Sign in to use this feature.

Years

Between: -

Subjects

remove_circle_outline
remove_circle_outline
remove_circle_outline
remove_circle_outline
remove_circle_outline

Journals

Article Types

Countries / Regions

Search Results (30)

Search Parameters:
Keywords = ossifying fibroma

Order results
Result details
Results per page
Select all
Export citation of selected articles as:
25 pages, 3315 KB  
Article
New Insight in Pediatric Orthopedic Oncology: The Use of a Xeno-Hybrid Bone Substitute in Loss of Bone Tissue After Oncological Resections, a Case Series
by Raimondo Piana, Raffaella De Pace, Michele Boffano, Carlo F. Grottoli, Nicola Ratto, Pietro Pellegrino, Maria Chiara Rossi and Giuseppe Perale
J. Clin. Med. 2026, 15(6), 2329; https://doi.org/10.3390/jcm15062329 - 18 Mar 2026
Viewed by 369
Abstract
Background: The management of bone defects in pediatric oncology represents a major challenge in orthopedics, as it requires preserving both joint function and skeletal growth. Traditional reconstructive approaches, such as autografts and allografts, are limited by availability, complications, and incomplete biological integration. [...] Read more.
Background: The management of bone defects in pediatric oncology represents a major challenge in orthopedics, as it requires preserving both joint function and skeletal growth. Traditional reconstructive approaches, such as autografts and allografts, are limited by availability, complications, and incomplete biological integration. In this context, xeno-hybrid bone substitutes have emerged as a promising alternative. The aim of this study was to evaluate the safety and effectiveness of SmartBone® ORTHO in the reconstruction of post-oncological bone defects in children. Methods: Twelve pediatric patients treated at the Centro Traumatologico Ortopedico (CTO) and OIRM Hospital, AOU Città della Salute e della Scienza of Turin (Italy), between 2016 and 2019 were retrospectively analyzed. Lesions included simple and aneurysmal bone cysts, non-ossifying fibroma, chondroblastoma, and other benign conditions. All patients underwent curettage followed by defect filling with SmartBone® ORTHO. Results: At clinical and radiological follow-up, nine patients (75%) showed stable graft integration and complete functional recovery. Three patients (25%) developed local recurrence, which was managed with revision surgery and re-implantation of SmartBone®, with all achieving stable outcomes. Radiographs demonstrated progressive increases in bone density and trabecular thickness, reaching values comparable to those of native bone within 6–12 months. Conclusions: SmartBone® ORTHO proved to be a safe and effective biomaterial for pediatric post-oncological bone reconstruction, promoting rapid osteointegration and physiological bone remodeling without infection or intolerance. Full article
(This article belongs to the Section Orthopedics)
Show Figures

Figure 1

13 pages, 2979 KB  
Review
Non-Ossifying Fibromas: A 2025 Review
by Kyle Walker, Jimmy B. Smith, Niket Todi, Danielle Brown and Robert L. Randall
J. Clin. Med. 2025, 14(18), 6428; https://doi.org/10.3390/jcm14186428 - 12 Sep 2025
Cited by 1 | Viewed by 4077
Abstract
In this comprehensive review, we explore the full spectrum of the most common incidentally found bone lesions in children and adolescents. Non-ossifying fibromas (NOFs) are benign, self-limiting bone lesions that represent a significant proportion of skeletal abnormalities in this population. Beginning with their [...] Read more.
In this comprehensive review, we explore the full spectrum of the most common incidentally found bone lesions in children and adolescents. Non-ossifying fibromas (NOFs) are benign, self-limiting bone lesions that represent a significant proportion of skeletal abnormalities in this population. Beginning with their first description by Sontag and Pyle and the subsequent histological characterization by Jaffe and Lichtenstein, we trace the historical evolution of understanding NOFs, including early theories on etiology, while outlining key epidemiologic, histopathologic, and advanced imaging findings. Furthermore, we discuss diagnostic criteria, management strategies, and emerging molecular insights for NOFs, emphasizing their clinical significance. By integrating historical perspectives, current diagnostic protocols, and emerging discoveries, this paper seeks to assist clinicians in optimizing diagnostic and treatment protocols to prevent unnecessary interventions through a comprehensive understanding of NOFs. Full article
(This article belongs to the Special Issue Recent Research Progress in Pediatric Orthopedic Surgery)
Show Figures

