Sign in to use this feature.

Years

Between: -

Subjects

remove_circle_outline
remove_circle_outline
remove_circle_outline
remove_circle_outline
remove_circle_outline
remove_circle_outline
remove_circle_outline
remove_circle_outline
remove_circle_outline

Journals

remove_circle_outline
remove_circle_outline
remove_circle_outline
remove_circle_outline
remove_circle_outline
remove_circle_outline
remove_circle_outline
remove_circle_outline
remove_circle_outline
remove_circle_outline
remove_circle_outline
remove_circle_outline
remove_circle_outline
remove_circle_outline
remove_circle_outline
remove_circle_outline
remove_circle_outline
remove_circle_outline
remove_circle_outline

Article Types

Countries / Regions

remove_circle_outline
remove_circle_outline
remove_circle_outline
remove_circle_outline
remove_circle_outline
remove_circle_outline
remove_circle_outline
remove_circle_outline

Search Results (2,719)

Search Parameters:
Keywords = synchrotron

Order results
Result details
Results per page
Select all
Export citation of selected articles as:
18 pages, 3837 KB  
Article
Feasibility of Utilizing Waste Natural Rubber Gloves as a Primary Rubber Matrix: Aspect of Vulcanization Systems
by Abdulhakim Masa, Nurulhuda Mesa, Siriwat Soontaranon and Nabil Hayeemasae
Sci 2026, 8(3), 67; https://doi.org/10.3390/sci8030067 (registering DOI) - 20 Mar 2026
Abstract
In this study, the potential for re-mixing and re-vulcanizing waste natural rubber glove (WNRG) material by using it as the primary matrix was investigated. Alternative types of vulcanization systems, namely, sulfur, phenolic resin, and peroxide, were employed. The results unequivocally demonstrated that residual [...] Read more.
In this study, the potential for re-mixing and re-vulcanizing waste natural rubber glove (WNRG) material by using it as the primary matrix was investigated. Alternative types of vulcanization systems, namely, sulfur, phenolic resin, and peroxide, were employed. The results unequivocally demonstrated that residual vulcanizing agents contained in the WNRG were not sufficient to cause crosslinking reactions without re-mixing with vulcanizing agents. Among the various vulcanization approaches, sulfur produced the greatest properties, whereas phenolic resin gave moderate performance. The WNRG vulcanized with sulfur demonstrated the highest crosslink density, tear strength, tensile strength, hardness, and strain-induced crystallization ability among the tested alternatives. The tensile strength of WNRG vulcanized with sulfur was approximately 16.23 MPa, which was 31.7% and 51.1% greater than the WNRG vulcanizates made with phenolic resin and peroxide, respectively. Because of its highest crosslink density, the WNRG vulcanizate with sulfur also offers the greatest storage modulus among the tested cases. The results clearly suggest that the WNRG can potentially be re-compounded, re-vulcanized, and used as the primary matrix. WNRG could be used as a matrix at an industrial scale, to minimize the environmental issues and increase the added value from waste gloves. The findings provide practical guidance for recycling waste rubber gloves in industrial applications, which would be a more sustainable solution for solving the problems associated with WNRG. Full article
(This article belongs to the Section Materials Science)
Show Figures

