Effects of α-Melanocortin Enantiomers on Acetaminophen-Induced Hepatotoxicity in CBA Mice
Abstract
:1. Introduction
2. Results and Discussion
2.1. Circular Dichroism Spectroscopy of α-MSH Enantiomers
2.2. Competitive Enzymatic Immunoassay (EIA) of α-MSH Enantiomers
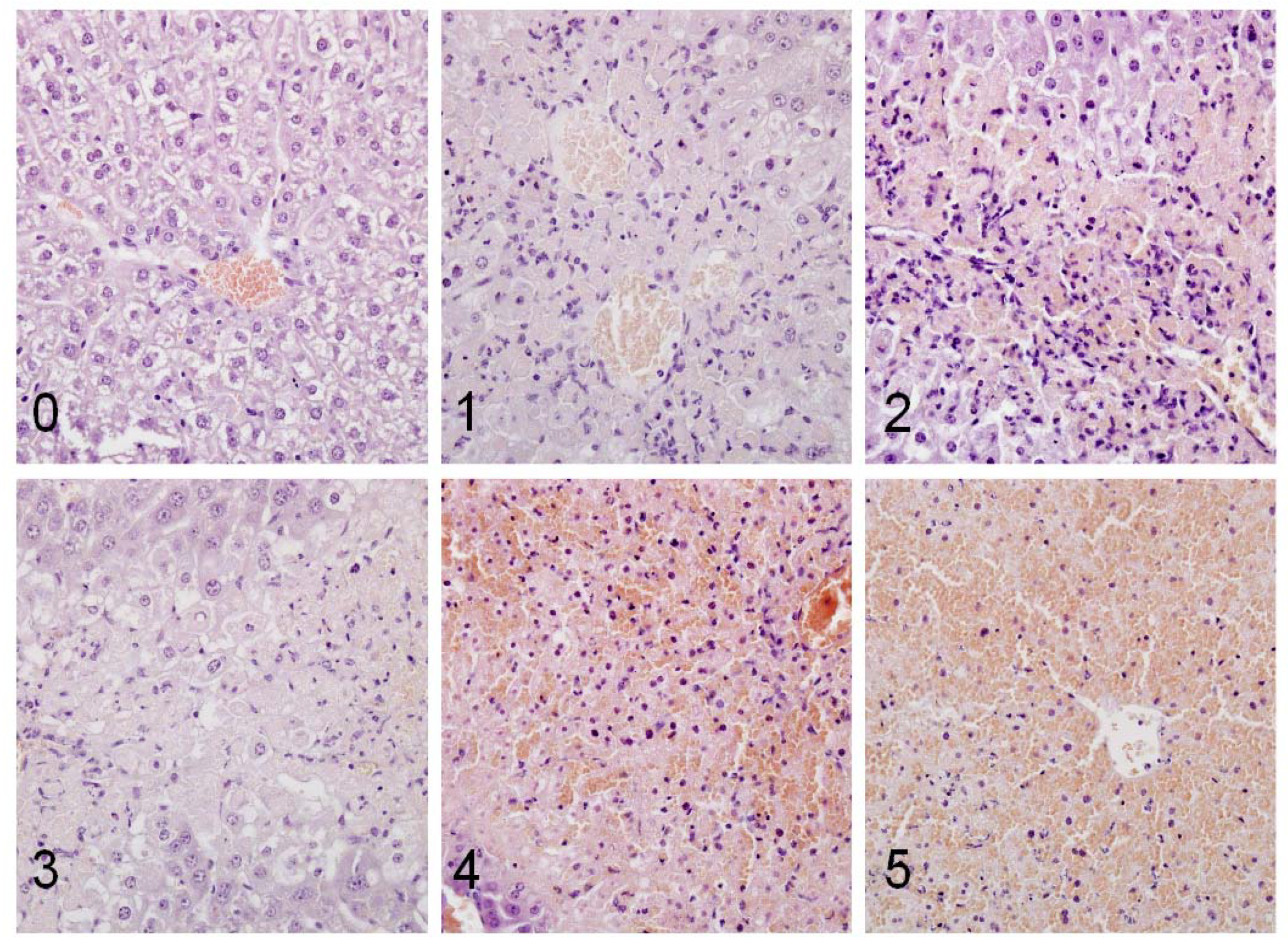
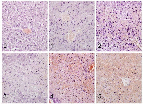
2.3. Treatment of Hepatotoxicity with α-MSH Enantiomers
3. Experimental
3.1. Circular Dichroism Experiment
3.2. Quantification of α-MSH Enantiomers by Means of Competitive EIA
3.3. Animals
3.4. Treatment Regimen (Hepatotoxicity Model)
3.5. Test Compounds
3.6. Histopathological Estimation of Liver Damage
3.7. Plasma Transaminase Activity
3.8. Data Analysis
4. Conclusions
- (1).
