Sign in to use this feature.

Years

Between: -

Subjects

remove_circle_outline
remove_circle_outline
remove_circle_outline
remove_circle_outline
remove_circle_outline
remove_circle_outline
remove_circle_outline
remove_circle_outline
remove_circle_outline

Journals

Article Types

Countries / Regions

Search Results (73)

Search Parameters:
Keywords = subtraction fusion

Order results
Result details
Results per page
Select all
Export citation of selected articles as:
13 pages, 1991 KB  
Article
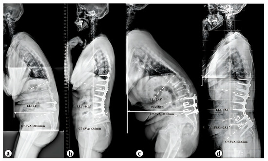
Indications for Additional Pedicle Subtraction Osteotomy in Iatrogenic Flatback After Short-Segment Fusion Surgery
by Sung-Min Kim, In-Seok Son, Yong-Chan Kim, Xiongjie Li and Maolin Jin
Medicina 2025, 61(9), 1624; https://doi.org/10.3390/medicina61091624 - 8 Sep 2025
Viewed by 348
Abstract
Background and Objectives: This study aimed to identify radiographic predictors and optimal cut-off values for determining the need for additional pedicle subtraction osteotomy (PSO) in patients with iatrogenic flatback syndrome following short-segment (≤3 levels) fusion surgery. Materials and Methods: From 2011 [...] Read more.
Background and Objectives: This study aimed to identify radiographic predictors and optimal cut-off values for determining the need for additional pedicle subtraction osteotomy (PSO) in patients with iatrogenic flatback syndrome following short-segment (≤3 levels) fusion surgery. Materials and Methods: From 2011 to 2022, a total of 49 patients who underwent deformity correction for iatrogenic flatback following short-segment fusion at a single institution were included. We divided all patients into group A (n = 33, only anterior column realignment, ACR) and group B (n = 16, ACR combined with PSO). Among group A patients, we further divided them into two subgroups: The Excessive group, who developed excessive anterior disc height distraction (EADH) during surgery, and the Non-excessive group, who did not. The Receiver Operating Characteristic (ROC) curve was used to determine the cut-off values for spinopelvic parameters associated with the decision to perform additional PSO. Results: Group A had a significantly lower number of previously fused segments compared to Group B (p < 0.001). Preoperative C7 sagittal vertical axis (C7SVA, p = 0.026) and its correction (p = 0.003) in group B were greater than those in group A. Group B showed a significantly more kyphotic preoperative fused segment angle (FSA) compared to Group A (p = 0.001). Postoperatively, EADH occurred in 7 patients (21.2%) in Group A, while no cases were observed in Group B. Subgroup analysis revealed that the dynamic segment angle (DA) was significantly lower in the Excessive group compared to the Non-excessive group (p < 0.001). The optimal cut-off values of preoperative radiographic parameters for selecting PSO were: C7-SVA > 242.8 mm, FSA > −3.2°, and DA < 4.3°. Conclusions: ACR alone and ACR combined with PSO showed satisfactory outcomes in patients with iatrogenic flat back. For selected patients with preoperative C7SVA > 242.8 mm, FSA > −3.2°, or DA < 4.3°, additional PSO may be reasonable to help optimize sagittal alignment. Full article
(This article belongs to the Section Orthopedics)
Show Figures

