Sign in to use this feature.

Years

Between: -

Subjects

remove_circle_outline
remove_circle_outline
remove_circle_outline
remove_circle_outline
remove_circle_outline
remove_circle_outline
remove_circle_outline
remove_circle_outline
remove_circle_outline

Journals

remove_circle_outline
remove_circle_outline
remove_circle_outline
remove_circle_outline
remove_circle_outline
remove_circle_outline
remove_circle_outline
remove_circle_outline
remove_circle_outline
remove_circle_outline
remove_circle_outline
remove_circle_outline
remove_circle_outline
remove_circle_outline
remove_circle_outline
remove_circle_outline
remove_circle_outline
remove_circle_outline
remove_circle_outline

Article Types

Countries / Regions

remove_circle_outline
remove_circle_outline
remove_circle_outline
remove_circle_outline
remove_circle_outline
remove_circle_outline
remove_circle_outline
remove_circle_outline

Search Results (2,295)

Search Parameters:
Keywords = pharmacokinetic models

Order results
Result details
Results per page
Select all
Export citation of selected articles as:
28 pages, 1701 KB  
Review
Evolution, Validation and Current Challenges in Bioanalytical Methods for Praziquantel: From Fluorometry to LC–MS/MS
by Edwin Y. Valladares Chávez, Luis A. Moreno-Rocha, Lucia Ortega Cabello, Ponciano García-Gutiérrez and Jorge E. Miranda-Calderón
Sci. Pharm. 2026, 94(1), 4; https://doi.org/10.3390/scipharm94010004 (registering DOI) - 31 Dec 2025
Abstract
The accurate determination and quantification of praziquantel are essential for optimizing its therapeutic effectiveness in treating schistosomiasis and neurocysticercosis, two significantly neglected tropical diseases. Its challenging physicochemical profile, extensive metabolism, and stereochemical complexity requires robust analytical methods for reliable quantification in clinical, veterinary, [...] Read more.
The accurate determination and quantification of praziquantel are essential for optimizing its therapeutic effectiveness in treating schistosomiasis and neurocysticercosis, two significantly neglected tropical diseases. Its challenging physicochemical profile, extensive metabolism, and stereochemical complexity requires robust analytical methods for reliable quantification in clinical, veterinary, and pharmaceutical samples. This review provides a comprehensive and critical evaluation of analytical strategies used for PZQ determination, spanning fluorometric and radiometric assays, HPLC–UV, LC–MS, LC–MS/MS, and enantioselective chromatographic approaches. Particular emphasis is placed on the evolution toward highly sensitive LC–MS/MS methods and their alignment with contemporary regulatory expectations, including ICH M10 requirements. These advancements have significantly improved sensitivity, specificity, and reproducibility, which are crucial for pharmacokinetic, pharmacodynamic, and bioequivalence studies. Enantioselective methods for distinguishing PZQ enantiomers and metabolites are discussed. The aim of these innovations is to increase praziquantel bioavailability, improve patient adherence, and support its continued use in mass drug administration programs. Finally, the review highlights implementation challenges in resource-limited settings and proposes analytical models to expand global bioanalytical capacity. Together, these insights provide a structured foundation for selecting and developing high-quality, regulatory-compliant analytical methods for PZQ. Full article
Show Figures

Graphical abstract

24 pages, 2221 KB  
Article
Unraveling Cannabidiol’s Bidirectional Regulation of Melatonin Pharmacokinetics via PEPT1/CYP1A2: Mechanistic Insights and Quantitative Projections
by Bohong Zheng, Mengran Wang, Qiannan Zhang, Cong Li, Lingchao Wang, Wenpeng Zhang, Chunyan Liu and Xiaomei Zhuang
Pharmaceuticals 2026, 19(1), 80; https://doi.org/10.3390/ph19010080 (registering DOI) - 30 Dec 2025
Abstract
Background: Chronic insomnia is associated with elevated cardiovascular disease risk, and current therapeutic options for this condition remain inadequate. Melatonin (MT) combined with cannabidiol (CBD) may exert synergistic effects on improving sleep; the underlying pharmacological drug–drug interactions (DDI) and interspecies differences in their [...] Read more.
Background: Chronic insomnia is associated with elevated cardiovascular disease risk, and current therapeutic options for this condition remain inadequate. Melatonin (MT) combined with cannabidiol (CBD) may exert synergistic effects on improving sleep; the underlying pharmacological drug–drug interactions (DDI) and interspecies differences in their combined actions remain unknown. Purpose: This study aimed to evaluate the pharmacokinetic characteristics of combined drug formulations by utilizing DDI-based approaches so as to underpin the efficacy and safety of the formulation. Methods: Overexpressing hPEPT1 in MDCK cells, multiple species liver microsomes, equilibrium dialysis, and a static DDI model were employed to assess CBD’s effects on MT’s cellular uptake, inhibitory effect, enzymatic phenotype, protein binding, and human AUC changes. Results: CBD significantly increased MT exposure in dogs but caused dose-dependent biphasic changes in rats. MT negligibly affected CBD PK. In vitro, CBD inhibited MT metabolism with species differences: potent competitive inhibition in dogs (IC50 = 3.42 ± 1.30 μM), weaker inhibition in rats/humans (IC50 = 13.54 ± 1.15/16.47 ± 4.23 μM). CBD also demonstrated mechanism-based inhibition (KI = 25.63 μM, Kinact = 0.063 min−1) against human CYP1A2-mediated MT metabolism. Acidic conditions revealed that CBD inhibited PEPT1-mediated MT uptake. CBD exhibits high and MT moderate protein binding. Static model predictions aligned with in vivo dog/rat data project a worst-case human MT AUC increase up to 12-fold. Conclusions: This study identifies the critical role of PEPT1 in MT absorption and elucidates the dual mechanisms of CBD; namely, absorption inhibition and metabolic delay in regulating MT pharmacokinetics, which exhibits interspecies differences. Full article
(This article belongs to the Section Pharmacology)
Show Figures