- Both enantomers of α-MSH peptide, when diluted 1:50 in sodium phosphate buffer (10 mM, pH 7.4), exhibit predominantly random coil structure.
- (2).
- Antibody to l-α-MSH did not recognize d-α-MSH enantiomer.
- (3).
- l-α-MSH enantiomer was hepatoprotective in the experimental model of acetaminophen induced hepatotoxicity in male CBA male mice, while d-α-MSH was inefficient.
- (4).
- Peptide-enantiomerism should be considered in the investigations of peptide bio- and immuno-reactivity.
Acknowledgements
References
- Hamse, K.; Morikawa, A.; Etoh, S.; Tojo, Y.; Miyoshi, Y.; Zaitsu, K. Analysis of small amounts of d-amino acids and the study of their physiological functions in mammals. Anal. Sci. 2009, 25, 961–968. [Google Scholar] [CrossRef]
- Haack, T.; González, Ma.J.; Sánchez, Y.; Giralt, E. d-Amino acids in protein de novo design. II. Protein-diastereomerism versus protein-enantiomerism. Lett. Pept. Sci. 1997, 4, 377–386. [Google Scholar] [CrossRef]
- Fuchs, S.A.; Berger, R.; Klomp, L.W.J.; de Koning, T.J. d-amino acids in the central nervous system in health and disease. Mol. Genet. Metab. 2005, 85, 168–180. [Google Scholar] [CrossRef] [PubMed]
- Kreil, G. d-amino acids in animal peptides. Annu. Rev. Biochem. 1997, 66, 337–345. [Google Scholar] [CrossRef] [PubMed]
- Felbeck, H.; Wiley, S. Free d-amino acids in the tissues of marine bivales. Biol. Bull. 1986, 173, 252–259. [Google Scholar] [CrossRef] [PubMed]
- Gerber, D.; Quintana, F.J.; Bloch, I.; Cohen, I.R.; Shai, Y. d-enantiomer peptide of the TCRalpha transmembrane domain inhibits T-cell activation in vitro and in vivo. FASEB J. 2005, 19, 1190–1192. [Google Scholar] [CrossRef] [PubMed]
- Janeway, C.A., Jr.; Sela, M. Synthetic antigens composed exclusively of l- or d-amino acids. I. Effect of optical configuration on the immunogenicity of synthetic polypeptides in mice. Immunology 1967, 13, 29–38. [Google Scholar] [PubMed]
- Benkirane, N.; Guichard, G.; van Regenmortel, M.H.; Briand, J.P.; Muller, S. Cross-reactivity of antibodies to retro-inverso peptidomimetics with the parent protein histone H3 and chromatin core particle. Specificity and kinetic rate-constant measurements. J. Biol. Chem. 1995, 270, 11921–11926. [Google Scholar] [CrossRef] [PubMed]
- Guichard, G.; Benkirane, N.; Zeder-Lutz, G.; van Regenmortel, M.H.; Briand, J.P.; Muller, S. Antigenic mimicry of natural l-peptides with retro-inverso-peptidomimetics. Proc. Natl. Acad. Sci. USA 1994, 91, 9765–9769. [Google Scholar] [CrossRef] [PubMed]