Figure 1

18 pages, 1767 KB  
Article
A Blind Few-Shot Learning for Multimodal-Biological Signals with Fractal Dimension Estimation
by Nadeem Ullah, Seung Gu Kim, Jung Soo Kim, Min Su Jeong and Kang Ryoung Park
Fractal Fract. 2025, 9(9), 585; https://doi.org/10.3390/fractalfract9090585 - 3 Sep 2025
Viewed by 462
Abstract
Improving the decoding accuracy of biological signals has been a research focus for decades to advance health, automation, and robotic industries. However, challenges like inter-subject variability, data scarcity, and multifunctional variability cause low decoding accuracy, thus hindering the practical deployment of biological signal [...] Read more.
Improving the decoding accuracy of biological signals has been a research focus for decades to advance health, automation, and robotic industries. However, challenges like inter-subject variability, data scarcity, and multifunctional variability cause low decoding accuracy, thus hindering the practical deployment of biological signal paradigms. This paper proposes a multifunctional biological signals network (Multi-BioSig-Net) that addresses the aforementioned issues by devising a novel blind few-shot learning (FSL) technique to quickly adapt to multiple target domains without needing a pre-trained model. Specifically, our proposed multimodal similarity extractor (MMSE) and self-multiple domain adaptation (SMDA) modules address data scarcity and inter-subject variability issues by exploiting and enhancing the similarity between multimodal samples and quickly adapting the target domains by adaptively adjusting the parameters’ weights and position, respectively. For multifunctional learning, we proposed inter-function discriminator (IFD) that discriminates the classes by extracting inter-class common features and then subtracts them from both classes to avoid false prediction of the proposed model due to overfitting on the common features. Furthermore, we proposed a holistic-local fusion (HLF) module that exploits contextual-detailed features to adapt the scale-varying features across multiple functions. In addition, fractal dimension estimation (FDE) was employed for the classification of left-hand motor imagery (LMI) and right-hand motor imagery (RMI), confirming that proposed method can effectively extract the discriminative features for this task. The effectiveness of our proposed algorithm was assessed quantitatively and statistically against competent state-of-the-art (SOTA) algorithms utilizing three public datasets, demonstrating that our proposed algorithm outperformed SOTA algorithms. Full article
Show Figures

Figure 1

18 pages, 1420 KB  
Article
Non-Contact Screening of OSAHS Using Multi-Feature Snore Segmentation and Deep Learning
by Xi Xu, Yinghua Gan, Xinpan Yuan, Ying Cheng and Lanqi Zhou
Sensors 2025, 25(17), 5483; https://doi.org/10.3390/s25175483 - 3 Sep 2025
Viewed by 687
Abstract
Obstructive sleep apnea–hypopnea syndrome (OSAHS) is a prevalent sleep disorder strongly linked to increased cardiovascular and metabolic risk. While prior studies have explored snore-based analysis for OSAHS, they have largely focused on either detection or classification in isolation. Here, we present a two-stage [...] Read more.
Obstructive sleep apnea–hypopnea syndrome (OSAHS) is a prevalent sleep disorder strongly linked to increased cardiovascular and metabolic risk. While prior studies have explored snore-based analysis for OSAHS, they have largely focused on either detection or classification in isolation. Here, we present a two-stage framework that integrates precise snoring event detection with deep learning-based classification. In the first stage, we develop an Adaptive Multi-Feature Fusion Endpoint Detection algorithm (AMFF-ED), which leverages short-time energy, spectral entropy, zero-crossing rate, and spectral centroid to accurately isolate snore segments following spectral subtraction noise reduction. Through adaptive statistical thresholding, joint decision-making, and post-processing, our method achieves a segmentation accuracy of 96.4%. Building upon this, we construct a balanced dataset comprising 6830 normal and 6814 OSAHS-related snore samples, which are transformed into Mel spectrograms and input into ERBG-Net—a hybrid deep neural network combining ECA-enhanced ResNet18 with bidirectional GRUs. This architecture captures both spectral patterns and temporal dynamics of snoring sounds. The experimental results demonstrate a classification accuracy of 95.84% and an F1 score of 94.82% on the test set, highlighting the model’s robust performance and its potential as a foundation for automated, at-home OSAHS screening. Full article
Show Figures