Graphical abstract

23 pages, 3725 KB  
Article
RXR Agonist V-125 Induces Distinct Transcriptional and Immunomodulatory Programs in Mammary Tumors of MMTV-Neu Mice Compared to Bexarotene
by Afrin Sultana Chowdhury, Lyndsey A. Reich, Karen T. Liby, Elizabeth S. Yeh and Ana S. Leal
Biomedicines 2026, 14(1), 80; https://doi.org/10.3390/biomedicines14010080 (registering DOI) - 30 Dec 2025
Abstract
Background: The retinoid X receptor (RXR) is a ligand-activated nuclear receptor that heterodimerizes with numerous partners to regulate diverse transcriptional programs. RXR agonists, including the FDA-approved drug bexarotene, show anti-tumor activity but are limited by adverse side effects. V-125 is a next-generation RXR [...] Read more.
Background: The retinoid X receptor (RXR) is a ligand-activated nuclear receptor that heterodimerizes with numerous partners to regulate diverse transcriptional programs. RXR agonists, including the FDA-approved drug bexarotene, show anti-tumor activity but are limited by adverse side effects. V-125 is a next-generation RXR agonist engineered for improved selectivity, pharmacokinetics, and reduced lipogenic effects. This study compares the molecular and functional effects of V-125 and bexarotene in HER2+ breast cancer models. Methods: Female MMTV-Neu mice bearing mammary tumors were treated with control, V-125 (100 mg/kg diet), or bexarotene (100 mg/kg diet) for 10 days. RNA sequencing was used to identify differentially expressed genes and pathways. Candidate targets were validated by qPCR and immunohistochemistry (IHC). Immune modulation was evaluated by IHC staining for CD8 cells and CD206+ macrophages in tumors to capture the tumor microenvironment. Functional assays in JIMT-1 human HER2+ cells assessed RXR target activation and clonogenic potential in tumor cells. Results: V-125 induced broader transcriptional changes than bexarotene, including selective upregulation of Nrg1, Nfasc, Lrrc26, and Chi3l1 genes associated with improved patient survival. Pathway analysis revealed regulation of immune activation, cancer signaling, and lipid metabolism. Both V-125 and bexarotene suppressed colony formation in JIMT-1 cells, confirming previous observations about RXR-dependent inhibition of tumor cell growth. Moreover, V-125 in vivo had distinct capabilities to increase CD8 cell infiltration and reduced CD206+ macrophages, whereas bexarotene did not. Conclusions: V-125 but not bexarotene reprograms tumor transcriptional programs and the immune landscape in an anti-tumor manner in the MMTV-neu mouse model and in in vitro models of HER2+ breast cancer. This highlights its promise as a selective RXR agonist with anti-tumor and immunomodulatory activity in HER2+ breast cancer. Full article
(This article belongs to the Special Issue Breast Cancer: New Diagnostic and Therapeutic Approaches)
Show Figures

Graphical abstract

19 pages, 762 KB  
Article
Therapeutic Potential and Predictive Pharmaceutical Modeling of Indole Kratom Alkaloids
by Md Harunur Rashid, Matthew J. Williams, Andres Garcia Guerra, Arunporn Itharat, Raimar Loebenberg and Neal M. Davies
J. Phytomed. 2026, 1(1), 1; https://doi.org/10.3390/jphytomed1010001 - 29 Dec 2025
Viewed by 26
Abstract
Kratom alkaloids are classified as aromatic pentacyclic indole and substituted carbonyl oxindole alkaloids. This study investigates the metabolism and interactions of indole alkaloids using in silico tools, including ADMET Predictor 13.0™, to assess pharmacokinetic and metabolic profiles. The analysis examined absorption, distribution, metabolism, [...] Read more.
Kratom alkaloids are classified as aromatic pentacyclic indole and substituted carbonyl oxindole alkaloids. This study investigates the metabolism and interactions of indole alkaloids using in silico tools, including ADMET Predictor 13.0™, to assess pharmacokinetic and metabolic profiles. The analysis examined absorption, distribution, metabolism, and excretion (ADME), focusing on cytochrome P450 (CYP) and UDP-glucuronosyltransferase (UGT) enzyme interactions, drug transporters, and clearance. Most indole alkaloids showed strong substrate interaction and inhibition of CYP3A4 (79–99% confidence) and induction of CYP1A2 (up to 94% confidence). Among UGT enzymes, UGT1A1 demonstrated the highest substrate affinity (97%), while none interacted with UGT2B15. All alkaloids showed strong P-glycoprotein (Pgp) interaction but minimal inhibition of BCRP. Mitralactonine exhibited the highest skin permeability, and Mitralactonal showed maximal jejunal permeability. Most indole alkaloids demonstrated significant blood–brain barrier penetration (up to 99% confidence) and compliance with Lipinski’s rule of five. Predictive modeling indicated notable effects on hepatic microsomal clearance parameters. This investigation offers the first comprehensive in silico ADMET profiling of kratom indole alkaloids, uncovering their CYP3A4 inhibition potential and metabolic liabilities to prioritize candidates for safer therapeutic development, though limited by model biases, applicability domain restrictions, and inability to fully capture biological complexity, stereochemistry, or interindividual variability necessitating experimental in vitro and in vivo validation. Full article
Show Figures

