Sign in to use this feature.

Years

Between: -

Subjects

remove_circle_outline
remove_circle_outline
remove_circle_outline
remove_circle_outline
remove_circle_outline

Journals

Article Types

Countries / Regions

Search Results (69)

Search Parameters:
Keywords = pulmonary atelectasis

Order results
Result details
Results per page
Select all
Export citation of selected articles as:
9 pages, 2957 KB  
Case Report
Flexible Bronchoscopic En Bloc Cryoextraction of Endobronchial Leiomyoma Using a 1.7-mm Cryoprobe: A Case Report with One-Year Follow-Up
by Chaeuk Chung and Dongil Park
Diagnostics 2025, 15(22), 2850; https://doi.org/10.3390/diagnostics15222850 - 11 Nov 2025
Abstract
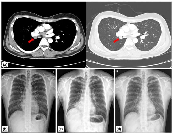
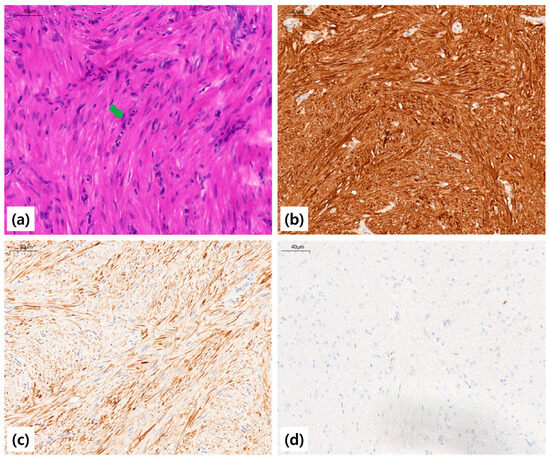
Background and Clinical Significance: Endobronchial leiomyoma is a rare benign tumor of the respiratory tract, accounting for less than 2% of all benign pulmonary neoplasms. Most cases have been treated surgically or with endoscopic modalities such as laser or rigid bronchoscopy-assisted cryotherapy. Flexible [...] Read more.
Background and Clinical Significance: Endobronchial leiomyoma is a rare benign tumor of the respiratory tract, accounting for less than 2% of all benign pulmonary neoplasms. Most cases have been treated surgically or with endoscopic modalities such as laser or rigid bronchoscopy-assisted cryotherapy. Flexible bronchoscopic cryoextraction has been rarely reported, typically with 2.2-mm probes. Small-caliber cryoprobes (1.1- and 1.7-mm) have been validated for diagnostic transbronchial cryobiopsy but not for therapeutic removal of leiomyoma. We report a case of complete removal of endobronchial leiomyoma using a 1.7-mm cryoprobe via flexible bronchoscopy, demonstrating full airway and physiologic recovery. Case Presentation: A 25-year-old never-smoking man was referred after an abnormal health-screening chest radiograph demonstrated right middle and lower lobe atelectasis. Chest CT revealed a mass obstructing the proximal bronchus intermedius. Spirometry showed reduced FEV1 and FVC with preserved FEV1/FVC ratio, consistent with central airway obstruction. Therapeutic flexible bronchoscopy (Olympus BF-1TQ290) was performed under endotracheal intubation. Initial forceps biopsies were followed by transbronchial cryobiopsy with a 1.7-mm cryoprobe, applied for five freeze–adhesion cycles. The mass detached en bloc and was retrieved without complications, resulting in complete airway recanalization and visualization of the right middle and lower lobe bronchi. Histopathology showed interlacing fascicles of bland spindle cells with cigar-shaped nuclei, positive for SMA and desmin and negative for S-100 and CD34, confirming leiomyoma. The patient was discharged the next day. At one-year follow-up, bronchoscopy and CT demonstrated no recurrence, and spirometry normalized. Conclusions: Reports combining flexible bronchoscopy with a 1.7-mm small-caliber cryoprobe for en bloc removal of endobronchial leiomyoma are rare. This technique may represent a minimally invasive option for selected cases, provided careful hemostatic planning and appropriate case selection. Full article
Show Figures

