Sign in to use this feature.

Years

Between: -

Subjects

remove_circle_outline
remove_circle_outline
remove_circle_outline
remove_circle_outline
remove_circle_outline
remove_circle_outline
remove_circle_outline

Journals

Article Types

Countries / Regions

Search Results (19)

Search Parameters:
Keywords = selenium speciation analysis

Order results
Result details
Results per page
Select all
Export citation of selected articles as:
19 pages, 2523 KB  
Article
Dendrobium huoshanense In Vitro Culture and Selenium Metabolism: Speciation Mechanisms
by Yulai Wu, Chang An, Yanjie Wang, Yuqi Sun, Changbin Liu, Bingrui Wang, Yuan Qin and Zongshen Zhang
Horticulturae 2025, 11(10), 1263; https://doi.org/10.3390/horticulturae11101263 - 19 Oct 2025
Viewed by 1047
Abstract
Selenium-enriched Dendrobium huoshanense C. Z. Tang et S. J. Cheng is a precious medicinal herb that combines traditional therapeutic value with modern nutritional benefits. However, its wild populations primarily inhabit special habitats like cliffs and rock crevices, resulting in limited yield and low [...] Read more.
Selenium-enriched Dendrobium huoshanense C. Z. Tang et S. J. Cheng is a precious medicinal herb that combines traditional therapeutic value with modern nutritional benefits. However, its wild populations primarily inhabit special habitats like cliffs and rock crevices, resulting in limited yield and low selenium content. This study optimized an in vitro selenium-enriched cultivation system for D. huoshanense, investigating the regulatory mechanisms of selenium on physiological metabolism by modulating exogenous selenium concentrations, and determining the spatiotemporal distribution and speciation of selenium in plantlets. The results showed the optimal medium composition was as follows: MS + IBA (0.1 mg/L) + NAA (0.6 mg/L) + 7% agar + 30% sucrose + 100 g/L banana homogenate + 3 mg/L sodium selenite (pH 5.8). Under these conditions, roots served as the primary selenium accumulation sites at 30 and 60 days of cultivation. After 90 days, selenium redistribution occurred from storage organs (roots) to metabolically active organs (leaves). Organic selenium constituted 83.70% of total selenium, comprising 44.90% selenoproteins, 29.20% selenopolysaccharides, and 9.60% other organic forms. The contents of selenomethionine (SeMet), methylselenocysteine (MeSeCys), and selenocysteine (SeCys2) were 0.63 ± 0.04, 0.20 ± 0.11, and 0.28 ± 0.06 mg/kg, respectively. Using plant tissue culture technology, we successfully cultivated selenium-enriched D. huoshanense, and investigated its growth metabolism, selenium translocation mechanisms, and selenium speciation. These findings provide theoretical foundations for developing selenium-enriched medicinal materials and have significant implications for enhancing the medicinal value of D. huoshanense. Full article
Show Figures

Figure 1

17 pages, 1522 KB  
Article
Effects of Foliar Organic Selenium Application During the Main Season on Ratoon Rice Yield, Grain Quality, and Selenium Accumulation
by Jinfu Hu, Dehao Feng, Ziran Tang, Caise Ya, Xueer Lin, Kai Zhang and Xiong Yao
Plants 2025, 14(17), 2758; https://doi.org/10.3390/plants14172758 - 3 Sep 2025
Viewed by 934
Abstract
With the growing global demand for rice and the urgent need to enhance sustainable production, ratoon rice systems and selenium (Se) biofortification technologies have become important strategies. This study investigated the effects of the foliar application of ethylenediaminetetraacetic acid Se (EDTA-Se) during key [...] Read more.
With the growing global demand for rice and the urgent need to enhance sustainable production, ratoon rice systems and selenium (Se) biofortification technologies have become important strategies. This study investigated the effects of the foliar application of ethylenediaminetetraacetic acid Se (EDTA-Se) during key growth stages of the main rice season on the yield, grain quality, and Se accumulation in ratoon rice. Two rice varieties—Fengliangyouxiang-1 (FLYX1) and Jinliangyouhuazhan (JLYHZ)—were selected for a two-year field experiment. A systematic analysis was performed on yield components, processing quality, appearance quality, nutritional quality, and Se speciation. The results showed that under an equivalent total amount of spraying EDTA-Se, the best effect on improving the yield, grain quality, and grain Se content of ratoon rice was observed at the heading stage and seven days after full heading. This treatment increased ratoon season yield by 6.45%, primarily due to enhanced grain filling rate (GF) and spikelets per panicle (SP). Processing quality was significantly improved; milled rice rate (MR) increased by 5.59–6.24% in FLYX1 and 3.38–3.52% in JLYHZ, while appearance quality also improved, with chalky grain rate (CGR) decreasing by 21.51–22.93% in FLYX1 and 14.50–14.53% in JLYHZ. These improvements were closely associated with elevated protein content and increased accumulation of selenomethionine (SM). Notably, FLYX1 exhibited higher efficiency in converting selenium to organic forms, whereas JLYHZ showed a greater accumulation of inorganic selenium, highlighting genotype-specific responses. This study confirmed that the foliar application of EDTA-Se during key growth phases of rice during the main season can synergistically optimize yield and quality in ratoon rice while achieving Se biofortification and providing a theoretical basis and technical support for improving the quality and efficiency of ratoon rice, as well as producing Se-enriched ratoon rice. Full article
(This article belongs to the Special Issue Nutrient Management for Better Crop Production)
Show Figures

