Sign in to use this feature.

Years

Between: -

Subjects

remove_circle_outline
remove_circle_outline
remove_circle_outline
remove_circle_outline
remove_circle_outline
remove_circle_outline

Journals

remove_circle_outline
remove_circle_outline
remove_circle_outline
remove_circle_outline
remove_circle_outline
remove_circle_outline
remove_circle_outline
remove_circle_outline
remove_circle_outline
remove_circle_outline

Article Types

Countries / Regions

remove_circle_outline
remove_circle_outline
remove_circle_outline
remove_circle_outline
remove_circle_outline

Search Results (600)

Search Parameters:
Keywords = sodium–glucose cotransporter-2 (SGLT2) inhibitors

Order results
Result details
Results per page
Select all
Export citation of selected articles as:
17 pages, 3371 KB  
Article
Simultaneous Quantitative Analysis of Polymorphic Impurities in Canagliflozin Tablets Utilizing Near-Infrared Spectroscopy and Partial Least Squares Regression
by Mingdi Liu, Rui Fu, Guiyu Xu, Weibing Dong, Huizhi Qi, Peiran Dong and Ping Song
Molecules 2026, 31(2), 230; https://doi.org/10.3390/molecules31020230 - 9 Jan 2026
Abstract
Canagliflozin (CFZ), a sodium–glucose cotransporter 2 (SGLT2) inhibitor, is extensively utilized in the management of type 2 diabetes. Among its various polymorphic forms, the hemi-hydrate (Hemi-CFZ) has been selected as the active pharmaceutical ingredient (API) for CFZ tablets due to its superior solubility. [...] Read more.
Canagliflozin (CFZ), a sodium–glucose cotransporter 2 (SGLT2) inhibitor, is extensively utilized in the management of type 2 diabetes. Among its various polymorphic forms, the hemi-hydrate (Hemi-CFZ) has been selected as the active pharmaceutical ingredient (API) for CFZ tablets due to its superior solubility. However, during the production, storage, and transportation of CFZ tablets, Hemi-CFZ can undergo transformations into anhydrous (An-CFZ) and monohydrate (Mono-CFZ) forms under the influence of environmental factors such as temperature, humidity, and pressure, which may adversely impact the bioavailability and clinical efficacy of CFZ tablets. Therefore, it is imperative to develop rapid, accurate, non-destructive, and non-contact methods for quantifying An-CFZ and Mono-CFZ content in CFZ tablets to control polymorphic impurity levels and ensure product quality. This research evaluated the feasibility and reliability of using near-infrared spectroscopy (NIR) combined with partial least squares regression (PLSR) for simultaneous quantitative analysis of An-CFZ and Mono-CFZ in CFZ tablets, elucidating the quantifying mechanisms of the quantitative analysis model. Orthogonal experiments were designed to investigate the effects of different pretreatment methods and ant colony optimization (ACO) algorithms on the performance of quantitative models. An optimal PLSR model for simultaneous quantification of An-CFZ and Mono-CFZ in CFZ tablets was established and validated over a concentration range of 0.0000 to 10.0000 w/w%. The resulting model, YAn-CFZ/Mono-CFZ = 0.0207 + 0.9919 X, achieved an R2 value of 0.9919. By analyzing the relationship between the NIR spectral signals selected by the ACO algorithm and the molecular structure information of An-CFZ and Mono-CFZ, we demonstrated the feasibility and reliability of the NIR-PLSR approach for quantifying these polymorphic forms. Additionally, the mechanism of PLSR quantitative analysis was further explained through the variance contribution rates of latent variables (LVs), the correlations between LVs loadings and tablets composition, and the relationships between LV scores and An-CFZ/Mono-CFZ content. This study not only provides a robust method and theoretical foundation for monitoring An-CFZ and Mono-CFZ content in CFZ tablets throughout production, processing, storage, and transportation, but also offers a reliable methodological reference for the simultaneous quantitative analysis and quality control of multiple polymorphic impurities in other similar drugs. Full article
Show Figures

