Development of Cardiac Computed Tomography for Evaluation of Aortic Valve Stenosis
Abstract
1. Introduction
2. Improvement of the Treatment of Aortic Valve Stenosis
3. Improvement of Aortic Valve Stenosis Evaluation Using Computed Tomography
3.1. Utility of Computed Tomography in Aortic Valve Stenosis
3.2. Utility of the Screening of Coronary Artery Stenosis on Computed Tomography
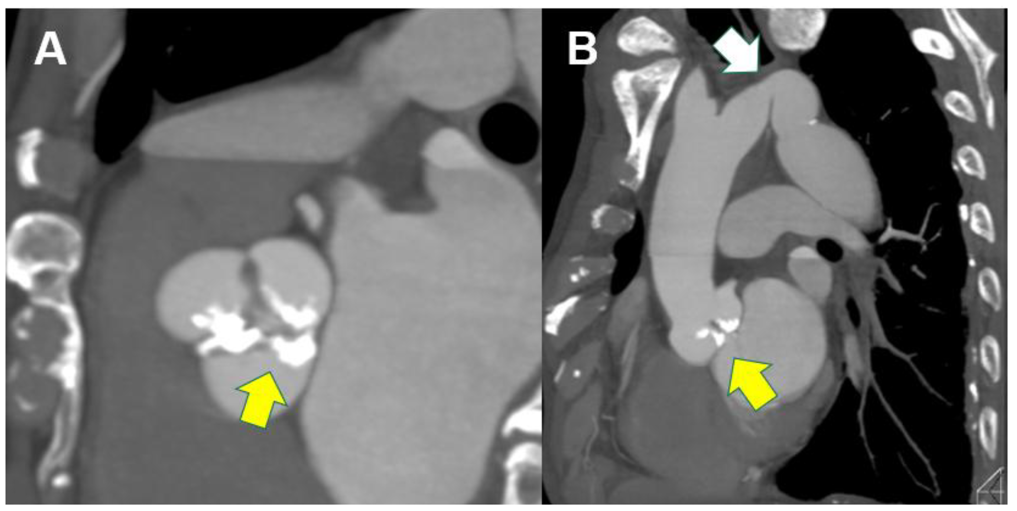
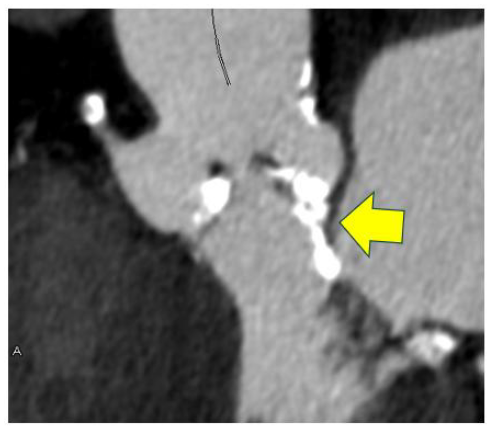
3.3. Computed Tomography for Evaluating the Significance of Aortic Valve Calcification
3.4. Utility of the Evaluation of Congenital Abnormalities on Computed Tomography
3.5. The Analysis of Myocardial Damage on Computed Tomography
3.6. Myocardial Strain Analysis on Computed Tomography
4. Utility of CT in Patients with AS Before and After Invasive Procedures
4.1. General Utility of CT for AS Before Invasive Procedures
4.2. Analysis of Aortic Valve Complex on CT Before TAVI
4.3. Analysis of Catheter Access Route on CT Before TAVI
4.4. CT Analysis Before Valve-In Valve TAVI or TAV in TAV
4.5. Pulmonary Assessment on CT Before TAVI
4.6. CT Analysis After TAVI
4.7. Blood Flow Analysis Using CT
5. Summary of Utility of CT for Patients with AS
6. Conclusions
Author Contributions
Funding
Institutional Review Board Statement
Informed Consent Statement
Data Availability Statement
Acknowledgments
Conflicts of Interest
Abbreviations
| AS | Aortic valve stenosis |
| AV | Aortic valve |
| HALT | Hypo-attenuated leaflet thickening; |
| AVR | Aortic valve replacement |
| TVAR | transcatheter aortic valve replacement; |
| IVC | inferior vena cava; |
| CRRT | continuous renal replacement therapy; |
| CT | Computed tomography; |
| ECV | Electrocardiography |
| MRI | Magnetic resonance imaging; |
| ECV | Extracellular volume; |
| DLR | Deep learning reconstruction |
References
- Faggiano, P.; Antonini-Canterin, F.; Erlicher, A.; Romeo, C.; Cervesato, E.; Pavan, D.; Piazza, R.; Huang, G.; Nicolosi, G.L. Progression of aortic valve sclerosis to aortic stenosis. Am. J. Cardiol. 2003, 91, 99–101. [Google Scholar] [CrossRef] [PubMed]
- Horstkotte, D.; Loogen, F. The natural history of aortic valve stenosis. Eur. Heart J. 1988, 9, 57–64. [Google Scholar] [CrossRef] [PubMed]
- Roberts, W.C.; Ko, J.M. Frequency by decades of unicuspid, bicuspid, and tricuspid aortic valves in adults having isolated aortic valve re placement for aortic stenosis, with or without associated aortic regur gitation. Circulation 2005, 111, 920–925. [Google Scholar] [CrossRef] [PubMed]
- Yamamoto, K.; Yamamoto, H.; Takeuchi, M.; Kisanuki, A.; Akasaka, T.; Ohte, N.; Hirano, Y.; Yoshida, K.; Nakatani, S.; Takeda, Y.; et al. Risk Factors for Pro gression of Degenerative Aortic Valve Disease in the Japanese—The Japanese Aortic Stenosis Study (JASS) Prospective Analysis. Circ. J. 2015, 79, 2050–2057. [Google Scholar] [CrossRef] [PubMed]
- Joseph, J.; Naqvi, S.Y.; Giri, J.; Goldberg, S. Aortic stenosis: Pathophysiology, diagnosis, and therapy. Am. J. Med. 2017, 130, 253–263. [Google Scholar] [CrossRef]
