Sign in to use this feature.

Years

Between: -

Subjects

remove_circle_outline
remove_circle_outline
remove_circle_outline
remove_circle_outline
remove_circle_outline
remove_circle_outline
remove_circle_outline
remove_circle_outline
remove_circle_outline

Journals

remove_circle_outline
remove_circle_outline
remove_circle_outline
remove_circle_outline
remove_circle_outline
remove_circle_outline
remove_circle_outline
remove_circle_outline
remove_circle_outline
remove_circle_outline

Article Types

Countries / Regions

remove_circle_outline
remove_circle_outline
remove_circle_outline
remove_circle_outline
remove_circle_outline

Search Results (965)

Search Parameters:
Keywords = optimal imaging time selection

Order results
Result details
Results per page
Select all
Export citation of selected articles as:
27 pages, 4296 KB  
Article
Research on Lightweight Apple Detection and 3D Accurate Yield Estimation for Complex Orchard Environments
by Bangbang Chen, Xuzhe Sun, Xiangdong Liu, Baojian Ma and Feng Ding
Horticulturae 2026, 12(3), 393; https://doi.org/10.3390/horticulturae12030393 - 22 Mar 2026
Viewed by 146
Abstract
Severe foliage occlusion and dynamically changing lighting conditions in complex orchard environments pose significant challenges for visual perception systems in automated apple harvesting, including low detection accuracy, poor robustness, and insufficient real-time performance. To address these issues, this study proposes an improved lightweight [...] Read more.
Severe foliage occlusion and dynamically changing lighting conditions in complex orchard environments pose significant challenges for visual perception systems in automated apple harvesting, including low detection accuracy, poor robustness, and insufficient real-time performance. To address these issues, this study proposes an improved lightweight detection network based on YOLOv11, named YOLO-WBL, along with a precise yield estimation algorithm based on 3D point clouds, termed CLV. The YOLO-WBL network is optimized in three aspects: (1) A C3K2_WT module integrating wavelet transform is introduced into the backbone network to enhance multi-scale feature extraction capability; (2) A weighted bidirectional feature pyramid network (BiFPN) is adopted in the neck network to improve the efficiency of multi-scale feature fusion; (3) A lightweight shared convolution separated batch normalization detection head (Detect-SCGN) is designed to significantly reduce the parameter count while maintaining accuracy. Based on this detection model, the CLV algorithm deeply integrates depth camera point cloud information through 3D coordinate mapping, irregular point cloud reconstruction, and convex hull volume calculation to achieve accurate estimation of individual fruit volume and total yield. Experimental results demonstrate that: (1) The YOLO-WBL model achieves a precision of 93.8%, recall of 79.3%, and mean average precision (mAP@0.5) of 87.2% on the apple test set; (2) The model size is only 3.72 MB, a reduction of 28.87% compared to the baseline model; (3) When deployed on an NVIDIA Jetson Xavier NX edge device, its inference speed reaches 8.7 FPS, meeting real-time requirements; (4) In scenarios with an occlusion rate below 40%, the mean absolute percentage error (MAPE) of yield estimation can be controlled within 8%. Experimental validation was conducted using apple images selected from the dataset under varying lighting intensities and fruit occlusion conditions. The results demonstrate that the CLV algorithm significantly outperforms traditional average-weight-based estimation methods. This study provides an efficient, accurate, and deployable visual solution for intelligent apple harvesting and yield estimation in complex orchard environments, offering practical reference value for advancing smart orchard production. Full article
(This article belongs to the Special Issue AI for a Precision and Resilient Horticulture)
Show Figures

Figure 1

26 pages, 12317 KB  
Article
Rapid Extraction of Tea Bud Phenotypic Parameters ‘In Situ’ Combining Key Point Recognition and Depth Image Fusion
by Yang Guo, Yiyong Chen, Weihao Yao, Junshu Wang, Jianlong Li, Bo Zhou, Junhong Zhao and Jinchi Tang
Agriculture 2026, 16(6), 704; https://doi.org/10.3390/agriculture16060704 - 21 Mar 2026
Viewed by 209
Abstract
Real-time measurement of tea bud phenotypes via mobile devices is constrained by model lightweighting challenges, and research on non-contact measurement of tea bud phenotypes based on key points remains largely unexplored. Information on the growth posture of tea buds is an important basis [...] Read more.
Real-time measurement of tea bud phenotypes via mobile devices is constrained by model lightweighting challenges, and research on non-contact measurement of tea bud phenotypes based on key points remains largely unexplored. Information on the growth posture of tea buds is an important basis for determining tea maturity grades, quality monitoring, and tea breeding. Therefore, this work develops a deep learning-enabled YOLOv8p-Tea model to estimate key point information of tea bud posture and automatically obtain three-dimensional point cloud information of tea buds by integrating depth information, thereby achieving in situ measurement of tea bud phenotypic parameters. Meanwhile, the model is trained and validated using a tea bud (one-bud-three-leaf) image dataset, and its effectiveness is demonstrated through experiments. Compared to the YOLOv8p-pose model, the model achieves a mAP50 of 98.3%, a P of 97%, and parameters of 0.72 M, with mAP50 and P improved by 1.5% and 1.9%, respectively, and the parameter count is reduced by 25%. To validate the accuracy of phenotypic extraction, the model was deployed on edge devices, and 30 tea buds with one bud and three leaves were randomly selected in a tea garden. The final in situ measurement results showed an MRE of 6.63%. Experimental findings indicate that the developed method is capable of not only effectively estimate tea bud posture but also accurately achieves in situ measurement of tea bud phenotypes, which holds potential applications for meeting the construction needs of smart tea gardens and optimizing tea breeding. Full article
(This article belongs to the Section Artificial Intelligence and Digital Agriculture)
Show Figures

