error_outline You can access the new MDPI.com website here. Explore and share your feedback with us.
 
 
Sign in to use this feature.

Years

Between: -

Subjects

remove_circle_outline
remove_circle_outline
remove_circle_outline
remove_circle_outline
remove_circle_outline
remove_circle_outline
remove_circle_outline
remove_circle_outline
remove_circle_outline

Journals

remove_circle_outline
remove_circle_outline
remove_circle_outline
remove_circle_outline
remove_circle_outline
remove_circle_outline
remove_circle_outline

Article Types

Countries / Regions

remove_circle_outline
remove_circle_outline
remove_circle_outline
remove_circle_outline
remove_circle_outline

Search Results (423)

Search Parameters:
Keywords = object-oriented classification

Order results
Result details
Results per page
Select all
Export citation of selected articles as:
15 pages, 2570 KB  
Case Report
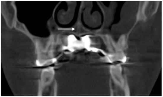
Immediate 3D Skull Changes Following 3D-Guided Midpalatal Piezocorticotomy-Assisted MARPE: Case Report
by Svitlana Koval, Viktoriia Kolesnyk and Daria Chepanova
Dent. J. 2026, 14(1), 24; https://doi.org/10.3390/dj14010024 - 4 Jan 2026
Viewed by 299
Abstract
Background/Objectives: Mini-Screw-Assisted Rapid Skeletal Expansion (MARPE) appliances have been widely used for maxillary skeletal expansion in non-growing subjects and adolescents with a fused midpalatal suture. The current case report describes the immediate 3D cephalometric changes in the skeletal and soft tissue parameters, [...] Read more.
Background/Objectives: Mini-Screw-Assisted Rapid Skeletal Expansion (MARPE) appliances have been widely used for maxillary skeletal expansion in non-growing subjects and adolescents with a fused midpalatal suture. The current case report describes the immediate 3D cephalometric changes in the skeletal and soft tissue parameters, along with upper airway volume, shape, and dimensions, in a patient with Skeletal Class I anterior underbite. Methods: The pre- and post-expansion full-face Cone-Beam Computed Tomograms (CBCTs) of a 19-year-old patient who underwent 3D-guided midpalatal piezocorticotomy-assisted MARPE were compared and analyzed using 3D cephalometric software. Both CBCT volumes were re-oriented relative to the Frankfurt horizontal plane (FHP) to accommodate postural changes. Results: The total upper airway volume and minimum upper airway cross-section increased after expansion. The nasal base plane (ANS–PNS) rotated in all three spatial planes, including the sagittal plane (anterior downward and posterior upward rotation, with the center of rotation around the maxillary center of rotation) and the vertical plane (upward rotation on the left side). The maxillary canine and molar cant planes rotated around the center of rotation in the midface, with left upward and right downward rotation. The orientation of the ANS–PNS plane changed due to the leftward rotation of the ANS, with the center of rotation approaching the PNS. Cervical curvature improved from kyphotic to lordotic immediately following expansion. Conclusions: Three-dimensionally guided midpalatal piezocorticotomy-assisted MARPE has been shown to produce midfacial changes in all three spatial planes when evaluated via 3D cephalometric analysis. Comprehensive observational studies are necessary to analyze these changes and their effects for different skeletal classifications. Full article
Show Figures

Figure 1

13 pages, 1231 KB  
Article
Impact of Cystocele Classification and Surgical Method on Treatment Outcome: A Defect-Oriented Surgical Treatment for Cystocele
by Pawel Szymanowski, Wioletta Katarzyna Szepieniec, Andrzej Kuszka and Esra Bilir
J. Clin. Med. 2026, 15(1), 201; https://doi.org/10.3390/jcm15010201 - 26 Dec 2025
Viewed by 185
Abstract
Background/Objectives: Cystocele remains a prevalent condition with high recurrence rates following conventional native tissue repair. While mesh-based techniques may reduce anatomical recurrence, they are associated with increased complications and regulatory limitations. Our study proposes a defect-oriented approach to cystocele repair to assess whether [...] Read more.
Background/Objectives: Cystocele remains a prevalent condition with high recurrence rates following conventional native tissue repair. While mesh-based techniques may reduce anatomical recurrence, they are associated with increased complications and regulatory limitations. Our study proposes a defect-oriented approach to cystocele repair to assess whether individualized surgical management based on defect type can improve outcomes, particularly recurrence rates. Methods: A single-center retrospective analysis of 317 women undergoing cystocele repair (2019–2020) was performed. Patients were classified into five groups according to defect type: lateral defect at level II, central defect at level II, apical defect, mixed apical and lateral defects at level II, and mixed apical and central defects at level II. Surgical techniques, including vaginal mesh repair, laparoscopic or pre-peritoneal Richardson repair, sacropexy, lateral suspension, and combined procedures, were tailored to the identified defect. Postoperative outcomes and recurrence rates were assessed during follow-up visits. Results: The most common defect was apical defect at level II (35.6%) followed by lateral defect (32.8%), mixed apical and lateral (17.7%), central (8.5%), and mixed apical and central (5.4%). The most frequent procedures were vaginal mesh repair (33.8%) and laparoscopic sacropexy (28.7%). In our cohort, the overall recurrence rate was 6.3%, with the highest recurrence observed in the central defect group (11.1%) and lowest in the mixed apical and lateral defect group (0%). Conclusions: A defect-oriented classification and individualized surgical approach for cystocele enables effective, durable repair with low recurrence rates. Precise identification of the anatomical defect, rather than the routine use of hysterectomy or mesh, should guide surgical planning to optimize functional and anatomical outcomes. Full article
(This article belongs to the Special Issue Current Perspectives and Innovations in Urogynecology)
Show Figures

