Sign in to use this feature.

Years

Between: -

Subjects

remove_circle_outline
remove_circle_outline
remove_circle_outline

Journals

Article Types

Countries / Regions

Search Results (18)

Search Parameters:
Keywords = pre-TAVI CT

Order results
Result details
Results per page
Select all
Export citation of selected articles as:
19 pages, 2684 KB  
Review
Managing Complex Anatomical Scenarios in Tavi: Evidence and an Institutional Perspective
by Orlando Piro, Mattia Granato, Simona Covino, Emanuele Cigala, Mario Crisci, Riccardo Granata, Ida Monteforte, Paola Mocavero, Chiara Sordelli and Emilio Di Lorenzo
J. Clin. Med. 2025, 14(21), 7888; https://doi.org/10.3390/jcm14217888 - 6 Nov 2025
Viewed by 274
Abstract
Transcatheter aortic valve implantation (TAVI) is the default therapy for most elderly patients with severe aortic stenosis, but outcomes in complex anatomy depend on imaging-guided planning and disciplined technique. This article aims to present our institutional approach, supported by the current literature, in [...] Read more.
Transcatheter aortic valve implantation (TAVI) is the default therapy for most elderly patients with severe aortic stenosis, but outcomes in complex anatomy depend on imaging-guided planning and disciplined technique. This article aims to present our institutional approach, supported by the current literature, in managing several challenging anatomical scenarios. We focus on seven high-impact scenarios—bicuspid aortic valve (BAV), hostile transfemoral access, iliofemoral/aortic tortuosity, adverse aortic angulation, heavy annulus/Left Ventricular Outflow Tract (LVOT) calcification, small annulus, and risk of coronary obstruction—and propose a practical approach to minimize the risk of complications. In BAV, current generation transcatheter heart valves (THV) achieve favorable early outcomes when sizing accounts for supra-annular constraints and implantation depth is tailored. Transfemoral access remains dominant in contemporary registries, yet a meaningful minority of cases require adjunctive peripheral vascular intervention to enable THV delivery-system passage. In case of annulus or LVOT calcification, small annuli, complex aortic anatomy, high risk for coronary obstruction, and pre-procedural Computed Tomography (CT) allow for an accurate sizing of THV and tailored procedural planning. A structured, CT-driven pathway that links anatomic findings to specific facilitation and bailout steps can standardize decision-making and improve safety across these challenging scenarios. We strongly highlight the importance to build a network where most complex procedures are carried out in Valve Centers where expert operators are trained to manage high volume, high complexity, and difficult complications. Full article
(This article belongs to the Special Issue Recent Developments and Emerging Trends in Aortic Surgery)
Show Figures

Figure 1

12 pages, 2136 KB  
Article
Prevalence and Clinical Impact of Incidental Extracardiovascular Findings in Pre-TAVI CT Imaging
by Matteo Haupt, Tim Bellersen, David Weiss, Arne Bischoff, Bastian Schrader, Andreas Martens, Martin H. Maurer and Rohit Philip Thomas
J. Clin. Med. 2025, 14(20), 7394; https://doi.org/10.3390/jcm14207394 - 20 Oct 2025
Viewed by 279
Abstract
Objectives: To evaluate the prevalence, classification, and clinical relevance of incidental extracardiovascular findings in pre-transcatheter aortic valve implantation (TAVI) CT imaging. Methods: We conducted a retrospective single-center study of 225 patients undergoing pre-TAVI contrast-enhanced, ECG-gated CT scans between 2021 and 2023. Extracardiovascular findings [...] Read more.
Objectives: To evaluate the prevalence, classification, and clinical relevance of incidental extracardiovascular findings in pre-transcatheter aortic valve implantation (TAVI) CT imaging. Methods: We conducted a retrospective single-center study of 225 patients undergoing pre-TAVI contrast-enhanced, ECG-gated CT scans between 2021 and 2023. Extracardiovascular findings were recorded and categorized into three groups based on presumed clinical relevance: Group A (findings with no need for follow-up), Group B (findings requiring follow-up), and Group C (findings requiring immediate intervention or treatment). Statistical analysis included a descriptive assessment of the overall prevalence of incidental findings and evaluation of age- and sex-related trends using chi-square tests with Bonferroni-adjusted pairwise comparisons. Results: The study cohort included 225 patients (53.3% male; mean age 79.9 ± 6.2 years, range 58–93). Extracardiovascular incidental findings were detected in 205 patients (91.1%). Among all 478 recorded findings, 82.6% were Group A, 14.4% Group B, and 2.9% Group C. On a per-patient level, 87.1% had at least one Group A finding, 24.9% had at least one Group B, and 6.2% had at least one Group C finding. Older age was associated with more incidental findings, with a significant difference observed between the 70–79 and 80–89 age groups (p = 0.002). No significant sex-related differences were found (p = 0.226). Findings were most frequently located in the abdomen (46.2%) and thorax (37.2%). Among all clinically relevant findings, the thorax was the most commonly affected region: 43.5% of Group B and 78.6% of Group C findings were located in the thorax, followed by the abdomen (33.3% of Group B and 7.1% of Group C findings). Conclusions: Extracardiovascular incidental findings are highly prevalent in pre-TAVI CT imaging and range from benign, age-related changes to potentially serious conditions such as malignancies or infections. Their presence reflects the comorbidity burden of the typical TAVI population and underscores the importance of recognizing non-vascular incidental findings in this clinical setting. Full article
Show Figures

