Herb-Drug Interaction between the Traditional Hepatoprotective Formulation and Sorafenib on Hepatotoxicity, Histopathology and Pharmacokinetics in Rats
Abstract
:1. Introduction
2. Results
2.1. Chromatographic Analysis
2.2. Pharmacokinetic Interactions of the Herbal Drug with Sorafenib in Rat Plasma
2.3. Pharmacokinetic Interaction of the LDXGT Formulation with Sorafenib in Rat Plasma
2.4. The Pharmacokinetics of the Effects of CYP3A4 Inhibitors (Grapefruit Juice and Ketoconazole) on Sorafenib Metabolism in Rat Plasma
2.5. The Phase II Study of β-Glucuronidase-Mediated Sorafenib Glucuronidation in Rat Plasma
2.6. Hepatotoxicity Studies of Rat Plasma after Treatment with Sorafenib and the LDXGT Formulation
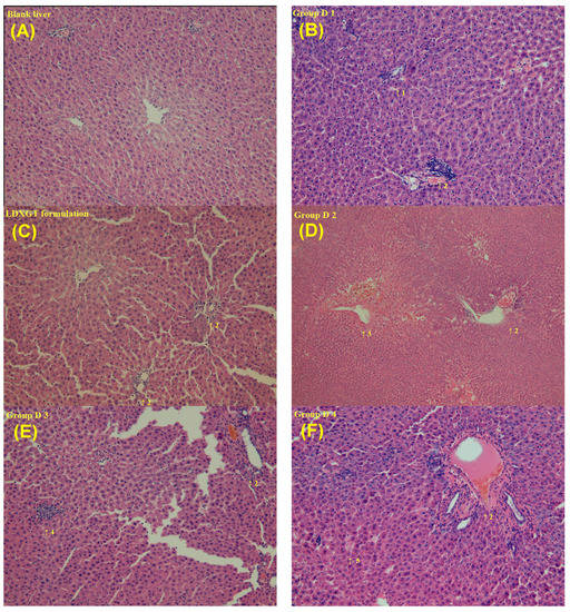
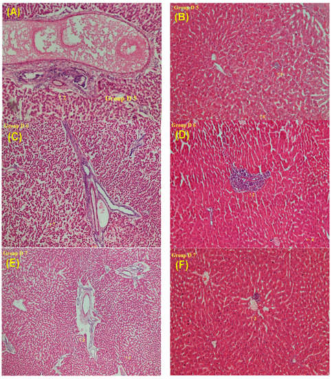
2.7. Histopathological Analyses after Treatment with Sorafenib and the LDXGT Formulation
3. Discussion
4. Materials and Methods
4.1. Chemicals and Reagents
4.2. Sample Preparation
4.3. Animals
4.4. Sample Preparation
4.5. HPLC Analysis
4.6. Experimental Study Design
4.6.1. Part A: Herbal Drug Pharmacokinetic Interaction Study
- Group A1, sorafenib (3 mg/kg, i.v.).
- Group A2, sorafenib (10 mg/kg, p.o.).
- Group A3, pretreated with the LDXGT formulation (1 g/kg/day, p.o.) for 5 consecutive days followed by the administration of single dose of sorafenib (10 mg/kg, p.o.).
- Group A4, pretreated with the LDXGT formulation (2 g/kg/day, p.o.) for 5 consecutive days followed by the administration of a single dose of sorafenib (10 mg/kg, p.o.).
4.6.2. Part B: CYP3A4 Metabolism Study
- Group B1, pretreated with grapefruit juice (3 mL/day, p.o.; GFJ3) for 5 consecutive days followed by the administration of a single dose of sorafenib (10 mg/kg, p.o.).
- Group B2, pretreated with grapefruit juice (6 mL/day, p.o.; GFJ6) for 5 consecutive days followed by the administration of a single dose of sorafenib (10 mg/kg, p.o.).
- Group B3, pretreated with grapefruit juice (30 mL/day, p.o.; GFJ30) for 5 consecutive days followed by the administration of a single dose of sorafenib (10 mg/kg, p.o.).
- Group B4, pretreated with ketoconazole (40 mg/kg/day, p.o.; KCZ40) for 5 consecutive days followed by the administration of a single dose of sorafenib (10 mg/kg, p.o.).
