In Vitro and in Vivo Antitumor Effect of Trachylobane-360, a Diterpene from Xylopia langsdorffiana
Abstract
:1. Introduction

2. Results and Discussion
2.1. Hemolysis Assay

2.2. Antitumor Activity of Trachylobane-360
2.2.1. Effect of Trachylobane-360 on Tumor Cell in Culture
) trypan blue exclusion test and (
) MTT reduction. Each point represents the mean ± SEM of three experiments in four replicates, with 95% confidence intervals.
) trypan blue exclusion test and (
) MTT reduction. Each point represents the mean ± SEM of three experiments in four replicates, with 95% confidence intervals.
2.2.2. Effect of Trachylobane-360 on Tumor Growth in vivo


2.2.2.1. Toxicological Analyses
2.2.2.1.1. Effects of Trachylobane-360 on Organ and Body Weight
| Drug | Dose (mg/kg) | Thymus (mg/g body weight) | Spleen (mg/g body weight) | Liver (mg/g body weight) | Kidney (mg/g body weight) | Initial weight (g) | Final weight (g) |
|---|---|---|---|---|---|---|---|
| Healthy mice | |||||||
| (5% Tween-80) | - | 3.09 ± 0.30 | 5.21 ± 0.24 | 56.33 ± 0.49 | 12.23 ± 0.74 | 32.07 ± 0.79 | 32.38 ± 0.62 |
| Control-S180 | |||||||
| (5% Tween-80) | - | 4.36 ± 0.50 c | 6.85 ± 0.50 c | 63.30 ± 1.17 | 10.62 ± 0.13 | 31.43 ± 0.99 | 34.54 ± 0.90 |
| 5-FU | 25 | 2.13 ± 0.11 a | 5.24 ± 0.15 a | 57.52 ± 0.92 a | 10.67 ± 0.59 | 30.27 ± 0.49 | 30.35 ± 0.73 a |
| Trachylobane-360 | 12.5 | 3.80 ± 0.31 b | 7.62 ± 0.37 b,c | 63.04 ± 1.60 | 11.39 ± 0.28 | 32.10 ± 0.68 | 33.77 ± 0.70 |
| Trachylobane-360 | 25 | 3.41 ± 0.16 b | 7.59 ± 0.36 b,c | 58.75 ± 1.07 | 10.96 ± 0.56 | 29.73 ± 0.50 | 31.37 ± 0.53 a |
2.2.2.1.2. Effect of Trachylobane-360 on Biochemical Parameters
| Drug | Dose (mg/kg) | AST (UI/L) | ALT (UI/L) | Urea (mg/dL) | Creatinine (mg/dL) |
|---|---|---|---|---|---|
| Healthy mice | |||||
| (5% Tween-80) | - | 217.6 ± 26.2 | 122.6 ± 19.1 | 41.2 ± 2.2 | 0.28 ± 0,02 |
| Control-S180 | |||||
| (5% Tween-80) | - | 287.8 ± 20.2 | 71.8 ± 7.3 | 39.8 ± 4.4 | 0.28 ± 0.02 |
| 5-FU | 25 | 219.7 ± 18.4 | 63.8 ± 9.7 | 48.0 ± 3.5 | 0.32 ± 0.02 |
| Trachylobane-360 | 12.5 | 275.0 ± 15.5 | 76.0 ± 10.4 | 48.8 ± 5.8 | 0.36 ± 0.06 |
| Trachylobane-360 | 25 | 298.3 ± 13.5 | 109.0 ± 10.1 | 51.2 ± 4.7 | 0.40 ± 0.04 |
2.2.2.1.3. Effect of Trachylobane-360 on Hematological Parameters
| Drug | Dose (mg/kg) | MCV ( fm3) | MCH (pg) | MCHC (g/dL) |
|---|---|---|---|---|
| Healthy mice | ||||
| (5% Tween-80) | - | 43.40 ± 0.93 | 14.66 ± 0.34 | 33.70 ± 0.29 |
| Control-S180 | ||||
| (5% Tween-80) | - | 44.50 ± 1.52 | 14.60 ± 0.34 | 32.95 ± 0.53 |
| 5-FU | 25 | 43.67 ± 0.49 | 15.08 ± 0.23 | 34.45 ± 0.68 |