- Danielsen, R.; Aspelund, T.; Harris, T.B.; Gudnason, V. The prevalence of aortic stenosis in the elderly in Iceland and predictions for the coming de cades: The AGES-Reykjavík study. Int. J. Cardiol. 2014, 176, 916–922. [Google Scholar] [CrossRef] [PubMed]
- Attizzani, G.F.; Dallan, L.A.P.; Forrest, J.K.; Reardon, M.J.; Szeto, W.Y.; Liu, F.; Pelletier, M. Redo-transcatheter aortic valve replacement with the supra-annular, self-expandable Evolut platform: Insights from the Transcatheter valve Therapy Registry. Catheter. Cardiovasc. Interv. 2022, 99, 869–876. [Google Scholar] [CrossRef]
- Baumgartner, H.; Hung, J.; Bermejo, J.; Chambers, J.B.; Edvardsen, T.; Goldstein, S.; Lancellotti, P.; LeFevre, M.; Miller, F.; Otto, C.M. Recommendations on the Echocardiographic Assessment of Aortic Valve Stenosis: A Focused Update from the European Association of Cardiovascular Imaging and the American Society of Echocardiography. J. Am. Soc. Echocar. Diogr. 2017, 30, 372–392. [Google Scholar] [CrossRef] [PubMed]
- Johnson, S.; Stroud, M.R.; Kratz, J.M.; Bradley, S.M.; Crawford, F.A.; Ikonomidis, J.S. Thirty-year experience with a bileaflet mechanical valve prosthesis. J. Thorac. Cardiovasc. Surg. 2019, 157, 213–222. [Google Scholar] [CrossRef]
- Bourguignon, T.; Bouquiaux-Stablo, A.L.; Candolfi, P.; Mirza, A.; Loardi, C.; May, M.A.; El-Khoury, R.; Marchand, M.; Aupart, M. Very long-term outcomes of the Carpentier-Edwards Perimount valve in aortic position. Ann. Thorac. Surg. 2015, 99, 831–837. [Google Scholar] [CrossRef]
- Mack, M.J.; Leon, M.B.; Thourani, V.H.; Pibarot, P.; Hahn, R.T.; Genereux, P.; Kodali, S.K.; Kapadia, S.R.; Cohen, D.J.; Pocock, S.J.; et al. Transcatheter Aortic-Valve Replacement in Low-Risk Patients at Five Years. N. Engl. J. Med. 2023, 389, 1949–1960. [Google Scholar] [CrossRef] [PubMed]
- Van Nooten, G.J.; Caes, F.; François, K.; Van Bellleghem, Y.; Bové, T.; Vandenplas, G.; Taeymans, Y. Twenty years’ single-center experience with mechanical heart valves: A critical review of anticoagulation policy. J. Heart Valve Dis. 2012, 21, 88–98. [Google Scholar] [PubMed]
- Nishida, T.; Sonoda, H.; Oishi, Y.; Tatewaki, H.; Tanoue, Y.; Shiokawa, Y.; Tominaga, R. Long-term results of aortic valve replacement with mechanical prosthesis or carpentier-edwards perimount bioprosthesis in Japanese patients according to age. Circ. J. 2014, 78, 2688–2695. [Google Scholar] [CrossRef]
- Otto, C.M.; Nishimura, R.A.; Bonow, R.O.; Carabello, B.A.; Erwin, J.P., 3rd; Gentile, F.; Jneid, H.; Krieger, E.V.; Mack, M.; McLeod, C.; et al. 2020 ACC/AHA Guideline for the Management of Patients with Valvular Heart Disease: A Report of the American College of Cardiology/American Heart Association Joint Committee on Clinical Practice Guidelines. Circulation 2021, 143, e72–e227. [Google Scholar] [CrossRef]
- Aboud, A.; Charitos, E.I.; Fujita, B.; Stierle, U.; Reil, J.C.; Voth, V.; Liebrich, M.; Andreas, M.; Holubec, T.; Bening, C.; et al. Long-Term Outcomes of Patients Undergoing the Ross Procedure. J. Am. Coll. Cardiol. 2021, 77, 1412–1422. [Google Scholar] [CrossRef]
