Dose-Sparing Efficacy of d-Limonene with Low-Dose Allopurinol in a Dual Model of Hyperuricemia and Gouty Arthritis in Rats
Abstract
1. Introduction
2. Methodology
2.1. Animals Used in Experiments
2.2. Source
2.3. Ethical Statement
2.4. Pharmacological Study Design
2.4.1. Grouping of Experimental Animals
2.4.2. Preparation of MSU Crystals
2.4.3. Gouty Arthritis Induction in Rats
2.5. Anti-Gouty Arthritis Assessments
2.5.1. Assessment of Paw Swelling and Inflammation Index
2.5.2. Assessment of Dysfunction Index
2.5.3. Biochemical Estimation
2.5.4. Assessment of Renal Function
2.5.5. Radiographic Analysis
2.5.6. Histopathological Evaluation of Kidney and Paw
2.5.7. IHC of NLRP3
2.5.8. Statistical Analysis
3. Results
3.1. Impact of Interventions on Paw Edema and Inflammation Index in Gouty Arthritis Model
3.2. Impact of ALP and Limonene on the Dysfunction Index
3.3. Biochemical Estimation
3.3.1. Effect of Limonene on Serum Uric Acid
3.3.2. Effect of Treatments on ALT and AST Levels
3.3.3. Effect on Pro-Inflammatory Cytokines
3.3.4. Oxidative Stress and Antioxidant Defense Markers
3.4. Evaluation of Renal Function
Effect of Limonene and Allopurinol on Renal Biomarkers
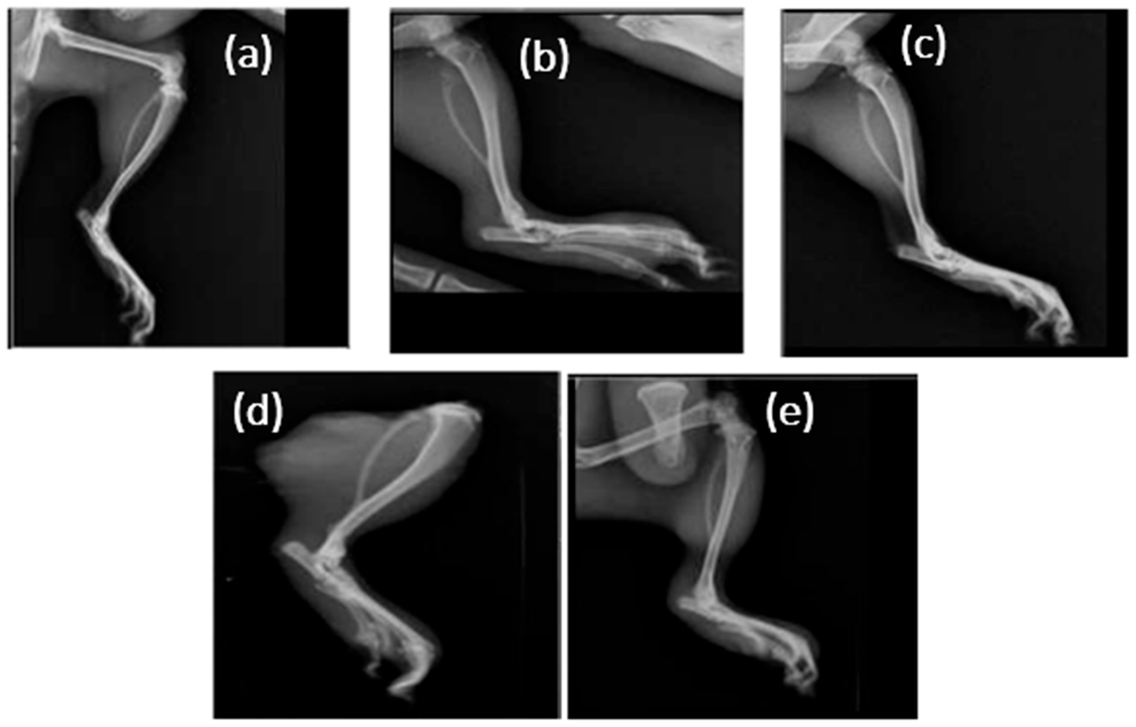
3.5. Radiographic Examinations
3.6. Histopathological Assessment
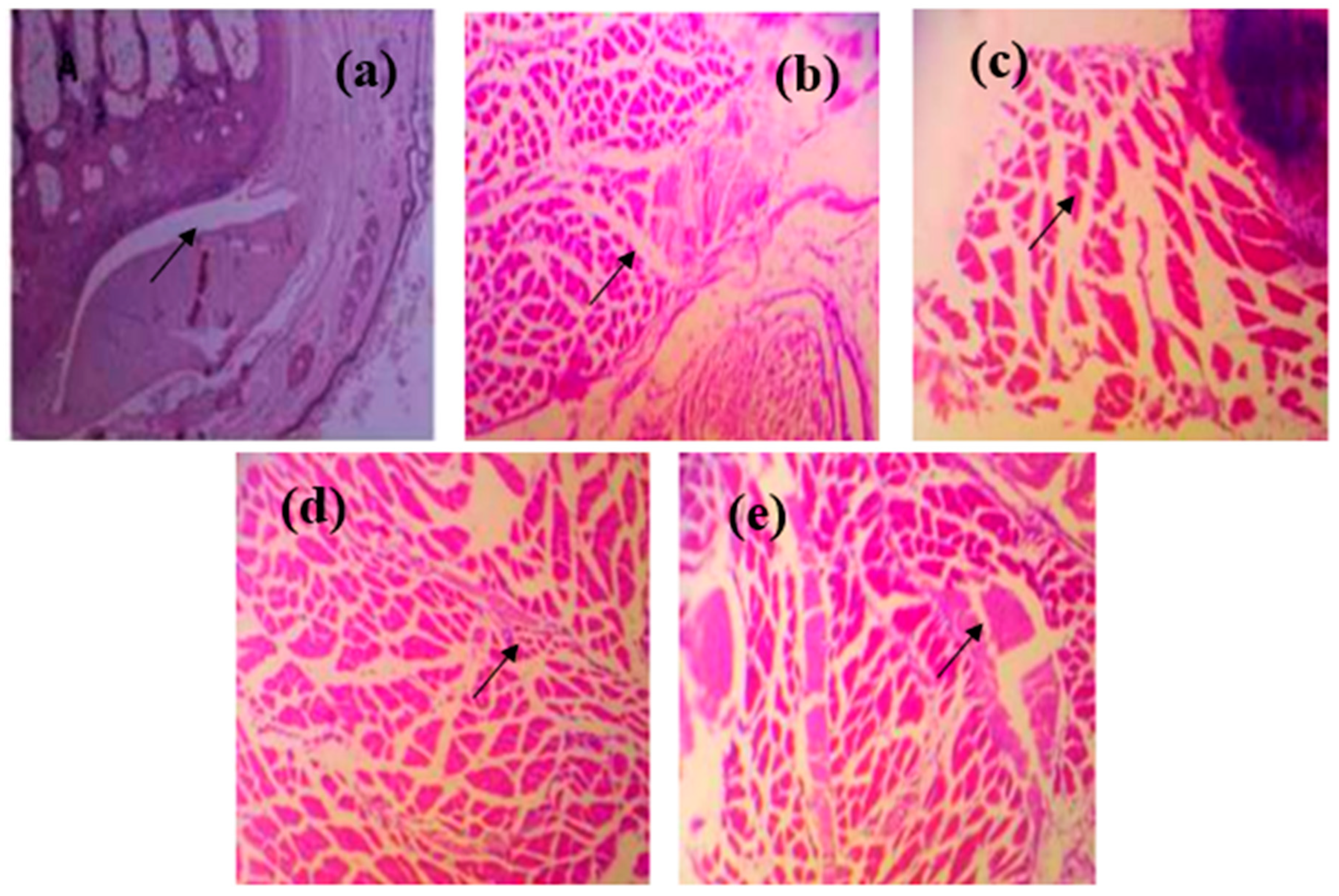
3.6.1. Articular and Synovial Tissue Findings
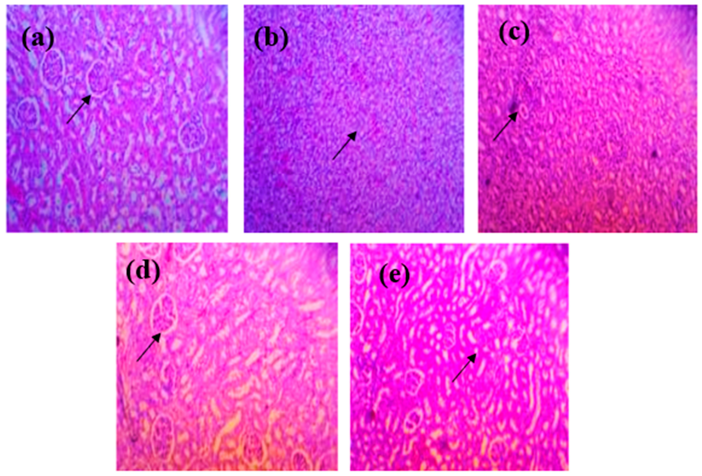
3.6.2. Renal Histopathology
3.7. NLRP3 Analysis
4. Discussion
5. Conclusions
Author Contributions
Funding
Institutional Review Board Statement
Informed Consent Statement
Data Availability Statement
Acknowledgments
Conflicts of Interest
References
- Dalbeth, N.; Choi, H.K.; Joosten, L.A.; Khanna, P.P.; Matsuo, H.; Perez-Ruiz, F.; Stamp, L.K. Gout (primer). Nat. Rev. Dis. Primers 2019, 5, 69. [Google Scholar] [CrossRef] [PubMed]
- Ahmad, M.I.; Masood, S.; Furlanetto, D.M.; Nicolaou, S. Urate crystals; beyond joints. Front. Med. 2021, 8, 649505. [Google Scholar] [CrossRef]