4.6.3. Part C: Phase II Glucuronidation Study
- Group C1, pretreated with grapefruit juice (30 mL/day, p.o.; GFJ30) for 5 consecutive days followed by the administration of a single dose of sorafenib (10 mg/kg, p.o.).
- Group C2, pretreated with ketoconazole (40 mg/kg/day, p.o.; KCZ40) for 5 consecutive days followed by the administration of a single dose of sorafenib (10 mg/kg, p.o.).
4.6.4. Part D: Hepatotoxicity and Histopathological Studies
- Group D1, sorafenib (3 mg/kg, i.v.).
- Group D2, sorafenib (10 mg/kg, p.o.).
- Group D3, pretreated with the LDXGT formulation (1 g/kg/day, p.o.) for 5 consecutive days followed by the administration of a single dose of sorafenib (10 mg/kg, p.o.).
- Group D4, pretreated with the LDXGT formulation (2 g/kg/day, p.o.) for 5 consecutive days followed by the administration of a single dose of sorafenib (10 mg/kg, p.o.).
- Group D5, repeated treatment with sorafenib (10 mg/kg) for 2 weeks.
- Group D6, repeated treatment with the combination of the LDXGT formulation (1 g/kg/day, p.o.) and sorafenib (10 mg/kg, p.o.) for 2 weeks.
- Group D7, repeated treatment with the combination of the LDXGT formulation (2 g/kg/day, p.o.) and sorafenib (10 mg/kg, p.o.) for 2 weeks.
4.7. The Herbal Drug Pharmacokinetic Interaction Study of Sorafenib (Part A)
4.8. Study of Phase I CYP3A4-Mediated Sorafenib Metabolism (Part B)
4.9. Study of the Phase II Glucuronidation Metabolism of Sorafenib (Part C)
4.10. Hepatotoxicity and Histopathological Studies of Sorafenib (Part D)
4.11. Pharmacokinetic Analysis
5. Conclusions
Acknowledgments
Author Contributions
Conflicts of Interest
References
- Jacques, F.; Shin, H.R.; Freddie, B.; David, F.; Colin, M.; Donald, M.P. Estimates of worldwide burden of cancer in 2008: GLOBOCAN 2008. Int. J. Cancer 2008, 127, 2893–2917. [Google Scholar]
- Alan, H.D.; Rajender, R.K. Risk Factors for Hepatocellular Carcinoma. Clin. Liver Dis. 2012, 1, 180–182. [Google Scholar]
- Yamashita, Y.; Taketomi, A.; Itoh, S.; Kitagawa, D.; Kayashima, H.; Harimoto, N.; Tsujita, E.; Kuroda, Y.; Maehara, Y. Longterm favorable results of limited hepatic resections for patients with hepatocellular carcinoma: 20 years of experience. J. Am. Coll. Surg. 2007, 205, 19–26. [Google Scholar] [CrossRef] [PubMed]
- Ishak, K.; Baptista, A.; Bianchi, L. Histologic grading and staging of chronic hepatitis. J. Hepatol. 1995, 24, 289–293. [Google Scholar]
- Livraghi, T.; Meloni, F.; Di, S.M.; Rolle, E.; Solbiati, L.; Tinelli, C.; Rossi, S. Sustained complete response and complications rates after radiofrequency ablation of very early hepatocellular carcinoma in cirrhosis: Is resection still the treatment of choice? Hepatology 2008, 47, 82–89. [Google Scholar] [CrossRef] [PubMed]
- Merchant, N.; David, C.S.; Cunningham, S.C. Early hepatocellular carcinoma: Transplantation versus resection: The case for liver resection. Hepatol. Int. 2011, 142085, 1–7. [Google Scholar] [CrossRef] [PubMed]
- Liu, L.; Cao, Y.; Chen, C.; Zhang, X.; McNabola, A.; Wilkie, D.; Wilhelm, S.; Lynch, M.; Carter, C. Sorafenib blocks the RAF/MEK/ERK pathway, inhibits tumor angiogenesis, and induces tumor cell apoptosis in hepatocellular carcinoma model PLC/PRF/5. Cancer Res. 2006, 66, 11851–11858. [Google Scholar] [CrossRef] [PubMed]
