Hypolipidemic and Antioxidant Properties of Phenolic Compound-Rich Extracts from White Ginseng (Panax ginseng) in Cholesterol-Fed Rabbits
Abstract
:1. Introduction
2. Results and Discussion
2.1. Contents of Total Phenolic Compounds
2.2. Effects on Body Weight Gain and Food Efficiency Ratio
| Group | Body weight gain (kg/4 weeks) | Food efficiency ratio |
|---|---|---|
| Normal | 0.64 ± 0.18 NS | 0.12 ± 0.03 |
| Control | 0.41 ± 0.30 | 0.08 ± 0.06 |
| Ginseng | 0.57 ± 0.13 | 0.11 ± 0.03 |
2.3. Effects on Plasma Lipid Profiles
| Group | |||
| Normal | Control | Ginseng | |
| Total triglycerides (mg/dL) | 69.0 ± 6.6 | 128.3 ± 117.5 | 116.5 ± 59.9 |
| Total cholesterol (mg/dL) | 49.3 ± 12.9 b | 2090.6 ± 415.2 a | 2238.0 ± 502.0 a |
| HDL-cholesterol (mg/dL) | 23.6 ± 6.2 | 18.9 ± 3.6 | 21.5 ± 6.1 |
| LDL-cholesterol (mg/dL) | 15.4 ± 6.6 b | 762.9 ± 96.3 a | 771.5 ± 224.8 a |
2.4. Effects on Hepatic Antioxidant Enzyme Activities
| Group | |||
| Normal | Control | Ginseng | |
| GSH (mg/g liver) | 21.1 ± 5.8 | 18.6 ± 4.4 | 16.7 ± 1.7 |
| GST (unit/g protein/min) | 1.5 ± 0.4 | 1.1 ± 0.3 | 1.3 ± 0.2 |
| GPx (unit/mg protein/min) | 21.8 ± 3.8 | 19.7 ± 3.0 | 19.8 ± 1.3 |
| CAT (unit/g protein/min) | 0.25 ± 0.03 a | 0.11 ± 0.01 b | 0.12 ± 0.03 b |
| SOD (unit/g protein/min) | 32.9 ± 10.2 a | 18.2 ± 5.1 c | 25.6 ± 8.2 b |
2.5. Effects on Plasma and Hepatic Lipid Peroxidation
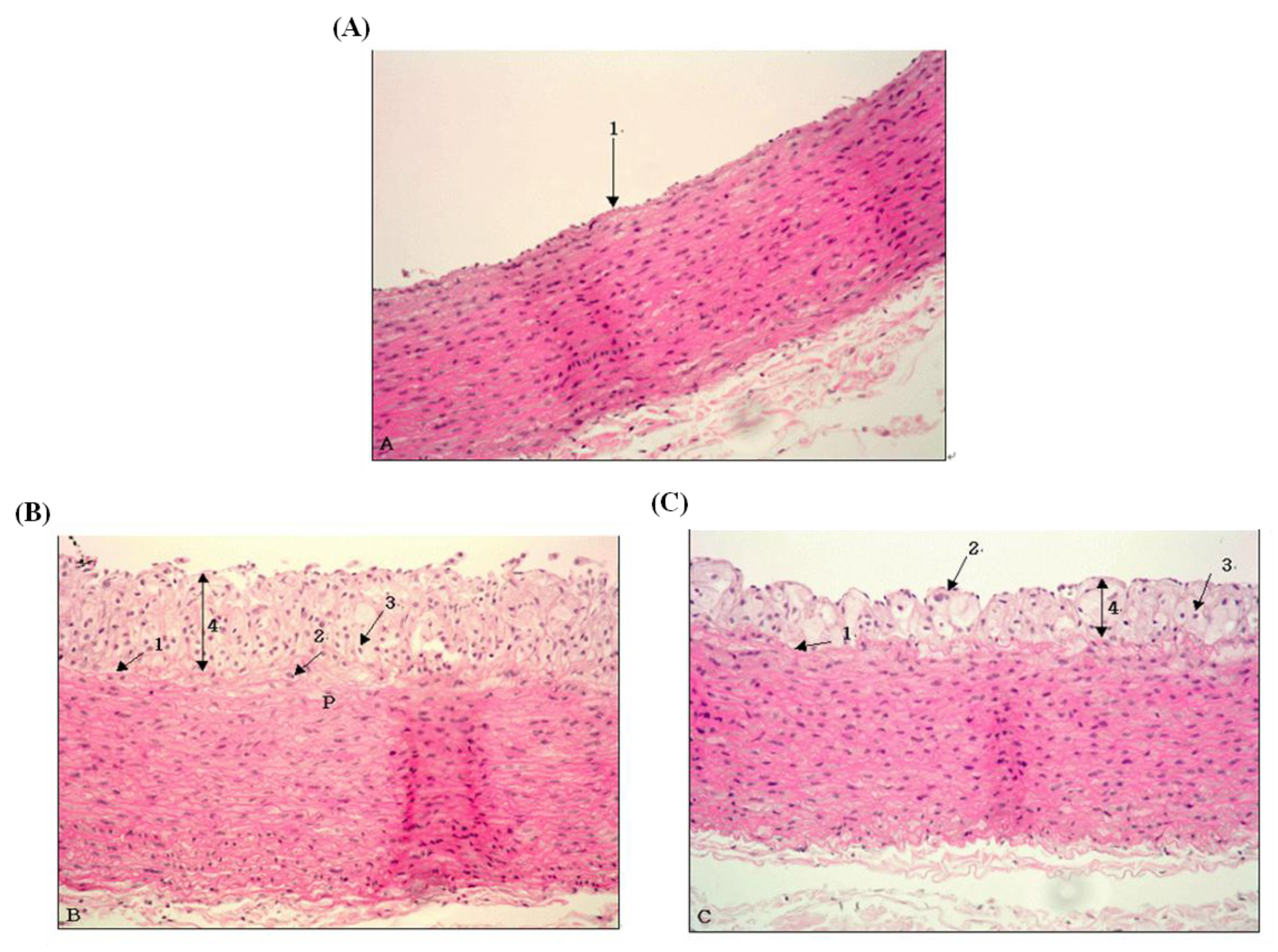
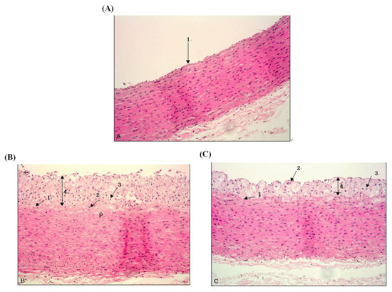
2.6. Morphological Changes of Aorta



3. Experimental
3.1. Preparation of White Ginseng Extracts
3.2. Determination of Phenolic Contents
3.3. Animals and Diets
3.4. Collection of Blood and Organs
3.5. Measurement of Blood Lipids
3.6. Measurement of Glutathione Content and Enzyme Activity
3.6.1. Liver Preparation for Enzyme Assay
3.6.2. Glutathione (GSH) Content and Glutathione S-Transferase (GST) Activity
3.6.3. Superoxidase Dismutase (SOD) Activity
3.6.4. Glutathione Peroxidase (GPx) Activity
3.6.5. Catalase (CAT) Activity
3.7. Lipid Peroxidation in Liver
3.8. Histopathological Examination
3.9. Statistical Analysis
4. Conclusions
Acknowledgments
Conflicts of Interest
References
- Naito, H.K. Atherogenesis: current topics on etology and risk factors. Clin. Chem. 1995, 41, 132–133. [Google Scholar]