- Poulsen, R.; Dalbeth, N. Gout and NLRP3 Inflammasome Biology. Arthritis Rheumatol. 2025, 77, 1317–1326. [Google Scholar] [CrossRef]
- Asiri, Y.I.; Pichaivel, M.; Parameshwaran, S.P.; Venkatesan, K.; Alqahtani, S.; Alqahtani, T.; Ahmed, R.; Elfadil, H.; Elodemi, M.; Genena, S.; et al. Targeting Hyperuricemia and NLRP3 Inflammasome in Gouty Arthritis: A Preclinical Evaluation of Allopurinol and Disulfiram Combination Therapy. Pharmaceuticals 2025, 18, 762. [Google Scholar] [CrossRef]
- Khanna, P.P.; Gladue, H.S.; Singh, M.K.; FitzGerald, J.D.; Bae, S.; Prakash, S.; Kaldas, M.; Gogia, M.; Berrocal, V.; Townsend, W.; et al. Treatment of acute gout: A systematic review. Semin. Arthritis Rheum. 2014, 44, 31–38. [Google Scholar] [CrossRef]
- Park, E.H.; Choi, S.T.; Song, J.S. Current state and prospects of gout treatment in Korea. Korean J. Intern. Med. 2022, 37, 719. [Google Scholar] [CrossRef]
- Fay, B.T. Advances and unmet needs in gout. Int. J. Clin. Rheumatol. 2010, 5, 187. [Google Scholar] [CrossRef]
- Jiang, L.-L.; Gong, X.; Ji, M.-Y.; Wang, C.-C.; Wang, J.-H.; Li, M.-H. Bioactive Compounds from Plant-Based Functional Foods: A Promising Choice for the Prevention and Management of Hyperuricemia. Foods 2020, 9, 973. [Google Scholar] [CrossRef]
- Sanshita; Devi, N.; Bhattacharya, B.; Sharma, A.; Singh, I.; Kumar, P.; Huanbutta, K.; Sangnim, T. From Citrus to Clinic: Limonene’s Journey Through Preclinical Research, Clinical Trials, and Formulation Innovations. Int. J. Nanomed. 2025, 20, 4433–4460. [Google Scholar] [CrossRef] [PubMed]
- Mehmood, A.; Rehman, A.U.; Ishaq, M.; Zhao, L.; Li, J.; Usman, M.; Zhao, L.; Rehman, A.; Zad, O.D.; Wang, C. In vitro and in silico Xanthine Oxidase Inhibitory Activity of Selected Phytochemicals Widely Present in Various Edible Plants. Comb. Chem. High Throughput Screen. 2020, 23, 917–930. [Google Scholar] [CrossRef] [PubMed]
- Moratilla-Rivera, I.; Sánchez, M.; Valdés-González, J.A.; Gómez-Serranillos, M.P. Natural Products as Modulators of Nrf2 Signaling Pathway in Neuroprotection. Int. J. Mol. Sci. 2023, 24, 3748. [Google Scholar] [CrossRef]
