Sign in to use this feature.

Years

Between: -

Subjects

remove_circle_outline
remove_circle_outline
remove_circle_outline
remove_circle_outline
remove_circle_outline

Journals

Article Types

Countries / Regions

remove_circle_outline
remove_circle_outline
remove_circle_outline

Search Results (197)

Search Parameters:
Keywords = trematode

Order results
Result details
Results per page
Select all
Export citation of selected articles as:
14 pages, 1441 KB  
Article
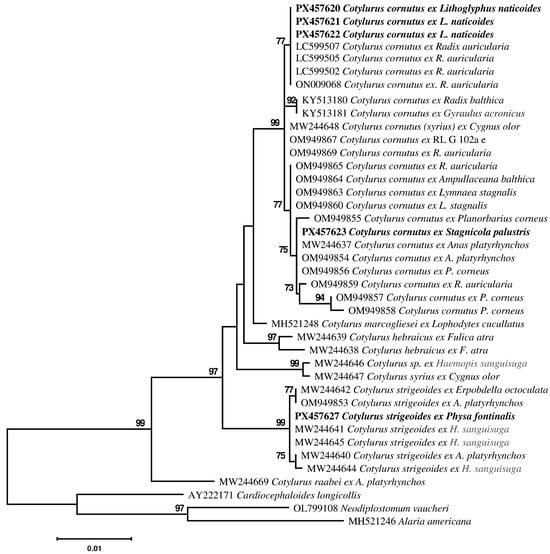
Morphological and Molecular Studies of Tetracotyle-Type Metacercariae of the Genus Cotylurus Szidat, 1928 (Trematoda) from the Gravel Snail Lithoglyphus naticoides (Gastropoda) and Host Sex Dependent Differences in Infection Rate
by Gražina Stanevičiūtė, Virmantas Stunžėnas and Romualda Petkevičiūtė
Pathogens 2025, 14(10), 1063; https://doi.org/10.3390/pathogens14101063 - 20 Oct 2025
Abstract
The Ponto-Caspian invader, the gravel snail Lithoglyphus naticoides (C. Pfeiffer, 1828), is infected with a diverse community of digenetic trematodes in its colonized range and most often serves as first intermediate host. We have performed the parasitological examination of L. naticoides snails sampled [...] Read more.
The Ponto-Caspian invader, the gravel snail Lithoglyphus naticoides (C. Pfeiffer, 1828), is infected with a diverse community of digenetic trematodes in its colonized range and most often serves as first intermediate host. We have performed the parasitological examination of L. naticoides snails sampled in Kaunas water reservoir (Lithuania) and found yet unknown strigeid metacercariae of the tetracotyle type using these snails as second intermediate host. In this study, we report data on morphology and molecular analysis based on two markers, the partial 28S rDNA gene and the ITS2 region of these metacercariae. Based on the comparative molecular and phylogenetic analysis, the metacercaria detected in L. naticoides was identified as Cotylurus cornutus (Rudolphi 1809) Szidat, 1928. Differences in metacercariae infection between snail sexes were assessed. The prevalence of infection in L. naticoides was significantly higher in males than in females. Additional molecular markers of tetracotyle of C. cornutus from Stagnicola palustris (O. F. Müller, 1774) and furcocercaria of Cotylurus strigeoides Dubois, 1958 from Physa fontinalis (Linnaeus, 1758), sampled in Curonian Lagoon, Lithuania, were obtained for the first time and used for comparative phylogenetic analysis. Full article
(This article belongs to the Special Issue Parasitic Helminths and Control Strategies)
Show Figures