| Trachylobane-360 | 12.5 | 42.83 ± 0.79 | 14.80 ± 0.30 | 34.63 ± 0.33 |
| Trachylobane-360 | 25 | 43.33 ± 0.56 | 14.92 ± 0.13 | 34.60 ± 0.28 |
| Drug | Dose (mg/kg) | RBC (106 mm−3) | Hemoglobin (g/dL) | Hematocrit (%) |
|---|---|---|---|---|
| Healthy mice | ||||
| (5% Tween-80) | - | 9.87 ± 0.25 | 14.46 ± 0.27 | 42.94 ± 0.62 |
| Control-S180 | ||||
| (5% Tween-80) | - | 7.89 ± 0.36 c | 11.45 ± 0.73 c | 34.80 ± 2.35 |
| 5-FU | 25 | 8.60 ± 0.18 c | 12.95 ± 0.10 | 37.73 ± 0.93 |
| Trachylobane-360 | 12.5 | 8.79 ± 0.18 c | 13.03 ± 0.36 | 37.63 ± 1.10 |
| Trachylobane-360 | 25 | 9.67 ± 0.15 a,b | 14.28 ± 0.18 a | 40.55 ± 0.57 |
| Drug | Dose(mg/kg) | Total leukocytes (103 mm−3) | Differential count of leukocytes (%) | |||
|---|---|---|---|---|---|---|
| Lymphocytes | Neutrophils | Monocytes | Eosinophils | |||
| Healthy mice | ||||||
| (5% Tween-80) | - | 7.08 ± 0.51 | 77.80 ± 3.73 | 18.40 ± 3.25 | 3.40 ± 0.51 | 0.40 ± 0.24 |
| Control-S180 | ||||||
| (5% Tween-80) | - | 13.34 ± 2.58 c | 44.00 ± 2.54 c | 50.50 ± 3.16 c | 4.33 ± 0.56 | 0.67 ± 0.33 |
| 5-FU | 25 | 3.95 ± 0.51 a | 77.17 ± 2.18 a | 18.50 ± 2.32a | 3.50 ± 0.62 | 0.50 ± 0.34 |
| Trachylobane-360 | 12.5 | 11.15 ± 1.28 b | 51.83 ± 4.66 b,c | 41.17 ± 5.25 b,c | 6.00 ± 1.57 | 1.00 ± 0.45 |
| Trachylobane-360 | 25 | 11.42 ± 0.92 b | 53.17 ± 5.08 b,c | 38.67 ± 4.56 b,c | 6.83 ± 1.11 | 0.50 ± 0.22 |
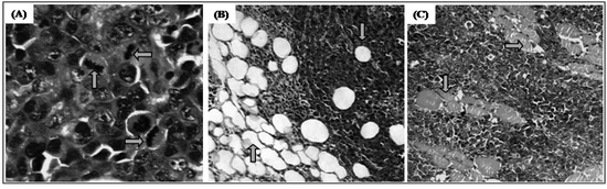
2.2.2.1.4. Histopathology Changes


3. Experimental
3.1. Drug
3.2. Animals and Tumor Cells
3.3. Hemolysis Assay
3.4. Antitumor Activity of Trachylobane-360
3.4.1. Determination of the Effect of Trachylobane-360 on Tumor Cells in Culture
3.4.2. Determination of the Effect of Trachylobane-360 on Tumor Growth in vivo
3.4.2.1. Toxicological Analyses
3.4.2.1.1. Determination of the Effect of Trachylobane-360 on Body and Organ Weight
3.4.2.1.2. Determination of the Effect of Trachylobane-360 on Biochemical Parameters
3.4.2.1.3. Determination of the Effect of Trachylobane-360 on Hematological Parameters
3.4.2.1.4. Histopathological Analyses
3.5. Statistical Analysis
4. Conclusions
Acknowledgments
References
- Kang, H.J.; Lee, S.H.; Price, J.E.; Kim, L.S. Curcumin Suppresses the Paclitaxel-Induced Nuclear Factor-κB in Breast Cancer Cells and Potentiates the Growth Inhibitory Effect of Paclitaxel in a Breast Cancer Nude Mice Model. Breast J. 2009, 15, 223–229. [Google Scholar]
- Cragg, M.G.; Newman, J. Plants as a source of anti-cancer agents. J. Ethnopharmacol. 2005, 100, 72–79. [Google Scholar] [CrossRef]