Graphical abstract

24 pages, 7262 KB  
Review
In Situ X-Ray Imaging and Machine Learning in Ultrasonic Field-Assisted Laser-Based Additive Manufacturing: A Review
by Zhihao Fu, Yu Weng, Zhian Deng, Jie Pan, Ao Li, Ling Qin and Gang Wu
Materials 2026, 19(6), 1227; https://doi.org/10.3390/ma19061227 - 20 Mar 2026
Abstract
Metal additive manufacturing (AM) offers unprecedented opportunities to fabricate complex, lightweight metallic components, yet its practical deployment remains fundamentally constrained by defects arising from rapid melting and solidification. Cyclic thermal transients generate cracks, pores, residual stresses, and lack-of-fusion regions, undermining mechanical performance and [...] Read more.
Metal additive manufacturing (AM) offers unprecedented opportunities to fabricate complex, lightweight metallic components, yet its practical deployment remains fundamentally constrained by defects arising from rapid melting and solidification. Cyclic thermal transients generate cracks, pores, residual stresses, and lack-of-fusion regions, undermining mechanical performance and reliability. Ultrasonic field-assisted laser-based additive manufacturing (UF-LBAM) has emerged as a powerful approach to manipulate melt pool dynamics and suppress defect formation. Nevertheless, the governing physical mechanisms remain poorly understood, particularly under highly non-equilibrium ultrasonic excitation, where acoustic pressure oscillations, melt convection, cavitation, and solidification are intricately coupled across multiple temporal and spatial scales. Here, we provide a systematic review of X-ray based fundamental studies in UF-LBAM and the diverse applications of machine learning (ML), detailing the literature selection criteria and methodology. We highlight advances spanning synchrotron X-ray revealed physical phenomena, ML-driven real-time monitoring and defect prediction, and pathways toward industrial implementation. Critical challenges persist, including fundamental physics gaps, transferability of ML models across alloy systems, and real-time control limitations. We further identify promising directions for the field, such as physics-informed models, multimodal diagnostics, and closed-loop control, which together promise to unlock the full potential of UF-LBAM for high-performance metal component fabrication. Full article
Show Figures

Figure 1

15 pages, 2655 KB  
Article
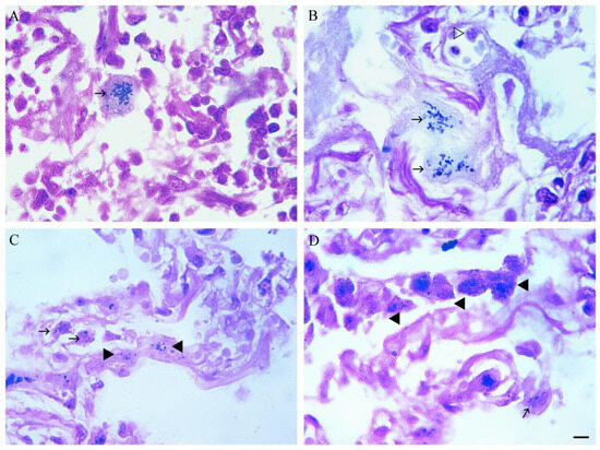
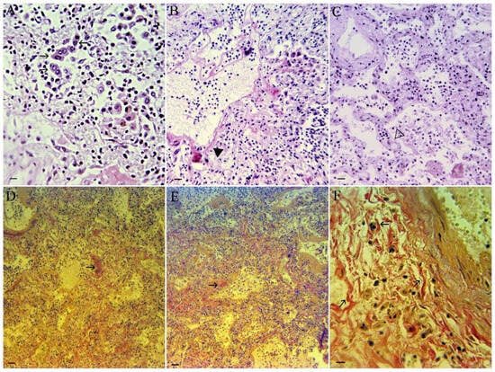
Post-Mortem Detection and Visualization of Mimivirus Reactivation in Fatal Viral Pneumonia
by Parandzem Khachatryan, Naira Karalyan, Anna Semerjyan, Marina Tatoyan, Hakob Davtyan, Arsham Yeremyan, Sona Hakobyan, Hranush Avagyan, Lina Hakobyan, Liana Abroyan, Aida Avetisyan, Elena Karalova, Nane Bayramyan, Tigranuhi Vardanyan, Vahagn Gevorgyan, Elina Arakelova, Alexandr Karalyan and Zaven Karalyan
Viruses 2026, 18(3), 379; https://doi.org/10.3390/v18030379 - 18 Mar 2026
Viewed by 55
Abstract
Mimivirus, a giant double-stranded DNA virus ($1.2$ Mbp), possesses unique bacteria-like features, including a Gram-positive staining reaction due to peptidoglycan-containing surface fibers. While detected in the respiratory secretions of pneumonia patients since 2005, its clinical role remains controversial due to high genetic variability [...] Read more.
Mimivirus, a giant double-stranded DNA virus ($1.2$ Mbp), possesses unique bacteria-like features, including a Gram-positive staining reaction due to peptidoglycan-containing surface fibers. While detected in the respiratory secretions of pneumonia patients since 2005, its clinical role remains controversial due to high genetic variability and detection challenges. This study aims to clarify the pathological significance of Mimivirus by investigating its presence and replication potential in human lung tissue, specifically exploring its association with fatal respiratory outcomes. A comparative post-mortem analysis was conducted on lung tissue samples from two cohorts: patients who succumbed to lethal viral pneumonia and a control group with no history of pulmonary pathology. Mimivirus is known to productively infect alveolar macrophages, suggesting they may serve as a reservoir for lung inflammation and tissue damage. Current evidence suggests it may act as an opportunistic or commensal agent, particularly in immunocompromised or critically ill patients. By systematically screening autopsy samples, this research seeks to establish whether Mimivirus is a primary causative agent of fatal pneumonia or an incidental inhabitant of the human respiratory tract. Full article
Show Figures

