Sign in to use this feature.

Years

Between: -

Subjects

remove_circle_outline
remove_circle_outline
remove_circle_outline
remove_circle_outline
remove_circle_outline
remove_circle_outline
remove_circle_outline
remove_circle_outline
remove_circle_outline

Journals

remove_circle_outline
remove_circle_outline
remove_circle_outline
remove_circle_outline
remove_circle_outline
remove_circle_outline
remove_circle_outline
remove_circle_outline
remove_circle_outline
remove_circle_outline
remove_circle_outline
remove_circle_outline
remove_circle_outline
remove_circle_outline
remove_circle_outline
remove_circle_outline
remove_circle_outline
remove_circle_outline
remove_circle_outline
remove_circle_outline
remove_circle_outline
remove_circle_outline
remove_circle_outline
remove_circle_outline
remove_circle_outline
remove_circle_outline
remove_circle_outline
remove_circle_outline
remove_circle_outline
remove_circle_outline
remove_circle_outline
remove_circle_outline
remove_circle_outline
remove_circle_outline
remove_circle_outline
remove_circle_outline
remove_circle_outline
remove_circle_outline

Article Types

Countries / Regions

remove_circle_outline
remove_circle_outline
remove_circle_outline
remove_circle_outline
remove_circle_outline
remove_circle_outline
remove_circle_outline
remove_circle_outline
remove_circle_outline
remove_circle_outline
remove_circle_outline

Search Results (7,571)

Search Parameters:
Keywords = synthetic evaluation

Order results
Result details
Results per page
Select all
Export citation of selected articles as:
19 pages, 5305 KB  
Article
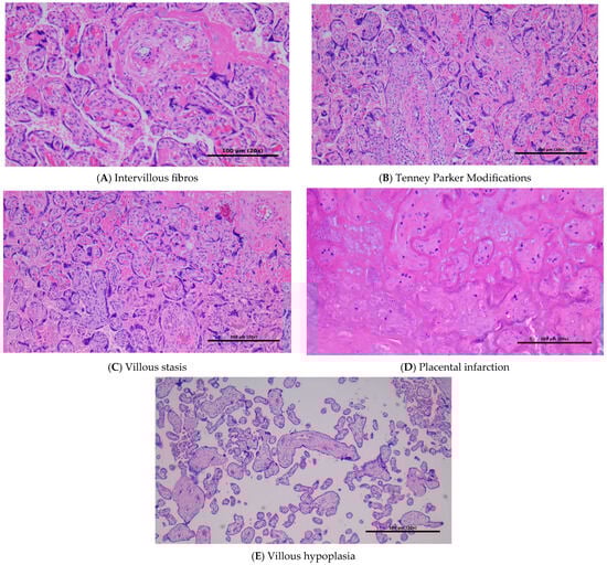
Assessing Thrombophilic Risk via Placental Histopathology: A Comparative Scoring Analysis
by Viorela-Romina Murvai, Anca Huniadi, Radu Galiș, Gelu Florin Murvai, Brenda-Cristiana Bernad, Carmen Ioana Marta, Timea Claudia Ghitea and Ioana Cristina Rotar
Reprod. Med. 2025, 6(4), 32; https://doi.org/10.3390/reprodmed6040032 (registering DOI) - 1 Nov 2025
Abstract
Introduction: Maternal thrombophilia is associated with numerous obstetric complications, often occurring without overt clinical manifestations during pregnancy. Histological evaluation of the placenta can provide valuable insights into the etiology of these complications. Objective: To compare the placental histopathological profile in pregnancies [...] Read more.
Introduction: Maternal thrombophilia is associated with numerous obstetric complications, often occurring without overt clinical manifestations during pregnancy. Histological evaluation of the placenta can provide valuable insights into the etiology of these complications. Objective: To compare the placental histopathological profile in pregnancies with thrombophilia versus physiological pregnancies and to develop a synthetic score capable of retrospectively indicating thrombophilic risk. Materials and Methods: A retrospective observational study was conducted on two groups (n = 80 thrombophilia, n = 31 control). Macroscopic and histopathological placental parameters were analyzed. A histological score (range 0–5 points) was constructed based on the presence of villous stasis, stromal fibrosis, infarction, acute atherosis, and intervillous thrombosis. Results: The mean histological score was significantly higher in the thrombophilia group (2.20 ± 1.4) compared to the control group (1.18 ± 1.1; p = 0.0011). A score ≥ 3 was present in 39.1% of thrombophilic cases versus 13.6% in controls. Regression analysis showed that only placental diameter was significantly correlated with the histological score (p = 0.0379). Conclusions: The proposed histological score may serve as a simple and effective tool for the indirect identification of potential thrombophilic risk in complicated pregnancies. Its validation in future studies could support its implementation in routine obstetric and histopathological practice. Full article
Show Figures