Figure 1

18 pages, 22140 KB  
Article
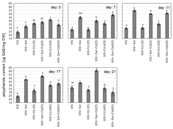
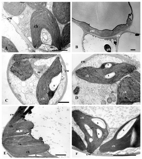
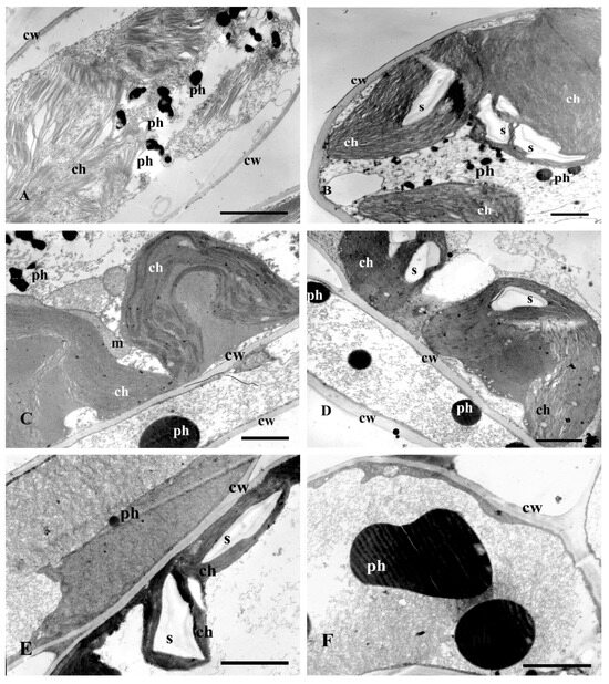
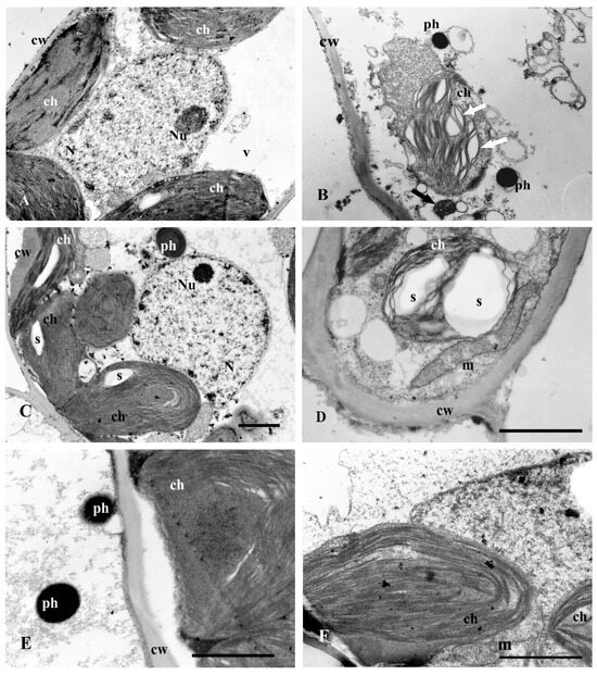
The Impact of Organic Selenium (IV) on Hypericum perforatum L. under Cadmium Stress and Non-Stress Conditions
by Joanna Giebułtowicz, Joanna Ślusarczyk, Sylwia Wyderska and Piotr Wroczyński
Plants 2024, 13(15), 2099; https://doi.org/10.3390/plants13152099 - 29 Jul 2024
Cited by 2 | Viewed by 1830
Abstract
The issue of soil contamination by heavy metals is widely acknowledged. Some plants, including medicinal species like St. John’s wort (Hypericum perforatum L.), exhibit accumulation traits, allowing them to accumulate elevated levels of metals, e.g., cadmium (Cd), within their cells. Selenium (Se) [...] Read more.
The issue of soil contamination by heavy metals is widely acknowledged. Some plants, including medicinal species like St. John’s wort (Hypericum perforatum L.), exhibit accumulation traits, allowing them to accumulate elevated levels of metals, e.g., cadmium (Cd), within their cells. Selenium (Se) may increase the tolerance of plants to abiotic stress caused by the presence of heavy metal in the environment. Depending on its form (oxidation state, organic/inorganic), Se influences plant growth, secondary metabolite content, and biotic stress, as well as incorporates into shoots, providing economic and health benefits for consumers. So far, there are no data on the influence of organic Se(IV) on plants. Our study aimed to determine the effect of organic Se(IV) on the growth, active compound levels (anthranoids, polyphenols), and ultrastructure of St. John’s wort without and under cadmium stress. The phytochemical analysis and microscopic examination was performed on shoots from different days of St. John’s wort in vitro culture on a few variants of Murashige and Skoog medium with Cd (25 and 400 µM) and/or organic Se (IV). Exposure to Se(IV) did not affect hypericins but increased the polyphenol content in the shoots and the biomass. Se(IV) caused an increase in starch grain number in chloroplasts, whereas Cd exposure resulted in the degradation of the chloroplast structure, increased cell vacuolation, as well as swollen mitochondrial cristae. The addition of Se(IV) to these combinations reduced the degree of degradation and growth inhibition and a high content of Se(IV) in plants was observed. Se(IV) had no impact on Cd content at environmental Cd concentrations, but showed an effect at extremely high Cd concentrations. Thus, organic Se(IV) has a beneficial effect on St. John’s wort growth, polyphenol content, and incorporation in shoots and prevents Cd toxicity. Media enriched with organic Se(IV) have both economic advantages and health benefits due to a higher plant growth rate and increased concentrations of polyphenols with strong antioxidant properties, relatively enriched with Se. However, organic Se(IV) should be used with caution in polluted areas. In perspective, speciation analysis and molecular study are crucial to understand the fate and effect of Se (IV) on plants. Full article
(This article belongs to the Section Plant Response to Abiotic Stress and Climate Change)
Show Figures