Figure 1

22 pages, 4921 KB  
Article
Development of a Nondestructive Classification Model for Citrus Fruit External Defects Using Hyperspectral Imaging and Wavelength Selection Algorithm
by Woo-Hyeong Yu, Min-Jee Kim, Ahyeong Lee, Hong-Gu Lee, Byoung-Kwan Cho, Hoyoung Lee and Changyeun Mo
Appl. Sci. 2026, 16(6), 2989; https://doi.org/10.3390/app16062989 - 20 Mar 2026
Viewed by 184
Abstract
External defects considerably reduce the quality, consumer acceptance, and market value of citrus fruits. Therefore, a rapid and reliable, non-destructive inspection method is necessary for postharvest processing. In this study, a non-destructive approach for external defect classification of citrus fruits is developed by [...] Read more.
External defects considerably reduce the quality, consumer acceptance, and market value of citrus fruits. Therefore, a rapid and reliable, non-destructive inspection method is necessary for postharvest processing. In this study, a non-destructive approach for external defect classification of citrus fruits is developed by combining visible–near infrared hyperspectral imaging (HSI) with effective wavelength selection (EWS) algorithms. First, 1702 spectral samples of normal and defective regions on citrus fruit surfaces were collected. A partial least squares discriminant analysis (PLS-DA) model was developed using the full wavelength range (400–1000 nm), which achieved 99.02% prediction accuracy. Four EWS algorithms—weighted regression coefficients, variable importance in projection, sequential forward selection (SFS(5, 10, 15)), and random frog—were evaluated for optimal spectral dimensionality and computational efficiency. The SFS15-PLS-DA model, which selected 15 optimal variables out of the initial 300 and used maximum normalization preprocessing, achieved the highest prediction accuracy of 99.80%. This model demonstrated near-perfect classification while reducing the total number of wavelengths by 95.0% (from 300 to 15 wavelengths). Further, a pixel-wise image classification algorithm was implemented using the optimal model, which effectively detected physical damage, pest infestation, and fungal decay. These results demonstrate that combining HSI with EWS enables compact, interpretable, and high-performance models suitable for real-time postharvest sorting. This approach has strong potential to enhance automation, speed, and reliability in commercial citrus quality assessment. Full article
(This article belongs to the Section Agricultural Science and Technology)
Show Figures