- Llovet, J.M.; Ricci, S.; Mazzaferro, V.; Hilgard, P.; Gane, E.; Blanc, JF.; de Oliveira, A.C.; Santoro, A.; Raoul, J.L.; Forner, A.; et al. Sorafenib in advanced hepatocellular carcinoma. Engl. J. Med. 2008, 359, 378–390. [Google Scholar]
- Cheng, A.L.; Kang, Y.K.; Chen, Z.; Tsao, C.J.; Qin, S.; Kim, J.S.; Luo, R.; Feng, J.; Ye, S.; Yang, T.S; et al. Efficacy and safety of sorafenib in patients in the Asia-Pacific region with advanced hepatocellular carcinoma: A phase III randomised, double-blind, placebo-controlled trial. Lancet Oncol. 2009, 10, 25–34. [Google Scholar] [CrossRef]
- Patel, M.; Mohamed, I.F.; Ladep, N.G.; Thillainayagam, A.V.; Thomas, H.C.; Khan, S.A.; Taylor-Robinson, S.D. Hepatocellular carcinoma: Diagnostics and screening. J. Eval. Clin. Pract. 2012, 18, 335–342. [Google Scholar] [CrossRef] [PubMed]
- Hwang, S.J. Hepatitis C virus infection, an overview. J. Microbiol. Immunol. Infect. 2001, 34, 227–234. [Google Scholar] [PubMed]
- Chen, D.S. Viral hepatitis in East Asia. J. Formos. Med. Assoc. 1996, 95, 6–12. [Google Scholar] [PubMed]
- Strader, D.B.; Bacon, B.R.; Lindsay, K.L.; La Brecque, D.R.; Morgan, T.; Wright, E.C.; Allen, J.; Khokar, M.F.; Hoofnagle, J.H.; Seeff, L.B. Use of complementary and alternative medicine in patients with liver disease. Am. J. Gastroenterol. 2002, 97, 2391–2397. [Google Scholar] [CrossRef] [PubMed]
- Yang, Z.C.; Yang, S.H.; Yang, S.S.; Chen, D.S. A hospital-based study on the use of alternative medicine in patients with chronic liver and gastrointestinal diseases. Am. J. Chin. Med. 2002, 30, 637–643. [Google Scholar] [CrossRef] [PubMed]
- Lok, A.S.F.; McMahon, B.J. Practice Guidelines Committee, American Association for the Study of Liver Diseases (AASLD). Chronic hepatitis B, update of recommendation. Hepatology 2004, 39, 857–861. [Google Scholar] [CrossRef]
- Yee, H.S.; Currie, S.L.; Darling, J.M.; Wright, T.L. Management and treatment of hepatitis viral infection, recommendations from the Department of Veterans Affairs Hepatitis C Resource Center Program and the National Hepatitis C Program Office. Am. J. Gastroenterol. 2006, 101, 2360–2378. [Google Scholar] [CrossRef] [PubMed]
- Liu, J.; Manheimer, E.; Tsutani, K.; Gluud, C. Medicinal herbs for hepatitis C virus infection: A Cochrane hepatobiliary systematic review of randomized trials. Am. J. Gastroenterol. 2003, 98, 538–544. [Google Scholar] [CrossRef]
- Schuppan, D.; Jia, J.D.; Brinkhaus, B.; Hahn, E.G. Herbal products for liver diseases: A therapeutic challenge for the new millennium. Hepatology 1999, 30, 1099–1104. [Google Scholar] [CrossRef] [PubMed]
- Langmead, L.; Rampton, D.S. Review article: Herbal treatment in gastrointestinal and liver disease—Benefits and dangers. Aliment. Pharmacol. Ther. 2001, 15, 1239–1252. [Google Scholar] [CrossRef] [PubMed]
- Chen, F.P.; Kung, Y.Y.; Chen, Y.C.; Jong, M.S.; Chen, T.J.; Chen, F.J.; Hwang, S.J. Frequency and pattern of Chinese herbal medicine prescription for chronic hepatitis in Taiwan. J. Ethnopharmacol. 2008, 117, 84–91. [Google Scholar] [CrossRef] [PubMed]
