Sign in to use this feature.

Years

Between: -

Subjects

remove_circle_outline
remove_circle_outline
remove_circle_outline
remove_circle_outline
remove_circle_outline
remove_circle_outline
remove_circle_outline

Journals

Article Types

Countries / Regions

remove_circle_outline
remove_circle_outline
remove_circle_outline
remove_circle_outline

Search Results (429)

Search Parameters:
Keywords = papillary thyroid carcinomas

Order results
Result details
Results per page
Select all
Export citation of selected articles as:
12 pages, 986 KB  
Article
Arterial Enhancement Fraction-Spectral CT-Based Model as Part of Prediction Model in BRAFV600E-Positive Papillary Thyroid Carcinoma
by Bi Zhou, Liang Lv, Ya Zou, Zuhua Song, Jiayi Yu, Xiaodi Zhang and Dan Zhang
Diagnostics 2025, 15(21), 2817; https://doi.org/10.3390/diagnostics15212817 - 6 Nov 2025
Viewed by 240
Abstract
Objectives: The BRAFV600E is the most common oncogene in thyroid cancer and is associated with the aggressiveness of papillary thyroid carcinoma (PTC). The aim of this study was to investigate the effectiveness of the arterial enhancement fraction (AEF) and dual-layer detector [...] Read more.
Objectives: The BRAFV600E is the most common oncogene in thyroid cancer and is associated with the aggressiveness of papillary thyroid carcinoma (PTC). The aim of this study was to investigate the effectiveness of the arterial enhancement fraction (AEF) and dual-layer detector spectral computed tomography (DLCT) parameters for predicting the BRAFV600E mutation in PTC. Methods: A total of 237 patients with PTC who underwent DLCT and BRAFV600E mutation detection (mutant group: n = 187; wild group: n = 50) were retrospectively reviewed. The receiver operating characteristic curves evaluated the effectiveness of the prediction models based on the significantly different variables using logistic regression analysis. The nomogram of the prediction model with the highest AUC in the validation cohort was constructed. Results: The AUCs of the DLCT+ Hashimoto’s thyroiditis (HT) and AEF + DLCT + HT prediction models were 0.901 and 0.896, respectively, in the training cohort and 0.801 and 0.853 in the validation cohort. The calibration curve revealed the good agreement between the prediction results and the actual observations using the AEF + DLCT + HT model. The DCA demonstrated that the model can provide net benefit for all threshold probabilities. Conclusions: As an effective and visually noninvasive prediction tool, the AEF + DLCT + HT-based nomogram presented satisfactory effectiveness in preoperatively predicting the BRAFV600E mutation in PTC. Full article
(This article belongs to the Section Medical Imaging and Theranostics)
Show Figures

Figure 1

17 pages, 5039 KB  
Article
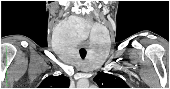
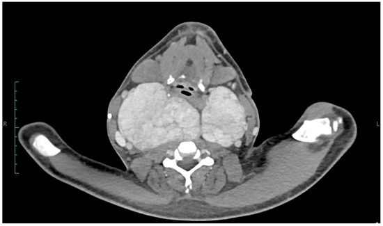
Dose–Response Relationship Between BRAF V600E Abundance and Cervical Lymph Node Metastasis in Papillary Thyroid Cancer
by Yisikandaer Yalikun, Yuxin Shen, Anyun Mao, Qianlei Zhou, Jinchen Wei, Yue Zhu and Miaoyun Long
Cancers 2025, 17(21), 3562; https://doi.org/10.3390/cancers17213562 - 3 Nov 2025
Viewed by 250
Abstract
Objectives: Papillary thyroid carcinoma (PTC) frequently presents with cervical lymph node metastasis (CLNM), yet preoperative tools often encode BRAF V600E as a binary variable, potentially overlooking information contained in mutation abundance. We sought to quantify the dose–response relationship between BRAF V600E abundance [...] Read more.
Objectives: Papillary thyroid carcinoma (PTC) frequently presents with cervical lymph node metastasis (CLNM), yet preoperative tools often encode BRAF V600E as a binary variable, potentially overlooking information contained in mutation abundance. We sought to quantify the dose–response relationship between BRAF V600E abundance and CLNM and to develop an interpretable model for preoperative risk stratification. Methods: We performed a single-center retrospective study of consecutive PTC patients who underwent preoperative BRAF V600E testing and surgery from 2019 to 2023. Patients were randomly split 70/30 into training and test sets. Candidate predictors included clinical and ultrasound features and BRAF V600E abundance. We used multivariable logistic regression and restricted cubic splines (RCS) to assess nonlinearity and compared six machine-learning algorithms (LR, KNN, SVM, XGB, LightGBM, and NN). Model performance was evaluated by F1, AUC, calibration, and decision-curve analyses; SHAP aided interpretation. Ethics approval: SYSKY-2024-169-01. Results: The cohort included 667 patients; CLNM occurred in 391 (58.6%). CLNM cases had higher BRAF abundance (median 23% vs. 17%) and characteristic clinical/sonographic differences. RCS revealed a nonlinear association between abundance and CLNM, with a steep risk rise of up to ~20.7% followed by a plateau. Among six algorithms, XGBoost showed the best validation performance (AUC 0.752; F1 0.73). SHAP indicated that maximum tumor diameter, BRAF abundance, age, and microcalcifications contributed most to predictions. Conclusions: Modeling BRAF V600E as a quantitative abundance—rather than a binary status—improves preoperative CLNM risk assessment in PTC. An interpretable XGBoost model integrating abundance with routine features demonstrates acceptable discrimination and potential clinical utility for individualized surgical planning and counseling. Full article
(This article belongs to the Special Issue Thyroid Cancer: Diagnosis, Prognosis and Treatment (2nd Edition))
Show Figures