Figure 1

21 pages, 3106 KB  
Article
Overexpression of Wheat Selenium-Binding Protein Gene TaSBP-A Enhances Plant Growth and Grain Selenium Accumulation under Spraying Sodium Selenite
by Tongtong Xiao, Jian Qiang, Haocheng Sun, Fei Luo, Xiaohui Li and Yueming Yan
Int. J. Mol. Sci. 2024, 25(13), 7007; https://doi.org/10.3390/ijms25137007 - 26 Jun 2024
Cited by 11 | Viewed by 2494
Abstract
Selenium (Se) is an essential trace element for humans. Low concentrations of Se can promote plant growth and development. Enhancing grain yield and crop Se content is significant, as major food crops generally have low Se content. Studies have shown that Se biofortification [...] Read more.
Selenium (Se) is an essential trace element for humans. Low concentrations of Se can promote plant growth and development. Enhancing grain yield and crop Se content is significant, as major food crops generally have low Se content. Studies have shown that Se biofortification can significantly increase Se content in plant tissues. In this study, the genetic transformation of wheat was conducted to evaluate the agronomic traits of non-transgenic control and transgenic wheat before and after Se application. Se content, speciation, and transfer coefficients in wheat grains were detected. Molecular docking simulations and transcriptome data were utilized to explore the effects of selenium-binding protein-A TaSBP-A on wheat growth and grain Se accumulation and transport. The results showed that TaSBP-A gene overexpression significantly increased plant height (by 18.50%), number of spikelets (by 11.74%), and number of grains in a spike (by 35.66%) in wheat. Under normal growth conditions, Se content in transgenic wheat grains did not change significantly, but after applying sodium selenite, Se content in transgenic wheat grains significantly increased. Analysis of Se speciation revealed that organic forms of selenomethionine (SeMet) and selenocysteine (SeCys) predominated in both W48 and transgenic wheat grains. Moreover, TaSBP-A significantly increased the transfer coefficients of Se from solution to roots and from flag leaves to grains. Additionally, it was found that with the increase in TaSBP-A gene overexpression levels in transgenic wheat, the transfer coefficient of Se from flag leaves to grains also increased. Full article
(This article belongs to the Section Molecular Plant Sciences)
Show Figures