- Wong, N.D.; Cupples, L.A.; Ostfeld, A.M.; Levy, D.; Dannel, W.B. Risk factor for long-term coronary prognosis after initial myocardial infarction. The Framingham Study. Am. J. Epidemiol. 1989, 130, 469–480. [Google Scholar]
- Wang, Y. Bulky DNA lesions induced by reactive oxygen species. Chem. Res. Toxicol. 2008, 21, 276–281. [Google Scholar] [CrossRef]
- Bertram, C.; Hass, R. Cellular responses to reactive oxygen species-induced DNA damage and aging. Biol. Chem. 2008, 389, 211–220. [Google Scholar]
- Dhalla, N.S.; Temsah, R.M.; Netticadan, T. Role of oxidative stress in cardiovascular diseases. J. Hypertension 2005, 18, 655–673. [Google Scholar]
- Sayre, L.M.; Smith, M.A.; Perry, G. Chemistry and biochemistry of oxidative stress in neurodegenerative disease. Curr. Med. Chem. 2001, 8, 721–738. [Google Scholar] [CrossRef]
- Park, S.Y.; Jung, I.; Jung, T.L.; Park, M.K. Difference between steaming and decocting ginseng. J. Ginseng Res. 2001, 25, 37–40. [Google Scholar]
- Attele, A.S.; Wu, J.A.; Yuan, C.S. Ginseng pharmacology: Multiple constituents and multiple actions. Biochem. Pharmacol. 1999, 58, 1685–1693. [Google Scholar] [CrossRef]
- Liu, Z.Q.; Luo, X.Y.; Sun, Y.X.; Chen, Y.P.; Wang, Z.C. Can ginsenosides protect human erythrocytes against free radical-induced hemolysis? Biochem. Biophys. Acta 2002, 1572, 58–66. [Google Scholar] [CrossRef]
- Kim, Y.C.; Yim, J.H.; Rho, J.; Cho, C.W.; Rhee, Y.K. Antioxidant activity of white ginseng extracts prepared by enzyme treatment on V79–4 cells induced by oxidative stress. J. Ginseng Res. 2007, 31, 203–209. [Google Scholar]
- Han, B.H.; Park, M.H.; Han, Y.N.; Suh, D.Y. Chemical and biochemical studies on non-saponin constituents of Korean ginseng. Korean J. Ginseng Sci. 1992, 16, 228–234. [Google Scholar]
- Wee, J.J.; Kim, Y.S.; Kyung, J.S.; Y., B.; Do, J.H.; Kim, D.C.; Lee, S.D. Identification of anticoagulant components in Korean red ginseng. J. Ginseng Res. 2010, 34, 355–362. [Google Scholar] [CrossRef]
- Jung, K.H.; Hong, H.-D.; Cho, C.-W.; Lee, M.-Y.; Choi, U.K.; Kim, Y.-C. Phenolic Acid Composition and antioxidative activity of red ginseng prepared by high temperature and high pressure process. Korean J. Food Nutr. 2012, 25, 827–832. [Google Scholar] [CrossRef]
- Han, B.H.; Park, M.H.; Han, Y.N.; Shin, S.C. Studies on the antioxidant components of Korean ginseng (IV) Antifatigue active components. Yakhakhoe Chi 1984, 28, 231–235. [Google Scholar]