Figure 1

14 pages, 649 KB  
Review
Sphingolipid Metabolism in the Pathogenesis of Hashimoto’s Thyroiditis
by Jialiang Huang, Zeping Chen, Yijue Wang, Chuyu Shang and Yue Feng
Int. J. Mol. Sci. 2025, 26(21), 10674; https://doi.org/10.3390/ijms262110674 - 2 Nov 2025
Viewed by 361
Abstract
Hashimoto’s thyroiditis (HT) is the most common autoimmune thyroid disorder, characterized by progressive lymphocytic infiltration, follicular destruction, tissue fibrosis, and an elevated risk of thyroid carcinoma. While the precise mechanisms underlying HT remain incompletely defined, emerging evidence implicates dysregulated sphingolipid (SPL) metabolism, particularly [...] Read more.
Hashimoto’s thyroiditis (HT) is the most common autoimmune thyroid disorder, characterized by progressive lymphocytic infiltration, follicular destruction, tissue fibrosis, and an elevated risk of thyroid carcinoma. While the precise mechanisms underlying HT remain incompletely defined, emerging evidence implicates dysregulated sphingolipid (SPL) metabolism, particularly the sphingosine-1-phosphate (S1P) signaling axis, as a central contributor to disease pathogenesis. S1P, a bioactive lipid mediator, integrates metabolic and immunological cues to regulate immune cell trafficking, cytokine production, apoptosis, and fibroblast activation. Aberrant activation of the sphingosine kinase (SPHK)/sphingosine-1-phosphate (S1P)/S1P receptor (S1PR) pathway has been linked to persistent T helper 1 (Th1) cell recruitment, signal transducer and activator of transcription 3 (STAT3)-mediated immune polarization, epithelial–mesenchymal transition, extracellular matrix remodeling, and the establishment of a chronic inflammatory and fibrotic microenvironment. Moreover, S1P signaling may foster a pro-tumorigenic niche, providing a mechanistic explanation for the strong epidemiological association between HT and papillary thyroid carcinoma. This review summarizes current insights into the role of SPL metabolism in HT, highlighting its potential as a mechanistic link between autoimmunity, fibrosis, and carcinogenesis. Full article
Show Figures

Figure 1

13 pages, 776 KB  
Article
Using Elastographic Stiffness to Improve Risk Stratification in Medullary Thyroid Carcinoma
by Monica Latia, Andreea Bena, Octavian Constantin Neagoe and Dana Stoian
Diagnostics 2025, 15(21), 2742; https://doi.org/10.3390/diagnostics15212742 - 29 Oct 2025
Viewed by 367
Abstract
Background/Objectives: Medullary thyroid carcinoma (MTC) poses diagnostic challenges due to its sonographic similarity to benign nodules and the modest sensitivity of conventional ultrasound (US) and TIRADS-based risk stratification. Elastography, using strain (SE) and shear-wave (SWE) techniques, has demonstrated high accuracy in papillary [...] Read more.
Background/Objectives: Medullary thyroid carcinoma (MTC) poses diagnostic challenges due to its sonographic similarity to benign nodules and the modest sensitivity of conventional ultrasound (US) and TIRADS-based risk stratification. Elastography, using strain (SE) and shear-wave (SWE) techniques, has demonstrated high accuracy in papillary thyroid carcinoma (PTC) but remains underexplored in MTC. This study investigates whether elastographic stiffness measurements can enhance diagnostic precision for MTC when combined with conventional US. Methods: We retrospectively analyzed 20 nodules confirmed as MTC by pathology after surgical resection (January 2013–June 2024) and evaluated via conventional US, SE, and SWE at a specialized endocrinology center. Elasticity scores (ES) and Emean/Emax values were compared with US features, TIRADS categories, calcitonin levels, nodule size, and lymph node status. Results: Qualitative SE showed a mean ES of 3.2 (55% ES 4, 20% ES 3), while 87.5% of nodules exceeded an SWE Emean cutoff of 30.5 kPa, indicating increased stiffness in most MTC nodules and outperforming TIRADS, where only 60% were high-risk. Moderate correlations were found between calcitonin and nodule size (r = 0.52, p = 0.018) and between ES and size (r = 0.48, p = 0.034), but calcitonin did not correlate with ES (r = 0.07, p = 0.768). Nodules with suspicious lymph nodes showed higher Emean and ES trends, though not significant. Conclusions: Elastography identifies increased stiffness in MTC, challenging its “soft” classification, and improves risk stratification beyond TIRADS. We suggest integrating elastography as a complementary tool alongside TIRADS to guide fine-needle aspiration, without replacing calcitonin or cytology. Prospective multicenter studies are needed to validate thresholds and optimize multimodal risk assessment in MTC. Full article
(This article belongs to the Section Clinical Diagnosis and Prognosis)
Show Figures