- Castello-Branco, M.V.S.; Tavares, J.F.; Silva, M.S.; Barbosa Filho, J.M.; Anazetti, M.C.; Frungillo, L.; Hann, M.; Diniz, M.F.F.M.; Melo, P.S. Xylodiol from Xylopia langsdorffiana induces apoptosis in HL60 cells. Rev. Bras. Farmacogn. 2011, 21, 1035–1042. [Google Scholar]
- Lúcio, A.S.S.C.; Almeida, J.R.G.S.; Barbosa-Filho, J.M.; Pita, J.C.L.R.; Castello-Branco, M.V.S.; Diniz, M.F.F.M.; Agra, M.F.; da-Cunha, E.V.L.; Silva, M.S.; Tavares, J.F. Azaphenanthrene Alkaloids with Antitumoral Activity from Anaxagorea dolichocarpa Sprague & Sandwith (Annonaceae). Molecules 2011, 16, 7125–7131. [Google Scholar]
- Correa, P.M. Dicionário de Plantas Úteis do BRASIL e Exóticas Cultivadas; Ministério da Agricultura–Instituto Brasileiro de Desenvolvimento Florestal: Brasília, BR, Brazil, 1984. [Google Scholar]
- Tavares, J.F.; Queiroga, K.F.; Silva, M.V.B.; Diniz, M.F.F.M.; Barbosa-Filho, J.M.; Da-Cunha, E.V.L.; Simone, C.A.; Araújo-Junior, J.X.; Melo, P.S.; Haun, M.; et al. ent-Trachylobane diterpenoids from Xylopia langsdorffiana. J. Nat. Prod. 2006, 69, 960–962. [Google Scholar] [CrossRef]
- Block, S.; Baccelli, C.; Tinant, B.; Van Meervelt, L.; Rozenberg, R.; Habib Jiwan, J.L.; Llabrès, G.; De Pauw-Gillet, M.C.; Quetin-Leclercq, J. Diterpenes from the leaves of Croton zambesicus. Phytochemistry 2004, 65, 1165–1171. [Google Scholar]
- Graikou, K.; Aligiannis, N.; Skaltsounis, A.L.; Chinou, I.; Michel, S.; Tillequin, F.; Litaudon, M. New diterpenes from Croton insularis. J. Nat. Prod. 2004, 67, 685–688. [Google Scholar]
- Li, C.; Lee, D.; Graf, T.N.; Phifer, S.S.; Nakanishi, Y.; Burgess, J.P.; Riswan, S.; Setyowati, F.M.; Saribi, A.M.; Soejarto, D.D.; et al. A hexacyclic ent-trachylobane diterpenoid possessing an oxetane ring from Mitrephora glabra. Org. Lett. 2005, 7, 5709–57012. [Google Scholar]
- Martinsen, A.; Baccelli, C.; Navarro, I.; Abad, A.; Quetin-Leclercq, J.; Morel, N. Vascular activity of a natural diterpene isolated from Croton zambesicus and of a structurally similar synthetic trachylobane. Vascul. Pharmacol. 2009, 29, 63–69. [Google Scholar]
- Pan, L.; Zhou, P.; Zhang, X.; Peng, S.; Ding, L.; Qiu, S.X. Skeleton-rearranged pentacyclic diterpenoids possessing a cyclobutane ring from Euphorbia wallichii. Org. Lett. 2006, 8, 2775–2778. [Google Scholar] [CrossRef]
- Block, S.; Gerkens, P.; Peulen, O.; Jolois, O.; Mingeot-Leclercq, M.P.; De Pauw-Gillet, M.C.; Quetin-Leclercq, J. Induction of apoptosis in human promyelocytic leukemia cells by a natural trachylobane diterpene. Anticancer Res. 2005, 25, 363–368. [Google Scholar]