Figure 1

27 pages, 2457 KB  
Article
Agent- and Dose-Specific Intestinal Obstruction Safety of GLP-1 Receptor Agonists and SGLT2 Inhibitors: A Network Meta-Analysis of Randomized Trials
by Jiann-Jy Chen, Chih-Wei Hsu, Chao-Ming Hung, Mein-Woei Suen, Hung-Yu Wang, Wei-Chieh Yang, Brendon Stubbs, Yen-Wen Chen, Tien-Yu Chen, Wei-Te Lei, Andre F. Carvalho, Shih-Pin Hsu, Yow-Ling Shiue, Bing-Yan Zeng, Cheng-Ta Li, Kuan-Pin Su, Chih-Sung Liang, Bing-Syuan Zeng and Ping-Tao Tseng
Int. J. Mol. Sci. 2026, 27(2), 608; https://doi.org/10.3390/ijms27020608 - 7 Jan 2026
Viewed by 91
Abstract
Glucagon-like peptide-1 (GLP-1) receptor agonists and sodium–glucose cotransporter-2 (SGLT2) inhibitors have reshaped pharmacological management of type 2 diabetes, but emerging safety signals suggest a possible association with intestinal obstruction. Because many candidates for these agents already harbor risk factors for ileus and bowel [...] Read more.
Glucagon-like peptide-1 (GLP-1) receptor agonists and sodium–glucose cotransporter-2 (SGLT2) inhibitors have reshaped pharmacological management of type 2 diabetes, but emerging safety signals suggest a possible association with intestinal obstruction. Because many candidates for these agents already harbor risk factors for ileus and bowel obstruction, clarifying agent- and dose-specific gastrointestinal safety is clinically important. We aimed to re-evaluate the risk of intestinal obstruction across individual GLP-1 receptor agonists and SGLT2 inhibitors, with particular attention to dose stratification. We systematically searched eight databases through 21 January 2025 to identify randomized controlled trials (RCTs) comparing GLP-1 receptor agonists or SGLT2 inhibitors with placebo or active comparators in adults. The primary outcome was incident intestinal obstruction (small or large bowel). A frequentist random-effects network meta-analysis estimated odds ratios (ORs) with 95% confidence intervals (CIs) across drugs and dose tiers; Bayesian models and surface under the cumulative ranking (SUCRA) metrics were used for sensitivity analyses and treatment ranking. Risk of bias and certainty of evidence were assessed with standard Cochrane and GRADE-adapted tools. Fifty RCTs (47 publications; 192,359 participants) met inclusion criteria. Overall, canagliflozin use was associated with a higher incidence of intestinal obstruction than control therapies (OR 2.56, 95% CI 1.01–6.49), corresponding to an absolute risk difference of 0.15% and a number needed to harm of 658. High-dose canagliflozin (300 mg/day) showed the clearest signal (OR 3.42, 95% CI 1.08–10.76). In contrast, liraglutide was associated with a lower risk of intestinal obstruction (OR 0.44, 95% CI 0.24–0.81), with an absolute risk reduction of 0.34% and a number needed to treat of 295. No other GLP-1 receptor agonist or SGLT2 inhibitor demonstrated a statistically significant increase in obstruction risk. Frequentist and Bayesian analyses yielded concordant estimates and rankings. From a randomized-trial perspective, intestinal obstruction risk is not elevated for most GLP-1 receptor agonists and SGLT2 inhibitors. A dose-dependent safety signal was observed only for high-dose canagliflozin, whereas liraglutide may confer a protective effect. These findings refine gastrointestinal safety profiles for modern antidiabetic agents and may inform perioperative bowel management, drug selection, and dose optimization in patients at risk for ileus or adhesive obstruction. Full article
(This article belongs to the Special Issue Targeted Peptide Drugs for Metabolic Diseases)
Show Figures

Figure 1

13 pages, 1711 KB  
Review
Chronic Kidney Disease in Metabolic Disease: Regulation of SGLT2 and Transcriptomic–Epigenetic Effects of Its Pharmacological Inhibition
by Chiara Salvà, Susanne Kaser and Matteo Landolfo
Int. J. Mol. Sci. 2026, 27(2), 589; https://doi.org/10.3390/ijms27020589 - 6 Jan 2026
Viewed by 105
Abstract
Sodium–glucose cotransporter 2 inhibitors (SGLT2is) have revolutionized the management of type 2 diabetes mellitus, heart failure, and chronic kidney disease (CKD), providing cardiorenal and metabolic benefits that extend beyond glycemic control. While their clinical efficacy is well established, the underlying molecular mechanisms remain [...] Read more.
Sodium–glucose cotransporter 2 inhibitors (SGLT2is) have revolutionized the management of type 2 diabetes mellitus, heart failure, and chronic kidney disease (CKD), providing cardiorenal and metabolic benefits that extend beyond glycemic control. While their clinical efficacy is well established, the underlying molecular mechanisms remain only partially understood. This review focuses on current knowledge of SGLT2 expression and regulation in health and metabolic diseases, as well as transcriptional and epigenetic consequences of pharmacological SGLT2 inhibition. Human and experimental studies demonstrate that SGLT2 expression is confined to proximal tubular cells and regulated by insulin, the renin–angiotensin–aldosterone system, the sympathetic nervous system, oxidative stress, and transcriptional and epigenetic pathways. SGLT2 expression follows a biphasic pattern in metabolic disorder-associated CKD: upregulation in early phases and reduction in advanced stages. Evidence from animal models and single-cell transcriptomic studies indicates that SGLT2is normalize metabolic and inflammatory gene networks. To our knowledge, a recent single-cell RNA sequencing study provides the only currently available human dataset linking SGLT2i therapy with tubular metabolic rewiring and suppression of the energy-sensitive mechanistic target of rapamycin complex 1. Collectively, these findings support a model in which SGLT2 inhibition mitigates metabolic stress by restoring energy homeostasis across multiple nephron segments. Full article
Show Figures

Figure 1

15 pages, 2067 KB  
Review
From Glucose Transport to Microbial Modulation: The Impact of Sodium Glucose Co-Transporter-2 Inhibitors on the Gut Microbiota
by Mina Y. George, Nada K. Gamal, Kerolos Safwat, Mohamed Mamdouh, Ahmed AbdElFatah, Abdelrahman Atallah and Claudio Cerchione
Med. Sci. 2026, 14(1), 22; https://doi.org/10.3390/medsci14010022 - 3 Jan 2026
Viewed by 216
Abstract
Background: Sodium glucose co-transporter-2 (SGLT-2) inhibitors are antihyperglycemic drugs used in type 2 diabetes mellitus management, and they have associated cardiovascular and renal advantages beyond their glucose-lowering effects, with maintained proof linking gut microbiota modulation to their multiple therapeutic benefits. Aim: This review [...] Read more.
Background: Sodium glucose co-transporter-2 (SGLT-2) inhibitors are antihyperglycemic drugs used in type 2 diabetes mellitus management, and they have associated cardiovascular and renal advantages beyond their glucose-lowering effects, with maintained proof linking gut microbiota modulation to their multiple therapeutic benefits. Aim: This review aims to deliver an overview of the current knowledge regarding the relationship between SGLT-2 inhibitors and the gut microbiota and how this interplay impacts the gut–organ axes such as the lung, heart, brain, liver, and hematological system. Methodology: A literature review was performed in Web of Science, PubMed, and Google Scholar to discover studies that assessed the effects of SGLT-2 inhibitors on gut microbiota composition, microbial metabolites, and associated systemic consequences. Results: SGLT-2 inhibitors modulate gut microbiota and its driven metabolites, strengthening the barrier integrity and alleviating endotoxemia, inflammation, and oxidative stress, resulting in beneficial outcomes across the different gut–organ axes. Conclusion: Gut microbiota modulation is an emerging approach in mediating the multifaceted beneficial impacts of SGLT-2 inhibitors, revealing that their effectiveness goes beyond glycemic control. Future research should concentrate on the microbial taxa and metabolites that mediate these impacts and testing combination approaches that target SGLT-2 pathways and gut microbiota to enhance preservation of different organs. Full article
Show Figures