Figure 1

36 pages, 3191 KB  
Review
The Interplay Between lncRNAs–microRNAs Network Dysregulation and Cellular Hallmarks of Thyroid Cancer
by Maryam Hejazi, Ramin Heshmat, Gita Shafiee, Bagher Larijani, Amir Ali Mokhtarzadeh, Vida Ebrahimi and Seyed Mohammad Tavangar
Cancers 2025, 17(20), 3373; https://doi.org/10.3390/cancers17203373 - 18 Oct 2025
Viewed by 511
Abstract
Background/Objectives: Thyroid cancer (TC) is the most common type of endocrine neoplasm and is increasing in incidence, particularly papillary thyroid carcinoma (PTC). Early-stage disease has a favorable prognosis; however, advanced forms, such as anaplastic thyroid carcinoma, complicate treatment. Long non-coding RNAs (lncRNAs), [...] Read more.
Background/Objectives: Thyroid cancer (TC) is the most common type of endocrine neoplasm and is increasing in incidence, particularly papillary thyroid carcinoma (PTC). Early-stage disease has a favorable prognosis; however, advanced forms, such as anaplastic thyroid carcinoma, complicate treatment. Long non-coding RNAs (lncRNAs), longer than 200 nucleotides and non-coding, together with microRNAs, have emerged as major regulators of TC pathogenesis. This review summarizes data on how dysregulated lncRNAs influence the hallmarks of cancer in thyroid malignancies. Methods: We reviewed the literature on the role of lncRNAs and microRNAs in TC, focusing on their functions as competing endogenous RNAs (ceRNAs), regulators of PI3K/AKT and Wnt/β-catenin pathways, and controllers of epigenetic alterations. Results: Dysregulated lncRNAs contribute to hallmarks including sustained growth, evading suppressors, resisting death, replicative immortality, angiogenesis, invasion, metabolic reprogramming, immune evasion, genomic instability, and tumor-promoting inflammation. ceRNA mechanisms amplify immune evasion by regulating checkpoint proteins and cytokines, altering immune cell activity. Altered lncRNA profiles correlate with aggressiveness, metastasis, and prognosis. Notable lncRNAs, such as H19, MALAT1, and DOCK9-AS2, dysregulate oncogenic pathways and represent potential biomarkers. Conclusions: Advances in therapeutics suggest inhibiting oncogenic lncRNAs or restoring tumor-suppressive lncRNAs via RNA interference, antisense oligonucleotides, or CRISPR/Cas9 editing. New technologies, including single-cell RNA sequencing and spatial transcriptomics, will improve understanding of heterogeneous lncRNA–microRNA networks in TC and support precision medicine. LncRNAs signify both molecular drivers and clinical targets for thyroid cancer. Full article
(This article belongs to the Special Issue MicroRNA and Cancer Immunology)
Show Figures