Figure 1

19 pages, 1221 KB  
Article
Evaluation of Gastrointestinal Endoparasites in Cattle in Central Spain: Focus on Calicophoron daubneyi with Coprological, Epidemiological, and Anthelmintic Insights
by Nélida Fernández Pato, Óscar García Barrero, Elvira Rodríguez Velasco, Félix Valcárcel Sancho and Jaime Galán Elvira
Pathogens 2025, 14(10), 1057; https://doi.org/10.3390/pathogens14101057 - 19 Oct 2025
Abstract
Calicophoron daubneyi, a rumen fluke increasingly reported in European livestock, has emerged as a relevant parasitic threat in cattle. This study investigated the prevalence and seasonal dynamics of gastrointestinal endoparasites in 382 fecal samples from 40 beef cattle farms (26 extensive and [...] Read more.
Calicophoron daubneyi, a rumen fluke increasingly reported in European livestock, has emerged as a relevant parasitic threat in cattle. This study investigated the prevalence and seasonal dynamics of gastrointestinal endoparasites in 382 fecal samples from 40 beef cattle farms (26 extensive and 14 semi-extensive) in central Spain. Samples were analyzed using flotation, sedimentation, and modified McMaster techniques, complemented by PCR confirmation of trematodes and a 25-variable epidemiological survey. C. daubneyi was detected in 38.74% of samples and 77.5% of farms, surpassing Fasciola hepatica (13.09%), gastrointestinal nematodes (42.15%), and Eimeria spp. (16.75%). Mixed infections were frequent. Seasonal shedding patterns varied by parasite, with C. daubneyi peaking in spring and winter. Statistical analyses (Kruskal–Wallis, ANOVA, Mann–Whitney U) revealed significant seasonal differences and confirmed higher F. hepatica egg counts in extensive systems (p = 0.0012). Anthelmintic treatment was infrequent and mainly guided by coprological diagnosis; ivermectin, closantel, albendazole, and nitroxinil were the most used drugs, though none fully effective against C. daubneyi. Anthelmintic resistance was not evaluated in this study. These findings confirm the emergence of C. daubneyi in central Spain and highlight the need for targeted surveillance and seasonally adjusted control strategies. Full article
(This article belongs to the Special Issue Emerging and Re-Emerging Parasitic Diseases)
Show Figures

Figure 1

13 pages, 3482 KB  
Article
Phylogenetic Position and Morphological Characteristics of the Plagiorchioid Trematode, Skrjabinoplagiorchis polonicus (Soltys, 1957), a Parasite of Rodents
by Alexander A. Kirillov, Nadezhda Y. Kirillova and Sergei V. Shchenkov
Biology 2025, 14(10), 1423; https://doi.org/10.3390/biology14101423 - 16 Oct 2025
Viewed by 132
Abstract
The genus Skrjabinoplagiorchis is monotypic, with Skrjabinoplagiorchis polonicus parasitizing rodents in the Western Palaearctic. This genus is classified within the family Plagiorchiidae; however, its taxonomic position remains unclear. In the present study, two species of digeneans, S. polonicus and Rubenstrema exasperatum, found [...] Read more.
The genus Skrjabinoplagiorchis is monotypic, with Skrjabinoplagiorchis polonicus parasitizing rodents in the Western Palaearctic. This genus is classified within the family Plagiorchiidae; however, its taxonomic position remains unclear. In the present study, two species of digeneans, S. polonicus and Rubenstrema exasperatum, found in small mammals in the Middle Volga region (European Russia), were examined. We provide morphological descriptions of the studied trematodes complemented with a molecular phylogenetic analysis of partial sequences of the 28S rDNA gene, obtained for these helminths of mammals in Russia for the first time. Based on morphological data and the results of molecular phylogenetic analysis, we reassign the genus Skrjabinoplagiorchis from the subfamily Plagiorchiinae to the subfamily Omphalometrinae. Previously, digeneans of the subfamily Omphalometrinae were known only as parasites of insectivores of the order Eulipotyphla. Full article
Show Figures

Figure 1

14 pages, 1269 KB  
Article
Epidemiological Survey of Human Zoonotic Fascioliasis and Schistosomiasis in the Lake Victoria and Southern Highland Ecological Zones of Tanzania
by Godlisten Shedrack Materu, Jahashi Nzalawahe, Mita Eva Sengupta, Anna-Sofie Stensgaard, Abdul Katakweba, Yasinter Silvester, Gerald P. Mwing’a, Birgitte J. Vennervald and Safari Kinung’hi
Zoonotic Dis. 2025, 5(4), 29; https://doi.org/10.3390/zoonoticdis5040029 - 5 Oct 2025
Viewed by 567
Abstract
Background: Zoonotic fascioliasis and schistosomiasis, caused by trematode parasites transmitted by freshwater snails, are neglected tropical diseases of both medical and veterinary importance. There are critical knowledge gaps regarding the transmission dynamics of these infections in humans and animals, particularly in endemic African [...] Read more.
Background: Zoonotic fascioliasis and schistosomiasis, caused by trematode parasites transmitted by freshwater snails, are neglected tropical diseases of both medical and veterinary importance. There are critical knowledge gaps regarding the transmission dynamics of these infections in humans and animals, particularly in endemic African communities. Therefore, the current study aimed to determine the burden of human zoonotic schistosomiasis and fascioliasis among different age groups, focusing on the Lake Victoria zone and the Southern Highlands of Tanzania. Methods: A cross-sectional study was conducted among preschool-aged children, school-aged children, and adults. A total of 1557 stool and urine samples were collected, 400 from preschool children, 804 from school-aged children, and 353 from adults. Stool samples were processed using the Kato–Katz technique and the formol-ether concentration method to detect Schistosoma mansoni and Fasciola spp., respectively. Urine samples were examined for Schistosoma haematobium infection using the urine filtration method. Data were analyzed using Stata version 17. The t-tests or one-way ANOVA were used to assess statistical differences in the mean egg counts of S. mansoni and S. haematobium between exposure groups. Results: The overall prevalence of S. haematobium was 4.9%, S. mansoni was 1.2% with no significant differences across age groups, but with a statistically significant difference between sexes 1.8%. Males had a higher prevalence of both S. haematobium and S. mansoni infections compared to females. The prevalence of Fasciola infection was 0.9%, with the highest prevalence found in adults (≥18 years). Conclusions: Zoonotic schistosomiasis and fascioliasis are prevalent in the study area, affecting individuals across all age groups. This is the first study to report the presence of Fasciola infection in both the Lake Victoria zone and the Southern Highlands of Tanzania. These findings call for the Ministry of Health, through the Tanzania NTD Control Program, to recognize fascioliasis as a high-priority disease and include it in the national master plan. Full article
Show Figures

