Sign in to use this feature.

Years

Between: -

Subjects

remove_circle_outline
remove_circle_outline
remove_circle_outline
remove_circle_outline
remove_circle_outline
remove_circle_outline
remove_circle_outline

Journals

Article Types

Countries / Regions

remove_circle_outline
remove_circle_outline
remove_circle_outline
remove_circle_outline

Search Results (208)

Search Parameters:
Keywords = resection cavity

Order results
Result details
Results per page
Select all
Export citation of selected articles as:
10 pages, 393 KB  
Article
Age-Based Comparison of Head and Neck Cancer Characteristics and Reconstructive Outcomes: Retrospective Review of 286 Patients
by Hyun Il Kang, Seok Joon Lee, Feras AlShomer, Tae Suk Oh, Jong Woo Choi and Woo Shik Jeong
Medicina 2026, 62(5), 822; https://doi.org/10.3390/medicina62050822 - 25 Apr 2026
Viewed by 143
Abstract
Background and Objectives: Head and neck cancer (HNC) frequently necessitates reconstructive surgery due to defects following oncologic resection. The influence of age on reconstructive outcomes in head and neck cancer remains controversial. This study aimed to evaluate the impact of age on [...] Read more.
Background and Objectives: Head and neck cancer (HNC) frequently necessitates reconstructive surgery due to defects following oncologic resection. The influence of age on reconstructive outcomes in head and neck cancer remains controversial. This study aimed to evaluate the impact of age on oncologic characteristics, reconstructive strategies, and functional outcomes following microvascular free flap reconstruction. Materials and Methods: A retrospective review was conducted on 286 patients who underwent free flap reconstruction for head and neck cancer between 2016 and 2020. Patients were stratified into three age groups: <40 years, 40–60 years, and >60 years. Demographic characteristics, tumor features, reconstructive approaches, complications, and functional outcomes—including postoperative dietary tolerance and tube feeding dependency—were analyzed. Results: The oral cavity was the most common tumor site across all age groups. Advanced-stage tumors (T4) were more frequently observed in older patients (>60 years), although the difference was not statistically significant (p = 0.0575). The overall flap survival rate was 98.6%. The mean hospital stay was 24.6 ± 15.86 days and was significantly longer in the >60-years group (p < 0.001). Postoperative dietary tolerance was comparable across age groups, with 56.8% of patients resuming a regular diet. Tube feeding dependency was slightly higher in the >60-years group but did not reach statistical significance (p = 0.1599). Conclusions: Age alone does not significantly affect reconstructive outcomes following microvascular free flap reconstruction for head and neck cancer. Despite a higher prevalence of comorbidities in and longer hospital stays for older patients, flap success rates and functional outcomes were comparable across age groups. Full article
(This article belongs to the Section Surgery)
Show Figures

Figure 1

9 pages, 7243 KB  
Case Report
Quadrilateral Pinwheel Flap Reconstruction for a Complex Colocutaneous Fistula-Associated Flank Wound in a Paraplegic Patient: A Case Report
by Joon Hyuk Lee and Tae Gon Kim
J. Clin. Med. 2026, 15(6), 2394; https://doi.org/10.3390/jcm15062394 - 20 Mar 2026
Viewed by 354
Abstract
Background/Objectives: Chronic wounds are a major source of morbidity in patients with paraplegia, often resulting in repeated treatment, prolonged hospitalization, and reduced quality of life. Reconstruction becomes particularly challenging when a wound arises in a scarred trunk region and is further complicated by [...] Read more.
Background/Objectives: Chronic wounds are a major source of morbidity in patients with paraplegia, often resulting in repeated treatment, prolonged hospitalization, and reduced quality of life. Reconstruction becomes particularly challenging when a wound arises in a scarred trunk region and is further complicated by deep infection, osteomyelitis, or enteric fistula. We describe the staged management of a complex left flank wound in a paraplegic patient, initially reconstructed with a quadrilateral pinwheel flap and later requiring multidisciplinary salvage for recurrence associated with rib osteomyelitis and a colocutaneous fistula. Methods: A paraplegic man in his 50s presented with a chronic left flank wound after repeated full-thickness skin graft failure and persistent Pseudomonas aeruginosa infection. After wide debridement, the approximately 7 × 7 cm defect was reconstructed with a quadrilateral pinwheel flap composed of four Limberg-style rhomboid fasciocutaneous flaps positioned at the 12, 3, 6, and 9 o’clock orientations, elevated at the level of the deep fascia, and transposed into the central defect, with adjunctive negative-pressure wound therapy (NPWT). Approximately 1 year later, recurrence with rib osteomyelitis required rib resection. During NPWT, feculent drainage led to the diagnosis of a colocutaneous fistula. Subsequent multidisciplinary treatment included fistula tract resection, colonic repair with omental patching, transposition of vascularized omentum into the chest wall cavity to obliterate dead space, continued NPWT, and delayed primary closure. Results: Initial local flap reconstruction achieved wound coverage, and immediate postoperative clinical assessment, including pinprick and refill testing, confirmed satisfactory flap perfusion; however, delayed recurrence developed in association with rib osteomyelitis. After definitive fistula surgery, dead-space management with vascularized omentum, wound conditioning with staged NPWT, and delayed primary closure, the wound healed completely. At 6 months after delayed closure, no recurrence of fistula, osteomyelitis, wound dehiscence, or soft-tissue breakdown was observed, and the patient’s daily comfort and functional independence were improved compared with the preoperative condition. Conclusions: A quadrilateral pinwheel flap may provide an effective tension-dispersing local fasciocutaneous option for selected scarred trunk defects in high-risk patients. However, when chronic wounds are compounded by deep infection and enteric fistula, durable healing depends not on flap design alone but on staged multidisciplinary management incorporating definitive source control, vascularized tissue transfer for dead-space elimination, NPWT, and appropriately timed closure. Full article
Show Figures