Figure 1

11 pages, 650 KB  
Review
Extraneural Soft Tissue Perineurioma of the Oral Cavity: A Rare Case with Medico-Legal Implications and Literature Review
by Daniele Pergolini, Mohamed Mohsen, Simona Zaami, Lina De Paola, Federica Rocchetti, Cinzia Angileri, Eduardo Troiani, Cira Rosaria Tiziana Di Gioia, Giulia Coppola and Gaspare Palaia
Life 2025, 15(9), 1343; https://doi.org/10.3390/life15091343 - 25 Aug 2025
Viewed by 1127
Abstract
Perineuriomas are a rare form of peripheral nerve sheath tumors, with occurrences in the oral cavity being exceptionally uncommon. This scarcity underscores the clinical significance of each documented case, as it facilitates enhanced diagnostic precision among oral health professionals. We hereby present a [...] Read more.
Perineuriomas are a rare form of peripheral nerve sheath tumors, with occurrences in the oral cavity being exceptionally uncommon. This scarcity underscores the clinical significance of each documented case, as it facilitates enhanced diagnostic precision among oral health professionals. We hereby present a case involving a 68-year-old female patient with an extraneural perineurioma (EPN) located on the mandibular region. A laser-assisted excisional biopsy was performed, and the diagnosis of EPN was confirmed through histopathological examination complemented by immunohistochemical analysis. The lesion was surgically excised, and no recurrence was observed during a one-year follow-up period. Accurate recognition of EPNs in the oral cavity is crucial to prevent unnecessary aggressive surgical interventions. Misdiagnoses may occur in cases of fibromas, neurofibromas, schwannomas, ossifying fibromas, or low-grade malignancies, which can potentially result in overtreatment that may compromise both function and aesthetics. Given the rarity of oral EPN, precise diagnosis and appropriate management are essential to avoid unwarranted invasive procedures and to mitigate potential medico-legal implications originating from misdiagnosis or suboptimal treatment. Ensuring comprehensive informed consent and meticulous documentation is also vital in minimizing medico-legal risks. Full article
Show Figures

Figure 1

11 pages, 8353 KB  
Case Report
Aesthetic and Functional Rehabilitation in Juvenile Ossifying Fibroma: A Case Report
by Nefeli Katanaki and Ioanna Pouliezou
Reports 2025, 8(3), 122; https://doi.org/10.3390/reports8030122 - 26 Jul 2025
Viewed by 1109
Abstract
Background and Clinical Significance: Juvenile ossifying fibroma (JOF) is a rare, benign, but locally aggressive fibro-osseous neoplasm that primarily affects the craniofacial skeleton of children and adolescents. Early surgical intervention is often required due to the lesion’s rapid growth and potential for [...] Read more.
Background and Clinical Significance: Juvenile ossifying fibroma (JOF) is a rare, benign, but locally aggressive fibro-osseous neoplasm that primarily affects the craniofacial skeleton of children and adolescents. Early surgical intervention is often required due to the lesion’s rapid growth and potential for significant facial deformity. Long-term functional and esthetic rehabilitation following maxillary resection in early childhood remains a clinical challenge. Case Presentation: This case reports a unique long-term follow-up of a 22-year-old female patient who underwent partial maxillary resection at the age of five due to JOF. Initial reconstructive efforts failed, necessitating a removable prosthesis to restore function and appearance. The patient experienced persistent self-consciousness and social withdrawal during adolescence, attributed to altered facial esthetics and repeated surgical disappointment. Nevertheless, prosthetic rehabilitation significantly improved mastication, phonetics, facial symmetry, and psychological well-being. Conclusions: The enduring psychosocial and functional impact of early maxillary resection for JOF and the pivotal role of prosthodontic management in long term rehabilitation are highlighted. A multidisciplinary approach that includes psychological support is suggested. This case report is among the few reports documenting long-term prosthetic outcomes for pediatric JOF patients extending into adulthood. Full article
(This article belongs to the Section Dentistry/Oral Medicine)
Show Figures