Figure 1

11 pages, 1049 KB  
Article
Clinical and Radiological Evolution of Bronchiectasis Treated with Long-Term High Flow Nasal Therapy: The Impact of HFT on the Progression of Bronchiectasis
by Giuseppe Fiorentino, Anna Annunziata, Rosa Cauteruccio, Antonella Marotta, Pasquale Imitazione, Antonietta Coppola, Gerardo Langella, Salvatore Guarino and Francesca Simioli
Medicina 2025, 61(10), 1807; https://doi.org/10.3390/medicina61101807 - 9 Oct 2025
Viewed by 385
Abstract
Background and Objectives: a “vicious vortex” model was proposed to explain the pathophysiology of bronchiectasis, incorporating abnormal mucus, altered mucociliary clearance and chronic inflammation. Evidently, airway clearance needs to be implemented in the patient’s daily routine for a protracted period in order to [...] Read more.
Background and Objectives: a “vicious vortex” model was proposed to explain the pathophysiology of bronchiectasis, incorporating abnormal mucus, altered mucociliary clearance and chronic inflammation. Evidently, airway clearance needs to be implemented in the patient’s daily routine for a protracted period in order to ameliorate the clinical outcomes. High Flow therapy (HFT) has several physiologic effects and represents a valid therapy for various respiratory diseases. The aim of this study is to assess clinical and radiologic effects of long-term HFT in adult non-CF bronchiectasis. Materials and Methods: This is a retrospective observational cohort study including adult patients affected by bronchiectasis and frequent exacerbations and hospitalizations. A chest HRCT was performed, and a quantitative evaluation of the scans was conducted applying a modified Bhalla score of five items. A total of 44 patients completed the follow up, 23 in the HF-group and 21 in the controls (No-HF group). Results: The median follow up was 41 months (range 36–48 months). The mean age was 65 years, 45% were females. After treatment the annual rate of exacerbations was significantly lower in the HF group (1.2 ± 0.95 versus 3.5 ± 1.0 per year, p < 0.0001). The annual rate of hospitalizations was significantly lower in the HF group (0.4 ± 0.52 versus 1 ± 0.93 per year, p = 0.01). The total score of the modified Bhalla improved after treatment in the HF group with a mean score of 5.32 versus 8.38, p = 0.034. The difference was substantially due to the lower score of mucoid impactions in the HF group. Conclusions: Bronchiectasis is an evolutive disease. Long-term HFT reduces the annual rate of exacerbation and hospitalization. In addition, HFT prevents mucoid impaction and potentially influences the radiological evolution of the disease. Full article
(This article belongs to the Section Pulmonology)
Show Figures

Figure 1

20 pages, 2126 KB  
Article
Surgical and Radiologic Outcomes Following Pulmonary Lobectomy: A Single-Center Experience
by Raluca Oltean, Liviu Oltean, Andreea Nelson Twakor and Teodor Horvat
Surgeries 2025, 6(4), 84; https://doi.org/10.3390/surgeries6040084 - 30 Sep 2025
Viewed by 680
Abstract
Background: Pulmonary lobectomy remains the gold standard for early-stage non-small cell lung cancer, with the primary goal of complete tumor removal. Postoperative imaging is critical for evaluating recovery and identifying complications, yet systematic descriptions of radiologic patterns after lobectomy are limited. Methods: We [...] Read more.
Background: Pulmonary lobectomy remains the gold standard for early-stage non-small cell lung cancer, with the primary goal of complete tumor removal. Postoperative imaging is critical for evaluating recovery and identifying complications, yet systematic descriptions of radiologic patterns after lobectomy are limited. Methods: We conducted a retrospective analysis of 125 patients who underwent pulmonary lobectomy between 2019 and 2024 at a tertiary thoracic surgery center. Preoperative and postoperative imaging findings were coded and compared using a standardized classification system. Modalities included chest radiography, thoracic CT, ultrasound, PET-CT and MRI. Results: Postoperative imaging demonstrated a clear reduction in pathological findings. Emphysema decreased from 29.6% to 21.6%, pleural effusion from 12.8% to 3.2%, atelectasis/pleural thickening from 15.2% to 8.8%, and ground-glass infiltrates from 12.0% to 8.0%. The proportion of patients without abnormalities increased from 18.5% to 24.8%. Chest radiography (92%) and CT (89.6%) were the most frequently employed modalities. Patients treated with VATS lobectomy showed slightly fewer postoperative abnormalities compared with those undergoing open surgery. Conclusions: Pulmonary lobectomy is associated with measurable radiologic improvement, reflecting favorable structural recovery. Routine imaging follow-up, particularly chest radiography, remains essential for early detection of complications and guiding postoperative care. However, the retrospective single-center design and limited generalizability represent important limitations that should be considered when interpreting these findings. Full article
(This article belongs to the Special Issue Cardiothoracic Surgery)
Show Figures

Figure 1

11 pages, 2637 KB  
Article
AI Enhances Lung Ultrasound Interpretation Across Clinicians with Varying Expertise Levels
by Seyed Ehsan Seyed Bolouri, Masood Dehghan, Mahdiar Nekoui, Brian Buchanan, Jacob L. Jaremko, Dornoosh Zonoobi, Arun Nagdev and Jeevesh Kapur
Diagnostics 2025, 15(17), 2145; https://doi.org/10.3390/diagnostics15172145 - 25 Aug 2025
Viewed by 1396
Abstract
Background/Objective: Lung ultrasound (LUS) is a valuable tool for detecting pulmonary conditions, but its accuracy depends on user expertise. This study evaluated whether an artificial intelligence (AI) tool could improve clinician performance in detecting pleural effusion and consolidation/atelectasis on LUS scans. Methods [...] Read more.
Background/Objective: Lung ultrasound (LUS) is a valuable tool for detecting pulmonary conditions, but its accuracy depends on user expertise. This study evaluated whether an artificial intelligence (AI) tool could improve clinician performance in detecting pleural effusion and consolidation/atelectasis on LUS scans. Methods: In this multi-reader, multi-case study, 14 clinicians of varying experience reviewed 374 retrospectively selected LUS scans (cine clips from the PLAPS point, obtained using three different probes) from 359 patients across six centers in the U.S. and Canada. In phase one, readers scored the likelihood (0–100) of pleural effusion and consolidation/atelectasis without AI. After a 4-week washout, they re-evaluated all scans with AI-generated bounding boxes. Performance metrics included area under the curve (AUC), sensitivity, specificity, and Fleiss’ Kappa. Subgroup analyses examined effects by reader experience. Results: For pleural effusion, AUC improved from 0.917 to 0.960, sensitivity from 77.3% to 89.1%, and specificity from 91.7% to 92.9%. Fleiss’ Kappa increased from 0.612 to 0.774. For consolidation/atelectasis, AUC rose from 0.870 to 0.941, sensitivity from 70.7% to 89.2%, and specificity from 85.8% to 89.5%. Kappa improved from 0.427 to 0.756. Conclusions: AI assistance enhanced clinician detection of pleural effusion and consolidation/atelectasis in LUS scans, particularly benefiting less experienced users. Full article
Show Figures

