Sign in to use this feature.

Years

Between: -

Subjects

remove_circle_outline
remove_circle_outline
remove_circle_outline
remove_circle_outline
remove_circle_outline
remove_circle_outline
remove_circle_outline
remove_circle_outline
remove_circle_outline

Journals

remove_circle_outline
remove_circle_outline
remove_circle_outline
remove_circle_outline
remove_circle_outline
remove_circle_outline

Article Types

Countries / Regions

remove_circle_outline
remove_circle_outline
remove_circle_outline
remove_circle_outline
remove_circle_outline

Search Results (673)

Search Parameters:
Keywords = taurine

Order results
Result details
Results per page
Select all
Export citation of selected articles as:
12 pages, 492 KB  
Article
Longitudinal Evidence of Sustained Taurine Deficiency in Inflammatory Bowel Disease
by Rachele Frascatani, Adelaide Mattogno, Silvia Salvatori, Andrea Iannucci, Irene Marafini and Giovanni Monteleone
Int. J. Mol. Sci. 2026, 27(2), 725; https://doi.org/10.3390/ijms27020725 - 11 Jan 2026
Abstract
Inflammatory Bowel Diseases (IBD), most notably ulcerative colitis (UC) and Crohn’s disease (CD), are long-standing disorders driven by dysregulated immune responses within the gastrointestinal tract and characterized by several metabolic disturbances, which are believed to influence disease progression. We have recently shown that [...] Read more.
Inflammatory Bowel Diseases (IBD), most notably ulcerative colitis (UC) and Crohn’s disease (CD), are long-standing disorders driven by dysregulated immune responses within the gastrointestinal tract and characterized by several metabolic disturbances, which are believed to influence disease progression. We have recently shown that a systemic deficiency of taurine, a semi-essential amino acid with anti-inflammatory properties, marks IBD. To characterize the temporal dynamics and determinants of taurine deficiency in IBD, we conducted a prospective longitudinal study assessing serum taurine levels in a cohort of 47 patients with IBD compared with 33 healthy controls. Serum taurine concentrations were measured at baseline and after a median follow-up period of 45 months using ELISA. Patients were stratified by disease subtype (UC and CD), age group, and clinical activity status at baseline and follow-up. Serum taurine levels were significantly lower in IBD patients at both baseline and the end of follow-up (p < 0.05), and remained stable over time within the CD and UC cohorts. In healthy individuals, but not in IBD patients, taurine concentrations declined with age, suggesting that age-related metabolic regulation of taurine is altered in the context of chronic intestinal inflammation. Stratification by disease activity revealed that taurine deficiency was present in both active and inactive IBD, particularly among younger patients, and differences between active and inactive disease were minimal. These findings indicate that the persistent reduction in serum taurine in IBD is independent of age, disease subtype, or clinical activity, and remains relatively constant over time across most patient subgroups, suggesting an underlying alteration in taurine metabolism or homeostasis associated with IBD pathophysiology. Further investigation is needed to elucidate the mechanisms linking taurine dysregulation to IBD progression. Full article
(This article belongs to the Section Molecular Pathology, Diagnostics, and Therapeutics)
Show Figures

Figure 1

25 pages, 1298 KB  
Review
Energy Drinks and Cardiovascular Health: A Critical Review of Recent Evidence
by Emilio J. Medrano-Sanchez, Ciel A. Gutierrez-Berrocal, Luciana C. Gonzales-Aguilar, Mishell A. Huaman, Keren C. Monteza and Mariela L. Ayllon
Beverages 2026, 12(1), 4; https://doi.org/10.3390/beverages12010004 - 31 Dec 2025
Viewed by 851
Abstract
This literature review examined the relationship between energy drink consumption and cardiovascular health in young people. Following PRISMA 2020, we searched Scopus for articles published from 2020 to 2025 and included 33 original studies after screening 133 records. Evidence from observational, clinical, and [...] Read more.
This literature review examined the relationship between energy drink consumption and cardiovascular health in young people. Following PRISMA 2020, we searched Scopus for articles published from 2020 to 2025 and included 33 original studies after screening 133 records. Evidence from observational, clinical, and experimental research was synthesized into six themes: youth consumption; direct cardiovascular outcomes; composition and toxicity; animal or cellular experiments; perceptions and habits; and occupational or sociodemographic factors. Across studies, habitual intake was linked to acute blood-pressure rises, arrhythmias, endothelial dysfunction, and metabolic disturbances, sometimes within 24 h of a single can. Risks were amplified by high caffeine and taurine doses and by co-use with alcohol or intense exercise. Adolescents and young adults were most vulnerable, due to heightened sympathetic responses, frequent use under academic or work stress, and limited risk perception. Authors highlighted five actions: longitudinal research; tighter ingredient monitoring and transparent labeling; consumer education; protection of vulnerable groups; and clinical guidance for responsible use. These results were observed across regions and study designs. Overall, the findings indicate that unregulated energy-drink consumption is a preventable cardiovascular risk in youth, justifying the use of coordinated public-health measures, including curriculum-based education, marketing restrictions, ingredient oversight, and clinical screening to mitigate harm. Full article
(This article belongs to the Special Issue Sports and Functional Drinks)
Show Figures