Figure 1

14 pages, 1256 KB  
Article
A First Case of Fluorescence Polarization Biosensor-Based Assay for Rapid Monitoring of Protein API Content in Tablet Dosage Forms: Detection of Lysozyme in Tablets
by Svetlana M. Filimonova, Ksenia S. Balyklova, Dmitry O. Zherdev, Sergei A. Eremin, Liliya I. Mukhametova, Vadim B. Krylov and Nikolay E. Nifantiev
Biosensors 2025, 15(11), 724; https://doi.org/10.3390/bios15110724 (registering DOI) - 1 Nov 2025
Abstract
Protein-based APIs represent a big group of modern therapeutics. Their characterization involves complex analytical protocols which require special methods, especially in the case when the protein drug is included into tablet dosage forms. Although the fluorescence polarization assay (FPA) is not currently regulated [...] Read more.
Protein-based APIs represent a big group of modern therapeutics. Their characterization involves complex analytical protocols which require special methods, especially in the case when the protein drug is included into tablet dosage forms. Although the fluorescence polarization assay (FPA) is not currently regulated by many national Pharmacopeias, it represents a promising approach for protein drug standardization, considering their rapid, sensitive, and automatable detection suitable for high-throughput analysis and real-time quality control. To evaluate the applicability of FPA for the analysis of protein drugs in tablets, the quantifying of lysozyme in tablet dosage forms was studied by this method with the use of a fluorescently labeled synthetic chitooligosaccharide tracer. It was shown that this approach overcomes the limitations of the conventional turbidimetric assay of lysozyme determination, which is labor-intensive and relies on unstable reagents. Measurements were performed with both portable and stationary fluorescence polarization readers. Commercial tablets from five manufacturers containing lysozyme (20 mg) and pyridoxine hydrochloride (10 mg) together with other excipients were analyzed. The FPIA method showed a linear range of 5.0–70 µg/mL, with specificity confirmed by the absence of interference from excipients. Accuracy, evaluated by standard addition (10–20 mg), yielded recoveries of 100.2–106.0%. Placebo spiked with lysozyme at 80–120% of nominal content demonstrated recoveries of 98.0–100.1%, with RSD (n = 6) not exceeding 13.7%, indicating good precision. The developed method enables reliable lysozyme quantification in tablets, offering speed, simplicity, and robustness, and shows its suitability for the routine quality control of protein-containing dosage forms including the enzyme ones. Full article
Show Figures

Figure 1

19 pages, 3110 KB  
Article
Low-Cost Versatile Microfluidic Platform for Bioorthogonal Click-Mediated Nanoassembly of Hybrid Nanosystems
by Javier González-Larre, María Amor García del Cid, Diana Benita-Donadios, Ángel Vela-Cruz, Sandra Jiménez-Falcao and Alejandro Baeza
Nanomaterials 2025, 15(21), 1663; https://doi.org/10.3390/nano15211663 (registering DOI) - 1 Nov 2025
Abstract
In recent years the global market of nanomedicine has experienced incredible growth owing to the advances in the field. This translation of the technique to the biomedical industry requires the development of production methods that deliver nanomedicines with a high degree of reproducibility [...] Read more.
In recent years the global market of nanomedicine has experienced incredible growth owing to the advances in the field. This translation of the technique to the biomedical industry requires the development of production methods that deliver nanomedicines with a high degree of reproducibility between batches, combined with cost and time efficiency. The use of nanoparticles in medicine usually requires their surface functionalization to improve biocompatibility in addition to providing targeting capacities and/or stimuli-responsive behavior, among other interesting skills. Microfluidic technology has revolutionized the field both in nanomedicine synthesis and in preclinical evaluation. However, microfluidic-assisted synthetic procedures commonly require high-cost methods and equipment to fabricate the microreactors. The aim of this work is to present an ultra-low-cost microfluidic platform that permits the versatile modification of nanomaterials. To prove this approach, two different model nanoparticles with different natures: soft nanoparticles (liposomes) and rigid nanoparticles (mesoporous silica) have been decorated both with small molecules and with other nanoparticles, respectively, in order to evaluate the scope of this approach. The anchoring of the covalently attached elements has been performed using click chemistry, in compliance with the principles for further transfer to the drug industry. Full article
Show Figures