Figure 1

21 pages, 14138 KB  
Case Report
Multi-Level Oncological Management of a Rare, Combined Mediastinal Tumor: A Case Report
by Vasileios Theocharidis, Thomas Rallis, Apostolos Gogakos, Dimitrios Paliouras, Achilleas Lazopoulos, Meropi Koutourini, Myrto Tzinevi, Aikaterini Vildiridi, Prokopios Dimopoulos, Dimitrios Kasarakis, Panagiotis Kousidis, Anastasia Nikolaidou, Paraskevas Vrochidis, Maria Mironidou-Tzouveleki and Nikolaos Barbetakis
Curr. Oncol. 2025, 32(8), 423; https://doi.org/10.3390/curroncol32080423 - 28 Jul 2025
Cited by 1 | Viewed by 1602
Abstract
Malignant mediastinal tumors are a group representing some of the most demanding oncological challenges for early, multi-level, and successful management. The timely identification of any suspicious clinical symptomatology is urgent in achieving an accurate, staged histological diagnosis, in order to follow up with [...] Read more.
Malignant mediastinal tumors are a group representing some of the most demanding oncological challenges for early, multi-level, and successful management. The timely identification of any suspicious clinical symptomatology is urgent in achieving an accurate, staged histological diagnosis, in order to follow up with an equally detailed medical therapeutic plan (interventional or not) and determine the principal goals regarding efficient overall treatment in these patients. We report a case of a 24-year-old male patient with an incident-free prior medical history. An initial chest X-ray was performed after the patient reported short-term, consistent moderate chest pain symptomatology, early work fatigue, and shortness of breath. The following imaging procedures (chest CT, PET-CT) indicated the presence of an anterior mediastinal mass (meas. ~11 cm × 10 cm × 13 cm, SUV: 8.7), applying additional pressure upon both right heart chambers. The Alpha-Fetoprotein (aFP) blood levels had exceeded at least 50 times their normal range. Two consecutive diagnostic attempts with non-specific histological results, a negative-for-malignancy fine-needle aspiration biopsy (FNA-biopsy), and an additional tumor biopsy, performed via mini anterior (R) thoracotomy with “suspicious” cellular gatherings, were performed elsewhere. After admission to our department, an (R) Video-Assisted Thoracic Surgery (VATS) was performed, along with multiple tumor biopsies and moderate pleural effusion drainage. The tumor’s measurements had increased to DMax: 16 cm × 9 cm × 13 cm, with a severe degree of atelectasis of the Right Lower Lobe parenchyma (RLL) and a pressure-displacement effect upon the Superior Vena Cava (SVC) and the (R) heart sinus, based on data from the preoperative chest MRA. The histological report indicated elements of a combined, non-seminomatous germ-cell mediastinal tumor, posthuberal-type teratoma, and embryonal carcinoma. The imminent chemotherapeutic plan included a “BEP” (Bleomycin®/Cisplatin®/Etoposide®) scheme, which needed to be modified to a “VIP” (Cisplatin®/Etoposide®/Ifosfamide®) scheme, due to an acute pulmonary embolism incident. While the aFP blood levels declined, even reaching normal measurements, the tumor’s size continued to increase significantly (DMax: 28 cm × 25 cm × 13 cm), with severe localized pressure effects, rapid weight loss, and a progressively worsening clinical status. Thus, an emergency surgical intervention took place via median sternotomy, extended with a complementary “T-Shaped” mini anterior (R) thoracotomy. A large, approx. 4 Kg mediastinal tumor was extracted, with additional RML and RUL “en-bloc” segmentectomy and partial mediastinal pleura decortication. The following histological results, apart from verifying the already-known posthuberal-type teratoma, indicated additional scattered small lesions of combined high-grade rabdomyosarcoma, chondrosarcoma, and osteosarcoma, as well as numerous high-grade glioblastoma cellular gatherings. No visible findings of the previously discovered non-seminomatous germ-cell and embryonal carcinoma elements were found. The patient’s postoperative status progressively improved, allowing therapeutic management to continue with six “TIP” (Cisplatin®/Paclitaxel®/Ifosfamide®) sessions, currently under his regular “follow-up” from the oncological team. This report underlines the importance of early, accurate histological identification, combined with any necessary surgical intervention, diagnostic or therapeutic, as well as the appliance of any subsequent multimodality management plan. The diversity of mediastinal tumors, especially for young patients, leaves no place for complacency. Such rare examples may manifest, with equivalent, unpredictable evolution, obliging clinical physicians to stay constantly alert and not take anything for granted. Full article
(This article belongs to the Section Thoracic Oncology)
Show Figures