- Mikamo, H.; Kawazoe, K.; Izumi, K.; Sato, Y.; Tamaya, T. Therapeutic effects of herbal medicines (Juzen-Taiho-To and Ryutan-Shakan-To) in a rat intrauterine infection (pyometra) model. Curr. Ther. Res. 1997, 58, 454–458. [Google Scholar] [CrossRef]
- Mikamo, H.; Kawazoe, K.; Izumi, K.; Sato, Y.; Tamaya, T. Effects of crude herbal ingredients on intrauterine infection in a rat model. Curr. Ther. Res. 1998, 59, 122–127. [Google Scholar] [CrossRef]
- Jin, Y.B. A Combined Use of Acupuncture, Moxibustion and Long Dan Xie Gan Tang for Treatment of 36 Cases of Chronic Pelvic Inflammation. J. Tradit. Chin. Med. 2004, 24, 256–258. [Google Scholar]
- Tzung, Y.L.; Chang, H.H. Longdan Xiegan Tang has immunomodulatory effects on CD4+CD25+ T cells and attenuates pathological signs in MRL/lpr mice. Int. J. Mol. Med. 2010, 25, 677–685. [Google Scholar]
- Matsuda, H.; Tomohiro, N.; Yoshikawa, M.; Kubo, M. Studies on Alismatis Rhizoma. II. Anti-complementary activities of methanol extractand terpene components from Alismatis Rhizoma (dried rhizome of Alisma orientale). Biol. Pharm. Bull. 1998, 21, 1317–1321. [Google Scholar] [CrossRef] [PubMed]
- Huang, R.L.; Chen, C.C.; Huang, H.L.; Chang, C.G.; Chen, C.F.; Chang, C.; Hsieh, M.T. Anti-hepatitis B virus effects of wogonin isolated from Scutellaria baicalensis. Planta Med. 2000, 66, 694–698. [Google Scholar] [CrossRef] [PubMed]
- Kakuda, R.; Iijima, T.; Yaoita, Y.; Machida, K.; Kikuchi, M. Triterpenoids from Gentiana scabra. Phytochemistry 2002, 59, 791–794. [Google Scholar] [CrossRef]
- Chiang, L.C.; Chiang, W.; Chang, M.Y.; Lin, C.C. In vitro cytotoxic, antiviral and immunomodulatory effects of Plantago major and Plantago asiatica. Am. J. Chin. Med. 2003, 312, 225–235. [Google Scholar] [CrossRef] [PubMed]
- Chiang, L.C.; Ng, L.T.; Liu, L.T.; Shieh, D.E.; Lin, C.C. Cytotoxicity and anti-hepatitis B virus activities of saikosaponins from Bupleurum species. Planta Med. 2003, 69, 705–709. [Google Scholar] [PubMed]
- Wu, S.J.; Ng, L.T.; Lin, C.C. Antioxidant activities of some common ingredients of traditional Chinese medicine, Angelica sinensis, Lycium barbarum and Povia cocos. Phytother. Res. 2004, 18, 1008–1012. [Google Scholar] [CrossRef] [PubMed]
- Koo, H.J.; Song, Y.S.; Kim, H.T.; Lee, Y.H.; Hong, S.M.; Kim, S.J.; Kim, B.C.; Jin, C.; Lim, C.J.; Park, E.H. Anti-inflammatory effects of genigin, an active principle of gardenia. Eur. J. Pharmacol. 2004, 495, 201–208. [Google Scholar] [CrossRef] [PubMed]
- Kim, J.K.; Oh, S.M.; Kwon, H.S.; Oh, Y.S.; Lim, S.S.; Shin, H.K. Anti-inflammatory effect of roasted licorice extracts on lipopolysaccharideinduced inflammatory responses in marine macrophages. Biochem. Biophys. Res. Commun. 2006, 345, 1215–1223. [Google Scholar] [CrossRef] [PubMed]
- Park, E.; Kum, S.; Wang, C.; Park, S.Y.; Kim, B.S.; Schuller-Levis, G. Anti-inflammatory activity of herbal medicines, inhibition of nitric oxide production and tumor necrosis factor-alpha secretion in an activated macrophage-like cell line. Am. J. Chin. Med. 2005, 33, 415–424. [Google Scholar] [CrossRef] [PubMed]