Figure 1

62 pages, 4507 KB  
Article
Integration Modes Between MCDM Methods and Machine Learning Algorithms: A Structured Approach for Framework Development
by Hatice Kocaman and Umut Asan
Mathematics 2026, 14(1), 33; https://doi.org/10.3390/math14010033 - 22 Dec 2025
Viewed by 316
Abstract
Decision-making is increasingly guided by the integration of Multi-Criteria Decision-Making (MCDM) and Machine Learning (ML) approaches. Despite their complementary strengths, the literature lacks clarity on which forms of integration exist, what contributions they offer, and how to determine the most effective form for [...] Read more.
Decision-making is increasingly guided by the integration of Multi-Criteria Decision-Making (MCDM) and Machine Learning (ML) approaches. Despite their complementary strengths, the literature lacks clarity on which forms of integration exist, what contributions they offer, and how to determine the most effective form for a given decision problem. This study systematically investigates integration modes through a methodology that combines a literature review, expert judgment, and statistical analyses. It develops a novel categorization of integration modes based on methodological characteristics, resulting in five distinct modes: sequential approaches (ML → MCDM and MCDM → ML), hybrid integration (MCDM + ML), and performance comparison approaches, including ML vs. MCDM and ML vs. ML evaluated through MCDM. In addition, new evaluation criteria are introduced to ensure rigor, comparability, and reliability in assessing integration forms. By applying correspondence, cluster, and discriminant analyses, the study reveals distinctive patterns, relationships, and gaps across integration modes. The primary outcome is a novel evidence-based framework designed to guide researchers and practitioners in selecting the appropriate integration modes based on problem characteristics, methodological requirements, and application context. The findings reveal that sequential approaches (ML → MCDM and MCDM → ML) are most appropriate when efficiency, structured decision workflows, bias reduction, minimal human intervention, and the management of complex multi-variable decision problems are key objectives. Hybrid integration (MCDM + ML) is better suited to dynamic and data-rich environments that require flexibility, continuous adaptation, and a high level of automation. Performance comparison approaches are most appropriate for validation-oriented studies that evaluate outputs (MCDM[ML vs. ML]) and benchmark alternative methods (ML vs. MCDM), thereby supporting reliable method selection. Furthermore, the study underscores the predominance of integration modes that combine value-based MCDM methods with classification-based ML algorithms, particularly for enhancing interpretability. Environmental science and healthcare emerge as leading domains of adoption, primarily due to their high data complexity and the need to balance diverse, multi-criteria stakeholder requirements. Full article
(This article belongs to the Special Issue Multi-criteria Decision Making and Data Mining, 2nd Edition)
Show Figures