- Nakano, S.; Kohsaka, S.; Chikamori, T.; Fukushima, K.; Kobayashi, Y.; Kozuma, K.; Manabe, S.; Matsuo, H.; Nakamura, M.; Ohno, T.; et al. JCS 2022 Guideline Focused Update on Diagnosis and Treatment in Patients with Stable Coronary Artery Disease. Circ. J. 2022, 86, 882–915. [Google Scholar] [CrossRef] [PubMed]
- Takaoka, H.; Uehara, M.; Saito, Y.; Ota, J.; Iida, Y.; Takahashi, M.; Sano, K.; Komuro, I.; Kobayashi, Y. Improved diagnostic performance of new-generation 320-slice computed tomography with forward-projected model-based iterative reconstruction solution for the assessment of late enhancement in left ventricular myocardium. Intern. Med. 2020, 59, 2095–2103. [Google Scholar] [CrossRef]
- Izumi, C.; Eishi, Y.; Ashihara, K.; Arita, T.; Otsuji, Y.; Kunihara, T.; Komiya, T.; Shibata, T.; Seo, Y.; Daimon, M.; et al. JCS/JSCS/JATS/JSVS 2020 Guidelines on the Management of Valvular Heart Disease. Circ. J. 2020, 84, 2037–2119. [Google Scholar] [CrossRef]
- Hamon, M.; Morello, R.; Riddell, J.W.; Hamon, M. Coronary arteries: Diagnostic performance of 16- versus 64-section spiral CT compared with invasive coronary angiography--meta-analysis. Radiology 2007, 245, 720–731. [Google Scholar] [CrossRef]
- Saito, Y.; Takaoka, H.; Funabashi, N.; Ozawa, K.; Tamura, Y.; Saito, M.; Matsumiya, G.; Kobayashi, Y. A case of very severe aortic stenosis due to unicuspid aortic valve mimicking bicuspid aortic valve with calcification on cardiac computed tomography. Int. J. Cardiol. 2016, 215, 516–518. [Google Scholar] [CrossRef]
- Liang, J.; Liang, J.; Sun, Y.; Ye, Z.; Sun, Y.; Xu, L.; Zhou, Z.; Thomsen, B.; Li, J.; Sun, Z.; et al. Second-generation motion correction algorithm improves diagnostic accuracy of single-beat coronary CT angiography in patients with increased heart rate. Eur. Radiol. 2019, 29, 4215–4227. [Google Scholar] [CrossRef] [PubMed]
- Yang, W.; Yu, L.; Yu, Y.; Dai, X.; Yang, W.; Zhang, J. Novel motion correction algorithm improves diagnostic performance of CT fractional flow reserve. Eur. J. Radiol. 2024, 176, 111538. [Google Scholar] [CrossRef] [PubMed]
- Andreini, D.; Pontone, G.; Mushtaq, S.; Conte, E.; Guglielmo, M.; Mancini, M.E.; Annoni, A.; Baggiano, A.; Formenti, A.; Montorsi, P.; et al. Diagnostic accuracy of coronary CT angiography performed in 100 consecutive patients with coronary stents using a whole-organ high-definition CT scanner. Int. J. Cardiol. 2019, 274, 382–387. [Google Scholar] [CrossRef]
- Takahashi, M.; Takaoka, H.; Ota, J.; Yashima, S.; Kinoshita, M.; Suzuki-Eguchi, N.; Sasaki, H.; Goto, H.; Aoki, S.; Kitahara, H.; et al. An Increased Diagnostic Accuracy of Significant Coronary Artery Stenosis Using 320-slice Computed Tomography with Model-based Iterative Reconstruction in Cases with Severely Calcified Coronary Arteries. Intern. Med. 2023, 62, 169–176. [Google Scholar] [CrossRef]
- Zucker, E.J. Computed tomography in tetralogy of Fallot: Pre- and postoperative imaging evaluation. Pediatr. Radiol. 2022, 52, 2485–2497. [Google Scholar] [CrossRef]