Figure 1

10 pages, 2122 KB  
Article
Elastic Properties and Piezoelectric Energy Harvesting of a Lead-Free Hybrid Perovskite, (DABCO)RbBr3
by Yiming Liu, Guangyue Shi, Changliang Li and Feng Luo
Molecules 2026, 31(6), 1013; https://doi.org/10.3390/molecules31061013 - 18 Mar 2026
Viewed by 72
Abstract
Mechanical properties of lead-free hybrid perovskites have attracted growing interest because of their significance in future eco-friendly optoelectronic applications. However, there are very limited studies about the intrinsic elastic properties and high-pressure structural evolution of hybrid perovskites, and the fundamental structure–mechanical property relationships [...] Read more.
Mechanical properties of lead-free hybrid perovskites have attracted growing interest because of their significance in future eco-friendly optoelectronic applications. However, there are very limited studies about the intrinsic elastic properties and high-pressure structural evolution of hybrid perovskites, and the fundamental structure–mechanical property relationships are insufficiently understood. Here, we report the elastic behavior of a three-dimensional (3D) hybrid organic–inorganic perovskite, (DABCO)RbBr3 (DABCO = triethylenediammonium), and confirm the processability through processing with chiral metasurfaces and the generation of circular dichroism. Our in situ high-pressure synchrotron X-ray diffraction experiments demonstrate that this crystal does not start to amorphize until 2.3 GPa. Density functional theory calculations reveal that its E, G and v range between 20.73 and 27.93 GPa, 8.21 and 11.62 GPa and 0.18–0.39, respectively. Additionally, due to the low elastic moduli and polar crystal structure, we fabricate a device of (DABCO)RbBr3 composite film, which shows favorable performance for piezoelectric energy harvesting. This work utilizes (DABCO)RbBr3 to open up new avenues for applications in manufacturing and energy harvesting. Full article
Show Figures