- Lin, H.; Li, Z.; Sun, Y.; Zhang, Y.; Wang, S.; Zhang, Q.; Cai, T.; Xiang, W.; Zeng, C.; Tang, J. D-Limonene: Promising and Sustainable Natural Bioactive Compound. Appl. Sci. 2024, 14, 4605. [Google Scholar] [CrossRef]
- Levinson, D.J.; Chalker, D. Rat hepatic xanthine oxidase activity: Age and sex specific differences. Arthritis Rheum. 1980, 23, 77–82. [Google Scholar] [CrossRef] [PubMed]
- Ganesan, K.; Selvam, R.; Abhirami, R.; Raju, K.V.; Manohar, B.M.; Puvanakrishnan, R. Gender differences and protective effects of testosterone in collagen induced arthritis in rats. Rheumatol. Int. 2008, 28, 345–353. [Google Scholar] [CrossRef]
- Yao, R.; Geng, Z.; Mao, X.; Bao, Y.; Guo, S.; Bao, L.; Sun, J.; Gao, Y.; Xu, Y.; Guo, B.; et al. Tu-Teng-Cao Extract Alleviates Monosodium Urate-Induced Acute Gouty Arthritis in Rats by Inhibiting Uric Acid and Inflammation. Evid. Based Complement. Altern. Med. 2020, 2020, 3095624. [Google Scholar] [CrossRef] [PubMed]
- Patil, T.; Soni, A.; Acharya, S. A brief review on in vivo models for gouty arthritis. Metabol. Open 2021, 11, 100100. [Google Scholar] [CrossRef] [PubMed]
- Tang, D.H.; Ye, Y.S.; Wang, C.Y.; Li, Z.L.; Zheng, H.; Ma, K.L. Potassium oxonate induces acute hyperuricemia in the tree shrew (tupaia belangeri chinensis). Exp. Anim. 2017, 66, 209–216. [Google Scholar] [CrossRef] [PubMed]
- He, M.; Hu, C.; Chen, M.; Gao, Q.; Li, L.; Tian, W. Effects of Gentiopicroside on activation of NLRP3 inflammasome in acute gouty arthritis mice induced by MSU. J. Nat. Med. 2022, 76, 178–187. [Google Scholar] [CrossRef]
- Cillero-Pastor, B.; Martin, M.A.; Arenas, J.; López-Armada, M.J.; Blanco, F.J. Effect of nitric oxide on mitochondrial activity of human synovial cells. BMC Musculoskelet. Disord. 2011, 12, 42. [Google Scholar] [CrossRef]
- Umamaheswari, M.; Prabhu, P.; Asokkumar, K.; Sivashanmugam, T.; Subhadradevi, V.; Jagannath, P.; Madeswaran, A. In silico docking studies and in vitro xanthine oxidase inhibitory activity of commercially available terpenoids. Int. J. Phytopharm. 2012, 4, 3460–3462. [Google Scholar] [CrossRef]