Graphical abstract

23 pages, 3113 KB  
Article
Deep Learning-Enabled Diagnosis of Abdominal Aortic Aneurysm Using Pulse Volume Recording Waveforms: An In Silico Study
by Sina Masoumi Shahrbabak, Byeng Dong Youn, Hao-Min Cheng, Chen-Huan Chen, Shih-Hsien Sung, Ramakrishna Mukkamala and Jin-Oh Hahn
Sensors 2025, 25(21), 6678; https://doi.org/10.3390/s25216678 (registering DOI) - 1 Nov 2025
Abstract
This paper investigates the feasibility of diagnosing abdominal aortic aneurysm (AAA) via deep learning (DL)-enabled analysis of non-invasive arterial pulse waveform signals. We generated arterial blood pressure (BP) and pulse volume recording (PVR) waveform signals across a diverse synthetic patient cohort using a [...] Read more.
This paper investigates the feasibility of diagnosing abdominal aortic aneurysm (AAA) via deep learning (DL)-enabled analysis of non-invasive arterial pulse waveform signals. We generated arterial blood pressure (BP) and pulse volume recording (PVR) waveform signals across a diverse synthetic patient cohort using a systemic arterial circulation model coupled with a viscoelastic model relating arterial BP to PVR while simulating a range of AAA severity levels. We confirmed the plausibility of the synthetic data by comparing the alterations in the simulated waveform signals due to AAA against previously reported in vivo findings. Then, we developed a convolutional neural network (CNN) with continuous property-adversarial regularization that can estimate AAA severity from brachial and tibial PVR signals. We evaluated the algorithm’s performance in comparison with an identical CNN trained on invasive arterial BP waveform signals. The DL-enabled PVR-based algorithm achieved robust AAA detection across different severity thresholds with area under the ROC curve values >0.89, and showed reasonable accuracy in severity estimation, though slightly lower than its invasive BP counterpart (MAE: 12.6% vs. 10.3%). These findings suggest that DL-enabled analysis of PVR waveform signals offers a non-invasive and cost-effective approach for AAA diagnosis, potentially enabling accessible screening through operator-agnostic and point-of-care technologies. Full article
Show Figures

Figure 1

29 pages, 8182 KB  
Article
CResDAE: A Deep Autoencoder with Attention Mechanism for Hyperspectral Unmixing
by Chong Zhao, Jinlin Wang, Qingqing Qiao, Kefa Zhou, Jiantao Bi, Qing Zhang, Wei Wang, Dong Li, Tao Liao, Chao Li, Heshun Qiu and Guangjun Qu
Remote Sens. 2025, 17(21), 3622; https://doi.org/10.3390/rs17213622 (registering DOI) - 31 Oct 2025
Abstract
Hyperspectral unmixing aims to extract pure spectral signatures (endmembers) and estimate their corresponding abundance fractions from mixed pixels, enabling quantitative analysis of surface material composition. However, in geological mineral exploration, existing unmixing methods often fail to explicitly identify informative spectral bands, lack inter-layer [...] Read more.
Hyperspectral unmixing aims to extract pure spectral signatures (endmembers) and estimate their corresponding abundance fractions from mixed pixels, enabling quantitative analysis of surface material composition. However, in geological mineral exploration, existing unmixing methods often fail to explicitly identify informative spectral bands, lack inter-layer information transfer mechanisms, and overlook the physical constraints intrinsic to the unmixing process. These issues result in limited directionality, sparsity, and interpretability. To address these limitations, this paper proposes a novel model, CResDAE, based on a deep autoencoder architecture. The encoder integrates a channel attention mechanism and deep residual modules to enhance its ability to assign adaptive weights to spectral bands in geological hyperspectral unmixing tasks. The model is evaluated by comparing its performance with traditional and deep learning-based unmixing methods on synthetic datasets, and through a comparative analysis with a nonlinear autoencoder on the Urban hyperspectral scene. Experimental results show that CResDAE consistently outperforms both conventional and deep learning counterparts. Finally, CResDAE is applied to GF-5 hyperspectral imagery from Yunnan Province, China, where it effectively distinguishes surface materials such as Forest, Grassland, Silicate, Carbonate, and Sulfate, offering reliable data support for geological surveys and mineral exploration in covered regions. Full article
(This article belongs to the Special Issue AI-Driven Hyperspectral Remote Sensing of Atmosphere and Land)
26 pages, 2740 KB  
Article
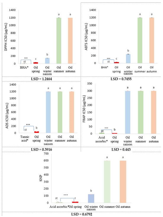
Seasonal and Extraction-Dependent Variation in the Composition and Bioactivity of Essential Oils from Wild Rosmarinus officinalis L.
by Khalil Guelifet, Khaled Kherraz, Mohammed Messaoudi, Mohamed Amine Ferhat, Latifa Khattabi, Khadra Afaf Bendrihem, Wafa Zahnit, Dalila Addad, Mokhtar Benmohamed, Yacine Azoudj, Lilya Harchaoui, Khaled Aggoun, Abdenour Boumechhour and Luca Rastrelli
Molecules 2025, 30(21), 4258; https://doi.org/10.3390/molecules30214258 (registering DOI) - 31 Oct 2025
Abstract
This study investigated the impact of harvest season and extraction method on the yield, composition, and bioactivity of essential oils (EOs) from wild Rosmarinus officinalis L. plants collected in Algeria. Oils were obtained by hydro distillation (HD), steam distillation (SD), and microwave-assisted distillation [...] Read more.
This study investigated the impact of harvest season and extraction method on the yield, composition, and bioactivity of essential oils (EOs) from wild Rosmarinus officinalis L. plants collected in Algeria. Oils were obtained by hydro distillation (HD), steam distillation (SD), and microwave-assisted distillation (MD) across four seasons and characterized by GC–MS. Camphor, α-pinene, camphene, and 1,8-cineole were consistently dominant, with spring oils, particularly those extracted by microwave-assisted distillation, showing the highest enrichment in oxygenated monoterpenes (up to 59.6%). Functional assays revealed clear seasonal variation, whereas spring oils exhibited the strongest antioxidant capacity, with a FRAP value of 4.63 µg/mL, approaching that of the synthetic standard BHA (6.89 µg/mL), alongside notable anti-inflammatory effects. Antimicrobial screening indicated selective inhibition of Escherichia coli and Candida albicans, while Pseudomonas aeruginosa and Bacillus subtilis remained resistant. Acute toxicity evaluation confirmed safety at 2000 mg/kg. These findings demonstrate that ecological timing and extraction strategy critically determine rosemary EO properties and establish quantitative benchmarks for their pharmaceutical and industrial valorization. Full article
(This article belongs to the Special Issue Essential Oils—Third Edition)
Show Figures