Graphical abstract

22 pages, 2136 KB  
Review
Anticancer Mechanisms of Bioactive Compounds from Sweet Potato (Ipomoea batatas L.) Leaves: A Systematic Review
by Saleh Shafique Chowdhury, Muhammad Abul Kalam Azad, Nanziba Ibnat and Shahidul Islam
Foods 2026, 15(1), 93; https://doi.org/10.3390/foods15010093 - 29 Dec 2025
Viewed by 40
Abstract
Sweet potato leaves (SPL) are increasingly recognized as a significant source of nutritionally and pharmacologically important bioactive compounds. This systematic review critically synthesizes current in vitro, in vivo, and preclinical data to evaluate the cancer preventive properties of SPL, with emphasis on their [...] Read more.
Sweet potato leaves (SPL) are increasingly recognized as a significant source of nutritionally and pharmacologically important bioactive compounds. This systematic review critically synthesizes current in vitro, in vivo, and preclinical data to evaluate the cancer preventive properties of SPL, with emphasis on their phytochemical composition, molecular mechanisms, and therapeutic relevance. A comprehensive literature search across major scientific databases (2015–2025), guided by PRISMA methodology, initially identified 29,416 records. After applying pre-specified inclusion and exclusion criteria and screening titles, abstracts, and full-texts, 38 eligible studies were included. The compiled evidence demonstrates that SPL contains high concentrations of phenolic acids, flavonoids, peptides, carotenoids, and dietary fiber, all of which contribute to diverse anticancer activities. Reported mechanisms include apoptosis induction, cell-cycle arrest, limitation of tumor propagation and metastatic activity, regulation of oncogenic pathways (PI3K/Akt, MAPK, NF-κB), modulation of inflammatory mediators, and suppression of angiogenesis. These effects were observed across multiple cancer models, including liver, colon, breast, lung, and prostate cancers. In addition, SPL represents a promising natural source of anticancer agents, significant gaps remain, particularly regarding standardized extraction procedures, phytochemical characterization, bioavailability, and human clinical validation. Overall, this review underscores SPL as a sustainable and underutilized plant resource with potential applications in functional foods, nutraceuticals, and adjunctive cancer therapy, while highlighting the need for mechanistic studies, pharmacokinetic investigations, and well-designed clinical trials to support future translational development. Full article
Show Figures

