Novel Biodegradable Polyesters. Synthesis and Application as Drug Carriers for the Preparation of Raloxifene HCl Loaded Nanoparticles
Abstract
:1. Introduction

2. Results and discussion
2.1. Polymer characterization


| Polymer | PESu/PPAd Feed | 1H-NMR | [η] (dL/g) | Tm (oC) | -COOH (eq/106g) |
|---|---|---|---|---|---|
| PESu | 100/0 | 100/0 | 0.28 | 120 | 65 |
| P(ESu-co-PAd) 90/10 | 90/10 | 88.9/11.1 | 0.46 | 82 | 54 |
| P(ESu-co-PAd) 80/20 | 80/20 | 77.4/22.6 | 0.50 | 60 | 61 |
| P(ESu-co-PAd) 70/30 | 70/30 | 67.2/32.8 | 0.43 | 35 | 59 |
| P(ESu-co-PAd) 60/40 | 60/40 | 55.6/44.5 | 0.39 | -* | 51 |
| P(ESu-co-PAd) 50/50 | 50/50 | 46.7/53.3 | 0.48 | -* | 58 |
| P(ESu-co-PAd) 40/60 | 40/60 | 34.4/65.6 | 0.50 | -* | 67 |
| P(ESu-co-PAd) 30/70 | 30/70 | 27.3/72.7 | 0.52 | -* | 49 |
| P(ESu-co-PAd) 20/80 | 20/80 | 18.7/81.3 | 0.53 | -* | 43 |
| P(ESu-co-PAd) 10/90 | 10/90 | 9.1/90.9 | 0.62 | -* | 37 |
| PPAd | 0/100 | 0/100 | 0.58 | 43 | 40 |


2.2. In vitro biocompatibility of aliphatic polyesters

2.3. Solubility of Raloxifene HCl
- In mixture of acetone/water 10/3 v/v the maximum solubility is 30±5 mg/mL with sonicator operation for 1 minute.
- In mixture of ethanol/water 8/2 v/v the maximum solubility is 45±5 mg/mL.
2.4. Nanoencapsulation of Raloxifene HCl in aliphatic polyesters
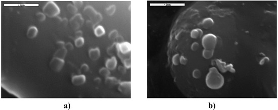
2.4.1. Characterization of the nanoparticles


| Sample | DL (%) | EE (%) | Yield (%) | Mean Diameter (nm) | PdI |
|---|---|---|---|---|---|
| PESu | 11.73 | 95 | 75.6 | 209 | 0.29 |
| P(ESu-PAd) 80/20 | 11.43 | 92 | 75.6 | 279 | 0.33 |
| P(ESu-PAd) 70/30 | 9.08 | 95 | 72.4 | 297 | 0.27 |
| PPAd | 7.84 | 97 | 64.9 | 351 | 0.27 |


2.4.2. Dissolution studies of the nanoparticles

3. Experimental
3.1. Materials
3.2. Synthesis of P(ESu-co-PAd) copolyesters

3.3. Polymer characterization
3.3.1. Intrinsic viscosity
3.3.2. End group analysis
3.3.3. Enzymatic hydrolysis
3.3.4. Polarizing Light Microscopy (PLM)
3.3.5. Nuclear Magnetic Resonance (NMR)
3.4. Biocompatibility study of the prepared polyesters
3.4.1. Cell culture
3.4.2. In vitro biocompatibility study
3.5. Solubility measurements of Raloxifene HCl
3.6. Preparation of nanoparticles
3.7. Characterisation of nanoparticles
3.7.1. Wide Angle X-Ray Diffractometry (WAXD)
3.7.2. Fourier Transformed-Infrared Spectroscopy (FT-IR)
3.7.3. Scanning Electron Microscopy (SEM)
3.7.4. Size measurements of nanoparticles
3.7.5. Nanoparticles yield, drug loading content and entrapment efficiency
3.8. Dissolution testing
4. Conclusions
References
- Pitt, C.G.; Gratzl, M.M.; Kimmel, G.L.; Surles, J.; Schindler, A. Αliphatic polyesters II. The degradation of poly(DL-lactide), poly(ε-caprolactone), and their copolymers in vivo. Biomaterials 1981, 2, 215–220. [Google Scholar] [CrossRef]
- Pitt, C.G.; Chasalow, F.I.; Hibionada, Y.M.; Klimas, D.M.; Schindler, A. Aliphatic Polyesters. I. The Degradation of Poly(ε-caprolactone) In Vivo. J. Appl. Polym. Sci. 1981, 26, 3779–3787. [Google Scholar] [CrossRef]
- Grizzi, I.; Garreau, H.; Li, S.; Vert, M. Hydrolytic degradation of devices based on poly(DL-lactic acid) size-dependence. Biomaterials 1995, 16, 305–311. [Google Scholar] [CrossRef]
- Guillet, J. Degradable Polymers, Principles and applications; Scott, G., Gilead, D., Eds.; Chapman & Hall: London, UK, 1995. [Google Scholar]