- Hunter, D.J.; Lo, G.H.; Gale, D.; Grainger, A.J.; Guermazi, A.; Conaghan, P.G. The reliability of a new scoring system for knee osteoarthritis MRI and the validity of bone marrow lesion assessment: BLOKS (Boston–Leeds Osteoarthritis Knee Score). Ann. Rheum. Dis. 2008, 67, 206–211. [Google Scholar] [CrossRef] [PubMed]
- Zhou, R.; Yazdi, A.; Menu, P.; Tschopp, J. A role for mitochondria in NLRP3 inflammasome activation. Nature 2011, 469, 221–225. [Google Scholar] [CrossRef]
- Neogi, T. Interleukin-1 antagonism in acute gout: Is targeting a single cytokine the answer? Arthritis Rheum. 2010, 62, 2845–2849. [Google Scholar] [CrossRef] [PubMed]
- Mehmood, A.; Li, J.; Rehman, A.U.; Kobun, R.; Llah, I.U.; Khan, I.; Althobaiti, F.; Albogami, S.; Usman, M.; Alharthi, F.; et al. Xanthine oxidase inhibitory study of eight structurally diverse phenolic compounds. Front. Nutr. 2022, 9, 966557. [Google Scholar] [CrossRef] [PubMed]
- Wojtunik-Kulesza, K.A. Toxicity of Selected Monoterpenes and Essential Oils Rich in These Compounds. Molecules 2022, 27, 1716. [Google Scholar] [CrossRef] [PubMed]
- Zhang, S.; Li, K.Q.; Zhang, H.; Fu, T.; Ma, Y.; Zhang, S.; Xing, G.; Tong, Y. New progress in animal models for studying hyperuricemia. Front. Pharmacol. 2025, 16, 1636205.27. [Google Scholar]
- Kim, S.K. The Mechanism of the NLRP3 Inflammasome Activation and Pathogenic Implication in the Pathogenesis of Gout. J. Rheum. Dis. 2022, 29, 140–153. [Google Scholar] [CrossRef]
- Conos, S.A.; Lawlor, K.E.; Vaux, D.L.; Vince, J.E.; Lindqvist, L.M. Cell death is not essential for caspase-1-mediated interleukin-1β activation and secretion. Cell Death Differ. 2016, 23, 1827–1838. [Google Scholar] [CrossRef]
- Ngo, V.; Duennwald, M.L. Nrf2 and Oxidative Stress: A General Overview of Mechanisms and Implications in Human Disease. Antioxidants 2022, 11, 2345. [Google Scholar] [CrossRef]