- Parker, T.L.; Miller, S.A.; Myers, L.E.; Miguez, F.E.; Engeseth, N.J. Evaluation of synergistic antioxidant potential of complex mixtures using oxygen radical absorbance capacity (ORAC) and electron paramagnetic resonance (EPR). J. Agric. Food Chem. 2010, 58, 209–217. [Google Scholar]
- Kalleny, N.K.; Soliman, N.B.; Elkabarity, R. Synergistic Effect of combined antioxidants on noise-induced acoustic trauma in adult guinea pigs. Audiological and Histological Study. Life Sci. J. 2012, 9, 640–653. [Google Scholar]
- Hwang, E.Y.; Kong, Y.H.; Lee, Y.C.; Kim, Y.C.; Yoo, K.M.; Jo, Y.O.; Choi, S.Y. Comparison of phenolic compounds contents between white and red ginseng and their inhibitory effect on melanin biosynthesis. J. Ginseng Res. 2006, 30, 82–87. [Google Scholar] [CrossRef]
- Ramachandran, H.D.; Narasimhamurthy, K.; Raina, P.L. Modulation of cholesterol induced hypercholesterolemia through dietary factors in Indian desert gerbils (Meriones. hurricinae). Nutr. Res. 2003, 23, 245–256. [Google Scholar] [CrossRef]
- Matos, S.L.; Paula, H.; Pedrosa, M.L.; Santos, R.C.; Oliveira, E.L.; Chianca, D.A.; Silva, M.E. Dietary models for inducing hypercholesterolemia in rats. Braz. Arch. Biol. Technol. 2005, 48, 203–209. [Google Scholar]
- Hartvigsen, K.; Binde, C.J.; Hansen, L.F.; Rafia, A.; Juliano, J.; Horko, S.; Steinberg, D.; Palinski, W.; Witztum, J.L.; Li, A.C. A diet-induced hypercholesterolemic murine model to study atherogenesis without obesity and metabolic syndrome. Arterioscler. Thromb. Vasc. Biol. 2007, 27, 878–885. [Google Scholar] [CrossRef]
- Otunola, G.A.; Oloyede, O.B.; Oladiji, A.T.; Afolayan, A.A. Effects of diet-induced hypercholesterolemia on the lipid profile and some enzyme activities in female Wistar rats. Afr. J. Biochem. Res. 2010, 4, 149–154. [Google Scholar]
- Nofer, J.R.; Kehrel, B.; Fobker, M.; Levkau, B.; Assmann, G.; von Eckardstein, A. HDL and arteriosclerosis: Beyond reverse cholesterol transport. Atherosclerosis 2002, 161, 1–16. [Google Scholar] [CrossRef]
- Joo, C.N. The preventive effect of Korean ginseng saponins on aortic atheroma formation in prolonged cholesterol fed rabbits. In Korea Ginseng & Tobacco Research Institute, Proceedings of the 3rd International Ginseng Symposium, Seoul, Korea, 1980; Korea Ginseng & Tobacco Research Institute: Daejeon, Korea; pp. 27–36.