Figure 1

31 pages, 3129 KB  
Review
A Review on Gas Pipeline Leak Detection: Acoustic-Based, OGI-Based, and Multimodal Fusion Methods
by Yankun Gong, Chao Bao, Zhengxi He, Yifan Jian, Xiaoye Wang, Haineng Huang and Xintai Song
Information 2025, 16(9), 731; https://doi.org/10.3390/info16090731 - 25 Aug 2025
Cited by 1 | Viewed by 1040
Abstract
Pipelines play a vital role in material transportation within industrial settings. This review synthesizes detection technologies for early-stage small gas leaks from pipelines in the industrial sector, with a focus on acoustic-based methods, optical gas imaging (OGI), and multimodal fusion approaches. It encompasses [...] Read more.
Pipelines play a vital role in material transportation within industrial settings. This review synthesizes detection technologies for early-stage small gas leaks from pipelines in the industrial sector, with a focus on acoustic-based methods, optical gas imaging (OGI), and multimodal fusion approaches. It encompasses detection principles, inherent challenges, mitigation strategies, and the state of the art (SOTA). Small leaks refer to low flow leakage originating from defects with apertures at millimeter or submillimeter scales, posing significant detection difficulties. Acoustic detection leverages the acoustic wave signals generated by gas leaks for non-contact monitoring, offering advantages such as rapid response and broad coverage. However, its susceptibility to environmental noise interference often triggers false alarms. This limitation can be mitigated through time-frequency analysis, multi-sensor fusion, and deep-learning algorithms—effectively enhancing leak signals, suppressing background noise, and thereby improving the system’s detection robustness and accuracy. OGI utilizes infrared imaging technology to visualize leakage gas and is applicable to the detection of various polar gases. Its primary limitations include low image resolution, low contrast, and interference from complex backgrounds. Mitigation techniques involve background subtraction, optical flow estimation, fully convolutional neural networks (FCNNs), and vision transformers (ViTs), which enhance image contrast and extract multi-scale features to boost detection precision. Multimodal fusion technology integrates data from diverse sensors, such as acoustic and optical devices. Key challenges lie in achieving spatiotemporal synchronization across multiple sensors and effectively fusing heterogeneous data streams. Current methodologies primarily utilize decision-level fusion and feature-level fusion techniques. Decision-level fusion offers high flexibility and ease of implementation but lacks inter-feature interaction; it is less effective than feature-level fusion when correlations exist between heterogeneous features. Feature-level fusion amalgamates data from different modalities during the feature extraction phase, generating a unified cross-modal representation that effectively resolves inter-modal heterogeneity. In conclusion, we posit that multimodal fusion holds significant potential for further enhancing detection accuracy beyond the capabilities of existing single-modality technologies and is poised to become a major focus of future research in this domain. Full article
Show Figures

Figure 1

23 pages, 6113 KB  
Article
Visual Quantitative Characterization of External Corrosion in 3LPE Coated Pipes Based on Microwave Near-Field Reflectometry and Phase Unwrapping
by Wenjia Li
Sensors 2025, 25(16), 5126; https://doi.org/10.3390/s25165126 - 18 Aug 2025
Viewed by 544
Abstract
Three-layer polyethylene (3LPE) coated steel pipelines are currently the preferred solution for global oil and gas transmission. However, external corrosion beneath the 3LPE coating poses a serious threat to pipeline operations. The pressing concern for pipeline safety and integrity involves non-destructive evaluation techniques [...] Read more.
Three-layer polyethylene (3LPE) coated steel pipelines are currently the preferred solution for global oil and gas transmission. However, external corrosion beneath the 3LPE coating poses a serious threat to pipeline operations. The pressing concern for pipeline safety and integrity involves non-destructive evaluation techniques for the non-invasive and quantitative interrogation of such defects. This study therefore explores linear frequency-sweeping microwave near-field non-destructive testing (NDT) techniques for imaging and evaluating the pitting corrosion beneath 3LPE coating. An improved branch-cut method is proposed for the high-precision phase unwrapping of the microwave phase image sequence, and its superiority over traditional methods in terms of accuracy and robustness is validated. A background subtraction method based on kernel density estimation (KDE) is presented to suppress the lift-off effect on the pipeline geometry. In addition, the principal-component-analysis-wavelet-based principal component extraction and fusion enhance the detection signal-to-noise ratio (SNR) and image contrast, while mitigating the annular artifacts around the corrosion. The experimental results demonstrate the feasibility of the proposed approach for the detection, imaging, and characterization of external corrosion beneath the 3LPE coating of pipelines. Full article
(This article belongs to the Section Fault Diagnosis & Sensors)
Show Figures