Graphical abstract

14 pages, 755 KB  
Article
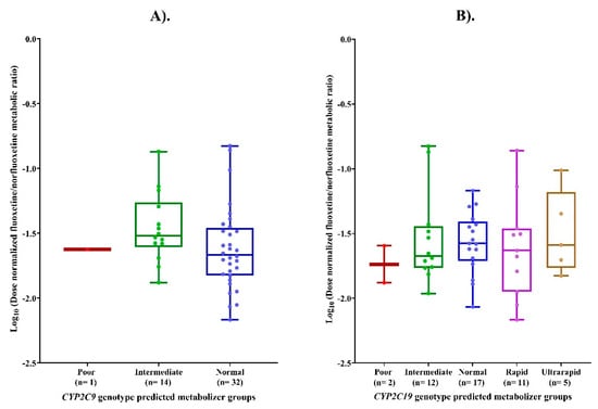
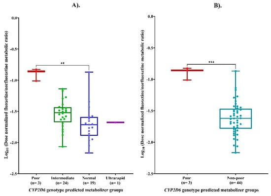
Pharmacogenomics of CYP2D6, CYP2C19, CYP2C9, and Clinical Determinants of Fluoxetine–Norfluoxetine Pharmacokinetics in Real-World Clinical Conditions
by Carla González de la Cruz, Levin Thomas, Carmen Mata-Martín, Idian González, Adrián LLerena and Eva M. Peñas-Lledó
Pharmaceutics 2026, 18(1), 41; https://doi.org/10.3390/pharmaceutics18010041 - 28 Dec 2025
Viewed by 157
Abstract
Background: Fluoxetine, a widely prescribed selective serotonin reuptake inhibitor, exhibits significant interindividual variability in pharmacokinetics, largely attributed to pharmacogenomic factors. Objectives: The study aimed to evaluate the impact of pharmacogenetics and clinical determinants on the dose-normalized fluoxetine/norfluoxetine metabolic ratio in patients undergoing [...] Read more.
Background: Fluoxetine, a widely prescribed selective serotonin reuptake inhibitor, exhibits significant interindividual variability in pharmacokinetics, largely attributed to pharmacogenomic factors. Objectives: The study aimed to evaluate the impact of pharmacogenetics and clinical determinants on the dose-normalized fluoxetine/norfluoxetine metabolic ratio in patients undergoing fluoxetine therapy in routine clinical settings. Methods: Genotypes for CYP2D6, CYP2C9, and CYP2C19 genotypes were determined in 47 patients receiving fluoxetine therapy using TaqMan® assays. Steady-state trough plasma concentrations of fluoxetine and norfluoxetine were measured using validated high-performance liquid chromatography methods. Log10-transformed dose-normalized fluoxetine/norfluoxetine metabolic ratio (logMR) was compared across CYP2D6, CYP2C9, and CYP2C19 genotype-predicted metabolizer groups. Multivariate generalized linear modeling (GLM) was used to evaluate the independent effects of CYP genotypes and clinical covariates on the logMR. Results: The logMR differed significantly among the CYP2D6 genotype-predicted metabolizer groups (p < 0.003). CYP2D6 poor metabolizers exhibited significantly higher logMR than normal metabolizers (p < 0.004). The GLM analysis confirmed that CYP2D6 genotype was the only significant predictor of the logMR independent of all clinical covariates. No significant effects of CYP2C9, CYP2C19 genotypes, or clinical variables on the logMR were observed. Conclusions: These findings highlight CYP2D6 genotype as a key determinant of fluoxetine metabolism during standard treatment. No associations were observed with CYP2C9 or CYP2C19 genotypes or clinical factors. Full article
(This article belongs to the Section Pharmacokinetics and Pharmacodynamics)
Show Figures

Graphical abstract

20 pages, 806 KB  
Article
Dermal Concentration Versus Systemic Bioavailability of Topical Lidocaine and Tetracaine: An Exploratory Pharmacokinetic Pilot Study in Göttingen Minipigs
by Paweł Biernat, Dawid Bursy, Dominik Marciniak, Konrad Krajewski, Jan Meler and Radosław Balwierz
Pharmaceutics 2026, 18(1), 40; https://doi.org/10.3390/pharmaceutics18010040 - 28 Dec 2025
Viewed by 183
Abstract
Background: Lidocaine, classified as an amide-type agent, and tetracaine, designated as an ester-type agent, are frequently co-formulated for dermatologic procedures. Despite the extensive literature on the pharmacokinetics (PK) of these substances, there is a paucity of head-to-head comparisons of intravenous (IV) and topical [...] Read more.
Background: Lidocaine, classified as an amide-type agent, and tetracaine, designated as an ester-type agent, are frequently co-formulated for dermatologic procedures. Despite the extensive literature on the pharmacokinetics (PK) of these substances, there is a paucity of head-to-head comparisons of intravenous (IV) and topical administration in the same preclinical model. Absolute bioavailability (F%) is imperative for optimizing formulation design and safety. Methods: A single-dose, single-sequence, three-period pilot study was performed in male Göttingen mini-pigs. The first period of the study involved the intravenous bolus administration of lidocaine HCl and tetracaine HCl, with a dosage of 1 mg/kg for each agent. In Period 2, the topical application of Pliaglis (a combination of 7% lidocaine and 7% tetracaine, with a concentration of 10 g/100 cm2 and a duration of 60 min) was utilized. In Period 3, the pharmacokinetic profile of Z4T4L4 (a formulation comprising 4% lidocaine HCl and 4% tetracaine HCl) was assessed under the same experimental conditions. Blood samples were collected up to 24 h after the administration of the drug; skin biopsies were obtained 90 min after the application of the test substance. Plasma and skin concentrations were measured by means of validated liquid chromatography–tandem mass spectrometry (LC–MS/MS). PK parameters were derived using a noncompartmental analysis approach, while F% was calculated through AUC comparison with IV dosing. Results: Subsequent to intravenous administration, the mean elimination half-lives of lidocaine and tetracaine were determined to be 1.62 h and 1.85 h, respectively. Pliaglis demonstrated higher skin concentrations of lidocaine (358 μg/g) and tetracaine (465 μg/g) compared to Z4T4L4 (33.6 μg/g and 46.1 μg/g, respectively). Despite lower skin levels, Z4T4L4 produced higher F% (lidocaine: 1.98% vs. 1.41%; tetracaine: 3.34% vs. 1.26%). The time to maximum plasma concentration (Tmax) for lidocaine was found to be 2–4 h (Pliaglis) and 2–8 h (Z4T4L4), while for tetracaine, it was 1–8 h (Pliaglis) and 2–8 h (Z4T4L4). Conclusions: In this preliminary study, which included three subjects, Z4T4L4 exhibited a numerical tendency towards increased systemic bioavailability in comparison with Pliaglis. This observation was noted despite the fact that Z4T4L4 resulted in markedly lower skin concentrations. Due to the exploratory nature of the pilot study (n = 3), observed differences are reported as numerical trends. The data suggest that Z4T4L4 may enhance systemic absorption while reducing skin retention, highlighting a potential formulation-dependent dissociation between local concentration and systemic bioavailability. These preliminary findings provide in vivo evidence of a divergence between eutectic-based tissue retention and enhancer-driven systemic flux. This highlights that formulation design fundamentally dictates the safety profile of local anesthetics, necessitating a balance between local efficacy and systemic safety. Full article
Show Figures