Figure 1

13 pages, 1168 KB  
Article
Importance of Imaging Assessment Criteria in Predicting the Need for Post-Dilatation in Transcatheter Aortic Valve Implantation with a Self-Expanding Bioprosthesis
by Matthias Hammerer, Philipp Hasenbichler, Nikolaos Schörghofer, Christoph Knapitsch, Nikolaus Clodi, Uta C. Hoppe, Klaus Hergan, Elke Boxhammer and Bernhard Scharinger
J. Cardiovasc. Dev. Dis. 2025, 12(8), 296; https://doi.org/10.3390/jcdd12080296 - 1 Aug 2025
Viewed by 588
Abstract
Background: Transcatheter aortic valve implantation (TAVI) has revolutionized the treatment of severe aortic valve stenosis (AS). Balloon post-dilatation (PD) remains an important procedural step to optimize valve function by resolving incomplete valve expansion, which may lead to paravalvular regurgitation and other potentially adverse [...] Read more.
Background: Transcatheter aortic valve implantation (TAVI) has revolutionized the treatment of severe aortic valve stenosis (AS). Balloon post-dilatation (PD) remains an important procedural step to optimize valve function by resolving incomplete valve expansion, which may lead to paravalvular regurgitation and other potentially adverse effects. There are only limited data on the predictors, incidence, and clinical impact of PD during TAVI. Methods: This retrospective, single-center study analyzed 585 patients who underwent TAVI (2016–2022). Pre-procedural evaluations included transthoracic echocardiography and CT angiography to assess key parameters, including the aortic valve calcium score (AVCS); aortic valve calcium density (AVCd); aortic valve maximal systolic transvalvular flow velocity (AV Vmax); and aortic valve mean systolic pressure gradient (AV MPG). We identified imaging predictors of PD and evaluated associated clinical outcomes by analyzing procedural endpoints (according to VARC-3 criteria) and long-term survival. Results: PD was performed on 67 out of 585 patients, with elevated AV Vmax (OR: 1.424, 95% CI: 1.039–1.950; p = 0.028) and AVCd (OR: 1.618, 95% CI: 1.227–2.132; p = 0.001) emerging as a significant independent predictor for PD in TAVI. Kaplan–Meier survival analysis revealed no significant differences in short- and mid-term survival between patients who underwent PD and those who did not. Interestingly, patients requiring PD exhibited a lower incidence of adverse events regarding major vascular complications, permanent pacemaker implantations and stroke. Conclusions: The study highlights AV Vmax and AVCd as key predictors of PD. Importantly, PD was not associated with increased procedural adverse events and did not predict adverse events in this contemporary cohort. Full article
(This article belongs to the Special Issue Clinical Applications of Cardiovascular Computed Tomography (CT))
Show Figures

Figure 1

15 pages, 2618 KB  
Review
Development of Cardiac Computed Tomography for Evaluation of Aortic Valve Stenosis
by Hiroyuki Takaoka, Haruka Sasaki, Joji Ota, Yoshitada Noguchi, Moe Matsumoto, Kazuki Yoshida, Katsuya Suzuki, Shuhei Aoki, Satomi Yashima, Makiko Kinoshita, Noriko Suzuki-Eguchi and Yoshio Kobayashi
Tomography 2025, 11(6), 62; https://doi.org/10.3390/tomography11060062 - 28 May 2025
Viewed by 1764
Abstract
Aortic valve stenosis (AS) is a valvular heart disease that imposes a high afterload on the left ventricle (LV) due to restricted opening of the aortic valve, resulting in LV hypertrophy. Severe AS can lead to syncope, angina pectoris, and heart failure. The [...] Read more.
Aortic valve stenosis (AS) is a valvular heart disease that imposes a high afterload on the left ventricle (LV) due to restricted opening of the aortic valve, resulting in LV hypertrophy. Severe AS can lead to syncope, angina pectoris, and heart failure. The number of patients with AS has been increasing due to aging populations, the growing prevalence of lifestyle-related diseases, and advances in diagnostic technologies. Therefore, accurate diagnosis and appropriate treatment of AS are essential. In recent years, transcatheter aortic valve implantation (TAVI) has become feasible, and the number of procedures has rapidly increased, particularly among elderly patients. As treatment options for AS expand and diversify, detailed pre-procedural evaluation has become increasingly important. In particular, diagnostic imaging modalities such as computed tomography (CT) have advanced significantly, with notable improvements in image quality. With recent advancements in CT technology—such as increased detector rows, faster gantry rotation speeds, new image reconstruction methods, and the introduction of dual-energy imaging—the scope of cardiac assessment has expanded beyond the coronary arteries to include valves, myocardium, and the entire heart. This includes evaluating restricted AV opening and cardiac function using four-dimensional imaging, assessing AV annulus diameter and AS severity via calcium scoring with a novel motion correction algorithm, and detecting myocardial damage through late-phase contrast imaging using new reconstruction techniques. In cases of pre-TAVI evaluation or congenital bicuspid valves, CT is also valuable for assessing extracardiac structures, such as access routes and associated congenital heart anomalies. In addition, recent advancements in CT technology have made it possible to significantly reduce radiation exposure during cardiac imaging. CT has become an extremely useful tool for comprehensive cardiac evaluation in patients with aortic stenosis, especially those being considered for surgical treatment. Full article
(This article belongs to the Section Cardiovascular Imaging)
Show Figures