Figure 1

29 pages, 1168 KB  
Review
Dual Inhibition of the Renin–Angiotensin–Aldosterone System and Sodium–Glucose Cotransporter-2: Mechanistic and Clinical Evidence for Cardiorenal Protection
by Reem F. M. Aazar, Rayan Arzouni and Persoulla A. Nicolaou
Biomedicines 2026, 14(1), 101; https://doi.org/10.3390/biomedicines14010101 - 3 Jan 2026
Viewed by 394
Abstract
Overactivation of the renin–angiotensin–aldosterone system (RAAS) promotes haemodynamic overload, inflammation, and fibrosis in the heart and kidneys. Recently, sodium–glucose cotransporter-2 (SGLT2) inhibitors have emerged as a cornerstone therapy in cardiorenal protection. Emerging data indicate that adding SGLT2 inhibitors to angiotensin-converting enzyme (ACE) inhibitors, [...] Read more.
Overactivation of the renin–angiotensin–aldosterone system (RAAS) promotes haemodynamic overload, inflammation, and fibrosis in the heart and kidneys. Recently, sodium–glucose cotransporter-2 (SGLT2) inhibitors have emerged as a cornerstone therapy in cardiorenal protection. Emerging data indicate that adding SGLT2 inhibitors to angiotensin-converting enzyme (ACE) inhibitors, angiotensin receptor blockers, mineralocorticoid receptor antagonists, or angiotensin receptor–neprilysin inhibitors confers additional cardiorenal protection, yet their mechanistic basis and optimal clinical use in cardiovascular (CV) disease remain unclear. This review will integrate pre-clinical and clinical evidence on dual RAAS/SGLT2 modulation in CV disease, providing mechanistic insight into dual therapy. The review will finally outline priorities for future translational and outcome studies. Clinically, adding SGLT2 inhibitors to RAAS-based therapy reduces heart failure hospitalizations and slows kidney disease progression without new safety liabilities in type 2 diabetes, heart failure, and chronic kidney disease. Mechanistically, SGLT2 inhibition restores tubuloglomerular feedback and constricts the afferent arteriole; RAAS blockade dilates the efferent arteriole, and together, they lower intraglomerular pressure. Both classes also reduce oxidative stress, inflammatory signalling, and pro-fibrotic pathways, with SGLT2 inhibitors in several settings shifting RAAS balance toward the protective ACE2/angiotensin-(1–7)/Mas receptor axis. Key gaps include the scarcity of adequately powered trials designed to test combination therapy versus either component alone, limited evidence on timing and sequencing, incomplete characterization in high-risk groups, and mechanistic insight limited by study design in animal and cell models. Collectively, current data support layering SGLT2 inhibitors onto RAAS-based therapy, while definitive evidence from dedicated clinical trials is awaited. Full article
(This article belongs to the Special Issue Renin-Angiotensin System in Cardiovascular Biology, 2nd Edition)
Show Figures

Figure 1

13 pages, 490 KB  
Article
Prevalence Rate of Adverse Drug Reactions from Sodium-Glucose Cotransporter-2 Inhibitors: A Retrospective Cohort Study
by Pichitra Srimaya, Tossapol Warong, Sudarat Kingdang, Titawadee Pradubkham and Wiraphol Phimarn
Pharmacoepidemiology 2026, 5(1), 2; https://doi.org/10.3390/pharma5010002 - 31 Dec 2025
Viewed by 198
Abstract
Background/Objectives: Sodium-glucose cotransporter-2 (SGLT2) inhibitors are widely used in type 2 diabetes mellitus for glycemic control and cardiovascular–renal protection, but adverse effects such as acute kidney injury (AKI), urinary tract infection (UTI), euglycemic diabetic ketoacidosis (Eu-DKA), and acute pancreatitis remain concerns. We [...] Read more.
Background/Objectives: Sodium-glucose cotransporter-2 (SGLT2) inhibitors are widely used in type 2 diabetes mellitus for glycemic control and cardiovascular–renal protection, but adverse effects such as acute kidney injury (AKI), urinary tract infection (UTI), euglycemic diabetic ketoacidosis (Eu-DKA), and acute pancreatitis remain concerns. We aimed to determine the prevalence of adverse drug reactions (ADRs) associated with SGLT2 inhibitor use. Methods: This retrospective study assessed the prevalence of these adverse events and identified factors associated with UTI among SGLT2 inhibitor users at Suddhavej Hospital (1 January 2019–15 August 2023). Data were extracted from the hospital electronic medical record system (BMS-HOSxP). Results: We analyzed 293 patients (59.73% male; mean age 63.08 ± 0.667 years; 62.08% aged >60). Dapagliflozin had the highest prevalence of AKI (11.42%) and UTI (13.40%). No acute pancreatitis cases were reported. Logistic regression identified female sex (odds ratios [OR] 2.31, 95% confidence intervals [CI] 1.08–4.96; p = 0.032), AKI diagnosis (OR 3.31, 95% CI 1.10–9.89; p = 0.032), age ≥ 60 years (OR 2.78, 95% CI 1.09–7.09; p = 0.033), and SGLT2 inhibitor use <6 months (OR 5.78, 95% CI 2.74–14.18; p = 0.017) as significant risk factors for UTI. Conclusions: Dapagliflozin was associated with the highest prevalence of AKI and UTIs. Female sex, AKI diagnosis, age ≥ 60 years, and SGLT2 inhibitor use <6 months were significant risk factors for UTI among SGLT2 inhibitor users. Full article
Show Figures