Figure 1

10 pages, 2239 KB  
Case Report
Amelanotic Melanocytic Nevus of the Oral Cavity: A Case Report and Literature Review
by Rossana Izzetti, Filippo Minuti, Angela Pucci, Chiara Cinquini, Antonio Barone and Marco Nisi
Diagnostics 2025, 15(12), 1554; https://doi.org/10.3390/diagnostics15121554 - 18 Jun 2025
Cited by 1 | Viewed by 3558
Abstract
Amelanotic melanocytic nevi of the oral cavity are uncommon lesions that often present a diagnostic challenge for clinicians, primarily due to their nonspecific clinical appearance and the broad spectrum of possible differential diagnoses. These lesions can mimic a variety of benign and malignant [...] Read more.
Amelanotic melanocytic nevi of the oral cavity are uncommon lesions that often present a diagnostic challenge for clinicians, primarily due to their nonspecific clinical appearance and the broad spectrum of possible differential diagnoses. These lesions can mimic a variety of benign and malignant conditions, requiring precise histopathological confirmation. The primary objective of this article is to present a comprehensive case report—tracing the course from initial presentation through diagnostic workup to final diagnosis—and to provide an overview of the current literature on oral amelanotic melanocytic nevi. We report the case of a 27-year-old female who presented with a small, exophytic mass located in the anterior mandibular gingival region. The lesion was asymptomatic and lacked pigmentation, adding to the diagnostic uncertainty. A range of differential diagnoses was considered, including pyogenic granuloma, peripheral ossifying fibroma, and squamous cell carcinoma. Due to the lesion’s limited size and accessibility, an excisional biopsy was performed under local anesthesia. Histopathological examination revealed an amelanotic melanocytic nevus, a rare variant characterized by the absence of melanin pigment, further complicating the clinical impression. The diagnosis was confirmed through immunohistochemical staining, which demonstrated melanocytic markers consistent with a nevus. The patient was followed up with for six months postoperatively, with no evidence of recurrence or malignant transformation. This case highlights the critical role of biopsy in achieving a definitive diagnosis, especially in lesions with atypical clinical presentations. It also underscores the importance of considering amelanotic melanocytic nevi in the differential diagnosis of nonpigmented oral lesions, as well as maintaining vigilance regarding the rare possibility of amelanotic melanoma. Full article
Show Figures

Figure 1

7 pages, 2458 KB  
Interesting Images
An Atypical Growth and Maturation Stage of Mandibular Ossifying Fibroma Occurrence Resembling a Different Fibro-Osseous Lesion—Correlation Between Radiological and Histopathological Data
by Kamil Nelke, Klaudiusz Łuczak, Marcelina Plichta, Maciej Janeczek, Agata Małyszek, Piotr Kuropka and Maciej Dobrzyński
Diagnostics 2025, 15(11), 1367; https://doi.org/10.3390/diagnostics15111367 - 29 May 2025
Viewed by 1454
Abstract
The occurrence of osseous, fibrous, and fibro-osseous lesions in the jaw bones might pose challenges for accurate diagnosis and the selection of the best therapeutic approach. Certain radiolucent, radiopaque, or mixed-origin lesions can look very similar to other bone lesions, because of the [...] Read more.
The occurrence of osseous, fibrous, and fibro-osseous lesions in the jaw bones might pose challenges for accurate diagnosis and the selection of the best therapeutic approach. Certain radiolucent, radiopaque, or mixed-origin lesions can look very similar to other bone lesions, because of the stages of their growth, calcification, maturation, and possible local factors affecting the lesion. Ossifying fibroma (OsF, OF) is a type of fibro-osseous lesion, whose radiological characteristics might sometimes be uncertain. It may appear on classic radiographs and cone beam computed tomography as a radiolucent/radiopaque lesion with calcification bodies or a shape with a cloud-like appearance. The appearance is mostly related to the lesion’s maturation level, calcification stage, and number of fibrous elements. Diagnosis might be challenging. Its histopathological evaluation reveals a combination of mineralized and fibrous connective tissues in the mass. From a radiological point of view, because of the tumor’s various stages of bone remodeling, formation, and resorption, diagnosis might be troublesome. Different diagnoses should include cemento-osseous dysplasia, fibrous dysplasia, or cementoblastoma. A biopsy could provide an accurate histopathological examination, improving diagnosis and influencing later surgical approaches. Regardless of the final specimen evaluation, surgery is the treatment of choice. The authors would like to present the correlation between radiological and histopathological data in tumor treatment outcomes. Full article
(This article belongs to the Collection Interesting Images)
Show Figures