Figure 1

18 pages, 1719 KB  
Article
Integrative Profiling for BBB Permeability Using Capillary Electrochromatography, Experimental Physicochemical Parameters, and Ensemble Machine Learning
by Justyna Godyń, Jakub Jończyk, Anna Więckowska and Marek Bajda
Int. J. Mol. Sci. 2026, 27(1), 328; https://doi.org/10.3390/ijms27010328 - 28 Dec 2025
Viewed by 99
Abstract
Profiling the blood–brain barrier (BBB) permeability of bioactive molecules during early drug development is critical for optimizing their pharmacokinetic profile. The in vivo ability of a compound to cross the BBB is measured by the log BB parameter; however, its determination requires costly [...] Read more.
Profiling the blood–brain barrier (BBB) permeability of bioactive molecules during early drug development is critical for optimizing their pharmacokinetic profile. The in vivo ability of a compound to cross the BBB is measured by the log BB parameter; however, its determination requires costly and time-consuming animal experiments. This study aimed to develop a novel in vitro method for high-throughput prediction of log BB values. The approach combines experimental data from open-tubular capillary electrochromatography (CEC) and automated potentiometric titrations, including the CEC retention factor (k′), electropherograms, and physicochemical parameters pKa and log D7.4. The k′ parameter reflects BBB permeability using a capillary internally coated with liposomes that mimic a biological membrane. Preliminary CEC analyses were conducted for 25 neutral drugs at pH 7.4, revealing a promising correlation between the permeability parameters log k and log BB. The validation was extended to 57 ionized drugs, with additional determination of pKa and log D7.4. A regression model was developed: log BB = −2.45 + 0.1k+ 0.3logD7.4 + 0.27pKa (R2 = 0.64). Furthermore, the analysis of CEC electropherograms enabled the machine learning-based rapid classification of compounds using Dynamic Time Warping, k-Nearest Neighbors, and the Bag-of-SFA-Symbols in Vector Space model, yielding an accuracy of 0.81 and an F1weighted score of 0.8. Full article
(This article belongs to the Section Biochemistry)
Show Figures

Figure 1

21 pages, 3788 KB  
Article
Dose-Sparing Efficacy of d-Limonene with Low-Dose Allopurinol in a Dual Model of Hyperuricemia and Gouty Arthritis in Rats
by Krishnaraju Venkatesan, Pooja Muralidharan, Durgaramani Sivadasan, Manimekalai Pichaivel, Yahya I. Asiri, Khalid A. Asseri, Nizar Sirag, Hassabelrasoul Elfadil, Mohmoud Elodemi, Kousalya Prabahar, Premalatha Paulsamy and Kumarappan Chidambaram
Nutrients 2026, 18(1), 72; https://doi.org/10.3390/nu18010072 (registering DOI) - 25 Dec 2025
Viewed by 155
Abstract
Background: d-Limonene (LIM) is a food-derived monoterpenoid phytocompound predominantly found in citrus peels, endowed with potent antioxidant and anti-inflammatory properties, and has been reported to inhibit xanthine oxidase (XO) activity in vitro. This study investigated the dose-sparing efficacy of this dietary [...] Read more.
Background: d-Limonene (LIM) is a food-derived monoterpenoid phytocompound predominantly found in citrus peels, endowed with potent antioxidant and anti-inflammatory properties, and has been reported to inhibit xanthine oxidase (XO) activity in vitro. This study investigated the dose-sparing efficacy of this dietary bioactive compound in combination with low-dose allopurinol (ALP) using a dual rat model combining potassium oxonate (PO)-induced hyperuricemia and monosodium urate (MSU)-triggered gouty arthritis, thereby capturing both metabolic and inflammatory dimensions of gout. Methods: Female Wistar rats were PO-primed and MSU-challenged, then treated with LIM (50 mg/kg), ALP (5 or 10 mg/kg), or LIM + ALP. Outcomes included paw thickness, dysfunction and inflammation indices, serum uric acid, urea, creatinine, AST/ALT, cytokines (IL-1β, TNF-α, IL-6), oxidative stress markers (MDA, SOD, catalase, GSH), and NLRP3 immunoreactivity, supported by radiographic and histopathological analyses. Data were analyzed by one-way ANOVA with Tukey’s post hoc test. Results: LIM improved clinical and biochemical outcomes versus monotherapies. However, LIM + low-dose ALP exhibited the greatest overall efficacy. On Day 30, paw thickness was significantly lower with LIM + ALP than with LIM alone (3.25 ± 0.31 vs. 3.98 ± 0.72 mm; p < 0.001). Serum uric acid and hepatic transaminases declined most with the combination (p < 0.0001 vs. LIM), accompanied by improved renal indices (p < 0.001). Pro-inflammatory cytokines were markedly reduced, NLRP3 immunostaining was minimal, and oxidative balance shifted toward homeostasis (↓ MDA; ↑ SOD, catalase, GSH). Radiographic and histological evaluations corroborated attenuation of joint inflammation and tissue damage. Conclusions: In the PO + MSU gout model, co-administration of the food-derived compound LIM with low-dose ALP achieved additive, dose-sparing benefits across metabolic, inflammatory, and histological endpoints. While in vivo XO activity was not directly assessed, the findings are consistent with XO-pathway modulation, NLRP3–IL-1β suppression, and redox restoration. These results highlight the potential of dietary bioactives such as d-Limonene to complement standard urate-lowering therapy, warranting further pharmacokinetic and safety validation. Full article
(This article belongs to the Special Issue Food-Derived Bioactive Compounds and Their Health Benefits)
Show Figures

