, M.; El-Beshbishy, H.; Singab, A.N.; Wink, M. Eremophila maculata—Isolation of a rare naturally-occurring lignan glycoside and the hepatoprotective activity of the leaf extract. Phytomedicine 2016, 23, 1484–1493. [Google Scholar]
Sample Availability: Samples of the essential oil of Pinus roxburghii are available from the authors. |





| Component | RI | Content (%) | Identification Method | ||
|---|---|---|---|---|---|
| Calculated | Reported | ||||
| 1 | α-Thujene | 922 | 922 | tr. | MS, RI |
| 2 | α-Pinene | 929 | 929 | 2.21 | MS, RI |
| 3 | Camphene | 945 | 945 | 0.17 | MS, RI |
| 4 | 1-Isopropyl-4-methylenebicyclo[3.1.0]hex-2-ene | 951 | 952 | 0.19 | MS, RI |
| 5 | 1,2,4-Trimethylbenzene | 995 | 994 | tr. | MS, RI |
| 6 | 3-Carene | 1013 | 1013 | 1.5 | MS, RI |
| 7 | Isocineole | 1018 | 1018 | tr. | MS, RI |
| 8 | α-Terpinene | 1019 | 1019 | 0.09 | MS, RI |
| 9 | ρ-Cymene | 1025 | 1025 | 0.25 | MS, RI |
| 10 | o-Cymene | 1027 | 1026 | 0.87 | MS, RI |
| 11 | d-Limonene | 1031 | 1031 | 0.37 | MS, RI |
| 12 | Eucalyptol (p-Cineole) | 1034 | 1034 | tr. | MS, RI |
| 13 | trans-Bicyclo[4.4.0]Decane | 1057 | 1056 | 0.1 | MS, RI |
| 14 | τ-Terpinene | 1062 | 1062 | 0.32 | MS, RI |
| 15 | 2-Methyldecane | 1066 | 1063 | tr. | MS, RI |
| 16 | Terpinolene | 1094 | 1093 | 1.97 | MS, RI |
| 17 | n-Undecane | 1102 | 1100 | 0.34 | MS, RI |
| 18 | n-Nonanal | 1108 | 1108 | 0.17 | MS, RI |
| 19 | α-Thujone | 1110 | 1110 | 0.06 | MS, RI |
| 20 | Fenchol, exo- | 1119 | 1119 | 0.14 | MS, RI |
| 21 | l-trans-Pinocarveol | 1144 | 1143 | 0.95 | MS, RI |
| 22 | Camphor | 1150 | 1150 | 0.18 | MS, RI |
| 23 | Isoborneol | 1163 | 1162 | tr. | MS, RI |
| 24 | α-Phellandren-8-ol | 1166 | 1166 | 0.23 | MS, RI |
| 25 | Pincarvone | 1169 | 1164 | 0.46 | MS, RI |
| 26 | Borneol | 1172 | 1173 | tr. | MS, RI |
| 27 | p-Acetyltoluene | 1178 | 1179 | 0.22 | MS, RI |
| 28 | 1-Terpinen-4-ol | 1183 | 1183 | 0.84 | MS, RI |
| 29 | p-Cymen-8-ol | 1187 | 1187 | 0.31 | MS, RI |
| 30 | τ-Terpineol | 1196 | 1192 | 0.95 | MS, RI |
| 31 | Myrtenal | 1202 | 1204 | 1.4 | MS, RI |
| 32 | n-Decanal | 1209 | 1209 | tr. | MS, RI |
| 33 | cis-Carveol | 1226 | 1226 | 0.12 | MS, RI |
| 34 | Acetophenone, 2′,4′-dimethyl | 1229 | 1230 | 0.09 | MS, RI |
| 35 | Cumin aldehyde | 1248 | 1248 | 0.16 | MS, RI |
| 36 | n-Nonanoic acid | 1282 | 1282 | tr. | MS, RI |
| 37 | Thymol | 1304 | 1304 | tr. | MS, RI |
| 38 | Carvacrol | 1311 | 1311 | tr. | MS, RI |
| 39 | 2,4-Decadienal | 1324 | 1322 | tr. | MS, RI |
| 40 | α-Terpinyl acetate | 1357 | 1356 | 0.44 | MS, RI |
| 41 | α-Longipinene | 1360 | 1360 | 0.63 | MS, RI |
| 42 | n-Decanoic acid | 1376 | 1376 | tr. | MS, RI |
| 43 | Longicyclene | 1381 | 1380 | 2.18 | MS, RI |
| 44 | α-Ylangene | 1385 | 1385 | tr. | MS, RI |
| 45 | (+)-Sativen | 1399 | 1391 | 0.87 | MS, RI |
| 46 | β-Caryophyllene | 1411 | 1411 | 0.32 | MS, RI |
| 47 | d-longifolene | 1419 | 1418 | 33.13 | MS, RI |
| 48 | n-Undecanoic acid | 1444 | 1445 | tr. | MS, RI |
| 49 | α-Humulene | 1467 | 1468 | tr. | MS, RI |
| 50 | Dodecanoic acid | 1576 | 1578 | 2.53 | MS, RI |
| 51 | (+)-Longicamphenylone | 1580 | 1563 | 7.88 | MS, RI |
| 52 | Globulol | 1586 | 1587 | 0.72 | MS, RI |
| 53 | Caryophyllene oxide | 1594 | 1594 | 1.66 | MS, RI |
| 54 | Viridiflorol | 1608 | 1609 | tr. | MS, RI |
| 55 | Humulane-1,6-dien-3-ol | 1615 | 1619 | 4.28 | MS, RI |
| 56 | Tridecanoic acid | 1643 | 1645 | 0.42 | MS, RI |
| 57 | Longiverbenone | 1670 | 1678 | tr. | MS, RI |
| 58 | α-Santalol | 1689 | 1683 | 0.88 | MS, RI |
| 59 | 7(11)-Selinen-4α-ol | 1700 | 1688 | 4.37 | MS, RI |
| 60 | Pentadecanal | 1722 | 1717 | tr. | MS, RI |
| 61 | Myristic acid | 1774 | 1774 | 1.84 | MS, RI |