Figure 1

19 pages, 3075 KB  
Article
Multi-Omics Mechanism of Chronic Gout Arthritis and Discovery of the Thyroid Hormone–AMPK–Taurine Metabolic Axis
by Guizhen Zhu, Yuan Luo, Xiangyi Zheng, Zhusong Mei, Qiao Ye, Jie Peng, Fengsen Duan, Yueying Cui, Peiyu An, Yangqian Song, Hongxia Li, Haitao Zhang and Guangyun Wang
Cells 2026, 15(1), 41; https://doi.org/10.3390/cells15010041 - 25 Dec 2025
Viewed by 470
Abstract
The acute gouty arthritis (AGA) to chronic gouty arthritis (CGA) transition is a critical phase leading to irreversible joint damage and systemic complications. However, current molecular mechanism investigations have remained limited to single-omics approaches that lack comprehensive multi-omics explorations. We integrate high-depth data-independent [...] Read more.
The acute gouty arthritis (AGA) to chronic gouty arthritis (CGA) transition is a critical phase leading to irreversible joint damage and systemic complications. However, current molecular mechanism investigations have remained limited to single-omics approaches that lack comprehensive multi-omics explorations. We integrate high-depth data-independent acquisition (DIA) proteomics and untargeted metabolomics to analyze serum samples from healthy controls (n =28), AGA (n = 31), and CGA (n = 14) patients to address this gap. Through differential expression analysis, we identified nine persistently dysregulated pivotal proteins with robust discriminative capacity, including the urate excretion regulator ZBTB20 and inflammation/immune-related proteins (GUCY1A2, CNDP1, LYZ, SERPINA5, GSN). Additionally, 11 consistently altered core metabolites with diagnostic potential were detected, indicating perturbations in sex hormones, thyroid hormones, gut microbiota-derived metabolites, environmental exposures, and nutritional factors. Multi-omics KEGG enrichment analysis highlighted thyroid hormone synthesis, AMPK signaling pathway, and taurine and hypotaurine metabolism as central pathways. Correlation network analysis further revealed significant immune dysregulation, illustrating an evolution from acute immune activation to chronic inflammation during AGA-to-CGA progression. Our study establishes that a coordinated disruption of the thyroid hormone–AMPK–taurine metabolic axis and concomitant immune microenvironment remodeling is associated with chronic gout development. These findings provide critical targets for developing early diagnostic indicators and targeted interventions for CGA. Full article
Show Figures

Graphical abstract

17 pages, 1910 KB  
Article
Untargeted Metabolomics Reveals Metabolic Reprogramming Linked to HCC Risk in Late Diagnosed Tyrosinemia Type 1
by Anna Sidorina, Cristiano Rizzo, María Jesús Leal-Witt, Carolina Arias, Ignacio Cortés, Verónica Cornejo, Elisa Sacchetti, Giulio Catesini, Sara Boenzi, Carlo Dionisi-Vici and Karen Fuenzalida
Metabolites 2026, 16(1), 21; https://doi.org/10.3390/metabo16010021 - 24 Dec 2025
Viewed by 310
Abstract
Background/Objectives: Tyrosinemia type 1 (HT-1) is a treatable inherited disorder characterized by disrupted tyrosine metabolism, leading to severe liver, renal, and occasionally neurological dysfunction. Early diagnosis by newborn screening markedly reduces the risk of hepatocellular carcinoma (HCC), the most serious complication. A [...] Read more.
Background/Objectives: Tyrosinemia type 1 (HT-1) is a treatable inherited disorder characterized by disrupted tyrosine metabolism, leading to severe liver, renal, and occasionally neurological dysfunction. Early diagnosis by newborn screening markedly reduces the risk of hepatocellular carcinoma (HCC), the most serious complication. A deeper understanding of HT-1 pathophysiology is necessary to prevent disease complications and improve diagnostic and therapeutic strategies. This study explored the untargeted serum metabolomic profiles of HT-1 patients. Methods: High-resolution untargeted metabolomics coupled with liquid chromatography was applied for serum analysis of 16 late-diagnosed Chilean HT-1 patients on nitisinone (NTBC) therapy and 16 age- and sex-matched controls. The statistically significant up- and down-regulated features were used for annotation and association with different metabolic pathways. Results: Untargeted metabolomics revealed 1066 features significantly changed in HT-1 patients. Increased metabolites included aromatic compounds, medium- and long-chain acyl-carnitines, bile acids (prevalently taurine-conjugated), indole-based compounds, modified nucleosides and nucleobases. Decreased metabolites were mainly related to lipid class, including lysophosphatidylcholines, lysophosphatidic acids, long-chain fatty acids, and acylglycerols. Conclusions: Untargeted metabolomics showed perturbation of tyrosine- and tryptophan-related pathways and described a novel HT-1 metabolomic pattern demonstrating net dysregulation of lipid and bile acid metabolism in NTBC-treated patients with delay diagnoses. Increased acylcarnitines, taurine-conjugated bile acids, modified nucleobases, and reduced lysophosphatidylcholines overlap with the metabolomic pattern previously reported in Wnt/β-catenin-associated HCC. Although direct mechanistic link cannot be established in this study, these alterations may reflect persistent disease-related metabolic adaptations and warrant further investigation to clarify their potential relevance with long-term complications. Full article
(This article belongs to the Section Endocrinology and Clinical Metabolic Research)
Show Figures