Figure 1

14 pages, 668 KB  
Review
Prevention and Management of Heart Failure Associated with Type 2 Diabetics in Rural Australia
by Allen G. Ross, Utpal K. Mondal, Shakeel Mahmood, Feleke H. Astawesegn, Anayochukwu E. Anyasodor, M. Mamun Huda, Subash Thapa, Setognal B. Aychiluhm, Santosh Giri, Md. Ferdous Rahman, Muhammad J. A. Shiddiky, Mohammad Ali Moni and Kedir Y. Ahmed
J. Clin. Med. 2026, 15(1), 304; https://doi.org/10.3390/jcm15010304 - 31 Dec 2025
Viewed by 213
Abstract
Background: Heart failure (HF) patients with a ‘reduced’ ejection fraction (HFrEF) have several proven treatment options, but for those with a ‘preserved’ ejection fraction (HFpEF) there are very few. However, recent trials such as the EMPEROR-Preserved and DELIVER have shown that sodium-glucose cotransporter [...] Read more.
Background: Heart failure (HF) patients with a ‘reduced’ ejection fraction (HFrEF) have several proven treatment options, but for those with a ‘preserved’ ejection fraction (HFpEF) there are very few. However, recent trials such as the EMPEROR-Preserved and DELIVER have shown that sodium-glucose cotransporter 2 (SGLT2) inhibitors significantly reduce HF hospitalization in HFpEF patients, and these are now supported by both Australian and international guidelines. Methods: We undertook a narrative review using a structured multi-database search (MEDLINE, Embase, CINAHL, Scopus) and key Australian sources (AIHW, ABS, Department of Health and Aged Care) without geographic or publication-year restrictions. Results: In Australia there were approximately 179,000 hospitalizations in 2020–2021 due to HF equating to a rate of 697 per 100,000 population. The age-standardized hospitalization rate for HF in remote and very remote areas was 1.8 times higher than in major cities. Likewise, since 2000 the prevalence of diabetes has nearly tripled, from 460,000 to 1.3 million. In remote areas, there were 47,600 diabetes hospitalizations in 2021–2022, with residents being 2.5 times more likely to be hospitalized for diabetes compared to those in major cities. Conclusions: In rural Australia, reducing preventable hospitalizations and premature mortality from heart failure and type 2 diabetes requires a stronger rural generalist and general practitioner workforce, improved access to essential medicines and telehealth, and equity-focused evaluation. Full article
(This article belongs to the Section Epidemiology & Public Health)
Show Figures

Figure 1

20 pages, 613 KB  
Review
Next-Generation SGLT2 Inhibitors: Innovations and Clinical Perspectives
by Dana Movila, Daniel Duda Seiman and Simona Ruxanda Dragan
Biomedicines 2026, 14(1), 81; https://doi.org/10.3390/biomedicines14010081 - 30 Dec 2025
Viewed by 1027
Abstract
Sodium–glucose cotransporter 2 (SGLT2) inhibitors have substantially reshaped the management of type 2 diabetes mellitus (T2DM), owing not only to their glucose-lowering properties but also to their consistent cardiovascular and renal protective effects. Beyond their initial metabolic indication, these agents have emerged as [...] Read more.
Sodium–glucose cotransporter 2 (SGLT2) inhibitors have substantially reshaped the management of type 2 diabetes mellitus (T2DM), owing not only to their glucose-lowering properties but also to their consistent cardiovascular and renal protective effects. Beyond their initial metabolic indication, these agents have emerged as disease-modifying therapies across a broad spectrum of cardiometabolic and renal conditions. Building on the clinical success of first-generation SGLT2 inhibitors, such as empagliflozin and dapagliflozin, next-generation SGLT2-based therapies have been developed with the aim of refining pharmacological selectivity, optimizing pharmacokinetic profiles, and expanding therapeutic applicability beyond diabetes. These innovations include dual SGLT1/SGLT2 inhibition, alternative dosing strategies, and molecular designs tailored to specific clinical phenotypes, such as heart failure with preserved ejection fraction (HFpEF) and chronic kidney disease (CKD). This narrative review critically evaluates the evolving landscape of next-generation SGLT2 inhibitors, with a focus on structural and pharmacokinetic innovations, transporter selectivity, glucose-independent mechanisms, and emerging clinical implications. A comprehensive literature search was conducted using PubMed/MEDLINE, Scopus, and Web of Science, encompassing publications from inception to March 2025. Eligible sources included randomized clinical trials, observational studies, meta-analyses, and authoritative reviews published in English. Available evidence indicates that, while conventional SGLT2 inhibitors confer robust and reproducible cardiorenal benefits, newer agents may further extend therapeutic potential through incretin-related effects, modulation of extra-renal pathways, and disease-specific cardiac and renal mechanisms. Nevertheless, evidence supporting incremental clinical benefit beyond established SGLT2 inhibitors remains limited and heterogeneous, particularly for recently developed compounds. Overall safety profiles appear broadly consistent within the class, although long-term data for next-generation agents are still evolving. Key limitations of the current evidence base include reliance on emerging or indirect mechanistic data, heterogeneity in study populations and clinical endpoints, and the relative scarcity of large, outcome-driven trials for newer SGLT2-based therapies. Future research should prioritize mechanism-driven clinical trials, precision-oriented patient stratification, and head-to-head comparative studies to more clearly define the role of next-generation SGLT2 inhibitors in cardiovascular, renal, and metabolic disease management. Full article
Show Figures