Figure 1

15 pages, 1299 KB  
Article
The Prognostic Value of Tricuspid Annular Dimensions in TAVI Patients: A CT-Based Retrospective Analysis of Risk Stratification and Long-Term Outcomes
by Nikolaos Schörghofer, Christoph Knapitsch, Gretha Hecke, Nikolaus Clodi, Lucas Brandstetter, Matthias Hammerer, Klaus Hergan, Uta C. Hoppe, Elke Boxhammer and Bernhard Scharinger
J. Clin. Med. 2025, 14(9), 3191; https://doi.org/10.3390/jcm14093191 - 5 May 2025
Viewed by 730
Abstract
Background: Transcatheter aortic valve implantation (TAVI) has transformed the treatment of severe aortic stenosis (AS), particularly in high-risk patients. However, comorbidities such as pulmonary hypertension (PH) and secondary tricuspid regurgitation (TR) contribute to adverse outcomes. Tricuspid annulus (TA) dilatation (TAD), a key [...] Read more.
Background: Transcatheter aortic valve implantation (TAVI) has transformed the treatment of severe aortic stenosis (AS), particularly in high-risk patients. However, comorbidities such as pulmonary hypertension (PH) and secondary tricuspid regurgitation (TR) contribute to adverse outcomes. Tricuspid annulus (TA) dilatation (TAD), a key marker of right ventricular dysfunction, has been associated with PH and TR progression. While echocardiographic assessment of TA has limitations, cardiac computed tomography (CT), routinely performed before TAVI, enables precise TA measurement. This study aimed to determine clinically relevant TA and TA indexed to body surface area (TA/BSA) cut-offs and assess their prognostic significance for long-term mortality. Methods: This retrospective, single-center study included 522 patients who underwent transfemoral TAVI between 2016 and 2022. Pre-procedural CT-derived TA measurements were analyzed to establish cut-off values predictive of right ventricular dysfunction in TAVI. Receiver operating characteristic (ROC) analysis was performed, and Kaplan–Meier survival curves, log-rank tests, and Cox regression were used to assess the impact of TA dimensions on long-term survival. Results: TAD correlated moderately with right ventricular dysfunction, with optimal cut-offs identified as TA ≥ 44.50 mm and TA/BSA ≥ 23.00 mm/m2. However, Kaplan–Meier and Cox regression analyses demonstrated no significant association between TA or TA/BSA and long-term survival, with area under the curve (AUC) values close to 0.50, indicating poor prognostic value. Conclusions: Despite its relevance regarding right ventricular dysfunction in TAVI patients, TAD does not independently predict long-term mortality following TAVI. These findings challenge prior assumptions and suggest that TA dimensions alone should not guide risk stratification in TAVI patients. Further research is needed to refine prognostic models integrating multiple clinical and imaging parameters. Full article
(This article belongs to the Section Cardiovascular Medicine)
Show Figures