Graphical abstract

14 pages, 7432 KB  
Article
Taurine Facilitates the Formation of Hepatocellular Carcinoma via the Bile Acid Pathway
by Qin Huang, Xianjiao Mao, Tian Zhang, Yiwen Zhang, Zhaoshuang Lan, Rong Fang, Jiaqi Xiong, Jiahao Li and Yue Sun
Metabolites 2026, 16(1), 6; https://doi.org/10.3390/metabo16010006 - 22 Dec 2025
Viewed by 348
Abstract
Backgrounds: While the conditionally essential amino acid taurine is known to confer hepatoprotection against injury through anti-inflammatory and antioxidant mechanisms, it remains unclear whether it plays an active role in the process of hepatocarcinogenesis. Emerging research portrays taurine as a double-edged sword in [...] Read more.
Backgrounds: While the conditionally essential amino acid taurine is known to confer hepatoprotection against injury through anti-inflammatory and antioxidant mechanisms, it remains unclear whether it plays an active role in the process of hepatocarcinogenesis. Emerging research portrays taurine as a double-edged sword in oncology, with its capacity to either inhibit or facilitate carcinogenesis being contingent upon the specific tumor microenvironment. Objectives: Investigating the effect of taurine on hepatocellular carcinoma progression and its underlying mechanisms. Methods: A hydrodynamic tail vein injection (HDT) model of primary hepatocellular carcinoma was established in mice to validate the effects of taurine and its downstream bile acid synthesis pathway on liver cancer progression. Subsequent RNA sequencing analysis was performed to investigate the molecular pathways through which taurine exerts its functions. Results: Supplementation of taurine or overexpression of its transporter SLC6A6 significantly accelerated HCC development in vivo. Inhibition of taurine transporter abrogated the tumor-promoting effects of the bile acid synthesis enzymes CYP7A1 and BAAT. This suppression may be mediated through the blockade of the cell cycle, p53 signaling pathway and metabolic pathways. Conclusions: Our findings demonstrate that taurine plays a vital role in the tumor-promoting activities of HCC. Full article
(This article belongs to the Section Cell Metabolism)
Show Figures

Graphical abstract

12 pages, 1025 KB  
Article
Metabolomic Profiling of Middle Ear Effusion Suggests a Predominant Influence of Age over Viscosity: An HR-MAS NMR Study
by Seokhwan Lee, Seonghye Kim, Sojeon Moon, Se-Joon Oh, Seok-Hyun Kim, Hyun-Min Lee, Suhkmann Kim and Sung-Won Choi
Int. J. Mol. Sci. 2026, 27(1), 20; https://doi.org/10.3390/ijms27010020 - 19 Dec 2025
Viewed by 205
Abstract
Otitis media with effusion (OME) involves heterogeneous middle ear effusion (MEE), and its classification based on viscosity (serous/mucous) is often confounded by patient age. This study determined the independent contributions of age and viscosity to the MEE metabolome. In this prospective study, high-resolution [...] Read more.
Otitis media with effusion (OME) involves heterogeneous middle ear effusion (MEE), and its classification based on viscosity (serous/mucous) is often confounded by patient age. This study determined the independent contributions of age and viscosity to the MEE metabolome. In this prospective study, high-resolution magic-angle spinning nuclear magnetic resonance analysis of 83 MEE samples (45 adult serous, 17 child serous < 12 years, and 21 child mucous) was performed. Statistical analyses included principal component analysis, correlation analysis, analysis of covariance (ANCOVA), and age-adjusted receiver operating characteristic curve analysis. Age was the primary metabolic variance determinant, overshadowing viscosity-related differences. Significant age-associated metabolic trends were identified: pyruvate and lactate levels increased with age, whereas glutamate and leucine levels decreased, indicating energy and inflammatory metabolism shifts. After adjusting for age using ANCOVA, taurine, glycine, and choline were significantly associated with effusion viscosity, and a combined panel of these metabolites achieved an age-adjusted area under the curve of 0.707 (95% confidence interval: 0.55–0.89). In conclusion, the MEE metabolic profile was more strongly influenced by patient age than by viscosity, suggesting fundamental differences in OME pathophysiology between children and adults. Nonetheless, specific viscosity-associated metabolites were identified, offering a basis for objective metabolic typing. Full article
Show Figures