Graphical abstract

12 pages, 1070 KB  
Article
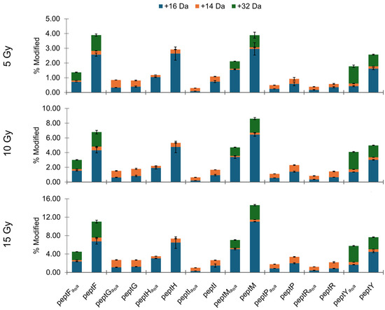
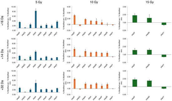
Characterization of Oxidative Modifications to Short Peptides Using Low Dose Rate X-Rays
by Savannah Kidd, Thomas McCarthy, Simruthi Subramanian, Lieselotte Obst-Huebl, Jamie L. Inman, Sayan Gupta and Corie Y. Ralston
Appl. Sci. 2026, 16(6), 2903; https://doi.org/10.3390/app16062903 - 18 Mar 2026
Viewed by 92
Abstract
The method of X-ray footprinting and mass spectrometry (XFMS) using high flux synchrotron X-ray sources has become an established method in structural biology and is based on the radiolytic production of hydroxyl radicals, which oxidatively modify protein sidechains. While other methods of producing [...] Read more.
The method of X-ray footprinting and mass spectrometry (XFMS) using high flux synchrotron X-ray sources has become an established method in structural biology and is based on the radiolytic production of hydroxyl radicals, which oxidatively modify protein sidechains. While other methods of producing hydroxyl radicals are available, one benefit of using high flux density sources is that hydroxyl radical scavenging reactions can be minimized, and exposure times kept short to minimize secondary reactions. Here we present an application of the XFMS method using low dose rate X-rays from a commercial instrument. We demonstrate the feasibility of the approach using short peptides, characterizing the oxidative modifications +14, +16, and +32 Da under both aerobic and low oxygen conditions, and we additionally quantify the hydrogen peroxide production for various doses using the low dose rate source. These results provide fundamental information on the oxidative damage to peptides due to hydroxyl radicals using a low dose rate X-ray source. Full article
(This article belongs to the Special Issue Technical Advances in Structural Biology)
Show Figures

Figure 1

26 pages, 11165 KB  
Article
In Situ XRPD Investigation of Relative Humidity-Induced Lattice Responses in Tetragonal Hen Egg-White Lysozyme
by Marios Konstantopoulos, Stamatina Kafetzi, Dimitrios Koutoulas, Christina Papaefthymiou, Marianna Lampropoulou, Theodora Alexiou, Maria Nefeli Karagrigoriou, Nikolaos Pagonis, Artemis Karapeti, Angelos Kontarinis, Detlef Beckers, Thomas Degen and Irene Margiolaki
Biomolecules 2026, 16(3), 442; https://doi.org/10.3390/biom16030442 - 15 Mar 2026
Viewed by 215
Abstract
Protein crystals are intrinsically hydrated systems, and their structural integrity is strongly influenced by environmental humidity. Understanding the effects of relative humidity (RH) variation on crystal stability is therefore essential for both fundamental research and applied studies. In this work, the structural response [...] Read more.
Protein crystals are intrinsically hydrated systems, and their structural integrity is strongly influenced by environmental humidity. Understanding the effects of relative humidity (RH) variation on crystal stability is therefore essential for both fundamental research and applied studies. In this work, the structural response of tetragonal hen egg-white lysozyme (HEWL) to controlled RH variation was investigated using in situ X-ray powder diffraction (XRPD). Polycrystalline HEWL samples were subjected to systematic gradual dehydration and rehydration cycles, as well as to non-gradual RH variation protocols. Pawley analysis of the XRPD data enabled monitoring of the evolution of unit cell parameters and unit cell volume as a function of RH. Under all experimental conditions, the tetragonal polymorph (space group P43212; a = 79.105 (4) Å, c = 38.231 (2) Å) was preserved. RH variation induced smooth, continuous and anisotropic lattice changes, characterized by a decrease in the a (=b)-axis and a concomitant increase in the c-axis upon dehydration, while rehydration resulted in the opposite behavior. The overall magnitude of lattice variation remained limited (within ±2%), indicating a high degree of structural stability. Partial degradation of crystallinity was observed only after prolonged exposure to low RH levels. These findings demonstrate the remarkable structural resilience of tetragonal HEWL and highlight the effectiveness of in situ XRPD as a powerful tool for probing hydration-driven lattice responses in protein crystals under realistic environmental conditions. Full article
(This article belongs to the Special Issue State-of-the-Art Protein X-Ray Crystallography)
Show Figures

