Analysis of 3D-Printed Zirconia Implant Overdenture Bars
Abstract
1. Introduction
2. Materials and Methods
- Cleaning after printing and removal from the build platform.
- Thermal processing via drying (preconditioning), debinding, and sintering.
- Measurement, visual inspection, and photography.
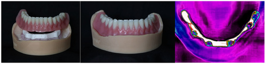
3. Results
- No binding and no issues with seating onto the implants.
- No detectable tactile discrepancies between the implant and bar.
- Radiographs indicated no discernible gap between the implants and bar.
- All bars could be torqued to approximately 15 N·cm without any issues.
4. Discussion
5. Conclusions
6. Patents
Author Contributions
Funding
Institutional Review Board Statement
Informed Consent Statement
Data Availability Statement
Acknowledgments
Conflicts of Interest
References
- Emami, E.; De Souza, R.F.; Kabawat, M.; Feine, J.S. The impact of edentulism on oral and general health. Int. J. Dent. 2013, 2013, 498305. [Google Scholar] [CrossRef]
- Asvanund, C.; Morgano, M.S. Restoration of unfavourably positioned implants for a partially edentulous patient by using an overdenture retained with a milled bar and attachments: A clinical report. J. Prosthet. Dent. 2004, 91, 6–10. [Google Scholar] [CrossRef]
- Jivray, S.; Chee, W. Rationale for dental implants. Br. Dent. J. 2006, 200, 661–665. [Google Scholar] [CrossRef]
- Galindo, D. The implant-supported milled-bar mandibular overdenture. J. Prosthodont. 2001, 10, 46–51. [Google Scholar] [CrossRef]
- Mosnegutu, A.; Wismeijer, D.; Geraets, W. Implant-supported mandibular bone resorption in edentulous patients: Results of a long-term radiologic evaluation. Int. J. Oral Maxillofac. Implants 2015, 30, 1378–1386. [Google Scholar] [CrossRef] [PubMed]
- Rismanchian, M.; Bajoghli, F.; Mostajeran, Z.; Fazel, A.; Eshkevari, P. Effect of implants on maximum bite force in edentulous patients. J. Oral Implantol. 2009, 35, 196–200. [Google Scholar] [CrossRef] [PubMed]
- De Kok, I.J.; Chang, K.H.; Lu, T.S.; Cooper, L.F. Comparison of three-implant supported fixed dentures and two-implant-retained overdentures in the edentulous mandible: A pilot study of treatment efficacy and patient satisfaction. Int. J. Oral Maxillofac. Implants 2011, 26, 415–426. [Google Scholar] [PubMed]
- MacEntee, M.I.; Walton, J.N.; Glick, N. A clinical trial of patient satisfaction and prosthodontic needs with ball and bar attachments for implant-retained complete overdentures: Three-year results. J. Prosthet. Dent. 2005, 93, 28–37. [Google Scholar] [CrossRef]
- Campos, C.H.; Concalves, T.M.S.V.; Garcia, R.C.M.R. Implant-supported removable partial denture improves the quality of life of patients with extreme tooth loss. Braz. Dent. J. 2015, 26, 463–467. [Google Scholar] [CrossRef]
- Domenica, L.; Lamazza, L.; Spink, M.J.; De Biase, A. Tissue-supported dental implant prosthesis (overdenture): The search for the ideal protocol. A literature review. Ann. Stomatol. 2012, 3, 2–10. [Google Scholar]
- Hebel, K.S.; Galindo, D.; Gajjar, R.C. Implant position record and implant position cast: Minimizing errors, procedures and patient visits in the fabrication of the milled-bar prosthesis. J. Prosthet. Dent. 2000, 83, 107–116. [Google Scholar] [CrossRef] [PubMed]
- Kalman, L. Implant supported milled bar overdenture. JIACD 2016, 8, 6–12. [Google Scholar]
- Bueno Samper, A.; Hernández Aliaga, M.; Calvo Guirado, J.L. The implant-supported milled bar overdenture: A literature review. Med. Oral Patol. Oral Cir. Bucal 2010, 15, e375-8. [Google Scholar] [CrossRef]
- Stanley, M.; Paz, A.; Miguel, I. Fully digital workflow, integrating dental scan, smile design and CAD-CAM: Case report. BMC Oral Health 2018, 18, 134. [Google Scholar] [CrossRef]
- Downs, J. The Real Cost of In-Office Milling. Available online: https://adentmag.com/the-real-cost-of-in-office-milling/ (accessed on 18 January 2019).