Figure 1

21 pages, 5761 KB  
Article
Mineralogy and Selenium Speciation Analysis of Early Cambrian Selenium-Rich Black Shale in Southern Shaanxi Province, China
by Caixia Feng, Shen Liu, Wenlei Song, Chenhui Hou and Yanhong Yang
Minerals 2024, 14(6), 612; https://doi.org/10.3390/min14060612 - 15 Jun 2024
Cited by 1 | Viewed by 1725
Abstract
Selenium (Se) is an essential trace element for humans and animals, and an excess of or deficiency in Se is harmful to health. Research on the selenium enrichment zone began in the late 1970s in Shuang’an, Ziyang, southern Shaanxi Province. Naore village is [...] Read more.
Selenium (Se) is an essential trace element for humans and animals, and an excess of or deficiency in Se is harmful to health. Research on the selenium enrichment zone began in the late 1970s in Shuang’an, Ziyang, southern Shaanxi Province. Naore village is only one selenosis area in Shuang’an, Ziyang, China. Different scholars have conducted systematic studies on the occurrence of selenium, its organic geochemistry and biomarkers, and its content and enrichment patterns in this area. This study applied the TIMA (TESCAN integrated mineral analyzer) for the first time to conduct detailed mineralogical work. The minerals included quartz, carbonate minerals (calcite and dolomite), feldspar (plagioclase, albite, and orthoclase), biotite and muscovite, clay minerals (chlorite and kaolinite), hematite, pyrite, and accessory minerals (almandine, olivine, zircon, and apatite) in Naore village, Ziyang, Shaanxi Province. The ATi index (100 × apatite/(apatite + tourmaline)) is used to determine the source of heavy minerals and the degree of heavy minerals’ weathering. The content POS (100 × (pyroxene + olivine + spinel)/transparent heavy mineral) of olivine, pyroxene, and spinel in heavy minerals can reflect the contribution of basic and ultrabasic rocks in the source area. The ATi and POS indexes for the heavy minerals in the research area were 91.83~99.96 and 0.01~18.75, respectively, reflecting the abundance of volcanic rock material in their source. In addition, the migration, transformation, bioavailability, and toxicity of selenium in the environment are closely related to its species. The species of selenium in various selenium-rich areas (Naore, Wamiao, and Guanquan) mainly include unusable residues and organic forms, followed by humic-acid-bound selenium. The proportions of water-soluble, exchangeable, and carbonate-bound selenium are relatively small, and the proportion of Fe-Mn oxide-bound selenium is the lowest. Full article
(This article belongs to the Special Issue Selenium, Tellurium and Precious Metal Mineralogy)
Show Figures

Figure 1

13 pages, 1859 KB  
Article
Comparison of Selenium Accumulation in Edible Parts of Wheat and Broad Bean
by Keman Bao, Yurong Wang, Xiaoping Du, Hada Wuriyanghan, Xu Wang, Jiatao Xie, Xiaohu Zhao and Wei Jia
Agronomy 2023, 13(7), 1939; https://doi.org/10.3390/agronomy13071939 - 22 Jul 2023
Cited by 5 | Viewed by 2201
Abstract
The concentration of selenium (Se) in agricultural products primarily depends on the concentration of Se in soil and the ability of plants to accumulate Se. Selenium deficiency not only leads to decreased body resistance, but also increases the risk of cancer. The form [...] Read more.
The concentration of selenium (Se) in agricultural products primarily depends on the concentration of Se in soil and the ability of plants to accumulate Se. Selenium deficiency not only leads to decreased body resistance, but also increases the risk of cancer. The form and concentration of bioavailable Se is important for diet. The present study was carried out via field experiment with wheat and broad beans in soil of different Se concentrations (0, 1.12, and 11.2 kg·ha−1), which was determined based on the national standard and the team’s previous experience. Results indicated that the concentration of Se in the edible organs of wheat was higher than in broad bean, while the enriched Se concentration in the root of broad bean was more than twice and three times higher than that of wheat at medium and high levels of Se, respectively. Selenomethionine, which accounted for over half of the total Se speciations, was the dominant species in the edible parts of the two crops, followed by Selenocystine and methylselenocysteine. Through the analysis of the rhizosphere soil, it was found that Fe-Mn oxide-bound Se exceeded 80% of the total Se. Additionally, there was a significant linear correlation between the Se content in the edible parts of the two crops and the Se content in the soil. Findings suggested that wheat was more favorable than broad beans as Se supplement crops in a Se-supplied field. Full article
(This article belongs to the Section Plant-Crop Biology and Biochemistry)
Show Figures