Graphical abstract

15 pages, 1336 KB  
Article
Radiologic and Clinical Correlates of Long-Term Post-COVID-19 Pulmonary Sequelae
by Gorkem Durak, Kaan Akin, Okan Cetin, Emre Uysal, Halil Ertugrul Aktas, Ulku Durak, Ahmet Yasin Karkas, Naci Senkal, Hatice Savas, Atadan Tunaci, Alpay Medetalibeyoglu, Ulas Bagci and Sukru Mehmet Erturk
J. Clin. Med. 2025, 14(14), 4874; https://doi.org/10.3390/jcm14144874 - 9 Jul 2025
Viewed by 1226
Abstract
Background/Objectives: The long-term sequelae of COVID-19 pneumonia, particularly the persistence of imaging abnormalities and their relationship to clinical symptoms, remain unclear. While the acute radiologic patterns are well-documented, the transition to chronic pulmonary changes—and their implications for long COVID symptoms—require systematic investigation. [...] Read more.
Background/Objectives: The long-term sequelae of COVID-19 pneumonia, particularly the persistence of imaging abnormalities and their relationship to clinical symptoms, remain unclear. While the acute radiologic patterns are well-documented, the transition to chronic pulmonary changes—and their implications for long COVID symptoms—require systematic investigation. Methods: Our study included 93 patients with moderate to severe COVID-19 pneumonia who were admitted to Istanbul Medical Faculty Hospital, each having one follow-up CT scan over a ten-month period. Two thoracic radiologists independently calculated semi-quantitative initial chest CT scores to evaluate lung involvement in pneumonia (0–5 per lobe, total score 0–25). Two radiologists and one pulmonologist retrospectively examined the persistence of follow-up imaging findings, interpreting them alongside the relevant clinical and laboratory data. Additionally, in a subcohort (n = 46), mid-term (5–7 months) and long-term (≥10 months) scans were compared to assess temporal trajectories. Results: Among the 93 patients with long-term follow-up imaging, non-fibrotic changes persisted in 34 scans (36.6%), while fibrotic-like changes were observed in 70 scans (75.3%). The most common persistent non-fibrotic changes were heterogeneous attenuation (29%, n = 27) and ground-glass opacities (17.2%, n = 16), and the persistent fibrotic-like changes were pleuroparenchymal bands or linear atelectasis (58%, n = 54), fine reticulation (52.6%, n = 49), and subpleural curvilinear lines (34.4%, n = 32). Both persistent non-fibrotic and fibrotic-like changes were statistically correlated with the initial CT score (p < 0.001), LDH (p < 0.001), and ferritin levels (p = 0.008 and p = 0.003, respectively). Fatigue (p = 0.025) and chest pain (p < 0.001) were reported more frequently in patients with persistent non-fibrotic changes, while chest pain (p = 0.033) was reported more frequently among those with persistent fibrotic-like changes. Among the 46 patients who underwent both mid- and long-term follow-up imaging, 47.2% of those with non-fibrotic changes (17 out of 36) and 10% of those with fibrotic-like changes (4 out of 40) exhibited regression over the long term. Conclusions: Initial imaging and laboratory findings may indicate persistent imaging findings related to long-term sequelae of COVID-19 pneumonia. Many of these persistent imaging abnormalities, particularly non-fibrotic changes seen in the mid-term, tend to lessen over the long term. A correlation exists between persistent imaging findings and clinical outcomes of long COVID-19, underscoring the need for further research. Full article
(This article belongs to the Special Issue Post-COVID Symptoms and Causes, 3rd Edition)
Show Figures

Figure 1

11 pages, 572 KB  
Systematic Review
Protocols for Prone Positioning in Pediatric Patients with Hypoxemia: Impact on Oxygenation, Lung Function, and Clinical Safety
by Jose Luis Estela-Zape, Valeria Sanclemente-Cardoza and Leidy Tatiana Ordoñez-Mora
Children 2025, 12(6), 743; https://doi.org/10.3390/children12060743 - 7 Jun 2025
Viewed by 2016
Abstract
Background/Objectives: This review aims to identify existing protocols and evaluate the effects of prone positioning on oxygenation and clinical outcomes in pediatric patients with hypoxemia. Methods: A systematic review was conducted in accordance with the PRISMA guidelines and registered in PROSPERO [...] Read more.
Background/Objectives: This review aims to identify existing protocols and evaluate the effects of prone positioning on oxygenation and clinical outcomes in pediatric patients with hypoxemia. Methods: A systematic review was conducted in accordance with the PRISMA guidelines and registered in PROSPERO (CRD42023457270). Literature research was performed in Scopus, PubMed, Web of Science, and ScienceDirect. The final search was completed in January 2025. Results: A total of 2033 studies were identified, with 5 meeting inclusion criteria. Forty percent applied prone positioning for 12 to 20 h, improving pulmonary function. Combined with alveolar recruitment, prone positioning increased functional residual capacity and reduced atelectasis, with SpO2 improvements from 13% to 38% and atelectasis reduction from 8% to 47%. Another 40% focused on oxygenation, reporting PaO2 increases from 52 to 59 mmHg and SpO2 improvements from 93.2% to 96.2% within 2 to 4 h. One study found a significant SpO2 difference between prone (98.3%) and supine (96.2%) positions (p = 0.003). Protocols commonly included facial tilt and pillows to reduce compression. Safety measures involved checking catheter and tube placement, suspending enteral nutrition 30 min before repositioning, and hemodynamic monitoring. Adverse events were rare, including two cases of tube obstruction and one hypercapnia. No significant differences were observed in ventilation duration, oxygen therapy length, or 28-day survival between groups. Conclusions: Prone positioning improves pulmonary function and addresses refractory hypoxemia in pediatric patients. However, the optimal duration remains unclear, underscoring the need for further research to establish standardized guidelines. Full article
(This article belongs to the Section Pediatric Pulmonary and Sleep Medicine)
Show Figures