Graphical abstract

12 pages, 2423 KB  
Article
Predictors of Diagnostic Inaccuracy of Detecting Coronary Artery Stenosis by Preprocedural CT Angiography in Patients Prior to Transcatheter Aortic Valve Implantation
by Matthias Renker, Steffen D. Kriechbaum, Stefan Baumann, Christian Tesche, Grigorios Korosoglou, Efstratios I. Charitos, Birgid Gonska, Tim Seidler, Yeong-Hoon Choi, Andreas Rolf, Won-Keun Kim and Samuel T. Sossalla
Diagnostics 2025, 15(6), 771; https://doi.org/10.3390/diagnostics15060771 - 19 Mar 2025
Viewed by 1412
Abstract
Background: The diagnostic performance of preprocedural CT angiography in detecting coronary artery disease (CAD) in patients scheduled for transcatheter aortic valve implantation (TAVI) has been reported. However, data on predictors of diagnostic inaccuracy are sparse. We sought to investigate clinical characteristics and imaging [...] Read more.
Background: The diagnostic performance of preprocedural CT angiography in detecting coronary artery disease (CAD) in patients scheduled for transcatheter aortic valve implantation (TAVI) has been reported. However, data on predictors of diagnostic inaccuracy are sparse. We sought to investigate clinical characteristics and imaging criteria that predict the inaccurate assessment of coronary artery stenosis based on pre-TAVI-CT. Methods: The patient- and vessel-level analysis of all CT datasets from 192 patients (mean age 82.1 ± 4.8 years; 63.5% female) without known CAD or severe renal dysfunction was performed retrospectively in a blinded fashion. Significant CAD was defined as a CAD-RADS™ 2.0 category ≥ 4 by CT. Invasive coronary angiography (ICA) served as the reference standard for relevant CAD (≥70% luminal diameter stenosis or fractional flow reserve ≤ 0.80). Pertinent clinical characteristics and imaging criteria of all true-positive (n = 71), false-positive (n = 30), false-negative (n = 4), and true-negative patient-level CT diagnoses (n = 87) for relevant stenosis according to ICA were assessed. Results: In the univariate per-patient analysis, the following parameters yielded discriminative power (p < 0.10) regarding inaccurate CAD assessment by pre-TAVI-CT: age, atrial fibrillation, scanner generation, and image quality. Factors independently associated with CT diagnostic inaccuracy were determined using multivariable logistic regression analysis: a younger age (odds ratio [OR] 0.87; 95% confidence interval [CI] 0.80 to 0.94; p < 0.01) and insufficient CT image quality (OR 0.6; CI 0.41 to 0.89; p < 0.01). Conclusions: Our results demonstrate younger age and poor CT image quality to predict less accurate CAD assessments by pre-TAVI-CT in comparison with ICA. Knowledge of these predictors may aid in more efficient coronary artery interpretations based on pre-TAVI-CT. Full article
(This article belongs to the Special Issue Novelty and Challenge in CT Angiography)
Show Figures

Figure 1

11 pages, 1722 KB  
Article
The Impact of Pleural Effusion on Long-Term Mortality in Patients Undergoing Transcatheter Aortic Valve Implantation
by Fatma Esin, Hakan Bozkurt, Berkay Palac, Bahadır Akar, Tuncay Kiris, Emre Özdemir and Mustafa Karaca
J. Clin. Med. 2025, 14(5), 1596; https://doi.org/10.3390/jcm14051596 - 26 Feb 2025
Viewed by 1046
Abstract
Background/Objectives: Pleural effusions may be seen in patients with severe AS complicated by hemodynamically significant heart failure. However, there are no data on the association between pleural effusion and long-term mortality in patients undergoing transcatheter aortic valve implantation (TAVI). This study aimed [...] Read more.
Background/Objectives: Pleural effusions may be seen in patients with severe AS complicated by hemodynamically significant heart failure. However, there are no data on the association between pleural effusion and long-term mortality in patients undergoing transcatheter aortic valve implantation (TAVI). This study aimed to assess the impact of pre-procedural pleural effusion on long-term mortality in these patients. Methods: A retrospective, single-center analysis was conducted on 401 patients who underwent TAVI between January 2010 and December 2023. The patients were categorized into two groups based on the presence of pleural effusion, which was assessed via pre-procedural imaging using thoracic computed tomography (CT). Results: Pleural effusion was present in 158 patients (39.4%). The patients with pleural effusion had significantly higher long-term mortality rates compared to those without pleural effusion (46.2% vs. 24.3%, p < 0.001). Multivariate analysis identified pleural effusion as an independent predictor of long-term mortality (HR: 1.568, 95% CI: 1.065–2.308, p = 0.023). Also, the patients with pleural effusions had a higher long-term mortality rate compared with those without pleural effusions (log-rank p < 0.001). Conclusions: Pre-procedural pleural effusion is independently associated with increased long-term mortality in TAVI patients. Early recognition and management of pleural effusion are critical for optimizing outcomes in this high-risk population. Full article
(This article belongs to the Section Cardiovascular Medicine)
Show Figures