- Roddy, E.; Doherty, M. Treatment of hyperuricaemia and gout. Clin. Med. 2013, 13, 400–403. [Google Scholar] [CrossRef]
- Herdiana, Y.; Wardhana, Y.W.; Kurniawansyah, I.S.; Gozali, D.; Wathoni, N.; Sofian, F.F. Current Status of Gout Arthritis: Current Approaches to Gout Arthritis Treatment: Nanoparticles Delivery Systems Approach. Pharmaceutics 2025, 17, 102. [Google Scholar] [CrossRef] [PubMed]









| S. No | Groups | Treatment | Required Animals |
|---|---|---|---|
| 1 | Group I | Full-dose ALP (10 mg/kg) | 6 |
| 2 | Group II | Sub-therapeutic ALP (5 mg/kg) | 6 |
| 3 | Group III | Limonene (50 mg/kg) | 6 |
| 4 | Group IV | Limonene + Sub-therapeutic ALP | 6 |
| 5 | Group V | Limonene + Full-dose ALP | 6 |
| Total number of animals | 30 | ||
| Treatment Group | Paw Swelling (mm) | Inflammation Index (mm) |
|---|---|---|
| Group I-Full-dose ALP | 4.618 ± 0.23 | 4.1 ± 0.08 |
| Group II-Sub-therapeutic ALP | 4.32 ± 0.09 | 3.8 ± 0.53 |
| Group III-Limonene | 3.982 ± 0.72 | 3.5 ± 0.80 |
| Group IV-Limonene + Sub-therapeutic ALP | 3.250 ± 0.31 *** | 2.4 ± 0.12 **** |
| Group V-Limonene + Full-dose ALP | 3.600 ± 0.02 ** | 2.7 ± 0.76 *** |
| Group | AST (U/L) | ALT (U/L) |
|---|---|---|
| Group I-Full-dose ALP | 48.23 ± 0.89 | 39.13 ± 0.81 |
| Group II-Sub-therapeutic ALP | 61.02 ± 0.23 | 54.25 ± 0.52 |
| Group III-Limonene | 56.51 ± 1.76 | 50.01 ± 0.17 |
| Group IV-Limonene + Sub-therapeutic ALP | 44.65 ± 0.91 **** | 36.55 ± 0.62 **** |
| Group V-Limonene + Full-dose ALP | 46.11 ± 1.01 *** | 38 ± 0.49 *** |
| Treatment | MDA (µmol/L) | SOD (pg/mg) | Catalase (U/mg) | GSH (µM/mg) |
|---|---|---|---|---|
| Group I-Full-dose ALP | 2.5 ± 0.18 | 110.45 ± 4.2 | 3.01 ± 3.2 | 180.12 ± 6.5 |
| Group II-Sub-therapeutic ALP | 6.2 ± 0.30 | 90.23 ± 3.8 | 2.55 ± 2.1 | 110.02 ± 5.2 |
| Group III-Limonene | 4.0 ± 0.22 | 135.67 ± 5.1 | 4.83 ± 3.0 | 140.19 ± 6.0 |
| Group IV-Limonene + Sub-therapeutic ALP | 2.8 ± 0.20 **** | 160.92 ± 6.3 **** | 5.87 ± 3.5 ** | 200.21 ± 7.2 **** |
| Group V-Limonene + Full-dose ALP | 2.6 ± 0.17 *** | 155.48 ± 5.9 *** | 5.32 ± 3.1 *** | 190.46 ± 6.8 *** |