- Castello-Branco, M.V.S.; Anazetti, M.C.; Silva, M.S.; Tavares, J.F.; Diniz, M.F.F.M.; Frungillo, L.; Haun, M.; Melo, P.S. Diterpenes from Xylopia langsdorffiana inhibit cell growth and induce differentiation in human leukemia cells. Z. Naturforsch. 2009, 64, 650–656. [Google Scholar]
- Block, S.; Stévigny, C.; De Pauw-Gillet, M.C.; De Hoffmann, E.; Llabrès, G.; Adjakidjé, V.; Quetin-Leclercq, J. ent-trachyloban-3beta-ol, a new cytotoxic diterpene from Croton zambesicus. Planta Med. 2002, 68, 647–649. [Google Scholar]
- Sharma, P.; Sharma, J.D. In vitro hemolysis of human erythrocytes by plant extracts with antiplasmodial activity. J. Ethnophamacol. 2001, 74, 239–243. [Google Scholar] [CrossRef]
- Aparicio, R.M.; García-Celma, M.J.; Vinardell, M.P.; Mitjans, M. In vitro studies of the hemolytic activity of microemulsions in human erythrocytes. J. Pharm. Biomed. Anal. 2005, 39, 1063–1067. [Google Scholar]
- Lexis, L.A.; Fassett, R.G.; Coombes, J.S. α-Tocopherol and α-lipoic acid enhance the erythrocyte antioxidant defence in cyclosporine A-treated rats. Basic Clin. Pharmacol. Toxicol. 2006, 98, 68–73. [Google Scholar] [CrossRef]
- Muñoz-Castañeda, J.R.; Muntané, J.: Muñoz, M.C.; Bujalance, I.; Montilla, P.; Tunez, I. Estradiol and catecholestrogens protect against Adriamycin-induced oxidative stress in erythrocytes of ovariectomized rats. Toxicol. Lett. 2006, 160, 196–203. [Google Scholar] [CrossRef]
- Silva, E.C.; Cavalcanti, B.C.; Amorim, R.C.; Lucena, J.F.; Quadros, D.S.; Tadei, W.P.; Montenegro, R.C.; Costa-Lotufo, L.V.; Pessoa, C.; Moraes, M.O.; et al. Biological activity of neosergeolide and isobrucein B (and two semi-synthetic derivatives) isolated from the Amazonian medicinal plant Picrolemma sprucei (Simaroubaceae). Mem. Inst. Oswaldo Cruz 2009, 104, 48–56. [Google Scholar] [CrossRef]
- Ahmad, S.; Ahmad, A.; Schneider, K.B.; White, C.W. Cholesterol interferes with the MTT assay in human epithelial-like (A549) and endothelial (HLMVE and HCAE) cells. Int. J. Toxicol. 2006, 25, 310–317. [Google Scholar]
- Trevisi, L.; Pighin, I.; Bazzan, S.; Luciani, S. Inhibition of 3-(4,5-dimethylthiazol-2-yl)-2,5-diphenyltetrazolium bromide (MTT) endocytosis by ouabain in human endothelial cells. FEBS Lett. 2006, 580, 2769–2773. [Google Scholar] [CrossRef]
- Ito, H.; Shimura, K.; Itoh, H.; Kawade, M. Antitumor effects of a new polysaccharide-protein complex (ATOM) prepared from Agaricus blazei (Iwade strain 101) “Himematsutake” and its mechanisms in tumor-bearing mice. Anticancer Res. 1997, 17, 277–284. [Google Scholar]
- Lee, Y.L.; Kim, H.J.; Lee, M.S.; Kim, J.M.; Han, J.S.; Hong, E.K.; Kwon, M.S.; Lee, M.J. Oral administration of Agaricus blazei (H1 strain) inhibited tumor growth in a sarcoma 180 inoculation model. Exp. Anim. 2003, 52, 371–375. [Google Scholar] [CrossRef]