Figure 1

12 pages, 250 KB  
Article
Efficacy of Polyvinylpyrrolidone–Zinc Gluconate and Taurine Gel in the Prophylaxis of Oral Mucositis in Adults Undergoing High-Dose Chemotherapy and Allogeneic Stem Cell Transplantation
by Gaetana Porto, Annalisa Pitino, Mercedes Gori, Martina Pitea, Maria Eugenia Alvaro, Giovanni Luigi Tripepi, Giorgia Policastro, Fortunata Martino, Rosalba Daniela Minniti, Jessyca Germano’, Barbara Loteta, Giovanna Utano, Erica Bilardi, Francesca Cogliandro, Caterina Alati, Violetta Marafioti, Graziella D’Arrigo and Massimo Martino
Diseases 2025, 13(12), 408; https://doi.org/10.3390/diseases13120408 - 18 Dec 2025
Viewed by 303
Abstract
Background: Oral mucositis (OM) is a significant complication after allogeneic stem cell transplantation. Objectives: This prospective, observational cohort study assessed the effectiveness of a polyvinylpyrrolidone-zinc gluconate and taurine (PVP-ZG-TAU) oral gel in managing OM. The primary objective was to determine whether the gel [...] Read more.
Background: Oral mucositis (OM) is a significant complication after allogeneic stem cell transplantation. Objectives: This prospective, observational cohort study assessed the effectiveness of a polyvinylpyrrolidone-zinc gluconate and taurine (PVP-ZG-TAU) oral gel in managing OM. The primary objective was to determine whether the gel reduced the incidence and grade of OM and accelerated its resolution. Methods: The study enrolled 82 patients; 39 received the PVP-ZG-TAU gel, and 43 represented a historical control group. To prevent oral mucositis, both groups maintained good oral hygiene. In the experimental group, patients received three sprays of PVP-ZG-TAU gel, three times a day, from the start of conditioning chemotherapy until day +15 after allo-SCT. Results: In the PVP-ZG-TAU group, 79.1% patients experienced grade 1–2 OM and 20.9% experienced grade 3–4 OM. In the control group, 74.4% had grade 1–2 OM, and 25.6% had grade 3–4 OM (p = ns). Resolution occurred significantly faster in the PVP-ZG-TAU group, with an 84% resolution rate per 100 person-weeks, compared with 62% in the control group. Cox regression analysis revealed that treatment was associated with a 68% greater likelihood of earlier resolution (adjusted hazard ratio [HR], 1.68; 95% confidence interval [CI], 1.03–2.74; p = 0.036). Conclusions: These findings suggest that PVP-ZG-TAU can reduce OM duration and serve as a supportive intervention for allo-SCT patients. Full article
26 pages, 920 KB  
Review
Pioneering Insights into the Complexities of Salt-Sensitive Hypertension: Central Nervous System Mechanisms and Dietary Bioactive Compound Interventions
by Renjun Wang, Bo Xu, Xiping Liu, Qi Guo, Gregory Miodonski, Zhiying Shan, Dongshu Du and Qing-Hui Chen
Nutrients 2025, 17(24), 3961; https://doi.org/10.3390/nu17243961 - 18 Dec 2025
Viewed by 525
Abstract
Salt-sensitive hypertension (SSH) is an important and common subtype of hypertension, whose pathogenesis involves multi-level regulation, including the central nervous system (CNS), metabolic stress, and epigenetics. Dietary bioactive compounds have emerged as a research hotspot for SSH intervention due to their safety and [...] Read more.
Salt-sensitive hypertension (SSH) is an important and common subtype of hypertension, whose pathogenesis involves multi-level regulation, including the central nervous system (CNS), metabolic stress, and epigenetics. Dietary bioactive compounds have emerged as a research hotspot for SSH intervention due to their safety and multi-target effects. Although existing studies have focused on the CNS regulation of SSH or the role of individual dietary components, there is a lack of comprehensive analysis integrating multiple mechanisms, systematically summarizing multiple compounds, and incorporating a clinical translation perspective. This review first outlines the mechanisms of CNS pathways, endoplasmic reticulum (ER) stress, mitochondrial dysfunction, and epigenetic modifications in SSH. Then, it systematically reviews the mechanisms of action and preclinical and clinical research progress of bioactive compounds, including capsaicin, taurine, gamma-aminobutyric acid, tea, and anthocyanins in SSH. In summary, this review systematically clarifies the complex regulatory network of SSH and the intervention potential of dietary bioactive compounds from an integrated perspective, innovatively proposes a precise dietary intervention framework, and fills the research gaps in the integration of multiple mechanisms and systematic evaluation of compounds in existing studies. This framework not only provides a new integrated perspective for the basic research of SSH but also offers key references for clinical dietary guidance, functional food development, and the formulation of targeted intervention strategies. Full article
Show Figures