Figure 1

7 pages, 763 KB  
Article
Oral Bioavailability of Monoclonal Antibody
by Ashwni Verma, Shengjia Wu and Dhaval K. Shah
Pharmaceutics 2026, 18(1), 22; https://doi.org/10.3390/pharmaceutics18010022 - 23 Dec 2025
Viewed by 668
Abstract
Background/Objectives: Despite significant interest in the oral delivery of antibodies, the oral bioavailability of monoclonal antibodies (mAbs) is not known to date. To find out an answer to this question, we have performed a preclinical investigation in mice and rats, using a non-binding [...] Read more.
Background/Objectives: Despite significant interest in the oral delivery of antibodies, the oral bioavailability of monoclonal antibodies (mAbs) is not known to date. To find out an answer to this question, we have performed a preclinical investigation in mice and rats, using a non-binding humanized mAb trastuzumab as the prototype molecule. Methods: The antibody was administered at the dose of 100 mg/kg in mice and rats, and plasma pharmacokinetics (PK) was measured for 14 days. Published plasma PK of trastuzumab in mice and rats obtained after intravenous administration was also used for the analysis. Non-compartmental analysis (NCA), as well as compartmental modeling of PK data, was performed to estimate the oral bioavailability of the antibody in mice and rats. Results: It was found that the oral bioavailability of mAb in rats and mice determined using NCA was 0.027% and 0.014%, respectively. The model-estimated oral bioavailability of the mAb in rats and mice was 0.025% and 0.013%, respectively. The rate of absorption of the mAb from the gastrointestinal tract was found to be the same between rats and mice, as 0.78 h−1. Conclusions: Overall, the oral bioavailability of the humanized mAb in rodents was found to be around 0.02%, suggesting only 1 out of 5000 mAb molecules administered orally makes it to the systemic circulation. To the best of our knowledge, this is the first study to report an absolute oral bioavailability value for a mAb. It remains to be seen if the observed value of 0.02% is generalizable across mAb molecules and other animal species, including humans. Full article
Show Figures

Figure 1

20 pages, 8317 KB  
Article
Oral Administration of Astrocyte-Targeted Natural Antioxidants Suppress NOX4-Driven Neuroinflammation and Restore Hippocampal Neurogenesis in MPTP-Induced Parkinson’s Disease Mouse Model
by Miri Jo, Chae-Young Kim, Kayoung Ko, Seohee Choi, Jinhye Kim, Kyuhee Park, Isaac Jinwon Yi, Sang-Seop Nahm, Kiyoung Kim, Woosuk Kim and Sun-Shin Yi
Nutrients 2026, 18(1), 55; https://doi.org/10.3390/nu18010055 - 23 Dec 2025
Viewed by 285
Abstract
Background/Objectives: Astrocytic redox-inflammatory signaling has been implicated in Parkinson’s disease (PD) pathology and may constrain hippocampal neurogenesis. We previously identified an astrocytic NOX4–MPO–OPN axis associated with impaired neurogenic capacity. Here, we tested whether a saffron-derived antioxidant (SDA; Crocus sativus extract) and Passiflora [...] Read more.
Background/Objectives: Astrocytic redox-inflammatory signaling has been implicated in Parkinson’s disease (PD) pathology and may constrain hippocampal neurogenesis. We previously identified an astrocytic NOX4–MPO–OPN axis associated with impaired neurogenic capacity. Here, we tested whether a saffron-derived antioxidant (SDA; Crocus sativus extract) and Passiflora incarnata L. extract (PI) modulate this pathway in an MPTP-induced PD mouse model. Methods: Male C57BL/6J mice were randomized to Sham, MPTP, and treatment groups (n = 9/group for behavior; n = 4–5/group for histology/immunoblotting). SDA or PI (50 mg/kg/day, oral, 5 weeks) was administered, with resveratrol as a positive control. Behavioral, histological, and molecular analyses were performed by investigators blinded to group allocation where feasible. Results: SDA and PI were associated with reduced NOX4/MPO/OPN signals, mainly in GFAP-positive astrocytes, along with recovery of neurogenesis markers (Ki67, DCX, BrdU/NeuN) and synaptic markers (PSD95, synaptophysin), and improved motor performance. Mitochondrial and oxidative injury markers (TIM23, TOM20, OXPHOS subunits; 4-HNE) and apoptotic markers (Bax, cleaved caspase-3, Bcl-2) also shifted toward Sham levels. Given previous reports of Passiflora extracts’ sedative effects, we note that metabolic measures (body weight, food intake, and water intake) were similar across groups; however, specific tests for sedation or arousal were not conducted. Conclusions: These findings offer preclinical evidence that SDA and PI modulate redox-inflammatory and mitochondrial stress signatures and are associated with neurogenic, synaptic, and behavioral improvements in an acute MPTP model. Further validation in chronic/genetic PD models and pharmacokinetic/brain exposure studies will be necessary to confirm their translational potential. Full article
Show Figures