Graphical abstract

13 pages, 1031 KB  
Article
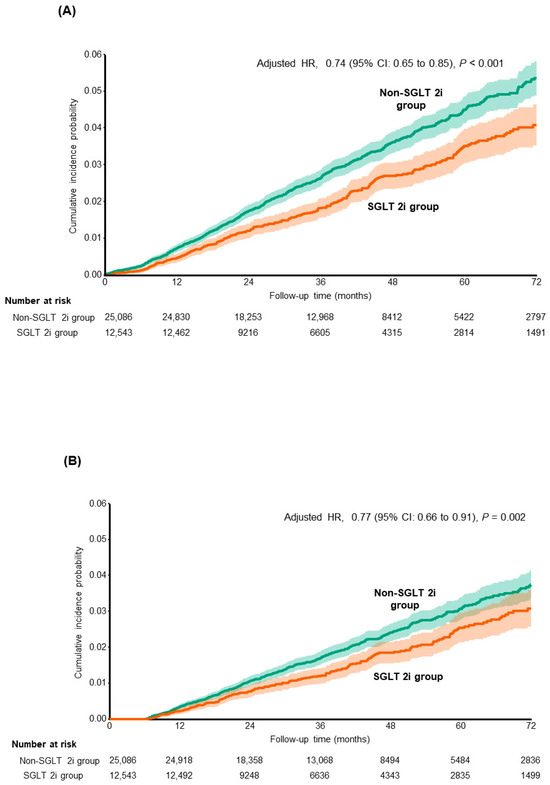
Association Between SGLT2 Inhibitor Use and Reduced Risk of Liver-Related Events, Including Hepatocellular Carcinoma, in Diabetic Patients with Viral Hepatitis: A Nationwide Cohort Study
by Seong Hee Kang, Jimi Choi, Hyung Joon Yim, Young Kul Jung, Sun Young Yim, Young-Sun Lee, Yeon Seok Seo, Ji Hoon Kim, Jong Eun Yeon and Kwan Soo Byun
Cancers 2026, 18(1), 120; https://doi.org/10.3390/cancers18010120 - 30 Dec 2025
Viewed by 231
Abstract
Background and Aims: Diabetes mellitus and chronic hepatitis B/C infection are risk factors for liver cirrhosis and hepatocellular carcinoma (HCC). This study aimed to evaluate whether sodium-glucose cotransporter-2 inhibitors (SGLT2i) improved liver-related outcomes in patients with chronic viral hepatitis and co-existing diabetes. [...] Read more.
Background and Aims: Diabetes mellitus and chronic hepatitis B/C infection are risk factors for liver cirrhosis and hepatocellular carcinoma (HCC). This study aimed to evaluate whether sodium-glucose cotransporter-2 inhibitors (SGLT2i) improved liver-related outcomes in patients with chronic viral hepatitis and co-existing diabetes. Methods: Using data from the Korean nationwide cohort, this study included 37,629 patients with concurrent diabetes and chronic hepatitis B/C infection, without prior HCC, who were treated with oral hypoglycemic agents. Patients who were treated with SGLT2is for over 90 days were allocated to the SGLT2i group, whereas those who never received SGLT2is comprised the non-SGLT2i group. The primary outcome was the occurrence of liver-related events, including HCC. Results: After 1:2 propensity score matching, the SGLT2i group comprised 12,543 patients (chronic hepatitis B, CHB: n = 9392; chronic hepatitis C, CHC: n = 4300, CHB & CHC: n = 1149), while the non-SGLT2i group included 25,086 patients (CHB: n = 18,806; CHC: n = 8553, CHB & CHC: 2273). The incidence rate of composite liver-related complications was lower in the SGLT2i group than that in the non-SGLT2i group (6.67 per 1000 vs. 8.99 per 1000). Moreover, SGLT2i therapy was associated with a reduced risk of HCC development (subdistribution hazard ratio [sHR] = 0.77, 95% confidence interval [CI] = 0.66–0.91; p = 0.002) and developing cirrhosis (sHR = 0.67, 95% CI = 0.54–0.83; p < 0.001). Conclusions: SGLT2is should be considered a therapeutic option for controlling diabetes, reducing the metabolic burden, and improving liver outcomes in patients with concurrent diabetes and chronic viral hepatitis. Full article
Show Figures