Figure 1

14 pages, 15546 KB  
Article
Hyodeoxycholic Acid Suppresses High-Fat-Diet–Promoted MC38-Syngeneic Colorectal Tumor Growth via Bile Acid Remodeling and Microbiota Modulation
by Jialing He, Meng Duan, Yuwen Shi, Simayi Halizere, Ningxin Chen, Yating Yang, Congcong Wang, Jinhua Lin, Wei He, Shankuan Zhu and Fei Yang
Nutrients 2025, 17(24), 3939; https://doi.org/10.3390/nu17243939 - 17 Dec 2025
Viewed by 506
Abstract
Background: Studies have shown that obesity contributes to colorectal tumors (CRC). Hyodeoxycholic acid (HDCA) has been found to have a therapeutic effect on obesity-related diseases such as nonalcoholic fatty liver (NAFLD). However, there are still no studies revealing whether HDCA has effects on [...] Read more.
Background: Studies have shown that obesity contributes to colorectal tumors (CRC). Hyodeoxycholic acid (HDCA) has been found to have a therapeutic effect on obesity-related diseases such as nonalcoholic fatty liver (NAFLD). However, there are still no studies revealing whether HDCA has effects on CRC, which may suggest new uses for HDCA. Methods: C57BL/6 mice fed with high-fat diet supplemented with 0.5% HDCA were injected with MC38 cells subcutaneously to construct the subcutaneous metastasis model of CRC. The trend of body weight and tumor volume were evaluated, and blood metabolites and gut microbiota sequencing were analyzed. Results: Compared with HFD-fed mice, HDCA-treated mice had higher fecal and serum HDCA levels. After tumor inoculation, the HDCA mice had smaller subcutaneous tumor volumes, as well as higher HDCA and THDCA levels in feces and blood. Blood metabolomics revealed significant enrichment in pathways of bile secretion, arachidonic acid metabolism, primary bile acid metabolism, and taurine and hypotaurine metabolism. Analysis of gut microbiota at the completion of obesity modeling revealed the Chao1 index of the feces being lower in the HDCA mice. The relative abundance of a total of nine genera were significantly higher and eighteen genera were lower. The KEGG results indicated significant upregulation of nine metabolic pathways and downregulation of sixteen metabolic pathways. Conclusions: HDCA intake ameliorates HFD-induced obesity phenotype, inhibiting colorectal tumor growth in mice, and decreases the abundance of gut microbiota. Gut microbiota affected by HDCA may participate in metabolism-related effects through circulation, which might be one way that HDCA affects colorectal tumors. Full article
(This article belongs to the Section Nutrigenetics and Nutrigenomics)
Show Figures

Figure 1

21 pages, 14937 KB  
Article
Taurine Alleviates Inflammation, Oxidative Stress, Apoptosis, and Uterus Microbiota Dysregulation of Endometritis by Inhibiting PI3K-AKT/MAPK/NF-κB Pathways in Mice
by Jianxu Xiao, Chongliang Bi, Ming Yang, Chen Chen, Juanjuan Zhao, Xiaoqing Huang, Jingyuan Zhang, Buwei Yin, Ke Li and Yuzhong Ma
Animals 2025, 15(24), 3619; https://doi.org/10.3390/ani15243619 - 16 Dec 2025
Viewed by 529
Abstract
Bovine endometritis negatively impairs fertility and milk production. Taurine maintains cellular integrity and exerts anti-inflammatory and antioxidant effects. However, whether taurine can treat endometritis remains unclear. This study aimed to investigate taurine’s effect on endometritis and explore its mechanism in vivo. Endometritis models [...] Read more.
Bovine endometritis negatively impairs fertility and milk production. Taurine maintains cellular integrity and exerts anti-inflammatory and antioxidant effects. However, whether taurine can treat endometritis remains unclear. This study aimed to investigate taurine’s effect on endometritis and explore its mechanism in vivo. Endometritis models were established in mice via intrauterine lipopolysaccharide (LPS) infusion, followed by 25, 50, and 100 mg/kg taurine treatment. Taurine attenuated inflammation by mitigating histopathological damage, suppressing uterine serum cytokine levels, and preserving tight-junction integrity. It ameliorated oxidative stress by reducing malondialdehyde content, restoring antioxidant activities, and recovering levels of oxidative-stress-related proteins. Apoptosis was alleviated by diminishing the apoptosis ratio and normalizing apoptosis-related proteins. 16S analysis revealed taurine restored uterine microbiota composition by reversing the changes in the abundances of Firmicutes, Bacteroidetes, Nocardioides, Ruminococcus, and Acidibacter. The abundances of Muribacter and Rodentibacter were positively correlated with inflammation. The abundances of Akkermansia and Streptococcus were negatively correlated with inflammation. RNA sequencing showed that the differentially expressed genes were mainly related to immunity. Phosphatidylinositol 3-kinase (PI3K)-protein kinase B (AKT)/mitogen-activated protein kinase (MAPK)/nuclear factor kappa B (NF-κB) signaling pathways were indicated as pivotal mechanisms for taurine’s therapeutic efficacy against endometritis with transcriptomic profiling analysis. This study confirms that taurine alleviates LPS-induced endometritis in mice by modulating PI3K–AKT, MAPK, and NF-κB signaling pathways, indicating its potential as a therapeutic agent for bovine endometritis. Full article
(This article belongs to the Section Animal Physiology)
Show Figures