- Lipton, J.M.; Catania, A. Anti-inflammatory actions of the neuroimmunomodulator alpha-MSH. Immunol. Today 1997, 18, 140–145. [Google Scholar] [CrossRef]
- Brzoska, T.; Luger, T.A.; Maaser, C.; Abels, C.; Böhm, M. Alpha-melanocyte-stimulating hormone and related tripeptides: biochemistry, antiinflammatory and protective effects in vitro and in vivo, and future perspectives for the treatment of immune-mediated inflammatory diseases. Endocr. Rev. 2008, 29, 581–602. [Google Scholar] [CrossRef] [PubMed]
- Getting, S.J. Targeting melanocortin receptors as potential novel therapeutics. Pharmacol. Ther. 2006, 111, 1–15. [Google Scholar] [CrossRef] [PubMed]
- Johnson, W.C. Protein secondary structure and circular dichroism: A practical guide. Proteins 1990, 7, 205–214. [Google Scholar] [CrossRef] [PubMed]
- Greenfield, N.J. Using circular dichroism spectra to estimate protein secondary structure. Nat. Protoc. 2006, 1, 2876–2890. [Google Scholar] [CrossRef] [PubMed]
- Mukhopadhyay, K.; Basak, S. Conformation induction in melanotropic peptides by trifluoroethanol: Fluorescence and circular dichroism study. Biophys. Chem. 1998, 74, 175–186. [Google Scholar] [CrossRef]
- Sinno, M.H.; Do Rego, J.C.; Coëffier, M.; Bole-Feysot, C.; Ducrotté, P.; Gilbert, D.; Tron, F.; Costentin, J.; Hökfelt, T.; Déchelotte, P.; Fetissov, S.O. Regulation of feeding and anxiety by α-MSH reactive autoantibodies. Psychoneuroendocrinology 2009, 34, 140–149. [Google Scholar] [CrossRef] [PubMed]
- Silveira, J.E.; Pereda, M.C.; Eberlin, S.; Dieamant, G.C.; Di Stasi, L.C. Effects of Coccoloba uvifera L. on UV-stimulated melanocytes. Photodermatol. Photoimmunol. Photomed. 2008, 24, 308–313. [Google Scholar] [CrossRef] [PubMed]
- Sela, M.; Zisman, E. Different roles of d-amino acids in immune phenomena. FASEB J. 1997, 11, 449–456. [Google Scholar] [CrossRef] [PubMed]
- Hasegawa, H.; Matsukawa, T.; Shinohara, Y.; Konno, R.; Hashimoto, T. Role of renal d-amino-acid oxidase in pharmacokinetics of d-leucine. Am. J. Physiol. Endocrinol. Metab. 2004, 287, E160–E165. [Google Scholar] [CrossRef] [PubMed]
- Nelson, S.D.; Bruschi, S.A. Mechanisms of Acetaminophen-Induced Liver Disease. In Drug-Induced Liver Disease, 2nd ed.; Kaplowitz, N., DeLeve, L.D., Eds.; Informa Healthcare: New York, NY, USA, 2007; pp. 353–388. [Google Scholar]
- Timbrel, J.A. Principles of Biochemical Toxicology, 4th ed.; Informa Healthcare: New York, NY, USA, 2009; pp. 313–321. [Google Scholar]
- Wang, C.H.; Jawan, B.; Lee, T.H.; Hung, K.S.; Chou, W.Y.; Lu, C.N.; Liu, J.K.; Chen, Y.J. Single injection of naked plasmid encoding alpha-melanocyte-stimulating hormone protects against thioacetamide-induced acute liver failure in mice. Biochem. Biophys. Res. Commun. 2004, 322, 153–161. [Google Scholar] [CrossRef] [PubMed]