Figure 1

12 pages, 1041 KB  
Article
Determination of Selenium Speciation in High Se-Enriched Edible Fungus Ganoderma lucidum Via Sequential Extraction
by Wenyao Shi, Yuzhu Hou, Zezhou Zhang, Xuebin Yin, Xiaohu Zhao and Linxi Yuan
Horticulturae 2023, 9(2), 161; https://doi.org/10.3390/horticulturae9020161 - 27 Jan 2023
Cited by 4 | Viewed by 2767
Abstract
Edible fungi are often used as an important selenium (Se) source to improve human daily Se intakes as food or Se supplements because of their strong ability to accumulate Se, in which Ganoderma lucidum was widely accepted in China. However, the existing Se [...] Read more.
Edible fungi are often used as an important selenium (Se) source to improve human daily Se intakes as food or Se supplements because of their strong ability to accumulate Se, in which Ganoderma lucidum was widely accepted in China. However, the existing Se speciation analysis methods such as protease K-based or trypsin-protease XIV-based, have low extraction rate and enzymatic hydrolysis rate (<30%) on the Se-enriched edible fungi, resulting that it is impossible to effectively evaluate Se transformation and safety of Se-enriched edible fungi. In order to improve the extraction rate and enzymatic hydrolysis rates, 12 extraction methods (combination of buffer solutions and enzymes) including 4 two-step extraction methods and 8 three-step extraction methods were applied to extract Se from high Se-enriched Ganoderma lucidum (Total Se content 245.7 μg/g in dry matter (DW)) in the present study. The results displayed that one three-step sequential extraction method as aqueous solution extraction-pepsin extraction-trypsin extraction performed the best, by which the total Se extraction rate could reach 65%, the total Se enzyme hydrolysis rate was 40%, and the Se speciation was revealed as Selenite (63.6%), SeCys2 (20.1%), SeMeCys (14.8%) and SeMet (1.5%) in this high Se-enriched Ganoderma lucidum. This study offers a reliable and efficient method to evaluate the Se transformation and the Se safety in high Se-enriched edible fungi. Full article
Show Figures

Figure 1

9 pages, 3343 KB  
Article
Speciation of Selenium in Selenium-Enriched Foods by High-Performance Liquid Chromatography-Inductively Coupled Plasma-Tandem Mass Spectrometry
by Yue Luo, Gang Chen, Xiuqing Deng, Hanqing Cai, Xueheng Fu, Fujian Xu, Xiaonian Xiao, Yumeng Huo and Jin Luo
Separations 2022, 9(9), 242; https://doi.org/10.3390/separations9090242 - 3 Sep 2022
Cited by 12 | Viewed by 4442
Abstract
Herein, a method was established for the speciation of six selenium species by high performance liquid chromatography-inductively coupled plasma-tandem mass spectrometry (HPLC-ICP-MS/MS). The factors affecting separation were carefully investigated, including ionic strength, pH, and methanol content. Six species of selenium could be completely [...] Read more.
Herein, a method was established for the speciation of six selenium species by high performance liquid chromatography-inductively coupled plasma-tandem mass spectrometry (HPLC-ICP-MS/MS). The factors affecting separation were carefully investigated, including ionic strength, pH, and methanol content. Six species of selenium could be completely separated within 20 min, under the mobile phase of 25 mM citric acid in pH = 4.0 containing 2% methanol. The detection limits of selenite (Se(IV)), selenate (Se(VI)), selenomethionine (SeMet), selenocystine (SeCys2), methylselenocysteine (MeSeCys), and selenoethionine (SeEt) were 0.04, 0.02, 0.05, 0.02, 0.03, and 0.15 ng mL−1, respectively. To verify the practicality of this method, the analysis of selenium-enriched foods such as selenium-enriched spring water, selenium-enriched salts, and selenium-enriched tea were conducted, and recovery of 93.7–105% was achieved with RSD < 5%, revealing the high practical utility of the proposed method. Full article
(This article belongs to the Special Issue Applications of Chromatography Technology)
Show Figures

Graphical abstract

14 pages, 2096 KB  
Article
Determination of Selenomethionine, Selenocystine, and Methylselenocysteine in Egg Sample by High Performance Liquid Chromatography—Inductively Coupled Plasma Mass Spectrometry
by Yue Zhao, Min Wang, Mengrui Yang, Jian Zhou and Tongtong Wang
Separations 2022, 9(2), 21; https://doi.org/10.3390/separations9020021 - 18 Jan 2022
Cited by 12 | Viewed by 5384
Abstract
The deficiency of selenium in dietary is recognized as a global problem. Eggs, as one of the most widely consumed food products, were readily enriched with selenium and became an important intake source of selenium for humans. In order to better understand the [...] Read more.
The deficiency of selenium in dietary is recognized as a global problem. Eggs, as one of the most widely consumed food products, were readily enriched with selenium and became an important intake source of selenium for humans. In order to better understand the speciation and bioaccessibility of selenium in eggs, a simple and reliable approach that could be easily used in a routine laboratory was attempted to develop for analyzing selenium species. Three of organic selenium species (selenocystine, methylselenocysteine, and selenomethionine) in liquid whole egg were completely released by enzymatic hydrolysis and detected by high performance liquid chromatography in combination with inductively coupled plasma mass spectrometry (HPLC-ICP-MS). All the parameters in enzymatic hydrolysis and separation procedures were optimized. The effect of matrix in analysis was critically evaluated by standard addition calibrations and external calibrations. Under the optimal conditions, the spike recoveries of selenium species at 0.1–0.4 μg g−1 spike levels all exceeded 80%. This method was successfully applied to the determination of selenium species in fresh egg and cooked eggs. Full article
(This article belongs to the Special Issue Advances of Accurate Quantification Methods in Food Analysis)
Show Figures