Figure 1

17 pages, 5679 KB  
Article
Natural Infection by Fasciola hepatica in Red Deer (Cervus elaphus) from NW Spain: The Usefulness of Necropsy, Coprology, and Three Enzyme-Linked Immunosorbent Assays for the Diagnosis
by Sara González Hidalgo, Natividad Diez Baños, María del Rosario Hidalgo Argüello and Angelica Martínez-Delgado
Animals 2025, 15(18), 2649; https://doi.org/10.3390/ani15182649 - 10 Sep 2025
Viewed by 729
Abstract
The objective of this study was to investigate the epidemiology of Fasciola hepatica in Cervus elaphus kept in natural conditions in the Riaño Regional Hunting Reserve, north-west of Spain, where several species of domestic and wild animals coexist. One hundred red deer were [...] Read more.
The objective of this study was to investigate the epidemiology of Fasciola hepatica in Cervus elaphus kept in natural conditions in the Riaño Regional Hunting Reserve, north-west of Spain, where several species of domestic and wild animals coexist. One hundred red deer were examined and classified according to age, sex, and sampling season. After the necropsy of the animals, the liver was removed and inspected to obtain the adult parasites of F. hepatica. Faecal samples were collected and processed using the coprological sedimentation technique. The prevalence of this trematode by necropsy was 12%, with a low number of specimens per animal (x¯ = 2.7 ± 1.5; range 1–6). The young animals and the males had a higher prevalence than the adults and the females, finding statistically significant differences only according to the host age. Significant variations were also observed when considering the seasons of the year, with the highest number of infected animals in spring. The histopathological study revealed the presence of lesions compatible with a chronic fasciolosis similar to that found in domestic animals. The shedding of F. hepatica eggs was quite low in terms of prevalence (6%) and mean intensity of infection (x¯ = 27.3 ± 20.6, range 4–60 epg), being in young animals, in males, and in spring, where the greatest excretion of eggs was observed. These results suggest that the deer are suitable definitive hosts for F. hepatica in the northwest of the Iberian Peninsula, but they are unusual hosts. The serum samples were analysed using a native excretory/secretory antigen (FhES) and a 2.9 kDa recombinant protein (FhrAPS) used for diagnosis of early and current fasciolosis in livestock. A commercial kit for serodiagnosis of F. hepatica in sheep and cattle, based on a monoclonal antibody (BIO K 211), was also evaluated in red deer. The seroprevalence of seropositivity of F. hepatica by FhES-ELISA was 32%, by FhrAPS-ELISA 13%, and by BIO K 211, 9%. In the three serological tests, the seroprevalence obtained was higher in adult animals, in males, and in spring. In the three serological tests used to understand the epidemiology of F. hepatica in red deer, we have observed that the sensitivity was low, perhaps due to the use of an anti-bovine IgG1 as a conjugate, so in future immunodiagnostic tests, it would be more desirable to obtain an anti-deer IgG, probably achieving better results. Due to these results, it is essential to investigate other serological or molecular tests that allow us to know the real importance of F. hepatica in deer and other wild animals. The role of deer as a reservoir of this trematode does not appear to be very important. Full article
Show Figures