Figure 1

18 pages, 6041 KB  
Review
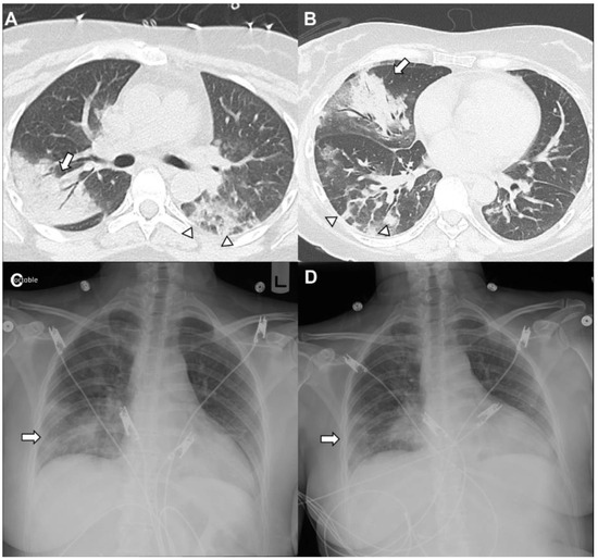
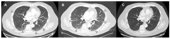
Pulmonary Complications of Cancer Therapy: Clinical Presentations, Imaging Patterns, and Management Strategies
by Bilal Zafar, Tasmea Haque, Miranda Tan, Ritika Singh, Lara Bashoura, Ajay Sheshadri, Maria Azhar and Saadia A. Faiz
Medicina 2026, 62(3), 578; https://doi.org/10.3390/medicina62030578 - 19 Mar 2026
Viewed by 272
Abstract
Background and objectives: Therapeutic agents for cancer can cause unique pulmonary toxicities and mimic other conditions. The advent of new targeted molecular and immune therapies has changed the landscape of cancer treatment. These adverse events pose diagnostic and therapeutic challenges. This review aims [...] Read more.
Background and objectives: Therapeutic agents for cancer can cause unique pulmonary toxicities and mimic other conditions. The advent of new targeted molecular and immune therapies has changed the landscape of cancer treatment. These adverse events pose diagnostic and therapeutic challenges. This review aims to summarize the clinical presentations, radiographic patterns, and management strategies for noninfectious pulmonary complications associated with cancer therapies. Materials and methods: A literature review was conducted focusing on drug-induced lung injury (DILI), radiation-induced lung injury (RILI), pleural disease, pulmonary vascular complications, and other inflammatory conditions in patients with cancer. The data sources included clinical trials, guideline recommendations, observational studies, and expert consensus addressing incidence, pathophysiology, imaging findings, and treatment approaches. Results: Noninfectious pulmonary sequelae of anti-neoplastic therapies encompass a broad spectrum of etiologies. DILI occurs in up to 30% with variable onset and severity. The patterns can be diverse but include interstitial pneumonitis, organizing pneumonia, and diffuse alveolar damage. RILI is common and influenced by the radiation dose, volume, and concurrent therapies, and it may have both acute and chronic clinical and radiographic presentations. Pleural disease may arise from radiation and other agents, and the determination of etiology can impact management. Pulmonary vascular disease arises from many different etiologies, including therapies such as tyrosine kinase inhibitors and proteosome inhibitors, thromboembolic disease, as well as rare processes, including pulmonary veno-occlusive disease. Other conditions such as transfusion-related lung injury, cryptogenic organizing pneumonia, and interstitial lung abnormalities can also further complicate the diagnosis. Conclusions: Noninfectious pulmonary complications related to cancer therapies are diverse and often indistinguishable from infectious or malignant processes. The integration of clinical history, imaging, and selective invasive testing are needed for a timely diagnosis. Management typically involves withdrawal of the offending agent and corticosteroids, with immunosuppressive therapy reserved for severe or refractory cases. The awareness of these entities and early recognition are critical to optimizing outcomes. Full article
(This article belongs to the Section Pulmonology)
Show Figures

Figure 1

8 pages, 1669 KB  
Case Report
Selection of Recipient Vessels in Double-Barrel STA-MCA Bypass Surgery with the Assistance of Intraoperative ICG Fluorescence: A Case Report and Review of the Literature
by Stefanie Bauer, Timo Kahles, Michael Diepers, Gerrit A. Schubert, Lukas Andereggen and Serge Marbacher
Brain Sci. 2026, 16(3), 316; https://doi.org/10.3390/brainsci16030316 - 16 Mar 2026
Viewed by 202
Abstract
Background/Objectives: Selection of the optimal recipient artery in superficial temporal artery to middle cerebral artery (STA–MCA) extracranial–intracranial bypass surgery is essential to ensure adequate cerebral perfusion. Various pre- and intraoperative tools for target vessel selection have been proposed. Indocyanine green fluorescence video angiography [...] Read more.
Background/Objectives: Selection of the optimal recipient artery in superficial temporal artery to middle cerebral artery (STA–MCA) extracranial–intracranial bypass surgery is essential to ensure adequate cerebral perfusion. Various pre- and intraoperative tools for target vessel selection have been proposed. Indocyanine green fluorescence video angiography (ICG-VA) enables real-time visualization of cerebral hemodynamics, facilitating recipient vessel selection and anastomotic evaluation. Here, we review the literature and present the use of qualitative ICG-VA to support intraoperative decision-making during double-barrel (DB) STA–MCA bypass surgery. Case description: We report the case of a 68-year-old patient with bilateral steno-occlusive cerebrovascular disease, who developed progressive hemodynamic compromise of the left hemisphere after prior right-sided STA-MCA bypass. Preoperative imaging demonstrated impaired perfusion and posterior-to-anterior leptomeningeal collateralization from the posterior cerebral artery. During the left-sided DB bypass surgery, intravenous ICG-VA was used to assess relative cortical perfusion. Two superficial M4 branches with the most pronounced perfusion delay were selected as recipients based on the ICG-VA and anatomical criteria. Postoperative angiography confirmed graft patency. At short-term follow-up, the patient remained neurologically stable, with complete regression of preoperative symptoms. Conclusions: This case illustrates the application of qualitative ICG-VA for perfusion-oriented recipient vessel selection in DB STA-MCA bypass for steno-occlusive disease. Real-time perfusion assessment may complement conventional anatomical criteria for recipient vessel selection in flow-augmentation procedures. Further studies incorporating quantitative hemodynamic analysis are warranted. Full article
Show Figures