- Daewood, A.; Marti, B.; Sauret-Jackson, V. 3D printing in dentistry. Br. Dent. J. 2015, 219, 521–529. [Google Scholar] [CrossRef]
- Kalman, L.; Tribst, J.P.M. Quality Assessment and Comparison of 3D-Printed and Milled Zirconia Anterior Crowns and Veneers: In Vitro Pilot Study. Eur. J. Gen. Dent. 2024, 13, 81–89. [Google Scholar] [CrossRef]
- Nabil, M.S.; Mahanna, F.F.; Said, M.M. Evaluation of Masticatory Performance and Patient Satisfaction for Conventional and 3D-Printed Implant Overdentures: A Randomized Crossover Study. BMC Oral Health 2024, 24, 672. [Google Scholar] [CrossRef]
- Ragab, M.H.; El-Khashab, M.A.; Kaddah, A.F.T. Marginal Fit of Selective Laser Melting Cobalt-Chromium Bar Versus Cast Bar on Mandibular Edentulous Casts with Two Implants Supported Over Denture: An In Vitro Study. Ahram Can. Dent. J. 2025, 4, 27–43. [Google Scholar] [CrossRef]
- Kalman, L. 3D Fabrication Workflow: Solid & Lattice-Structured Titanium Alloy Dental Implant Overdenture Bars. Oral Health 2022, 112. Available online: https://www.oralhealthgroup.com/features/3d-fabrication-workflow-solid-lattice-structured-titanium-alloy-dental-implant-overdenture-bars/ (accessed on 18 June 2025).
- Kalman, L. Development of a Novel Dental Thermal Imaging Application. Med. Res. Innov. 2022, 6. [Google Scholar] [CrossRef]
- ASTM D6272-17e1; Standard Test Method for Flexural Properties of Unreinforced and Reinforced Plastics and Electrical Insulating Materials by Four-Point Bending. ASTM International: West Conshohocken, PA, USA, 2017.
- ASTM D618-21; Standard Practice for Conditioning Plastics for Testing. ASTM International: West Conshohocken, PA, USA, 2021.
- Beuer, F. Marginal and Internal Fit of Zirconia Based Fixed Dental Prostheses Fabricated with Different Concepts. Clin. Cosmet. Investig. Dent. 2010, 2, 5–11. [Google Scholar] [CrossRef] [PubMed]
- Tribst, J.P.M.; Dal Piva, A.M.D.O.; Borges, A.L.S.; Rodrigues, V.A.; Bottino, M.A.; Kleverlaan, C.J. Does the Prosthesis Weight Matter? 3D Finite Element Analysis of a Fixed Implant-Supported Prosthesis at Different Weights and Implant Numbers. J. Adv. Prosthodont. 2020, 12, 67. [Google Scholar] [CrossRef] [PubMed]
- Heboyan, A.; Lo Giudice, R.; Kalman, L.; Zafar, M.S.; Tribst, J.P.M. Stress Distribution Pattern in Zygomatic Implants Supporting Different Superstructure Materials. Materials 2022, 15, 4953. [Google Scholar] [CrossRef]
- Romanos, G.E.; Fischer, G.A.; Delgado-Ruiz, R. Titanium wear of dental implants from placement, under loading and maintenance protocols. Int. J. Mol. Sci. 2021, 22, 1067. [Google Scholar] [CrossRef]
- Delgado-Ruiz, R.; Romanos, G. Potential causes of titanium particle and ion release in implant dentistry: A systematic review. Int. J. Mol. Sci. 2018, 19, 3585. [Google Scholar] [CrossRef]
- Sheikh, Z.D.; Patel, A.; Eraldo, B. Dental Implant Failure and the Association with Proton Pump Inhibitors (PPIs) and Selective Serotonin Reuptake Inhibitors (SSRIs). 2022. Available online: https://www.oralhealthgroup.com/features/dental-implant-failure-and-the-association-with-proton-pump-inhibitors-ppis-and-selective-serotonin-reuptake-inhibitors-ssris/ (accessed on 18 June 2025).