Figure 1

16 pages, 1675 KB  
Article
A Novel Clonorchis sinensis Mitogenome: Elucidating Multiregional Strain Phylogeny and Revising the Digenean Mitochondrial Genome Tree
by Yuxuan Liu, Kaisong Hu, Yanan Zhang, Zhili Chen, Haoyu Zheng, Yuexi Teng, Fang Wang and Jingtong Zheng
Biomolecules 2025, 15(9), 1246; https://doi.org/10.3390/biom15091246 - 28 Aug 2025
Viewed by 648
Abstract
Clonorchis sinensis, a parasitic liver fluke, is the primary aetiological agent of clonorchiasis, a disease predominantly characterized by liver-related clinical manifestations. Currently, research on the complete mitochondrial (mt) genome of local C. sinensis populations remains inadequate. Thus, in this study, we sequenced [...] Read more.
Clonorchis sinensis, a parasitic liver fluke, is the primary aetiological agent of clonorchiasis, a disease predominantly characterized by liver-related clinical manifestations. Currently, research on the complete mitochondrial (mt) genome of local C. sinensis populations remains inadequate. Thus, in this study, we sequenced and annotated the mt genome of fish-borne C. sinensis (Cs-c2) from Changchun, Jilin Province, China, a strain not previously described. This mt genome is 14,136 bp in length and harbours 12 protein-coding genes (PCGs), 22 transfer RNAs (tRNAs), 2 ribosomal RNAs (rRNAs), and a single control region (CR). We constructed a maximum likelihood (ML) phylogenetic tree using concatenated ND5, ND6, and ND1 from protein-coding genes (PCGs) of the C. sinensis mitochondrial genome (mt genome). This tree more clearly differentiated C. sinensis strains from three geographical regions (China, Russia, and South Korea) and distinguished Opisthorchiidae from two closely related families (Fasciolidae and Dicrocoeliidae). Additionally, we constructed an ML phylogenetic tree using concatenated ND4, ND5, ND1, ND2, and COX1 from the PCGs of digenean (Digenea) mt genomes. This approach—utilizing multiple high-resolution PCGs with evolutionary rates distinct from those of the mt genome—yielded robust clustering for multiple suborders and 13 families within Digenea and provided new molecular evidence for intergeneric relationships within the suborder Plagiorchiata of Digenea. These findings serve as important references for future research on the differentiation of closely related geographical strains of digeneans, as well as for studies on molecular taxonomy and population genetics. Full article
(This article belongs to the Section Molecular Genetics)
Show Figures

Figure 1

16 pages, 2994 KB  
Article
Structural Insights and Calcium-Switching Mechanism of Fasciola hepatica Calcium-Binding Protein FhCaBP4
by Byeongmin Shin, Seonha Park, Ingyo Park, Hongchul Shin, Kyuhyeon Bang, Sulhee Kim and Kwang Yeon Hwang
Int. J. Mol. Sci. 2025, 26(15), 7584; https://doi.org/10.3390/ijms26157584 - 5 Aug 2025
Viewed by 513
Abstract
Fasciola hepatica remains a global health and economic concern, and treatment still relies heavily on triclabendazole. At the parasite–host interface, F. hepatica calcium-binding proteins (FhCaBPs) have a unique EF-hand/DLC-like domain fusion found only in trematodes. This makes it a parasite-specific target for small [...] Read more.
Fasciola hepatica remains a global health and economic concern, and treatment still relies heavily on triclabendazole. At the parasite–host interface, F. hepatica calcium-binding proteins (FhCaBPs) have a unique EF-hand/DLC-like domain fusion found only in trematodes. This makes it a parasite-specific target for small compounds and vaccinations. To enable novel therapeutic strategies, we report the first elevated-resolution structure of a full-length FhCaBP4. The apo structure was determined at 1.93 Å resolution, revealing a homodimer architecture that integrates an N-terminal, calmodulin-like, EF-hand pair with a C-terminal dynein light chain (DLC)-like domain. Structure-guided in silico mutagenesis identified a flexible, 16-residue β4–β5 loop (LTGSYWMKFSHEPFMS) with an FSHEPF core that demonstrates greater energetic variability than its FhCaBP2 counterpart, likely explaining the distinct ligand-binding profiles of these paralogs. Molecular dynamics simulations and AlphaFold3 modeling suggest that EF-hand 2 acts as the primary calcium-binding site, with calcium coordination inducing partial rigidification and modest expansion of the protein structure. Microscale thermophoresis confirmed calcium as the major ligand, while calmodulin antagonists bound with lower affinity and praziquantel demonstrated no interaction. Thermal shift assays revealed calcium-dependent stabilization and a merger of biphasic unfolding transitions. These results suggest that FhCaBP4 functions as a calcium-responsive signaling hub, with an allosterically coupled EF-hand–DLC interface that could serve as a structurally tractable platform for drug targeting in trematodes. Full article
(This article belongs to the Special Issue Calcium Homeostasis of Cells in Health and Disease: Third Edition)
Show Figures