Graphical abstract

44 pages, 6045 KB  
Article
A Multi-Stage Hybrid Learning Model with Advanced Feature Fusion for Enhanced Prostate Cancer Classification
by Sameh Abd El-Ghany and A. A. Abd El-Aziz
Diagnostics 2025, 15(24), 3235; https://doi.org/10.3390/diagnostics15243235 - 17 Dec 2025
Viewed by 275
Abstract
Background: Cancer poses a significant health risk to humans, with prostate cancer (PCa) being the second most common and deadly form among men, following lung cancer. Each year, it affects over a million individuals and presents substantial diagnostic challenges due to variations [...] Read more.
Background: Cancer poses a significant health risk to humans, with prostate cancer (PCa) being the second most common and deadly form among men, following lung cancer. Each year, it affects over a million individuals and presents substantial diagnostic challenges due to variations in tissue appearance and imaging quality. In recent decades, various techniques utilizing Magnetic Resonance Imaging (MRI) have been developed for identifying and classifying PCa. Accurate classification in MRI typically requires the integration of complementary feature types, such as deep semantic representations from Convolutional Neural Networks (CNNs) and handcrafted descriptors like Histogram of Oriented Gradients (HOG). Therefore, a more robust and discriminative feature integration strategy is crucial for enhancing computer-aided diagnosis performance. Objectives: This study aims to develop a multi-stage hybrid learning model that combines deep and handcrafted features, investigates various feature reduction and classification techniques, and improves diagnostic accuracy for prostate cancer using magnetic resonance imaging. Methods: The proposed framework integrates deep features extracted from convolutional architectures with handcrafted texture descriptors to capture both semantic and structural information. Multiple dimensionality reduction methods, including singular value decomposition (SVD), were evaluated to optimize the fused feature space. Several machine learning (ML) classifiers were benchmarked to identify the most effective diagnostic configuration. The overall framework was validated using k-fold cross-validation to ensure reliability and minimize evaluation bias. Results: Experimental results on the Transverse Plane Prostate (TPP) dataset for binary classification tasks showed that the hybrid model significantly outperformed individual deep or handcrafted approaches, achieving superior accuracy of 99.74%, specificity of 99.87%, precision of 99.87%, sensitivity of 99.61%, and F1-score of 99.74%. Conclusions: By combining complementary feature extraction, dimensionality reduction, and optimized classification, the proposed model offers a reliable and generalizable solution for prostate cancer diagnosis and demonstrates strong potential for integration into intelligent clinical decision-support systems. Full article
Show Figures

Figure 1

23 pages, 11094 KB  
Article
RSDB-Net: A Novel Rotation-Sensitive Dual-Branch Network with Enhanced Local Features for Remote Sensing Ship Detection
by Danshu Zhou, Yushan Xiong, Shuangming Yu, Peng Feng, Jian Liu, Nanjian Wu, Runjiang Dou and Liyuan Liu
Remote Sens. 2025, 17(23), 3925; https://doi.org/10.3390/rs17233925 - 4 Dec 2025
Viewed by 318
Abstract
Ship detection in remote sensing imagery is hindered by cluttered backgrounds, large variations in scale, and random orientations, limiting the performance of detectors designed for natural images. We propose RSDB-Net, a Rotation-Sensitive Dual-Branch Detection Network that introduces innovations in feature extraction, fusion, and [...] Read more.
Ship detection in remote sensing imagery is hindered by cluttered backgrounds, large variations in scale, and random orientations, limiting the performance of detectors designed for natural images. We propose RSDB-Net, a Rotation-Sensitive Dual-Branch Detection Network that introduces innovations in feature extraction, fusion, and detection. The Swin Transformer–CNN Backbone (STCBackbone) combines a Swin Transformer for global semantics with a CNN branch for local spatial detail, while the Feature Conversion and Coupling Module (FCCM) aligns and fuses heterogeneous features to handle multi-scale objects, and a Rotation-sensitive Cross-branch Fusion Head (RCFHead) enables bidirectional interaction between classification and localization, improving detection of randomly oriented targets. Additionally, an enhanced Feature Pyramid Network (eFPN) with learnable transposed convolutions restores semantic information while maintaining spatial alignment. Experiments on DOTA-v1.0 and HRSC2016 show that RSDB-Net performs better than the state of the art (SOTA), with mAP-ship values of 89.13% and 90.10% (+5.54% and +44.40% over the baseline, respectively), and reaches 72 FPS on an RTX 3090. RSDB-Net also demonstrates strong generalization and scalability, providing an effective solution for rotation-aware ship detection. Full article
Show Figures