Figure 1

13 pages, 751 KB  
Article
The Impact of Alveolar Recruitment Strategies on Perioperative Outcomes in Obese Patients Undergoing Major Gynecologic Cancer Surgeries: A Prospective Randomized Controlled Trial
by Duygu Akyol and Funda Gümüş Özcan
Diagnostics 2025, 15(11), 1428; https://doi.org/10.3390/diagnostics15111428 - 4 Jun 2025
Viewed by 1248
Abstract
Background/Objectives: Lung-protective ventilation (LPV) reduces postoperative pulmonary complications (PPCs) in obese patients. While the roles of low tidal volume and positive end-expiratory pressure (PEEP) in LPV have been established in patients with healthy lungs, the protective effect of alveolar recruitment strategies (ARSs) [...] Read more.
Background/Objectives: Lung-protective ventilation (LPV) reduces postoperative pulmonary complications (PPCs) in obese patients. While the roles of low tidal volume and positive end-expiratory pressure (PEEP) in LPV have been established in patients with healthy lungs, the protective effect of alveolar recruitment strategies (ARSs) remains a subject of debate. This study aims to evaluate the benefit of ARSs in patients with low-to-moderate risk according to the Assess Respiratory Risk in Surgical Patients in Catalonia (ARISCAT) score undergoing gynecologic cancer surgery with LPV and low tidal volume intraoperatively. Methods: A total of 88 obese patients were evaluated in this study. They were divided into two groups as the non-ARS group (non-ARS) and the ARS group (ARS). Intraoperative hemodynamics, blood gas analyses, respiratory mechanics, mechanical ventilator parameters, and postoperative outcomes were compared in these obese patients. Results: A total of 40 obese patients undergoing major gynecological cancer surgery were included in this study. Although the non-ARS group presented with higher weight (p < 0.05), body mass indexes were similar to the ARS group. Intraoperative blood gas analysis revealed higher end-tidal carbon dioxide (etCO2) levels in the non-ARS group during the T2 and T3 time intervals (p < 0.05). In the ARS group, peak inspiratory pressure (PIP) at T3 was lower, while drive pressures at T1 and T2 and dynamic compliance at T3 were higher (p < 0.05). Radiologic atelectasis scores were higher in the non-ARS group, indicating more atelectatic lung images (p < 0.05). PPC rates were similar across both groups. Conclusions: Although the ARS demonstrated positive effects on lung mechanics and radiologic atelectasis scores in major open gynecologic cancer surgeries, it did not effectively reduce postoperative pulmonary complications. Full article
(This article belongs to the Section Clinical Diagnosis and Prognosis)
Show Figures

Figure 1

13 pages, 302 KB  
Article
Gender- and Age-Associated Variations in the Prevalence of Atelectasis, Effusion, and Nodules on Chest Radiographs: A Large-Scale Analysis Using the NIH ChestX-Ray8
by Josef Yayan, Christian Biancosino, Marcus Krüger and Kurt Rasche
Diagnostics 2025, 15(11), 1330; https://doi.org/10.3390/diagnostics15111330 - 26 May 2025
Viewed by 1120
Abstract
Background: Chest radiography remains a cornerstone of thoracic imaging; however, the influence of patient demographics and technical factors on radiologic findings is not yet fully understood. This study investigates how gender, age, and radiographic projection affect the prevalence of three common findings: atelectasis, [...] Read more.
Background: Chest radiography remains a cornerstone of thoracic imaging; however, the influence of patient demographics and technical factors on radiologic findings is not yet fully understood. This study investigates how gender, age, and radiographic projection affect the prevalence of three common findings: atelectasis, pleural effusion, and pulmonary nodules. Methods: We analyzed 112,120 frontal chest radiographs from the publicly available NIH ChestX-ray8 dataset. Gender-specific prevalence rates were compared using chi-square tests and unadjusted odds ratios (ORs). Multivariable logistic regression was performed to assess the independent effects of gender, age, and projection (posteroanterior [PA] vs. anteroposterior [AP]), including interaction terms. Results: Atelectasis and nodules were more prevalent in male patients, with unadjusted rates of 10.9% and 5.8% versus 9.5% and 5.4% in females. While the difference in nodules’ prevalence was not statistically significant (OR = 0.96, p = 0.16), multivariable analysis showed a significant association (adjusted OR = 1.378, 95% CI 1.157–1.641; p = 0.0003). Pleural effusion showed no significant gender difference (11.7% vs. 12.1%; OR 0.97, p = 0.10). Increasing age was consistently associated with higher odds of all findings (ORs per year: 1.016–1.012; all p < 0.0001). The PA view reduced the odds of atelectasis (OR 0.59) and effusion (OR 0.60), but increased the odds of detecting nodules (OR 1.31). Interaction terms showed minor but statistically significant gender-related differences in age effects. Conclusions: Gender, age, and radiographic projection substantially affect the radiographic detection of frequently observed thoracic abnormalities. These findings are directly relevant for improving clinical diagnostic accuracy and for reducing demographic and technical biases in AI-based radiograph interpretation, particularly in critical care and screening settings. Full article
(This article belongs to the Section Clinical Diagnosis and Prognosis)
Show Figures