Figure 1

13 pages, 2219 KB  
Article
Radiation-Induced Malignancies of the Head and Neck: A Single-Center Population Study and Survival Outcomes
by Francesca Fraccaroli, Lorenzo Giannini, Valentina Cristofaro, Andrea Alliata, Stefano Cavalieri and Alberto Deganello
Curr. Oncol. 2026, 33(3), 168; https://doi.org/10.3390/curroncol33030168 - 16 Mar 2026
Viewed by 440
Abstract
Background: Radiation-induced malignancies (RIMs) of the head and neck are rare but serious long-term complications of radiotherapy. With increasing cancer survival rates, their incidence is rising. This study reports the clinicopathological features, treatment approaches, and survival outcomes of patients with head and neck [...] Read more.
Background: Radiation-induced malignancies (RIMs) of the head and neck are rare but serious long-term complications of radiotherapy. With increasing cancer survival rates, their incidence is rising. This study reports the clinicopathological features, treatment approaches, and survival outcomes of patients with head and neck RIMs managed at the National Cancer Institute (Istituto Nazionale dei Tumori—INT) in Milan, Italy. Methods: A retrospective analysis was conducted on patients diagnosed with head and neck RIMs between 2003 and 2024 at the Istituto Nazionale dei Tumori, Milan. Inclusion criteria comprised tumor development within the irradiated field, histological distinction from the primary neoplasm, latency exceeding three years, and absence of alternative etiologic factors. Clinical data were obtained from institutional records. Overall survival (OS) was estimated using the Kaplan–Meier method, with significance set at p < 0.05. Results: Fifty patients fulfilled the inclusion criteria (52% male; median age at primary diagnosis, 40 years). The mean latency between primary and secondary tumors was 20.8 years. The most frequent RIM site was the oral cavity, with squamous cell carcinoma as the predominant histology (66%). Surgery was performed in 66% of cases, achieving R0 resection in 67%. The 2- and 5-year OS rates were 67.4% and 39.3%, respectively, with significantly superior survival after surgery. Conclusions: Head and neck RIMs present substantial diagnostic and therapeutic challenges. Radical surgery remains the most effective treatment, while long-term surveillance and multicenter research are essential to optimize management and mitigate secondary tumor risk. Full article
(This article belongs to the Section Head and Neck Oncology)
Show Figures

Figure 1

8 pages, 2341 KB  
Case Report
Sinonasal Mucosal Epithelioid Melanoma with Rapid Skull-Base and Orbital Progression
by Vita Konopecka, Mārtiņš Blumbergs, Ingus Vilks, Gunta Seglina, Karina Biserova and Edgars Edelmers
J. Clin. Med. 2026, 15(5), 2068; https://doi.org/10.3390/jcm15052068 - 9 Mar 2026
Viewed by 591
Abstract
Background: Sinonasal mucosal melanoma is a rare and aggressive malignancy arising from the nasal cavity and paranasal sinuses, characterized by high local recurrence rates and poor survival. Skull-base and orbital progression can occur rapidly, particularly when preoperative imaging underestimates local extension. This [...] Read more.
Background: Sinonasal mucosal melanoma is a rare and aggressive malignancy arising from the nasal cavity and paranasal sinuses, characterized by high local recurrence rates and poor survival. Skull-base and orbital progression can occur rapidly, particularly when preoperative imaging underestimates local extension. This paper reports a case of sinonasal mucosal epithelioid melanoma with fulminant postoperative skull-base breach and orbital invasion, highlighting its clinical course, management challenges, and histopathological features. Methods: A 60-year-old woman with progressive unilateral nasal obstruction, recurrent epistaxis, and headache underwent clinical evaluation, contrast-enhanced head MRI, CT, and PET-CT staging. Preoperative imaging demonstrated no intracranial or orbital invasion. Biopsy confirmed mucosal epithelioid melanoma with high proliferative activity (Ki-67 ~80–85%). The patient underwent extensive image-guided endoscopic resection with intraoperative cerebrospinal fluid leak repair. Results: Definitive histopathology confirmed pigmented epithelioid melanoma with extensive necrosis, bone invasion, and non-assessable resection margins due to specimen fragmentation (pT4a, Rx). Within two weeks postoperatively, CT and MRI demonstrated extensive local recurrence with cribriform plate destruction, anterior skull-base dural infiltration, and rapid orbital progression with optic nerve compression and loss of vision. Despite hemorrhage control and hypofractionated palliative radiotherapy (VMAT, 33 Gy in 11 fractions), the patient experienced progressive neurological decline, refractory pain, and recurrent tumour bleeding, and died approximately 4.5 months after initial presentation. Conclusions: In patients with sinonasal mucosal epithelioid melanoma, fulminant local progression with skull-base and orbital involvement may occur despite apparently limited preoperative imaging. When rapid vision loss, dural infiltration, and refractory nasal bleeding develop, structured palliation, hemorrhage control, and aggressive multimodal analgesia should be prioritized early alongside ongoing multidisciplinary decision-making. Full article
(This article belongs to the Section Otolaryngology)
Show Figures