Figure 1

20 pages, 2788 KB  
Review
Turning Fluids into Data for Precision Oncology: A Multidisciplinary Tumor Board Approach to Malignant Pleural Effusions
by Domenico Damiani, Ilaria Girolami, Esther Hanspeter, Christine Mian, Christine Schwienbacher, Johanna Köhl, Stefania Kinspergher, Giovanni Zambello, Francesco Zaraca, Giovanni Negri, Patrizia Pernter, Mohsen Farsad, Sara Gusella and Georgia Levidou
Biomedicines 2026, 14(3), 673; https://doi.org/10.3390/biomedicines14030673 - 16 Mar 2026
Viewed by 356
Abstract
Background: Malignant pleural effusion (MPE) represents a frequent and clinically challenging manifestation of advanced malignancy, particularly in metastatic non-small cell lung cancer (NSCLC). Its management requires integration of diagnostic imaging, symptom-directed therapeutic strategies, and, increasingly, molecular profiling technologies. Recent advancements in this [...] Read more.
Background: Malignant pleural effusion (MPE) represents a frequent and clinically challenging manifestation of advanced malignancy, particularly in metastatic non-small cell lung cancer (NSCLC). Its management requires integration of diagnostic imaging, symptom-directed therapeutic strategies, and, increasingly, molecular profiling technologies. Recent advancements in this field based on liquid medium (so-called liquid biopsy) have achieved a significant increase in sensitivity, enhancing our ability to investigate biofluids and suggesting their potential integration into standard diagnostic practices, far beyond the canonical plasma biopsies. Fluid obtained from MPE after cytological sample centrifugation is rich in cell-free DNA and less susceptible to nucleic acid degradation during processing, improving overall diagnostic accuracy. Methods: This narrative review summarizes current evidence on the clinical management of malignant pleural effusions in patients with metastatic NSCLC, integrating imaging, procedural management, and molecular profiling from a multidisciplinary tumor board perspective. The primary objective was to synthesize contemporary knowledge with particular attention to the feasibility, reliability, and reproducibility of pleural fluid-based molecular testing. Results: MPE poses diagnostic and therapeutic challenges for all members of the multidisciplinary tumor board, traditionally associated with an adverse prognosis. However, recent advances in cytopathology, histopathology, and liquid-based techniques demonstrate that MPE could be an important source of prognostic or predictive information. At the same time, optimal patient management requires careful integration of imaging findings and procedural strategies (such as pleurodesis or indwelling pleural catheters) with individualized systemic therapy selection. Cell-free DNA in pleural effusions is a promising field of exploration and study, potentially suitable for future guideline implementation, after validation in adequately powered studies, contributing to improving patient management, particularly useful in fragile subsets. Conclusions: The management of MPE in advanced NSCLC is evolving toward a multidisciplinary, precision-oriented model that integrates clinical evaluation, imaging, procedural interventions, and molecular testing. Liquid biopsy technology has gained enough analytical robustness and clinical feasibility to be a useful tool in routine analysis. Biofluid-based molecular testing may have outstanding potential, contributing to improving patient management, avoiding repetitive procedures, and optimizing the overall efficiency and cost-effectiveness of diagnostic practices. Moreover, collaborative projects among different specialties help in consolidating trust in the tumor board decision-making process. Full article
Show Figures