- Yamamoto, M.; Kumagai, A. Long term ginseng effects on hyperlipidemia in man with further study of its actions on atherogenesis and fatty liver rats. In Korea Ginseng & Tobacco Research Institute, Proceedings of the 4th International Ginseng Symposium, Seoul, Korea, 1980; Korea Ginseng & Tobacco Research Institute: Daejeon, Korea; pp. 13–20.
- Yokozawa, T.; Kobayashi, T.; Kawai, A.; Oura, H.; Kawashima, Y. Hyperlipemia-improving effects of ginsenoside-Rb2 in cholesterol-fed rats. Chem. Pharm. Bull. Tokyo 1985, 33, 722–729. [Google Scholar] [CrossRef]
- Kang, S.Y.; Kim, S.H.; Schini, V.B.; Kim, N.D. Dietary ginsenosides improve endothelium-dependent relaxation in the thoracic arota of hypercholesterolemic rabbit. Gen. Pharmac. 1995, 26, 483–487. [Google Scholar] [CrossRef]
- Kim, S.H.; Park, K.S. Effects of Panax ginsengextract on lipid metabolism in Humans. Pharmacol. Res. 2003, 48, 511–513. [Google Scholar] [CrossRef]
- Jin, C.; Chang, C.C. The effects of red ginseng extracts on the superoxide dismutase, peroxidase and catalase activities in the liver of gamma ray irradiated mice. Korean J. Ginseng Sci. 1993, 17, 29–34. [Google Scholar]
- Zhang, D.; Yasuda, T.; Yu, Y.; Zheng, P.; Kawabata, T.; Ma, Y.; Okada, S. Ginseng extract scavenges hydroxyl radical abd protects ussaturated fatty acids from decomposition caused by iron-mediated lipid peroxidation. Free Radic. Biol. Med. 1996, 20, 145–150. [Google Scholar] [CrossRef]
- Bak, M.J.; Jun, M.; Jeong, W.S. Antioxidant and Hepatoprotective Effects of the red ginseng essential oil in H2O2-treated HepG2 cells and CCl4-treated Mice. Int. J. Mol. Sci. 2012, 13, 2314–2330. [Google Scholar] [CrossRef]
- Ross, R. The pathogenesis of atherosclerosis. A perspective for the 1990’s. Nature 1993, 362, 801–809. [Google Scholar]
- Krygier, K.; Sosulski, F.; Hogge, L. Free, esterified, and insoluble-bound polyphenolic acids. 1. Extraction and purification procedure. J. Agric. Food Chem. 1982, 30, 330–334. [Google Scholar] [CrossRef]
- Singleton, V.L.; Rossi, J.A. Colorimetry of total phenolics with phosphomolybdic-phosphotungstic acid reagents. Amer. J. Enol. Viticult. 1965, 16, 144–158. [Google Scholar]