| 62 | Octadecane | 1802 | 1800 | 0.06 | MS, RI |
| 63 | n-Pentadecanoic acid | 1873 | 1872 | 0.97 | MS, RI |
| 64 | Nonadecane | 1904 | 1900 | 0.16 | MS, RI |
| 65 | Palmitic acid, methyl ester | 1926 | 1926 | tr. | MS, RI |
| 66 | 9-Hexadecenoic acid | 1953 | 1957 | 0.51 | MS, RI |
| 67 | Palmitic acid | 1979 | 1975 | 9.34 | MS, RI |
| 68 | n-Eicosane | 2002 | 2000 | tr. | MS, RI |
| 69 | 1-Octadecanol | 2096 | 2086 | 1.23 | MS, RI |
| 70 | n-Heneicosane | 2109 | 2100 | 0.57 | MS, RI |
| 71 | n-Docosane | 2211 | 2200 | tr. | MS, RI |
| 72 | n-Tricosane | 2304 | 2300 | tr. | MS, RI |
| 73 | n-Tetracosane | 2403 | 2400 | tr. | MS, RI |
| 74 | n-Pentacosane | 2509 | 2500 | tr. | MS, RI |
| 75 | n-Hexacosane | 2610 | 2600 | tr. | MS, RI |
| Monoterpene hydrocarbons | 7.75 | ||||
| Oxygen containing monoterpene | 6.24 | ||||
| Sesquiterpene hydrocarbons | 37.13 | ||||
| Oxygen containing sesquiterpene | 19.79 | ||||
| Others | 18.74 | ||||
| Total identified components | 89.65 | ||||
| Control | BLM | PRO-25 | PRO-50 | PRO-100 | |
|---|---|---|---|---|---|
| MPO (pg/g) | 23.21 ± 1.07 a | 88.99 ±3.30 b | 78.87 ± 5.47 b | 56.52 ± 2.31 c | 31.47 ± 2.36 a |
| IL-6(pg/g) | 192.63 ± 14.85 a | 775.38 ± 44.07 b | 640.46 ± 16.94 c | 453.46 ± 29.04 d | 319.05 ± 25.06 e |
| TNF-α (pg/mL) | 47.49 ± 2.84 a | 377.53 ± 16.57 b | 235.51 ± 14.71 c | 169.76 ± 9.59 d | 83.87 ± 4.43 e |
| Group | Score |
|---|---|
| Saline | 0.20 ± 0.20 a |
| BLM | 2.60 ± 0.24 c |
| PRO-25 | 2.20 ± 0.37 c |
| PRO-50 | 1.40 ± 0.24 b |
| PRO-100 | 1.2 0 ± 0.20 b |
| Compound Name | ΔG binding |
|---|---|
| Dexamethasone | −61.0836 |
| Palmitic acid | −60.2838 |
| 1-Octadecanol | −55.3628 |
| Myristic acid | −54.4668 |
| Dodecanoic acid | −49.2119 |
| 7(11)-Selinen-4-α-ol | −35.5702 |
| Caryophyllene oxide | −34.8706 |
| Humulane-1,6-dien-3-ol | −32.9638 |
| Longicyclene | −31.6995 |
| d-longifolene | −30.3795 |
| Longicamphenylone | −30.0035 |
| Myrtenal | −26.4264 |
| α-Pinene | −21.7649 |
| Terpinolene | −21.3438 |
| 3-Carene | −21.2806 |
© 2017 by the authors. Licensee MDPI, Basel, Switzerland. This article is an open access article distributed under the terms and conditions of the Creative Commons Attribution (CC BY) license (http://creativecommons.org/licenses/by/4.0/).
Share and Cite
Labib, R.M.; Youssef, F.S.; Ashour, M.L.; Abdel-Daim, M.M.; Ross, S.A. Chemical Composition of Pinus roxburghii Bark Volatile Oil and Validation of Its Anti-Inflammatory Activity Using Molecular Modelling and Bleomycin-Induced Inflammation in Albino Mice. Molecules 2017, 22, 1384. https://doi.org/10.3390/molecules22091384
Labib RM, Youssef FS, Ashour ML, Abdel-Daim MM, Ross SA. Chemical Composition of Pinus roxburghii Bark Volatile Oil and Validation of Its Anti-Inflammatory Activity Using Molecular Modelling and Bleomycin-Induced Inflammation in Albino Mice. Molecules. 2017; 22(9):1384. https://doi.org/10.3390/molecules22091384
Chicago/Turabian StyleLabib, Rola M., Fadia S. Youssef, Mohamed L. Ashour, Mohamed M. Abdel-Daim, and Samir A. Ross. 2017. "Chemical Composition of Pinus roxburghii Bark Volatile Oil and Validation of Its Anti-Inflammatory Activity Using Molecular Modelling and Bleomycin-Induced Inflammation in Albino Mice" Molecules 22, no. 9: 1384. https://doi.org/10.3390/molecules22091384
APA StyleLabib, R. M., Youssef, F. S., Ashour, M. L., Abdel-Daim, M. M., & Ross, S. A. (2017). Chemical Composition of Pinus roxburghii Bark Volatile Oil and Validation of Its Anti-Inflammatory Activity Using Molecular Modelling and Bleomycin-Induced Inflammation in Albino Mice. Molecules, 22(9), 1384. https://doi.org/10.3390/molecules22091384