Figure 1

10 pages, 1814 KB  
Article
First Molecular Identification of Cotylophoron cotylophorum in Ecuador and Its Phylogenetic Relationship with Fasciola hepatica
by Geanella Barragán-López, Fausto Bedoya-Páez, María Lugo-Almarza, Carolina Fonseca-Restrepo, Francisco Angulo-Cubillán, Edison J. Romero, Jacobus H. de Waard and Armando Reyna-Bello
Pathogens 2025, 14(7), 659; https://doi.org/10.3390/pathogens14070659 - 4 Jul 2025
Viewed by 909
Abstract
Trematode infections caused by Fasciolidae and Paramphistomidae remain widespread in livestock, resulting in substantial economic losses. The two distinct fluke families are difficult to distinguish morphologically, and molecular identification provides the most reliable means of accurate diagnosis. In Ecuador, however, molecular data on [...] Read more.
Trematode infections caused by Fasciolidae and Paramphistomidae remain widespread in livestock, resulting in substantial economic losses. The two distinct fluke families are difficult to distinguish morphologically, and molecular identification provides the most reliable means of accurate diagnosis. In Ecuador, however, molecular data on these parasites are scarce. In this study, we collected trematodes from cattle rumen and bile ducts, molecularly identified them, and assessed their phylogenetic relationship to Fasciola hepatica to determine their introduction pathways into South America. Genomic DNA was extracted, and PCR was used to amplify the ITS2 (~500 bp) and COXI (~266 bp) regions; all amplicons were Sanger-sequenced. Phylogenetic trees for both markers were constructed using a Maximum Likelihood approach with 1000 bootstrap replicates in CIPRES v3.3. The rumen fluke exhibited 99% ITS2 and COXI similarity to an Indian Cotylophoron cotylophorum strain, while the bile-duct fluke showed 99% ITS2 and 100% COXI similarity to F. hepatica isolates from Australia and Nigeria, respectively. Distinct single-nucleotide polymorphisms (SNPs) in the ITS2 chromatograms suggest a diploid genome structure in both trematode species. This is the first report of C. cotylophorum in Ecuador, and its presence may be linked to the late 19th-century introduction of Zebu cattle (Bos taurus indicus) from India. Full article
Show Figures

Figure 1

27 pages, 766 KB  
Systematic Review
A Comprehensive Review of Alaria alata (Goeze 1782) (Platyhelminthes, Trematoda) in Different Animal Hosts
by Aneta Bełcik, Tomasz Cencek, Weronika Korpysa-Dzirba, Małgorzata Samorek-Pieróg, Jacek Karamon, Jacek Sroka, Jolanta Zdybel, Marta Skubida and Ewa Bilska-Zając
Pathogens 2025, 14(7), 625; https://doi.org/10.3390/pathogens14070625 - 23 Jun 2025
Viewed by 1039
Abstract
This review provides a comprehensive overview of the occurrence of Alaria alata (Goeze 1782) trematodes in first, second, definitive, and paratenic hosts, including wild and domestic animals. This systematic review was conducted using two academic databases: Web of Science and Google Scholar. A [...] Read more.
This review provides a comprehensive overview of the occurrence of Alaria alata (Goeze 1782) trematodes in first, second, definitive, and paratenic hosts, including wild and domestic animals. This systematic review was conducted using two academic databases: Web of Science and Google Scholar. A total of 119 articles containing data on 18 different A. alata hosts from 30 countries were analyzed. Based on the literature review, the best-studied group were definitive hosts (Mustelidae, Canidae, and Felidae), followed by paratenic, first (snails), and second intermediate hosts (amphibians). For these key intermediate hosts—snails and frogs—the data remain sparse, highlighting a gap in understanding the possible scale of the spread of A. alata. Among definitive hosts, Canids showed a higher prevalence, reinforcing their significant role in the parasite’s spread. Additionally, some Procyonidae, Felidae, and Mustelidae have been identified as paratenic hosts, with mesocercariae localized in their muscle tissues. Considering that meat of unknown origin or meat that is insufficiently heat-treated may contribute to human infection, prevalence rates as high as 40–50% in wild boar highlight the critical need for complex research. Furthermore, this review clarifies the role of host groups in the life cycle and transmission of A. alata, providing key epidemiological information and emphasizing the importance of continued research to fill knowledge gaps. Full article
(This article belongs to the Section Parasitic Pathogens)
Show Figures