Figure 1

15 pages, 7813 KB  
Technical Note
Technical Note of the Endonasal Endoscopic Transethmoidal Transcribriform Approach (EETTA) to the Anterior Cranial Fossa: An Update of the Surgical Technique, Indications, and Limitations
by Edgar G. Ordóñez-Rubiano, Antonia Cadavid-Cobo, Alejandra Ramírez-Romero, Ana S. Rincón-Díaz, Luisa F. Figueredo, Martín Pinzón, Oscar F. Zorro, Javier G. Patiño-Gómez, Diego F. Gómez-Amarillo and Fernando Hakim
Surg. Tech. Dev. 2026, 15(1), 9; https://doi.org/10.3390/std15010009 - 24 Feb 2026
Viewed by 722
Abstract
Background: In the last few decades, endoscopic endonasal approaches (EEA) have revolutionized surgical access to the sellar region and anterior cranial fossa (ACF). One technique, the endoscopic endonasal transethmoidal transcribriform approach (EETTA), offers distinct advantages over traditional open transcranial approaches, such as reduced [...] Read more.
Background: In the last few decades, endoscopic endonasal approaches (EEA) have revolutionized surgical access to the sellar region and anterior cranial fossa (ACF). One technique, the endoscopic endonasal transethmoidal transcribriform approach (EETTA), offers distinct advantages over traditional open transcranial approaches, such as reduced morbidity, shorter hospital stays, faster recovery, and a reduced risk of neurological deficit due to less brain tissue manipulation. Methods: We present a comprehensive step-by-step description of the EETTA surgical technique, illustrated through four representative cases of varying pathologies treated at our institution. The anatomical boundaries—including the lamina papyracea, anterior and posterior ethmoidal arteries, and frontal sinus—and the surgical corridor are detailed alongside indications, technical nuances, limitations, and operative recommendations. Results: Four cases demonstrate the versatility of EETTA across diverse pathologies: two olfactory groove meningiomas (including one WHO grade 2 and one recurrent case with invasive skull base involvement), an esthesioneuroblastoma (ENB), and a recurrent inverted papilloma requiring combined transcranial and endoscopic resection. Near-total or gross-total resection was achieved in all cases. The indications, nuances, and limitations of this approach are discussed, along with tips for successful surgery. Conclusions: The EETTA represents an important minimally invasive option for ACF tumors extending into the nasal cavity, with midline involvement limited medially by the lamina papyracea. Success requires a thorough understanding of skull base anatomy, meticulous multilayer reconstruction techniques, and appropriate patient selection, based on the tumor location and lateral extension. While cerebrospinal fluid (CSF) leak remains the primary concern, contemporary techniques have substantially reduced this complication rate. Full article
Show Figures