Figure 1

17 pages, 3510 KB  
Article
The Role of Gamma Knife Surgery in the Treatment of Rare Sellar Neoplasms: A Report of Nine Cases
by Michele Longhi, Riccardo Lavezzo, Valeria Barresi, Giorgia Bulgarelli, Anna D’Amico, Antonella Lombardo, Emanuele Zivelonghi, Paolo Maria Polloniato, Giuseppe Kenneth Ricciardi, Francesco Sala, Angelo Musumeci, Giampietro Pinna and Antonio Nicolato
Cancers 2025, 17(9), 1564; https://doi.org/10.3390/cancers17091564 - 3 May 2025
Viewed by 1971
Abstract
Introduction: The group of so-called “sellar-region masses” consists of a heterogeneous group of neoplasms and tumor-mimicking lesions, whose differential diagnosis may be challenging due to the overlapping of clinical and radiological features, which can be found both in “common” and “uncommon” lesions. The [...] Read more.
Introduction: The group of so-called “sellar-region masses” consists of a heterogeneous group of neoplasms and tumor-mimicking lesions, whose differential diagnosis may be challenging due to the overlapping of clinical and radiological features, which can be found both in “common” and “uncommon” lesions. The choice of a correct treatment strategy is still arduous and requires histological analysis. Gamma Knife Radiosurgery (GKRS) has already been reported as a safe and effective treatment in these cases. The objective of this study is to evaluate single-center pre-operative data, post-operative outcomes, and long-term follow-up in patients treated with GKRS for unusual sellar tumors. Methods: We retrospectively identified and analyzed nine patients treated with GKRS from 2004 to 2015, according to a standard protocol. Lesions consist of hypothalamic hamartoma (HH), Rathke’s cleft cist (RCC), Langerhans cell histiocytosis (LCH), spindle cell oncocytoma (SCO), choroid plexus papilloma (CPP), and ossifying fibroma (OF). The diagnosis was histologically confirmed in six patients that underwent surgery, while in three patients, diagnosis was based on characteristic clinical and radiological findings (two HH and one RCC). Pre-operative and post-operative data were retrieved from medical archives, and long-term follow-up was obtained through clinical and neuroradiological periodic examination. Results: In our series, all the “rare” sellar lesions treated, had a successful radiographic and clinical response in a medium-long follow-up period. Conclusions: The long-term follow-up results suggest that GKRS is a safe and effective treatment in rare sellar lesions, with very low toxicity. To the best of our knowledge, this report represents the largest series of unusual sellar lesions treated with GKRS in a single high-volume center, suggesting that GKRS might be an effective non-invasive adjuvant treatment option. Further studies and a larger number of patients are needed to confirm if residuals of these rare sellar lesions might regress on their own without treatment or if other non-invasive treatments could be as effective as GKRS. Full article
(This article belongs to the Special Issue Personalized Radiotherapy in Cancer Care (2nd Edition))
Show Figures

Figure 1

9 pages, 1872 KB  
Case Report
Early Intervention with a Preformed Eruption Guidance Appliance After the Excision of Cemento-Ossifying Fibroma: A Case Report
by Yeonjin Ju, Soyoung Park, Jonghyun Shin, Taesung Jeong and Eungyung Lee
Children 2025, 12(3), 379; https://doi.org/10.3390/children12030379 - 18 Mar 2025
Viewed by 1810
Abstract
Background: Cemento-ossifying fibroma (COF) is a benign, non-aggressive fibro-osseous tumor in which normal bone is replaced by fibrous tissue containing collagen fibers, bone, or cementum-like material. Although COF is rare in children, its occurrence requires careful management due to its potential impact on [...] Read more.
Background: Cemento-ossifying fibroma (COF) is a benign, non-aggressive fibro-osseous tumor in which normal bone is replaced by fibrous tissue containing collagen fibers, bone, or cementum-like material. Although COF is rare in children, its occurrence requires careful management due to its potential impact on tooth development and occlusion. Surgical excision is the widely used treatment; however, post-operative occlusal guidance is crucial, particularly in pediatric patients. Case report: This case report presents the early intervention using a preformed eruption guidance appliance (EGA) following the excision of COF in a 5-year-old boy. The patient exhibited premature loss of the primary canine and displacement of the devel-oping permanent tooth bud. After surgical excision, an EGA was applied to facilitate proper eruption of the successor teeth and optimize oral muscle function. Over a four-year follow-up period, the permanent teeth in the affected area erupted favorably, and intercuspal relationships improved during the transition from primary to mixed dentition. Conclusions: Given the limited research on the long-term effects of COF on developing dentition, long-term follow-up and additional studies are necessary to further evaluate its impact and the effectiveness of eruption guidance appliances in pediatric patients. Full article
(This article belongs to the Special Issue Oral Disease Prevention and Treatment for Children and Adolescents)
Show Figures