- Liao, N.; Ao, M.; Zhang, P.; Yu, L. Extracts of Lycoris aurea induce apoptosis in murine sarcoma S180 cells. Molecules 2012, 17, 3723–3735. [Google Scholar]
- Peters, G.J.; Köhne, C.H. Fluoropyrimidines as antifolate drugs. In Antifolate Drugs in Cancer Therapy; Jackman, A.L., Ed.; Humana Press: Totowa, NJ, USA, 1999; pp. 101–145. [Google Scholar]
- Yu, F.; Yu, F.; Mcguire, P.M.; Li, R.; Wang, R. Effects of Hydrocotyle sibthorpioides extract on transplanted tumors and immune function in mice. Phytomedicine 2007, 14, 166–171. [Google Scholar] [CrossRef]
- Ogiso, T.; Noda, N.; Asai, N.; Kato, Y. Antitumor agents. I. Effect of 5-fluorouracil and cyclophosphamide on liver microsomes and thymus of rat. Jpn. J. Pharmacol. 1976, 26, 445–453. [Google Scholar]
- Lins, K.O.; Bezerra, D.P.; Alves, A.P.; Alencar, N.M.; Lima, M.W.; Torres, V.M.; Farias, W.R.; Pessoa, C.; De Moraes, M.O.; Costa-Lotufo, L.V. Antitumor properties of a sulfated polysaccharide from the red seaweed Champia feldmannii (Diaz-Pifferer). J. Appl. Toxicol. 2009, 29, 20–26. [Google Scholar] [CrossRef]
- Eichhorst, S.T.; Müerköster, S.; Weigand, M.A.; Krammer, P.H. The chemotherapeutic drug 5-fluorouracil induces apoptosis in mouse thymocytes in vivo via activation of the CD95(APO-1/Fas) system. Cancer Res. 2001, 61, 243–248. [Google Scholar]
- El-Sayyad, H.I.; Ismail, M.F.; Shalaby, F.M.; Abou-El-Magd, R.F.; Gaur, R.L.; Fernando, A.; Raj, M.H.G.; Ouhtit, A. Histopathological effects of cisplatin, doxorubicin and 5-flurouracil (5-FU) on the liver of male albino rats. Int. J. Biol. Sci. 2009, 5, 466–473. [Google Scholar]
- Bezerra, D.P.; De Castro, F.O.; Alves, A.P.; Pessoa, C.; De Moraes, M.O.; Silveira, E.R.; Lima, M.A.; Elmiro, F.J.; De Alencar, N.M.; Mesquita, R.O.; et al. In vitro and in vivo antitumor effect of 5-FU combined with piplartine and piperine. J. Appl. Toxicol. 2008, 28, 156–163. [Google Scholar]
- Zuckerman, K.S. Hematopoietic abnormalities in patients with cancer. Cancer Control 1998, 5, 6–11. [Google Scholar]
- Kodama, T.; Sendo, F.; Kobayashi, H. Leukemoid reaction in BALB/c mice bearing transplanted tumors. Cancer Res. 1974, 34, 176–180. [Google Scholar]
- Okawa, Y.; Murata, Y.; Kobayashi, M.; Suzuki, M.; Suzuki, S. Augmentation of host resistance to Candida albicans infection in ascites tumor-bearing mice. Microbiol. Immunol. 1992, 36, 517–521. [Google Scholar]