Figure 1

23 pages, 3296 KB  
Article
Enhancing the Effectiveness of Juvenile Protection: Deep Learning-Based Facial Age Estimation via JPSD Dataset Construction and YOLO-ResNet50
by Yuqiang Wu, Qingyang Gao, Yichen Lin, Zhanhai Yang and Xinmeng Wang
Appl. Syst. Innov. 2025, 8(6), 185; https://doi.org/10.3390/asi8060185 - 29 Nov 2025
Viewed by 555
Abstract
An increasing number of juveniles are accessing adult-oriented venues, such as bars and nightclubs, where supervision is frequently inadequate, thereby elevating their risk of both offline harm and unmonitored exposure to harmful online content. Existing facial age estimation systems, which are primarily designed [...] Read more.
An increasing number of juveniles are accessing adult-oriented venues, such as bars and nightclubs, where supervision is frequently inadequate, thereby elevating their risk of both offline harm and unmonitored exposure to harmful online content. Existing facial age estimation systems, which are primarily designed for adults, have significant limitations when it comes to protecting juveniles, hindering the efficiency of supervising them in key venues. To address these challenges, this study proposes a facial age estimation solution for juvenile protection. First, we have designed a ‘detection–cropping–classification’ framework comprising three stages. This first detects facial regions using a detection algorithm, then crops the image before inputting the results into a classification model for age estimation. Secondly, we constructed the the Juvenile Protection Surveillance and Detection (JPSD) Dataset by integrating five public datasets: UTKface, AgeDB, APPA-REAL, MegaAge and FG-NET. This dataset contains 14,260 images categorised into four age groups: 0–8 years, 8–14 years, 14–18 years and over 18 years. Thirdly, we conducted baseline model comparisons. In the object detection phase, three YOLO algorithms were selected for face recognition. In the age estimation phase, traditional convolutional neural networks (CNNs), such as ResNet50 and VGG16, were contrasted with vision transformer (ViT)-based models, such as ViT and BiFormer. Gradient-weighted Class Activation Mapping (Grad-CAM) was used for visual analysis to highlight differences in the models’ decision-making processes. Experiments revealed that YOLOv11 is the optimal detector for accurate facial localisation, and that ResNet50 is the best base classifier for enhancing age-sensitive feature extraction, outperforming BiFormer. The results show that the framework achieves Recall of 89.17% for the 0–8 age group and 95.17% for the over-18 age group. However, we have found that the current model has low Recall rates for the 8–14 and 14–18 age groups. Therefore, in the near term, we emphasise that this technology should only be used as a decision-support tool under strict human-in-the-loop supervision. This study provides an essential dataset and technical framework for juvenile facial age estimation, offering support for juvenile online protection, smart policing and venue supervision. Full article
(This article belongs to the Section Artificial Intelligence)
Show Figures

Figure 1

29 pages, 43944 KB  
Article
GPRNet: A Geometric Prior-Refined Semantic Segmentation Network for Land Use and Land Cover Mapping
by Zhuozheng Li, Zhennan Xu, Runliang Xia, Jiahao Sun, Ruihui Mu, Liang Chen, Daofang Liu and Xin Li
Remote Sens. 2025, 17(23), 3856; https://doi.org/10.3390/rs17233856 - 28 Nov 2025
Viewed by 432
Abstract
Semantic segmentation of high-resolution remote sensing images remains a challenging task due to the intricate spatial structures, scale variability, and semantic ambiguity among ground objects. Moreover, the reliable delineation of fine-grained boundaries continues to impose difficulties on existing CNN- and transformer-based models, particularly [...] Read more.
Semantic segmentation of high-resolution remote sensing images remains a challenging task due to the intricate spatial structures, scale variability, and semantic ambiguity among ground objects. Moreover, the reliable delineation of fine-grained boundaries continues to impose difficulties on existing CNN- and transformer-based models, particularly in heterogeneous urban and rural environments. In this study, we propose GPRNet, a novel geometry-aware segmentation framework that leverages geometric priors and cross-stage semantic alignment for more precise land-cover classification. Central to our approach is the Geometric Prior-Refined Block (GPRB), which learns directional derivative filters, initialized with Sobel-like operators, to generate edge-aware strength and orientation maps that explicitly encode structural cues. These maps are used to guide structure-aware attention modulation, enabling refined spatial localization. Additionally, we introduce the Mutual Calibrated Fusion Module (MCFM) to mitigate the semantic gap between encoder and decoder features by incorporating cross-stage geometric alignment and semantic enhancement mechanisms. Extensive experiments conducted on the ISPRS Potsdam and LoveDA datasets validate the effectiveness of the proposed method, with GPRNet achieving improvements of up to 1.7% mIoU on Potsdam and 1.3% mIoU on LoveDA over strong recent baselines. Furthermore, the model maintains competitive inference efficiency, suggesting a favorable balance between accuracy and computational cost. These results demonstrate the promising potential of geometric-prior integration and mutual calibration in advancing semantic segmentation in complex environments. Full article
Show Figures