Figure 1

17 pages, 460 KB  
Review
Nerve-Sparing in High-Risk Prostate Cancer: Advantages and Pitfalls of Current Strategies and Technologies
by Daniele Robesti, Pierluigi Russo, Giuseppe Fallara, Fernando Blank, Massimo Valerio, Ashutosh K. Tewari, Francesco Montorsi, Guillaume Ploussard, Nilesh Patil and Alberto Martini
Cancers 2026, 18(6), 945; https://doi.org/10.3390/cancers18060945 - 13 Mar 2026
Viewed by 482
Abstract
Background and Objective: Positive surgical margins (PSMs) remain a major challenge during radical prostatectomy, particularly in patients with high-risk prostate cancer (HR-PCa), where extracapsular extension, multifocal disease, and aggressive tumor biology substantially increase the likelihood of incomplete resection. In this setting, PSMs [...] Read more.
Background and Objective: Positive surgical margins (PSMs) remain a major challenge during radical prostatectomy, particularly in patients with high-risk prostate cancer (HR-PCa), where extracapsular extension, multifocal disease, and aggressive tumor biology substantially increase the likelihood of incomplete resection. In this setting, PSMs are strongly associated with early biochemical recurrence and frequently prompt adjuvant or salvage treatments, potentially exposing patients to overtreatment and added morbidity. Materials and Methods: To review and critically appraise established and emerging intraoperative technologies for surgical margin assessment during radical prostatectomy, with a specific focus on their potential role and relevance in patients with HR-PCa. Evidence Acquisition: A non-systematic literature review was performed using Pubmed, MEDLINE, Web of Science, and Google Scholar, focusing on preoperative, intraoperative ex vivo, and intraoperative in vivo technologies for margin assessment. Emphasis was placed on techniques with potential applicability to HR-PCa, where real-time intraoperative decision-making is particularly consequential. Evidence Synthesis: Preoperative tools, including multiparametric MRI, PSMA-PET imaging, and predictive nomograms, aid surgical planning but show limited sensitivity for microscopic extracapsular extension, especially in high-risk disease. Intraoperative frozen section analysis reduces positive surgical margin rates while enabling selective nerve-sparing (defined as a side-specific, risk-adapted preservation strategy); however, its widespread adoption is constrained by substantial logistical and resource requirements, and robust oncological outcome data in high-risk populations remain limited. Novel ex vivo approaches, such as fluorescence confocal microscopy and specimen-based PSMA PET/CT imaging, offer rapid whole-gland or targeted margin assessment with reduced dependency on dedicated pathology workflows. In parallel, emerging in vivo technologies, particularly PSMA-targeted near-infrared-fluorescence-guided surgery, enable real-time detection of residual tumor and facilitate selective re-resection, representing a biology-driven approach that may be especially suited to HR-PCa. Conclusions: In high-risk prostate cancer, intraoperative margin assessment technologies may extend beyond functional preservation and play a central role in optimizing oncological radicality and multimodal treatment sequencing. While NeuroSAFE remains the reference standard, PSMA-based ex vivo and in vivo technologies are particularly promising in HR-PCa due to their ability to integrate tumor biology into surgical decision-making. Prospective studies focusing on high-risk-specific oncological and patient-reported outcomes are needed before widespread clinical implementation. Full article
Show Figures

Figure 1

22 pages, 3475 KB  
Article
Cross-Layer Feature Fusion and Attention-Based Class Feature Alignment Network for Unsupervised Cross-Domain Remote Sensing Scene Classification
by Jiahao Wei, Erzhu Li and Ce Zhang
Remote Sens. 2026, 18(6), 859; https://doi.org/10.3390/rs18060859 - 11 Mar 2026
Viewed by 216
Abstract
Remote sensing scene classification is one of the crucial techniques for high-resolution remote sensing image interpretation and has received widespread attention in recent years. However, acquiring high-quality labeled data is both costly and time-consuming, making unsupervised domain adaptation (UDA) an important research focus [...] Read more.
Remote sensing scene classification is one of the crucial techniques for high-resolution remote sensing image interpretation and has received widespread attention in recent years. However, acquiring high-quality labeled data is both costly and time-consuming, making unsupervised domain adaptation (UDA) an important research focus in scene classification. Existing UDA methods focus primarily on aligning the overall feature distributions across domains but neglect class feature alignment, resulting in the loss of critical class information. To address this issue, a cross-layer feature fusion and attention-based class feature alignment network (CFACA-NET) is proposed for unsupervised cross-domain remote sensing scene classification. Specifically, a multi-layer feature extraction module (MFEM) consisting of a cross-layer feature fusion module (CFFM), a multi-scale dynamic attention module (MSDAM), and a fused feature optimization module (FFOM) is designed to enhance the representation ability of scene features. A high-confidence sample selection module is further introduced, which utilizes evidence theory and information entropy to obtain reliable pseudo-labels. Finally, a class feature alignment module is proposed, incorporating a two-stage training strategy to achieve effective class feature alignment. Experimental results on three remote sensing scene classification datasets demonstrate that CFACA-NET outperforms existing state-of-the-art methods in cross-domain classification performance, effectively enhancing cross-domain adaptation capability. Full article
Show Figures