Disclaimer/Publisher’s Note: The statements, opinions and data contained in all publications are solely those of the individual author(s) and contributor(s) and not of MDPI and/or the editor(s). MDPI and/or the editor(s) disclaim responsibility for any injury to people or property resulting from any ideas, methods, instructions or products referred to in the content. |
© 2025 by the authors. Licensee MDPI, Basel, Switzerland. This article is an open access article distributed under the terms and conditions of the Creative Commons Attribution (CC BY) license.
Share and Cite
Venkatesan, K.; Muralidharan, P.; Sivadasan, D.; Pichaivel, M.; Asiri, Y.I.; Asseri, K.A.; Sirag, N.; Elfadil, H.; Elodemi, M.; Prabahar, K.; et al. Dose-Sparing Efficacy of d-Limonene with Low-Dose Allopurinol in a Dual Model of Hyperuricemia and Gouty Arthritis in Rats. Nutrients 2026, 18, 72. https://doi.org/10.3390/nu18010072
Venkatesan K, Muralidharan P, Sivadasan D, Pichaivel M, Asiri YI, Asseri KA, Sirag N, Elfadil H, Elodemi M, Prabahar K, et al. Dose-Sparing Efficacy of d-Limonene with Low-Dose Allopurinol in a Dual Model of Hyperuricemia and Gouty Arthritis in Rats. Nutrients. 2026; 18(1):72. https://doi.org/10.3390/nu18010072
Chicago/Turabian StyleVenkatesan, Krishnaraju, Pooja Muralidharan, Durgaramani Sivadasan, Manimekalai Pichaivel, Yahya I. Asiri, Khalid A. Asseri, Nizar Sirag, Hassabelrasoul Elfadil, Mahmoud Elodemi, Kousalya Prabahar, and et al. 2026. "Dose-Sparing Efficacy of d-Limonene with Low-Dose Allopurinol in a Dual Model of Hyperuricemia and Gouty Arthritis in Rats" Nutrients 18, no. 1: 72. https://doi.org/10.3390/nu18010072
APA StyleVenkatesan, K., Muralidharan, P., Sivadasan, D., Pichaivel, M., Asiri, Y. I., Asseri, K. A., Sirag, N., Elfadil, H., Elodemi, M., Prabahar, K., Paulsamy, P., & Chidambaram, K. (2026). Dose-Sparing Efficacy of d-Limonene with Low-Dose Allopurinol in a Dual Model of Hyperuricemia and Gouty Arthritis in Rats. Nutrients, 18(1), 72. https://doi.org/10.3390/nu18010072