Figure 1

16 pages, 5034 KB  
Article
The EGFR Signaling Pathway Is Involved in the Biliary Intraepithelial Neoplasia Associated with Liver Fluke Infection
by Dmitry Ponomarev, Oxana Zaparina, Anna Kovner, Elena Hadieva, Mikhail Persidskij and Maria Pakharukova
Pathogens 2025, 14(7), 620; https://doi.org/10.3390/pathogens14070620 - 21 Jun 2025
Viewed by 661
Abstract
Foodborne trematode infections are recognized as a significant risk factor for cholangiocarcinoma (CCA) in endemic regions. Infection with the liver fluke Opisthorchis felineus induces precursor lesions of CCA, including the biliary intraepithelial neoplasia. The mechanisms underlying liver-fluke-associated neoplasia remain poorly understood. This study [...] Read more.
Foodborne trematode infections are recognized as a significant risk factor for cholangiocarcinoma (CCA) in endemic regions. Infection with the liver fluke Opisthorchis felineus induces precursor lesions of CCA, including the biliary intraepithelial neoplasia. The mechanisms underlying liver-fluke-associated neoplasia remain poorly understood. This study aims to identify the role of EGFR and Toll-like receptor 4-associated signaling pathways in bile duct epithelial neoplasia linked to liver fluke infection in patients, animal models, and cell models. Elevated levels of EGFR and phosphorylated EGFR were observed in the bile duct epithelium of patients with cholangiocarcinoma, as well as in the bile duct epithelium of laboratory hamsters. The EGFR content correlated with the degree of bile duct epithelial neoplasia. Additionally, a significant increase in the cell proliferation and migration rates of human H69 cholangiocytes was found, whereas those of HepG2 hepatoma cells remained unaffected following the helminth excretory–secretory product (ESP) treatment. An EGFR inhibitor eliminated the enhanced cell proliferation (p = 0.005) and migration (p = 0.001) rates. Similar outcomes were achieved using Marimastat, an inhibitor of TLR-4-associated metalloproteinases. Thus, our study unveils novel avenues for exploring the mechanisms of helminth-associated carcinogenesis and for identifying key components of ESPs that mediate their mitogenic effects. Full article
(This article belongs to the Section Parasitic Pathogens)
Show Figures

Figure 1

20 pages, 5554 KB  
Data Descriptor
Diversity of Helminths of Reptiles (Serpentes and Lacertilia) in the Middle Volga Region (European Russia)
by Alexander A. Kirillov, Nadezhda Yu. Kirillova, Alexander B. Ruchin, Alexander I. Fayzulin and Sergei V. Shchenkov
Diversity 2025, 17(6), 380; https://doi.org/10.3390/d17060380 - 28 May 2025
Viewed by 819
Abstract
This paper presents an analysis of helminth diversity in reptiles in eight provinces of the Middle Volga region (European Russia) based on the dataset recently published in the GBIF as the Darwin Core Archive. The dataset contains up-to-date information on the occurrence of [...] Read more.
This paper presents an analysis of helminth diversity in reptiles in eight provinces of the Middle Volga region (European Russia) based on the dataset recently published in the GBIF as the Darwin Core Archive. The dataset contains up-to-date information on the occurrence of parasitic worms in lizards and snakes and summarizes the records obtained during long-term helminthological studies conducted in 1996–2024. It includes 8576 helminth occurrence records in nine reptile species inhabiting the Middle Volga region. All helminth occurrence records are georeferenced. In total, we present data on 45 parasitic worm species, including 4 species of cestodes, 21 species of trematodes, 16 species of nematodes, and 4 species of acanthocephalans. The richest helminth fauna was found in Natrix natrix (26 species), Lacerta agilis (21), Natrix tessellata (16), and Vipera berus (15). Less diverse is the helminth fauna in Anguis colchica (8 species), Zootoca vivipara (7), Vipera renardi (6), Coronella austriaca (5), and Eremias arguta (3). The diversity of helminths in reptiles of the Middle Volga region does not reach its maximum compared to other European countries. Most helminth species found in lizards and snakes of the studied region belong to the Palearctic faunal complex (25 species). Eight species of parasites have a Holarctic distribution. Seven helminth species parasitize reptiles only in Europe. Five species of parasites are cosmopolitan. Of the 45 species of helminths found in reptiles, 3 species have medical and veterinary significance as causative agents of dangerous helminthiasis. Data on the diversity and distribution of parasitic worms in reptiles of the Middle Volga region remain incomplete, so further observations may provide new occurrence records of helminths and expand the knowledge about their hosts. Full article
Show Figures