Figure 1

12 pages, 475 KB  
Article
Evaluation of Prospective ECG-Triggered CT Scan as a Practical Alternative to Standard Retrospective ECG-Gated Scan for Pre-TAVI Patients
by Itshak Amsalem, Itzhak Vitkon-Barkay, Moshe Rav-Acha, Danny Dvir, Matan Elkan, Olga Pichkhadze, Naama Bogot, Fauzi Shaheen, Rafael Hitter, Boris Chutko, Michael Glikson, Jonathon Leipsic and Arik Wolak
J. Clin. Med. 2025, 14(3), 878; https://doi.org/10.3390/jcm14030878 - 28 Jan 2025
Viewed by 1162
Abstract
Purpose: CT-TAVI is a critical component of pre-TAVI assessment. The conventional method, retrospective ECG-gated scan, covering a complete cardiac cycle, measures the annulus during optimal systolic phases. Recently, prospective ECG-triggered scans acquiring images at a specific interval of the cardiac cycle were evaluated, [...] Read more.
Purpose: CT-TAVI is a critical component of pre-TAVI assessment. The conventional method, retrospective ECG-gated scan, covering a complete cardiac cycle, measures the annulus during optimal systolic phases. Recently, prospective ECG-triggered scans acquiring images at a specific interval of the cardiac cycle were evaluated, allowing faster acquisition and lower contrast doses. Moreover, these scans might be beneficial for elderly patients, reducing the need for breath-holding and easing cooperation requirements. Still, their impact on annular measurement and procedural success has yet to be fully evaluated. Methods: This retrospective, single-center study included 419 patients who underwent CT-TAVI scans, by either prospective or retrospective scanning methods. Baseline data and calculated surgical risk scores were collected, with propensity score matching performed, followed by univariate analysis, Cox regression, and multivariable regression analysis. Results: A total of 171 patient pairs were generated via propensity score matching, ensuring that both groups had similar distributions of age (81 ± 8 years), sex (55% males), and baseline comorbidities. The patients in the prospective ECG-triggered group were exposed to a smaller amount of contrast material (40.0 ± 12 mL vs. 70.0 ± 48 mL, p < 0.001) and radiation (4.4 ± 3.6 mSv vs. 8.0 ± 10.3 mSv, p < 0.001). The prospective ECG-triggered group had a smaller aortic annulus area and diameter (426.6 ± 121.0 mm2 vs. 469.1 ± 130.8 mm2, p = 0.006 and 23.3 ± 3.2 mm vs. 24.5 ± 3.6 mm, p = 0.004) but no excess paravalvular leak was observed. Multivariable analysis showed no significant differences in mortality and composite endpoints between the two groups after 23 months of follow-up. Conclusion: Prospective ECG-triggered, ultra-fast, low-dose, high-pitch scan protocol, used in selected patients offers comparable safety and clinical procedural outcomes along with time and contrast savings. Full article
Show Figures

Figure 1

12 pages, 1033 KB  
Article
Zero-Contrast Transcatheter Aortic Valve Implantation vs. Standard Practice: Periprocedural and Long-Term Clinical Outcomes
by Roberto Nerla, Elisa Mikus, Angela Sanseviero, Angelo Squeri, Simone Calvi, Carlo Savini, Diego Sangiorgi and Fausto Castriota
J. Clin. Med. 2024, 13(18), 5405; https://doi.org/10.3390/jcm13185405 - 12 Sep 2024
Cited by 1 | Viewed by 1363
Abstract
Background: We aimed to compare the procedural efficacy and long-term clinical results of a totally contrast-free Transcatheter Aortic Valve Implantation (TAVI) procedure (i.e., contrast dye was not used for either the pre-procedural assessment or during the procedure) to those of standard practice [...] Read more.
Background: We aimed to compare the procedural efficacy and long-term clinical results of a totally contrast-free Transcatheter Aortic Valve Implantation (TAVI) procedure (i.e., contrast dye was not used for either the pre-procedural assessment or during the procedure) to those of standard practice in patients with severe renal dysfunction. Methods: All consecutive patients with a glomerular filtration rate (GFR) ≤ 35 mL/min and severe aortic stenosis who were treated with transfemoral TAVI at our Institution were included in the registry. The zero-contrast patients underwent carbon dioxide angiography and a non-contrast CT scan for assessment of vascular access suitability, and aortic annulus sizing was performed by a TEE, and the procedural guidance was fluoroscopic and echocardiographic. Procedural outcomes were evaluated, and clinical long-term follow-up was performed for all included patients. Results: A total of 44 patients (median age, 85 (IQR, 80.75–87.00)) were included in the zero-contrast group (TEE guidance and general anesthesia in 37 (84%) patients), while 63 patients were included in the standard practice arm (82 ± 78 mL of contrast dye used). Procedural success was obtained in 100% of cases. There were no differences in procedural outcomes, including final mean aortic gradients (5.5 (IQR, 5.0–10.0) mmHg in the zero-contrast group vs. 6.0 (IQR, 5.0–10.0) mmHg in the standard practice group) and rate of at least a moderate paravalvular leak (0% vs. 1.6% in the zero-contrast and standard practice groups, respectively; p = 0.31). No differences in AKI during the hospital stay were observed. Over a median follow-up of 3.3 years, there was a significantly lower rate of AKI (1.2% vs. 25.9%, p < 0.001) and rehospitalizations (1.6% vs. 35.5%, p < 0.00) in standard practice group. Conclusions: We showed for the first time the feasibility and efficacy of a totally contrast-free strategy compared to standard practice in TAVI patients with severe renal dysfunction. Besides achieving comparable procedural results, the zero-contrast strategy showed a better long-term clinical outcome in reducing hospital readmissions for kidney function deterioration. Full article
(This article belongs to the Special Issue Recent Developments in Transcatheter Aortic Valve Implantation)
Show Figures