Figure 1

16 pages, 864 KB  
Article
Association Between Nutritional Status and Extranodal Extension of Lymph Node Metastases in Head and Neck Squamous Cell Cancers
by Kornél Dános, Mátyás Majoros, Lili Tóth, Benedek Besenczi, Mohammad Aouf, Angéla Horváth, László Tamás and Imre Uri
Nutrients 2026, 18(4), 706; https://doi.org/10.3390/nu18040706 - 22 Feb 2026
Viewed by 514
Abstract
Introduction: Extranodal extension (ENE) is a well-established adverse prognostic factor in head and neck squamous cell carcinoma (HNSCC), associated with reduced survival and the need for intensified therapy. Nutritional status—commonly assessed using the Prognostic Nutritional Index (PNI) and Body Mass Index (BMI)—also influences [...] Read more.
Introduction: Extranodal extension (ENE) is a well-established adverse prognostic factor in head and neck squamous cell carcinoma (HNSCC), associated with reduced survival and the need for intensified therapy. Nutritional status—commonly assessed using the Prognostic Nutritional Index (PNI) and Body Mass Index (BMI)—also influences outcomes in HNSCC. However, whether or not ENE correlates with nutritional status has not been previously investigated. Methods: We conducted a retrospective cohort study of 109 treatment-naïve HNSCC patients with pathologically confirmed nodal metastases who underwent primary tumor resection and neck dissection between 2014 and 2025 at a national tertiary center. ENE status was determined histologically. Nutritional status was evaluated using BMI, PNI, serum albumin, and percentage of weight loss at diagnosis. Statistical analyses included t-tests, Chi-square tests, ANOVA, Cox regression, Kaplan–Meier survival analysis, and Full Factorial General Linear Models. Results: ENE was present in 54.1% of patients and significantly reduced overall survival (Kaplan–Meier p = 0.006; Cox regression RR = 1.927, p = 0.008). No significant differences in BMI, PNI, weight loss, or serum albumin were observed between ENE-positive and ENE-negative groups. ENE prevalence varied significantly by tumor origin (p = 0.018), being highest in hypopharyngeal cancers (75.8%) and lowest in oral cavity tumors (25.0%). ENE status was independent of tobacco use, alcohol abuse, and all nutritional markers across TNM 8/9 subgroups. Conclusions: ENE is a strong prognostic marker in HNSCC, appearing to be independent of nutritional status. The demonstrated heterogeneity of ENE prevalence among tumor subsites supports the need for individualized management approaches. Full article
(This article belongs to the Special Issue Nutritional Approaches to Cancer Prevention and Therapeutic Support)
Show Figures

Figure 1

18 pages, 11220 KB  
Article
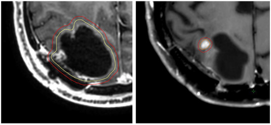
Assessing Impact of Data Quality in Early Post-Operative Glioblastoma Segmentation
by Ragnhild Holden Helland, David Bouget, Asgeir Store Jakola, Sébastien Muller, Ole Solheim and Ingerid Reinertsen
J. Imaging 2026, 12(2), 73; https://doi.org/10.3390/jimaging12020073 - 10 Feb 2026
Viewed by 467
Abstract
Quantification of the residual tumor from early post-operative magnetic resonance imaging (MRI) is essential in follow-up and treatment planning for glioblastoma patients. Residual tumor segmentation from early post-operative MRI is particularly challenging compared to the closely related task of pre-operative segmentation, as the [...] Read more.
Quantification of the residual tumor from early post-operative magnetic resonance imaging (MRI) is essential in follow-up and treatment planning for glioblastoma patients. Residual tumor segmentation from early post-operative MRI is particularly challenging compared to the closely related task of pre-operative segmentation, as the tumor lesions are small, fragmented, and easily confounded with noise in the resection cavity. Recently, several studies successfully trained deep learning models for early post-operative segmentation, yet with subpar performances compared to the analogous task pre-operatively. In this study, the impact of image and annotation quality on model training and performance in early post-operative glioblastoma segmentation was assessed. A dataset consisting of early post-operative MRI scans from 423 patients and two hospitals in Norway and Sweden was assembled, for which image and annotation qualities were evaluated by expert neurosurgeons. The Attention U-Net architecture was trained with five-fold cross-validation on different quality-based subsets of the dataset in order to evaluate the impact of training data quality on model performance. Including low-quality images in the training set did not deteriorate performance on high-quality images. However, models trained on exclusively high-quality images did not generalize to low-quality images. Models trained on exclusively high-quality annotations reached the same performance level as the models trained on the entire dataset, using only two-thirds of the dataset. Both image and annotation quality had a significant impact on model performance. In dataset curation, images should ideally be representative of the quality variations in the real-world clinical scenario, and efforts should be made to ensure exact ground truth annotations of high quality. Full article
(This article belongs to the Special Issue Progress and Challenges in Biomedical Image Analysis—2nd Edition)
Show Figures