- Kim, S.S.; Son, Y.O.; Chun, J.C.; Kim, S.E.; Chung, G.H.; Hwang, K.J.; Lee, J.C. Antioxidant property of an active component purified from the leaves of paraquat-tolerant Rehmannia glutinosa. Redox Rep. 2005, 10, 311–318. [Google Scholar] [CrossRef] [PubMed]
- Shi, H.; Zhou, Y.; Zhang, F.H.; Zhang, J.P.; Li, J.Y.; Wu, M.F.; Xu, H.Z.; Li, Q. Influence of Long-Dan-Xie-Gan-Tang on the liver transfer function in rats treated by CCl4. Liao Ning Zhong Yi Za Zhi 2006, 33, 1041–1042. [Google Scholar]
- Zhang, Y.X.; Li, H.G.; Su, Y.H. The clinical observation about Long-Dan-Xie-Gan-Tang combined with IFN-α for the treatment of chronic hepatitis B. Zhong Yuan Yi Kan 1997, 24, 30–31. [Google Scholar]
- Abdualmjid, R.; Sergi, C. Hepatotoxic Botanicals—An Evidence-based Systematic Review. J. Pharm. Pharm. Sci. 2013, 16, 376–404. [Google Scholar] [CrossRef] [PubMed]
- Zhou, S.; Paxton, J.W.; Tingle, M.D.; Kestel, P. Determination of the covalent adducts of the novel anti-cancer agent 5,6-dimethylxanthenone-4-acetic acid in biological samples by high-performance liquid chromatography. J. Chromatogr. B Biomed. Sci. Appl. 2001, 757, 343–348. [Google Scholar] [CrossRef]
- Shah, V.P.; Midha, K.K.; Dighe, S.; McGilveray, I.J.; Skelly, J.P.; Yacobi, A.; Layloff, T.; Viswanathan, C.T.; Cook, C.E.; McDowall, R.D. Analytical methods validation: Bioavailability, bioequivalence and pharmacokinetic studies. Conference report. Eur. J. Drug Metab. Pharmacokinet. 1991, 16, 249–255. [Google Scholar]
- De Smet, P.A.; Brouwers, J.R. Pharmacokinetic evaluation of herbal remedies. Basic introduction, applicability, current status and regulatoryneeds. Clin. Pharmacokinet. 1997, 32, 427–436. [Google Scholar] [CrossRef] [PubMed]
- De Smet, P.A.; Rivier, L. A general outlook on ethnopharmacology. J. Ethnopharmacol. 1989, 25, 127–138. [Google Scholar] [CrossRef]
- Reagan, S.S.; Nihal, M.; Ahmad, N. Dose translation from animal to human studies revisited. FASEB J. 2008, 22, 659–661. [Google Scholar] [CrossRef] [PubMed]
- Alsaied, O.A.; Sangwan, V.; Banerjee, S. Sorafenib and triptolide as combination therapy for hepatocellular carcinoma. Surgery 2014, 156, 270–279. [Google Scholar] [CrossRef] [PubMed]
- Cao, H.; Wang, Y.; He, X. Co-delivery of sorafenib and curcumin by directed self-assembled nanoparticles enhances therapeutic effect on hepatocellular carcinoma. Mol. Pharmacol. 2015, 12, 922–931. [Google Scholar] [CrossRef] [PubMed]
- European Medicines Agency. Sorafenib (NEXAVAR). In Summary of Product Characteristics; European Medicines Agency: London, UK, 2015; EMEA/H/C/000690. [Google Scholar]
- Gao, N.; Qi, B.; Liu, F.J.; Fang, Y.; Zhou, J.; Jia, L.J.; Qiao, H.L. Inhibition of Baicalin on Metabolism of Phenacetin, a Probe of CYP1A2, in Human Liver Microsomes and in Rats. PLoS ONE 2014, 9, e89752. [Google Scholar] [CrossRef]
- Deng, Y.; Wang, L.; Yang, Y.; Sun, Y.; Xie, R.; Liu, X.; Wang, Q. In vitro Inhibition and Induction of Human Liver Cytochrome P450 Enzymes by Gentiopicroside: Potent effect on CYP2A6. Drug Metab. Pharmacokinet. (DMPK) Adv. 2013, 28, 339–344. [Google Scholar] [CrossRef]