Figure 1

11 pages, 1288 KB  
Article
Development of the Roe Deer–Fascioloides magna Association over Time
by Anja France Noëlle Renée Buet, Miljenko Bujanić, Krešimir Krapinec, Ivica Bošković, Anđelko Gašpar and Dean Konjević
Pathogens 2025, 14(6), 516; https://doi.org/10.3390/pathogens14060516 - 22 May 2025
Cited by 1 | Viewed by 680
Abstract
The trematode Fascioloides magna is originally a parasite of North American deer species. Upon its arrival to Europe, F. magna met new intermediate and final hosts. Depending on the type of host, the clinical picture, pathological findings, epidemiology and outcome can vary significantly. [...] Read more.
The trematode Fascioloides magna is originally a parasite of North American deer species. Upon its arrival to Europe, F. magna met new intermediate and final hosts. Depending on the type of host, the clinical picture, pathological findings, epidemiology and outcome can vary significantly. As an aberrant host, it was long believed that the roe deer (Capreolus capreolus) fails to develop pseudocysts, and therefore the infected animal dies before the parasite can mature and start to produce eggs. In this study, 676 roe deer livers were collected in Croatia during the hunting years of four consecutive years (2019–2023) in Bjelovar-Bilogora County (BB), and 184 livers were collected from Zagreb County (ZG) in the hunting year 2022/2023. Livers were analysed macroscopically and on a cut surface for lesions and any developmental stage of F. magna according to a standard protocol. The mean prevalence of infected livers during the whole study period was 12.86% in BB and 3.8% in ZG. No pseudocysts were detected in samples from ZG, while there was an increasing trend of pseudocyst presence over time in BB. The occurrence of pseudocysts in infected livers showed a rapid increase after the hunting season 2019/2020, before becoming constant (at approx. 40%). The odds of finding pseudocysts ranged between 2.7 (OR = 2.7317, CI 95% 0.3108 to 24.0095, p = 0.365) and 2.9 (OR = 2.9167, CI 95% 0.3163 to 26.8924, p = 0.345) times higher in later years compared to 2019/2020. Similarly, an increasing trend (though less pronounced) was observed in the numbers of livers simultaneously containing pseudocysts and fluke migratory stages. The results indicate a potential change in the roe deer–F. magna association, where an increasing number of roe deer are forming pseudocysts and can survive even multiple infections. Full article
Show Figures

Graphical abstract

46 pages, 15851 KB  
Article
Emerging Human Fascioliasis in India: Review of Case Reports, Climate Change Impact, and Geo-Historical Correlation Defining Areas and Seasons of High Infection Risk
by Santiago Mas-Coma, Pablo F. Cuervo, Purna Bahadur Chetri, Timir Tripathi, Albis Francesco Gabrielli and M. Dolores Bargues
Trop. Med. Infect. Dis. 2025, 10(5), 123; https://doi.org/10.3390/tropicalmed10050123 - 2 May 2025
Cited by 2 | Viewed by 2991
Abstract
The trematodes Fasciola hepatica and F. gigantica are transmitted by lymnaeid snails and cause fascioliasis in livestock and humans. Human infection is emerging in southern and southeastern Asia. In India, the number of case reports has increased since 1993. This multidisciplinary study analyzes [...] Read more.
The trematodes Fasciola hepatica and F. gigantica are transmitted by lymnaeid snails and cause fascioliasis in livestock and humans. Human infection is emerging in southern and southeastern Asia. In India, the number of case reports has increased since 1993. This multidisciplinary study analyzes the epidemiological scenario of human infection. The study reviews the total of 55 fascioliasis patients, their characteristics, and geographical distribution. Causes underlying this emergence are assessed by analyzing (i) the climate change suffered by India based on 40-year-data from meteorological stations, and (ii) the geographical fascioliasis hotspots according to archeological–historical records about thousands of years of pack animal movements. The review suggests frequent misdiagnosis of the wide lowland-distributed F. gigantica with F. hepatica and emphasizes the need to obtain anamnesic information about the locality of residence and the infection source. Prevalence appears to be higher in females and in the 30–40-year age group. The time elapsed between symptom onset and diagnosis varied from 10 days to 5 years (mean 9.2 months). Infection was diagnosed by egg finding (in 12 cases), adult finding (28), serology (3), and clinics and image techniques (12). Climate diagrams and the Wb-bs forecast index show higher temperatures favoring the warm condition-preferring main snail vector Radix luteola and a precipitation increase due to fewer rainy days but more days of extreme rainfall, leading to increasing surface water availability and favoring fascioliasis transmission. Climate trends indicate a risk of future increasing fascioliasis emergence, including a seasonal infection risk from June–July to October–November. Geographical zones of high human infection risk defined by archeological–historical analyses concern: (i) the Indo-Gangetic Plains and corridors used by the old Grand Trunk Road and Daksinapatha Road, (ii) northern mountainous areas by connections with the Silk Road and Tea-Horse Road, and (iii) the hinterlands of western and eastern seaport cities involved in the past Maritime Silk Road. Routes and nodes are illustrated, all transhumant–nomadic–pastoralist groups are detailed, and livestock prevalences per state are given. A baseline defining areas and seasons of high infection risk is established for the first time in India. This is henceforth expected to be helpful for physicians, prevention measures, control initiatives, and recommendations for health administration officers. Full article
Show Figures