- Ridley, C.H.; Vallabhajosyula, P.; Bavaria, J.E.; Patel, P.A.; Gutsche, J.T.; Shah, R.; Feinman, J.W.; Weiss, S.J.; Augoustides, J.G. The Sievers Classification of the Bicuspid Aortic Valve for the Perioperative Echocardiographer: The Importance of Valve Phenotype for Aortic Valve Repair in the Era of the Functional Aortic Annulus. J. Cardiothorac. Vasc. Anesth. 2016, 30, 1142–1151. [Google Scholar] [CrossRef]
- Egbe, A.C.; Borlaug, B.A.; Miranda, W.R.; Karnakoti, S.; Ali, A.E.; Younis, A.; Connolly, H.M. Sex Differences in Outcomes of Adults with Repaired Coarctation of Aorta and Concomitant Aortic Valve Disease. CJC Open 2024, 6, 1386–1394. [Google Scholar] [CrossRef]
- Ohta, Y.; Kitao, S.; Yunaga, H.; Fujii, S.; Mukai, N.; Yamamoto, K.; Ogawa, T. Myocardial delayed enhancement CT for the evaluation of heart failure: Comparison to MRI. Radiology 2018, 288, 682–691. [Google Scholar] [CrossRef]
- Andreini, D.; Conte, E.; Mushtaq, S.; Melotti, E.; Gigante, C.; Mancini, M.E.; Guglielmo, M.; Lo Russo, G.; Baggiano, A.; Annoni, A.; et al. Comprehensive Evaluation of Left Ventricle Dysfunction by a New Computed Tomography Scanner: The E-PLURIBUS Study. J. Am. Coll. Cardiol. Imaging 2023, 16, 175–188. [Google Scholar] [CrossRef]
- Aoki, S.; Takaoka, H.; Ota, J.; Kanaeda, T.; Sakai, T.; Matsumoto, K.; Noguchi, Y.; Nishikawa, Y.; Yashima, S.; Suzuki, K.; et al. Strong Diagnostic Performance of Single Energy 256-row Multidetector Computed Tomography with Deep Learning Image Reconstruction in the Assessment of Myocardial Fibrosis. Intern. Med. 2024, 63, 2499–2507. [Google Scholar] [CrossRef]
- Nakamori, S.; Dohi, K.; Ishida, M.; Goto, Y.; Imanaka-Yoshida, K.; Omori, T.; Goto, I.; Kumagai, N.; Fujimoto, N.; Ichikawa, Y.; et al. Native T1 mapping and extracellular volume mapping for the assessment of diffuse myocardial fibrosis in dilated cardiomyopathy. JACC Cardiovasc. Imaging 2018, 11, 48–59. [Google Scholar] [CrossRef] [PubMed]
- Takahashi, M.; Takaoka, H.; Yashima, S.; Suzuki-Eguchi, N.; Ota, J.; Kitahara, H.; Matsuura, K.; Matsumiya, G.; Kobayashi, Y. Extracellular Volume Fraction by Computed Tomography Predicts Prognosis After Transcatheter Aortic Valve Replacement. Circ. J. 2024, 88, 492–500. [Google Scholar] [CrossRef] [PubMed]
- Scully, P.R.; Treibel, T.A.; Fontana, M.; Lloyd, G.; Mullen, M.; Pugliese, F.; Hartman, N.; Hawkins, P.N.; Menezes, L.J.; Moon, J.C. Prevalence of cardiac amyloidosis in patients referred for transcatheter aortic valve replacement. J. Am. Coll. Cardiol. 2018, 71, 463–464. [Google Scholar] [CrossRef] [PubMed]
- Kitaoka, H.; Izumi, C.; Izumiya, Y.; Inomata, T.; Ueda, M.; Kubo, T.; Koyama, J.; Sano, M.; Sekijima, Y.; Tahara, N.; et al. JCS 2020 guideline on diagnosis and treatment of cardiac amyloidosis. Circ. J. 2020, 84, 1610–1671. [Google Scholar] [CrossRef]