- Vert, M.; Li, S.M.; Spenlehauer, G.; Guerin, P. Bioresorbability and biocompatibility of aliphatic polyesters. J. Mater. Sci: Mater. Medic. 1992, 3, 432–446. [Google Scholar] [CrossRef]
- Pamula, E.; Dobrzynski, P.; Szot, B.; Kretek, M.; Krawciow, J.; Plytycz, B.; Chadzinska, M. Cytocompatibility of aliphatic polyesters—in vitrostudy on fibroblasts and macrophages. J. Biomed. Mater. Res. Part A 2008, 87, 524–535. [Google Scholar]
- Byrne, J.D.; Betancourt, T.; Brannon-Peppas, L. Active targeting schemes for nanoparticle systems in cancer therapeutics. Adv. Drug Deliv. Reviews 2008, 60, 1615–1626. [Google Scholar] [CrossRef]
- Kong, G.; Dewhirst, M.W. Hyperthermia and liposomes. Int. J. Hyperthermia 1999, 15, 345–370. [Google Scholar] [CrossRef]
- Li, J.; Wang, B.; Wang, Y.; Liu, P.; Qiao, W. Preparation and Characterization of Thermosensitive Nanoparticles for Targeted Drug Delivery. J. Macromol. Sci. Part A: Pure Appl. Chem. 2008, 45, 833–838. [Google Scholar] [CrossRef]
- Shen, Z.; Wei, W.; Zhao, Y.; Ma, G.; Dobashi, T.; Maki, Y.; Su, Z.; Wan, J. Thermosensitive polymer-conjugated albumin nanospheres as thermal targeting anti-cancer drug carrier. Eur. J. Pharm. Sci. 2008, 35, 271–282. [Google Scholar] [CrossRef]
- Yang, R.; Shim, W.S.; Cui, F.D.; Cheng, G.; Han, X.; Jin, Q.R.; Kim, D.D.; Chung, S.J.; Shim, C.K. Enhanced electrostatic interaction between chitosan-modified PLGA nanoparticle and tumor. Int. J. Pharm. in press.
- Ikada, Y.; Tsuji, H. Biodegradable polyesters for medical and ecological applications. Macromol. Rapid Commun. 2000, 21, 117–132. [Google Scholar] [CrossRef]
- Zhao, J.H.; Wang, X.Q.; Zeng, J.; Yang, G.; Shi, F.-H.; Yan, Q. Biodegradation of poly(butylene succinate-co-butylene adipate) by Aspergillus versicolor. Polym. Degrad. Stab. 2005, 90, 173–179. [Google Scholar] [CrossRef]
- Bikiaris, D.N.; Papageorgiou, G.Z.; Achilias, D.S. Synthesis and comparative biodegradability studies of three poly(alkylene succinate)s. Polym. Degrad. Stab. 2006, 91, 31–43. [Google Scholar] [CrossRef]
- Zorba, T.; Chrissafis, K.; Paraskevopoulos, K.M.; Bikiaris, D.N. Synthesis, characterization and thermal degradation mechanism of three poly(alkylene adipate)s: Comparative study. Polym. Degrad. Stab. 2007, 92, 222–230. [Google Scholar] [CrossRef]
- Papageorgiou, G.Z.; Bikiaris, D.N. Crystallization and melting behavior of three biodegradable poly(alkylene succinates). A comparative study. Polymer 2005, 46, 12081–12092. [Google Scholar] [CrossRef]
- Chrissafis, K.; Paraskevopoulos, K.M.; Bikiaris, D.N. Thermal degradation mechanism of poly(ethylene succinate) and poly(butylene succinate): Comparative study. Thermochim. Acta 2005, 435, 142–150. [Google Scholar] [CrossRef]
- Chrissafis, K.; Paraskevopoulos, K.M.; Bikiaris, D.N. Thermal degradation kinetics of the biodegradable aliphatic polyester, poly(propylene succinate). Polym. Degrad. Stab. 2006, 91, 60–68. [Google Scholar] [CrossRef]
- Chrissafis, K.; Paraskevopoulos, K.M.; Bikiaris, D.N. Effect of molecular weight on thermal degradation mechanism of the biodegradable polyester poly(ethylene succinate). Thermochim. Acta 2006, 440, 166–175. [Google Scholar] [CrossRef]
- Bikiaris, D.N.; Papageorgiou, G. Z.; Papadimitriou, S.A.; Karavas, E.; Avgoustakis, K. Novel Biodegradable Polyester Poly(Propylene Succinate): Synthesis and Application in the Preparation of Solid Dispersions and Nanoparticles of a Water-Soluble Drug. AAPS PharmSciTech 2009. [Google Scholar] [CrossRef]