- Siverino, C.; Freitag, L.; Arens, D.; Styger, U.; Richards, R.G.; Moriarty, T.F.; Stadelmann, V.A.; Thompson, K. Titanium Wear Particles Exacerbate S. epidermidis-Induced Implant-Related Osteolysis and Decrease Efficact of Antibiotic Therapy. Microorganisms 2021, 9, 1945. [Google Scholar] [CrossRef]
- Petrie, R.S.; Hanssen, A.D.; Osmon, D.R.; Illstrup, D. Metal-backed patellar component failure in total knee arthroplasty: A possible risk for late infection. Am. J. Orthop. 1998, 27, 172–176. [Google Scholar]
- Chisari, E.; Magnuson, J.A.; Ong, C.B.; Parvizi, J.; Krueger, C.A. Ceramic-onpolyethylene hip arthroplasty reduces the risk of postoperative periprosthetic joint infection. J. Orthop. Res. 2021, 40, 2133–2138. [Google Scholar] [CrossRef]
- Bjørklund, G.; Dadar, M.; Aaseth, J. Delayed-type hypersensitivity to metals in connective tissue decreases and fibromyalgia. Environ. Res. 2018, 161, 573–579. [Google Scholar] [CrossRef]
- Liow, M.H.L.; Kwon, Y.M. Metal-on-metal total hip arthroplasty: Risk factors for pseudotumours and clinical systematic evaluation. Int. Orthop. 2017, 41, 885–892. [Google Scholar] [CrossRef]
- Campbell, P.; Ebramzadeh, E.; Nelson, S.; Takamura, K.; De Smet, K.; Amstutz, H.C. Histological Features of Pseudotumor-like Tissues From Metal-on-Metal Hips. Clin. Orthop. Relat. Res. 2010, 468, 2321–2327. [Google Scholar] [CrossRef]
- Mahendra, G.; Pandit, H.; Kliskey, K.; Murray, D.; Gill, H.S.; Athanasou, N. Necrotic and inflammatory changes in metal-on-metal resurfacing hip arthroplasties. Acta Orthop. 2009, 80, 653–659. [Google Scholar] [CrossRef] [PubMed]
- Xia, Z.; Kwon, Y.M.; Mehmood, S.; Downing, C.; Jurkschat, K.; Murray, D.W. Characterization of metal-wear nanoparticles in pseudotumor following metal-on-metal hip resurfacing. Nanomed. Nanotechnol. Biol. Med. 2011, 7, 674–681. [Google Scholar] [CrossRef] [PubMed]
- Rainey, J.P.; Gililland, J.M.; Peters, C.L.; Archibeck, M.J.; Anderson, L.A.; Pelt, C.E. Metallosis and Corrosion Associated With Revision Total Knee Arthroplasties with Metaphyseal Sleeves. Arthroplast. Today 2023, 22, 101167. [Google Scholar] [CrossRef] [PubMed]
- Nagay, B.E.; Cordeiro, J.M.; Barao, V.A. Insight into corrosion of dental implants: From biochemical mechanisms to designing corrosion-resistant materials. Curr. Oral Health Rep. 2022, 9, 7–21. [Google Scholar] [CrossRef]
- Swaroop, A.K. Can titanium material for dental implants cause allergy? iCliniq. 2024. Available online: https://www.icliniq.com/articles/dental-oral-health/allergy-and-titanium-dental-implants (accessed on 18 June 2025).
