CT Detection of an Anomalous Left Circumflex Coronary Artery from Pulmonary Artery (ALXCAPA) in 81-Year-Old Female Patient
Abstract
1. Introduction
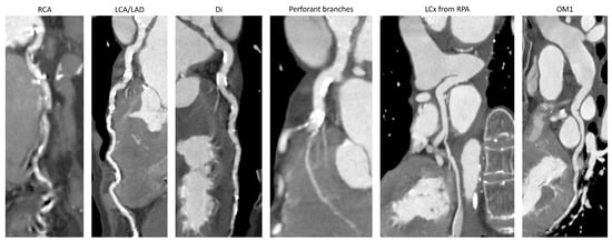
2. Case Description
3. Discussion
4. Conclusions
Supplementary Materials
Author Contributions
Funding
Institutional Review Board Statement
Informed Consent Statement
Data Availability Statement
Conflicts of Interest
References
- Angelini, P. Curicculum in Cardlology Normal and Anomalous Coronary Arterys: Definitions and Classification.
- Namgung, J.; Kim, J.A. The Prevalence of Coronary Anomalies in a Single Center of Korea: Origination, Course, and Termination Anomalies of Aberrant Coronary Arteries Detected by ECG-Gated Cardiac MDCT. BMC Cardiovasc. Disord. 2014, 14, 48. [Google Scholar] [CrossRef]
- Gentile, F.; Castiglione, V.; de Caterina, R. Coronary Artery Anomalies. Circulation 2021, 144, 983–996. [Google Scholar] [CrossRef]
- Sadoma, D.; Valente, C.; Sigal, A. Anomalous Left Coronary Artery From The Pulmonary Artery (ALCAPA) as a Cause of Heart Failure. Am. J. Case Rep. 2019, 20, 1797. [Google Scholar] [CrossRef]
- Liu, B.; Fursevich, D.; O’dell, M.C.; Flores, M.; Feranec, N. Anomalous Left Circumflex Coronary Artery Arising from the Right Pulmonary Artery: A Rare Cause of Aborted Sudden Cardiac Death. Cureus 2016, 8, e499. [Google Scholar] [CrossRef]
- Hauser, M. Congenital Anomalies of the Coronary Arteries. Heart 2005, 91, 1240. [Google Scholar] [CrossRef]
- Angelini, P. Coronary artery anomalies: An entity in search of an identity. Circulation 2007, 115, 1296–1305. [Google Scholar] [CrossRef]
- Garcia, C.M.; Chandler, J.; Russell, R. Anomalous Left Circumflex Coronary Artery from the Right Pulmonary Artery: First Adult Case Report. Am. Heart J. 1992, 123, 526–528. [Google Scholar] [CrossRef]
- Ziermann, F.K. Fehlkonnektierte Koronararterien Zur Pulmonalarterie—Primäre Befunde Und Anatomische Besonderheiten. Ph.D. Thesis, Technische Universität München, München, Germany, 2021. [Google Scholar]
- Walsh, M.A.; Duff, D.; Oslizlok, P.; Redmond, M.; Walsh, K.P.; Wood, A.E.; Coleman, D.M. A Review of 15-Year Experience with Anomalous Origin of the Left Coronary Artery. Ir. J. Med. Sci. 2008, 177, 127–130. [Google Scholar] [CrossRef]
- Peña, E.; Nguyen, E.T.; Merchant, N.; Dennie, C. ALCAPA Syndrome: Not Just a Pediatric Disease. Radiographics 2009, 29, 553–565. [Google Scholar] [CrossRef]
- Guenther, T.M.; Sherazee, E.A.; Gustafson, J.D.; Wozniak, C.J.; Brothers, J.; Raff, G. Anomalous Origin of the Circumflex or Left Anterior Descending Artery From the Pulmonary Artery. World J. Pediatr. Congenit. Heart Surg. 2020, 11, 765–775. [Google Scholar] [CrossRef]
- Korosoglou, G.; Ringwald, G.; Giannitsis, E.; Katus, H.A. Anomalous Origin of the Left Circumflex Coronary Artery from the Pulmonary Artery. A Very Rare Congenital Anomaly in an Adult Patient Diagnosed by Cardiovascular Magnetic Resonance. J. Cardiovasc. Magn. Reson. 2008, 10, 4. [Google Scholar] [CrossRef]
- Cabrera-Huerta, S.P.; Martín-Lores, I.; Cabeza, B.; Gómez de Diego, J.J.; Pérez de Isla, L.; Vilacosta, I.; Pozo-Osinalde, E. Circumflex Artery Arising From the Pulmonary Artery: Always a Malignant Coronary Anomaly? JACC Case Rep. 2020, 2, 1702–1707. [Google Scholar] [CrossRef]
- Separham, A.; Aliakbarzadeh, P. Anomalous Left Coronary Artery from the Pulmonary Artery Presenting with Aborted Sudden Death in an Octogenarian: A Case Report. J. Med. Case Rep. 2012, 6, 12. [Google Scholar] [CrossRef]