- Cho, Y.A.; Choi, J.S.; Burm, J.P. Effects of the antioxidant baicalein on the pharmacokinetics of nimodipine in rats: A possible role of P-glycoprotein and CYP3A4 inhibition by baicalein. Pharmacol. Rep. 2011, 63, 1066–1073. [Google Scholar] [CrossRef]
- Gillani, T.B.; Rawling, T.; Murray, M. Cytochrome P450-mediated biotransformation of sorafenib and its N-oxide metabolite: Implications for cell viability and human toxicity. Chem. Res. Toxicol. 2014, 28, 92–102. [Google Scholar] [CrossRef] [PubMed]
- Zimmerman, E.I.; Roberts, J.L.; Li, L. Ontogeny and sorafenib metabolism. Clin. Cancer Res. 2012, 18, 5788–5795. [Google Scholar] [CrossRef] [PubMed]
- Xie, B.; Wang, D.H.; Spechler, S.J. Sorafenib for treatment of hepatocellular carcinoma: A systematic review. Dig. Dis. Sci. 2012, 57, 1122–1129. [Google Scholar] [CrossRef] [PubMed]
- Shaun, W.; James, B.; Lucy, A.J.; Elizabeth, I.O. An in vitro based investigation of the cytotoxic effect of water extracts of the Chinese herbal remedy LD on cancer cells. Chem. Cent. J. 2009, 3, 1–16. [Google Scholar]
- Lee, C.H.; Wang, J.D.; Chen, P.C. Risk of Liver Injury Associated with Chinese Herbal Products Containing Radix bupleuri in 639,779 Patients with Hepatitis B Virus Infection. PLoS ONE 2011, 6, e16064. [Google Scholar] [CrossRef] [PubMed]
- Roberto, I.; Antonella, P.; Giuseppe, P.; Matteo, S.; Patrizia, T.; Angelina, D.B.; Silvia, M.; Enrico, C. Incidence and relative risk of hepatic toxicity in patients treated with anti-angiogenic tyrosine kinase inhibitors for malignancy. Br. J. Clin. Pharmacol. 2014, 77, 929–938. [Google Scholar]
- Tonyali, O.; Coskun, U.; Yildiz, R.; Karakan, T.; Demirci, U.; Akyurek, N.; Benekli, M.; Buyukberber, S. Imatinib mesylate-induced acute liver failure in a patient with gastrointestinal stromal tumors. Med. Oncol. 2010, 27, 768–773. [Google Scholar] [CrossRef] [PubMed]
- Klempner, S.J.; Choueiri, T.K.; Yee, E.; Doyle, L.A.; Schuppan, D.; Atkins, M.B. Severe pazopanib-induced hepatotoxicity: Clinical and histologic course in two patients. J. Clin. Oncol. 2012, 30, e264–e268. [Google Scholar] [CrossRef]
- Gupta, A.V.; Troxel, A.B. Phase II trial of sorafenib in advanced thyroid cancer. J. Clin. Oncol. 2008, 26, 4714–4719. [Google Scholar] [CrossRef] [PubMed]
- Llanos, L.; Bellot, P. Acute hepatitis in a patient with cirrhosis and hepatocellular carcinoma treated with sorafenib. Am. J. Gastroenterol. 2009, 104, 257–258. [Google Scholar] [CrossRef] [PubMed]
- Herden, U.; Fischer, L. Sorafenib-induced severe acute hepatitis in a stable liver transplant recipient. Transplantation 2010, 90, 98–99. [Google Scholar] [CrossRef] [PubMed]
- Fairfax, B.P.; Pratap, S.; Roberts, I.S.D.; Collier, J.; Kaplan, R.; Meade, A.M.; Ritchie, A.W.; Eisen, T.; Macaulay, V.M.; Protheroe, A. Fatal case of sorafenib-associated idiosyncratic hepatotoxicity in the adjuvant treatment of a patient with renal cell carcinoma. BMC Cancer 2012, 12, 590–594. [Google Scholar] [CrossRef] [PubMed]