Figure 1

27 pages, 4440 KB  
Article
Optimization-Driven Hybrid Machine Learning Framework for Brain Tumor Classification in MRI with Metaheuristic Feature Selection
by Yasin Özkan, Yusuf Bahri Özçelik and Aytaç Altan
Diagnostics 2026, 16(5), 819; https://doi.org/10.3390/diagnostics16050819 - 9 Mar 2026
Viewed by 401
Abstract
Background/Objectives: Brain tumors are among the most severe neurological disorders, and their variability in size, morphology, and anatomical location complicates early and accurate diagnosis. Although magnetic resonance imaging (MRI) is the most reliable non-invasive modality for tumor detection, manual interpretation remains time-consuming, subjective, [...] Read more.
Background/Objectives: Brain tumors are among the most severe neurological disorders, and their variability in size, morphology, and anatomical location complicates early and accurate diagnosis. Although magnetic resonance imaging (MRI) is the most reliable non-invasive modality for tumor detection, manual interpretation remains time-consuming, subjective, and susceptible to human error. This study aims to develop an optimization-driven hybrid machine learning framework for accurate and computationally efficient automatic brain tumor classification. Methods: The dataset includes 834 MRI images (583-training, 123-validation, 128-independent test). Because YOLOv11 detects tumor and non-tumor regions separately, the sample size doubled during region-based analysis, and all subsequent stages were conducted at the regions of interest (ROI) level. On the independent test set, YOLOv11 achieved 98.87% mAP@50, 98.54% precision, and 98.21% recall. The proposed framework combines automated tumor localization with image standardization using Gaussian noise reduction and bilinear interpolation. From the processed MR images, 39 entropy-based features were extracted. To enhance diagnostic performance and eliminate redundant information, the superb fairy-wren optimization algorithm (SFOA) was applied for feature selection and compared with particle swarm optimization (PSO), Harris hawk optimization (HHO), and puma optimization (PO). Final classification was primarily performed using k-nearest neighbors (kNN), while support vector machines (SVM) were used for comparative evaluation. Results: SFOA reduced the feature dimensionality from 39 to 5 features while achieving 99.20% classification accuracy on the independent test set. In comparison, PSO selected 10 features, HHO selected 6 features and PO selected 10 features, all achieving 98.45% accuracy. The best performance obtained with SVM was 98.45% accuracy (HHO-SVM), which remained lower than the 99.20% achieved by the proposed SFOA-kNN model. Conclusions: The results indicate that combining entropy-based feature extraction with SFOA-driven feature selection and kNN classification significantly enhances diagnostic accuracy while reducing computational complexity, highlighting the strong potential of the proposed framework for integration into computer-aided diagnosis systems to support clinical decision-making. Full article
(This article belongs to the Special Issue 3rd Edition: AI/ML-Based Medical Image Processing and Analysis)
Show Figures

Figure 1

22 pages, 66701 KB  
Article
AVIF as an Alternative to JPEG and GPU Texture Compression Schemes for Texture Storage in 3D Computer Graphics
by Maria Grazia Corino, Tiziano Leidi and Achille Peternier
Appl. Sci. 2026, 16(5), 2541; https://doi.org/10.3390/app16052541 - 6 Mar 2026
Viewed by 420
Abstract
This article explores the potential of the emerging image compression standard AV1 Image File Format (AVIF) as a format for storing 2D texture data in 3D computer graphics, aiming to assess its suitability for graphics applications. It presents a comparative performance evaluation, focusing [...] Read more.
This article explores the potential of the emerging image compression standard AV1 Image File Format (AVIF) as a format for storing 2D texture data in 3D computer graphics, aiming to assess its suitability for graphics applications. It presents a comparative performance evaluation, focusing on image quality, compression efficiency, and processing times, by comparing AVIF with the traditional format JPEG and the texture compression schemes BPTC and S3TC. To conduct the evaluation, a selected set of test images is compressed into the specified formats, loaded as textures, and assessed in a mockup 3D application to evaluate their visual performance in a realistic rendering context. The results show that AVIF delivers better fidelity to the original image compared to JPEG, BPTC, and S3TC, while also yielding a smaller file size. It outperforms JPEG by 9.2 dB in visual quality and by 174.4% in compression ratio, on average. However, this comes at the cost of longer processing times, with AVIF taking 126 times longer than JPEG and 185 times longer than S3TC to encode an image. AVIF also showed a 536% increase in decoding time compared to JPEG. BPTC produced high-fidelity images, second only to AVIF, but it required longer encoding times, depending on the quality settings. However, unlike AVIF, it offers GPU optimization benefits. Full article
(This article belongs to the Special Issue Advances in Computer Graphics and 3D Technologies)
Show Figures