Graphical abstract

14 pages, 958 KB  
Article
New Method for Simultaneous Arsenic and Selenium Speciation Analysis in Seafood and Onion Samples
by Katarzyna Karaś, Anetta Zioła-Frankowska and Marcin Frankowski
Molecules 2021, 26(20), 6223; https://doi.org/10.3390/molecules26206223 - 15 Oct 2021
Cited by 10 | Viewed by 3783
Abstract
This paper presents a new method for the simultaneous speciation analysis of arsenic (As(III)-arsenite, As(V)-arsenate, DMA-dimethylarsinic acid, MMA-methylarsonic acid, and AsB-arsenobetaine) and selenium (Se(IV)-selenite, Se(VI)-selenate, Se-Methionine, and Se-Cystine), which was applied to a variety of seafood and onion samples. The determination of the [...] Read more.
This paper presents a new method for the simultaneous speciation analysis of arsenic (As(III)-arsenite, As(V)-arsenate, DMA-dimethylarsinic acid, MMA-methylarsonic acid, and AsB-arsenobetaine) and selenium (Se(IV)-selenite, Se(VI)-selenate, Se-Methionine, and Se-Cystine), which was applied to a variety of seafood and onion samples. The determination of the forms of arsenic and selenium was undertaken using the High-Performance Liquid Chromatography Inductively Coupled Plasma Mass Spectrometry (HPLC–ICP–MS) analytical technique. The separation of both organic and inorganic forms of arsenic and selenium was performed using two analytical columns: an anion exchange column, Dionex IonPac AS22, containing an alkanol quaternary ammonium ion, and a double bed cation–anion exchange guard column, Dionex Ion Pac CG5A, containing, as a first layer, fully sulfonated latex for cation exchange and a fully aminated layer for anion exchange as the second layer. The ammonium nitrate, at pH = 9.0, was used as a mobile phase. The method presented here allowed us to separate the As and Se species within 10 min with a suitable resolution. The applicability was presented with different sample matrix types: seafood and onion. Full article
(This article belongs to the Special Issue Improve Food Safety and Quality: Analysis and Methods)
Show Figures

Figure 1

12 pages, 960 KB  
Article
Relationship between Selected Trace Elements and Hematological Parameters among Japanese Community Dwellers
by Kyi Mar Wai, Kaori Sawada, Mika Kumagai, Kazuyoshi Itai, Itoyo Tokuda, Koichi Murashita, Shigeyuki Nakaji and Kazushige Ihara
Nutrients 2020, 12(6), 1615; https://doi.org/10.3390/nu12061615 - 30 May 2020
Cited by 15 | Viewed by 3760
Abstract
This study aimed (1) to assess serum trace elements concentrations and hematological parameters, (2) to evaluate the sex differences in the associations between serum trace elements levels and hematological parameters, and (3) to identify the associations between serum trace elements concentrations and risk [...] Read more.
This study aimed (1) to assess serum trace elements concentrations and hematological parameters, (2) to evaluate the sex differences in the associations between serum trace elements levels and hematological parameters, and (3) to identify the associations between serum trace elements concentrations and risk of anemia among Japanese community dwellers. This is a community-based cross-sectional study that utilized the data of the 2014 Iwaki Health Promotion Project. Participants were 1176 community dwellers (>18 years) residing in the Iwaki District, Aomori Prefecture, Japan. We assessed the data of serum trace elements concentrations of cadmium (Cd), cobalt (Co), copper (Cu), selenium (Se), zinc (Zn), and iron (Fe) as well as the hematological parameters of red blood cells (RBC) counts, hemoglobin, packed cells volume (PCV), mean corpuscular volume (MCV), and mean corpuscular hemoglobin (MCH). Serum concentrations of Zn (871.5 μg/L vs. 900.1 μg/L) and Fe (946.8 μg/L vs. 1096.1 μg/L) were significantly lower in females than in males, while serum concentrations of Co (0.4 μg/L vs. 0.3 μg/L) and Cu (1062.4 μg/L vs. 965.3 μg/L) were significantly higher in females. By multivariate linear regression, serum Se concentration was significantly, positively associated with PCV (β = 1.04; 95% confidence interval (CI): 0.17, 1.92; p = 0.016) among the study participants. Serum Zn also had positive associations with hemoglobin (β = 0.42; 95% CI: 0.07, 0.77; p = 0.020), PCV (β = 1.79; 95% CI: 0.78, 2.81; p < 0.001), and RBCs count (β = 15.56; 95% CI: 7.31, 31.69; p = 0.002). On the other hand, serum Co concentration was negatively associated with the hematological parameters, particularly in females. Moreover, serum Zn concentration had a decreased risk of anemia (lowest vs. highest quartiles: odds ratio (OR) = 0.42; 95% CI: 0.23, 0.76; p = 0.005) while higher Co concentrations had an increased risk of anemia (lowest vs. highest quartiles: OR = 1.95; 95% CI: 1.04, 3.67; p = 0.037). However, no significant association was found between serum Cu level and hematological parameters. There were substantial sex differences in serum trace elements, implying that trace elements metabolism differed between males and females. Zn can play a protective role in the development of anemia. Surprisingly, increased Co concentration increased the risk of anemia among our study population, which called for further studies to confirm and to consider for speciation analysis. Full article
(This article belongs to the Section Micronutrients and Human Health)
Show Figures