Figure 1

14 pages, 1111 KB  
Article
Should Super-Selective Intra-Arterial Chemoradiotherapy Be Prioritized over Surgical Resection for Locally Advanced Oral Cavity Cancer?
by Beng Gwan Teh, Wataru Kobayashi, Kosei Kubota, Shinya Kakehata, Norihiko Narita and Yoshihiro Tamura
Cancers 2026, 18(3), 365; https://doi.org/10.3390/cancers18030365 - 24 Jan 2026
Viewed by 356
Abstract
Background/Objectives: Super-selective intra-arterial chemoradiotherapy (SSIACRT) is an alternatively effective treatment for locally advanced oral cavity cancer although no comparative studies on prognosis between SSIACRT and surgical resection with or without post-operative radiotherapy (S+R) have been reported. This study aimed to compare the 5-year [...] Read more.
Background/Objectives: Super-selective intra-arterial chemoradiotherapy (SSIACRT) is an alternatively effective treatment for locally advanced oral cavity cancer although no comparative studies on prognosis between SSIACRT and surgical resection with or without post-operative radiotherapy (S+R) have been reported. This study aimed to compare the 5-year survival rate and Quality of Life (QoL) between S+R and SSIACRT for locally advanced oral cavity cancer. Methods: From a total of 326 patients with stage III and IV oral cavity cancer treated between 2000–2020 at a single institution, 149 patients treated with S+R and SSIACRT were analyzed by using Propensity Score Matching (PSM) method, a pseudo-randomized controlled trial, and the matched cases were retrospectively evaluated. The 5-year survival rate and QoL were evaluated using the Kaplan–Meier method and the University of Washington QoL questionnaire, respectively. Log-rank test and Cox proportional hazards model were used to compare 5-year survival rate and to assess factors affecting survival rates, respectively. Paired t-test was used to compare QoL. Results: To compare the 5-year survival rate and QoL between S+R and SSIACRT, 48 and 15 cases were matched after PSM. The 149 cases were further evaluated for covariates affecting survival rates. The 5-year disease-specific survival rate and 5-year crude survival rate were 52.4% and 44.3% for S+R and 71.3%, and 62.9% for SSIACRT, respectively. There was no statistical difference in survival rates between both treatments, based on Log-rank test analysis. Treatment method was the only independent variable that influenced survival rates. SSIACRT showed better statistical difference in QoL evaluation, specifically in appearance, activity, recreation, swallowing, speech, shoulder, taste, mood, and total score. Conclusions: Propensity score-matched analysis demonstrated survival outcomes that were comparable to, and not inferior to, S+R. However, SSIACRT was associated with superior quality-of-life outcomes compared with S+R, as shown by Cox proportional hazards modeling. These findings suggest that SSIACRT is an effective treatment option and, from a quality-of-life perspective, may be considered a preferable approach in the management of locally advanced oral cavity cancer. Full article
(This article belongs to the Section Cancer Survivorship and Quality of Life)
Show Figures

Figure 1

12 pages, 936 KB  
Article
Fractionated Stereotactic Radiotherapy to Resection Cavities Following Brain Metastasis Surgery: Clinical Outcomes and Challenges
by Paul Windisch, Robert Förster, Daniel R. Zwahlen and Christina Schröder
Cancers 2026, 18(2), 304; https://doi.org/10.3390/cancers18020304 - 19 Jan 2026
Viewed by 698
Abstract
Brain metastases (BMs) represent the most common intracranial malignancy in adults, affecting up to 50% of patients with solid tumours [...] Full article
(This article belongs to the Special Issue Advances in Radiation Therapy for Brain Metastases)
Show Figures