Figure 1

24 pages, 4796 KB  
Article
Forest Height Estimation in Jiangsu: Integrating Dual-Polarimetric SAR, InSAR, and Optical Remote Sensing Features
by Fangyi Li, Yiheng Jiang, Yumei Long, Wenmei Li and Yuhong He
Remote Sens. 2025, 17(21), 3620; https://doi.org/10.3390/rs17213620 (registering DOI) - 31 Oct 2025
Abstract
Forest height is a key structural parameter for evaluating ecological functions, biodiversity, and carbon dynamics. While LiDAR and Synthetic Aperture Radar (SAR) provide vertical structure information, their large-scale use is restricted by sparse sampling (LiDAR) and temporal decorrelation (SAR). Optical remote sensing offers [...] Read more.
Forest height is a key structural parameter for evaluating ecological functions, biodiversity, and carbon dynamics. While LiDAR and Synthetic Aperture Radar (SAR) provide vertical structure information, their large-scale use is restricted by sparse sampling (LiDAR) and temporal decorrelation (SAR). Optical remote sensing offers complementary spectral information but lacks direct height retrieval. To address these limitations, we developed a multi-modal framework integrating GEDI waveform LiDAR, Sentinel-1 SAR (InSAR and PolSAR), and Sentinel-2 multispectral data, combined with machine learning, to estimate forest canopy height across Jiangsu Province, China. GEDI L2A footprints were used as training labels, and a suite of structural and spectral features was extracted from SAR, GEDI, and Sentinel-2 data as input variables for canopy height estimation. The performance of two ensemble algorithms, Random Forest (RF) and Gradient Tree Boosting (GTB) for canopy height estimation, was evaluated through stratified five-fold cross-validation. RF consistently outperformed GTB, with the integration of SAR, GEDI, and optical features achieving the best accuracy (R2 = 0.708, RMSE = 2.564 m). The results demonstrate that InSAR features substantially enhance sensitivity to vertical heterogeneity, improving forest height estimation accuracy. These findings highlight the advantage of incorporating SAR, particularly InSAR with optical data, in enhancing sensitivity to vertical heterogeneity and improving the performance of RF and GTB in estimating forest height. The framework we proposed is scalable to other regions and has the potential to contribute to global sustainable forest monitoring initiatives. Full article
Show Figures