Figure 1

14 pages, 2185 KB  
Review
Ten Questions on Using Lung Ultrasonography to Diagnose and Manage Pneumonia in Hospital-at-Home Model: Part II—Confounders and Mimickers
by Nin-Chieh Hsu, Yu-Feng Lin, Hung-Bin Tsai, Charles Liao and Chia-Hao Hsu
Diagnostics 2025, 15(10), 1200; https://doi.org/10.3390/diagnostics15101200 - 9 May 2025
Viewed by 1472
Abstract
The hospital-at-home (HaH) model offers hospital-level care within patients’ homes and has proven effective for managing conditions such as pneumonia. The point-of-care ultrasonography (PoCUS) is a key diagnostic tool in this model, especially when traditional imaging modalities are unavailable. This review explores how [...] Read more.
The hospital-at-home (HaH) model offers hospital-level care within patients’ homes and has proven effective for managing conditions such as pneumonia. The point-of-care ultrasonography (PoCUS) is a key diagnostic tool in this model, especially when traditional imaging modalities are unavailable. This review explores how PoCUS can be optimized to manage pneumonia in HaH settings, focusing on its diagnostic accuracy in patients with comorbidities, differentiation from mimickers, and role in assessing disease severity. Pulmonary comorbidities, such as heart failure and interstitial lung disease (ILD), can complicate lung ultrasound (LUS) interpretation. In heart failure, combining lung, cardiac, and venous assessments (e.g., IVC collapsibility, VExUS score) improves diagnostic clarity. In ILD, distinguishing chronic changes from acute infections requires attention to B-line patterns and pleural abnormalities. PoCUS must differentiate pneumonia from conditions such as atelectasis, lung contusion, cryptogenic organizing pneumonia, eosinophilic pneumonia, and neoplastic lesions—many of which present with similar sonographic features. Serial LUS scoring provides useful information on pneumonia severity and disease progression. Studies, particularly during the COVID-19 pandemic, show correlations between worsening LUS scores and poor outcomes, including increased ventilator dependency and mortality. Furthermore, LUS scores correlate with inflammatory markers and gas exchange metrics, supporting their prognostic value. In conclusion, PoCUS in HaH care requires clinicians to integrate multi-organ ultrasound findings, clinical context, and serial monitoring to enhance diagnostic accuracy and patient outcomes. Mastery of LUS interpretation in complex scenarios is crucial to delivering personalized, high-quality care in the home setting. Full article
(This article belongs to the Special Issue Clinical Diagnosis and Management in Emergency and Hospital Medicine)
Show Figures

Figure 1

13 pages, 2034 KB  
Article
The Effects of a Pre-Extubation Single Recruitment Maneuver on Ultrasonographic Lung Conditions in Patients Undergoing Lateral Decubitus Surgery: A Randomized Clinical Trial
by Emre Sertaç Bingül, Meltem Savran Karadeniz, Mert Canbaz, Emre Şentürk, Cansu Uzuntürk, Selçuk Erdem and Nüzhet M. Şentürk
J. Clin. Med. 2025, 14(9), 2969; https://doi.org/10.3390/jcm14092969 - 25 Apr 2025
Viewed by 953
Abstract
Background: Upper abdominal surgeries exceeding two hours and operated in a lateral decubitus position present an “intermediate” risk for pulmonary complications. The objectives of this study were to observe the sonographic and clinical changes during and after surgeries with one recruitment maneuver [...] Read more.
Background: Upper abdominal surgeries exceeding two hours and operated in a lateral decubitus position present an “intermediate” risk for pulmonary complications. The objectives of this study were to observe the sonographic and clinical changes during and after surgeries with one recruitment maneuver (RM) performed intraoperatively before extubation. Methods: Laparoscopic nephrectomy patients were randomized into pre-extubation single RM (Group RM) and control (Group NoRM) groups. The LUS (Lung Ultrasound Score) was evaluated after intubation (T1), at the end of surgery before the RM (T2), after the RM but before extubation (T3), and 30 min after arrival to the Post-Anesthesia Care Unit (T4) in Group RM; in Group NoRM, it was evaluated at the T1, T2, and T4 time points. The primary outcome was the effect on the pre-extubation LUS (T2 in Group NoRM versus T3 in Group RM). The secondary outcomes included the effects on the T4 LUS, PPC occurrence, and PaO2/FiO2 ratios, and the sensitivity and specificity of the LUS in predicting PPCs. Results: The data of 54 patients were analyzed. The pre-extubation LUS was significantly lower in Group RM (16 (12.5, 17) vs. 18 (17, 20), p < 0.001). The T4 LUS was only different in the upper zones in the dependent lung (2 (1, 3.5) in Group RM vs. 4 (3, 4.5) in Group NoRM, p = 0.01). The perioperative PaO2/FiO2 ratios were similar (p > 0.05). The pre-extubation LUS exhibited 91% sensitivity (p = 0.04), whereas the T4 LUS sensitivity was 82% (p = 0.01). The PPC risk was 10-fold higher in patients with a pre-extubation LUS exceeding 19. Conclusions: A pre-extubation single RM instantly increases the LUS. However, this does not persist postoperatively or diminish respiratory complications. More importantly, the LUS was found to be a sensitive tool for predicting PPCs when performed just before extubation. Full article
(This article belongs to the Section Respiratory Medicine)
Show Figures