Figure 1

10 pages, 551 KB  
Review
Redox Modulation in Hepatic Fibrosis: Translating NOX1/4 Inhibition to Therapy
by Ghaith K. Mansour, Ahmad W. Hajjar, Irene Marafini and Giovanni Monteleone
Int. J. Mol. Sci. 2026, 27(1), 158; https://doi.org/10.3390/ijms27010158 - 23 Dec 2025
Viewed by 175
Abstract
Chronic liver disease (CLD) encompasses a spectrum of progressive disorders, including metabolic dysfunction steatotic-associated liver disease (MASLD) and primary biliary cholangitis (PBC), which together represent a significant global health burden with few effective therapeutic options. The fibrogenic process, common to most forms of [...] Read more.
Chronic liver disease (CLD) encompasses a spectrum of progressive disorders, including metabolic dysfunction steatotic-associated liver disease (MASLD) and primary biliary cholangitis (PBC), which together represent a significant global health burden with few effective therapeutic options. The fibrogenic process, common to most forms of CLD, is driven by a complex interplay of cellular stress, inflammation, and wound-healing responses. Nicotinamide adenine dinucleotide phosphate oxidase isoforms 1 and 4 (NOX1 and NOX4) have emerged as key enzymatic sources of reactive oxygen species (ROS), serving as central mediators of hepatic oxidative stress, fibrogenesis, and inflammation. Setanaxib is a first-in-class, orally bioavailable, selective dual inhibitor of NOX1 and NOX4 that has progressed to clinical evaluation. This review synthesizes current knowledge on the molecular pharmacology of the NOX1/4 axis, preclinical evidence from translational models, and clinical trial outcomes to critically assess the therapeutic potential of targeted NOX inhibition in hepatic fibrosis. By attenuating hepatic stellate cell activation, modulating TGF-β signaling, reducing extracellular matrix (ECM) deposition, and regulating hepatic macrophage polarization, setanaxib exhibits pleiotropic antifibrotic effects. The compound also demonstrates favorable pharmacokinetic properties and a good safety profile in patients with PBC, with emerging evidence suggesting meaningful improvements in fatigue and quality of life. Finally, we examine the complex, and sometimes paradoxical, roles of NOX4 in liver pathophysiology, compare the evolving therapeutic landscape with other approaches such as farnesoid X receptor (FXR) agonists, and propose future paradigms integrating artificial intelligence–driven predictive modeling to optimize patient stratification and therapeutic response in this new era of redox-targeted hepatoprotective therapy. Full article
(This article belongs to the Special Issue Liver Diseases: From Pathophysiology to Novel Therapeutic Approaches)
Show Figures

Figure 1

2 pages, 482 KB  
Correction
Correction: Susilo et al. Whole-Body Physiologically Based Pharmacokinetic Modeling Framework for Tissue Target Engagement of CD3 Bispecific Antibodies. Pharmaceutics 2025, 17, 500
by Monica E. Susilo, Stephan Schaller, Luis David Jiménez-Franco, Alexander Kulesza, Wilhelmus E. A. de Witte, Shang-Chiung Chen, C. Andrew Boswell, Danielle Mandikian and Chi-Chung Li
Pharmaceutics 2026, 18(1), 12; https://doi.org/10.3390/pharmaceutics18010012 - 22 Dec 2025
Viewed by 198
Abstract
Error in Figure [...] Full article
(This article belongs to the Special Issue Development of Physiologically Based Pharmacokinetic (PBPK) Modeling)
Show Figures