Figure 1

15 pages, 862 KB  
Article
Determination of Selenium Species in Muscle, Heart, and Liver Tissues of Lambs Using Mass Spectrometry Methods
by Andrzej Gawor, Anna Ruszczynska, Marian Czauderna and Ewa Bulska
Animals 2020, 10(5), 808; https://doi.org/10.3390/ani10050808 - 7 May 2020
Cited by 19 | Viewed by 5219
Abstract
Identification and quantification of the selenium species in biological tissues is imperative, considering the need to properly understand its metabolism and its importance in various field of sciences, especially nutrition science. Although a number of studies deals with the speciation of selenium, speciation [...] Read more.
Identification and quantification of the selenium species in biological tissues is imperative, considering the need to properly understand its metabolism and its importance in various field of sciences, especially nutrition science. Although a number of studies deals with the speciation of selenium, speciation analysis is still far from being a routine task, and so far strongly depends on the type of the samples. We present a study aimed to examine speciation analysis of Se in tissues of livers, muscles, and hearts obtained from lambs, namely in liver, muscle, and heart. The studied lambs were fed with the diet enriched with an inorganic (as sodium selenate) and organic chemical form of Se (as Se-enriched yeast) compounds with simultaneous addition of fish oil (FO) and carnosic acid (CA). The first part of the work was focused on the optimization of the extraction procedure of selenium compounds from tissues. Next, hyphenated high performance liquid chromatography and inductively coupled plasma mass spectrometry (HPLC–ICP–MS) was used for the identification of five seleno-compounds—Se-methionine (SeMet), Se-cystine (SeCys2), Se-methyl-Se-cysteine (SeMetSeCys), and Se(IV) and Se(VI). Verification of the identified seleno-compounds was achieved using triple-quadrupole mass spectrometer coupled to high performance liquid chromatography (HPLC–ESI–MS/MS). The applied procedure allowed for quantitative analysis of SeMet, SeCys2, and SeMetSeCys, in biological tissues. The developed analytical protocol is feasible for speciation analysis of small molecular seleno-compounds in animals samples. Full article
Show Figures

Graphical abstract

14 pages, 2059 KB  
Article
Getting to the Root of Selenium Hyperaccumulation—Localization and Speciation of Root Selenium and Its Effects on Nematodes
by Christine N. Prins, Laura J. Hantzis, Jose R. Valdez-Barillas, Jennifer J. Cappa, Sirine C. Fakra, Cecilia Milano de Tomasel, Diana H. Wall and Elizabeth A. H. Pilon-Smits
Soil Syst. 2019, 3(3), 47; https://doi.org/10.3390/soilsystems3030047 - 28 Jul 2019
Cited by 6 | Viewed by 3562
Abstract
Elemental hyperaccumulation protects plants from many aboveground herbivores. Little is known about effects of hyperaccumulation on belowground herbivores or their ecological interactions. To examine effects of plant selenium (Se) hyperaccumulation on nematode root herbivory, we investigated spatial distribution and speciation of Se in [...] Read more.
Elemental hyperaccumulation protects plants from many aboveground herbivores. Little is known about effects of hyperaccumulation on belowground herbivores or their ecological interactions. To examine effects of plant selenium (Se) hyperaccumulation on nematode root herbivory, we investigated spatial distribution and speciation of Se in hyperaccumulator roots using X-ray microprobe analysis, and effects of root Se concentration on root-associated nematode communities. Perennial hyperaccumulators Stanleya pinnata and Astragalus bisulcatus, collected from a natural seleniferous grassland contained 100–1500 mg Se kg−1 root dry weight (DW). Selenium was concentrated in the cortex and epidermis of hyperaccumulator roots, with lower levels in the stele. The accumulated Se consisted of organic (C-Se-C) compounds, indistinguishable from methyl-selenocysteine. The field-collected roots yielded 5–400 nematodes g−1 DW in Baermann funnel extraction, with no correlation between root Se concentration and nematode densities. Even roots containing > 1000 mg Se kg−1 DW yielded herbivorous nematodes. However, greenhouse-grown S. pinnata plants treated with Se had fewer total nematodes than those without Se. Thus, while root Se hyperaccumulation may protect plants from non-specialist herbivorous nematodes, Se-resistant nematode taxa appear to associate with hyperaccumulators in seleniferous habitats, and may utilize high-Se hyperaccumulator roots as food source. These findings give new insight into the ecological implications of plant Se (hyper)accumulation. Full article
(This article belongs to the Special Issue Nematodes in Soil Systems)
Show Figures