Figure 1

15 pages, 2113 KB  
Article
Risk Factors for Rod Fracture at ≥L4-5 Levels Following Long-Segment Fusion for Adult Spinal Deformity: Results from Segment-Based Analysis
by Se-Jun Park, Jin-Sung Park, Chong-Suh Lee and Dong-Ho Kang
J. Clin. Med. 2025, 14(16), 5643; https://doi.org/10.3390/jcm14165643 - 9 Aug 2025
Viewed by 607
Abstract
Background/Objectives: Given the different biomechanical properties and surgical techniques between the L5-S1 and ≥L4-5 levels, it is necessary to explore RF risk factors at ≥L4-5 levels separately from the lumbosacral junction. This study aims to investigate the risk factors for rod fracture [...] Read more.
Background/Objectives: Given the different biomechanical properties and surgical techniques between the L5-S1 and ≥L4-5 levels, it is necessary to explore RF risk factors at ≥L4-5 levels separately from the lumbosacral junction. This study aims to investigate the risk factors for rod fracture (RF) occurring at ≥L4-5 levels following adult spinal deformity (ASD) surgery. RF occurrence was assessed at the segment level. Methods: Patients who underwent ≥ 5-level fusion, including the sacrum or pelvis, with a minimum follow-up of 2 years were included in this study. Presumed risk factors in terms of patient, surgical, and radiographic variables were compared between the non-RF and RF groups at the segment level. Multivariate logistic regression analysis was performed to identify independent risk factors for RF at ≥L4-5 levels. Results: A total of 318 patients (mean age, 69.3 years; 88.4% female) were included, and 1082 segments were evaluated. During the mean follow-up duration of 47.4 months, RF developed in 45 (14.2%) patients for 51 (4.7%) segments. In multivariate logistic regression analysis, several risk factors were identified, as follows: the use of perioperative teriparatide (odds ratio [OR] = 0.26, p = 0.012), operated levels (L2-3 and L3-4 vs. L4-5 level [OR = 0.45, p = 0.022; OR = 0.16, p < 0.001, respectively]), fusion methods (posterior fusion and anterior column realignment vs. posterior lumbar interbody fusion [OR = 8.04, p < 0.001; OR = 5.37, p = 0.002, respectively]), pedicle subtraction osteotomy (PSO) (OR = 3.14, p = 0.020), and number of rods (four-rod configuration vs. dual-rod fixation [OR = 0.34, p = 0.044]). Conclusions: In this study, the factors related to RF at ≥L4-5 levels included the perioperative use of teriparatide, operated levels, fusion methods, performance of PSO, and rod configuration. Considering that surgical procedures vary by each segment, our findings may help establish segment-specific preventive strategies to reduce RF at ≥L4-5 levels. Full article
Show Figures