Figure 1

20 pages, 2289 KB  
Case Report
Anatomically Precise Microsurgical Resection of a Posterior Fossa Cerebellar Metastasis in an Elderly Patient with Preservation of Venous Outflow, Dentate Nucleus, and Cerebrospinal Fluid Pathways
by Nicolaie Dobrin, Felix-Mircea Brehar, Daniel Costea, Adrian Vasile Dumitru, Alexandru Vlad Ciurea, Octavian Munteanu and Luciana Valentina Munteanu
Diagnostics 2025, 15(24), 3131; https://doi.org/10.3390/diagnostics15243131 - 9 Dec 2025
Viewed by 1165
Abstract
Background and Clinical Significance: Adults suffering from cerebellar metastases are often at high risk for rapid deterioration of their neurological status because the posterior fossa has limited compliance and the location of these metastases are close to the brain stem and important [...] Read more.
Background and Clinical Significance: Adults suffering from cerebellar metastases are often at high risk for rapid deterioration of their neurological status because the posterior fossa has limited compliance and the location of these metastases are close to the brain stem and important cerebrospinal fluid (CSF) pathways. In this paper, we present a longitudinal, patient-centered report on the history of an elderly individual who suffered from cognitive comorbidities and experienced a sudden loss of function in her cerebellum. Our goal in reporting this case is to provide a comparison between the patient’s pre-operative and post-operative neurological examinations; the imaging studies she had before and after surgery; the surgical techniques utilized during her operation; and the outcome of her post-operative course in a way that will be helpful to other patients who have experienced a similar situation. Case Presentation: We report the case of an 80-year-old woman who initially presented with progressive ipsilateral limb-trunk ataxia, impaired smooth pursuit eye movement, and rebound nystagmus, but preserved pyramidal and sensory functions. Her quantitative bedside assessments included some of the components of the Scale for the Assessment and Rating of Ataxia (SARA), and a National Institute of Health Stroke Scale (NIHSS) score of 3. These findings indicated dysfunction of the left neocerebellar hemisphere and possible dentate nucleus involvement. The patient’s magnetic resonance imaging (MRI) results demonstrated an expansive mass with surrounding vasogenic edema and marked compression and narrowing of the exits of the fourth ventricle which placed the patient’s CSF pathways at significant risk of occlusion, while the aqueduct and inlets were patent. She then underwent a left lateral suboccipital craniectomy with controlled arachnoidal CSF release, preservation of venous drainage routes, subpial corticotomy oriented along the lines of the folia, stepwise internal debulking, and careful protection of the cerebellar peduncles and dentate nucleus. Dural reconstruction utilized a watertight pericranial graft to restore the cisternal compartments. Her post-operative intensive care unit (ICU) management emphasized optimal venous outflow, normoventilation, and early mobilization. Histopathology confirmed the presence of metastatic carcinoma, and staging suggested that the most likely source of the primary tumor was the lungs. Immediately post-operation, computed tomography (CT) imaging revealed a smooth resection cavity with open foramina of Magendie and Luschka, intact contours of the brain stem, and no evidence of bleeding or hydrocephalus. The patient’s neurological deficits, including dysmetria, scanning dysarthria, and ataxic gait, improved gradually during the first 48 h post-operatively. Upon discharge, the patient demonstrated an improvement in her limb-kinetic subscore on the International Cooperative Ataxia Rating Scale (ICARS) and demonstrated independent ambulation. At two weeks post-operation, CT imaging revealed decreasing edema and stable cavity size, and the patient’s modified Rankin scale had improved from 3 upon admission to 1. There were no episodes of CSF leakage, wound complications, or new cranial nerve deficits. A transient post-operative psychotic episode that was likely secondary to her underlying Alzheimer’s disease was managed successfully with short-course pharmacotherapy. Conclusions: The current case study demonstrates the value of anatomy-based microsurgical planning, preservation of venous and CSF pathways, and targeted peri-operative management to facilitate rapid recovery of function in older adults who suffer from cerebellar metastasis and cognitive comorbidities. The case also demonstrates the importance of early multidisciplinary collaboration to allow for timely initiation of both adjuvant stereotactic radiosurgery and molecularly informed systemic therapy. Full article
(This article belongs to the Special Issue Brain/Neuroimaging 2025–2026)
Show Figures

Figure 1

14 pages, 931 KB  
Systematic Review
Anatomical Features of the Sphenoid Sinus and Their Clinical Significance in Transsphenoidal Accesses to the Pituitary Gland and Parasellar Region: A Systematic Review
by Kristian Bechev, Antoaneta Fasova, Nina Yotova, Daniel Markov and Vladimir Aleksiev
Diagnostics 2025, 15(24), 3125; https://doi.org/10.3390/diagnostics15243125 - 8 Dec 2025
Viewed by 980
Abstract
Background: The sphenoid sinus is essential for transsphenoidal surgical accesses to the sellar and parasellar regions because of its anatomic proximity to vital vascular and neurologic structures such as the internal carotid artery, optic nerve, and cavernous sinus. The high degree of morphological [...] Read more.
Background: The sphenoid sinus is essential for transsphenoidal surgical accesses to the sellar and parasellar regions because of its anatomic proximity to vital vascular and neurologic structures such as the internal carotid artery, optic nerve, and cavernous sinus. The high degree of morphological variability of the sphenoid sinus has a significant impact on surgical technique and the risk of intraoperative complications. Detailed knowledge of individual anatomy is therefore crucial for the safety and efficacy of transsphenoidal approaches. Objectives: This review aims to conduct a systematic analysis of the current scientific literature on anatomical variations in the sphenoid sinus and their clinical relevance in surgical interventions to the skull base. Special attention is paid to the influence of morphological features on surgical strategies to pathological processes in this area and postoperative outcomes. Materials and Methods: A systematic review of the literature was conducted according to PRISMA 2020 guidelines. The PubMed, Scopus, Web of Science, and Google Scholar databases were searched for the period March 2010 to March 2025. Keywords such as “sphenoid sinus”, “anatomical variations”, “transsphenoidal surgery” and “skull base” were used. Original studies, systematic reviews, and meta-analyses focused on the anatomy, pneumatization, and surgical significance of sphenoid sinus variations are included. Quality and relevance criteria for published material were considered in the selection of articles. Results: The most commonly identified anatomic variations included sellar and lateral pneumaticity, the presence of Onodi cells, multiple and deviated septa, and dehiscence of the posterior wall of the sphenoid sinus and prolapse into its cavity of the internal carotid artery. These variations are associated with an increased risk of intraoperative vascular injury, visual deficit, and postoperative liquorrhea. Accurate preoperative assessment by high-resolution computed axial tomography and magnetic resonance imaging, as well as the use of intraoperative neuronavigation, are critical to reduce surgical risk. Conclusions: Anatomic variations in the sphenoid sinus are an essential factor to consider when planning and performing transsphenoidal surgical accesses. An individualized approach based on detailed diagnostic imaging analysis and neuronavigation technologies contributes to a higher safety of the performed surgical interventions, a better radicality of tumor resection and more favorable postoperative outcomes. Full article
(This article belongs to the Section Clinical Diagnosis and Prognosis)
Show Figures