- Lee, T.H.; Jawan, B.; Chou, W.Y.; Lu, C.N.; Wu, C.L.; Kuo, H.M.; Concejero, A.M.; Wang, C.H. Alpha-melanocyte-stimulating hormone gene therapy reverses carbon tetrachloride induced liver fibrosis in mice. J. Gene Med. 2006, 8, 764–772. [Google Scholar] [CrossRef] [PubMed]
- Chiao, H.; Foster, S.; Thomas, R.; Lipton, J.; Star, R.A. Alpha-melanocyte-stimulating hormone reduces endotoxin-induced liver inflammation. J. Clin. Invest. 1996, 97, 2038–2044. [Google Scholar] [CrossRef] [PubMed]
- Jaeschke, J. Toxic responses of the liver. In Casarett’s & Doull’s Toxicology: The Basic Science of Poisoning, 7th ed.; Klaassen, C.D., Ed.; McGraw-Hill: New York, NY, USA, 2008; pp. 557–582. [Google Scholar]
- Lee, W.M.; Ostapowicz, G. Acetaminophen: Pathology and Clinical Presentation of Hepatotoxicity. In Drug-Induced Liver Disease, 2nd ed.; Kaplowitz, N., DeLeve, L.D., Eds.; Informa Healthcare: New York, NY, USA, 2007; pp. 389–406. [Google Scholar]
- Guarner, F.; Boughton-Smith, N.K.; Blackwell, G.J.; Moncada, S. Reduction by prostacyclin of acetaminophen-induced liver toxicity in the mouse. Hepatology 1988, 8, 248–253. [Google Scholar] [CrossRef] [PubMed]
- Čulo, F.; Renić, M.; Sabolović, D.; Radoš, M.; Bilić, A.; Jagić, V. Ketoconazole inhibits acetaminophen-induced hepatotoxicity in mice. Eur. J. Gastroenterol. Hepatol. 1995, 7, 757–762. [Google Scholar] [PubMed]
- Silva, V.M.; Chen, C.; Hennig, G.E.; Whiteley, H.E.; Manautou, E.J. Changes in susceptibility to acetaminophen-induced liver injury by the organic anion indocyanine green. Food Chem. Toxicol. 2001, 3, 271–278. [Google Scholar] [CrossRef]
Sample Availability: Not available. |




| Substance | i.p. dose | Mean | SD | Median | P value |
|---|---|---|---|---|---|
| Control | 0.9% NaCl | 6767.25 | 6468.60 | 5434.0 | |
| l-α-MSH | 0.10 mg/kg | 4880.43 | 3891.38 | 3691.0 | >0.999 |
| l-α-MSH | 0.50 mg/kg | 2613.88 | 1114.85 | 2368.5 | >0.999 |
| l-α-MSH | 1.00 mg/kg | 1418.50 | 1228.44 | 905.5 | 0.587 |
| l-α-MSH | 2.50 mg/kg | 539.50 | 459.62 | 414.0 | 0.031 |
| d-α-MSH | 0.10 mg/kg | 1756.21 | 1031.83 | 1940.0 | 0.996 |
| d-α-MSH | 0.50 mg/kg | 3774.53 | 2082.77 | 3460.0 | >0.999 |
| d-α-MSH | 1.00 mg/kg | 3082.32 | 2810.30 | 3730.0 | 0.806 |
| d-α-MSH | 2.50 mg/kg | 2754.30 | 1388.61 | 3400.0 | 0.999 |
| Substance | i.p. dose | Mean | SD | Median | P value |
|---|---|---|---|---|---|
| Control | 0.9% NaCl | 9550.00 | 9213.15 | 7321.5 | |