Figure 1

15 pages, 9399 KB  
Article
Analysis of 3D-Printed Zirconia Implant Overdenture Bars
by Les Kalman and João Paulo Mendes Tribst
Appl. Sci. 2025, 15(15), 8751; https://doi.org/10.3390/app15158751 - 7 Aug 2025
Viewed by 620
Abstract
Dental implant components are typically fabricated using subtractive manufacturing, often involving metal materials that can be costly, inefficient, and time-consuming. This study explores the use of additive manufacturing (AM) with zirconia for dental implant overdenture bars, focusing on mechanical performance, stress distribution, and [...] Read more.
Dental implant components are typically fabricated using subtractive manufacturing, often involving metal materials that can be costly, inefficient, and time-consuming. This study explores the use of additive manufacturing (AM) with zirconia for dental implant overdenture bars, focusing on mechanical performance, stress distribution, and fit. Solid and lattice-structured bars were designed in Fusion 360 and produced using LithaCon 210 3Y-TZP zirconia (Lithoz GmbH, Vienna, Austria) on a CeraFab 8500 printer. Post-processing included cleaning, debinding, and sintering. A 3D-printed denture was also fabricated to evaluate fit. Thermography and optical imaging were used to assess adaptation. Custom fixtures were developed for flexural testing, and fracture loads were recorded to calculate stress distribution using finite element analysis (ANSYS R2025). The FEA model assumed isotropic, homogeneous, linear-elastic material behavior. Bars were torqued to 15 Ncm on implant analogs. The average fracture loads were 1.2240 kN (solid, n = 12) and 1.1132 kN (lattice, n = 5), with corresponding stress values of 147 MPa and 143 MPa, respectively. No statistically significant difference was observed (p = 0.578; α = 0.05). The fracture occurred near high-stress regions at fixture support points. All bars demonstrated a clinically acceptable fit on the model; however, further validation and clinical evaluation are still needed. Additively manufactured zirconia bars, including lattice structures, show promise as alternatives to conventional superstructures, potentially offering reduced material use and faster production without compromising mechanical performance. Full article
(This article belongs to the Special Issue Recent Advances in Digital Dentistry and Oral Implantology)
Show Figures

Figure 1

21 pages, 2575 KB  
Article
Gait Analysis Using Walking-Generated Acceleration Obtained from Two Sensors Attached to the Lower Legs
by Ayuko Saito, Natsuki Sai, Kazutoshi Kurotaki, Akira Komatsu, Shinichiro Morichi and Satoru Kizawa
Sensors 2025, 25(14), 4527; https://doi.org/10.3390/s25144527 - 21 Jul 2025
Viewed by 674
Abstract
Gait evaluation approaches using small, lightweight inertial sensors have recently been developed, offering improvements in terms of both portability and usability. However, accelerometer outputs include both the acceleration that is generated by human motion and gravitational acceleration, which changes along with the posture [...] Read more.
Gait evaluation approaches using small, lightweight inertial sensors have recently been developed, offering improvements in terms of both portability and usability. However, accelerometer outputs include both the acceleration that is generated by human motion and gravitational acceleration, which changes along with the posture of the body part to which the sensor is attached. This study presents a gait analysis method that uses the gravitational, centrifugal, tangential, and translational accelerations obtained from sensors attached to the lower legs. In this method, each sensor pose is sequentially estimated using sensor fusion to combine data obtained from a three-axis gyroscope, a three-axis accelerometer, and a three-axis magnetometer. The estimated sensor pose is then used to calculate the gravitational acceleration that is included in each axis of the sensor coordinate system. The centrifugal and tangential accelerations are determined from the gyroscope output. The translational acceleration is then obtained by subtracting the centrifugal, tangential, and gravitational accelerations from the accelerometer output. As a result, the acceleration components contained in the outputs of the accelerometers attached to the lower legs are provided. As only the acceleration components caused by walking motion are captured, thus reflecting their characteristics, it is expected that the developed method can be used for gait evaluation. Full article
(This article belongs to the Special Issue IMU and Innovative Sensors for Healthcare)
Show Figures