Figure 1

13 pages, 1323 KB  
Protocol
Lung Elastance and Microvascularization as Quantitative Non-Invasive Biomarkers for the Aetiological Diagnosis of Lung Consolidations in Children (ELASMIC Study)
by Sergi Huerta-Calpe, Carmina Guitart, Josep Lluis Carrasco, Bárbara Salas, Francisco José Cambra, Iolanda Jordan and Mònica Balaguer
Diagnostics 2025, 15(7), 910; https://doi.org/10.3390/diagnostics15070910 - 2 Apr 2025
Viewed by 771
Abstract
Background: Acute lower respiratory tract conditions are highly prevalent in paediatrics. Many of these conditions present as consolidations on imaging studies. One of the most common causes is bacterial pneumonia (BP), which requires an accurate diagnosis to implement the best treatment plan. Despite [...] Read more.
Background: Acute lower respiratory tract conditions are highly prevalent in paediatrics. Many of these conditions present as consolidations on imaging studies. One of the most common causes is bacterial pneumonia (BP), which requires an accurate diagnosis to implement the best treatment plan. Despite the fact that major guidelines constrain the use of invasive tests, chest X-ray (CXR) or blood tests are still routinely used for the diagnosis. In this regard, the introduction of lung ultrasound (LUS) signified an advancement in reducing the invasiveness of diagnosis. However, there are still situations where distinguishing between different aetiologies remains challenging, especially in the case of atelectasis. Methods: This is a prospective cohort study to assess the diagnostic accuracy of new non-invasive, quantifiable, and reproducible imaging biomarkers (lung elastance and microvascularization ratio) for differentiating BP from another major entity that causes the appearance of consolidation in imaging tests, atelectasis. It will be conducted at Sant Joan de Déu Hospital in Spain from June 2025 to June 2027. Firstly, imaging biomarkers will be measured in well-aerated lung tissue without consolidation to establish their values in healthy lung tissue, according to a predefined imaging acquisition protocol. Subsequently, the imaging biomarkers will be assessed in patients with confirmed lung consolidation by LUS (Group 1: BP; Group 2: atelectasis). Results: The study aims to determine whether there are statistically significant differences in the biomarker values in relation to the normal values and between the different etiological groups. Conclusions: The demonstration of the reliable diagnostic accuracy of these biomarkers could significantly reduce the need for invasive techniques and improve the therapeutic management of many patients with BP and other pulmonary conditions presenting with consolidation in imaging tests. Full article
(This article belongs to the Special Issue Recent Developments and Future Trends in Thoracic Imaging)
Show Figures

Figure 1

14 pages, 736 KB  
Article
Intrathecal Morphine in Major Abdominal and Thoracic Surgery: Observational Study
by Silvia González-Santos, Antía Osorio-López, Borja Mugabure-Bujedo, Nuria González-Jorrín, Ane Abad-Motos, Inmaculada Ruiz-Montesinos, Alejandro Herreros-Pomares and Manuel Granell-Gil
Healthcare 2025, 13(7), 761; https://doi.org/10.3390/healthcare13070761 - 28 Mar 2025
Viewed by 1827
Abstract
Introduction: Optimal control of acute postoperative pain after major surgery accelerates the recovery process, shortens hospital stays, and minimizes healthcare costs. Intrathecal morphine is a simple, safe, and reliable regional technique that provides prolonged analgesia, useful in a wide variety of procedures. Materials [...] Read more.
Introduction: Optimal control of acute postoperative pain after major surgery accelerates the recovery process, shortens hospital stays, and minimizes healthcare costs. Intrathecal morphine is a simple, safe, and reliable regional technique that provides prolonged analgesia, useful in a wide variety of procedures. Materials and Methods: A retrospective observational study was conducted on patients who underwent various major abdominal or thoracic surgical procedures and were administered intrathecal morphine between January 2018 and December 2021. The primary objective was to establish the safety of the technique in terms of the incidence of early and late respiratory depression, atelectasis, the need for respiratory support, and the possible association of these complications with the presence of respiratory pathologies such as chronic obstructive pulmonary disease (COPD) or sleep apnea–hypopnea syndrome (SAHS) and obesity or smoking habit. Secondary objectives included recording the consumption of rescue intravenous (IV) morphine in the first postoperative 24 h, the incidence of PONV, and the incidence of late postoperative complications (at 90 days) such as pneumonia, readmission rates, and reoperation rates. Hospital stay and mortality were also recorded. Results: A total of 484 patients were included in the study. No patient experienced respiratory depression. Atelectasis occurred in 2.07% of patients. Respiratory support with non-invasive mechanical ventilation (NIMV) or high-flow oxygen therapy (HFOT) was required by 1.86% of patients. In total, 51% of patients required rescue IV morphine (average 6.98 mg), with a rate significantly higher in the thoracic and general surgery groups compared to urological surgery. The incidence of postoperative nausea and vomiting (PONV) was 30.37%. Regarding other secondary objectives, readmissions, reoperations, and mortality rates were significantly higher in patients undergoing urological and thoracic surgery compared to those undergoing general surgery. Conclusions: The administration of intrathecal morphine for the control of acute postoperative pain after major surgery can be considered as a safe technique that fits perfectly within the set of measures for a multimodal approach to pain management in major abdominal and thoracic surgery. Full article
(This article belongs to the Special Issue Anesthesia, Pain Management, and Intensive Care in Oncologic Surgery)
Show Figures