- Bernhard, B.; Schütze, J.; Leib, Z.L.; Spano, G.; Berto, M.B.; Bakula, A.; Tomii, D.; Shiri, I.; Brugger, N.; De Marchi, S.; et al. Myocardial analysis from routine 4D cardiac-CT to predict reverse remodeling and clinical outcomes after transcatheter aortic valve implantation. Eur. J. Radiol. 2024, 175, 111425. [Google Scholar] [CrossRef]
- Ng, A.C.; Delgado, V.; van der Kley, F.; Shanks, M.; van de Veire, N.R.; Bertini, M.; Nucifora, G.; van Bommel, R.J.; Tops, L.F.; de Weger, A.; et al. Comparison of aortic root dimensions and geometries before and after transcatheter aortic valve implantation by 2- and 3-dimensional transesophageal echocardiography and multislice computed tomography. Circ. Cardiovasc. Imaging 2010, 3, 94–102. [Google Scholar] [CrossRef]
- Piazza, N.; de Jaegere, P.; Schultz, C.; Becker, A.E.; Serruys, P.W.; Anderson, R.H. Anatomy of the aortic valvar complex and its implications for transcatheter implantation of the aortic valve. Circ. Cardiovasc. Interv. 2008, 1, 74–81. [Google Scholar] [CrossRef]
- Tchetche, D.; Biase, C.D.; Gils, L.V.; Parma, R.; Ochala, A.; Lefevre, T.; Hovasse, T.; De Backer, O.; Sondergaard, L.; Bleiziffer, S.; et al. Bicuspid Aortic Valve Anatomy and Relationship with Devices: The BAVARD Multicenter Registry. Circ. Cardiovasc. Interv. 2019, 12, e007107. [Google Scholar] [CrossRef]
- Yashima, F.; Hayashida, K.; Fukuda, K. Delivery balloon-induced ascending aortic dissection: An Catheter. Cardiovasc. Interv. 2016, 87, 1338–1341. [Google Scholar]
- Hayashida, K.; Bouvier, E.; Lefèvre, T. Successful management of annulus rupture in transcatheter aortic valve implantation. JACC Cardiovasc. Interv. 2013, 6, 90–91. [Google Scholar] [CrossRef]
- Ribeiro, H.B.; Webb, J.G.; Makkar, R.R.; Cohen, M.G.; Kapadia, S.R.; Kodali, S.; Tamburino, C.; Barbanti, M.; Chakravarty, T.; Jilaihawi, H.; et al. Predictive factors, management, and clinical outcomes of coronary obstruction following transcatheter aortic valve implantation: Insights from a large multicenter registry. J. Am. Coll. Cardiol. 2013, 62, 1552–1562. [Google Scholar] [CrossRef] [PubMed]
- Hayıroğlu, M.I.; Çınar, T.; Çiçek, V.; Asal, S.; Kılıç, S.; Keser, N.; Uzun, M.; Orhan, A.L. A simple formula to predict echocardiographic diastolic dysfunction-electrocardiographic diastolic index. Herz 2021, 46 (Suppl. S2), 159–165. [Google Scholar] [CrossRef] [PubMed]
- Pay, L.; Yumurtaş, A.C.; Tezen, O.; Çetin, T.; Eren, S.; Çinier, G.; Hayıroğlu, M.İ.; Tekkeşin, A.İ. Efficiency of MVP ECG Risk Score for Prediction of Long-Term Atrial Fibrillation in Patients with ICD for Heart Failure with Reduced Ejection Fraction. Korean Circ. J. 2023, 53, 621–631. [Google Scholar] [CrossRef] [PubMed]
- Yucel-Finn, A.; Nicol, E.; Leipsic, J.A.; Weir-McCall, J.R. CT in planning transcatheter aortic valve implantation procedures and risk assessment. Clin. Radiol. 2021, 76, 73.e1–73.e19. [Google Scholar] [CrossRef]
- Blanke, P.; Soon, J.; Dvir, D.; Park, J.K.; Naoum, C.; Kueh, S.H.; Wood, D.A.; Norgaard, B.L.; Selvakumar, K.; Ye, J.; et al. Computed tomography assessment for transcatheter aortic valve in valve implantation: The vancouver approach to predict anatomical risk for coronary obstruction and other considerations. J. Cardiovasc. Comput. Tomogr. 2016, 10, 491–499. [Google Scholar] [CrossRef]