Figure 1

15 pages, 5429 KB  
Article
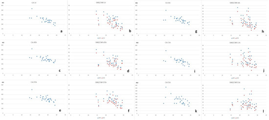
Feasibility of Reduced Iodine Loads for Vascular Assessment Prior to Transcatheter Aortic Valve Implantation (TAVI) Using Spectral Detector CT
by Christopher Schuppert, Janek Salatzki, Florian André, Johannes Riffel, David L. Mangold, Claudius Melzig, Muhammad Taha Hagar, Hans-Ulrich Kauczor, Tim F. Weber, Fabian Rengier and Thuy D. Do
Diagnostics 2024, 14(9), 879; https://doi.org/10.3390/diagnostics14090879 - 24 Apr 2024
Cited by 5 | Viewed by 1960
Abstract
Reduced iodine loads for computed tomography (CT)-based vascular assessment prior to transcatheter aortic valve implantation (TAVI) may be feasible in conjunction with a spectral detector CT scanner. This prospective single-center study considered 100 consecutive patients clinically referred for pre-TAVI CT. They were examined [...] Read more.
Reduced iodine loads for computed tomography (CT)-based vascular assessment prior to transcatheter aortic valve implantation (TAVI) may be feasible in conjunction with a spectral detector CT scanner. This prospective single-center study considered 100 consecutive patients clinically referred for pre-TAVI CT. They were examined on a dual-layer detector CT scanner to obtain an ECG-gated cardiac scan and a non-ECG-gated aortoiliofemoral scan. Either a standard contrast media (SCM) protocol using 80 mL Iohexol 350 mgI/mL (iodine load: 28 gI) or a body-mass-index adjusted reduced contrast media (RCM) protocol using 40–70 mL Iohexol 350 mgI/mL (iodine load: 14–24.5 gI) were employed. Conventional images and virtual monoenergetic images at 40–80 keV were reconstructed. A threshold of 250 HU was set for sufficient attenuation along the arterial access pathway. A qualitative assessment used a five-point Likert scale. Sufficient attenuation in the thoracic aorta was observed for all patients in both groups using conventional images. In the abdominal, iliac, and femoral segments, sufficient attenuation was observed for the majority of patients when using virtual monoenergetic images (SCM: 96–100% of patients, RCM: 88–94%) without statistical difference between both groups. Segments with attenuation measurements below the threshold remained qualitatively assessable as well. Likert scores were ‘excellent’ for virtual monoenergetic images 50 keV and 55 keV in both groups (RCM: 1.2–1.4, SCM: 1.2–1.3). With diagnostic image quality maintained, it can be concluded that reduced iodine loads of 14–24.5 gI are feasible for pre-TAVI vascular assessment on a spectral detector CT scanner. Full article
(This article belongs to the Special Issue Advances in Cardiovascular and Pulmonary Imaging)
Show Figures

Figure 1

14 pages, 2084 KB  
Article
Transcatheter Aortic Valve Implantation (TAVI) Planning with Dual-Layer Spectral CT Using Virtual Monoenergetic Image (VMI) Reconstructions and 20 mL of Contrast Media
by Federico Fontana, Filippo Piacentino, Aroa Gnesutta, Edoardo Macchi, Andrea Coppola, Angiola Saccomanno, Tonia Gatta, Chiara Recaldini, Manuela Minenna, Claudio Tamborini, Filippo Dossi, Velio Ascenti, Simone Barbera, Giuseppe Cicero, Giulio Carcano, Giorgio Ascenti, Battistina Castiglioni and Massimo Venturini
J. Clin. Med. 2024, 13(2), 524; https://doi.org/10.3390/jcm13020524 - 17 Jan 2024
Cited by 1 | Viewed by 3130
Abstract
Transcatheter aortic valve implantation (TAVI) is a less invasive alternative to surgical implantation and its implementation is progressively increasing worldwide. We routinely perform pre-procedural aortic angiography CT to assess aortic dimensions and vascular anatomy. This study aims to evaluate the image quality of [...] Read more.
Transcatheter aortic valve implantation (TAVI) is a less invasive alternative to surgical implantation and its implementation is progressively increasing worldwide. We routinely perform pre-procedural aortic angiography CT to assess aortic dimensions and vascular anatomy. This study aims to evaluate the image quality of CTA for TAVI planning using dual-layer spectral CT, with virtual monoenergetic image reconstructions at 40 keV. Thirty-one patients underwent a CTA protocol with the injection of 20 mL of contrast media. Image quality was assessed by measuring the mean density in Hounsfield Units (HU), the signal-to-noise ratio, and the contrast-to-noise ratio in VMI reconstructions. Additionally, a blinded subjective analysis was conducted by two observers. The results showed significant enhancement at all sampled vascular levels with a gradual decrease in HU from proximal to distal regions. Favourable subjective ratings were given for all parameters, with greater variability in the evaluation of iliac axes. A significant negative correlation (p < 0.05) was observed between BMI and CA at all vascular levels, indicating reduced contrast enhancement with increasing BMI. Spectral CT, along with reducing iodine load, allows for obtaining high-quality images without a significant increase in noise. The reduction in iodine load can have positive implications in clinical practice, improving patient safety and resource efficiency. Full article
(This article belongs to the Section Nuclear Medicine & Radiology)
Show Figures