Figure 1

16 pages, 7788 KB  
Article
Transforming Cardiac Imaging: Can CT Angiography Replace Interventional Angiography in Tetralogy of Fallot?
by Ali Nazım Güzelbağ, Serap Baş, Muhammet Hamza Halil Toprak, Demet Kangel, Şenay Çoban, Selin Sağlam and Erkut Öztürk
J. Clin. Med. 2025, 14(5), 1493; https://doi.org/10.3390/jcm14051493 - 23 Feb 2025
Viewed by 1013
Abstract
Background: Tetralogy of Fallot (TOF) is a complex congenital heart condition characterized by four major anatomical abnormalities. Accurate preoperative imaging is critical for optimal surgical outcomes, with transthoracic echocardiography (TTE), computed tomography angiography (CTA), and conventional catheter angiography (CCA) being the primary diagnostic [...] Read more.
Background: Tetralogy of Fallot (TOF) is a complex congenital heart condition characterized by four major anatomical abnormalities. Accurate preoperative imaging is critical for optimal surgical outcomes, with transthoracic echocardiography (TTE), computed tomography angiography (CTA), and conventional catheter angiography (CCA) being the primary diagnostic tools. This study aimed to compare the diagnostic utility of TTE, CTA, and CCA in preoperative evaluations of TOF patients, focusing on anatomical parameters, imaging accuracy, and patient outcomes. Methods: A retrospective, single-center analysis included TOF patients under one year of age who underwent complete repair between January 2021 and December 2024. Preoperative imaging with TTE, CTA, and CCA was analyzed for parameters including pulmonary artery diameters, Nakata index, McGoon ratio, and Z-scores. Radiation exposure, procedure duration, contrast volume, and complications were documented. Statistical analyses were performed to assess the comparative accuracy and safety of these modalities. Results: All patients underwent TTE (n = 127), while CTA was performed in 86 patients and CCA in 41 patients. Among 127 patients, 62% were male, with a mean age of 5.81 ± 2.15 months. On TTE, CTA and CCA provided statistically similar measurements of the pulmonary annulus, main pulmonary artery, and branch diameters, with no significant differences in the Nakata index and McGoon ratio. CTA had a shorter procedure duration (3.1 ± 0.58 min) and lower radiation dose (1.19 ± 0.22 mSv) compared to CCA (20.73 ± 11.12 min; 5.48 ± 1.62 mSv). CTA successfully identified major aortopulmonary collateral arteries (MAPCAs) in 10% of patients and detected additional pulmonary pathologies, such as subsegmental atelectasis in 12%. Access site complications were observed in 10% of CCA cases but were absent in CTA evaluations. Conclusions: CTA emerges as a highly effective and non-invasive alternative to CCA for preoperative assessment of TOF, offering comparable anatomical accuracy with significantly reduced procedural risks, radiation exposure, and contrast volume. Combining TTE and CTA provides comprehensive diagnostic coverage, minimizing the need for invasive procedures and enhancing surgical planning. These findings underscore the evolving role of CTA in the management of congenital heart disease, contributing to improved patient safety and outcomes. Full article
(This article belongs to the Special Issue Perspectives on Congenital Heart Disease from Children to Adults)
Show Figures

Figure 1

19 pages, 11233 KB  
Review
Point-of-Care Lung Ultrasound in Small Animal Emergency and Critical Care Medicine: A Clinical Review
by Andrea Armenise
Animals 2025, 15(1), 106; https://doi.org/10.3390/ani15010106 - 5 Jan 2025
Cited by 4 | Viewed by 6394
Abstract
Thoracic point-of-care ultrasound (T-POCUS) has grown in popularity and usage in small animal emergencies and critical care settings due to its non-invasive nature, mobility, and ability to acquire images in real time. This review summarizes current understanding about T-POCUS in dogs and cats [...] Read more.
Thoracic point-of-care ultrasound (T-POCUS) has grown in popularity and usage in small animal emergencies and critical care settings due to its non-invasive nature, mobility, and ability to acquire images in real time. This review summarizes current understanding about T-POCUS in dogs and cats with respiratory illnesses, including normal thoracic ultrasonography appearance and numerous pathological situations. The basics of T-POCUS are covered, including equipment, scanning procedures, and picture settings. Practical applications in patients with respiratory distress are discussed, with an emphasis on pleural space abnormalities and lung diseases. Ultrasound results define pulmonary disorders such as pneumonia, atelectasis, cardiogenic and non-cardiogenic pulmonary edema, lung lobe torsion, pulmonary fibrosis, pulmonary thromboembolism, pulmonary neoplasms, and pulmonary bleeding. The evaluation focuses on T-POCUS diagnostic skills in a variety of clinical settings. Limitations and the need for more study to standardize techniques, establish agreed terminology, and create specialized educational routes are highlighted. Full article
Show Figures

Figure 1

Back to TopTop