Figure 1

6 pages, 179 KB  
Editorial
From Molecules to Medicine: Deciphering Obesity and Lipid Metabolism for Translational Insights
by Sandeep Kumar and Abhishek Gupta
Biomedicines 2026, 14(1), 68; https://doi.org/10.3390/biomedicines14010068 - 29 Dec 2025
Viewed by 248
Abstract
Obesity, type 2 diabetes (T2D), and insulin resistance are pervasive metabolic disorders marked by chronic low-grade inflammation and systemic metabolic disorders. The emerging field of immunometabolism highlights how interactions between immune processes and metabolic pathways in adipose tissue, liver, muscle, and pancreatic islets [...] Read more.
Obesity, type 2 diabetes (T2D), and insulin resistance are pervasive metabolic disorders marked by chronic low-grade inflammation and systemic metabolic disorders. The emerging field of immunometabolism highlights how interactions between immune processes and metabolic pathways in adipose tissue, liver, muscle, and pancreatic islets contribute to disease pathogenesis. Lipid dysregulation plays a central role in these processes, with distinct lipid molecules identified in obese patients as compared to lean patients that correlate with insulin resistance, inflammation, and vascular dysfunction. This Special Issue compiles a multidisciplinary body of research aimed at elucidating molecular mechanisms, identifying novel biomarkers, and exploring innovative therapeutic strategies. Key contributions include studies on omega-3 long-chain polyunsaturated fatty acids (LCPUFAs) and their differential associations with neurocognitive development; the potential of beta-defensin 2 as a biomarker linking gut-derived inflammation and metabolic dysfunction; and the promotion of adipocyte browning by Carnosic acid via AMPK activation and GSK3β inhibition. Additionally, reviews of phytochemicals underscore their multisystem therapeutic potential, while investigations into sodium–glucose cotransporter-2 (SGLT2) inhibitors suggest possible metabolic and neuroprotective benefits beyond glucose control. Maternal lipid metabolism during pregnancy and its impact on maternal fetal health further emphasize the clinical complexity of lipid dysregulation. Despite promising insights, significant gaps remain regarding causality versus correlation in lipid biomarkers, standardization of analytical methodologies, tissue heterogeneity, and unintended effects of metabolic interventions. Collectively, these studies underscore the necessity of integrative, mechanism-driven research to bridge fundamental biology with translational and clinical applications, ultimately advancing precision therapies for metabolic diseases. Full article
16 pages, 1298 KB  
Systematic Review
Heart Failure Outcomes with SGLT2 Inhibitors in Adults with Type 2 Diabetes: A Systematic Review and Meta-Analysis
by Raghad Rasheed Alrasheed, Amenah Fayez Altaf, Abdullah Hameed Althurwi, Shahad Fahad Alrodan, Manal Hussain Asiri, Bushra Abdulrahman Alsaluli, Muath Awadh Alsurur, Khalid Ali Alghamdi, Ahmed Anwer Alrowaithi and Nariman Safar Almalki
Medicina 2026, 62(1), 69; https://doi.org/10.3390/medicina62010069 - 29 Dec 2025
Viewed by 603
Abstract
Background and Objectives: Type 2 diabetes mellitus (T2DM) substantially increases the risk of heart failure (HF) and worsens its prognosis. Sodium-glucose cotransporter-2 inhibitors (SGLT2i), initially developed for glycemic control, have shown important cardiovascular benefits. This systematic review and meta-analysis evaluated the effects of [...] Read more.
Background and Objectives: Type 2 diabetes mellitus (T2DM) substantially increases the risk of heart failure (HF) and worsens its prognosis. Sodium-glucose cotransporter-2 inhibitors (SGLT2i), initially developed for glycemic control, have shown important cardiovascular benefits. This systematic review and meta-analysis evaluated the effects of SGLT2i on HF hospitalizations, cardiovascular (CV) death, and renal outcomes, as well as their safety profile, in patients with T2DM and established HF. Materials and Methods: Following PRISMA 2020 guidelines, we systematically searched PubMed, the Cochrane Library, and Web of Science for randomized controlled trials (RCTs) comparing SGLT2i with placebo in adults with T2DM and HF. Data on HF hospitalizations, CV death, other clinical outcomes, and adverse events were extracted. Risk of bias was assessed using the Cochrane RoB2 tool, and pooled hazard ratios (HRs) with 95% confidence intervals (CIs) were calculated using RevMan 5.4.1. Results: Ten RCTs including more than 21,000 participants met the inclusion criteria. Most were large, international, double-blind trials with overall low risk of bias. SGLT2i reduced the composite of worsening HF or CV death by about 21% (pooled HR 0.79, 95% CI 0.69–0.89), mainly driven by a consistent reduction in HF hospitalizations across trials. Effects on CV death alone were directionally favorable but not uniformly significant. Furthermore, SGLT2i were associated with beneficial effects on cardiac function and patient-reported health status and showed consistent renoprotective effects. The safety profile was favorable, with a small increase in genital infections and no excess of hypoglycemia or other serious adverse events. Conclusions: In patients with T2DM and HF, SGLT2i meaningfully reduce HF events and provide additional renal benefits with good tolerability. Our findings consolidate and update the current evidence by focusing specifically on RCTs enrolling patients with both T2DM and established HF across the spectrum of ejection fraction, thereby reinforcing the role of SGLT2i as a key component of guideline-directed therapy in this high-risk population. Full article
(This article belongs to the Section Cardiology)
Show Figures