Graphical abstract

16 pages, 3281 KB  
Article
TAVI-PREP: A Deep Learning-Based Tool for Automated Measurements Extraction in TAVI Planning
by Marcel Santaló-Corcoy, Denis Corbin, Olivier Tastet, Frédéric Lesage, Thomas Modine, Anita Asgar and Walid Ben Ali
Diagnostics 2023, 13(20), 3181; https://doi.org/10.3390/diagnostics13203181 - 11 Oct 2023
Cited by 15 | Viewed by 3170
Abstract
Background: Transcatheter aortic valve implantation (TAVI) is a less invasive alternative to open-heart surgery for treating severe aortic stenosis. Despite its benefits, the risk of procedural complications necessitates careful preoperative planning. Methods: This study proposes a fully automated deep learning-based method, TAVI-PREP, for [...] Read more.
Background: Transcatheter aortic valve implantation (TAVI) is a less invasive alternative to open-heart surgery for treating severe aortic stenosis. Despite its benefits, the risk of procedural complications necessitates careful preoperative planning. Methods: This study proposes a fully automated deep learning-based method, TAVI-PREP, for pre-TAVI planning, focusing on measurements extracted from computed tomography (CT) scans. The algorithm was trained on the public MM-WHS dataset and a small subset of private data. It uses MeshDeformNet for 3D surface mesh generation and a 3D Residual U-Net for landmark detection. TAVI-PREP is designed to extract 22 different measurements from the aortic valvular complex. A total of 200 CT-scans were analyzed, and automatic measurements were compared to the ones made manually by an expert cardiologist. A second cardiologist analyzed 115 scans to evaluate inter-operator variability. Results: High Pearson correlation coefficients between the expert and the algorithm were obtained for most parameters (0.90–0.97), except for left and right coronary height (0.8 and 0.72, respectively). Similarly, the mean absolute relative error was within 5% for most measurements, except for left and right coronary height (11.6% and 16.5%, respectively). A greater consensus was observed among experts than when compared to the automatic approach, with TAVI-PREP showing no discernable bias towards either the lower or higher ends of the measurement spectrum. Conclusions: TAVI-PREP provides reliable and time-efficient measurements of the aortic valvular complex that could aid clinicians in the preprocedural planning of TAVI procedures. Full article
(This article belongs to the Special Issue Artificial Intelligence in Cardiology Diagnosis )
Show Figures

Figure 1

19 pages, 3147 KB  
Review
Transcatheter Aortic Valve Implantation: Addressing the Subsequent Risk of Permanent Pacemaker Implantation
by Philipp Lauten, Lisa C. Costello-Boerrigter, Björn Goebel, David Gonzalez-Lopez, Matthias Schreiber, Thomas Kuntze, Mahmoud Al Jassem and Harald Lapp
J. Cardiovasc. Dev. Dis. 2023, 10(6), 230; https://doi.org/10.3390/jcdd10060230 - 24 May 2023
Cited by 10 | Viewed by 4567
Abstract
Transcatheter aortic valve implantation (TAVI) is now a commonly used therapy in patients with severe aortic stenosis, even in those patients at low surgical risk. The indications for TAVI have broadened as the therapy has proven to be safe and effective. Most challenges [...] Read more.
Transcatheter aortic valve implantation (TAVI) is now a commonly used therapy in patients with severe aortic stenosis, even in those patients at low surgical risk. The indications for TAVI have broadened as the therapy has proven to be safe and effective. Most challenges associated with TAVI after its initial introduction have been impressively reduced; however, the possible need for post-TAVI permanent pacemaker implantation (PPI) secondary to conduction disturbances continues to be on the radar. Conduction abnormalities post-TAVI are always of concern given that the aortic valve lies in close proximity to critical components of the cardiac conduction system. This review will present a summary of noteworthy pre-and post-procedural conduction blocks, the best use of telemetry and ambulatory device monitoring to avoid unnecessary PPI or to recognize the need for late PPI due to delayed high-grade conduction blocks, predictors to identify those patients at greatest risk of requiring PPI, important CT measurements and considerations to optimize TAVI planning, and the utility of the MInimizing Depth According to the membranous Septum (MIDAS) technique and the cusp-overlap technique. It is stressed that careful membranous septal (MS) length measurement by MDCT during pre-TAVI planning is necessary to establish the optimal implantation depth before the procedure to reduce the risk of compression of the MS and consequent damage to the cardiac conduction system. Full article
(This article belongs to the Special Issue Aortic Stenosis: Diagnosis, Treatment and Management)
Show Figures