- Hissin, P.J.; Hilf, R. A fluorometric method for determination of oxidized and reduced glutathione in tissues. Anal. Biochem. 1976, 74, 214–226. [Google Scholar] [CrossRef]
- Habig, W.H.; Pabst, M.J.; Jakoby, W.B. Glutathione s-transferases. J. Biol. Chem. 1974, 249, 7130–7139. [Google Scholar]
- Carrillo, M.C.; Kanai, S.; Sato, Y.; Ivy, G.O.; Kitani, K. Sequential changes in activities of superoxide dismutase and catalase in brain regions and liver during (-)deprenyl infusion in male rats. Biochem. Pharmacol. 1992, 44, 2185–2189. [Google Scholar] [CrossRef]
- Wendel, A. Glutathione peroxidase. Meth. Enzymol. 1981, 77, 325–333. [Google Scholar] [CrossRef]
- Ohkawa, H.; Ohishi, N.; Yagi, K. Assay for lipid peroxides in animal tissues by thiobarbituric acid reaction. Anal. Biochem. 1979, 95, 351–358. [Google Scholar] [CrossRef]
- Sample Availability: Samples of the white ginseng phenolic compound-rich extracts are available from the authors.
© 2013 by the authors; licensee MDPI, Basel, Switzerland. This article is an open access article distributed under the terms and conditions of the Creative Commons Attribution license (http://creativecommons.org/licenses/by/3.0/).
Share and Cite
Lee, L.-S.; Cho, C.-W.; Hong, H.-D.; Lee, Y.-C.; Choi, U.-K.; Kim, Y.-C. Hypolipidemic and Antioxidant Properties of Phenolic Compound-Rich Extracts from White Ginseng (Panax ginseng) in Cholesterol-Fed Rabbits. Molecules 2013, 18, 12548-12560. https://doi.org/10.3390/molecules181012548
Lee L-S, Cho C-W, Hong H-D, Lee Y-C, Choi U-K, Kim Y-C. Hypolipidemic and Antioxidant Properties of Phenolic Compound-Rich Extracts from White Ginseng (Panax ginseng) in Cholesterol-Fed Rabbits. Molecules. 2013; 18(10):12548-12560. https://doi.org/10.3390/molecules181012548
Chicago/Turabian StyleLee, Lan-Sook, Chang-Won Cho, Hee-Do Hong, Young-Chul Lee, Ung-Kyu Choi, and Young-Chan Kim. 2013. "Hypolipidemic and Antioxidant Properties of Phenolic Compound-Rich Extracts from White Ginseng (Panax ginseng) in Cholesterol-Fed Rabbits" Molecules 18, no. 10: 12548-12560. https://doi.org/10.3390/molecules181012548
APA StyleLee, L.-S., Cho, C.-W., Hong, H.-D., Lee, Y.-C., Choi, U.-K., & Kim, Y.-C. (2013). Hypolipidemic and Antioxidant Properties of Phenolic Compound-Rich Extracts from White Ginseng (Panax ginseng) in Cholesterol-Fed Rabbits. Molecules, 18(10), 12548-12560. https://doi.org/10.3390/molecules181012548