Figure 1

16 pages, 3267 KB  
Article
Whole-Genome Resequencing Analysis Reveals the Local Ancestry and Selection of Kongshan Cattle
by Mengmeng Bai, Kai Yang, Xiaohui Ma, Chenqi Bian, Wei Wang, Jun Yi, Ningbo Chen, Chuzhao Lei and Xiaoting Xia
Biology 2025, 14(12), 1778; https://doi.org/10.3390/biology14121778 - 12 Dec 2025
Viewed by 447
Abstract
Kongshan cattle is an indigenous breed from Sichuan Province, China, characterized by their excellent meat quality, high fertility, strong disease resistance, and remarkable environmental adaptability. However, their genomic diversity has not been systematically studied. In this work, we performed whole-genome sequencing of 30 [...] Read more.
Kongshan cattle is an indigenous breed from Sichuan Province, China, characterized by their excellent meat quality, high fertility, strong disease resistance, and remarkable environmental adaptability. However, their genomic diversity has not been systematically studied. In this work, we performed whole-genome sequencing of 30 Kongshan cattle from a breeding farm and integrated these data with 113 representative commercial and indigenous cattle breeds worldwide to investigate their population structure and genetic diversity. We further analyzed the ancestral contributions to the development of the breed. The population structure revealed that Kongshan cattle possess four types of ancestral components: East Asian indicine (0.5974), East Asian taurine (0.3464), European taurine (0.0483), and Indian indicine (0.0079). The population also exhibits high nucleotide diversity, second only to pure East Asian indicine cattle. We inferred the ancestry of each variable site in the genome and, in combination with integrated haplotype score analysis, identified candidate genes related to meat quality (ME1, ENPP2, GPD2, PDZRN4, and TMTC2), immunity (MCM6, MAP3K6, PIP4K2A, CDC6, CDC25B, PTAFR, ZC3H10, and NEK6), and environmental adaptability (KCNJ15, BECN1, AOC2, DUSP5, and ST3GAL4). These findings provide valuable insights into the evolutionary history and ancestral origins of Kongshan cattle and contribute to the broader understanding, conservation, and sustainable utilization of indigenous Chinese cattle genetic resources. Full article
(This article belongs to the Section Bioinformatics)
Show Figures

Figure 1

15 pages, 285 KB  
Review
Nutrient Equivalence of Plant-Based and Cultured Meat: Gaps, Bioavailability, and Health Perspectives
by Jean Demarquoy
Nutrients 2025, 17(24), 3860; https://doi.org/10.3390/nu17243860 - 10 Dec 2025
Viewed by 863
Abstract
Meat provides high-quality protein and essential micronutrients such as vitamin B12, heme iron, zinc, and selenium, along with conditionally essential compounds including creatine, carnitine, and taurine. Growing concerns over environmental sustainability, animal welfare, and potential health risks associated with excessive meat consumption have [...] Read more.
Meat provides high-quality protein and essential micronutrients such as vitamin B12, heme iron, zinc, and selenium, along with conditionally essential compounds including creatine, carnitine, and taurine. Growing concerns over environmental sustainability, animal welfare, and potential health risks associated with excessive meat consumption have spurred the development of plant-based and cultured alternatives intended to replicate the nutritional and sensory attributes of meat. This review critically examines the extent to which these emerging products achieve nutrient equivalence with conventional meat, focusing on essential and conditionally essential nutrients, their bioavailability, and implications for human health. After outlining the physiological importance of nutrients characteristically supplied by meat, the review compares the composition of plant-based meat analogs (PBMAs) and cultured meat prototypes. Differences in fortification strategies, ingredient formulation, and the presence of anti-nutritional factors are discussed in relation to nutrient absorption and utilization. Current PBMAs can approximate protein content but generally provide lower levels and reduced bioavailability of vitamin B12, heme iron, creatine, taurine, and long-chain omega-3 fatty acids unless fortified. Cultured meat offers theoretical potential for compositional optimization through cellular engineering but remains limited by scarce empirical data. Achieving nutrient equivalence with conventional meat thus represents a major scientific, technological, and regulatory challenge. Future progress will depend on integrating nutritional design into product development, validating bioavailability in human studies, and implementing transparent labeling to ensure that next-generation meat alternatives meet both health and sustainability goals. Full article
(This article belongs to the Section Nutrition and Metabolism)
20 pages, 1470 KB  
Article
Osmolytes vs. Anabolic Reserves: Contrasting Gonadal Metabolomes in Two Sympatric Mediterranean Sea Urchins
by Estela Carbonell-Garzón, Ricardo Ibanco-Cañete, Pablo Sanchez-Jerez and Frutos C. Marhuenda Egea
Metabolites 2025, 15(12), 787; https://doi.org/10.3390/metabo15120787 - 10 Dec 2025
Viewed by 335
Abstract
Background an Objectives: The Mediterranean sea urchins Paracentrotus lividus and Arbacia lixula co-occur on shallow rocky reefs but display contrasting ecological and physiological traits. We compared their gonadal metabolomes to identify species-specific metabolic strategies. Methods: High-resolution magic angle spinning nuclear magnetic resonance (HR-MAS [...] Read more.
Background an Objectives: The Mediterranean sea urchins Paracentrotus lividus and Arbacia lixula co-occur on shallow rocky reefs but display contrasting ecological and physiological traits. We compared their gonadal metabolomes to identify species-specific metabolic strategies. Methods: High-resolution magic angle spinning nuclear magnetic resonance (HR-MAS NMR) spectroscopy to intact gonadal tissues, combining multivariate chemometric modelling with targeted integration, boxplot-based univariate analysis and pathway analysis. Results:A. lixula showed an osmolyte- and redox-oriented phenotype with elevated betaine, taurine, sarcosine, trimethylamine (TMA), trimethylamine N-oxide (TMAO), carnitine, creatine, malonate, methylmalonate, uridine and xanthine. In contrast, P. lividus exhibited an amino-acid-enriched anabolic profile dominated by lysine, glycine and glutamine, together with higher levels of formaldehyde, methanol and 3-carboxypropyl-trimethylammonium. Pathway analysis indicated that A. lixula metabolites mapped onto glycine/serine–threonine metabolism and the folate-linked one-carbon pool, whereas P. lividus metabolites were enriched in glyoxylate/dicarboxylate, nitrogen and amino-acid pathways. These contrasting osmolyte–C1 versus nitrogen–amino-acid strategies are compatible with species-specific host–microbiota metabolic interactions inferred from published microbiome data. Conclusions: Overall, our results support a framework in which A. lixula adopts a resilience-oriented osmolyte strategy and P. lividus an efficiency-oriented anabolic strategy, highlighting HR-MAS NMR metabolomics as a powerful approach to investigate adaptive biochemical diversity in marine invertebrates. Full article
(This article belongs to the Collection Advances in Metabolomics)
Show Figures