Figure 1

14 pages, 2452 KB  
Article
The About 100 Million Years Old Enigmatic “Beak Larva” Is a Weird Click Beetle Relative
by Simon J. Linhart, Carolin Haug, Jörg U. Hammel, Sabine Saß and Joachim T. Haug
Insects 2026, 17(3), 316; https://doi.org/10.3390/insects17030316 - 14 Mar 2026
Viewed by 231
Abstract
“Beak larva” is a collective term for four fossil specimens from Kachin amber, which are holometabolan larvae with a forward-projecting beak. This arrangement is very unusual, and so far it has been unclear whether these specimens are larvae of beetles or of lacewings. [...] Read more.
“Beak larva” is a collective term for four fossil specimens from Kachin amber, which are holometabolan larvae with a forward-projecting beak. This arrangement is very unusual, and so far it has been unclear whether these specimens are larvae of beetles or of lacewings. We present here new details of the mouthparts of one of these larvae based on synchrotron radiation-based X-ray µ-CT (SRµCT) imaging. We can identify that the main part of the beak is formed by the labrum and the labium; the mandibles insert laterally into this beak. The beak has two distinct channels to which the mandibles seem to be connected. The maxillae are tightly connected to the labium and head capsule and have an endite each (unclear if lacinia, galea, or mala), also inserting into the beak. Overall, these details reveal a mouthpart arrangement incompatible with an interpretation as a lacewing. The arrangement is most similar to that in some beetle larvae, namely those of Elateroidea. It most closely resembles that of the larvae of the species-poor sister groups Cerophytidae and Jurasaidae. It seems likely that the beak larvae are closely related to Jurasaidae, possessing an intermediate morphology. The combined data allow us to reconstruct aspects of the entire group, including the beak larvae, Cerophytidae, and Jurasaidae, indicating that they undergo hypermetamorphosis. The latter is most expressed in Jurasaidae. Combined with the paedomorphic female, this group seems to have four rather distinct morphologies and ecologies: (1) early mobile larvae, (2) physogastric, strongly wormlike larvae, (3) “normal”-appearing adult males, and (4) females with another unique morphology. Full article
(This article belongs to the Special Issue Revival of a Prominent Taxonomy of Insects—2nd Edition)
Show Figures

Figure 1

18 pages, 4268 KB  
Article
Characteristics of Functional Groups During In Situ Co-Pyrolysis of Tar-Rich Coal and Crop Straws Using Synchrotron DRIFTS
by Tao Xu, Yu Guo, Chengcheng Zhang, Bowen Gan and Xiaoli Huang
Processes 2026, 14(6), 926; https://doi.org/10.3390/pr14060926 - 14 Mar 2026
Viewed by 132
Abstract
The changes in functional groups during in situ co-pyrolysis of tar-rich coal with wheat straw were systematically examined using synchrotron diffuse reflectance infrared Fourier transform spectroscopy (DRIFTS) coupled with thermogravimetric analysis (TGA). Dynamic changes in C=C, C-O, and C-O-C groups were monitored and [...] Read more.
The changes in functional groups during in situ co-pyrolysis of tar-rich coal with wheat straw were systematically examined using synchrotron diffuse reflectance infrared Fourier transform spectroscopy (DRIFTS) coupled with thermogravimetric analysis (TGA). Dynamic changes in C=C, C-O, and C-O-C groups were monitored and assessed across 50–500 °C, complemented by thermogravimetric analysis to assess synergistic effects. It revealed that co-pyrolysis significantly alters the thermal cracking pathways of oxygenated structures, reducing the overall onset temperature by approximately 150 °C. Specifically, instead of maintaining thermal stability, co-pyrolysis promoted early structural aromatization and advanced the C=O decomposition onset by 50 °C compared to coal, achieving a remarkable functional group cleavage rate of 47%. Additionally, the C=C formation temperature was advanced by 150 °C. Furthermore, co-pyrolysis effectively suppressed the secondary structural transformations observed in biomass by limiting the relative accumulation of C–O–C structures to merely a 5% increase, compared to a 52% surge in wheat straw. Interestingly, while DRIFTS confirms facilitated localized bond cleavage and deoxygenation, TGA reveals a macroscopic negative synergy regarding overall weight loss. These findings provide profound insights into the complex radical interactions during co-conversion, offering a crucial theoretical basis for optimizing coal–biomass co-pyrolysis technologies. Full article
(This article belongs to the Special Issue Advanced Biomass Analysis and Conversion Technology)
Show Figures