Figure 1

24 pages, 3943 KB  
Article
A Convolutional Neural Network(CNN)–Residual Network (ResNet)-Based Faulted Line Selection Method for Single-Phase Ground Faults in Distribution Network
by Qianqiu Shao, Zhen Yu and Shenfa Yin
Electronics 2026, 15(5), 1090; https://doi.org/10.3390/electronics15051090 - 5 Mar 2026
Viewed by 307
Abstract
Single-phase ground faults account for more than 80% of total faults in distribution networks. However, the introduction of distributed generation complicates power grid topology, leading to strong nonlinearity and non-stationarity in the zero-sequence current. This limits the accuracy of traditional faulted line selection [...] Read more.
Single-phase ground faults account for more than 80% of total faults in distribution networks. However, the introduction of distributed generation complicates power grid topology, leading to strong nonlinearity and non-stationarity in the zero-sequence current. This limits the accuracy of traditional faulted line selection methods. To address this problem, a CNN–ResNet-based method for faulted line selection for single-phase ground faults in distribution networks is proposed. Firstly, a 10 kV arc ground fault simulation test platform is built to analyze the nonlinear distortion characteristics of fault current. The WOA–VMD algorithm, optimized by permutation entropy, is used to denoise the zero-sequence current signal. The Gram Angular Difference Field (GADF) is then adopted to convert the one-dimensional signal into a two-dimensional image that retains its temporal characteristics. A hybrid deep learning model is constructed by fusing the one-dimensional time-domain features extracted by CNN and the two-dimensional time-frequency image features extracted by ResNet34. Matlab/Simulink simulations and physical experimental verification demonstrate that the proposed method achieves a training accuracy of over 97%, with zero misjudgments recorded in 15 arc grounding fault tests, representing a significant improvement in accuracy compared with existing diagnostic algorithms. It can adapt to complex scenarios such as high-resistance grounding and changes in neutral point grounding mode, effectively improving the accuracy and robustness of faulted line selection and providing technical support for the safe operation of distribution networks. Full article
(This article belongs to the Section Artificial Intelligence)
Show Figures

Figure 1

20 pages, 359 KB  
Review
Landscape of Measurable Residual Disease in Acute Myeloid Leukemia: From Molecular Detection to Clinical Practice
by Mohammad Shahzaib Qadir and Omer Jamy
Med. Sci. 2026, 14(1), 123; https://doi.org/10.3390/medsci14010123 - 5 Mar 2026
Viewed by 442
Abstract
Measurable residual disease (MRD) has become a central determinant of prognosis and treatment planning in acute myeloid leukemia (AML). MRD assessment is now aided by a wide range of technologies, including next-generation sequencing, PCR-based assays, multiparameter flow cytometry, and emerging approaches such as [...] Read more.
Measurable residual disease (MRD) has become a central determinant of prognosis and treatment planning in acute myeloid leukemia (AML). MRD assessment is now aided by a wide range of technologies, including next-generation sequencing, PCR-based assays, multiparameter flow cytometry, and emerging approaches such as liquid biopsy platforms and imaging-based detection. These modalities differ in sensitivity, applicability, and interpretive framework, yet each offers distinct advantages in specific disease contexts. Beyond technical issues, MRD is becoming increasingly integrated into clinical practice. In non-intensive treatment settings, where targeted and low-intensity regimens rely on dynamic disease monitoring to guide ongoing management, MRD is increasingly being used to inform therapeutic decisions. In the peri-transplant setting, MRD status influences conditioning strategies, donor selection, and the use of post-transplant interventions. Despite the growing evidence supporting the clinical relevance of MRD across these scenarios, challenges remain regarding standardization, optimal timing of assessment, and the interpretation of discordant results. This review summarizes the full landscape of MRD detection methods and examines the evolving role of MRD in contemporary AML management, emphasizing current applications and areas requiring further refinement. Full article
(This article belongs to the Section Cancer and Cancer-Related Research)
22 pages, 34457 KB  
Article
Agentic Vision Framework for Real-Time Manufacturing Contamination Detection Using Patch-Based Lightweight Convolutional Neural Networks
by Yuan Xing, Xuedong Ding and Haowen Pan
Signals 2026, 7(2), 21; https://doi.org/10.3390/signals7020021 - 3 Mar 2026
Viewed by 361
Abstract
Modern manufacturing quality control demands intelligent, adaptive inspection systems capable of real-time contamination detection with minimal computational overhead. We present a five-agent vision framework for material-aware contamination detection in manufacturing environments. The system comprises: a Material Classification Agent that identifies contamination type (fiber, [...] Read more.
Modern manufacturing quality control demands intelligent, adaptive inspection systems capable of real-time contamination detection with minimal computational overhead. We present a five-agent vision framework for material-aware contamination detection in manufacturing environments. The system comprises: a Material Classification Agent that identifies contamination type (fiber, sand, or mixed), three Material-Specific Detection Agents, each employing patch-based CNNs optimized for their respective material with dynamic patch size selection (128 px, 256 px, 384 px), and an Adaptation Agent that monitors performance and eliminates consistently failing patch size configurations. This hierarchical architecture enables intelligent routing to specialized detectors and continuous refinement through performance-driven adaptation. The Material Classification Agent achieves 98% accuracy in contamination type identification. Material-specific agents demonstrate F1-scores of 0.968 (fiber), 0.977 (sand), and 0.977 (mixed) with real-time inference (2.40–11.11 ms per 512 × 512 image). The Adaptation Agent implements selective patch size elimination: configurations failing quality thresholds (F1 < 0.5) across multiple evaluation cycles are removed from the detection pipeline. On the synthetic test split used in this study, comparative evaluation against PatchCore, WinCLIP, and PaDiM shows 3–45× higher F1-scores with superior accuracy–latency trade-offs, validating the efficacy of specialized material-aware architectures for manufacturing contamination detection. Full article
Show Figures