- Ribeiro, H.B.; Rodés-Cabau, J.; Blanke, P.; Leipsic, J.; Park, J.K.; Bapat, V.; Makkar, R.; Simonato, M.; Barbanti, M.; Schofer, J.; et al. Incidence, predictors, and clinical outcomes of coronary obstruction following transcatheter aortic valve replacement for degenerative bioprosthetic surgical valves: Insights from the VIVID registry. Eur. Heart J. 2018, 39, 687–695. [Google Scholar] [CrossRef]
- Staab, W.; Bergau, L.; Lotz, J.; Sohns, C. Prevalence of noncardiac findings in CT angiography before TAVR. J. Cardiovasc. Comput. Tomogr. 2014, 8, 222–229. [Google Scholar] [CrossRef]
- Yanagisawa, R.; Tanaka, M.; Yashima, F.; Arai, T.; Jinzaki, M.; Shimizu, H.; Fukuda, K.; Watanabe, Y.; Naganuma, T.; Higashimori, A.; et al. Early and late leaflet thrombus. Circ. Cardiovasc. Interv. 2019, 12, e007349. [Google Scholar] [CrossRef]
- Numata, S.; Itatani, K.; Kawajiri, H.; Yamazaki, S.; Kanda, K.; Yaku, H. Computational fluid dynamics simulation of the right subclavian artery cannulation. J. Thorac. Cardiovasc. Surg. 2017, 154, 480–487. [Google Scholar] [CrossRef]









Disclaimer/Publisher’s Note: The statements, opinions and data contained in all publications are solely those of the individual author(s) and contributor(s) and not of MDPI and/or the editor(s). MDPI and/or the editor(s) disclaim responsibility for any injury to people or property resulting from any ideas, methods, instructions or products referred to in the content. |
© 2025 by the authors. Licensee MDPI, Basel, Switzerland. This article is an open access article distributed under the terms and conditions of the Creative Commons Attribution (CC BY) license (https://creativecommons.org/licenses/by/4.0/).
Share and Cite
Takaoka, H.; Sasaki, H.; Ota, J.; Noguchi, Y.; Matsumoto, M.; Yoshida, K.; Suzuki, K.; Aoki, S.; Yashima, S.; Kinoshita, M.; et al. Development of Cardiac Computed Tomography for Evaluation of Aortic Valve Stenosis. Tomography 2025, 11, 62. https://doi.org/10.3390/tomography11060062
Takaoka H, Sasaki H, Ota J, Noguchi Y, Matsumoto M, Yoshida K, Suzuki K, Aoki S, Yashima S, Kinoshita M, et al. Development of Cardiac Computed Tomography for Evaluation of Aortic Valve Stenosis. Tomography. 2025; 11(6):62. https://doi.org/10.3390/tomography11060062
Chicago/Turabian StyleTakaoka, Hiroyuki, Haruka Sasaki, Joji Ota, Yoshitada Noguchi, Moe Matsumoto, Kazuki Yoshida, Katsuya Suzuki, Shuhei Aoki, Satomi Yashima, Makiko Kinoshita, and et al. 2025. "Development of Cardiac Computed Tomography for Evaluation of Aortic Valve Stenosis" Tomography 11, no. 6: 62. https://doi.org/10.3390/tomography11060062
APA StyleTakaoka, H., Sasaki, H., Ota, J., Noguchi, Y., Matsumoto, M., Yoshida, K., Suzuki, K., Aoki, S., Yashima, S., Kinoshita, M., Suzuki-Eguchi, N., & Kobayashi, Y. (2025). Development of Cardiac Computed Tomography for Evaluation of Aortic Valve Stenosis. Tomography, 11(6), 62. https://doi.org/10.3390/tomography11060062