- Lu, Y.; van Steenoven, A.; Dal Piva, A.M.D.O.; Tribst, J.P.M.; Wang, L.; Kleverlaan, C.J.; Feilzer, A.J. Additive-Manufactured Ceramics for Dental Restorations: A Systematic Review on Mechanical Perspective. Front. Dent. Med. 2025, 6, 1512887. [Google Scholar] [CrossRef]
- Mielle, P.; Tarrega, A.; Sémon, E.; Maratray, J.; Gorria, P.; Liodenot, J.J.; Liaboeuf, J.; Andrejewski, J.-L.; Salles, C. From Human to Artificial Mouth, from Basics to Results. Sens. Actuators B Chem. 2010, 146, 440–445. [Google Scholar] [CrossRef]
- Lughi, V.; Sergo, V. Low Temperature Degradation-Aging-of Zirconia: A Critical Review of the Relevant Aspects in Dentistry. Dent. Mater. 2010, 26, 807–820. [Google Scholar] [CrossRef]
- Cobos, S.F.; Norley, C.J.; Pollmann, S.I.; Holdsworth, D.W. Cost-Effective Micro-CT System for Non-Destructive Testing of Titanium 3D Printed Medical Components. PLoS ONE 2022, 17, e0275732. [Google Scholar] [CrossRef]
- Bakhsh, T.A.; Alfaifi, A.; Alghamdi, Y.; Nassar, M.; Abuljadyel, R.A. Thermal Sensing of Photo-Activated Dental Resin Composites Using Infrared Thermography. Polymers 2023, 15, 4117. [Google Scholar] [CrossRef]
- Rezende, C.E.E.; Borges, A.F.S.; Macedo, R.M.; Rubo, J.H.; Griggs, J.A. Dimensional Changes from the Sintering Process and Fit of Y-TZP Copings: Micro-CT Analysis. Dent. Mater. 2017, 33, e405–e413. [Google Scholar] [CrossRef]















| Sample ID | Max Load (kN)—Test 1 | Max Load (kN)—Test 2 | Average (kN) | Standard Deviation (kN) |
|---|---|---|---|---|
| U52-0906 | 1.41 | 1.06 | 1.24 | 0.243 |
| U52-0946 | 1.13 | 1.48 | 1.30 | 0.244 |
| U52-0947 | 1.04 | 1.30 | 1.17 | 0.184 |
| U52-0948 | 1.06 | 1.02 | 1.04 | 0.030 |
| U52-0949 | 0.903 | — | — | — |
| U52-0950 | 0.930 | 0.914 | 0.922 | 0.011 |
| Sample ID | Max Load (kN)—Test 1 | Max Load (kN)—Test 2 | Average (kN) | Standard Deviation (kN) |
|---|---|---|---|---|
| U52-0907 | 1.07 | — | — | — |
| U52-0951 | 1.01 | 0.796 | 0.901 | 0.150 |
| U52-0952 | 1.07 | 1.62 | 1.35 | 0.392 |
| Sample | M | SD |
|---|---|---|
| AM Zirconia Lattice Max Load (kN) | 1.11320 | 0.304895 |
| AM Zirconia Solid Samples Max Load (kN) | 1.22400 | 0.205985 |
| Solid Bar | Weight (g) |
|---|---|
| 1 | 8.33 |
| 2 | 8.00 |
| 3 | 7.67 |
| 4 | 8.00 |
| 5 | 7.67 |
| 6 | 7.67 |
| 7 | 8.00 |
| 8 | 8.33 |
| 9 | 7.67 |
| 10 | 8.00 |
| 11 | 8.33 |
| 12 | 8.67 |
| Average and standard deviation | 8.03 ± 0.345 |
| Lattice Bar | Weight (g) |
| 1 | 6.67 |
| 2 | 7.00 |
| 3 | 7.00 |
| 4 | 7.00 |
| 5 | 7.00 |
| Average and standard deviation | 6.93 ± 0.148 |
Disclaimer/Publisher’s Note: The statements, opinions and data contained in all publications are solely those of the individual author(s) and contributor(s) and not of MDPI and/or the editor(s). MDPI and/or the editor(s) disclaim responsibility for any injury to people or property resulting from any ideas, methods, instructions or products referred to in the content. |
© 2025 by the authors. Licensee MDPI, Basel, Switzerland. This article is an open access article distributed under the terms and conditions of the Creative Commons Attribution (CC BY) license (https://creativecommons.org/licenses/by/4.0/).
Share and Cite
Kalman, L.; Tribst, J.P.M. Analysis of 3D-Printed Zirconia Implant Overdenture Bars. Appl. Sci. 2025, 15, 8751. https://doi.org/10.3390/app15158751
Kalman L, Tribst JPM. Analysis of 3D-Printed Zirconia Implant Overdenture Bars. Applied Sciences. 2025; 15(15):8751. https://doi.org/10.3390/app15158751
Chicago/Turabian StyleKalman, Les, and João Paulo Mendes Tribst. 2025. "Analysis of 3D-Printed Zirconia Implant Overdenture Bars" Applied Sciences 15, no. 15: 8751. https://doi.org/10.3390/app15158751
APA StyleKalman, L., & Tribst, J. P. M. (2025). Analysis of 3D-Printed Zirconia Implant Overdenture Bars. Applied Sciences, 15(15), 8751. https://doi.org/10.3390/app15158751