Figure 1

14 pages, 899 KB  
Article
Comparison of the Efficacy of Empagliflozin, Dapagliflozin, and Allopurinol Based on Serum Uric Acid Levels and Kidney Function in Patients with Type 2 Diabetes Mellitus: A Retrospective Cohort Study
by Roland Fejes, Tamás Jámbor, Tamás Lantos and Szabolcs Péter Tallósy
Med. Sci. 2026, 14(1), 12; https://doi.org/10.3390/medsci14010012 - 26 Dec 2025
Viewed by 274
Abstract
Background: Type 2 diabetes mellitus (T2DM) is often associated with hyperuricemia, both conditions worsening kidney function. Sodium–glucose cotransporter 2 (SGLT2) inhibitors improve glycemic control and kidney function; however, data on their long-term antihyperuricemic effects in real-world clinical settings remain limited. Therefore, we aimed [...] Read more.
Background: Type 2 diabetes mellitus (T2DM) is often associated with hyperuricemia, both conditions worsening kidney function. Sodium–glucose cotransporter 2 (SGLT2) inhibitors improve glycemic control and kidney function; however, data on their long-term antihyperuricemic effects in real-world clinical settings remain limited. Therefore, we aimed to compare the effects of SGLT2 inhibitors versus allopurinol on serum uric acid (sUA), kidney function, and clinical outcomes. Methods: This retrospective cohort study evaluated patients with T2DM and hyperuricemia initiated on 10 mg empagliflozin (n = 70), 10 mg dapagliflozin (n = 78), or 100 mg allopurinol (n = 66) between 1 January 2017, and 1 January 2020. Drug dosages were kept constant throughout the study. Baseline and follow-up data (3, 6, 12, 24, and 36 months) were collected. Results: Over 36 months, empagliflozin and dapagliflozin significantly reduced sUA (from 452 (95) to 399 (69) µmol/L and from 450 (81) to 364 (71) µmol/L, respectively) and stabilized eGFR without a significant decline. Allopurinol also reduced sUA (from 430 (89) to 345 (69) µmol/L) but was associated with a progressive eGFR decline (from 70 (35) to 57 (32) mL/min/1.73 m2). Mortality was the highest in the allopurinol group; however, therapy discontinuation was the lowest with this treatment. Conclusions: SGLT2 inhibitors achieved comparable sUA reduction to allopurinol by 36 months while preserving eGFR. Allopurinol was associated with higher mortality and hospitalization rates; SGLT2 inhibitor therapy was associated with favorable multidomain outcomes, but strategies to address adverse effects are needed to enhance adherence. Full article
(This article belongs to the Section Endocrinology and Metabolic Diseases)
Show Figures

Graphical abstract

16 pages, 1286 KB  
Article
GLP-1 Receptor Agonists and SGLT2 Inhibitors in Stable Kidney Transplantation: Clinical Outcomes from a Cohort of Patients with Post-Transplant Diabetes Mellitus
by Ricardo E. T. Navarrete, Joana Freitas, Isabel Fonseca, Ana Cunha, Joao Roberto Sa and La Salete Martins
J. Clin. Med. 2026, 15(1), 181; https://doi.org/10.3390/jcm15010181 - 26 Dec 2025
Viewed by 298
Abstract
Background: Despite the lack of formal indication for glucagon-like peptide-1 receptor agonists (GLP-1 RAs) and sodium–glucose cotransporter-2 inhibitors (SGLT2i) in post-transplant diabetes mellitus (PTDM), their use in clinical practice is growing. While robust evidence supporting their use in kidney transplant recipients (KTRs) remains [...] Read more.
Background: Despite the lack of formal indication for glucagon-like peptide-1 receptor agonists (GLP-1 RAs) and sodium–glucose cotransporter-2 inhibitors (SGLT2i) in post-transplant diabetes mellitus (PTDM), their use in clinical practice is growing. While robust evidence supporting their use in kidney transplant recipients (KTRs) remains limited, PTDM remains a major driver of adverse outcomes, including cardiovascular morbidity, accelerated graft dysfunction, graft loss, and reduced survival. Methods: This retrospective cohort study analyzed adult KTRs with PTDM treated with SGLT2is and/or GLP-1 RAs between 2013 and 2024. Metabolic, kidney, and safety parameters were assessed from baseline to follow-up. Results: After a median treatment duration of 1.8 years, glycated hemoglobin (HbA1c) changed from 7.22% to 7.01% (p = 0.558), whereas fasting plasma glucose increased from 112.62 mg/dL to 125.01 mg/dL (p = 0.03). Body mass index decreased from 27.27 kg/m2 to 25.95 kg/m2 (p < 0.001). The lipid profile improved, with reductions in total cholesterol (p < 0.01) and low-density lipoprotein cholesterol (LDL-c, p = 0.02). Kidney function remained stable throughout the observation period, and adverse events were infrequent. Conclusions: In KTRs with PTDM, GLP-1 RAs and SGLT2is were associated with significant improvements in weight and lipid metabolism, alongside stable kidney function and a favorable safety profile. These findings support the consideration of these agents in the management of PTDM. Prospective studies are warranted to confirm these results. Full article
(This article belongs to the Section Nephrology & Urology)
Show Figures