Figure 1

16 pages, 3361 KB  
Article
PRF Membranes Enhance Postoperative Recovery After Periapical Surgery: A Single-Blind Randomized Pilot Trial Using 3D Imaging
by Martin Major, Melinda Polyák, Tamás Würsching, Gábor Kammerhofer, Éva Kocsis, Zsolt Németh and György Szabó
Oral 2025, 5(4), 98; https://doi.org/10.3390/oral5040098 - 3 Dec 2025
Viewed by 701
Abstract
Background: Periapical surgery is indicated for persistent periapical lesions that do not respond to conventional endodontic therapy, yet postoperative recovery is often hindered by pain, swelling, and delayed healing. Platelet-rich fibrin (PRF) membranes are autologous biomaterials with regenerative potential, capable of modulating inflammation [...] Read more.
Background: Periapical surgery is indicated for persistent periapical lesions that do not respond to conventional endodontic therapy, yet postoperative recovery is often hindered by pain, swelling, and delayed healing. Platelet-rich fibrin (PRF) membranes are autologous biomaterials with regenerative potential, capable of modulating inflammation and promoting tissue repair. Methods: This preliminary randomized controlled trial evaluated the effectiveness of PRF membranes in improving postoperative outcomes—specifically pain, swelling, and quality of life—after apicoectomy. Twenty patients requiring periapical surgery were randomly allocated to a PRF group (n = 10) or a control group (n = 10). In the PRF group, autologous PRF membranes were applied over the resected root-end and into the osteotomy cavity before flap closure. In the control group, no PRF membranes or any additional biomaterial were applied, apart from the standard root-end filling material (MTA), which was identically used in both groups as part of the routine apicoectomy protocol. All patients were blinded to allocation, and outcomes were assessed by an independent blinded evaluator. Facial swelling was quantified by 3D facial scanning, pain was recorded daily using a visual analog scale (VAS), and quality of life was evaluated with the PROMIS-29+2 Profile. Results: The PRF group showed significantly reduced swelling (mean volume difference, 7.12 cm3; p = 0.025), lower pain scores (VAS: 1.80 ± 1.22 vs. 3.80 ± 2.44; p = 0.034), and improved quality-of-life domains, including higher Physical Function (p = 0.032) and lower Sleep Disturbance (p = 0.008) scores. Conclusions: Within the limitations of this pilot study, PRF membranes enhanced postoperative recovery after periapical surgery by reducing swelling and pain while improving patient-reported outcomes. Larger multicenter trials are needed to confirm these preliminary findings. Full article
Show Figures

Figure 1

18 pages, 3829 KB  
Article
Assessment of Photodynamic Therapy Penetration Depth in a Synthetic Pig Brain Model: A Novel Approach to Simulate the Reach of PDT-Mediated Effects In Vitro
by Nicolas Bader, Annika Hajosch, Christian Peschmann, Kathrin Stucke-Straub, Christian Rainer Wirtz, Richard Eric Kast, Marc-Eric Halatsch, Felix Capanni and Georg Karpel-Massler
Pharmaceuticals 2025, 18(12), 1837; https://doi.org/10.3390/ph18121837 - 2 Dec 2025
Viewed by 725
Abstract
Background/Objectives: Recurrence of glioblastoma (GBM) mostly occurs in close vicinity to the resection cavity. Therefore, our group has previously designed an implant to locally apply repetitive photodynamic therapy to mitigate tumor recurrence. The penetration depths of different wavelengths in brain tissue were exhaustively [...] Read more.
Background/Objectives: Recurrence of glioblastoma (GBM) mostly occurs in close vicinity to the resection cavity. Therefore, our group has previously designed an implant to locally apply repetitive photodynamic therapy to mitigate tumor recurrence. The penetration depths of different wavelengths in brain tissue were exhaustively studied before. However, the PDT-induced biological effects of 5-ALA-based PDT against GBM cells at different depths have not been evaluated yet. Methods: Therefore, a synthetic brain substitute material of 1–10 mm thickness and with optical properties comparable to the white or gray matter of pig brain was developed. Tumor cell viability was assessed in spheroids from six GBM cell lines using disks of varying thickness prepared from pig brain substitute material to mimic in vivo radiation attenuation. Results: Using an artificial brain tissue optical model based on material science, we have established a relationship between the PDT-induced effect of our PDT implant and the distance of migrating GBM cells from the resection cavity wall. Conclusions: This model may be helpful to aid optimization of the irradiation doses and fractionation required to attain the maximal therapeutic effect by long-term PDT applications. Full article
(This article belongs to the Special Issue Photodynamic Therapy: 3rd Edition)
Show Figures