Figure 1

10 pages, 1959 KB  
Article
In Situ Synchrotron Radiation Computed Tomography Study on Fatigue Damage Evolution of Additively Manufactured Ti-6Al-4V Alloy
by Hui Wang, Guangcheng Fan and Yu Xiao
Crystals 2026, 16(3), 195; https://doi.org/10.3390/cryst16030195 - 11 Mar 2026
Viewed by 198
Abstract
Additive manufacturing (AM) of Ti-6Al-4V alloy is widely used in aerospace and medical fields due to its excellent strength and corrosion resistance. However, the microstructural heterogeneity induced by the AM process often results in fatigue properties inferior to those of their forged counterparts. [...] Read more.
Additive manufacturing (AM) of Ti-6Al-4V alloy is widely used in aerospace and medical fields due to its excellent strength and corrosion resistance. However, the microstructural heterogeneity induced by the AM process often results in fatigue properties inferior to those of their forged counterparts. Synchrotron Radiation Computed Tomography (SR-CT) was employed to conduct an in situ three-dimensional investigation of fatigue damage evolution in Ti-6Al-4V alloy fabricated via laser powder bed fusion (LPBF). Experimental results revealed phenomena of crack bridging and deflection, accompanied by the consistent presence of local high-density zones (LHDZs) throughout the fatigue damage progression. Combined with quantitative analysis of crack propagation rates, the influence of LHDZs on fatigue damage evolution was analyzed, and the relationship between AM processes, LHDZs, and fatigue damage was discussed. The results indicate that the basket-weave α-phase microstructure in Ti-6Al-4V prepared by LPBF exhibits a high correlation with the distribution of LHDZs, and the orientation of LHDZs aligns with the crack propagation direction. By adjusting process parameters such as cooling rate and temperature gradient, the formation of LHDZs can be modified, thereby influencing the fatigue properties of the material. This provides theoretical support for achieving process optimization of the fatigue properties of Ti-6Al-4V alloy prepared via LPBF. Full article
Show Figures

Figure 1

2 pages, 151 KB  
Correction
Correction: Kalugin et al. Heparin-Immobilized Polyethersulfone for Hemocompatibility Enhancement of Dialysis Membrane: In Situ Synchrotron Imaging, Experimental, and Ex Vivo Studies. Membranes 2023, 13, 718
by Denis Kalugin, Jumanah Bahig, Ahmed Shoker and Amira Abdelrasoul
Membranes 2026, 16(3), 102; https://doi.org/10.3390/membranes16030102 - 11 Mar 2026
Viewed by 160
Abstract
In the original publication [...] Full article
23 pages, 9651 KB  
Article
An Alvarez-Type Linac Configuration for Future Carbon and Helium Ion Therapy Facilities with Parallel Radioisotope Production
by Lazar Nikitovic, Maurizio Vretenar and Toms Torims
Instruments 2026, 10(1), 16; https://doi.org/10.3390/instruments10010016 - 7 Mar 2026
Viewed by 217
Abstract
The increasing demand for ion beams heavier than protons—particularly carbon and helium ions—for cancer therapy has driven the development of advanced accelerator technologies. Although proton therapy is well established, its physical properties limit its effectiveness against certain tumor types, thereby motivating the use [...] Read more.
The increasing demand for ion beams heavier than protons—particularly carbon and helium ions—for cancer therapy has driven the development of advanced accelerator technologies. Although proton therapy is well established, its physical properties limit its effectiveness against certain tumor types, thereby motivating the use of ions with higher linear energy transfer (LET) and greater biological effectiveness. This study presents the design of an Alvarez-type linear accelerator configuration that combines a Quasi-Alvarez Drift Tube Linac (QA-DTL) and a conventional Alvarez Drift Tube Linac (DTL). The proposed systems are intended for accelerating and injecting carbon or helium ions into a cancer therapy synchrotron, as well as accelerating helium ions for radioisotope production. The optimized QA-DTL and DTL structures provide a versatile and efficient solution for future particle therapy facilities, addressing the growing demand for compact, high-performance, and multifunctional accelerator systems. The proposed linac configurations are designed to operate at 352.2 MHz and consist of three sections. For accelerating low-velocity ions, the first section is a QA-DTL, which is the only section powered during the injection of carbon or helium ions (depending on configuration) into the therapy synchrotron at the energy of 5 MeV/u. The QA-DTL is followed by two DTL cavities forming the second and third sections, which further accelerate helium ions to energies of up to 7.1 MeV/u and 10 MeV/u, respectively. The energy of 7.1 MeV/u is chosen because it represents the production threshold of 211At, one of the most promising alpha emitters for targeted alpha therapy. Full article
(This article belongs to the Special Issue Compact Accelerators)
Show Figures