Graphical abstract

23 pages, 3084 KB  
Systematic Review
Patterns of Lateral Lymph Node Involvement by Neck Level in cNIb Differentiated Thyroid Carcinoma: A Systematic Review and Meta-Analysis
by Dana M. Hartl, Karthik N. Rao, Andrés Coca Pelaz, Alessandra Rinaldo, Mark E. Zafereo, Greg W. Randolph, Iain J. Nixon, Marc Hamoir, K. Thomas Robbins, Luiz P. Kowalski, Pia Pace Asciak, Badr Soudi, Juan P. Rodrigo and Alfio Ferlito
Diagnostics 2025, 15(20), 2613; https://doi.org/10.3390/diagnostics15202613 - 16 Oct 2025
Viewed by 679
Abstract
Background/Objectives: The optimal extent of lateral lymph node dissection in cN1b differentiated thyroid cancer remains controversial. This systematic review aimed to assess the frequency of lymph node involvement across neck levels I to V. Materials and Methods: A systematic review was conducted following [...] Read more.
Background/Objectives: The optimal extent of lateral lymph node dissection in cN1b differentiated thyroid cancer remains controversial. This systematic review aimed to assess the frequency of lymph node involvement across neck levels I to V. Materials and Methods: A systematic review was conducted following PRISMA guidelines. PubMed was searched for studies on lateral neck dissection in differentiated thyroid cancer. Included studies reported level-specified metastatic rates. Data on patient numbers and metastatic events were extracted. A random-effects meta-analysis with Freeman–Tukey double arcsine transformation was performed for each neck level to calculate pooled prevalence proportions and 95% confidence intervals. Heterogeneity was assessed using the I2 statistic. Results: Meta-analysis of 57 studies revealed that level III (68%, 95% CI: 63–73) and level IV (66%, 95% CI: 61–70) had the highest metastatic prevalence, followed by level IIA (46%, 95% CI: 37–56). Level V demonstrated an overall prevalence of 22% (95% CI: 18–26), with sublevel VB (19%, 95% CI: 11–28) significantly higher than VA (4%, 95% CI: 1–9). Level I (6%, 95% CI: 2–11) and sublevel IIB (14%, 95% CI: 9–20) showed the lowest risk. Significant heterogeneity (I2 71–94%) was observed across all levels. Conclusions: Our findings support sparing level I, and sublevels IIB and VA during lateral neck dissection. Current guidelines recommend systematic dissection of IIA, III, IV, and VB, although VB involvement was found to be only 19% in our study. Future personalization of the extent of neck dissection, based on individual risk factors, may be key to optimizing oncologic and functional outcomes. Full article
Show Figures

Figure 1

10 pages, 364 KB  
Article
Laterocervical Lymph Node Metastases in Papillary Thyroid Carcinoma: Predictive Factors for Recurrence and Oncological Outcome
by Andrea Migliorelli, Marianna Manuelli, Agnese Maria Tringali, Claudio Moretti, Virginia Corazzi, Matteo Geminiani, Andrea Ciorba, Francesco Stomeo, Stefano Pelucchi and Chiara Bianchini
J. Pers. Med. 2025, 15(10), 496; https://doi.org/10.3390/jpm15100496 - 16 Oct 2025
Viewed by 458
Abstract
Background/Objectives: Papillary cancer is the most common thyroid cancer. The development of lateral cervical lymph node metastases (I–V levels) is considered a major cause of recurrence. The aim of this study is to investigate the potential predictive factors for lateral cervical lymph [...] Read more.
Background/Objectives: Papillary cancer is the most common thyroid cancer. The development of lateral cervical lymph node metastases (I–V levels) is considered a major cause of recurrence. The aim of this study is to investigate the potential predictive factors for lateral cervical lymph node metastasis and disease recurrence, in order to tailor the clinical approach to these patients. An ROC (Receiver Operating Characteristic) curve has been set to search out a cut-off value for the lymph node ratio (LNR), a ratio of involved lymph nodes-to-examined lymph nodes, that could serve as an index of tumor recurrence. Methods: This was an observational retrospective study. The clinical charts of 43 patients with histopathological diagnosis of papillary thyroid cancer who underwent thyroidectomy with lateral and central neck dissection have been reviewed. These results have also been compared with those who underwent total thyroidectomy alone that served as a control group. Results: Extrathyroidal extension (p-value < 0.001), tumor size (p-value = 0.015), number of lymph nodes involvement (p-value = 0.022), and LNR (p-value = 0.004) were identified as potential predictors of tumor recurrence. The ROC curve revealed that an LNR value exceeding 0.205 is indicative of disease recurrence, with an Area Under the Curve (AUC) of 0.818, a sensitivity of 82%, and a specificity of 81%. Furthermore, fT4 value (p-value = 0.008), tumor size (p-value = 0.019), and alcohol consumption (p-value < 0.001) may serve as potential predictors of lymph node metastasis. Conclusions: Extrathyroidal extension, vascular invasion, tumor size, number of pathological lymph nodes, and LNR are associated with recurrence of papillary thyroid carcinoma; in particular, the lymph node ratio can be considered an effective indicator of recurrence risk. Full article
(This article belongs to the Section Personalized Medical Care)
Show Figures