Graphical abstract

8 pages, 892 KB  
Article
Reconstruction of Surgical Defects of the Oral Cavity with Bilayer Dermal Matrix: Our Experience
by Andrea Ferri, Mara David, Giulia Salti, Giovanni Lilloni, Bernardo Bianchi and Silvano Ferrari
J. Clin. Med. 2025, 14(23), 8534; https://doi.org/10.3390/jcm14238534 - 1 Dec 2025
Cited by 1 | Viewed by 523
Abstract
Purpose: Reconstructive options for mucosal defects of the oral cavity resulting from the resection of tumors include primary closure, mucosal and split thickness skin grafts, pedicle flaps, and microvascular free flaps. Lately the use of an acellular dermal bilayer matrix has been introduced [...] Read more.
Purpose: Reconstructive options for mucosal defects of the oral cavity resulting from the resection of tumors include primary closure, mucosal and split thickness skin grafts, pedicle flaps, and microvascular free flaps. Lately the use of an acellular dermal bilayer matrix has been introduced for the reconstruction of superficial mucosal defects of the oral cavity. Methods: Twenty-one patients treated for SCC of the oral cavity with intraoral resection and simultaneous reconstruction using a bilayer dermal matrix between 1 January 2020 and 31 December 2024 with at least 6 months of follow-up were retrospectively considered. Data were collected regarding the site of the lesion, the initial TNM staging, the size of the surgical defect, the timing of silicone sheet removal, the complications and the long-term outcomes. Results: Tumor site included the tongue in 16 cases, the hard palate in 1 case, the cheek in 2 cases, the floor of the mouth in 1 patient, and the inferior lip in 1 patient. Re-epithelialization was achieved in all cases within 21 days. No major complication was observed. Conclusions: Bilayer dermal matrix demonstrated to be an excellent option for small and superficial oral cavity reconstruction if proper indications are followed. Full article
Show Figures

Figure 1

16 pages, 2490 KB  
Review
Atrial Myxoma in Both Chambers: Biatrial or Bilateral? A Rare Case Resected via Endoscopic Approach and Literature Review
by Marius Mihai Harpa, Emanuel-David Anitei, Hussam Al Hussein, Mihaly Veres, Simona Gurzu, Diana Roxana Opriș, Fiat Emilia Sorina, Emil Marian Arbănași, Claudiu Ghiragosian, Cosmin Marian Banceu, Horatiu Suciu and Robert Balan
Med. Sci. 2025, 13(4), 294; https://doi.org/10.3390/medsci13040294 - 30 Nov 2025
Viewed by 611
Abstract
Background: Primary cardiac tumors are exceedingly rare, with myxomas representing the most common benign type among these tumors, predominantly located in the left atrium. Biatrial involvement is an exceptional presentation, reported in less than 2.5% of cases. The terms bilateral and biatrial atrial [...] Read more.
Background: Primary cardiac tumors are exceedingly rare, with myxomas representing the most common benign type among these tumors, predominantly located in the left atrium. Biatrial involvement is an exceptional presentation, reported in less than 2.5% of cases. The terms bilateral and biatrial atrial myxoma are often confused and used interchangeably. We present a rare case of atrial myxoma involving both chambers, resected via a minimally invasive endoscopic approach, accompanied by a literature review. Case Presentation: A 52-year-old male with a three-month history of progressive fatigue and exertional dyspnea was found, on transthoracic echocardiography and cardiac MR, to have two intracardiac masses affecting both atria. Intraoperative transesophageal echocardiography confirmed the presence of mirror-image myxomas attached to the interatrial septum, in the absence of any septal defect. The tumors were excised en bloc, including the septal attachment, using a minimally invasive endoscopic approach. Histopathological examination confirmed the diagnosis of atrial myxoma, and the postoperative course was uneventful. Conclusions: Bilateral and biatrial atrial myxomas are exceedingly rare forms of cardiac tumors. In many cases, the first clinical manifestations may arise from cerebral or peripheral embolic events or from pulmonary thromboembolism. For this reason, screening echocardiography may be useful, particularly in cases of familial myxoma. Transthoracic and transesophageal echocardiography, combined with careful inspection of all cardiac chambers, play a crucial role in preventing recurrence by detecting small or overlooked tumor fragments. The minimally invasive endoscopic approach offers a safe and effective surgical option for biatrial myxomas, providing excellent visualization and facilitating thorough exploration of the cardiac cavities. Full article
Show Figures

Figure 1

Back to TopTop