- Cambronero-Cortinas, E.; Moratalla-Haro, P.; González-García, A.E.; Oliver-Ruiz, J.M. Case Report of Asymptomatic Very Late Presentation of ALCAPA Syndrome: Review of the Literature since Pathophysiology until Treatment. Eur. Heart J. Case Rep. 2020, 4, 1. [Google Scholar] [CrossRef]
- Vergara-Uzcategui, C.E.; Urquiza, R.V.; Salinas, P.; Nunez-Gil, I.J. Anomalous Origin of Left Circumflex Artery from the Right Pulmonary Artery of an Adult. REC Interv. Cardiol. 2021, 3, 65–72. [Google Scholar] [CrossRef]
- Al-Muhaya, M.A.; Syed, A.; Najjar, A.H.A.; Mofeed, M.; Al-Mutairi, M. Anomalous Origin of Circumflex Coronary Artery from Right Pulmonary Artery Associated with Atrial Septal Defect. J. Saudi Heart Assoc. 2017, 29, 219–222. [Google Scholar] [CrossRef]
- Kakucs, Z.; Heidenhoffer, E.; Pop, M. Detection of Coronary Artery and Aortic Arch Anomalies in Patients with Tetralogy of Fallot Using CT Angiography. J. Clin. Med. 2022, 11, 5500. [Google Scholar] [CrossRef]
- Laflamme, E.; Alonso-Gonzalez, R.; Roche, S.L.; Wald, R.M.; Swan, L.; Silversides, C.K.; Thorne, S.A.; Horlick, E.M.; Benson, L.N.; Osten, M.; et al. Anomalous Origin of a Coronary Artery from the Pulmonary Artery Presenting in Adulthood: Experience from a Tertiary Center. Int. J. Cardiol. Congenit. Heart Dis. 2021, 4, 100169. [Google Scholar] [CrossRef]
- Bolognesi, R.; Alfieri, O.; Tsialtas, D.; Manca, C. Surgical Treatment of the Left Circumflex Coronary Artery from the Pulmonary Artery in an Adult Patient. Ann. Thorac. Surg. 2003, 75, 1642–1643. [Google Scholar] [CrossRef]
- Fudulu, D.P.; Dorobantu, D.M.; Taghavi, M.; Sharabiani, A.; Angelini, G.D.; Caputo, M.; Parry, A.J.; Stoica, S.C. Outcomes Following Repair of Anomalous Coronary Artery from the Pulmonary Artery in Infants: Results from a Procedure-Based National Database. Open Heart 2015, 2, 277. [Google Scholar] [CrossRef]
- Yong, L. Asymptomatic Adult Type ALCAPA Syndrome Coexisting with Bicuspid Aortic Valve- A Case Report. J. Cardiol. Cardiovasc. Res. 2021, 2. [Google Scholar] [CrossRef] [PubMed]


Disclaimer/Publisher’s Note: The statements, opinions and data contained in all publications are solely those of the individual author(s) and contributor(s) and not of MDPI and/or the editor(s). MDPI and/or the editor(s) disclaim responsibility for any injury to people or property resulting from any ideas, methods, instructions or products referred to in the content. |
© 2022 by the authors. Licensee MDPI, Basel, Switzerland. This article is an open access article distributed under the terms and conditions of the Creative Commons Attribution (CC BY) license (https://creativecommons.org/licenses/by/4.0/).
Share and Cite
Pop, M.; Kakucs, Z.; Coman, S. CT Detection of an Anomalous Left Circumflex Coronary Artery from Pulmonary Artery (ALXCAPA) in 81-Year-Old Female Patient. J. Clin. Med. 2023, 12, 226. https://doi.org/10.3390/jcm12010226
Pop M, Kakucs Z, Coman S. CT Detection of an Anomalous Left Circumflex Coronary Artery from Pulmonary Artery (ALXCAPA) in 81-Year-Old Female Patient. Journal of Clinical Medicine. 2023; 12(1):226. https://doi.org/10.3390/jcm12010226
Chicago/Turabian StylePop, Marian, Zsófia Kakucs, and Simona Coman. 2023. "CT Detection of an Anomalous Left Circumflex Coronary Artery from Pulmonary Artery (ALXCAPA) in 81-Year-Old Female Patient" Journal of Clinical Medicine 12, no. 1: 226. https://doi.org/10.3390/jcm12010226
APA StylePop, M., Kakucs, Z., & Coman, S. (2023). CT Detection of an Anomalous Left Circumflex Coronary Artery from Pulmonary Artery (ALXCAPA) in 81-Year-Old Female Patient. Journal of Clinical Medicine, 12(1), 226. https://doi.org/10.3390/jcm12010226