Figure 1

12 pages, 568 KB  
Article
Homologous Recombination in Thyroid Tumor Samples
by Liudmila V. Spirina, Matvey M. Tsyganov, Svetlana Yu. Chizhevskaya, Natalia V. Tarasenko and Veronika A. Bogdanova
Int. J. Mol. Sci. 2025, 26(19), 9716; https://doi.org/10.3390/ijms26199716 - 6 Oct 2025
Viewed by 454
Abstract
Genomic studies have provided key insights into the molecular pathogenesis of differentiated thyroid carcinoma (DTC), including the role of genes involved in the homologous recombination (HR) related to DNA repair and genomic stability. This research aimed to investigate the genetic landscape of HR [...] Read more.
Genomic studies have provided key insights into the molecular pathogenesis of differentiated thyroid carcinoma (DTC), including the role of genes involved in the homologous recombination (HR) related to DNA repair and genomic stability. This research aimed to investigate the genetic landscape of HR genes in thyroid pathology, associated with recurrence risk and clinical prognosis. The study involved six individuals with thyroid conditions, including two patients diagnosed with papillary thyroid carcinoma (PTC) and four individuals with benign thyroid disease. The research material consisted of tumor samples collected during surgical procedures. Protein interactions were analyzed using the STRING database (string-db.org). Homologous recombination genes were sequenced using the HRR Panel vr1.0 on the MiSeq™ Sequencing System. Bioinformatics analysis revealed a relationship between BRAF mutations and HR gene defects in PTC. Mutations in BRCA1, BRCA2, and FANCA genes, typically associated with thyroid tumors, were identified in the tissue of papillary thyroid cancer (PTC). A statistically significant correlation was found between the FANCA gene mutation (rs7195066) and the recurrent course of the PTC. The preliminary findings suggest a potential role for non-pathogenic BARD1 mutations in follicular adenoma. No significant association was found between genes involved in homologous recombination repair and the incidence of papillary thyroid carcinoma, suggesting that these genes may not play a major role in the development of this type of thyroid cancer. Full article
(This article belongs to the Section Molecular Genetics and Genomics)
Show Figures

Figure 1

11 pages, 4154 KB  
Case Report
A Rare Case of Systemic Amyloidosis Involving the Thyroid in a Young Patient
by Oliwia Julia Kasprzak, Kamila Stępińska, Kaja Kiedrowska, Tomasz Błaszkowski, Aleksandra Kudrymska, Sylwia Sikora, Maciej Miernik and Maciej Romanowski
J. Clin. Med. 2025, 14(19), 6741; https://doi.org/10.3390/jcm14196741 - 24 Sep 2025
Viewed by 470
Abstract
Thyroid amyloidosis is a rare condition associated with thyroid pathologies such as medullary carcinoma, papillary carcinoma, amyloid goitre, and benign lesions, with a clinically palpable goitre being exceptionally uncommon. As a result, many cases of benign thyroid enlargement caused by amyloid deposits remain [...] Read more.
Thyroid amyloidosis is a rare condition associated with thyroid pathologies such as medullary carcinoma, papillary carcinoma, amyloid goitre, and benign lesions, with a clinically palpable goitre being exceptionally uncommon. As a result, many cases of benign thyroid enlargement caused by amyloid deposits remain undiagnosed. A 28-year-old male patient noticed progressive neck circumference enlargement, voice alteration, decreased appetite, weight loss, dysphagia, fever, and night sweats. Fine-needle aspiration biopsy of the thyroid gland did not reveal the cause of the goitre. A total thyroidectomy was performed. Histopathological examination confirmed advanced thyroid amyloidosis. Full article
(This article belongs to the Section Geriatric Medicine)
Show Figures