Figure 1

22 pages, 4033 KB  
Article
Masked Feature Residual Coding for Neural Video Compression
by Chajin Shin, Yonghwan Kim, KwangPyo Choi and Sangyoun Lee
Sensors 2025, 25(14), 4460; https://doi.org/10.3390/s25144460 - 17 Jul 2025
Viewed by 789
Abstract
In neural video compression, an approximation of the target frame is predicted, and a mask is subsequently applied to it. Then, the masked predicted frame is subtracted from the target frame and fed into the encoder along with the conditional information. However, this [...] Read more.
In neural video compression, an approximation of the target frame is predicted, and a mask is subsequently applied to it. Then, the masked predicted frame is subtracted from the target frame and fed into the encoder along with the conditional information. However, this structure has two limitations. First, in the pixel domain, even if the mask is perfectly predicted, the residuals cannot be significantly reduced. Second, reconstructed features with abundant temporal context information cannot be used as references for compressing the next frame. To address these problems, we propose Conditional Masked Feature Residual (CMFR) Coding. We extract features from the target frame and the predicted features using neural networks. Then, we predict the mask and subtract the masked predicted features from the target features. Thereafter, the difference is fed into the encoder with the conditional information. Moreover, to more effectively remove conditional information from the target frame, we introduce a Scaled Feature Fusion (SFF) module. In addition, we introduce a Motion Refiner to enhance the quality of the decoded optical flow. Experimental results show that our model achieves an 11.76% bit saving over the model without the proposed methods, averaged over all HEVC test sequences, demonstrating the effectiveness of the proposed methods. Full article
Show Figures

Figure 1

15 pages, 12526 KB  
Article
Research on Registration Methods for Coupled Errors in Maneuvering Platforms
by Qiang Li, Ruidong Liu, Yalei Liu and Zhenzhong Wei
Entropy 2025, 27(6), 607; https://doi.org/10.3390/e27060607 - 6 Jun 2025
Viewed by 407
Abstract
The performance limitations of single-sensor systems in target tracking have led to the widespread adoption of multi-sensor fusion, which improves accuracy through information complementarity and redundancy. However, on mobile platforms, dynamic changes in sensor attitude and position introduce coupled measurement and attitude errors, [...] Read more.
The performance limitations of single-sensor systems in target tracking have led to the widespread adoption of multi-sensor fusion, which improves accuracy through information complementarity and redundancy. However, on mobile platforms, dynamic changes in sensor attitude and position introduce coupled measurement and attitude errors, making accurate sensor registration particularly challenging. Most existing methods either treat these errors independently or rely on simplified assumptions, which limit their effectiveness in dynamic environments. To address this, we propose a novel joint error estimation and registration method based on a pseudo-Kalman filter (PKF). The PKF constructs pseudo-measurements by subtracting outputs from multiple sensors, projecting them into a bias space that is independent of the target’s state. A decoupling mechanism is introduced to distinguish between measurement and attitude error components, enabling accurate joint estimation in real time. In the shipborne environment, simulation experiments on pitch, yaw, and roll motions were conducted using two sensors. This method was compared with least squares (LS), maximum likelihood (ML), and the standard method based on PKF. The results show that the method based on PKF has a lower root mean square error (RMSE), a faster convergence speed, and better estimation accuracy and robustness. The proposed approach provides a practical and scalable solution for sensor registration in dynamic environments, particularly in maritime or aerial applications where coupled errors are prevalent. Full article
(This article belongs to the Section Information Theory, Probability and Statistics)
Show Figures

Figure 1

26 pages, 8497 KB  
Article
Topology Optimization Study of a Refrigeration Block Manufactured with Powder Bed Fusion Selective Laser Melting
by Guido Servetti, Federico Valente, Jérôme Laurent and Jitendra Singh Rathore
J. Manuf. Mater. Process. 2025, 9(5), 164; https://doi.org/10.3390/jmmp9050164 - 19 May 2025
Viewed by 1000
Abstract
Powder bed fusion with a selective laser melting (SLM) process is a versatile technology that allows for the manufacturing of complex geometries and lightweight structures. A prototype of a redesigned refrigeration block is made with topology optimization, thereby demonstrating the capabilities and challenges [...] Read more.
Powder bed fusion with a selective laser melting (SLM) process is a versatile technology that allows for the manufacturing of complex geometries and lightweight structures. A prototype of a redesigned refrigeration block is made with topology optimization, thereby demonstrating the capabilities and challenges of this approach in terms of design and manufacturing. The geometry obtained was more efficient in terms of thermal performance with respect to the original design, and the simulation of the printing process indicated ways to reduce distortions. Moreover, a demonstrator was printed and measured through X-ray computed tomography (XCT) scanning, showing that the approach used was effective in terms of process parameters, technology used, and materials. In fact, it was found to have a low level of porosity, and although there were some differences in the dimensional comparison, such differences were lower in the areas where greater accuracy was required. The manufacturability was possible because of the appropriate choice of process parameters and the combination of the additive with subtractive manufacturing techniques, such as CNC milling. Overall, the methodology used proved effective for the purpose of the component in terms of thermal efficiency and weight reduction. Full article
Show Figures