Figure 1

22 pages, 6141 KB  
Article
Construction and Characterization of PDA@MnO2-Cored Multifunctional Targeting Nanoparticles Loaded with Survivin siRNA for Breast Tumor Therapy
by Jing Zhang, Wenhao Jiang, Lei Hu, Qing Du, Nina Filipczak, Satya Siva Kishan Yalamarty and Xiang Li
Pharmaceutics 2026, 18(1), 10; https://doi.org/10.3390/pharmaceutics18010010 - 21 Dec 2025
Viewed by 277
Abstract
Objective: This study aims to engineer a novel nanoparticle formulation for combined tumor therapy, designated as PDA@Mn-siSur-c-NPs, which comprises a polydopamine/manganese dioxide (PDA@MnO2) core alongside survivin-targeting siRNA and cyclo(RGD-DPhe-K)-targeting moiety. Methods: The PDA@Mn-siSur-c-NPs were constructed and subjected to detailed characterization. [...] Read more.
Objective: This study aims to engineer a novel nanoparticle formulation for combined tumor therapy, designated as PDA@Mn-siSur-c-NPs, which comprises a polydopamine/manganese dioxide (PDA@MnO2) core alongside survivin-targeting siRNA and cyclo(RGD-DPhe-K)-targeting moiety. Methods: The PDA@Mn-siSur-c-NPs were constructed and subjected to detailed characterization. Inductively coupled plasma optical emission spectroscopy (ICP-OES) was employed to quantify manganese content. To assess siRNA stability within the system, samples were incubated with 50% fetal bovine serum (FBS) before agarose gel electrophoresis analysis. Additionally, cellular internalization by 4T1 cells and in vitro photothermal conversion efficiency of the formulation were evaluated. ICP-OES was further utilized to investigate the in vivo pharmacokinetics and tissue distribution of manganese. Animal model studies were conducted to assess the anti-breast cancer efficacy of PDA@Mn-siSur-c-NPs in combination with infrared irradiation. Results: The newly developed PDA@Mn-siSur-c-NPs demonstrated superior siRNA protection, reduced toxicity, and high photothermal conversion capacity. When combined with photothermal therapy (PTT), these nanoparticles exerted enhanced synergistic anti-tumor effects. Delivery of survivin siRNA resulted in a significant downregulation of survivin protein expression in tumor tissues. Moreover, magnetic resonance imaging (MRI) confirmed that the nanoparticles possess favorable imaging properties. Conclusions: This research demonstrates that the integration of PDA@Mn-siSur-c-NPs with PTT holds considerable therapeutic promise for improved breast cancer treatment. Full article
(This article belongs to the Special Issue Hybrid Nanoparticles for Cancer Therapy)
Show Figures

Graphical abstract

24 pages, 2822 KB  
Article
Discovering the Anti-Inflammatory Potential of Compounds Isolated from the Aerial Parts of Gelasia tomentosa (L.) Zaika, Sukhor. & N.Kilian (Syn. Scorzonera tomentosa), Through In Vitro Techniques and Advanced In Silico Modeling Approaches
by Özlem Bahadır-Acıkara, Beyzanur Akcan, Sezen Yılmaz-Sarıaltın and Christian Zidorn
Molecules 2026, 31(1), 19; https://doi.org/10.3390/molecules31010019 - 20 Dec 2025
Viewed by 266
Abstract
Gelasia tomentosa (L.) Zaika, Sukhor. & N.Kilian which is known formerly as Scorzonera tomentosa L., a wild edible plant species in Turkey, is traditionally used against rheumatism and for wound healing. In this study, we explore its anti-inflammatory compounds, evaluating effectiveness through human [...] Read more.
Gelasia tomentosa (L.) Zaika, Sukhor. & N.Kilian which is known formerly as Scorzonera tomentosa L., a wild edible plant species in Turkey, is traditionally used against rheumatism and for wound healing. In this study, we explore its anti-inflammatory compounds, evaluating effectiveness through human red blood cell stabilization and in silico models, alongside physico-chemical and pharmacokinetic profiles. In vitro activity-guided fractionation allowed the isolation of sixteen compounds from the aerial parts of G. tomentosa, which were identified as hyperoside (1), isoquercetin (2), quercetin 3-O-β-apiofuranosyl-(1→2)-β-galactopyranoside (3), quercetin 3-O-β-apiofuranosyl-(1→2)-β-glucopyranoside (4), 7-methoxyapigenin-6-C-β-apiofuranosyl-(1→2)-β-glucopyranoside (5), apigenin-6-C-β-apiofuranosyl-(1→2)-β-glucopyranoside (6), dihydrodehydrodiconiferyl-alcohol-4-O-β-glucopyranoside (7), cichoriin (8), 7-O-methylisoorientin (9), isoorientin (10), swertisin (11), 3,5-O-dicaffeoylquinic acid methyl ester (12), 4,5-O-dicaffeoylquinic acid methyl ester (13), staphylinioside E (14), 3,5-O-dicaffeoylquinic acid (15), and 4,5-O-dicaffeoylquinic acid (16). Compound 16 displayed the highest potential anti-inflammatory activity (IC50 = 0.55 ± 0.00 mg/mL). However, the fraction with compounds displayed stronger biological activity than the isolated ones. In silico findings supported the anti-inflammatory potential, enhancing TP53 expression and cell membrane protection. Cichoriin (8) and staphylinioside E (14) are in accordance with Lipinski’s, Pfizer’s, GSK’s, and Golden Triangle rules, indicating a favorable ADME profile as a drug candidate. Further studies are needed to test this potential in specific inflammation models. Full article
(This article belongs to the Special Issue Natural Products with Pharmaceutical Activities, 2nd Edition)
Show Figures

Figure 1

Back to TopTop