Figure 1

8 pages, 205 KB  
Case Report
Thyroidectomy Complicated by Severe Septic Shock Due to Streptococcus pyogenes: A Case Study
by Edyta Zagrodnik, Sylwia Wieder-Huszla, Anna Południewska, Marta Górecka, Anna Surówka, Patrycja Krężel and Anna Jurczak
J. Clin. Med. 2025, 14(19), 6742; https://doi.org/10.3390/jcm14196742 - 24 Sep 2025
Viewed by 623
Abstract
Background: In recent years, the incidence of thyroid cancer has been increasing due to environmental, biological, and genetic factors. One of the treatment methods for thyroid cancer is strumectomy, a procedure associated with a high risk of postoperative complications. Methods: The [...] Read more.
Background: In recent years, the incidence of thyroid cancer has been increasing due to environmental, biological, and genetic factors. One of the treatment methods for thyroid cancer is strumectomy, a procedure associated with a high risk of postoperative complications. Methods: The following case presents septic shock with sudden cardiac arrest and cardiopulmonary resuscitation, caused by Streptococcus pyogenes, in a 45-year-old woman who underwent surgery for papillary carcinoma. Results: The patient required long-term interdisciplinary treatment in the Clinical Department of Anesthesiology and Intensive Care. Conclusions: Necrotizing mediastinitis after thyroidectomy caused by Streptococcus pyogenes is a rare and dangerous complication. The analysis of the case proves how important the preoperative assessment of the patient’s health (especially taking a detailed history) and the patients’ awareness of possible risk factors are. An equally important aspect is the awareness of the therapeutic team regarding the transmission of infections, their dynamics, and the consequences of the procedures undertaken. Full article
(This article belongs to the Section Endocrinology & Metabolism)
12 pages, 830 KB  
Article
Can PSMA-Targeting Radiopharmaceuticals Be Useful for Detecting Brain Metastasis of Various Tumors Using Positron Emission Tomography?
by Esra Arslan, Nurhan Ergül, Rahime Şahin, Ediz Beyhan, Özge Erol Fenercioğlu, Yeşim Karagöz, Arzu Algün Gedik, Yakup Bozkaya and Tevfik Fikret Çermik
Cancers 2025, 17(18), 3088; https://doi.org/10.3390/cancers17183088 - 22 Sep 2025
Viewed by 531
Abstract
Objective: The high expression of prostate-specific membrane antigen (PSMA) associated with neovascularization in non-prostatic malignant tumors and metastatic lesions has been documented in many studies. By taking advantage of the absence of PSMA-related background activity in brain tissue, in recent years, PSMA has [...] Read more.
Objective: The high expression of prostate-specific membrane antigen (PSMA) associated with neovascularization in non-prostatic malignant tumors and metastatic lesions has been documented in many studies. By taking advantage of the absence of PSMA-related background activity in brain tissue, in recent years, PSMA has been used for the imaging of glial tumors, especially for postoperative follow-up. The aim of this prospective study was to investigate the diagnostic value of 68Ga-PSMA-11 PET/CT by comparing 68Ga-PSMA-11 PET/CT, 18F-FDG PET/CT, and MRI findings in patients with brain metastases (BM). Materials and Method: In this prospective study, 27 cases, 11 female and 16 male, with a mean age of 59.48 ± 12.21 years, were included. Patients diagnosed with BM on 18F-FDG PET/CT or CT/MRI at initial diagnosis or in the follow-up period were included in the study. PET findings of BM lesions obtained from 18F-FDG and 68Ga-PSMA-11 PET/CT imaging, demographic characteristics, histopathological data of the primary foci, and other clinical features were evaluated together. Results: Twenty-four (89%) patients were included in the study for restaging, two (7%) patients for local recurrence assessment, and one (4%) patient for local recurrence and suspicion of additional lesions. The indications for 18F-FDG PET/CT were breast carcinoma for 37% (n:10), followed by lung carcinoma for 26% (n:7), colorectal adenocarcinoma for 14% (n:4), squamous cell larynx carcinoma for 7% (n:2), gastric signet ring cell carcinoma for 4% (n:1), pancreatic NET3 for 4% (n:1), thyroid papillary carcinoma for 4% (n:1), and malignant melanoma for 4% (n:1). In total, 26/27 included patients had PSMA-positive brain metastases but only one patient had PSMA-negative brain metastases with 68Ga-PSMA-11 PET/CT imaging. This patient was followed with a diagnosis of primary larynx squamous carcinoma and had a mass suspected of brain metastases. Further tests and an MRI revealed that the lesion in this patient was a hemorrhagic metastasis. The smallest metastatic focus on 68Ga-PSMA-11 PET/CT imaging was 0.22 cm, also confirmed by MRI (range: 0.22–2.81 cm). The mean ± SD SUVmax of the BM lesions was 17.9 ± 8.6 and 6.8 ± 5.2 on 18F-FDG PET/CT and 68Ga-PSMA-11 PET/CT imaging, respectively. Metastatic foci that could not be detected by 18F-FDG PET/CT imaging were successfully detected with 68Ga-PSMA-11 PET/CT imaging in 11 cases (42%). The distribution and number of metastatic lesions observed on cranial MRI and 68Ga-PSMA-11 PET/CT were compatible with each other for all patients. Immunohistochemical staining was performed in the primary tumor of 10 (38%) cases, and positive IHC staining with PSMA was detected in 5 patients. In addition, positive IHC staining with PSMA was detected in all of the four surgically excised brain metastatic tumor foci. Conclusions: In this study,68Ga-PSMA-11 PET/CT appears to be superior to 18F-FDG in detecting BM from various tumors, largely due to its high expression associated with neovascularization and the absence of PSMA expression in normal brain parenchyma. This lack of physiological uptake in healthy brain tissue provides excellent tumor-to-background contrast, further supporting the advantage of 68Ga-PSMA-11 over 18F-FDG for BM imaging. However, larger studies are required to confirm these findings, particularly through comparisons across tumor types and histopathological subgroups, integrating PSMA immunohistochemistry (IHC) scores with 68Ga-PSMA-11 uptake levels. Beyond its diagnostic potential, our results may also inform PSMA-targeted therapeutic strategies, offering new perspectives for the management of patients with brain metastases from diverse primary tumors. Full article
Show Figures