| l-α-MSH | 0.10 mg/kg | 8983.67 | 4654.38 | 7901.0 | 0.998 |
| l-α-MSH | 0.50 mg/kg | 4292.00 | 1422.14 | 3945.0 | >0.999 |
| l-α-MSH | 1.00 mg/kg | 2671.25 | 2235.06 | 2167.5 | 0.589 |
| l-α-MSH | 2.50 mg/kg | 585.75 | 1424.17 | 89.0 | 0.023 |
| d-α-MSH | 0.10 mg/kg | 3602.50 | 2068.51 | 3820.0 | 0.996 |
| d-α-MSH | 0.50 mg/kg | 5752.22 | 1847.53 | 5630.0 | >0.999 |
| d-α-MSH | 1.00 mg/kg | 5162.47 | 4226.78 | 6480.0 | 0.808 |
| d-α-MSH | 2.50 mg/kg | 4932.86 | 2238.02 | 5580.0 | >0.999 |
| Substance | i.p. dose | Mean | SD | Median | P value |
|---|---|---|---|---|---|
| Control | 0.9% NaCl | 4.00 | 1.20 | 4.5 | |
| l-α-MSH | 0.10 mg/kg | 4.17 | 0.98 | 4.5 | 0.999 |
| l-α-MSH | 0.50 mg/kg | 3.33 | 0.52 | 3.0 | 0.560 |
| l-α-MSH | 1.00 mg/kg | 2.29 | 0.49 | 2.0 | 0.032 |
| l-α-MSH | 2.50 mg/kg | 2.00 | 0.76 | 2.0 | 0.018 |
| d-α-MSH | 0.10 mg/kg | 4.40 | 0.89 | 5.0 | 0.997 |
| d-α-MSH | 0.50 mg/kg | 4.60 | 0.55 | 5.0 | 0.971 |
| d-α-MSH | 1.00 mg/kg | 4.20 | 1.10 | 5.0 | >0.999 |
| d-α-MSH | 2.50 mg/kg | 4.89 | 0.38 | 5.0 | 0.506 |
© 2009 by the authors; licensee Molecular Diversity Preservation International, Basel, Switzerland. This article is an open-access article distributed under the terms and conditions of the Creative Commons Attribution license (http://creativecommons.org/licenses/by/3.0/).
Share and Cite
Turčić, P.; Bradamante, M.; Houra, K.; Štambuk, N.; Kelava, T.; Konjevoda, P.; Kazazić, S.; Vikić-Topić, D.; Pokrić, B. Effects of α-Melanocortin Enantiomers on Acetaminophen-Induced Hepatotoxicity in CBA Mice. Molecules 2009, 14, 5017-5026. https://doi.org/10.3390/molecules14125017
Turčić P, Bradamante M, Houra K, Štambuk N, Kelava T, Konjevoda P, Kazazić S, Vikić-Topić D, Pokrić B. Effects of α-Melanocortin Enantiomers on Acetaminophen-Induced Hepatotoxicity in CBA Mice. Molecules. 2009; 14(12):5017-5026. https://doi.org/10.3390/molecules14125017
Chicago/Turabian StyleTurčić, Petra, Mirna Bradamante, Karlo Houra, Nikola Štambuk, Tomislav Kelava, Paško Konjevoda, Saša Kazazić, Dražen Vikić-Topić, and Biserka Pokrić. 2009. "Effects of α-Melanocortin Enantiomers on Acetaminophen-Induced Hepatotoxicity in CBA Mice" Molecules 14, no. 12: 5017-5026. https://doi.org/10.3390/molecules14125017
APA StyleTurčić, P., Bradamante, M., Houra, K., Štambuk, N., Kelava, T., Konjevoda, P., Kazazić, S., Vikić-Topić, D., & Pokrić, B. (2009). Effects of α-Melanocortin Enantiomers on Acetaminophen-Induced Hepatotoxicity in CBA Mice. Molecules, 14(12), 5017-5026. https://doi.org/10.3390/molecules14125017