Figure 1

23 pages, 1711 KB  
Review
Speciation Analysis of Trace Arsenic, Mercury, Selenium and Antimony in Environmental and Biological Samples Based on Hyphenated Techniques
by Xiaoping Yu, Chenglong Liu, Yafei Guo and Tianlong Deng
Molecules 2019, 24(5), 926; https://doi.org/10.3390/molecules24050926 - 7 Mar 2019
Cited by 55 | Viewed by 7822
Abstract
In order to obtain a well understanding of the toxicity and ecological effects of trace elements in the environment, it is necessary to determine not only the total amount, but also their existing species. Speciation analysis has become increasingly important in making risk [...] Read more.
In order to obtain a well understanding of the toxicity and ecological effects of trace elements in the environment, it is necessary to determine not only the total amount, but also their existing species. Speciation analysis has become increasingly important in making risk assessments of toxic elements since the toxicity and bioavailability strongly depend on their chemical forms. Effective separation of different species in combination with highly sensitive detectors to quantify these particular species is indispensable to meet this requirement. In this paper, we present the recent progresses on the speciation analysis of trace arsenic, mercury, selenium and antimony in environmental and biological samples with an emphasis on the separation and detection techniques, especially the recent applications of high performance liquid chromatography (HPLC) hyphenated to atomic spectrometry or mass spectrometry. Full article
Show Figures

Figure 1

14 pages, 2487 KB  
Article
Speciation Analysis of Selenium in Candida utilis Yeast Cells Using HPLC-ICP-MS and UHPLC-ESI-Orbitrap MS Techniques
by Marek Kieliszek and Stanisław Błażejak
Appl. Sci. 2018, 8(11), 2050; https://doi.org/10.3390/app8112050 - 25 Oct 2018
Cited by 23 | Viewed by 5750
Abstract
Selenium plays a key role in the proper metabolism of living organisms. The search for new selenium compounds opens up new possibilities for understanding selenometabolome in yeast cells. This study was aimed at the identification of compounds containing selenium in the feed yeasts [...] Read more.
Selenium plays a key role in the proper metabolism of living organisms. The search for new selenium compounds opens up new possibilities for understanding selenometabolome in yeast cells. This study was aimed at the identification of compounds containing selenium in the feed yeasts Candida utilis ATCC 9950. Yeast biomass was kept in aqueous solutions enriched with inorganic selenium (20 mg·L−1) for 24 h. Speciation analysis of the element was performed using the HPLC-ICP-MS and UHPLC-ESI-Orbitrap MS techniques. The obtained selenium value in the yeast was 629 μg·g−1, while the selenomethionine value was 31.57 μg·g−1. The UHPLC-ESI-Orbitrap MS analysis conducted allowed for the identification of six selenium compounds: dehydro-selenomethionine-oxide, selenomethionine, selenomethionine-NH3, a Se-S conjugate of selenoglutathione-cysteine, methylthioselenoglutathione, and 2,3-DHP-selenocysteine-cysteine. In order to explain the structure of selenium compounds, the selected ions were subjected to fragmentation. The selenium compounds obtained with a low mass play a significant role in the metabolism of the compound. However, the bioavailability of such components and their properties have not been fully understood. The number of signals indicating the presence of selenium compounds obtained using the UHPLC-ESI-Orbitrap MS method was characterized by higher sensitivity than when using the HPLC-ICP-MS method. The obtained results will expand upon knowledge about the biotransformation of selenium in eukaryotic yeast cells. Future research should focus on understanding the entire selenium metabolism in cells and on the search for new transformation pathways for this element. This opens up new possibilities for obtaining functional food, rich in easily absorbable selenium sources, and constituting an alternative to dietary supplements based on this compound found primarily in inorganic form. Full article
(This article belongs to the Section Chemical and Molecular Sciences)
Show Figures

Figure 1

Back to TopTop