Figure 1

4 pages, 3463 KB  
Interesting Images
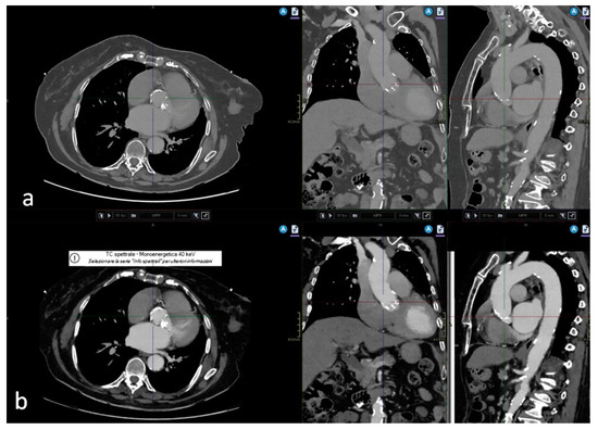
Spectral CT Imaging of Prosthetic Valve Embolization after Transcatheter Aortic Valve Implantation
by Tommaso D’Angelo, Giampiero Vizzari, Ludovica R. M. Lanzafame, Federica Pergolizzi, Silvio Mazziotti, Michele Gaeta, Francesco Costa, Gianluca Di Bella, Thomas J. Vogl, Christian Booz, Antonio Micari and Alfredo Blandino
Diagnostics 2023, 13(4), 678; https://doi.org/10.3390/diagnostics13040678 - 11 Feb 2023
Cited by 4 | Viewed by 2247
Abstract
Transcatheter heart valve (THV) embolization is a rare complication of transcatheter aortic valve implantation (TAVI) generally caused by malpositioning, sizing inaccuracies and pacing failures. The consequences are related to the site of embolization, ranging from a silent clinical picture when the device is [...] Read more.
Transcatheter heart valve (THV) embolization is a rare complication of transcatheter aortic valve implantation (TAVI) generally caused by malpositioning, sizing inaccuracies and pacing failures. The consequences are related to the site of embolization, ranging from a silent clinical picture when the device is stably anchored in the descending aorta to potentially fatal outcomes (e.g., obstruction of flow to vital organs, aortic dissection, thrombosis, etc.). Here, we present the case of a 65-year-old severely obese woman affected by severe aortic valve stenosis who underwent TAVI complicated by embolization of the device. The patient underwent spectral CT angiography that allowed for improved image quality by means of virtual monoenergetic reconstructions, permitting optimal pre-procedural planning. She was successfully re-treated with implantation of a second prosthetic valve a few weeks later. Full article
(This article belongs to the Special Issue Leading Diagnosis on Chest Imaging)
Show Figures

Figure 1

6 pages, 30159 KB  
Case Report
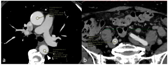
CT Detection of an Anomalous Left Circumflex Coronary Artery from Pulmonary Artery (ALXCAPA) in 81-Year-Old Female Patient
by Marian Pop, Zsófia Kakucs and Simona Coman
J. Clin. Med. 2023, 12(1), 226; https://doi.org/10.3390/jcm12010226 - 28 Dec 2022
Viewed by 2714
Abstract
Background: The left circumflex coronary artery from the pulmonary artery is a very rare congenital anomaly with few cases described, so far, worldwide. Case report: An 81-year-old female presented complaining of dyspnea. The transthoracic echocardiogram revealed severe degenerative aortic stenosis in addition to [...] Read more.
Background: The left circumflex coronary artery from the pulmonary artery is a very rare congenital anomaly with few cases described, so far, worldwide. Case report: An 81-year-old female presented complaining of dyspnea. The transthoracic echocardiogram revealed severe degenerative aortic stenosis in addition to a hypertrophied left ventricle with normal function and no wall motion abnormalities. As part of the pre-TAVI planning, she underwent a CT examination, which revealed an anomalous left circumflex artery originating from the right pulmonary artery. The case is currently being managed conservatively. Conclusion: The presented congenital coronary anomaly is, to our knowledge, the first to be described in the literature in this age group (80+). Full article
(This article belongs to the Special Issue Clinical Research Advances in Congenital Heart Disease)
Show Figures

Figure 1

Back to TopTop