Figure 1

22 pages, 6009 KB  
Article
Dicer1 Depletion Leads to DNA Damage Accumulation and Cell Death in a RET/PTC3 Papillary Thyroid Cancer Mouse Model, Thereby Inhibiting Tumor Progression
by Maria Rojo-Pardillo, Alice Augenlicht, Geneviève Dom, Jukka Kero, Bernard Robaye and Carine Maenhaut
Cells 2025, 14(18), 1465; https://doi.org/10.3390/cells14181465 - 19 Sep 2025
Viewed by 700
Abstract
Beyond well-known genetic drivers, microRNA dysregulation has emerged as a key contributor to thyroid tumorigenesis. Central to this process is Dicer1, a ribonuclease essential for microRNA maturation, whose expression is often reduced in papillary thyroid carcinoma (PTC). Evidence from previous studies suggest [...] Read more.
Beyond well-known genetic drivers, microRNA dysregulation has emerged as a key contributor to thyroid tumorigenesis. Central to this process is Dicer1, a ribonuclease essential for microRNA maturation, whose expression is often reduced in papillary thyroid carcinoma (PTC). Evidence from previous studies suggest Dicer1 functions as a context-dependent haplo-insufficient tumor suppressor gene: partial loss may promote tumor development, whereas complete loss may disrupt essential cellular functions, causing cell death and tumor suppression. However, the effects of partial or complete Dicer1 loss in thyroid cancer remain unclear. To explore this, we genetically inactivated one (heterozygous) or both (homozygous) Dicer1 alleles specifically in thyroid follicular cells of a RET/PTC3 transgenic mouse model using an inducible Cre-Lox system. Our findings deepen the current understanding of the RET/PTC3-driven PTC model by revealing an increased number of vimentin-positive cells and disruption in redox homeostasis. Additionally, whereas heterozygous Dicer1 loss did not alter tumor progression in RET/PTC3 mice, total loss reduced tumor growth and led to accumulated DNA damage and cell death. These findings highlight the crucial role of Dicer1 dosage in thyroid cancer progression and underscore its potential as a therapeutic target for aggressive PTC and other malignancies characterized by aberrant Dicer1 expression. Full article
(This article belongs to the Special Issue Molecular Mechanisms of Tumor Pathogenesis)
Show Figures

Figure 1

11 pages, 487 KB  
Article
Risk Factors for Clinically Negative Level II Cervical Lymph Node Metastasis in Papillary Thyroid Carcinoma
by Dongju Kim, Seunguk Bang and Gwangju Yu
J. Clin. Med. 2025, 14(17), 6217; https://doi.org/10.3390/jcm14176217 - 3 Sep 2025
Viewed by 681
Abstract
Objectives: Papillary thyroid carcinoma (PTC) frequently presents with cervical lymph node metastasis, even in small tumors, and lateral lymph node involvement serves as an important prognostic factor. Therapeutic lateral neck dissection is typically recommended when nodal metastasis is clinically evident, usually including [...] Read more.
Objectives: Papillary thyroid carcinoma (PTC) frequently presents with cervical lymph node metastasis, even in small tumors, and lateral lymph node involvement serves as an important prognostic factor. Therapeutic lateral neck dissection is typically recommended when nodal metastasis is clinically evident, usually including levels II–V. However, the necessity of routine level II dissection in patients without clinical or radiologic evidence of level II involvement remains controversial, given its association with increased surgical morbidity, particularly injury to the spinal accessory nerve. Identifying reliable clinicopathological predictors of occult level II metastasis may enable more selective surgical approaches that minimize unnecessary dissection while preserving oncologic safety. Therefore, this study aimed to identify clinicopathological risk factors associated with occult level II lymph node metastasis in patients with PTC who have clinically positive lateral nodes but no clinical evidence of level II involvement. Methods: We retrospectively analyzed 1247 patients who underwent thyroidectomy for PTC between 2015 and 2022. Of these, 67 patients with clinically positive lateral lymph node metastasis and clinically negative Level II nodes who underwent therapeutic lateral neck dissection were included. Clinicopathological features were compared between patients with and without occult Level II metastasis. Univariate and multivariate logistic regression analyses were performed to identify independent risk factors. Results: Among the 67 patients analyzed, 24 (35.8%) had occult Level II metastasis. Compared to those without, patients with occult Level II metastasis had significantly larger primary tumors (2.18 ± 1.31 cm vs. 1.51 ± 1.02 cm, p = 0.024), a greater number of central lymph node metastases (5.88 ± 4.41 vs. 3.37 ± 2.66, p = 0.005), larger maximum size of metastatic central lymph node (1.44 ± 1.07 cm vs. 0.87 ± 0.48 cm, p = 0.004), and a higher number of metastatic lateral lymph nodes (7.63 ± 3.75 vs. 3.19 ± 2.21, p < 0.001). Multivariate analysis identified the number of metastatic lateral lymph node as the only independent predictor of occult Level II involvement (OR = 1.57, 95% CI: 1.213–2.044, p = 0.001). The final multivariate model demonstrated a Nagelkerke R2 of 0.46. ROC curve analysis confirmed good predictive performance (AUC = 0.85), and the optimal cut-off value was ≥ 5 metastatic lateral lymph nodes. Conclusions: A substantial proportion of patients with clinically negative Level II nodes harbor occult metastasis. The number of metastatic lateral lymph nodes is an independent predictor of occult Level II involvement and may assist in tailoring the extent of lateral neck dissection in patients with PTC. Full article
(This article belongs to the Section General Surgery)
Show Figures