- Sato, D.Y.O.; Wal, R.; De Oliveira, C.C.; Cattaneo, R.I.I.; Malvezzi, M.; Gabardo, J.; Buchi, D.F. Histopathological and immunophenotyping studies on normal and sarcoma 180-bearing mice treated with a complex homeopathic medication. Homeopathy 2005, 94, 26–32. [Google Scholar] [CrossRef]
- Kang, C.; Munawir, A.; Cha, M.; Sohn, E.-T.; Lee, H.; Kim, J.S.; Yoon, W.D.; Lim, D.; Kim, E. Cytotoxicity and hemolytic activity of jellyfish Nemopilema nomurai (Scyphozoa: Rhizostomeae) venom. Comp. Biochem. Physiol. 2009, 150, 85–90. [Google Scholar]
- Renzi, D.; Valtolina, M.; Foster, R. The evaluation of a multi-endpoint cytotoxicity assay system. ATLA-Altern. Lab. Anim. 1993, 21, 89–96. [Google Scholar]
- Mosmann, T. Rapid colorimetric assay for cellular growth and survival: application to proliferation and cytotoxicity assays. J. Immunol. Methods 1983, 65, 55–63. [Google Scholar] [CrossRef]
- Sample Availability: Not available.
© 2012 by the authors; licensee MDPI, Basel, Switzerland. This article is an open-access article distributed under the terms and conditions of the Creative Commons Attribution license (http://creativecommons.org/licenses/by/3.0/).
Share and Cite
Pita, J.C.L.R.; Xavier, A.L.; Sousa, T.K.G.d.; Mangueira, V.M.; Tavares, J.F.; Júnior, R.J.d.O.; Veras, R.C.; Pessoa, H.d.L.F.; Silva, M.S.d.; Morelli, S.; et al. In Vitro and in Vivo Antitumor Effect of Trachylobane-360, a Diterpene from Xylopia langsdorffiana. Molecules 2012, 17, 9573-9589. https://doi.org/10.3390/molecules17089573
Pita JCLR, Xavier AL, Sousa TKGd, Mangueira VM, Tavares JF, Júnior RJdO, Veras RC, Pessoa HdLF, Silva MSd, Morelli S, et al. In Vitro and in Vivo Antitumor Effect of Trachylobane-360, a Diterpene from Xylopia langsdorffiana. Molecules. 2012; 17(8):9573-9589. https://doi.org/10.3390/molecules17089573
Chicago/Turabian StylePita, João Carlos Lima Rodrigues, Aline Lira Xavier, Tatyanna Kelvia Gomes de Sousa, Vivianne Mendes Mangueira, Josean Fechine Tavares, Robson José de Oliveira Júnior, Robson Cavalcante Veras, Hilzeth de Luna Freire Pessoa, Marcelo Sobral da Silva, Sandra Morelli, and et al. 2012. "In Vitro and in Vivo Antitumor Effect of Trachylobane-360, a Diterpene from Xylopia langsdorffiana" Molecules 17, no. 8: 9573-9589. https://doi.org/10.3390/molecules17089573
APA StylePita, J. C. L. R., Xavier, A. L., Sousa, T. K. G. d., Mangueira, V. M., Tavares, J. F., Júnior, R. J. d. O., Veras, R. C., Pessoa, H. d. L. F., Silva, M. S. d., Morelli, S., Ávila, V. d. M. R., Silva, T. G. d., Diniz, M. d. F. F. M., & Castello-Branco, M. V. S. (2012). In Vitro and in Vivo Antitumor Effect of Trachylobane-360, a Diterpene from Xylopia langsdorffiana. Molecules, 17(8), 9573-9589. https://doi.org/10.3390/molecules17089573