Figure 1

21 pages, 4034 KB  
Article
Developability Evaluation of Single-Domain Antibody-Chelator Conjugates for Diagnostic Radiotracers
by Philipp D. Kaiser, Simon Straß, Sandra Maier, Evgenia Herbold, Bjoern Traenkle and Anne Zeck
Antibodies 2026, 15(2), 22; https://doi.org/10.3390/antib15020022 - 3 Mar 2026
Viewed by 448
Abstract
Background/Objectives: Developability assessment is a critical step in advancing antibody-based molecules toward clinical application. This evaluation typically begins during clinical candidate selection and continues throughout all modifications of the molecule during development. It is guided by the target product profile, which includes [...] Read more.
Background/Objectives: Developability assessment is a critical step in advancing antibody-based molecules toward clinical application. This evaluation typically begins during clinical candidate selection and continues throughout all modifications of the molecule during development. It is guided by the target product profile, which includes the intended administration route and regimen, formulation parameters, and process conditions encountered during manufacturing, storage, and delivery. While developability testing is well established for conventional therapeutic antibodies, strategies for assessing single-domain antibodies (sdAbs) and their conjugates remain underexplored. Here, we present a strategy to test the developability of sdAbs as a case study for two clinical candidates intended as precursors for the production of diagnostic tracers for clinical imaging. Methods: Assays were developed to evaluate chemical and thermodynamic stability, target binding affinity and capacity, and chelation efficiency (“chelatability”). Accelerated stability studies were conducted for both unconjugated sdAbs and their chelator conjugated forms following incubation at two pH conditions, at multiple time points, and after twelve freeze–thaw cycles to simulate process conditions and long-term storage. Analytical assays were applied stepwise in a hierarchical approach to minimize experimental effort and material consumption. Candidates exhibiting critical developability features were selectively addressed by assays with increasing precision. Results: A tailored panel of analytical assays optimized for low molecular weight proteins was established and applied to the two clinical candidates, identifying instability hotspots as well as potential mitigation strategies. Successful engineering of a candidate with an initially critical developability profile was achieved. Conclusions: This study demonstrates the implementation of a structured developability assessment strategy for sdAb conjugates. The approach integrates physicochemical and functional stability evaluations, supporting robust candidate selection, formulation development, and method optimization for this class of molecules. Full article
Show Figures

Graphical abstract

43 pages, 1959 KB  
Review
Advances in Photodynamic Therapy: Photosensitizers, Biological Mechanisms, and Artificial Intelligence-Driven Innovation
by Jadwiga Inglot, Dorota Bartusik-Aebisher, Katarzyna Bania, Klaudia Dynarowicz and David Aebisher
Chemistry 2026, 8(3), 31; https://doi.org/10.3390/chemistry8030031 - 2 Mar 2026
Viewed by 817
Abstract
Photodynamic therapy (PDT) is a minimally invasive therapeutic modality that combines a photosensitizer, light of an appropriate wavelength, and molecular oxygen to generate cytotoxic reactive oxygen species for selective tissue destruction. Over recent decades, PDT has evolved from early porphyrin-based systems to advanced [...] Read more.
Photodynamic therapy (PDT) is a minimally invasive therapeutic modality that combines a photosensitizer, light of an appropriate wavelength, and molecular oxygen to generate cytotoxic reactive oxygen species for selective tissue destruction. Over recent decades, PDT has evolved from early porphyrin-based systems to advanced third-generation photosensitizers incorporating nanotechnology, targeting ligands, and activatable designs, significantly improving tumor selectivity, pharmacokinetics, and therapeutic efficacy. This article offers an in-depth look at the fundamental principles of PDT, including the roles of photosensitizers, light delivery systems, and oxygen dynamics, as well as the resulting biological effects such as direct tumor cell death, vascular shutdown, and immune activation. Clinical applications across oncology, dermatology, ophthalmology, and antimicrobial therapy are discussed, highlighting both established and emerging indications. Furthermore, the review critically examines recent advances in machine learning (ML) and deep learning (DL) applied to PDT, including treatment planning, dosimetry optimization, photosensitizer and nanoparticle design, real-time treatment monitoring, and outcome prediction. By integrating physics-based modeling, multimodal imaging, and artificial intelligence-driven approaches, PDT is transitioning toward adaptive, personalized photomedicine. This work outlines current challenges, future research directions, and the translational potential of AI-enabled PDT systems, emphasizing their role in improving precision, reproducibility, and clinical outcomes. Full article
(This article belongs to the Special Issue Modern Photochemistry and Molecular Photonics)
Show Figures

Graphical abstract

Back to TopTop