- Delmas, P.D.; Bjarnason, N.H.; Mitlak, B.H.; Ravoux, A.C.; Shah, A.S.; Huster, W.J.; Draper, M.; Christiansen, C.N. Effects of raloxifene on bone mineral density, serum cholesterol concentrations, and uterine endometrium in postmenopausal women. New Engl. J. Med. 1997, 337, 1641–1647. [Google Scholar] [CrossRef]
- Hol, T.; Cox, M.B.; Bryant, H.U.; Draper, M.W. Selective estrogen receptor modulators and postmenopausal women's health. J. Womens Health 1997, 6, 523–531. [Google Scholar]
- Goodman and Gilman’s. In The Pharmacological Basis of Therapeutics, 10th ed.; Hardman, J.G.; Limbird, L.E. (Eds.) McGraw Hill: New York, NY, USA, 2001.
- Teeter, J.S.; Meyerhoff, R.D. Environmental fate and chemistry of raloxifene hydrochloride. Environ. Toxicol. Chem. 2002, 21, 729–736. [Google Scholar] [CrossRef]
- Pinto Reis, C.; Neufeld, R.J.; Ribeiro, A.J.; Veiga, F. Nanoencapsulation I. Methods for preparation of drug-loaded polymeric nanoparticles. Nanomedic.: Nanotechn. Biol. Medic. 2006, 2, 8–21. [Google Scholar] [CrossRef]
- Bikiaris, D.; Achilias, D. Synthesis of poly(alkylene succinate) biodegradable polyesters, Part II: Mathematical modelling of the polycondensation reaction. Polymer 2008, 49, 3677–3685. [Google Scholar] [CrossRef]
- Papageorgiou, G.Z.; Bikiaris, D.; Achilias, D. Effect of molecular weight on the cold-crystallization of biodegradable poly(ethylene succinate). Thermochim. Acta 2007, 457, 41–54. [Google Scholar] [CrossRef]
- Bikiaris, D.; Papageorgiou, G.Z.; Giliopoulos, D.; Stergiou, C. Correlation between Chemical and Solid-State Structures and Enzymatic Hydrolysis in Novel Biodegradable Polyesters. The Case of Poly(propylene alkanedicarboxylate)s. Macromol. Biosci. 2008, 8, 728–740. [Google Scholar] [CrossRef]
- Li, J.; Wang, B.; Liu, P. Possibility of active targeting to tumor by local hyperthermia with temperature-sensitive nanoparticles. Medical Hypotheses 2008, 71, 249–251. [Google Scholar] [CrossRef]
- Athanasiou, K.A.; Niederauer, G.G.; Agrawal, C.M. Sterilization, toxicity, biocompatibility, and clinical applications of polylactic acid/polyglycolic acid copolymers. Biomaterials 1996, 17, 93–102. [Google Scholar] [CrossRef]
- Gaumet, M.; Vargas, A.; Gurny, R.; Delie, F. Nanoparticles for drug delivery: The need for precision in reporting particle size parameters. Eur. J. Pharm. Biopharm. 2008, 69, 1–9. [Google Scholar] [CrossRef]
- Nakaoka, R.; Tabata, Y.; Yamaoka, T.; Ikada, Y. Prolongation of the serum half-life period of superoxide dismutase by poly(ethylene glycol) modification. J. Controll. Rel. 1997, 46, 253–261. [Google Scholar] [CrossRef]
- Moghimi, S.M.; Hunter, A.C.; Murray, J.C. Long-circulating and target-specific nanoparticles: Theory to practice. Pharmacol. Rev. 2001, 53, 283–318. [Google Scholar]
- Moghimi, S.M. Mechanisms of splenic clearance of blood cells and particles: Towards development of new splenotropic agents. Adv. Drug Deliv. Rev. 1995, 17, 103–115. [Google Scholar] [CrossRef]
- Moghimi, S.M. Exploiting bone marrow microvascular structure for drug delivery and future therapies. Adv. Drug Deliv. Rev. 1995, 17, 61–73. [Google Scholar] [CrossRef]
- Banerjee, T.; Mitra, S.; Kumar Singh, A.; Kumar Sharma, R.; Maitra, A. Preparation, characterization and biodistribution of ultrafine chitosan nanoparticles. Int. J. Pharm. 2002, 243, 93–105. [Google Scholar] [CrossRef]