Figure 1

21 pages, 484 KB  
Article
An Invariant Measure for Differential Entropy: From Kullback–Leibler Divergence to Scale-Invariant Information Theory
by Félix Truong and Alexandre Giuliani
Entropy 2026, 28(3), 301; https://doi.org/10.3390/e28030301 - 7 Mar 2026
Viewed by 251
Abstract
Shannon’s differential entropy for continuous variables suffers from a fundamental limitation: it is not invariant under scale transformations. This makes entropy values dependent on the choice of measurement units rather than reflecting intrinsic properties of distributions. While Jaynes proposed the limiting density of [...] Read more.
Shannon’s differential entropy for continuous variables suffers from a fundamental limitation: it is not invariant under scale transformations. This makes entropy values dependent on the choice of measurement units rather than reflecting intrinsic properties of distributions. While Jaynes proposed the limiting density of discrete points (LDDP) as a theoretical solution, a concrete method for computing the required invariant measure has been lacking. This paper establishes a rigorous connection between Kullback–Leibler divergence and the invariant measure, providing theoretical proofs of invariance under affine transformations and a practical computational method. We prove that entropy normalized by the median of k-nearest neighbor distances is invariant under affine transformations (Theorems 1 and 2). The non-negativity of the resulting entropy has been validated empirically across all tested distribution families, though a complete theoretical proof remains an open question. This approach extends naturally to multivariate settings, enabling scale-invariant mutual information estimation. We provide open-source implementations in Julia (EntropyInvariant.jl) and Python (entropy_invariant) and demonstrate their advantages over traditional approaches, particularly for variables with disparate scales. Full article
(This article belongs to the Section Information Theory, Probability and Statistics)
Show Figures

Figure 1

19 pages, 7760 KB  
Article
XRD and Molecular Dynamics Insights into Lattice Behavior of Oxide Nanocatalysts: The Case of CeO2
by Sirisha Subbareddy, Marcelo Augusto Malagutti, Himanshu Nautiyal, Narges Ataollahi and Paolo Scardi
Nanomaterials 2026, 16(5), 333; https://doi.org/10.3390/nano16050333 - 6 Mar 2026
Viewed by 357
Abstract
Nanocrystalline CeO2 exhibits size-dependent lattice distortions linked to defect chemistry and surface effects. However, the relationships between the oxidation state, surface interactions, and nanoparticle structure remain unclear in the existing literature, particularly when inferred from conventional nanoparticle diffraction techniques, including powder X-ray [...] Read more.
Nanocrystalline CeO2 exhibits size-dependent lattice distortions linked to defect chemistry and surface effects. However, the relationships between the oxidation state, surface interactions, and nanoparticle structure remain unclear in the existing literature, particularly when inferred from conventional nanoparticle diffraction techniques, including powder X-ray diffraction. As a result, the atomistic origin of lattice expansion or contraction with the crystallite size of ceria nanoparticles is still debated. Here, synchrotron X-ray powder diffraction data are analyzed using Rietveld refinement supported by advanced peak profile modeling based on whole powder pattern modeling (WPPM), including thermal diffuse scattering (TDS). The latter provides direct access to information on lattice dynamics. Indeed, we simultaneously determine the size distributions of crystalline domains and their atomic displacements, which are then compared and quantitatively validated with molecular dynamics (MD) simulations. Reactive MD simulations further reveal that vacancy-rich surfaces induce lattice contraction at small particle sizes under vacuum, whereas water adsorption causes surface hydroxylation and lattice expansion. These results explain lattice parameter variations in nanocrystalline ceria through the interplay of surface chemistry and environment. This insight is critical for the correct interpretation of diffraction-derived structural parameters in oxide nanocatalysts used in redox and oxygen storage applications. Full article
(This article belongs to the Section Synthesis, Interfaces and Nanostructures)
Show Figures