Graphical abstract

17 pages, 1079 KB  
Review
Diabetes Mellitus and Atrial Fibrillation: Mechanistic Insights and Therapeutic Impacts of Glucose-Lowering Drugs
by Mihai Grigore, Andreea-Maria Grigore, Martin-Graur Ruxandra-Elena, Verde Ioana, Gabriela Uscoiu, Camelia Nicolae, Ana-Maria Balahura and Adriana-Mihaela Ilieșiu
Life 2026, 16(1), 16; https://doi.org/10.3390/life16010016 - 22 Dec 2025
Viewed by 327
Abstract
Background/Objectives: Diabetes mellitus (DM) represents a major global public health challenge and is consistently associated with an increased risk of atrial fibrillation (AF). Despite extensive epidemiological evidence linking the two conditions, the underlying mechanisms and the influence of glucose-lowering therapies on AF susceptibility [...] Read more.
Background/Objectives: Diabetes mellitus (DM) represents a major global public health challenge and is consistently associated with an increased risk of atrial fibrillation (AF). Despite extensive epidemiological evidence linking the two conditions, the underlying mechanisms and the influence of glucose-lowering therapies on AF susceptibility remain incompletely defined. This review aims to summarize the current knowledge on the pathophysiological pathways linking DM and AF and to assess the impact of commonly used antidiabetic therapies on arrhythmic risk. We conducted a narrative review of epidemiological studies, mechanistic research, and cardiovascular outcome trials that evaluate the association between DM and AF. We included data addressing structural, electrical, autonomic, metabolic, and inflammatory mechanisms of AF in diabetes, as well as clinical evidence regarding the impact of metformin, insulin, dipeptidyl peptidase-4 (DPP-4) inhibitors, sodium–glucose cotransporter-2 (SGLT-2) inhibitors, and glucagon-like peptide-1 (GLP-1) receptor agonists on AF incidence or recurrence. Results: DM promotes AF development through multiple complementary mechanisms, including atrial fibrosis, electrical conduction abnormalities, autonomic dysfunction, inflammation, glycemic fluctuations, oxidative stress, and expansion of epicardial adipose tissue. These changes create a vulnerable atrial substrate that facilitates both initiation and maintenance of AF. Evidence from recent trials indicates that the arrhythmic effects of glucose-lowering therapies are heterogeneous. Metformin and SGLT-2 inhibitors appear to offer favorable or neutral effects on AF risk. GLP-1 receptor agonists provide substantial cardiovascular benefits, although their specific impact on AF remains under investigation. Insulin therapy has been linked to a higher AF risk, whereas DPP-4 inhibitors show an overall neutral effect with inconsistent findings across studies. Conclusions: AF in patients with DM results from complex interactions between metabolic disturbances, structural remodeling, and inflammatory activation. Although several antidiabetic drugs appear to have potential antiarrhythmic effects, further dedicated research is needed to clarify their role in AF prevention and management. Full article
(This article belongs to the Section Pharmaceutical Science)
Show Figures

Figure 1

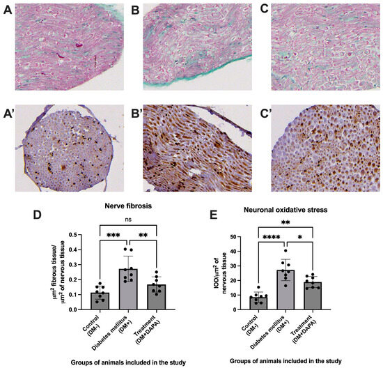
24 pages, 10992 KB  
Article
Dapagliflozin Preserves Peripheral Nerve Structure and Reduces Neuropathic Damage in Streptozotocin-Induced Diabetic Peripheral Neuropathy
by Anca-Maria Țucă, Alexandra Nicoleta Preda, Georgică Târtea, Diana-Ruxandra Hădăreanu, Eugen Țieranu, Alexandra Oltea Dan, Elena-Anca Târtea, Andrei Greșiță, Denisa Floriana Vasilica Pîrșcoveanu, Veronica Sfredel and Smaranda Ioana Mitran
Int. J. Mol. Sci. 2025, 26(24), 12034; https://doi.org/10.3390/ijms262412034 - 14 Dec 2025
Viewed by 368
Abstract
Diabetic peripheral neuropathy (DPN) is one of the most common chronic complications of diabetes mellitus, driven by oxidative stress, inflammation, and microvascular dysfunction. Dapagliflozin, a selective inhibitor of sodium–glucose cotransporter type 2 (SGLT2), is used in the treatment of type 2 diabetes and [...] Read more.
Diabetic peripheral neuropathy (DPN) is one of the most common chronic complications of diabetes mellitus, driven by oxidative stress, inflammation, and microvascular dysfunction. Dapagliflozin, a selective inhibitor of sodium–glucose cotransporter type 2 (SGLT2), is used in the treatment of type 2 diabetes and has pleiotropic antioxidant and anti-inflammatory effects. The aim of this study was to evaluate the neuroprotective effects of dapagliflozin in an experimental model of streptozotocin (STZ)-induced diabetic peripheral neuropathy in mice. C57BL/6 mice were divided into three groups: control (DM–), STZ-induced diabetes (DM+), and diabetes + dapagliflozin (DM + DAPA, 10 mg/kg/day, oral administration for 12 weeks). Clinical (glycemia, weight, diuresis), electrophysiological, and histopathological parameters were evaluated, and behavioral tests (Open Field, Von Frey, Hot Tail) were performed. Dapagliflozin significantly reduced hyperglycemia, limited weight loss and polyuria, and improved locomotor behavior and nociceptive sensitivity. Electrodiagnostically, the treatment increased the amplitude and reduced the duration of motor potentials, indicating improved nerve conduction. Histological analyses showed decreased hydroxynonenal (HNE) immunoreactivity, suggesting attenuation of oxidative stress, reduced perineural fibrogenesis, and maintained intraepidermal nerve fiber density. Dapagliflozin exerts significant neuroprotective effects in experimental diabetic peripheral neuropathy by reducing oxidative stress, inflammation, and fibrosis and maintaining the structural and functional integrity of peripheral nerves. Full article
(This article belongs to the Section Molecular Pharmacology)
Show Figures

Figure 1

Back to TopTop