- Hirano, A.; Kawanami, T.; Llena, J.F. Electron microscopy of the blood-brain barrier in disease. Microsc. Res. Techniq. 1994, 27, 543–556. [Google Scholar] [CrossRef]
- Storm, G.; Belliot, S.O.; Daemen, T.; Lasic, D.D. Surface modification of nanoparticles to oppose uptake by the mononuclear phagocyte system. Adv. Drug Deliv. Rev. 1995, 17, 31–48. [Google Scholar] [CrossRef]
- Allemann, E.; Gurny, R.; Doelker, E. Drug-loaded nanoparticles - preparation methods and drug targeting issues. Eur. J. Pharm. Biopharm. 1993, 39, 173–191. [Google Scholar]
- Jeong, Y. I. All-trans-retinoic acid release from core-shell type nanoparticles of poly(ε-caprolactone)/poly(ethylene glycol) diblock copolymer. Int. J. Pharm. 2004, 273, 95–107. [Google Scholar] [CrossRef]
- Papadimitriou, S.; Bikiaris, D. Dissolution rate enhancement of the poorly water soluble drug Tibolone using PVP, SiO2 and their nanocomposites as appropriate drug carriers. Drug Dev. Ind. Pharm. in press.
- Papageorgiou, G.Z.; Bikiaris, D.; Karavas, E.; Politis, S.; Docoslis, A.; Park, Y.; Stergiou, A.; Georgarakis, E. Effect of physical state and particle size distribution on dissolution enhancement of Nimodipine/PEG solid dispersions prepared by melt mixing and solvent evaporation. APPS J. 2006, 8, E623–E631. [Google Scholar]
- Docoslis, A.; Huszarik, K.L.; Papageorgiou, G.Z.; Bikiaris, D.; Stergiou, A.; Georgarakis, E. Characterization of distribution, polymorphism, and stability of Nimodipine in its solid dispersions in polyethylene glycol using micro-Raman spectroscopy and powder X-Ray Diffraction. AAPS J. 2007, 9, E361–E370. [Google Scholar] [CrossRef]
- Karavas, E.; Georgarakis, M.; Docoslis, A.; Bikiaris, D. Combining SEM, TEM, and micro-Raman techniques to differentiate between the amorphous molecular level dispersions and nanodispersions of a poorly-water soluble drug within a polymer matrix. Int. J. Pharm. 2007, 340, 76–83. [Google Scholar] [CrossRef]
- Ge, H.; Hu, Y.; Yang, S.; Jiang, X.; Yang, C. Preparation, Characterization and Drug Release Behaviors of Drug-Loaded ε-Caprolactone/L-lactide Copolymer Nanoparticles. J. Appl. Polym. Sci. 2000, 75, 874–882. [Google Scholar] [CrossRef]
- Chawla, J.S.; Amiji, M.M. Biodegradable poly(ε-caprolactone) nanoparticles for tumor targeted delivery of tamoxifene. Int. J. Pharm. 2002, 249, 127–137. [Google Scholar] [CrossRef]
- Zhang, Y.; Wang, C.; Yang, W.; Shi, B.; Fu, S. Tri-component diblock copolymers of poly(ethylene glycol)-poly(ε-caprolactone-co-lactide):synthesis, characterization and loading captothecin. Colloid. Polym. Sci. 2005, 283, 1246–1252. [Google Scholar] [CrossRef]
- Opanasopit, P.; Ngawhirunpat, T.; Rojanarata, T.; Choochottiros, C.; Chirachanchai, S. Camptothecin-incorporating N-phthaloylchitosan-g-mPEG self-assembly micellar system: Effect of degree of deacetylation. Colloids Surf. B Biointerfaces 2007, 60, 117–124. [Google Scholar] [CrossRef]
- Zhang, L.; Hu, Y.; Jiang, X.; Yang, C.; Lu, W.; Yang, Y.H. Camptothecin derivative-loaded poly(caprolactone-co-lactide)-b-PEG-b-poly(caprolactone-co-lactide) nanoparticles and their biodistribution in mice. J. Control. Release 2004, 96, 135–148. [Google Scholar] [CrossRef]