Figure 1

13 pages, 1879 KB  
Article
Papillary Thyroid Carcinoma and Body Mass Index: The Role of Immune System in Tumor Microenvironment
by Rebecca Sparavelli, Riccardo Giannini, Francesca Signorini, Gabriele Materazzi, Alessio Basolo, Ferruccio Santini and Clara Ugolini
Int. J. Mol. Sci. 2025, 26(17), 8290; https://doi.org/10.3390/ijms26178290 - 26 Aug 2025
Cited by 5 | Viewed by 877
Abstract
Papillary thyroid cancer (PTC) is linked to obesity, but the biological mechanisms that may explain this connection have been only partially described. Potential factors that combine overweight/obesity with this cancer should be searched for in the immune pathways and chronic inflammation onset. In [...] Read more.
Papillary thyroid cancer (PTC) is linked to obesity, but the biological mechanisms that may explain this connection have been only partially described. Potential factors that combine overweight/obesity with this cancer should be searched for in the immune pathways and chronic inflammation onset. In this study, we evaluated the role of the immune system in patients affected by PTC and stratified them according to Body Mass Index (BMI). An analysis of the expression profiles of >700 immune-related genes was performed in 36 PTCs, subdivided into four categories: underweight (A), normal weight (B), overweight (C), and subjects living with obesity (D). B was considered a reference category. In our study, the immune microenvironment of PTCs did not seem strongly influenced by BMI. However, based on the interaction from in silico protein–protein analysis, we found that the dysregulation profiles of groups A or D were similar as concerns pathways involved in T-cell differentiation, macrophage activation, regulation of the cell cycle, and senescence processes. Furthermore, we found significant downregulation of HMGB1 in the A and D categories, with upregulation of ARG2 in the D category. Although further studies are necessary, these genes may provide an opportunity to better understand immunometabolism in thyroid cancer. Full article
(This article belongs to the Special Issue Molecular Biology of the Thyroid Cancer and Thyroid Dysfunctions)
Show Figures

Figure 1

24 pages, 625 KB  
Article
Quantitative Ultrasound-Based Precision Diagnosis of Papillary, Follicular, and Medullary Thyroid Carcinomas Using Morphological, Structural, and Textural Features
by Hanna Piotrzkowska Wróblewska, Piotr Karwat, Agnieszka Żyłka, Katarzyna Dobruch Sobczak, Marek Dedecjus and Jerzy Litniewski
Cancers 2025, 17(17), 2761; https://doi.org/10.3390/cancers17172761 - 24 Aug 2025
Viewed by 965
Abstract
Background/Objectives: Thyroid cancer encompasses distinct histological subtypes with varying biological behavior and treatment implications. Accurate preoperative subtype differentiation remains challenging. Although ultrasound (US) is widely used for thyroid nodule evaluation, qualitative assessment alone is often insufficient to distinguish between papillary (PTC), follicular [...] Read more.
Background/Objectives: Thyroid cancer encompasses distinct histological subtypes with varying biological behavior and treatment implications. Accurate preoperative subtype differentiation remains challenging. Although ultrasound (US) is widely used for thyroid nodule evaluation, qualitative assessment alone is often insufficient to distinguish between papillary (PTC), follicular (FTC), and medullary thyroid carcinoma (MTC). Methods: A retrospective analysis was performed on patients with histologically confirmed PTC, FTC, or MTC. A total of 224 standardized B-mode ultrasound images were analyzed. A set of fully quantitative features was extracted, including morphological characteristics (aspect ratio and perimeter-to-area ratio), internal echotexture (echogenicity and local entropy), boundary sharpness (gradient measures and KL divergence), and structural components (calcifications and cystic areas). Feature extraction was conducted using semi-automatic algorithms implemented in MATLAB. Statistical differences were assessed using the Kruskal–Wallis and Dunn–Šidák tests. A Random Forest classifier was trained and evaluated to determine the discriminatory performance of individual and combined features. Results: Significant differences (p < 0.05) were found among subtypes for key features such as perimeter-to-area ratio, normalized echogenicity, and calcification pattern. The full-feature Random Forest model achieved an overall classification accuracy of 89.3%, with F1-scores of 93.4% for PTC, 85.7% for MTC, and 69.1% for FTC. A reduced model using the top 10 features yielded an even higher accuracy of 91.8%, confirming the robustness and clinical relevance of the selected parameters. Conclusions: Subtype classification of thyroid cancer was effectively performed using quantitative ultrasound features and machine learning. The results suggest that biologically interpretable image-derived metrics may assist in preoperative decision-making and potentially reduce the reliance on invasive diagnostic procedures. Full article
(This article belongs to the Special Issue Thyroid Cancer: New Advances from Diagnosis to Therapy: 2nd Edition)
Show Figures

Figure 1

Back to TopTop