- Wang, Y.; Kong, L.; Hu, L.; Lei, X.; Yang, L.; Chou, G.; Zou, H.; Wang, C.; Annie Bligh, S.W.; Wang, Z. Biological fingerprinting analysis of the traditional Chinese prescription Longdan Xiegan Decoction by on/off-line comprehensive two-dimensional biochromatography. J. Chromatogr. B Anal. Technol. Biomed. Life Sci. 2007, 860, 185–194. [Google Scholar] [CrossRef] [PubMed]
- Thrivikraman, K.V.; Huot, R.L.; Plotsky, P.M. Jugular vein catheterization for repeated blood sampling in the unrestrained conscious rat. Brain Res. Protoc. 2002, 10, 84–94. [Google Scholar] [CrossRef]
- Liu, Z.Q.; Zhou, H.; Liu, L.; Jiang, Z.H.; Wong, Y.F.; Xie, Y.; Cai, X.; Xu, H.X.; Chan, K. Influence of co-administrated sinomenine on pharmacokinetic fate of paeoniflorin in unrestrained conscious rats. J. Ethnopharmacol. 2005, 99, 61–67. [Google Scholar] [CrossRef] [PubMed]
Sample Availability: Samples of the compounds are available from the authors. |





| Parameters | AUC (min·μg/mL) | Tmax (min) | Cmax (μg/mL) | t1/2 (min) | CL (mL/min/kg) | Vss (mL/kg) | F (%) | |
|---|---|---|---|---|---|---|---|---|
| Groups | ||||||||
| Group A1 | 3360 ±1906 | - | 4.6 ± 0.2 | 499 ± 275 | 1.1 ± 0.4 | 1189 ± 129 | ||
| Group A2 | 6262 ± 2259 | 420 ± 66 | 5.0 ± 1.4 | 629 ± 118 | 1.8 ± 0.7 | 1564 ± 477 | 56 ± 20 | |
| Group A3 | 5653 ± 2727 | 380 ± 192 | 4.8 ± 1.0 | 649 ± 192 | 2.1 ± 0.8 | 1801 ± 497 | 50 ± 24 | |
| Group A4 | 5489 ± 624 | 310 ± 110 | 4.8 ± 0.7 | 594 ± 153 | 1.8 ± 0.2 | 1565 ± 231 | 49 ± 5.0 | |
| Group B1 | 5067 ± 1127 | 400 ± 62 | 4.3 ± 0.9 | 577 ± 153 | 2.0 ± 0.4 | 1689 ± 550 | 45 ± 11 | |
| Group B2 | 4399 ± 1537 | 480 ± 131 | 3.9 ± 1.2 | 545 ± 108 | 2.6 ± 1.1 | 1950 ± 678 | 39 ± 14 | |
| Group B3 | 5270 ± 1409 | 336 ± 54 | 5.5 ± 1.1 | 457 ± 49 | 2.1 ± 0.8 | 1345 ± 469 | 52 ± 4.3 | |
| Group B4 | 4713 ± 1532 | 440 ± 62 | 4.9 ± 1.9 | 435 ± 50 | 2.3 ± 0.8 | 1443 ± 437 | 42 ± 14 | |
© 2017 by the authors. Licensee MDPI, Basel, Switzerland. This article is an open access article distributed under the terms and conditions of the Creative Commons Attribution (CC BY) license (http://creativecommons.org/licenses/by/4.0/).
Share and Cite
Ting, C.-T.; Cheng, Y.-Y.; Tsai, T.-H. Herb-Drug Interaction between the Traditional Hepatoprotective Formulation and Sorafenib on Hepatotoxicity, Histopathology and Pharmacokinetics in Rats. Molecules 2017, 22, 1034. https://doi.org/10.3390/molecules22071034
Ting C-T, Cheng Y-Y, Tsai T-H. Herb-Drug Interaction between the Traditional Hepatoprotective Formulation and Sorafenib on Hepatotoxicity, Histopathology and Pharmacokinetics in Rats. Molecules. 2017; 22(7):1034. https://doi.org/10.3390/molecules22071034
Chicago/Turabian StyleTing, Chin-Tsung, Yung-Yi Cheng, and Tung-Hu Tsai. 2017. "Herb-Drug Interaction between the Traditional Hepatoprotective Formulation and Sorafenib on Hepatotoxicity, Histopathology and Pharmacokinetics in Rats" Molecules 22, no. 7: 1034. https://doi.org/10.3390/molecules22071034
APA StyleTing, C.-T., Cheng, Y.-Y., & Tsai, T.-H. (2017). Herb-Drug Interaction between the Traditional Hepatoprotective Formulation and Sorafenib on Hepatotoxicity, Histopathology and Pharmacokinetics in Rats. Molecules, 22(7), 1034. https://doi.org/10.3390/molecules22071034