Figure 1

16 pages, 915 KB  
Article
Patient-Centred and Daily Life-Oriented Botulinum Toxin Treatment for Stroke Survivors with Upper Extremity Spasticity—Effects and Practical Aspects
by Sybille Roschka, David Punt and Thomas Platz
J. Clin. Med. 2025, 14(23), 8339; https://doi.org/10.3390/jcm14238339 - 24 Nov 2025
Viewed by 368
Abstract
Background/Objectives: To investigate the impact of a routine botulinum toxin type A (BoNT-A) injection in combination with outpatient therapy on the daily activities of stroke survivors with upper extremity spasticity and to facilitate patient-centred assessment focusing on individual needs during daily life. [...] Read more.
Background/Objectives: To investigate the impact of a routine botulinum toxin type A (BoNT-A) injection in combination with outpatient therapy on the daily activities of stroke survivors with upper extremity spasticity and to facilitate patient-centred assessment focusing on individual needs during daily life. Methods: Design: Observational study across one treatment cycle (3 months). Setting: Spasticity outpatient clinic of a neurorehabilitation hospital in Germany. Participants: Adult stroke survivors (n = 27) with upper extremity spasticity receiving routine BoNT-A treatment. Interventions: Participants received one BoNT-A injection and outpatient therapies as part of their routine management. Augmented assessment was conducted directly before the injection (T0), and at 4 to 6 weeks (Tmax1) and 12 to 14 weeks (T2) following the injection. Main outcome measures: The Canadian Occupational Performance Measure (COPM), Goal Attainment Scaling (GAS), and Arm Activity Measure (ArmA). Secondary outcome measures: The Resistance to Passive Movement Scale (REPAS), Motricity Index (MI), SF-12v2 Health Survey (SF-12v2), Global Clinical Impression (GCI), and importance of and satisfaction with the BoNT-A treatment. Results: Performance of individually selected daily activities and satisfaction with their performance (COPM), passive care tasks (ArmA, part A), and resistance to passive movement (REPAS) significantly improved from T0 to Tmax1. Improvements largely remained at T2. Individual goals were all set at the activities and participation levels of the International Classification of Functioning, Disability and Health. These improved for 75% of participants and were fully attained by 33.3% at Tmax1. Responder analysis indicated that COPM and ArmA improvements were clinically significant for up to 50% of participants. Active upper extremity use (ArmA, part B), health-related quality of life (SF-12v2), and upper extremity strength (MI) remained unchanged. Conclusions: Our results indicate that BoNT-A in combination with routine outpatient therapy positively influenced the individually valued daily activities of stroke survivors. COPM, GAS, and ArmA are suitable for facilitating a patient-centred and daily life-oriented spasticity management post-stroke. Full article
Show Figures

Figure 1

19 pages, 5630 KB  
Article
A New Method for Detecting Plastic-Mulched Land Using GF-2 Imagery
by Shixian Lu, Shuyuan Zheng, Cheng Chen, Shanshan Liu, Jian Dao, Chenwei Xu and Jianxiong Wang
Appl. Sci. 2025, 15(22), 11978; https://doi.org/10.3390/app152211978 - 11 Nov 2025
Viewed by 509
Abstract
Plastic mulch residues threaten soil fertility and contribute to microplastic pollution, creating an urgent need for accurate, rapid mapping of plastic-mulched land (PML). This study presents a novel method for detecting PML from GF-2 imagery by introducing the second component of the K-T [...] Read more.
Plastic mulch residues threaten soil fertility and contribute to microplastic pollution, creating an urgent need for accurate, rapid mapping of plastic-mulched land (PML). This study presents a novel method for detecting PML from GF-2 imagery by introducing the second component of the K-T transform as a PML-enhancement feature to compensate for the sensor’s limited spectral bands. The K-T component was fused with selected texture metrics and the original spectral bands, and an object-oriented classification framework was applied to delineate PML. Validation shows that the proposed method achieves high identification accuracy for PML and good transferability, with accuracies exceeding 90% across the four selected study areas. Moreover, the method demonstrates strong temporal stability: classification accuracies exceeded 90% for two different time periods within the same study area. Compared with methods reported in previous studies, our approach attains comparable accuracy while offering higher classification efficiency. Overall, the proposed method enables accurate PML identification from GF-2 imagery and provides a valuable reference for agricultural planning and ecological protection. Full article
Show Figures