Figure 1

11 pages, 3505 KB  
Article
Unusual Mass Mortality of Atlantic Puffins (Fratercula arctica) in the Canary Islands Associated with Adverse Weather Events
by Cristian M. Suárez-Santana, Lucía Marrero-Ponce, Óscar Quesada-Canales, Ana Colom-Rivero, Román Pino-Vera, Miguel A. Cabrera-Pérez, Jordi Miquel, Ayose Melián-Melián, Pilar Foronda, Candela Rivero-Herrera, Lucía Caballero-Hernández, Alicia Velázquez-Wallraf and Antonio Fernandez
Animals 2025, 15(9), 1281; https://doi.org/10.3390/ani15091281 - 30 Apr 2025
Viewed by 716
Abstract
The Atlantic puffin (Fratercula arctica) is a seabird species characterized by great diving capabilities and transoceanic migratory behavior. These movements contribute to the dispersion of the species during migration, and episodes of mortality associated with migration may be a normal event [...] Read more.
The Atlantic puffin (Fratercula arctica) is a seabird species characterized by great diving capabilities and transoceanic migratory behavior. These movements contribute to the dispersion of the species during migration, and episodes of mortality associated with migration may be a normal event in the dynamic of the Atlantic puffin populations. This study aimed to describe the anatomopathological findings of an unusual mortality event of Atlantic puffins observed during the non-breeding period along the coast of the Canary Islands. The most consistent gross finding during necropsy was generalized muscle atrophy and fat depletion. The main histological findings were centered in the urinary tract, with dilation and inflammation of the primary ureter branch and medullary cones, and intraluminal trematodes identified as Renicola sloanei based on morphology and molecular analysis. Influenza virus infection was ruled out. The postmortem investigations performed in this mortality event of Atlantic puffins indicate that the animals were severely emaciated and suffered from nephropathy. The etiopathological investigation performed in relation to this mortality event of Atlantic puffins indicates starvation associated with bad weather conditions during migratory movement as the most likely cause of the unusual mortality event. Full article
(This article belongs to the Section Birds)
Show Figures

Figure 1

17 pages, 6788 KB  
Article
Integrative Taxonomy of Didymozoids Parasitizing Thunnus obesus (Scombridae) from Southwest Atlantic Ocean: A New Genus and Species
by Yuri C. Meneses, Marcia C. N. Justo, Ana Maria Moreira-Silva, Lorrayne S. S. de Brito, Alena M. Iñiguez and Simone C. Cohen
Pathogens 2025, 14(4), 359; https://doi.org/10.3390/pathogens14040359 - 7 Apr 2025
Viewed by 834
Abstract
The global fauna of Didymozoidae infecting fishes is very diverse and includes 270 species. Integrative taxonomic studies in this group are rare, and genetic data are lacking for the molecular identification of species. In this study, a new genus and species, Platodidymocystis yamagutii [...] Read more.
The global fauna of Didymozoidae infecting fishes is very diverse and includes 270 species. Integrative taxonomic studies in this group are rare, and genetic data are lacking for the molecular identification of species. In this study, a new genus and species, Platodidymocystis yamagutii n. gen., n. sp., is described based on morphological and genetic analyses. The new genus is allocated to Didymozoinae but differs from all other genera of this subfamily, mainly by the morphology of the testes and ovary. The genetic analysis and molecular phylogeny using 28S rDNA and ITS2 markers showed P. yamagutii n. gen., n. sp. in a unique cluster in monophyly and most closely related to Platocystis vivipara (Yamaguti, 1970), followed by Didymocystis spp. Additionally, Didymosulcus philobranchiarca (Yamaguti, 1970) was also characterized by integrative taxonomy and Koellikerioides internogastricus Yamaguti, 1970, Didymocystis neothunni (Yamaguti, 1970), and P. vivipara were analyzed by molecular taxonomy. This is the first integrative taxonomic study of Didymozoidae from the Atlantic coast and the first survey to provide novel genetic data for five species of Didymozoidae trematodes, contributing to the increment of the knowledge and expansion of the geographical distribution of didymozoid species parasites of Scombridae in the Southern Atlantic Ocean. Full article
(This article belongs to the Special Issue Diagnostic and Characterization of Fish Pathogens)
Show Figures

Figure 1

Back to TopTop