Graphical abstract

19 pages, 3660 KB  
Article
Spatiotemporal Analysis of Transient Liquid Film Shape
by Gašper Vidic, Saša Bajt and Božidar Šarler
Fluids 2026, 11(3), 67; https://doi.org/10.3390/fluids11030067 - 3 Mar 2026
Viewed by 307
Abstract
Precise control of thin liquid film deposition is crucial in applications where film stability and internal liquid flow significantly impact the dry film shape or the efficiency of sample or drug delivery. No prior work has automated the extraction and measurement uncertainty quantification [...] Read more.
Precise control of thin liquid film deposition is crucial in applications where film stability and internal liquid flow significantly impact the dry film shape or the efficiency of sample or drug delivery. No prior work has automated the extraction and measurement uncertainty quantification of film geometric parameters from dual-view optical visualization with minimal user input. We present Python-based software that extracts time-resolved film thickness, width, and the positions of three contact lines from visual data using computer vision. The utility of such analysis is demonstrated by depositing 30% glycerol on a flexible tape through a circular nozzle orifice. The nozzle is positioned at a distance of h = 0.3 mm from the tape at an angle of attack α = 45°, with deposition controlled at a volume flow rate V˙ = 30 μL min−1 and tape velocity v = 1.0 mm s−1. Expanded measurement uncertainties are 21 μm, 22 μm, and 53 μm for the upstream static, downstream static, and upstream dynamic contact line positions, respectively, with maximum relative uncertainties of 10.3% and 8.2% for film thickness and width. Static contact line oscillations remain within measurement uncertainty, whereas the upstream dynamic contact line exhibits resolvable oscillations. This dual-view framework provides high-resolution insights into liquid film dynamics, which is crucial for comprehensive control of liquid film deposition. Full article
Show Figures

Figure 1

18 pages, 1864 KB  
Review
Primer of Strong-Field Quantum Electrodynamics for Experimentalists
by Annabel Kropf and Ivo Schulthess
Physics 2026, 8(1), 26; https://doi.org/10.3390/physics8010026 - 2 Mar 2026
Cited by 1 | Viewed by 392
Abstract
This review serves as a conceptual and practical introduction to strong-field quantum electrodynamics (SFQED), written from the standpoint of experimental physicists. Rather than providing a comprehensive theoretical review, the paper focuses on the core ideas, terminology, and challenges in SFQED that are most [...] Read more.
This review serves as a conceptual and practical introduction to strong-field quantum electrodynamics (SFQED), written from the standpoint of experimental physicists. Rather than providing a comprehensive theoretical review, the paper focuses on the core ideas, terminology, and challenges in SFQED that are most relevant to experimental design and interpretation. The review serves as a first point of contact with the subject, bridging the gap between foundational theory and hands-on experimental investigations, and complementing more formal literature in the field. Full article
(This article belongs to the Section High Energy Physics)
Show Figures

Figure 1

Back to TopTop