- Hecq, J.; Deleers, M.; Fanara, D.; Vranckx, H.; Amighi, K. Preparation and characterization of nanocrystals for solubility and dissolution rate enhancement of nifedipine. Int. J. Pharm. 2005, 299, 167–177. [Google Scholar] [CrossRef]
- Crisp, M.T.; Tucker, C.J.; Rogers, T.L.; Williams Iii, R.O.; Johnston, K.P. Turbidimetric measurement and prediction of dissolution rates of poorly soluble drug nanocrystals. J. Control. Release 2007, 117, 351–359. [Google Scholar] [CrossRef]
- Kocbek, P.; Baumgartner, S.; Kristl, J. Preparation and evaluation of nanosuspensions for enhancing the dissolution of poorly soluble drugs. Int. J. Pharm. 2006, 312, 179–186. [Google Scholar] [CrossRef]
- Liversidge, G.G.; Cundy, K.C. Particle size reduction for improvement of oral bioavailability of hydrophobic drugs: I. Absolute oral bioavailability of nanocrystalline danazol in beagle dogs. Int. J. Pharm. 1995, 125, 91–97. [Google Scholar] [CrossRef]
- Mόller, R.H.; Peters, K. Nanosuspensions for the formulation of poorly soluble drugs: I. Preparation by a size-reduction technique. Int. J. Pharm. 1998, 160, 229–237. [Google Scholar] [CrossRef]
- Hans, M.L.; Lowman, A.M. Biodegradable nanoparticles for drug delivery and targeting. Curr. Opin. Solid State Mater. Sci. 2002, 6, 319–327. [Google Scholar] [CrossRef]
- Merisko-Liversidge, E.; Liversidge, G.G.; Cooper, E.R. Nanosizing: a formulation approach for poorly-water-soluble compounds. Eur. J. Pharm. Sci. 2003, 18, 113–120. [Google Scholar] [CrossRef]
- Chen, X.; Young, T.J.; Sarkari, M.; Williams, R.O.; Johnston, K.P. Preparation of cyclosporine A nanoparticles by evaporative precipitation into aqueous solution. Int. J. Pharm. 2002, 242, 3–14. [Google Scholar] [CrossRef]
- Papadimitriou, S.; Bikiaris, D. Novel self-assembled core-shell nanoparticles based on crystalline amorphous moieties of aliphatic copolyesters for efficient controlled drug release. J. Control. Release. in press.
- Sample Availability: Samples of the aliphatic polyesters (10g of each one) are available from the authors.
© 2009 by the authors; licensee Molecular Diversity Preservation International, Basel, Switzerland. This article is an open access article distributed under the terms and conditions of the Creative Commons Attribution license ( http://creativecommons.org/licenses/by/3.0/).
Share and Cite
Bikiaris, D.; Karavelidis, V.; Karavas, E. Novel Biodegradable Polyesters. Synthesis and Application as Drug Carriers for the Preparation of Raloxifene HCl Loaded Nanoparticles. Molecules 2009, 14, 2410-2430. https://doi.org/10.3390/molecules14072410
Bikiaris D, Karavelidis V, Karavas E. Novel Biodegradable Polyesters. Synthesis and Application as Drug Carriers for the Preparation of Raloxifene HCl Loaded Nanoparticles. Molecules. 2009; 14(7):2410-2430. https://doi.org/10.3390/molecules14072410
Chicago/Turabian StyleBikiaris, Dimitrios, Vassilios Karavelidis, and Evangelos Karavas. 2009. "Novel Biodegradable Polyesters. Synthesis and Application as Drug Carriers for the Preparation of Raloxifene HCl Loaded Nanoparticles" Molecules 14, no. 7: 2410-2430. https://doi.org/10.3390/molecules14072410
APA StyleBikiaris, D., Karavelidis, V., & Karavas, E. (2009). Novel Biodegradable Polyesters. Synthesis and Application as Drug Carriers for the Preparation of Raloxifene HCl Loaded Nanoparticles. Molecules, 14(7), 2410-2430. https://doi.org/10.3390/molecules14072410