Figure 1

22 pages, 5441 KB  
Article
High-Dimensional Attention Generative Adversarial Network Framework for Underwater Image Enhancement
by Shasha Tian, Adisorn Sirikham, Jessada Konpang and Chuyang Wang
Electronics 2025, 14(6), 1203; https://doi.org/10.3390/electronics14061203 - 19 Mar 2025
Viewed by 745
Abstract
In recent years, underwater image enhancement (UIE) processing technology has developed rapidly, and underwater optical imaging technology has shown great advantages in the intelligent operation of underwater robots. In underwater environments, light absorption and scattering often cause seabed images to be blurry and [...] Read more.
In recent years, underwater image enhancement (UIE) processing technology has developed rapidly, and underwater optical imaging technology has shown great advantages in the intelligent operation of underwater robots. In underwater environments, light absorption and scattering often cause seabed images to be blurry and distorted in color. Therefore, acquiring high-definition underwater imagery with superior quality holds essential significance for advancing the exploration and development of marine resources. In order to resolve the problems associated with chromatic aberration, insufficient exposure, and blurring in underwater images, a high-dimensional attention generative adversarial network framework for underwater image enhancement (HDAGAN) is proposed. The introduced method is composed of a generator and a discriminator. The generator comprises an encoder and a decoder. In the encoder, a channel attention residual module (CARM) is designed to capture both semantic features and contextual details from visual data, incorporating multi-scale feature extraction layers and multi-scale feature fusion layers. Furthermore, in the decoder, to refine the feature representation of latent vectors for detail recovery, a strengthen–operate–subtract module (SOSM) is introduced to strengthen the model’s capability to comprehend the picture’s geometric structure and semantic information. Additionally, in the discriminator, a multi-scale feature discrimination module (MFDM) is proposed, which aids in achieving more precise discrimination. Experimental findings demonstrate that the novel approach significantly outperforms state-of-the-art UIE techniques, delivering enhanced outcomes with higher visual appeal. Full article
(This article belongs to the Special Issue Artificial Intelligence in Graphics and Images)
Show Figures

Figure 1

18 pages, 4254 KB  
Article
Intracranial Aneurysm Segmentation with a Dual-Path Fusion Network
by Ke Wang, Yong Zhang and Bin Fang
Bioengineering 2025, 12(2), 185; https://doi.org/10.3390/bioengineering12020185 - 15 Feb 2025
Cited by 1 | Viewed by 1105
Abstract
Intracranial aneurysms (IAs), a significant medical concern due to their prevalence and life-threatening nature, pose challenges regarding diagnosis owing to their diminutive and variable morphology. There are currently challenges surrounding automating the segmentation of IAs, which is essential for diagnostic precision. Existing deep [...] Read more.
Intracranial aneurysms (IAs), a significant medical concern due to their prevalence and life-threatening nature, pose challenges regarding diagnosis owing to their diminutive and variable morphology. There are currently challenges surrounding automating the segmentation of IAs, which is essential for diagnostic precision. Existing deep learning methods in IAs segmentation tend to emphasize semantic features at the expense of detailed information, potentially compromising segmentation quality. Our research introduces the innovative Dual-Path Fusion Network (DPF-Net), an advanced deep learning architecture crafted to refine IAs segmentation by adeptly incorporating detailed information. DPF-Net, with its unique resolution-preserving detail branch, ensures minimal loss of detail during feature extraction, while its cross-fusion module effectively promotes the connection of semantic information and finer detail features, enhancing segmentation precision. The network also integrates a detail aggregation module for effective fusion of multi-scale detail features. A view fusion strategy is employed to address spatial disruptions in patch generation, thereby improving feature extraction efficiency. Evaluated on the CADA dataset, DPF-Net achieves a remarkable mean Dice similarity coefficient (DSC) of 0.8967, highlighting its potential in automated IAs diagnosis in clinical settings. Furthermore, DPF-Net’s outstanding performance on the BraTS 2020 MRI dataset for brain tumor segmentation with a mean DSC of 0.8535 further confirms its robustness and generalizability. Full article
(This article belongs to the Section Biosignal Processing)
Show Figures