Figure 1

14 pages, 6552 KB  
Article
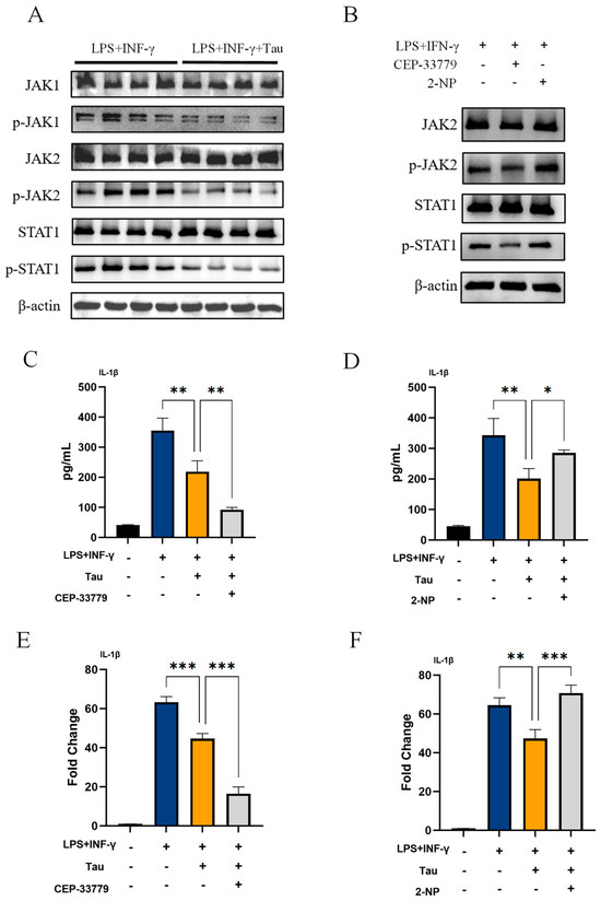
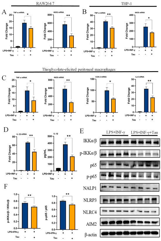
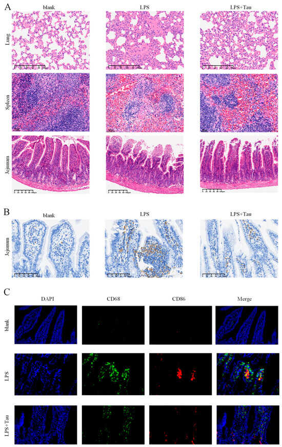
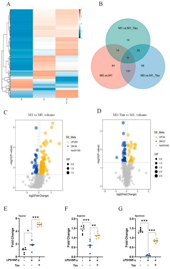
Taurine Attenuates M1 Macrophage Polarization and IL-1β Production by Suppressing the JAK1/2-STAT1 Pathway via Metabolic Reprogramming
by Zi’an Zhang, Danyue Li, Suhui He, Weilv Xu, Qian Lv, Yumeng Wang, Jinxia Xu, Zexu Yu, Shiyang Liu, Yuanxiang Ge, Fushan Shi and Yuqi Yan
Biology 2025, 14(12), 1751; https://doi.org/10.3390/biology14121751 - 6 Dec 2025
Viewed by 750
Abstract
Dysregulated macrophage polarization is associated with various diseases, including sepsis, atherosclerosis, and fibrotic diseases. While taurine is known to exert immunomodulatory effects, its mechanism in regulating M1 macrophage polarization and interleukin-1β (IL-1β) production remains incompletely understood. This study aimed to elucidate the role [...] Read more.
Dysregulated macrophage polarization is associated with various diseases, including sepsis, atherosclerosis, and fibrotic diseases. While taurine is known to exert immunomodulatory effects, its mechanism in regulating M1 macrophage polarization and interleukin-1β (IL-1β) production remains incompletely understood. This study aimed to elucidate the role of taurine in modulating macrophage immunometabolism and inflammatory signaling. Using thioglycolate-elicited peritoneal macrophages and macrophage cell lines, we assessed taurine’s impact on lipopolysaccharide (LPS)/interferon-γ (IFN-γ)-induced M1 polarization through metabolomics and a range of molecular biology techniques. Pharmacological manipulation of the JAK1/2-STAT1 pathway and an LPS-induced murine sepsis model were used for mechanistic and therapeutic validation. Our results demonstrate that taurine significantly suppressed M1 polarization. Metabolomic profiling uniquely identified a marked increase in intracellular spermine as a key metabolic alteration induced by taurine. This increased spermine subsequently inhibited JAK1/2-STAT1 activation, leading to reduced IL-1β release. In mice, taurine alleviated systemic inflammation, reduced pathological damage in multiple organs, and decreased intestinal M1 macrophage infiltration. These findings establish a novel mechanism where taurine attenuates M1 polarization and IL-1β production through metabolically driven spermine accumulation and subsequent JAK1/2-STAT1 suppression, highlighting its therapeutic potential for inflammatory diseases. Full article
Show Figures