Figure 1

24 pages, 1187 KB  
Article
Insecticidal Potential of Aniba canelilla (H.B.K.) Mez Essential Oil Against Aedes aegypti: Larvicidal and Adulticidal Activities, Mechanism of Action, and Formulation Development
by Jefferson D. da Cruz, Maíra M. H. Almeida, Maria Athana M. Silva, Jefferson R. A. Silva, Fernando A. Genta and Ana Claudia F. Amaral
Plants 2025, 14(21), 3348; https://doi.org/10.3390/plants14213348 (registering DOI) - 31 Oct 2025
Abstract
Control of Aedes aegypti, the primary vector of arboviruses such as dengue, Zika, and chikungunya, is increasingly difficult due to resistance to synthetic insecticides and environmental concerns. Plant essential oils offer sustainable alternatives with multi-target modes of action and rapid biodegradation. This [...] Read more.
Control of Aedes aegypti, the primary vector of arboviruses such as dengue, Zika, and chikungunya, is increasingly difficult due to resistance to synthetic insecticides and environmental concerns. Plant essential oils offer sustainable alternatives with multi-target modes of action and rapid biodegradation. This study evaluated the insecticidal potential of the essential oil of Aniba canelilla (EOANIB), its major constituent 1-Nitro-2-phenylethane (NFTANE), and the derivative 1-Nitro-2-phenylethene (NFTENE) against larvae and adults of A. aegypti. Acetylcholinesterase (AChE) inhibition was quantified using enzymes from Electrophorus electricus, Aedes aegypti and Drosophila melanogaster. Pluronic® F127 (5% w/v) nanoformulations loaded with EOANIB, NFTANE, or NFTENE at 1.5% or 0.34% (w/v) improved efficacy and stability. Formulations remained stable for 120 to 190 days at 25 to 60 °C. Larvicidal assay at 24 h yielded LC50 values of 86.9 (CI 78.2–94.7) ppm for EOANIB, 84.8 ppm (CI 75.6–92.4) for NFTANE and 10.9 (CI 8.0–14.0) ppm for NFTENE. Against adults, EOANIB achieved an LC50 of 33.9 ppm at 1.5 h. Nanoformulation reduced the EOANIB LC50 by 22.2% after 24 h and 40.1% after 48 h. Toxicity assays evaluated selectivity with Artemia salina (EOANIB LC50: 77.2 ppm) and no mortality in D. melanogaster at 100 ppm. The convergence of efficacy, formulation-enhanced performance, and demonstrated storage stability positions Aniba canelilla as a promising source of bioinsecticide candidates for Aedes aegypti control and supports further development of micellar delivery systems for integrated vector management. Full article
(This article belongs to the Special Issue Recent Advances in Essential Oils and Plant Extracts)
Show Figures

Figure 1

29 pages, 10850 KB  
Review
RTM Surrogate Modeling in Optical Remote Sensing: A Review of Emulation for Vegetation and Atmosphere Applications
by Jochem Verrelst, Miguel Morata, José Luis García-Soria, Yilin Sun, Jianbo Qi and Juan Pablo Rivera-Caicedo
Remote Sens. 2025, 17(21), 3618; https://doi.org/10.3390/rs17213618 (registering DOI) - 31 Oct 2025
Abstract
Radiative transfer models (RTMs) are foundational to optical remote sensing for simulating vegetation and atmospheric properties. However, their significant computational cost, especially for 3D RTMs and large-scale applications, severely limits their utility. Emulation, or surrogate modeling, has emerged as a highly effective strategy, [...] Read more.
Radiative transfer models (RTMs) are foundational to optical remote sensing for simulating vegetation and atmospheric properties. However, their significant computational cost, especially for 3D RTMs and large-scale applications, severely limits their utility. Emulation, or surrogate modeling, has emerged as a highly effective strategy, accurately and efficiently replicating RTM outputs. This review comprehensively surveys recent developments in emulating vegetation and atmospheric RTMs. We discuss the methodological underpinnings, including suitable machine learning regression algorithms (MLRAs), effective training sampling strategies (e.g., Latin Hypercube Sampling, active learning), and spectral dimensionality reduction (DR) methods (e.g., PCA, autoencoders). Emulators commonly achieve 102106× per-evaluation acceleration, but accuracy–efficiency trade-offs remain inherently context-dependent, governed by the MLRA design and the coverage/quality of training data. DR consistently shifts this trade-off toward lower cost at comparable accuracy, positioning latent-space training as a pragmatic choice for hyperspectral applications. We synthesize key emulation applications such as global sensitivity analysis, synthetic scene generation, scene-to-scene translation (e.g., multispectral-to-hyperspectral), and retrieval of geophysical variables using remote sensing data. The paper concludes by outlining persistent challenges in generalizability, interpretability, and scalability, while also proposing future research avenues: investigating advanced deep learning algorithms (e.g., physics-informed and explainable architectures), developing multimodal/multitemporal frameworks, and establishing community benchmarks, tools and libraries. Emulation ultimately empowers remote sensing workflows with unparalleled scalability, transforming previously unmanageable tasks into viable solutions for operational Earth observation applications. Full article
20 pages, 934 KB  
Article
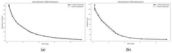
Non-Uniform Entropy-Constrained L Quantization for Sparse and Irregular Sources
by Alin-Adrian Alecu, Mohammad Ali Tahouri, Adrian Munteanu and Bujor Păvăloiu
Entropy 2025, 27(11), 1126; https://doi.org/10.3390/e27111126 (registering DOI) - 31 Oct 2025
Abstract
Near-lossless coding schemes traditionally rely on uniform quantization to control the maximum absolute error (L norm) of residual signals, often assuming a parametric model for the source distribution. This paper introduces a novel design framework for non-uniform, entropy-aware L-oriented [...] Read more.
Near-lossless coding schemes traditionally rely on uniform quantization to control the maximum absolute error (L norm) of residual signals, often assuming a parametric model for the source distribution. This paper introduces a novel design framework for non-uniform, entropy-aware L-oriented scalar quantizers that leverages a tight and differentiable approximation of the L distortion metric and does not require any parametric density function formulations. The framework is evaluated on both synthetic parametric sources and real-world medical depth map video datasets. For smoothly decaying distributions, such as the continuous Laplacian or discrete two-sided geometric distributions, the proposed method naturally converges to near-uniform quantizers, consistent with theoretical expectations. In contrast, for sparse or irregular sources, the algorithm produces highly non-uniform bin allocations that adapt to the local distribution structure and improve rate-distortion efficiency. When embedded in a residual-based near-lossless compression scheme, the resulting codec consistently outperforms versions equipped with uniform or piecewise-uniform quantizers, as well as state-of-the-art near-lossless schemes such as JPEG-LS and CALIC. Full article
(This article belongs to the Special Issue Information Theory and Data Compression)
Show Figures