Figure 1

9 pages, 12300 KB  
Case Report
Autotransplantation of Impacted Third Molars to DCIA Free Flap in Adolescent Patient: A Case Report
by Benjamin Walch, Alexander Gaggl, Katharina Zeman-Kuhnert and Christian Brandtner
Children 2025, 12(3), 370; https://doi.org/10.3390/children12030370 - 16 Mar 2025
Cited by 1 | Viewed by 2379
Abstract
Introduction: Tooth autotransplantation is a well-established dental surgical procedure. However, third molar autotransplantation to bony free flaps is rarely performed. We present a case of two impacted wisdom teeth that were transplanted to a DCIA free flap using 3D printing technologies. Case report: [...] Read more.
Introduction: Tooth autotransplantation is a well-established dental surgical procedure. However, third molar autotransplantation to bony free flaps is rarely performed. We present a case of two impacted wisdom teeth that were transplanted to a DCIA free flap using 3D printing technologies. Case report: A 10-year-old girl was diagnosed with ossifying fibroma. She underwent a segmental mandibular resection with nerve preservation and reconstruction using a DCIA free flap. Six years later, due to edentulism, wisdom tooth autotransplantation was performed with digital planning, thermoplastic vacuum-formed guides, and 3D-printed replicas. Postoperatively, splint fixation was required for 12 weeks due to mobility, and a minor wound complication resolved spontaneously. At the one-year follow-up, the transplanted teeth integrated successfully without resorption or ankylosis. Orthodontic treatment was initiated to optimize alignment. Conclusions: This case of an impacted third molar autotransplantation to a DCIA free flap in an adolescent patient after a non-malignant mandibular tumor resection and reconstruction demonstrates promising results. The application of 3D printing technology significantly enhances the feasibility of dental transplantation in challenging cases, particularly for suboptimal donor teeth such as impacted wisdom teeth, by enabling precise surgical planning and optimized recipient site preparation while also reducing damage to the grafted teeth during transplantation. Further research is needed to assess the role of tooth autotransplantation in bony free flaps. Full article
(This article belongs to the Section Pediatric Dentistry & Oral Medicine)
Show Figures

Figure 1

5 pages, 2950 KB  
Interesting Images
Diagnostic Challenge of Localized Tenosynovial Giant Cell Tumor in Children
by Jiro Ichikawa, Satoshi Ochiai, Tomonori Kawasaki, Kojiro Onohara, Masanori Wako, Hirotaka Haro and Tetsuo Hagino
Diagnostics 2025, 15(3), 281; https://doi.org/10.3390/diagnostics15030281 - 24 Jan 2025
Viewed by 2289
Abstract
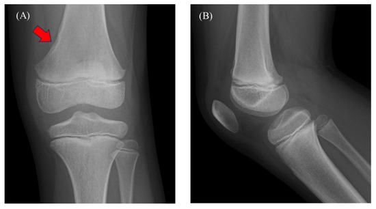
This report describes a rare case of a pediatric tenosynovial giant cell tumor (TSGCT) with a delayed diagnosis. A 9-year-old boy presented with a 3-month history of knee pain and swelling, initially attributed to a femoral non-ossifying fibroma and arthritis based on computed [...] Read more.
This report describes a rare case of a pediatric tenosynovial giant cell tumor (TSGCT) with a delayed diagnosis. A 9-year-old boy presented with a 3-month history of knee pain and swelling, initially attributed to a femoral non-ossifying fibroma and arthritis based on computed tomography findings and slightly elevated C-reactive protein levels. The symptoms persisted despite medical treatment. Magnetic resonance imaging (MRI) revealed a tumor in the posterior compartment. He underwent surgery, and the pathology confirmed the diagnosis of localized TSGCT. Six months postoperatively, the patient remained asymptomatic. Pediatric knee pain is a complex symptom associated with inflammatory conditions and benign and malignant tumors. Benign tumors, as in this case, can be misdiagnosed as arthritis, delaying diagnosis and treatment. MRI is recommended in cases involving symptom persistence. However, histopathological, immunohistochemical, and morphological examinations are crucial for definitive diagnosis, particularly when the imaging findings are inconclusive. Full article
(This article belongs to the Section Clinical Diagnosis and Prognosis)
Show Figures