Graphical abstract

23 pages, 4578 KB  
Article
Modulation of Gut Microbes and Hepatic Metabolites by PCP Ameliorates NASH and Fatigue-like Performance in Mice
by Yanyan Hong, Jianmei Yang, Yuanfei Wang, Dongliang Chen, Aiping Wu, Minhui Li, Wanyi Ou, Guiru Lin, Chenli Lin and Yinji Liang
Nutrients 2025, 17(23), 3797; https://doi.org/10.3390/nu17233797 - 3 Dec 2025
Viewed by 648
Abstract
Background/Objectives: Non-alcoholic steatohepatitis (NASH) is a progressive liver condition closely associated with gut microbial dysbiosis and hepatic metabolic abnormalities. Poria cocos polysaccharide (PCP), a bioactive component derived from the medicinal fungus Poria cocos, possesses hepatoprotective properties, yet the therapeutic mechanisms of [...] Read more.
Background/Objectives: Non-alcoholic steatohepatitis (NASH) is a progressive liver condition closely associated with gut microbial dysbiosis and hepatic metabolic abnormalities. Poria cocos polysaccharide (PCP), a bioactive component derived from the medicinal fungus Poria cocos, possesses hepatoprotective properties, yet the therapeutic mechanisms of PCP in NASH, particularly those involving microbial and metabolic regulation, remain incompletely elucidated. This study aimed to investigate the effects of PCP on improving NASH and explore its mechanisms related to prebiotic activity. Methods: Mice were induced to develop NASH using a Western diet, followed by PCP intervention for 12 weeks. Hepatic function, including liver enzymes and lipids, glucose metabolism, and liver histopathological changes, was assessed. Fatigue and neurobehavioral alterations were evaluated via rotarod, open field, and tail suspension tests. Hepatic pro-inflammatory cytokines were measured using RT-qPCR. Gut microbiota were analyzed through 16S RNA gene sequencing, and metabolites of liver tissue were analyzed through untargeted metabolomics. Results: PCP decreased blood glucose and hepatic lipid levels in NASH mice, alleviating liver inflammation, ballooning degeneration, and fibrosis. It also improved fatigue-like performance on rotarod test and reduced the hepatic expression of IL-6, IL-1β, TNF-α, and IL-18. Microbiota analysis revealed that PCP restored gut microbial diversity, promoted the growth of beneficial taxa such as Alistipes and Butyricoccaceae_UCG-009, and inhibited harmful bacteria, including Romboutsia ilealis. Liver metabolomics showed that PCP normalized key metabolites like taurocholate and regulated taurine and hypotaurine metabolism, which were correlated with reduced inflammation, fatigue-like performance, and fibrosis. Conclusions: PCP, as a promising edible agent, alleviates hepatic damage, metabolic disorders, and fatigue-like performance on rotarod test in NASH mice, probably by reshaping gut microbiota and modulating hepatic taurine and hypotaurine metabolism. Full article
(This article belongs to the Section Nutrition and Metabolism)
Show Figures

Figure 1

Back to TopTop