Figure 1

18 pages, 2655 KB  
Article
Phlorotannin–Alginate Extract from Nizimuddinia zanardinii for Melanosis Inhibition and Quality Preservation of Pacific White Shrimp
by Salim Sharifian and Seraj Bita
Foods 2025, 14(21), 3736; https://doi.org/10.3390/foods14213736 - 31 Oct 2025
Abstract
Phlorotannin–alginate extracts from brown seaweeds offer promising natural solutions for food preservation. This study investigated the extraction, characterization, and application of phlorotannins and alginate from two brown seaweed species, Sargassum cristaefolium and Nizimuddinia zanardinii, for inhibiting melanosis and preserving quality in Pacific [...] Read more.
Phlorotannin–alginate extracts from brown seaweeds offer promising natural solutions for food preservation. This study investigated the extraction, characterization, and application of phlorotannins and alginate from two brown seaweed species, Sargassum cristaefolium and Nizimuddinia zanardinii, for inhibiting melanosis and preserving quality in Pacific white shrimp during ice storage. Preliminary screening identified N. zanardinii methanol extract as superior, yielding the highest phlorotannin content (19.14 ± 0.65 mg Phloroglucinol/g) with potent antioxidant (98.95 ± 0.74% DPPH inhibition) and copper-chelating (73.44 ± 1.64%) activities. Consequently, N. zanardinii was selected for subsequent extraction and application studies. Alginate extraction efficiency was 4.73 ± 0.38 g/100 g seaweed, demonstrating moderate antioxidant properties. The extracts effectively inhibited shrimp polyphenol oxidase, with 2% phlorotannins + 1% alginate showing 84.51% inhibition. When applied to shrimp, this combination significantly delayed melanosis development, suppressed microbial growth, and maintained lower pH, total volatile basic nitrogen (TVB-N), and lipid oxidation values during 16 days of ice storage compared to untreated controls. Sensory evaluation confirmed better retention of quality attributes in treated shrimp. These findings demonstrate the potential of N. zanardinii phlorotannin–alginate extracts as effective natural preservatives for maintaining shrimp quality during cold storage, offering a sustainable alternative to synthetic additives in seafood processing. Full article
Show Figures