Figure 1

21 pages, 6804 KB  
Article
Microscopic and Biomechanical Analysis of PEEK Interspinous Spacers for Spinal Fusion Applications
by Elliot Alonso Alcántara-Arreola, Aida Verónica Rodríguez-Tovas, José Alejandro Hernández-Benítez and Christopher René Torres-SanMiguel
Materials 2025, 18(3), 679; https://doi.org/10.3390/ma18030679 - 4 Feb 2025
Viewed by 989
Abstract
Spinal fusion is a surgical intervention used to join two or more vertebrae in the spine. An often-used method involves the placement of intervertebral spacers. They are commonly composed of biocompatible materials like polyetheretherketone. It has strength, longevity, and the capacity to interact [...] Read more.
Spinal fusion is a surgical intervention used to join two or more vertebrae in the spine. An often-used method involves the placement of intervertebral spacers. They are commonly composed of biocompatible materials like polyetheretherketone. It has strength, longevity, and the capacity to interact harmoniously with the human body. Standardized mechanical tests were performed on two distinct implants to assess their biomechanical characteristics. The studies were conducted at a velocity of 2 mm/min. The stopping criteria were determined based on the loads sustained by the 50th percentile. Furthermore, the chemical composition of the implants was assessed using Raman spectroscopy. The implant created via subtractive manufacturing has a significant change in its elastic region at a force of 1300 N, and it begins subsidence when vertebrae are subjected to a load of 1500 N. The integration of microscopic characterization techniques with the mechanical analysis of prostheses in numerous case studies facilitates the biomechanical evaluation of implants. Full article
Show Figures

Figure 1

24 pages, 12478 KB  
Article
A Novel Real-Time Autonomous Localization Algorithm Based on Weighted Loosely Coupled Visual–Inertial Data of the Velocity Layer
by Cheng Liu, Tao Wang, Zhi Li and Peng Tian
Appl. Sci. 2025, 15(2), 989; https://doi.org/10.3390/app15020989 - 20 Jan 2025
Cited by 3 | Viewed by 894
Abstract
IMUs (inertial measurement units) and cameras are widely utilized and combined to autonomously measure the motion states of mobile robots. This paper presents a loosely coupled algorithm for autonomous localization, the ICEKF (IMU-aided camera extended Kalman filter), for the weighted data fusion of [...] Read more.
IMUs (inertial measurement units) and cameras are widely utilized and combined to autonomously measure the motion states of mobile robots. This paper presents a loosely coupled algorithm for autonomous localization, the ICEKF (IMU-aided camera extended Kalman filter), for the weighted data fusion of the IMU and visual measurement. The algorithm fuses motion information on the velocity layer, thereby mitigating the excessive accumulation of IMU errors caused by direct subtraction on the positional layer after quadratic integration. Furthermore, by incorporating a weighting mechanism, the algorithm allows for a flexible adjustment of the emphasis placed on IMU data versus visual information, which augments the robustness and adaptability of autonomous motion estimation for robots. The simulation and dataset experiments demonstrate that the ICEKF can provide reliable estimates for robot motion trajectories. Full article
(This article belongs to the Section Robotics and Automation)
Show Figures

Figure 1

Back to TopTop