Figure 1

21 pages, 17851 KB  
Article
Landslide Susceptibility Mapping Using Remote Sensing Interpretation and a Blending-XGBoost-CNN Model
by Baocheng Ma, Chao Yin, Feng Gao, Xilong Song and Mingyang Li
Appl. Sci. 2025, 15(22), 11969; https://doi.org/10.3390/app152211969 - 11 Nov 2025
Viewed by 863
Abstract
The accuracy of historical landslide data is a key factor affecting the precision of landslide susceptibility mapping. The degree of conformity between mathematical models and disaster-prone environments cannot be predetermined, and the optimal model needs to be determined through comparative studies. In this [...] Read more.
The accuracy of historical landslide data is a key factor affecting the precision of landslide susceptibility mapping. The degree of conformity between mathematical models and disaster-prone environments cannot be predetermined, and the optimal model needs to be determined through comparative studies. In this paper, SBAS-InSAR and the object-oriented classification method were integrated to provide data for landslide susceptibility mapping: SBAS-InSAR was used to process Sentinel-1 images, while the object-oriented classification method was applied to interpret Landsat 8 images. Eleven hazard factors were selected for landslide susceptibility modeling, and the best-performing model was determined. The influences of single and multiple hazard factors on landslide susceptibility were analyzed using Geodetector. The results showed that 246 potential landslides were identified, with a total area of 0.427 km2 and a total volume of 2.161 × 106 m3. The Blending-XGBoost-CNN model achieved the highest AUC and Precision, outperforming the XGBoost model and CNN model. The extreme high susceptible areas, high susceptible areas, moderate susceptible areas, minor susceptible areas and extreme minor susceptible areas accounted for 6.24% (91.4 km2), 15.07% (220.6 km2), 29.15% (426.8 km2), 30.58% (447.7 km2), and 18.96% (277.8 km2) of the total area, respectively. NDVI and gradient were key factors determining landslide occurrence. Elevation, slope aspect, distance from river, and land use also played significant roles in landslide occurrence. The contributions of TWI and lithology to landslide occurrence were relatively small, while those of plane curvature and distance from road were minimal. The interaction of hazard factors exhibited NE or BE relationships, not only increasing landslide risk but also potentially leading to more complex disaster patterns. This study can provide a theoretical basis for landslide prevention-oriented land use planning. Full article
Show Figures

Figure 1

18 pages, 4522 KB  
Article
Deciphering Dismemberment Cuts: Statistical Relationships Between Incomplete Kerf Morphology and Saw Class Characteristics
by Stephanie J. Cole and Heather M. Garvin
Forensic Sci. 2025, 5(4), 57; https://doi.org/10.3390/forensicsci5040057 - 1 Nov 2025
Viewed by 854
Abstract
Background/Objectives: Incomplete cut marks produced during dismemberment are often interpreted as indicative of saw class characteristics. However, empirical validation of these associations remains limited, with prior studies examining six or fewer saws. Considering the wide variety of saws available, it is critical to [...] Read more.
Background/Objectives: Incomplete cut marks produced during dismemberment are often interpreted as indicative of saw class characteristics. However, empirical validation of these associations remains limited, with prior studies examining six or fewer saws. Considering the wide variety of saws available, it is critical to assess the reliability of reported relationships between kerf features and saw classification using a larger sample, particularly in light of the serious legal consequences of erroneous conclusions. This study examines the statistical relationships between five incomplete cut traits—kerf profile shape (KPS), kerf length shape (KLS), floor dip (FD), kerf flare (KF), and floor striae (FS)—and saw class characteristics, including tooth set, tooth shape, teeth-per-inch, power, handle orientation, and cut direction. Methods: Kerf features were scored on a sample of 472 incomplete cuts made with 34 power and hand saws. Results: In reciprocating saws, W-shaped KPS was exclusively associated with crosscut, alternating saws (100%; p < 0.001), with hourglass-shaped KLS also primarily made by alternating sets (95.6%). Necked KLS was linked to wavy sets (76.8%; p < 0.001). FD, though rare, could be correctly assigned to teeth-per-inch groups (86.4%), and was also predominantly associated with alternating saws (90.9%; p < 0.001). Undulating FS were indicative of alternating saws with less than 20 teeth-per-inch (100%, p < 0.001). In contrast, KF showed no strong relationship with saw class characteristics, including handle side. Conclusions: The results of this large-scale analysis support most reported relationships in the saw mark literature but challenge assumptions that KF reliably indicates handle orientation or cut direction, suggesting instead that its location may reflect sawyer technique. Full article
Show Figures