Figure 1

21 pages, 4408 KB  
Article
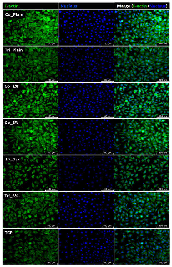
Triaxial Electrospun Nanofiber Membranes for Prolonged Curcumin Release in Dental Applications: Drug Release and Biological Properties
by Sahranur Tabakoglu, Dorota Kołbuk and Paweł Sajkiewicz
Molecules 2025, 30(21), 4241; https://doi.org/10.3390/molecules30214241 - 31 Oct 2025
Abstract
Triaxial electrospinning was used to fabricate fiber membranes composed of polycaprolactone (PCL), poly(lactic-co-glycolide) (PLGA), and gelatin (GT), designed as carriers for curcumin (Cur) delivery. Here, synthetic polyesters acted as core and shell layers, while GT formed the middle layer containing Cur at varying [...] Read more.
Triaxial electrospinning was used to fabricate fiber membranes composed of polycaprolactone (PCL), poly(lactic-co-glycolide) (PLGA), and gelatin (GT), designed as carriers for curcumin (Cur) delivery. Here, synthetic polyesters acted as core and shell layers, while GT formed the middle layer containing Cur at varying concentrations. This paper aimed to demonstrate the effect of a shell layer by rearranging the core and shell layers on the kinetics of model drug delivery. In vitro release results indicated the shell layer considerably affected the release behavior, reducing the initial burst release by up to 28% in triaxial fibers compared to coaxial fibers in PLGA-shell forms. The release kinetics were interpreted using the Gallagher–Corrigan model. The membranes were also evaluated for their morphological properties. PLGA-shell-layered triaxial fibers exhibited pore sizes up to approximately 11 µm, small enough to prevent cell migration, while providing higher permeability. The surface wettability analysis of the developed fibers showed that all forms exhibited hydrophilic properties. Furthermore, the cytocompatibility of the fiber membranes was confirmed with the relative cell viability of over 80%. Triaxial fibers with different shell layers displayed similar release trends, yet fibers with the PLGA shell layer demonstrated more favorable performance, attributed to its layer configuration. These findings suggest that the strategic positioning of polymers in triaxial electrospun membranes could be pivotal in optimizing drug delivery systems. Full article
(This article belongs to the Special Issue Biopolymers for Drug Delivery Systems)
Show Figures

Figure 1

15 pages, 738 KB  
Article
Comparative Evaluation of Mutect2, Strelka2, and FreeBayes for Somatic SNV Detection in Synthetic and Clinical Whole-Exome Sequencing Data
by Igor López-Cade, Alicia Gómez-Sanz, Adrián Sanvicente, Cristina Díaz-Tejeiro, Aránzazu Manzano, Pedro Pérez-Segura, Balázs Győrffy, Alberto Ocaña, Miguel de la Hoya and Vanesa García-Barberán
Biomolecules 2025, 15(11), 1532; https://doi.org/10.3390/biom15111532 - 30 Oct 2025
Abstract
Somatic variant calling is a critical step in cancer genome analysis, but the performance of available tools can vary depending on their underlying algorithms and filtering strategies. We compared three widely used variant callers—Mutect2, Strelka2, and FreeBayes—for their performance in somatic single-nucleotide variant [...] Read more.
Somatic variant calling is a critical step in cancer genome analysis, but the performance of available tools can vary depending on their underlying algorithms and filtering strategies. We compared three widely used variant callers—Mutect2, Strelka2, and FreeBayes—for their performance in somatic single-nucleotide variant (SNV) detection using both synthetic and real whole-exome sequencing (WES) data. Synthetic data were generated by introducing 4709 SNVs into a variant-free BAM file, while real data consisted of tumor and matched normal WES samples from five ovarian cancer (OC) patients. All callers were run using the nf-core/sarek pipeline with default settings and appropriate filtering. In the synthetic dataset, all tools showed high precision (~99.9%), with Mutect2 achieving the highest recall (63.1%), followed by Strelka2 (46.3%) and FreeBayes (45.2%). In real samples, FreeBayes detected the most variants, and only 5.1% of SNVs were shared across all three tools. We then integrated calls with SomaticSeq in consensus mode (Mutect2 + Strelka2) and kept variants with stronger allelic signals—showing higher VAFs and, typically, higher coverages relative to single-caller only. Caller-exclusive variants showed significant differences in allele frequency and sequencing depth. These results highlight substantial variability in SNV detection across tools. While all showed high specificity, differences in sensitivity and variant profiles underscore the need for context-specific caller selection or ensemble approaches in cancer genomics. Full article
21 pages, 1207 KB  
Review
Beyond SGLT2: Exploring the Therapeutic Potential of Lesser-Known SGLT Isoform Inhibitors
by Anna Berecka-Rycerz, Anna Gumieniczek, Julia Skroban and Katarzyna Wicha-Komsta
Appl. Sci. 2025, 15(21), 11603; https://doi.org/10.3390/app152111603 (registering DOI) - 30 Oct 2025
Abstract
This paper presents a review of studies on SGLT protein inhibitors, based on literature published between 2000 and 2025, sourced from the Scopus, ScienceDirect, Google Scholar and PubMed databases. The individual isoforms of SGLT proteins are briefly described, with attention to their distribution [...] Read more.
This paper presents a review of studies on SGLT protein inhibitors, based on literature published between 2000 and 2025, sourced from the Scopus, ScienceDirect, Google Scholar and PubMed databases. The individual isoforms of SGLT proteins are briefly described, with attention to their distribution in the body and biological functions. Representative inhibitors and their potential biological effects are also discussed. Beyond the well-established glucose-lowering properties, characteristic of the extensively studied SGLT2 inhibitors, this review explores additional effects, including anticancer, anti-inflammatory, antioxidant, and neuroprotective activities. The analysis encompasses synthetic SGLT inhibitors, computer-designed molecules, and a wide range of naturally derived compounds, including medicinal plants and food-based substances. Importantly, the review deliberately excludes SGLT2 inhibitors, such as the well-known gliflozin class due to the abundance of existing reviews focused specifically on them. This review focuses on potential inhibitors of the SGLT1, SGLT3, SGLT4, SGLT5, and SGLT6 isoforms, emphasizing their diverse physiological roles beyond diabetes and cardiovascular disease, including applications in cancer therapy and neuroprotection. Particular attention is given to the SGLT1 isoform, for which numerous synthetic inhibitors with promising therapeutic potential have been identified. Additionally, natural compounds, especially those derived from medicinal plants and dietary sources, are extensively documented for their inhibitory effects. For the remaining isoforms (SGLT3–SGLT6), all available data on selective inhibitors were examined, alongside an evaluation of their possible therapeutic applications in light of current scientific knowledge. Full article
Show Figures