Figure 1

27 pages, 25472 KB  
Article
Uncommon Nasal Mass Presentation: A Radiological Case Series
by Antonio Lo Casto, Francesco Lorusso, Ettore Palizzolo, Federico Sireci, Francesco Dispenza, Manfredi De Angelis, Angelo Immordino, Salvatore Gallina and Francesco Bencivinni
J. Pers. Med. 2024, 14(12), 1145; https://doi.org/10.3390/jpm14121145 - 9 Dec 2024
Cited by 3 | Viewed by 8641
Abstract
Background: Nasal and paranasal sinus masses can arise from a wide range of conditions, both benign and malignant, as well as congenital or acquired. Diagnosing these masses is often challenging, requiring a combination of nasal endoscopy, imaging studies, and histopathological analysis. Initial imaging [...] Read more.
Background: Nasal and paranasal sinus masses can arise from a wide range of conditions, both benign and malignant, as well as congenital or acquired. Diagnosing these masses is often challenging, requiring a combination of nasal endoscopy, imaging studies, and histopathological analysis. Initial imaging frequently involves computed tomography or cone beam computed tomography (CBCT) to evaluate the bony anatomy of the nasal cavity and surrounding sinuses, while magnetic resonance imaging (MRI) is typically used for detailed assessment of soft tissues and to aid in differential diagnosis when the findings are inconclusive. Methods: This review examines nasal masses evaluated using CT, CBCT, and MRI, highlighting key imaging features that may assist in differential diagnosis. Results: For non-neoplastic lesions, examples include conditions such as rhinoliths, inverted mesiodens, and septal mucoceles. Benign and borderline tumors discussed encompass lobular capillary hemangioma, inverted papilloma, septal osteoma, chondromesenchymal hamartoma, hemangioma, hemangiopericytoma, antrochoanal polyp, sinonasal angiofibroma, ossifying fibroma, and lipoma. Malignant tumors addressed in this review include adenocarcinoma, esthesioneuroblastoma, non-Hodgkin lymphoma, melanoma, and sarcoma. Conclusions: Diagnosing nasal lesions represent a significant challenge for otolaryngologists. Imaging characteristics of nasal masses play a crucial role in narrowing down differential diagnoses before surgery. However, nasal endoscopy combined with biopsy remains the definitive diagnostic approach. Full article
(This article belongs to the Section Mechanisms of Diseases)
Show Figures

Figure 1

10 pages, 1294 KB  
Article
Are Fibrous Cortical Defects (FCDs) and Non-Ossifying Fibromas (NOFs) Only Radiological Findings? The Relationship between Radiological/Clinical Findings and Physical Activity in Children and Adolescents: A Cross-Sectional Study
by Erhan Berk and Rabia Aydogan Baykara
J. Clin. Med. 2024, 13(19), 5751; https://doi.org/10.3390/jcm13195751 - 27 Sep 2024
Viewed by 2633
Abstract
Background: Fibrous cortical defect (FCD) and non-ossifying fibroma (NOF) are incidentally recognised and benign developmental lesions. The objective of this study was to ascertain the clinical manifestations and symptoms of FCDs/NOFs in children and adolescent patients, to characterise the lesions radiologically using X-ray [...] Read more.
Background: Fibrous cortical defect (FCD) and non-ossifying fibroma (NOF) are incidentally recognised and benign developmental lesions. The objective of this study was to ascertain the clinical manifestations and symptoms of FCDs/NOFs in children and adolescent patients, to characterise the lesions radiologically using X-ray and MRI techniques, and to determine the relationship between physical activity and the condition. Methods: The study included patients under the age of 18 with radiological lesions on their extremities. The lesions were classified as FCD or NOF in accordance with the distinctive imaging features. For each lesion, the bone involved, the site involved, the size of the lesion, and the type of lesion (according to the Ritschl classification) were recorded. In the anamnesis, the patient’s presenting complaint, the character of the pain, if any, and the level of activity were investigated. Pain was quantified using the visual analogue scale (VAS) and the 21-Numbered Circle VAS (21-NCVAS). The 21-Numbered Circle Activity Scale (21-NCAS) and the International Physical Activity Questionnaire (IPAQ) were employed for the assessment of physical activity. Results: The study included 34 lesions in 28 children (14 girls/14 boys). There was no difference in age between girls and boys (p = 0.45). According to Ritschl’s classification, 18 (52.9%) lesions were stage A, 9 (26.5%) were stage B, and 7 (20.6%) were stage C. The lesion size increased with increasing Ritschl stage (p < 0.02). The main presenting complaint was pain (n = 13, 49.9%). In 21.4% of the children (n = 6), lesions were detected incidentally on radiographs. According to IPAQ, 39.3% of the children were physically inactive. There was a significant negative correlation between 21-NCAS and Ritschl stage (r = −0.51, p < 0.05). Activity decreased as the Ritschl stage increased. There was a significant negative correlation between 21-NCAS and VAS (r = −0.69, p < 0.05). Conclusions: Spontaneous pain was observed in 49.9% of patients diagnosed with FCD/NOF. No correlation was identified between lesion size and the presence or severity of pain. As the severity of pain and Ritschl stage increased, there was a corresponding decrease in physical activity. Full article
(This article belongs to the Section Clinical Pediatrics)
Show Figures