Figure 1

15 pages, 579 KB  
Article
Textural Classification of Commercial Foodstuffs for Dysphagia Using Back-Extrusion Test
by María Teresa Murillo-Arbizu, Leyre Urtasun del Castillo, Sandra González-Casado, Juan Jesús Marín-Méndez, Francisco C. Ibañez and María José Beriain
Foods 2025, 14(21), 3741; https://doi.org/10.3390/foods14213741 - 31 Oct 2025
Viewed by 804
Abstract
Oropharyngeal dysphagia (OD) management requires texture-modified foods (TMFs). The International Dysphagia Diet Standardization Initiative (IDDSI) framework classifies TMFs from drinks (levels 0–2) to purées and soft-solid foods (levels 3–4). However, current instrumental methods for analyzing commercial OD-oriented TMFs often fail to provide reliable [...] Read more.
Oropharyngeal dysphagia (OD) management requires texture-modified foods (TMFs). The International Dysphagia Diet Standardization Initiative (IDDSI) framework classifies TMFs from drinks (levels 0–2) to purées and soft-solid foods (levels 3–4). However, current instrumental methods for analyzing commercial OD-oriented TMFs often fail to provide reliable classifications, limiting their clinical and industrial applicability. This study aimed to evaluate the effectiveness and reliability of the Back-Extrusion Test (BET) in classifying commercial OD-oriented TMFs according to the IDDSI framework. Fifty-four commercial TMFs were analyzed using BET1 method (firmness and adhesiveness), and BET2 method (firmness, consistency, cohesiveness, and cohesion work). A progressive increase in firmness and consistency was detected as IDDSI level rose, with significant differences between levels. The classification accuracy for IDDSI levels, as determined by discriminant analysis, was 66.1% (BET1) and 76.8% (BET2), although both methods showed reduced performance, particularly for level 4 foods. Cluster analysis revealed three groups by means of BET1 and BET2, identifying levels of foods with low, intermediate, and high textural complexity. This finding suggests that a simplified classification framework could improve objectivity and reliability in assessing OD-oriented TMFs. Furthermore, integrating additional instrumental techniques may improve the accuracy classification of commercial foods where BET methods fail. Full article
(This article belongs to the Section Food Analytical Methods)
Show Figures

Graphical abstract

25 pages, 4908 KB  
Article
Evaluating the Impact of Different Spatial Resolutions of UAV Imagery on Mapping Tidal Marsh Vegetation Using Multiple Plots of Different Complexity
by Qingsheng Liu, Chong Huang, Xin Zhang, He Li, Yu Peng, Shuxuan Wang, Lijing Gao and Zishen Li
Remote Sens. 2025, 17(21), 3598; https://doi.org/10.3390/rs17213598 - 30 Oct 2025
Viewed by 442
Abstract
Unmanned aerial vehicle (UAV) images have increasingly become important data for accurate mapping of tidal marsh vegetation. They are particularly important for determining what spatial resolution is needed because UAV imaging requires a trade-off between spatial resolution and imaging extent. However, there are [...] Read more.
Unmanned aerial vehicle (UAV) images have increasingly become important data for accurate mapping of tidal marsh vegetation. They are particularly important for determining what spatial resolution is needed because UAV imaging requires a trade-off between spatial resolution and imaging extent. However, there are still insufficient studies for assessing the effects of spatial resolution on the classification accuracy of tidal marsh vegetation. This study utilized UAV images with spatial resolutions of 2 cm, 5 cm, and 10 cm, respectively, to classify seven tidal marsh plots with different vegetation complexities in the Yellow River Delta (YRD), China, using the object-oriented example-based feature extraction with support vector machine approach and the pixel-based random forest classifier, and compared the differences in vegetation classification accuracy. This study indicated the following: (1) Vegetation classification varied at different spatial resolutions, with a difference of 0.95–8.76% between the highest and lowest classification accuracy for different plots. (2) Vegetation complexity influenced classification accuracy. Classification accuracy was lower when the relative dominance and proportional abundance of P. australis and T. chinensis were higher in the plots. (3) Considering the trade-off between classification accuracy and imaging extent, UAV data with 5 cm spatial resolution were recommended for tidal marsh vegetation classification in the YRD or similar vegetation complexity regions. Full article
Show Figures