Figure 1

21 pages, 4084 KB  
Article
A Multi-Epitope Recombinant Vaccine Candidate Against Bovine Alphaherpesvirus 1 and 5 Elicits Robust Immune Responses in Mice and Rabbits
by Aline Aparecida Silva Barbosa, Samille Henriques Pereira, Mateus Laguardia-Nascimento, Amanda Borges Ferrari, Laura Jorge Cox, Raissa Prado Rocha, Victor Augusto Teixeira Leocádio, Ágata Lopes Ribeiro, Karine Lima Lourenço, Flávio Guimarães Da Fonseca and Edel F. Barbosa-Stancioli
Vaccines 2025, 13(11), 1115; https://doi.org/10.3390/vaccines13111115 - 30 Oct 2025
Abstract
Background/Objectives: Varicellovirus bovinealpha1 and Varicellovirus bovinealpha5 (BoAHV-1 and BoAHV-5), respectively, are widely distributed pathogens that cause distinct clinical conditions in cattle including infectious bovine rhinotracheitis, infectious pustular vulvovaginitis/balanoposthitis, and meningoencephalitis. Due to the establishment of viral latency, controlling these infections is challenging, and [...] Read more.
Background/Objectives: Varicellovirus bovinealpha1 and Varicellovirus bovinealpha5 (BoAHV-1 and BoAHV-5), respectively, are widely distributed pathogens that cause distinct clinical conditions in cattle including infectious bovine rhinotracheitis, infectious pustular vulvovaginitis/balanoposthitis, and meningoencephalitis. Due to the establishment of viral latency, controlling these infections is challenging, and vaccination remains the most effective strategy. In this study, vaccine candidates targeting both BoAHV-1 and BoAHV-5 were developed. Methods: A synthetic gene encoding immunodominant epitopes from the gB and gD proteins and tegument phosphoprotein of BoAHV-1 and BoAHV-5 was designed to produce a multi-epitope recombinant antigen, expressed both in a prokaryotic system (RecBoAHV) and by a modified vaccinia Ankara (MVA-BoAHV) viral vector. The binding affinity of MHC-I to bovine leukocyte antigens (BoLA) was predicted using the NetMHCpan tool (version 4.1). The immunogenicity of the vaccine candidates was evaluated in rabbit and mouse models, using prime-boost immunization protocols. Sera from bovines naturally infected with BoAHV-1 and/or BoAHV-5 were used to evaluate the chimeric protein antigenicity. Immune responses were assessed by indirect ELISA and Western blot. Results: The recombinant multi-epitope protein was effectively recognized by IgG and IgM antibodies in sera from cattle naturally infected with BoAHV-1 or BoAHV-5, confirming the antigenic specificity. Both RecBoAHV and MVA-RecBoAHV induced strong and specific humoral immune responses in rabbits following a homologous prime-boost regimen. In mice, both homologous and heterologous prime-boost protocols revealed robust immunogenicity, particularly after the second booster dose. Conclusions: These findings highlight the immunogenic potential of the RecBoAHV multi-epitope vaccine candidates for controlling BoAHV-1 and BoAHV-5 infections. Further characterization of these vaccine formulations is currently underway in bovine, the target specie. Full article
(This article belongs to the Section Veterinary Vaccines)
Show Figures

Graphical abstract

Back to TopTop