Figure 1

11 pages, 8450 KB  
Case Report
Maxillofacial Bone Involvement in Fibro-Osseous Lesions: Emphasizing the Significance of Differential Diagnosis
by Paolo Gennaro, Luigi Gennari, Linda Latini, Guido Cavati, Margherita Vannucchi, Filippo Giovannetti and Flavia Cascino
J. Clin. Med. 2024, 13(11), 3233; https://doi.org/10.3390/jcm13113233 - 30 May 2024
Cited by 1 | Viewed by 5026
Abstract
The World Health Organization’s (WHO) 2022 update on the classification of odontogenic and maxillofacial bone tumors has revolutionized diagnostic and treatment paradigms by integrating novel molecular insights. Fibro-osseous lesions of the maxillo-facial bones constitute a heterogeneous group encompassing fibrous dysplasia, Psammomatoid Ossifying Fibroma [...] Read more.
The World Health Organization’s (WHO) 2022 update on the classification of odontogenic and maxillofacial bone tumors has revolutionized diagnostic and treatment paradigms by integrating novel molecular insights. Fibro-osseous lesions of the maxillo-facial bones constitute a heterogeneous group encompassing fibrous dysplasia, Psammomatoid Ossifying Fibroma (PSOF), Juvenile Trabecular Ossifying Fibroma (JTOF), and other variants. Despite histological similarities, their distinct clinical manifestations and prognostic implications mandate precise differentiation. The intricacies of diagnosing fibro-osseous lesions pose challenges for pathologists, maxillofacial surgeons, dentists and oral surgeons, underscoring the importance of a systematic approach to ensure optimal patient management. Herein, we present two cases, fibrous dysplasia and Cemento-Ossifying Fibroma, detailing their clinical encounters and management strategies. Both patients provided informed consent for publishing their data and images, adhering to ethical guidelines. Full article
(This article belongs to the Section Clinical Neurology)
Show Figures

Figure 1

16 pages, 6121 KB  
Article
15-Year Experience in Maxillofacial Surgical Navigation with Tracked Instruments
by Giorgio Novelli, Filippo Santamato, Alejandro Juan Piza Moragues, Andrea Filippi, Federico Valsecchi, Gabriele Canzi and Davide Sozzi
Surg. Tech. Dev. 2024, 13(2), 162-177; https://doi.org/10.3390/std13020010 - 26 Apr 2024
Cited by 1 | Viewed by 2510
Abstract
(1) Introduction and Aim: Surgical navigation has evolved as a vital tool in maxillofacial surgery, offering precise and patient-specific data. This study explores the clinical applications and accuracy of intraoperative tool tracking in maxillofacial surgery. (2) Materials and Methods: The research includes 42 [...] Read more.
(1) Introduction and Aim: Surgical navigation has evolved as a vital tool in maxillofacial surgery, offering precise and patient-specific data. This study explores the clinical applications and accuracy of intraoperative tool tracking in maxillofacial surgery. (2) Materials and Methods: The research includes 42 patients with various pathologies who underwent surgeries assisted by a surgical navigation system using tracked instruments. Four representative cases are exhibited in the study: the first case involving coronoid hyperplasia with mouth opening deficit, the second case addressing naso-orbital-ethmoidal-frontal ossifying fibroma resection, the third case showcasing a subapical osteotomy (Köle) for a class III dentoskeletal malocclusion, and the fourth one exposing the treatment of a recurrent ameloblastoma. (3) Results: The results indicate that surgical navigation with tracked instruments provides high precision (<1.5 mm error), reduced surgical time, and a less invasive approach. (4) Conclusions: This study highlights the potential for reproducible outcomes and increased safety, especially in complex cases. Despite some limitations, the synergy between surgical navigation and tracked instruments offers a promising approach in maxillofacial surgery, expanding its applications beyond current practices. Full article
Show Figures