Graphical abstract

29 pages, 9771 KB  
Article
A Multi-Level Segmentation Method for Mountainous Camellia oleifera Plantation with High Canopy Closure Using UAV Imagery
by Shuangshuang Lai, Zhenxian Li, Dongping Ming, Jialu Long, Yanfei Wei and Jie Zhang
Agronomy 2025, 15(11), 2522; https://doi.org/10.3390/agronomy15112522 - 29 Oct 2025
Viewed by 624
Abstract
Camellia oleifera is an important economic tree species in China. Accurate estimation of canopy structural parameters of C. oleifera is essential for yield prediction and plantation management. However, this remains challenging in mountainous plantations due to canopy occlusion and background interference. This study [...] Read more.
Camellia oleifera is an important economic tree species in China. Accurate estimation of canopy structural parameters of C. oleifera is essential for yield prediction and plantation management. However, this remains challenging in mountainous plantations due to canopy occlusion and background interference. This study developed a multi-level object-oriented segmentation method integrating UAV-based LiDAR and visible-light data to address this issue. The proposed approach progressively eliminates background objects (bare soil, weeds, and forest gaps) through hierarchical segmentation and classification in eCognition, ultimately enabling precise canopy delineation. The method was validated in a high-canopy-closure plantation characterized by a mountainous area. The results demonstrated exceptional performance; canopy area extraction and individual plant extraction achieved average F-scores of 97.54% and 91.69%, respectively. The estimated tree height and mean crown diameter were strongly correlated with field measurements (both R2 = 0.75). This study provides a method for extracting the parameters of C. oleifera canopies that is suitable for mountainous regions with high canopy closure, demonstrating significant potential for supporting digital management and precision forestry optimization in such wooded areas. Full article
(This article belongs to the Section Precision and Digital Agriculture)
Show Figures

Figure 1

18 pages, 1328 KB  
Article
Endoscopic and Pathological Examinations of Early-Signet-Ring Carcinoma in the Stomach
by Zhao Liang, Liang Zheng and Jia Cao
Healthcare 2025, 13(21), 2689; https://doi.org/10.3390/healthcare13212689 - 23 Oct 2025
Viewed by 1078
Abstract
Objective: Early-signet-ring cell carcinoma has a low malignancy and good prognosis, while advanced signet-ring cell carcinoma has high malignancy and high mortality. So, we need to understand the risk factors of early-signet-ring cell carcinoma, analyze the relationship between early gastric signet-ring cell carcinoma [...] Read more.
Objective: Early-signet-ring cell carcinoma has a low malignancy and good prognosis, while advanced signet-ring cell carcinoma has high malignancy and high mortality. So, we need to understand the risk factors of early-signet-ring cell carcinoma, analyze the relationship between early gastric signet-ring cell carcinoma and non-Signet-ring cell carcinoma, and between pure signet-ring cell carcinoma and mixed signet-ring cell carcinoma, in order to provide the basis for the early diagnosis and treatment of signet-ring cell carcinoma. Methods: In this study, a retrospective analysis of 424 cases of early gastric cancer that underwent endoscopic submucosal dissection and surgical treatment between March 2019 and March 2023 in Shanghai Oriental Hospital was carried out. Among the cases, the two groups, namely, the signet-ring cell carcinoma and non-signet-ring cell carcinoma group, and the pure signet-ring cell carcinoma and mixed signet-ring cell carcinoma group, were compared and analyzed. With the help of logistic regression analysis, gender, age, smoking history, alcohol consumption history, tumor site, pathological characteristics, disease progression, tumor size, infiltration depth, and H. pylori infection were investigated between the two groups. Result: The results of the univariate regression analyses in the signet-ring cell carcinoma and non-signet-ring cell carcinoma groups showed that being female (p = 0.001), age < 60 years (p = 0.001), with cancer foci in the middle part of the stomach (p = 0.001), and with a mixed type of cancer foci (p = 0.007) were the risk factors for signet-ring cell carcinoma. In the multifactorial regression analysis, age < 60 years (OR = 1.037, CL = 1.008–1.067, p = 0.012), cancer foci in the middle part of the stomach (OR = 2.094, CL = 1.488–2.948, p = 0.001), mixed-type patients (OR = 0.702, CL = 0.519–0.951, p = 0.022), and women (OR = 0.421, CL = 0.254–0.698, p = 0.001) were the risk factors for signet-ring cell cancer. These are independent risk factors for signet-ring cell carcinoids. Univariate regression analysis on the pure and mixed signet-ring cell carcinoma groups showed that Helicobacter pylori infection (p = 0.001), Kimura–Takemoto classification O1–O3 (p = 0.013), flat and concave types (p = 0.004), and age < 60 years (p = 0.013) were risk factors affecting the development of pure signet-ring cell carcinoma. In the multifactorial regression analysis, age (OR = 0.233, CL = 0.059–0.930, p = 0.039) was the main independent risk factor for pure signet-ring cell carcinoma. Conclusions: Age < 60 years, cancer foci located in the middle of the stomach, mixed type, and female are associated with the development of early gastric signet-ring cell carcinoma; age < 60 years is related to the development of pure signet-ring cell carcinoma, so we need to pay attention to these clinical and pathological factors to prevent the growth of ring cell carcinoma. Full article
Show Figures

Figure 1

Back to TopTop