Figure 1

28 pages, 761 KB  
Review
Insights into Hyperparathyroidism–Jaw Tumour Syndrome: From Endocrine Acumen to the Spectrum of CDC73 Gene and Parafibromin-Deficient Tumours
by Ana-Maria Gheorghe, Oana-Claudia Sima, Alexandru Florin Florescu, Adrian Ciuche, Claudiu Nistor, Florica Sandru and Mara Carsote
Int. J. Mol. Sci. 2024, 25(4), 2301; https://doi.org/10.3390/ijms25042301 - 15 Feb 2024
Cited by 4 | Viewed by 3921
Abstract
A total of 1 out of 10 patients with primary hyperparathyroidism (PHP) presents an underlying genetic form, such as multiple endocrine neoplasia types 1, 2A, etc., as well as hyperparathyroidism–jaw tumour syndrome (HJT). We aimed to summarise the recent data, thus raising more [...] Read more.
A total of 1 out of 10 patients with primary hyperparathyroidism (PHP) presents an underlying genetic form, such as multiple endocrine neoplasia types 1, 2A, etc., as well as hyperparathyroidism–jaw tumour syndrome (HJT). We aimed to summarise the recent data, thus raising more awareness regarding HJT, from the clinical perspective of PHP in association with the challenges and pitfalls of CDC73 genetic testing and parafibromin staining. This narrative review included a sample-focused analysis from the past decade according to a PubMed search. We identified 17 original human studies (≥4 patients per article). The mean age at disease onset was between 20.8 and 39.5 years, while the largest study found that 71% of patients had HJT recognised before the age of 30. Males and females seemed to be equally affected, in contrast with sporadic PHP. PHP represented the central manifestation of HJT, occurring as the first manifestation in up to 85% of HJT cases. A biochemistry panel found a mean serum calcium level above the level of 12 mg/dL in PHP. PTH was elevated in HJT as well, with average values of at least 236.6 pg/mL. The most frequent pathological type in PHP was a parathyroid adenoma, but the incidence of a parathyroid carcinoma was much higher than in non-HJT cases (15% of all parathyroid tumours), with the diagnosis being established between the age of 15 and 37.5. In some families up to 85% of carriers suffered from a parathyroid carcinoma thus indicating that certain CDC73 pathogenic variants may harbour a higher risk. An important issue in HJT was represented by the parafibromin profile in the parathyroid tumours since in HJT both parathyroid adenomas and carcinomas might display a deficient immunoreactivity. Another frequent manifestation in HJT was ossifying fibromas of the jaw (affecting 5.4% to 50% of patients; the largest study found a prevalence of 15.4%). HJT was associated with a wide variety of kidney lesion (mostly: kidney cysts, with a prevalence of up to 75%, and renal tumours involved in 19% of patients). The risk of uterine lesions seemed increased in HJT, especially with concern to leiomyomas, adenofibromas, and adenomyosis. The underlying pathogenic mechanisms and the involvement of CDC73 pathogenic variants and parafibromin expression are yet to be explored. Currently, the heterogeneous expression of parafibromin status and, the wide spectrum of CDC73 mutations including the variety of clinical presentations in HJT, make it difficult to predict the phenotype based on the genotype. The central role of HJT-PHP is, however, the main clinical element, while the elevated risk of parathyroid carcinoma requires a special awareness. Full article
(This article belongs to the Section Molecular Endocrinology and Metabolism)
Show Figures

Figure 1

Back to TopTop